We use cookies to enhance the usability of our website. If you continue, we'll assume that you are happy to receive all cookies. More information. Don't show this again.
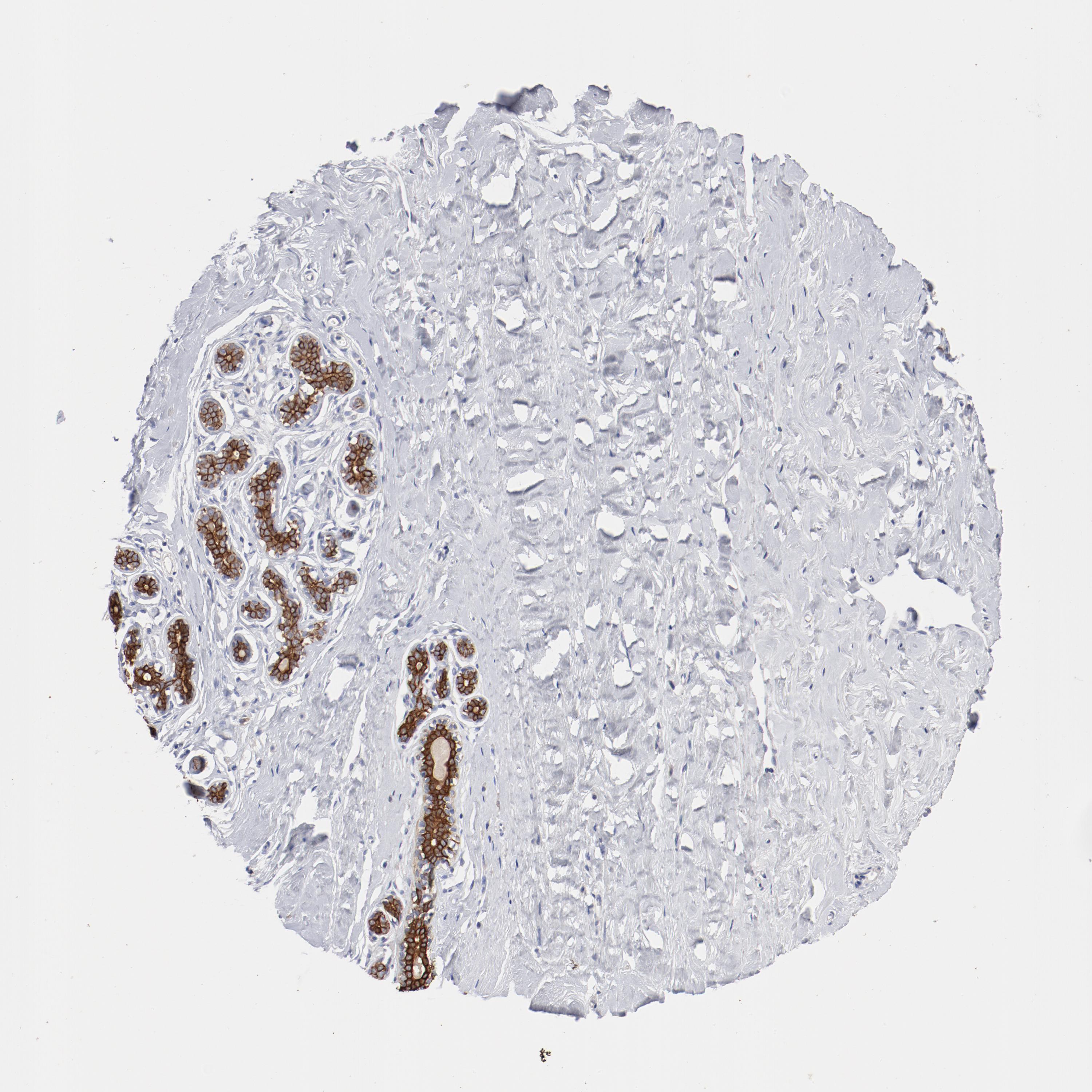
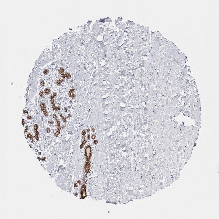
On the top, protein expression in current human tissue, based on all annotated cell types, is reported with the units not detected (n), low (l), medium (m) and high (h). Underneath, protein expression in each annotated cell type are reported using the same units.
