We use cookies to enhance the usability of our website. If you continue, we'll assume that you are happy to receive all cookies. More information. Don't show this again.
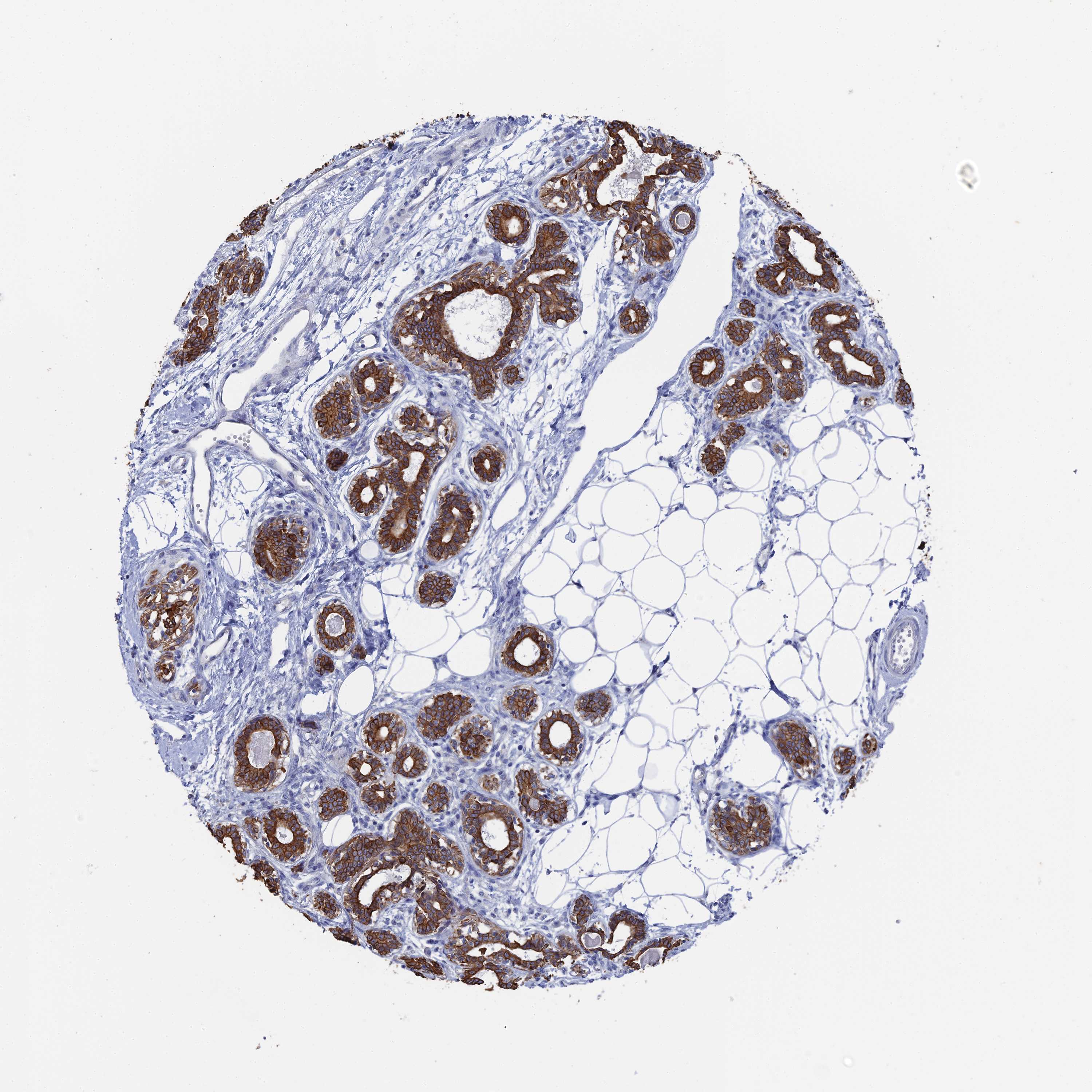
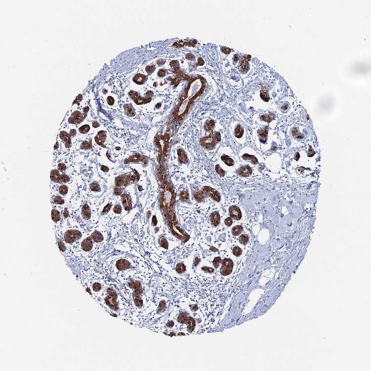
On the top, protein expression in current human tissue, based on all annotated cell types, is reported with the units not detected (n), low (l), medium (m) and high (h). Underneath, protein expression in each annotated cell type are reported using the same units.
