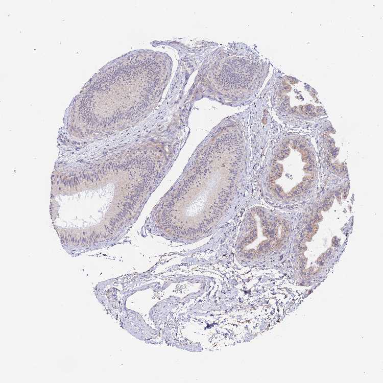
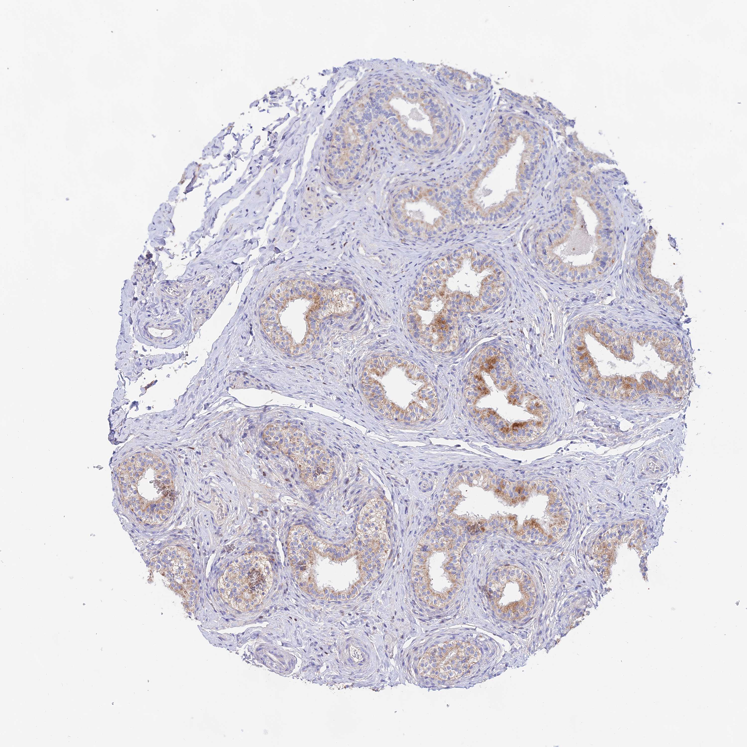
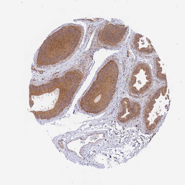
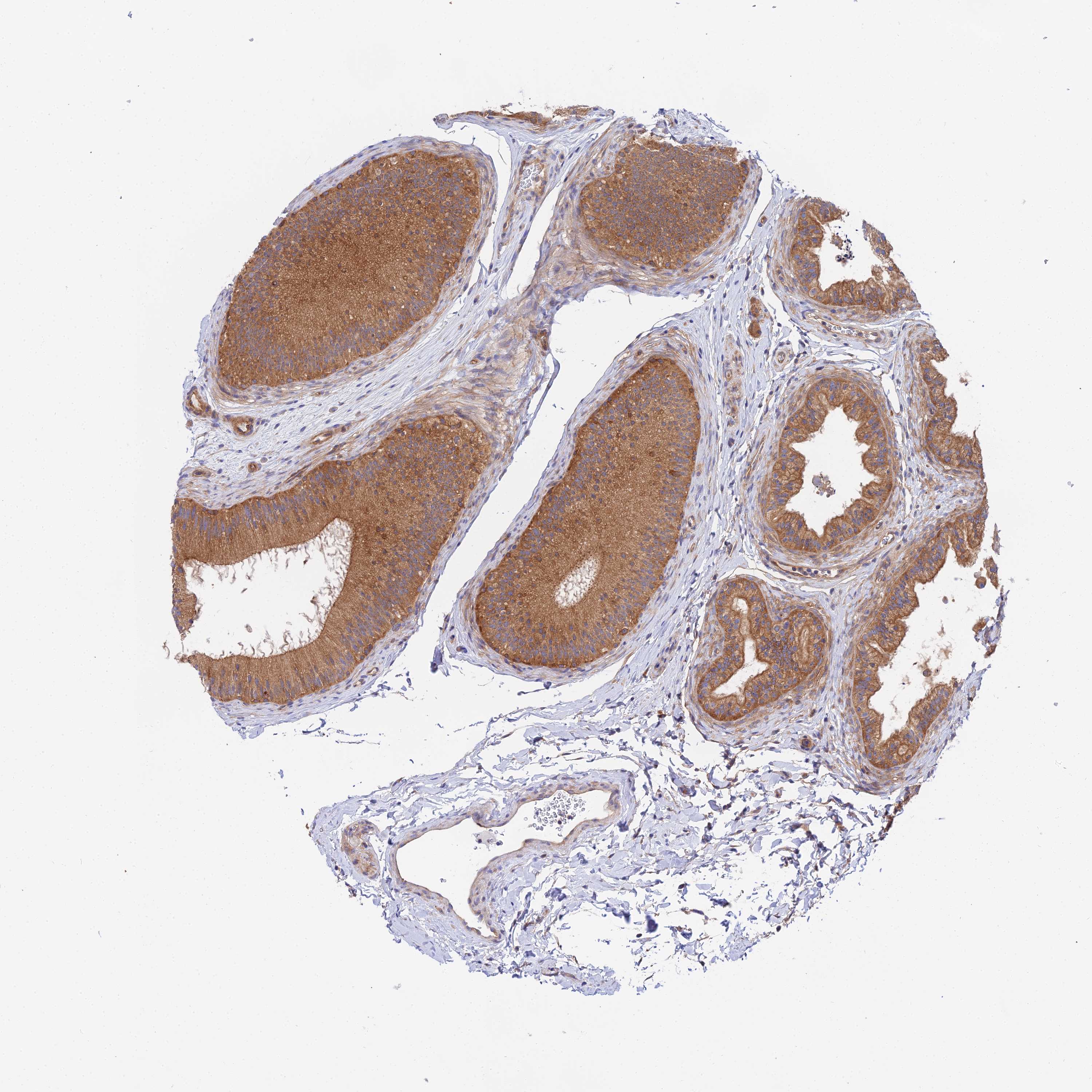
PPP2R2C