Protein expression data is based on knowledge-based annotation. For genes where more than one antibody has been used, a collective score is set.
If knowledge-based annotation could not be performed for a gene, no data is displayed here. View antibody staining data further down this page.
A summary of mRNA expression data available for current tissue based on several datasets. The mRNA expression levels in human tissues are based on RNA-seq data generated by the Human Protein Atlas (HPA), Genotype-Tissue Expression (GTEx) portal and CAGE data generated by the FANTOM5 consortium. Consensus normalized expression (NX) levels for human tissues was created by combining the data from these three transcriptomics datasets (HPA, GTEx and FANTOM5).
The mRNA expression levels in pig are based on RNA-seq data generated by the Human Protein Atlas (HPA), and for mouse, HPA data and in situ hybridization generated by the Allen brain atlas are reported.
Scroll down to view mRNA expression data in more detail.
Antibody staining in the annotated cell types in the current human tissue is reported as not detected, low, medium, or high. This score is based on the staining intensity and fraction of stained cells.
The RNA-seq details section shows detailed information about the individual samples used for the transcript profiling and results of the RNA-seq analysis.
Information about each individual sample is listed below, including gender, age, a tissue section image and estimated fractions of cell types. pTPM (transcripts per million) values give a quantification of the gene abundance which is comparable between different genes and samples.
Glandular cells: 15 Adipocytes: 5 Other cell types: 80
Female, age 80
Breast sample 390 pTPM: 46.8
Cell types%
Glandular cells: 5 Adipocytes: 15 Other cell types: 80
Female, age 47
Breast sample 405 pTPM: 103.4
Cell types%
Glandular cells: 5 Adipocytes: 5 Other cell types: 90
Female, age 38
Breast sample 410 pTPM: 78.7
Cell types%
Glandular cells: 40 Adipocytes: 5 Other cell types: 55
BREAST - GTEx RNA-seqi
RNA-Seq data generated by the Genotype-Tissue Expression (GTEx) project from human tissues is reported as average pTPM. More information can be found on the GTEx portal.
Distribution across the dataset is visualized with box plots, shown as median and 25th and 75th percentiles. Points are displayed as outliers if they are above or below 1.5 times the interquartile range. pTPM values of the individual samples are presented next to the box plot.