Protein expression data is based on knowledge-based annotation. For genes where more than one antibody has been used, a collective score is set.
If knowledge-based annotation could not be performed for a gene, no data is displayed here. View antibody staining data further down this page.
A summary of mRNA expression data available for current tissue based on several datasets. The mRNA expression levels in human tissues are based on RNA-seq data generated by the Human Protein Atlas (HPA), Genotype-Tissue Expression (GTEx) portal and CAGE data generated by the FANTOM5 consortium. Consensus normalized expression (NX) levels for human tissues was created by combining the data from these three transcriptomics datasets (HPA, GTEx and FANTOM5).
The mRNA expression levels in pig are based on RNA-seq data generated by the Human Protein Atlas (HPA), and for mouse, HPA data and in situ hybridization generated by the Allen brain atlas are reported.
Scroll down to view mRNA expression data in more detail.
Antibody staining in the annotated cell types in the current human tissue is reported as not detected, low, medium, or high. This score is based on the staining intensity and fraction of stained cells.
The RNA-seq details section shows detailed information about the individual samples used for the transcript profiling and results of the RNA-seq analysis.
Information about each individual sample is listed below, including gender, age, a tissue section image and estimated fractions of cell types. pTPM (transcripts per million) values give a quantification of the gene abundance which is comparable between different genes and samples.
Glandular cells: 15 Adipocytes: 5 Other cell types: 80
Female, age 80
Breast sample 390 pTPM: 7
Cell types%
Glandular cells: 5 Adipocytes: 15 Other cell types: 80
Female, age 47
Breast sample 405 pTPM: 21.4
Cell types%
Glandular cells: 5 Adipocytes: 5 Other cell types: 90
Female, age 38
Breast sample 410 pTPM: 15.9
Cell types%
Glandular cells: 40 Adipocytes: 5 Other cell types: 55
BREAST - GTEx RNA-seqi
RNA-Seq data generated by the Genotype-Tissue Expression (GTEx) project from human tissues is reported as average pTPM. More information can be found on the GTEx portal.
Distribution across the dataset is visualized with box plots, shown as median and 25th and 75th percentiles. Points are displayed as outliers if they are above or below 1.5 times the interquartile range. pTPM values of the individual samples are presented next to the box plot.
Max pTPM: 12.2
Min pTPM: 1.9
Std pTPM: 1.8
Median pTPM: 5.8
GTEX-11WQK-2426-SM-5GU5C
50-59 years, male
12.2
GTEX-13O3O-0826-SM-5K7WE
60-69 years, female
11.7
GTEX-T2IS-1526-SM-32QPR
20-29 years, female
11.6
GTEX-11TUW-1826-SM-5BC5D
60-69 years, male
10.6
GTEX-QEG5-0726-SM-4R1JQ
20-29 years, male
10.3
GTEX-VJWN-0726-SM-3GIJ8
50-59 years, female
10.1
GTEX-W5X1-2326-SM-3GIL6
40-49 years, female
10.0
GTEX-ZF29-1926-SM-5S2P1
60-69 years, female
9.9
GTEX-13QIC-2326-SM-5LU5N
60-69 years, female
9.6
GTEX-1B932-0826-SM-73KXG
40-49 years, female
9.5
GTEX-QEL4-2126-SM-447AE
50-59 years, male
9.5
GTEX-XOT4-0726-SM-4GIAW
60-69 years, female
9.5
GTEX-U3ZH-1426-SM-4DXSR
30-39 years, male
9.4
GTEX-1313W-0826-SM-5EQ4T
50-59 years, female
9.3
GTEX-13PVQ-1026-SM-5KM3M
50-59 years, male
9.3
GTEX-15DCZ-0726-SM-69LOV
20-29 years, female
9.2
GTEX-1B8KZ-1526-SM-7DUG7
50-59 years, male
9.2
GTEX-13NZ8-0126-SM-5IJCT
60-69 years, female
9.0
GTEX-1C6VS-0726-SM-7EPHF
60-69 years, male
9.0
GTEX-TKQ2-1826-SM-33HB2
50-59 years, male
8.9
GTEX-WYVS-1726-SM-3NMAY
40-49 years, female
8.9
GTEX-ZC5H-2626-SM-5J2MG
40-49 years, female
8.9
GTEX-15EOM-5019-SM-793DK
20-29 years, female
8.8
GTEX-15G19-2126-SM-6M48J
60-69 years, male
8.8
GTEX-X4EP-2926-SM-3P5YQ
60-69 years, female
8.8
GTEX-ZTTD-1026-SM-51MRD
50-59 years, male
8.8
GTEX-R3RS-0626-SM-48FE1
40-49 years, female
8.7
GTEX-T6MN-0726-SM-32PML
50-59 years, male
8.7
GTEX-14A5I-0726-SM-5TDEB
50-59 years, female
8.4
GTEX-TMMY-0726-SM-33HBE
40-49 years, female
8.4
GTEX-13SLX-2326-SM-5ZZWE
50-59 years, female
8.3
GTEX-X261-0626-SM-3NMD9
50-59 years, male
8.3
GTEX-14E6E-1326-SM-5S2NR
30-39 years, male
8.2
GTEX-17HHY-0926-SM-793C1
50-59 years, male
8.2
GTEX-WOFL-0826-SM-3MJG1
60-69 years, male
8.1
GTEX-1B933-2526-SM-7IGO5
50-59 years, female
7.9
GTEX-14E6C-1326-SM-62LEQ
40-49 years, male
7.8
GTEX-11DZ1-0326-SM-5N9BN
50-59 years, male
7.7
GTEX-1314G-1226-SM-5BC6D
30-39 years, male
7.7
GTEX-13OW5-2226-SM-5L3HC
60-69 years, male
7.7
GTEX-144GM-0926-SM-5O994
20-29 years, male
7.7
GTEX-RU72-0626-SM-46MUI
50-59 years, female
7.7
GTEX-1CAMS-1426-SM-7IGPM
40-49 years, female
7.6
GTEX-QDT8-0626-SM-48TYW
30-39 years, female
7.6
GTEX-ZAJG-0626-SM-5HL8X
50-59 years, female
7.6
GTEX-ZU9S-1926-SM-5NQBP
30-39 years, male
7.6
GTEX-ZY6K-1626-SM-5GZWV
50-59 years, male
7.6
GTEX-11EM3-1326-SM-5N9C6