Max pTPM: 130.0
Min pTPM: 15.2
Std pTPM: 17.1
Median pTPM: 35.5
GTEX-15RJE-2626-SM-7KFT1
40-49 years, male
130.0
GTEX-ZF3C-2326-SM-5S2MZ
50-59 years, female
126.6
GTEX-14753-2426-SM-5LU8U
60-69 years, male
123.0
GTEX-ZWKS-2826-SM-5NQ74
30-39 years, male
100.1
GTEX-1B8KE-1226-SM-73KWK
50-59 years, male
98.8
GTEX-ZVT4-1026-SM-57WC4
50-59 years, female
98.8
GTEX-VJWN-0726-SM-3GIJ8
50-59 years, female
90.6
GTEX-13N1W-0626-SM-5MR4U
70-79 years, male
84.5
GTEX-13VXU-2826-SM-664MA
50-59 years, male
79.7
GTEX-1AX9I-0726-SM-73KWV
60-69 years, male
79.1
GTEX-13PVQ-1026-SM-5KM3M
50-59 years, male
78.6
GTEX-1C6VS-0726-SM-7EPHF
60-69 years, male
76.4
GTEX-11DZ1-0326-SM-5N9BN
50-59 years, male
75.9
GTEX-15SHW-1326-SM-6PAL8
60-69 years, male
75.7
GTEX-18A7B-2626-SM-7LG55
70-79 years, male
73.1
GTEX-145ME-1526-SM-5Q5F2
40-49 years, female
72.4
GTEX-Y9LG-1426-SM-5IFJZ
30-39 years, male
72.0
GTEX-11PRG-0826-SM-5EQ6A
50-59 years, male
71.9
GTEX-WYBS-0926-SM-3NM94
60-69 years, female
70.7
GTEX-ZZ64-1226-SM-5E43R
20-29 years, male
67.3
GTEX-14E6C-1326-SM-62LEQ
40-49 years, male
66.1
GTEX-PSDG-1626-SM-48TCQ
50-59 years, male
65.6
GTEX-YEC3-1026-SM-5IFI5
50-59 years, male
65.2
GTEX-117XS-1926-SM-5GICO
60-69 years, male
65.1
GTEX-12KS4-0126-SM-5Q5A5
30-39 years, male
64.5
GTEX-ZF2S-2026-SM-5E461
50-59 years, female
60.7
GTEX-13OW8-0226-SM-5K7UP
60-69 years, male
60.4
GTEX-17EVP-0226-SM-79OND
40-49 years, male
60.4
GTEX-111YS-1926-SM-5GICC
60-69 years, male
60.2
GTEX-1117F-2826-SM-5GZXL
60-69 years, female
59.4
GTEX-13QIC-2326-SM-5LU5N
60-69 years, female
59.0
GTEX-17JCI-0726-SM-7EPH1
60-69 years, female
59.0
GTEX-14B4R-1226-SM-5TDDT
30-39 years, male
58.9
GTEX-U412-1826-SM-4DXTJ
60-69 years, male
58.2
GTEX-UTHO-1026-SM-3GAF7
60-69 years, male
56.9
GTEX-11TUW-1826-SM-5BC5D
60-69 years, male
56.7
GTEX-1AX9J-1126-SM-731B7
60-69 years, male
56.4
GTEX-WOFL-0826-SM-3MJG1
60-69 years, male
56.3
GTEX-R3RS-0626-SM-48FE1
40-49 years, female
56.0
GTEX-15UF6-0126-SM-6PAMB
70-79 years, female
55.9
GTEX-1A3MV-1626-SM-731C1
30-39 years, male
55.9
GTEX-17F97-2526-SM-7EWDV
50-59 years, male
55.7
GTEX-14DAR-1326-SM-7DUEG
50-59 years, male
55.4
GTEX-13CF3-2126-SM-5IFJP
60-69 years, female
54.7
GTEX-13O3Q-2226-SM-5KM4O
50-59 years, male
54.3
GTEX-ZC5H-2626-SM-5J2MG
40-49 years, female
54.3