20-29 years, female
7.5
GTEX-ZV7C-1826-SM-5NQ83
50-59 years, male
7.5
GTEX-1269C-2426-SM-5FQSN
60-69 years, female
7.4
GTEX-17F98-0526-SM-79OK5
40-49 years, female
7.4
GTEX-18A7A-0726-SM-7LTAI
50-59 years, female
7.4
GTEX-Q2AG-0326-SM-48U1O
40-49 years, female
7.4
GTEX-S341-1526-SM-4AD6K
40-49 years, female
7.4
GTEX-UPK5-2326-SM-3P5Z8
40-49 years, male
7.4
GTEX-ZF3C-2326-SM-5S2MZ
50-59 years, female
7.4
GTEX-146FH-0826-SM-5SI8T
50-59 years, female
7.3
GTEX-17EVP-0226-SM-79OND
40-49 years, male
7.3
GTEX-1C64O-0726-SM-7DUFU
60-69 years, male
7.3
GTEX-ZF2S-2026-SM-5E461
50-59 years, female
7.3
GTEX-111YS-1926-SM-5GICC
60-69 years, male
7.2
GTEX-11PRG-0826-SM-5EQ6A
50-59 years, male
7.2
GTEX-13VXU-2826-SM-664MA
50-59 years, male
7.2
GTEX-1AX9I-0726-SM-73KWV
60-69 years, male
7.2
GTEX-T5JC-2126-SM-32PMO
20-29 years, male
7.2
GTEX-WXYG-2226-SM-4E3IM
50-59 years, female
7.2
GTEX-ZVE2-1226-SM-5NQ8R
50-59 years, male
7.2
GTEX-ZZPU-0626-SM-5E43T
50-59 years, female
7.2
GTEX-11NV4-2026-SM-5N9DG
60-69 years, male
7.1
GTEX-17JCI-0726-SM-7EPH1
60-69 years, female
7.1
GTEX-REY6-2426-SM-48FF5
60-69 years, male
7.1
GTEX-11OF3-1926-SM-59889
60-69 years, male
7.0
GTEX-13N1W-0626-SM-5MR4U
70-79 years, male
7.0
GTEX-13OW8-0226-SM-5K7UP
60-69 years, male
7.0
GTEX-S4P3-1326-SM-4AD6V
50-59 years, female
7.0
GTEX-YFC4-1426-SM-5IFJG
40-49 years, female
7.0
GTEX-14ICK-2426-SM-6EU27
40-49 years, male
6.9
GTEX-1CB4J-1826-SM-7EWF9
60-69 years, male
6.9
GTEX-RU1J-0626-SM-4WAWY
20-29 years, female
6.9
GTEX-RUSQ-2026-SM-4GIAK
50-59 years, male
6.9
GTEX-S7SE-0826-SM-4AT4D
50-59 years, male
6.9
GTEX-WYBS-0926-SM-3NM94
60-69 years, female
6.9
GTEX-13FTY-2226-SM-5J1ND
40-49 years, female
6.8
GTEX-15ER7-1626-SM-6PAMZ
20-29 years, female
6.8
GTEX-1AX8Z-0926-SM-731AW
60-69 years, male
6.8
GTEX-1BAJH-0826-SM-7EWEF
70-79 years, male
6.8
GTEX-1CB4E-0226-SM-79OLW
60-69 years, male
6.8
GTEX-Y5V5-2126-SM-4WWFO
60-69 years, female
6.8
GTEX-11EI6-0626-SM-5985T
60-69 years, male
6.7
GTEX-1E2YA-2726-SM-7IGPW
50-59 years, male
6.7
GTEX-11EMC-2026-SM-5A5JV
60-69 years, female
6.6
GTEX-11WQC-1726-SM-5GU4W
60-69 years, male
6.6
GTEX-T2YK-2226-SM-32QPT
50-59 years, male
6.6
GTEX-TML8-1226-SM-32QON
40-49 years, female
6.6
GTEX-WI4N-1426-SM-3LK7H
40-49 years, female
6.6
GTEX-133LE-1726-SM-5K7VQ
20-29 years, female
6.5
GTEX-14753-2426-SM-5LU8U
60-69 years, male