GTEX-T2YK-2226-SM-32QPT
50-59 years, male
53.8
GTEX-ZT9W-2026-SM-51MRA
50-59 years, male
53.7
GTEX-XMD2-0926-SM-4WWEF
60-69 years, female
53.4
GTEX-13N11-1726-SM-5J1OJ
50-59 years, female
53.3
GTEX-1BAJH-0826-SM-7EWEF
70-79 years, male
52.8
GTEX-ZLFU-2126-SM-4WWEV
40-49 years, male
52.7
GTEX-ZAB4-2526-SM-5HL8M
40-49 years, male
52.5
GTEX-15ETS-0626-SM-7KUMX
40-49 years, female
52.4
GTEX-17EUY-1926-SM-7DUF6
20-29 years, male
52.1
GTEX-14PJO-0726-SM-69LO8
60-69 years, male
52.0
GTEX-12WSM-1726-SM-5BC6J
60-69 years, male
51.8
GTEX-145MO-0826-SM-5NQBL
60-69 years, male
51.7
GTEX-11O72-2126-SM-5N9FO
40-49 years, male
51.5
GTEX-14A5I-0726-SM-5TDEB
50-59 years, female
50.7
GTEX-S4Q7-1126-SM-4AD6R
20-29 years, male
50.3
GTEX-Y114-2026-SM-4TT7L
50-59 years, female
50.2
GTEX-11GS4-2126-SM-5A5KR
60-69 years, male
50.1
GTEX-17MF6-0326-SM-7EPH5
40-49 years, male
49.6
GTEX-13O3O-0826-SM-5K7WE
60-69 years, female
49.5
GTEX-1314G-1226-SM-5BC6D
30-39 years, male
49.0
GTEX-XV7Q-2326-SM-4BRVZ
40-49 years, female
48.5
GTEX-ZVE2-1226-SM-5NQ8R
50-59 years, male
48.5
GTEX-ZF29-1926-SM-5S2P1
60-69 years, female
48.2
GTEX-139TU-0626-SM-5KM3X
60-69 years, male
47.6
GTEX-Y3IK-2326-SM-4WWDT
50-59 years, female
47.4
GTEX-11ONC-2126-SM-5HL6E
60-69 years, male
46.0
GTEX-TMMY-0726-SM-33HBE
40-49 years, female
45.8
GTEX-13FTY-2226-SM-5J1ND
40-49 years, female
45.5
GTEX-18465-2026-SM-718AP
50-59 years, male
45.5
GTEX-1E2YA-2726-SM-7IGPW
50-59 years, male
45.4
GTEX-ZXES-0826-SM-5E43C
30-39 years, female
45.4
GTEX-WYVS-1726-SM-3NMAY
40-49 years, female
45.2
GTEX-1CB4E-0226-SM-79OLW
60-69 years, male
44.1
GTEX-139T8-0826-SM-5L3DE
60-69 years, male
43.9
GTEX-REY6-2426-SM-48FF5
60-69 years, male
43.6
GTEX-Y8LW-1626-SM-5IFHX
50-59 years, female
43.6
GTEX-1A3MX-2726-SM-718B6
60-69 years, male
43.5
GTEX-11GSO-1926-SM-5A5K3
60-69 years, male
43.4
GTEX-1192X-2326-SM-5987X
50-59 years, male
43.3
GTEX-ZV7C-1826-SM-5NQ83
50-59 years, male
43.0
GTEX-14ICK-2426-SM-6EU27
40-49 years, male
42.9
GTEX-R53T-1526-SM-48FEK
50-59 years, female
42.8
GTEX-147F4-2826-SM-5NQBN
50-59 years, male
42.7
GTEX-16BQI-1026-SM-7KUEA
30-39 years, female
42.7
GTEX-Q2AG-0326-SM-48U1O
40-49 years, female
42.7
GTEX-13PVR-2226-SM-7DHKP
60-69 years, female
42.4
GTEX-14LLW-0626-SM-62LFC
70-79 years, female
42.4
GTEX-V955-2026-SM-3GAFA
60-69 years, male
42.0
GTEX-1C64O-0726-SM-7DUFU
60-69 years, male
41.7
GTEX-XOT4-0726-SM-4GIAW
60-69 years, female
41.7
GTEX-T6MO-0326-SM-32QOK
40-49 years, female
41.6
GTEX-ZVTK-0326-SM-51MRR
20-29 years, male
41.6
GTEX-WYJK-1326-SM-3NB2T
50-59 years, male
41.3
GTEX-183WM-0726-SM-7LTAA
70-79 years, female
40.9
GTEX-ZYT6-0126-SM-5E45J
30-39 years, male
40.7
GTEX-133LE-1726-SM-5K7VQ
20-29 years, female
40.5
GTEX-18QFQ-0826-SM-718AX
30-39 years, male
40.4
GTEX-11DXY-2326-SM-5GICW
60-69 years, male
40.3
GTEX-13SLW-2526-SM-62LDQ
70-79 years, male
40.3
GTEX-18D9A-1526-SM-7LG4J
30-39 years, female
39.8
GTEX-QDT8-0626-SM-48TYW
30-39 years, female
39.6
GTEX-WFON-1826-SM-3GILG
40-49 years, male
39.3
GTEX-17HHY-0926-SM-793C1
50-59 years, male
38.8
GTEX-XUW1-2326-SM-4BOO5
50-59 years, female
38.8
GTEX-1C6VQ-0426-SM-79OOX
50-59 years, male
38.7
GTEX-13113-1726-SM-5GCOO
60-69 years, female
38.6
GTEX-11NV4-2026-SM-5N9DG
60-69 years, male
38.5
GTEX-ZQG8-0726-SM-5P9H9
60-69 years, female
38.5
GTEX-14PN4-0626-SM-62LFP
50-59 years, male
38.4
GTEX-1B97J-0426-SM-79OLQ
50-59 years, female
38.4
GTEX-1A8G7-2426-SM-731AK
60-69 years, male
38.2
GTEX-YFCO-1826-SM-4W1YH
40-49 years, male
38.1
GTEX-146FH-0826-SM-5SI8T
50-59 years, female
38.0
GTEX-ZQUD-1926-SM-51MSA
30-39 years, male
37.9
GTEX-11ZTT-2326-SM-5EQLG
60-69 years, female
37.8
GTEX-15ER7-1626-SM-6PAMZ
20-29 years, female
37.8
GTEX-WRHU-0326-SM-3MJFY
50-59 years, female
37.8
GTEX-13SLX-2326-SM-5ZZWE
50-59 years, female
37.6
GTEX-RU72-0626-SM-46MUI
50-59 years, female
37.5
GTEX-11P81-1926-SM-5BC53
30-39 years, female
37.4
GTEX-YFC4-1426-SM-5IFJG
40-49 years, female
37.4
GTEX-13W46-0826-SM-5LU3H
50-59 years, male
37.2
GTEX-X261-0626-SM-3NMD9
50-59 years, male
37.1
GTEX-ZDYS-1126-SM-5K7UB
50-59 years, male
37.0
GTEX-17F98-0526-SM-79OK5
40-49 years, female
36.9
GTEX-RUSQ-2026-SM-4GIAK
50-59 years, male
36.9
GTEX-1EU9M-2826-SM-7EWFH
60-69 years, male
36.8
GTEX-13NZ8-0126-SM-5IJCT
60-69 years, female
36.7
GTEX-ZTX8-1226-SM-4YCE9
20-29 years, male
36.6
GTEX-1B8KZ-1526-SM-7DUG7
50-59 years, male
36.5
GTEX-13FTX-1126-SM-5N9EN
20-29 years, female
36.4
GTEX-ZYW4-0826-SM-5GIDG
60-69 years, male
36.2
GTEX-ZTTD-1026-SM-51MRD
50-59 years, male
36.1
GTEX-XQ8I-2426-SM-4WAXY
50-59 years, male
36.0
GTEX-13PL6-2926-SM-5L3I2
40-49 years, female
35.9
GTEX-S4UY-0726-SM-4AD6X
40-49 years, female
35.9
GTEX-WI4N-1426-SM-3LK7H
40-49 years, female
35.8
GTEX-11EM3-1326-SM-5N9C6
20-29 years, female
35.5
GTEX-11EQ9-1826-SM-5Q5AJ
30-39 years, male
35.5
GTEX-WXYG-2226-SM-4E3IM