6.5
GTEX-15UF6-0126-SM-6PAMB
70-79 years, female
6.5
GTEX-1B97I-0426-SM-79OL7
40-49 years, male
6.5
GTEX-WRHU-0326-SM-3MJFY
50-59 years, female
6.5
GTEX-XUZC-1626-SM-4BRVP
30-39 years, female
6.5
GTEX-XYKS-1326-SM-4BRUN
60-69 years, female
6.5
GTEX-11P81-1926-SM-5BC53
30-39 years, female
6.4
GTEX-13113-1726-SM-5GCOO
60-69 years, female
6.4
GTEX-13NZ9-1026-SM-5MR5K
50-59 years, male
6.4
GTEX-1AX9J-1126-SM-731B7
60-69 years, male
6.4
GTEX-U412-1826-SM-4DXTJ
60-69 years, male
6.4
GTEX-X4XY-0926-SM-4E3JD
60-69 years, male
6.4
GTEX-13PL6-2926-SM-5L3I2
40-49 years, female
6.3
GTEX-15ETS-0626-SM-7KUMX
40-49 years, female
6.3
GTEX-RWS6-1926-SM-47JXY
60-69 years, female
6.3
GTEX-YJ8O-2226-SM-5IFHW
40-49 years, female
6.3
GTEX-ZVTK-0326-SM-51MRR
20-29 years, male
6.3
GTEX-11GS4-2126-SM-5A5KR
60-69 years, male
6.2
GTEX-1211K-1926-SM-5EQLB
60-69 years, female
6.2
GTEX-13NZB-2126-SM-5MR4Y
30-39 years, male
6.2
GTEX-13O3P-0826-SM-5L3DH
50-59 years, male
6.2
GTEX-Y114-2026-SM-4TT7L
50-59 years, female
6.2
GTEX-Y3IK-2326-SM-4WWDT
50-59 years, female
6.2
GTEX-13O3Q-2226-SM-5KM4O
50-59 years, male
6.1
GTEX-18QFQ-0826-SM-718AX
30-39 years, male
6.1
GTEX-1A3MV-1626-SM-731C1
30-39 years, male
6.1
GTEX-1B8KE-1226-SM-73KWK
50-59 years, male
6.1
GTEX-XBED-1626-SM-47JYN
60-69 years, male
6.1
GTEX-ZUA1-1526-SM-59HLS
40-49 years, male
6.1
GTEX-131YS-0626-SM-5EGKL
60-69 years, female
6.0
GTEX-15FZZ-0726-SM-7KUFZ
30-39 years, female
6.0
GTEX-15UF7-0726-SM-6M46D
40-49 years, male
6.0
GTEX-ZVZQ-0826-SM-51MRF
60-69 years, female
6.0
GTEX-1117F-2826-SM-5GZXL
60-69 years, female
5.9
GTEX-1192X-2326-SM-5987X
50-59 years, male
5.9
GTEX-13N11-1726-SM-5J1OJ
50-59 years, female
5.9
GTEX-14AS3-1626-SM-5S2OY
40-49 years, female
5.9
GTEX-14LLW-0626-SM-62LFC
70-79 years, female
5.9
GTEX-18465-2026-SM-718AP
50-59 years, male
5.9
GTEX-1CB4G-2326-SM-79OOI
60-69 years, male
5.9
GTEX-UJHI-1426-SM-3DB9C
50-59 years, female
5.9
GTEX-ZDXO-0126-SM-5S2ND
60-69 years, male
5.9
GTEX-ZLV1-1426-SM-4WWES
60-69 years, female
5.9
GTEX-ZVT4-1026-SM-57WC4
50-59 years, female
5.9
GTEX-11TT1-2126-SM-5GU5Y
20-29 years, male
5.8
GTEX-12WSM-1726-SM-5BC6J
60-69 years, male
5.8
GTEX-12ZZX-1126-SM-5EGKB
40-49 years, female
5.8
GTEX-131XW-0726-SM-5EGK3
50-59 years, female
5.8
GTEX-15SHW-1326-SM-6PAL8
60-69 years, male
5.8
GTEX-1B97J-0426-SM-79OLQ
50-59 years, female
5.8
GTEX-1C6VQ-0426-SM-79OOX
50-59 years, male
5.8
GTEX-T6MO-0326-SM-32QOK
40-49 years, female
5.8
GTEX-Y5LM-1726-SM-4VDSX
40-49 years, female
5.8
GTEX-ZWKS-2826-SM-5NQ74
30-39 years, male
5.8
GTEX-11P7K-0726-SM-5EGKX
30-39 years, male
5.7
GTEX-17HG3-0126-SM-7IGNH
30-39 years, female
5.7
GTEX-R53T-1526-SM-48FEK
50-59 years, female
5.7
GTEX-ZVT2-1826-SM-5NQ8W
50-59 years, female
5.7
GTEX-13W3W-1226-SM-5LU4H
60-69 years, female
5.6
GTEX-17F97-2526-SM-7EWDV
50-59 years, male
5.6
GTEX-1A8G7-2426-SM-731AK
60-69 years, male
5.6
GTEX-XV7Q-2326-SM-4BRVZ
40-49 years, female
5.6
GTEX-ZXES-0826-SM-5E43C
30-39 years, female
5.6
GTEX-17EUY-1926-SM-7DUF6
20-29 years, male
5.5
GTEX-17HGU-1326-SM-79OKB
50-59 years, male
5.5
GTEX-XMD2-0926-SM-4WWEF
60-69 years, female
5.5
GTEX-12WSK-2226-SM-5GCO5
40-49 years, female
5.4
GTEX-13SLW-2526-SM-62LDQ
70-79 years, male
5.4
GTEX-147F4-2826-SM-5NQBN
50-59 years, male
5.4
GTEX-TKQ1-0226-SM-33HB5
30-39 years, male
5.4
GTEX-WYJK-1326-SM-3NB2T
50-59 years, male
5.4
GTEX-11DXY-2326-SM-5GICW
60-69 years, male
5.3
GTEX-13QJ3-0826-SM-7DHKK
50-59 years, male
5.3
GTEX-13W46-0826-SM-5LU3H
50-59 years, male
5.3
GTEX-17MF6-0326-SM-7EPH5
40-49 years, male
5.3
GTEX-U3ZN-1926-SM-4DXSG
30-39 years, female
5.3
GTEX-ZYFC-0826-SM-5E44K
50-59 years, male
5.3
GTEX-1122O-1226-SM-5H113
60-69 years, female
5.2
GTEX-13CF2-2026-SM-5K7VI
60-69 years, male
5.2
GTEX-13PVR-2226-SM-7DHKP
60-69 years, female
5.2
GTEX-14PKU-0426-SM-6EU1P
40-49 years, female
5.2
GTEX-16NGA-0826-SM-718AF
40-49 years, female
5.2
GTEX-17GQL-0326-SM-7LG5U
60-69 years, male
5.2
GTEX-S33H-0326-SM-4AD6N
30-39 years, male
5.2
GTEX-WFON-1826-SM-3GILG
40-49 years, male
5.2
GTEX-XUW1-2326-SM-4BOO5
50-59 years, female
5.2
GTEX-13CF3-2126-SM-5IFJP
60-69 years, female
5.1
GTEX-13FHO-0826-SM-5L3E8
60-69 years, male
5.1
GTEX-Y8LW-1626-SM-5IFHX
50-59 years, female
5.1
GTEX-11O72-2126-SM-5N9FO
40-49 years, male
5.0
GTEX-139T8-0826-SM-5L3DE
60-69 years, male
5.0
GTEX-144GL-2026-SM-5LU3O
50-59 years, male
5.0
GTEX-145ME-1526-SM-5Q5F2
40-49 years, female
5.0
GTEX-14DAR-1326-SM-7DUEG
50-59 years, male
5.0
GTEX-14H4A-2526-SM-5YYAY
40-49 years, female
5.0
GTEX-VUSG-2226-SM-4KKZO
50-59 years, male
5.0
GTEX-X15G-1626-SM-3NMB3
50-59 years, female
5.0
GTEX-ZPIC-1126-SM-5BC7F
40-49 years, female
5.0
GTEX-ZTX8-1226-SM-4YCE9
20-29 years, male