50-59 years, female
35.5
GTEX-ZU9S-1926-SM-5NQBP
30-39 years, male
35.5
GTEX-16NGA-0826-SM-718AF
40-49 years, female
35.4
GTEX-RU1J-0626-SM-4WAWY
20-29 years, female
35.4
GTEX-VUSG-2226-SM-4KKZO
50-59 years, male
35.4
GTEX-14PJ4-2126-SM-6ETZJ
60-69 years, male
35.3
GTEX-ZVZQ-0826-SM-51MRF
60-69 years, female
35.3
GTEX-17EVQ-0426-SM-7LG57
70-79 years, male
35.2
GTEX-1CAMR-1426-SM-793BO
20-29 years, male
35.2
GTEX-Y5V5-2126-SM-4WWFO
60-69 years, female
35.2
GTEX-11WQC-1726-SM-5GU4W
60-69 years, male
35.1
GTEX-SE5C-2126-SM-4BRUJ
40-49 years, female
35.0
GTEX-W5X1-2326-SM-3GIL6
40-49 years, female
35.0
GTEX-S33H-0326-SM-4AD6N
30-39 years, male
34.9
GTEX-16YQH-2826-SM-6PAMY
30-39 years, male
34.6
GTEX-U3ZH-1426-SM-4DXSR
30-39 years, male
34.6
GTEX-XGQ4-0926-SM-4AT4U
50-59 years, male
34.5
GTEX-UJHI-1426-SM-3DB9C
50-59 years, female
34.0
GTEX-11P7K-0726-SM-5EGKX
30-39 years, male
33.8
GTEX-131XW-0726-SM-5EGK3
50-59 years, female
33.7
GTEX-T5JW-2026-SM-4DM63
20-29 years, female
33.7
GTEX-12WSK-2226-SM-5GCO5
40-49 years, female
33.5
GTEX-T5JC-2126-SM-32PMO
20-29 years, male
33.5
GTEX-12BJ1-1826-SM-5HL9N
60-69 years, male
33.4
GTEX-RWS6-1926-SM-47JXY
60-69 years, female
33.3
GTEX-13O61-1826-SM-5KM4I
60-69 years, male
33.2
GTEX-1B933-2526-SM-7IGO5
50-59 years, female
33.2
GTEX-ZZPU-0626-SM-5E43T
50-59 years, female
33.2
GTEX-131YS-0626-SM-5EGKL
60-69 years, female
33.1
GTEX-1399U-1826-SM-5PNZ1
50-59 years, female
33.1
GTEX-145LT-0726-SM-5S2VM
40-49 years, male
33.1
GTEX-S7SE-0826-SM-4AT4D
50-59 years, male
33.1
GTEX-YB5K-1626-SM-5IFIN
40-49 years, female
33.1
GTEX-YJ8O-2226-SM-5IFHW
40-49 years, female
33.1
GTEX-QEL4-2126-SM-447AE
50-59 years, male
32.9
GTEX-13OW5-2226-SM-5L3HC
60-69 years, male
32.7
GTEX-18A7A-0726-SM-7LTAI
50-59 years, female
32.7
GTEX-QEG5-0726-SM-4R1JQ
20-29 years, male
32.7
GTEX-1B97I-0426-SM-79OL7
40-49 years, male
32.5
GTEX-S4P3-1326-SM-4AD6V
50-59 years, female
32.5
GTEX-ZY6K-1626-SM-5GZWV
50-59 years, male
32.5
GTEX-13NZB-2126-SM-5MR4Y
30-39 years, male
32.3
GTEX-T6MN-0726-SM-32PML
50-59 years, male
32.3
GTEX-S32W-2026-SM-4AD6E
50-59 years, female
32.2
GTEX-Y5LM-1726-SM-4VDSX
40-49 years, female
32.2
GTEX-12ZZX-1126-SM-5EGKB
40-49 years, female
32.1
GTEX-XMD1-0826-SM-4AT52
60-69 years, male
31.9
GTEX-1CB4G-2326-SM-79OOI
60-69 years, male
31.7
GTEX-TKQ1-0226-SM-33HB5
30-39 years, male
31.7
GTEX-1122O-1226-SM-5H113
60-69 years, female
31.6
GTEX-17MFQ-0926-SM-7LG4S
20-29 years, male
31.5
GTEX-1AMEY-1026-SM-718AA
30-39 years, female
31.5
GTEX-XBED-1626-SM-47JYN
60-69 years, male
31.4
GTEX-ZLV1-1426-SM-4WWES
60-69 years, female
31.4
GTEX-13O3P-0826-SM-5L3DH
50-59 years, male
31.3
GTEX-144GL-2026-SM-5LU3O
50-59 years, male
31.3
GTEX-14E7W-0826-SM-62LEJ
70-79 years, male
31.3
GTEX-QMRM-1626-SM-4R1KV
50-59 years, male
31.3
GTEX-T2IS-1526-SM-32QPR
20-29 years, female
31.3
GTEX-ZYFC-0826-SM-5E44K
50-59 years, male
31.3
GTEX-12WSN-1326-SM-5GCNT
40-49 years, male
31.1
GTEX-S341-1526-SM-4AD6K
40-49 years, female
31.1
GTEX-ZVT2-1826-SM-5NQ8W
50-59 years, female
31.1
GTEX-15G19-2126-SM-6M48J
60-69 years, male
30.9
GTEX-11LCK-2426-SM-5HL5F
30-39 years, male
30.8
GTEX-Y8E4-1626-SM-5S2MW
40-49 years, male
30.7
GTEX-ZUA1-1526-SM-59HLS
40-49 years, male
30.5
GTEX-1B932-0826-SM-73KXG
40-49 years, female
30.4
GTEX-1CB4J-1826-SM-7EWF9
60-69 years, male
30.3
GTEX-ZV6S-1826-SM-5NQ8D
40-49 years, female
30.2
GTEX-U3ZN-1926-SM-4DXSG
30-39 years, female
30.1
GTEX-144GM-0926-SM-5O994
20-29 years, male
30.0
GTEX-1211K-1926-SM-5EQLB
60-69 years, female
29.9
GTEX-1AX8Z-0926-SM-731AW
60-69 years, male
29.8
GTEX-X15G-1626-SM-3NMB3
50-59 years, female
29.8
GTEX-15DCZ-0726-SM-69LOV
20-29 years, female
29.7
GTEX-17GQL-0326-SM-7LG5U
60-69 years, male
29.7
GTEX-117YX-1426-SM-5H12H
50-59 years, male
29.6
GTEX-11ZUS-0826-SM-5FQUY
30-39 years, male
29.6
GTEX-ZPIC-1126-SM-5BC7F
40-49 years, female
29.6
GTEX-11EI6-0626-SM-5985T
60-69 years, male
29.5
GTEX-XQ3S-1326-SM-4BOPQ
20-29 years, male
29.3
GTEX-139T6-1626-SM-5PNYZ
50-59 years, male
29.2
GTEX-QVJO-1826-SM-447C9
60-69 years, female
29.2
GTEX-183FY-1126-SM-7DHLJ
20-29 years, male
29.0
GTEX-XUZC-1626-SM-4BRVP
30-39 years, female
29.0
GTEX-1CAMS-1426-SM-7IGPM
40-49 years, female
28.9
GTEX-R55D-0826-SM-48FEA
50-59 years, male
28.9
GTEX-11DXW-0626-SM-5N9ER
40-49 years, male
28.8
GTEX-14BMU-1626-SM-5TDE7
20-29 years, female
28.8
GTEX-UPK5-2326-SM-3P5Z8
40-49 years, male
28.8
GTEX-1EKGG-2626-SM-7IGPY
60-69 years, male
28.5
GTEX-XMK1-1126-SM-4IHJ8
40-49 years, male
28.5
GTEX-1313W-0826-SM-5EQ4T
50-59 years, female
28.2
GTEX-132NY-0826-SM-5K7Y7
60-69 years, male
28.2
GTEX-15FZZ-0726-SM-7KUFZ
30-39 years, female
28.1
GTEX-14PKU-0426-SM-6EU1P
40-49 years, female
27.4
GTEX-13NZ9-1026-SM-5MR5K
50-59 years, male
27.2
GTEX-X4EP-2926-SM-3P5YQ
60-69 years, female
27.1
GTEX-14AS3-1626-SM-5S2OY