5.0
GTEX-11DXW-0626-SM-5N9ER
40-49 years, male
4.9
GTEX-15RJE-2626-SM-7KFT1
40-49 years, male
4.9
GTEX-17EVQ-0426-SM-7LG57
70-79 years, male
4.9
GTEX-18A7B-2626-SM-7LG55
70-79 years, male
4.9
GTEX-11LCK-2426-SM-5HL5F
30-39 years, male
4.8
GTEX-1A3MX-2726-SM-718B6
60-69 years, male
4.8
GTEX-T5JW-2026-SM-4DM63
20-29 years, female
4.8
GTEX-U8XE-0826-SM-4E3J1
30-39 years, male
4.8
GTEX-ZV6S-1826-SM-5NQ8D
40-49 years, female
4.8
GTEX-ZYW4-0826-SM-5GIDG
60-69 years, male
4.8
GTEX-S32W-2026-SM-4AD6E
50-59 years, female
4.7
GTEX-Y111-2026-SM-4SOJA
50-59 years, male
4.7
GTEX-1399U-1826-SM-5PNZ1
50-59 years, female
4.6
GTEX-13O61-1826-SM-5KM4I
60-69 years, male
4.6
GTEX-17HHE-1426-SM-7EPH4
50-59 years, male
4.6
GTEX-17KNJ-2026-SM-7LG53
50-59 years, male
4.6
GTEX-17MFQ-0926-SM-7LG4S
20-29 years, male
4.6
GTEX-18A6Q-0926-SM-7LG4N
60-69 years, male
4.6
GTEX-ZDTT-2126-SM-5S2OJ
60-69 years, male
4.6
GTEX-11ONC-2126-SM-5HL6E
60-69 years, male
4.5
GTEX-14BMU-1626-SM-5TDE7
20-29 years, female
4.5
GTEX-UTHO-1026-SM-3GAF7
60-69 years, male
4.5
GTEX-YEC3-1026-SM-5IFI5
50-59 years, male
4.5
GTEX-ZLFU-2126-SM-4WWEV
40-49 years, male
4.5
GTEX-11EQ9-1826-SM-5Q5AJ
30-39 years, male
4.4
GTEX-11NSD-0926-SM-5N9DR
20-29 years, male
4.4
GTEX-183WM-0726-SM-7LTAA
70-79 years, female
4.4
GTEX-1EKGG-2626-SM-7IGPY
60-69 years, male
4.4
GTEX-SE5C-2126-SM-4BRUJ
40-49 years, female
4.4
GTEX-ZA64-1526-SM-5CVMD
20-29 years, male
4.4
GTEX-117XS-1926-SM-5GICO
60-69 years, male
4.3
GTEX-S4Q7-1126-SM-4AD6R
20-29 years, male
4.3
GTEX-XQ8I-2426-SM-4WAXY
50-59 years, male
4.3
GTEX-YFCO-1826-SM-4W1YH
40-49 years, male
4.3
GTEX-139TU-0626-SM-5KM3X
60-69 years, male
4.2
GTEX-13D11-1026-SM-5IJFB
50-59 years, female
4.2
GTEX-145MO-0826-SM-5NQBL
60-69 years, male
4.2
GTEX-14PJO-0726-SM-69LO8
60-69 years, male
4.2
GTEX-Y8E4-1626-SM-5S2MW
40-49 years, male
4.2
GTEX-ZEX8-2226-SM-57WC6
50-59 years, male
4.2
GTEX-132AR-0826-SM-5EGK6
50-59 years, female
4.1
GTEX-145LT-0726-SM-5S2VM
40-49 years, male
4.1
GTEX-14PHY-1926-SM-5YY95
60-69 years, female
4.1
GTEX-16BQI-1026-SM-7KUEA
30-39 years, female
4.1
GTEX-Y9LG-1426-SM-5IFJZ
30-39 years, male
4.1
GTEX-11GSO-1926-SM-5A5K3
60-69 years, male
4.0
GTEX-12WSN-1326-SM-5GCNT
40-49 years, male
4.0
GTEX-132NY-0826-SM-5K7Y7
60-69 years, male
4.0
GTEX-14B4R-1226-SM-5TDDT
30-39 years, male
4.0
GTEX-14PN4-0626-SM-62LFP