40-49 years, female
27.0
GTEX-14H4A-2526-SM-5YYAY
40-49 years, female
27.0
GTEX-11EMC-2026-SM-5A5JV
60-69 years, female
26.9
GTEX-TML8-1226-SM-32QON
40-49 years, female
26.9
GTEX-145MN-1926-SM-5SIAI
30-39 years, male
26.8
GTEX-TKQ2-1826-SM-33HB2
50-59 years, male
26.8
GTEX-15UF7-0726-SM-6M46D
40-49 years, male
26.7
GTEX-11DXZ-1926-SM-5GZZL
50-59 years, male
26.6
GTEX-17HG3-0126-SM-7IGNH
30-39 years, female
26.2
GTEX-ZDTT-2126-SM-5S2OJ
60-69 years, male
26.1
GTEX-17HHE-1426-SM-7EPH4
50-59 years, male
25.9
GTEX-1269C-2426-SM-5FQSN
60-69 years, female
25.7
GTEX-13FHO-0826-SM-5L3E8
60-69 years, male
25.6
GTEX-XYKS-1326-SM-4BRUN
60-69 years, female
25.6
GTEX-13CF2-2026-SM-5K7VI
60-69 years, male
25.1
GTEX-YB5E-1726-SM-5IFJ3
40-49 years, male
25.0
GTEX-11NSD-0926-SM-5N9DR
20-29 years, male
24.8
GTEX-15EOM-5019-SM-793DK
20-29 years, female
24.8
GTEX-WY7C-2726-SM-3NB3P
50-59 years, male
24.7
GTEX-11I78-2226-SM-5PNYA
50-59 years, female
24.5
GTEX-Y5V6-2126-SM-4WWFX
60-69 years, male
24.4
GTEX-14BMV-0626-SM-793AU
50-59 years, male
24.2
GTEX-14PHY-1926-SM-5YY95
60-69 years, female
24.0
GTEX-ZA64-1526-SM-5CVMD
20-29 years, male
23.8
GTEX-13QJ3-0826-SM-7DHKK
50-59 years, male
23.7
GTEX-14E6E-1326-SM-5S2NR
30-39 years, male
23.7
GTEX-Y3I4-1526-SM-4TT7K
50-59 years, male
23.6
GTEX-11OF3-1926-SM-59889
60-69 years, male
23.4
GTEX-13FTW-1426-SM-5LZWZ
40-49 years, male
23.3
GTEX-145MF-2226-SM-7EPIR
50-59 years, male
23.3
GTEX-ZAJG-0626-SM-5HL8X
50-59 years, female
23.3
GTEX-13D11-1026-SM-5IJFB
50-59 years, female
22.3
GTEX-X4XY-0926-SM-4E3JD
60-69 years, male
22.3
GTEX-17F96-2426-SM-7IGLN
70-79 years, male
21.7
GTEX-13W3W-1226-SM-5LU4H
60-69 years, female
21.6
GTEX-132AR-0826-SM-5EGK6
50-59 years, female
21.4
GTEX-ZEX8-2226-SM-57WC6
50-59 years, male
20.9
GTEX-17KNJ-2026-SM-7LG53
50-59 years, male
20.5
GTEX-11P82-1326-SM-5HL62
20-29 years, male
20.4
GTEX-11TT1-2126-SM-5GU5Y
20-29 years, male
19.9
GTEX-18A6Q-0926-SM-7LG4N
60-69 years, male
19.8
GTEX-U8XE-0826-SM-4E3J1
30-39 years, male
19.8
GTEX-Y111-2026-SM-4SOJA
50-59 years, male
19.8
GTEX-17HGU-1326-SM-79OKB
50-59 years, male
19.5
GTEX-ZDXO-0126-SM-5S2ND
60-69 years, male
17.5
GTEX-11WQK-2426-SM-5GU5C
50-59 years, male
15.2
Show allShow less
BREAST - FANTOM5 CAGEi
RNA expression in human tissues obtained through Cap Analysis of Gene Expression (CAGE) generated by the FANTOM5 project are reported as Scaled Tags Per Million.