50-59 years, male
4.0
GTEX-1EU9M-2826-SM-7EWFH
60-69 years, male
4.0
GTEX-S4UY-0726-SM-4AD6X
40-49 years, female
4.0
GTEX-Y5V6-2126-SM-4WWFX
60-69 years, male
4.0
GTEX-ZYT6-0126-SM-5E45J
30-39 years, male
4.0
GTEX-12KS4-0126-SM-5Q5A5
30-39 years, male
3.9
GTEX-17F96-2426-SM-7IGLN
70-79 years, male
3.9
GTEX-QVJO-1826-SM-447C9
60-69 years, female
3.9
GTEX-R55D-0826-SM-48FEA
50-59 years, male
3.9
GTEX-XMD1-0826-SM-4AT52
60-69 years, male
3.9
GTEX-13FTX-1126-SM-5N9EN
20-29 years, female
3.8
GTEX-145MN-1926-SM-5SIAI
30-39 years, male
3.8
GTEX-183FY-1126-SM-7DHLJ
20-29 years, male
3.8
GTEX-Y3I4-1526-SM-4TT7K
50-59 years, male
3.8
GTEX-11ZUS-0826-SM-5FQUY
30-39 years, male
3.7
GTEX-14E7W-0826-SM-62LEJ
70-79 years, male
3.7
GTEX-V955-2026-SM-3GAFA
60-69 years, male
3.7
GTEX-16YQH-2826-SM-6PAMY
30-39 years, male
3.6
GTEX-YB5K-1626-SM-5IFIN
40-49 years, female
3.6
GTEX-ZQUD-1926-SM-51MSA
30-39 years, male
3.6
GTEX-11P82-1326-SM-5HL62
20-29 years, male
3.5
GTEX-12BJ1-1826-SM-5HL9N
60-69 years, male
3.5
GTEX-14BMV-0626-SM-793AU
50-59 years, male
3.5
GTEX-QMRM-1626-SM-4R1KV
50-59 years, male
3.5
GTEX-145MF-2226-SM-7EPIR
50-59 years, male
3.4
GTEX-XGQ4-0926-SM-4AT4U
50-59 years, male
3.4
GTEX-ZDYS-1126-SM-5K7UB
50-59 years, male
3.4
GTEX-11DXZ-1926-SM-5GZZL
50-59 years, male
3.3
GTEX-14PJ4-2126-SM-6ETZJ
60-69 years, male
3.3
GTEX-1AMEY-1026-SM-718AA
30-39 years, female
3.3
GTEX-117YX-1426-SM-5H12H
50-59 years, male
3.2
GTEX-1CAMR-1426-SM-793BO
20-29 years, male
3.2
GTEX-WY7C-2726-SM-3NB3P
50-59 years, male
3.2
GTEX-ZQG8-0726-SM-5P9H9
60-69 years, female
3.2
GTEX-ZT9W-2026-SM-51MRA
50-59 years, male
3.2
GTEX-PSDG-1626-SM-48TCQ
50-59 years, male
3.1
GTEX-XQ3S-1326-SM-4BOPQ
20-29 years, male
3.1
GTEX-ZZ64-1226-SM-5E43R
20-29 years, male
3.1
GTEX-139T6-1626-SM-5PNYZ
50-59 years, male
3.0
GTEX-18D9A-1526-SM-7LG4J
30-39 years, female
3.0
GTEX-11ZTT-2326-SM-5EQLG
60-69 years, female
2.9
GTEX-ZAB4-2526-SM-5HL8M
40-49 years, male
2.8
GTEX-13FTW-1426-SM-5LZWZ
40-49 years, male
2.7
GTEX-11I78-2226-SM-5PNYA
50-59 years, female
2.3
GTEX-YB5E-1726-SM-5IFJ3
40-49 years, male
2.1
GTEX-XMK1-1126-SM-4IHJ8
40-49 years, male
1.9
Show allShow less
BREAST - FANTOM5 CAGEi
RNA expression in human tissues obtained through Cap Analysis of Gene Expression (CAGE) generated by the FANTOM5 project are reported as Scaled Tags Per Million.