We use cookies to enhance the usability of our website. If you continue, we'll assume that you are happy to receive all cookies. More information. Don't show this again.
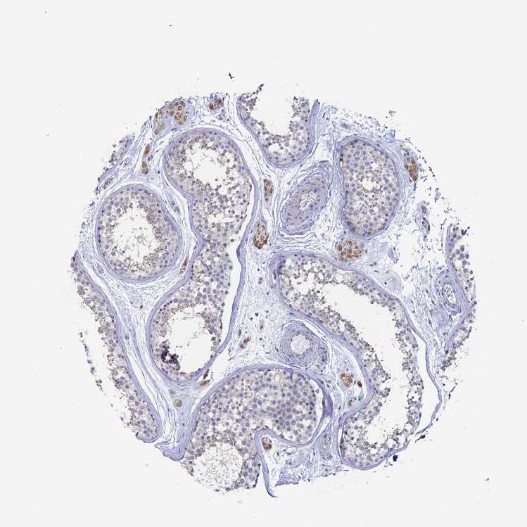
On the top, protein expression in current human tissue, based on all annotated cell types, is reported with the units not detected (n), low (l), medium (m) and high (h). Underneath, protein expression in each annotated cell type are reported using the same units.
Protein expression data is based on knowledge-based annotation. For genes where more than one antibody has been used, a collective score is set.
If knowledge-based annotation could not be performed for a gene, no data is displayed here. View antibody staining data further down this page.
A summary of mRNA expression data available for current tissue based on several datasets. The mRNA expression levels in human tissues are based on RNA-seq data generated by the Human Protein Atlas (HPA), Genotype-Tissue Expression (GTEx) portal and CAGE data generated by the FANTOM5 consortium. Consensus normalized expression (NX) levels for human tissues was created by combining the data from these three transcriptomics datasets (HPA, GTEx and FANTOM5).
The mRNA expression levels in pig are based on RNA-seq data generated by the Human Protein Atlas (HPA), and for mouse, HPA data and in situ hybridization generated by the Allen brain atlas are reported.
Scroll down to view mRNA expression data in more detail.
Antibody staining in the annotated cell types in the current human tissue is reported as not detected, low, medium, or high. This score is based on the staining intensity and fraction of stained cells.
The RNA-seq details section shows detailed information about the individual samples used for the transcript profiling and results of the RNA-seq analysis.
Information about each individual sample is listed below, including gender, age, a tissue section image and estimated fractions of cell types. pTPM (transcripts per million) values give a quantification of the gene abundance which is comparable between different genes and samples.
Cells in seminiferous ducts: 65 Other cell types: 35
Male, age 34
Testis sample 278 pTPM: 10.7
Cell types%
Cells in seminiferous ducts: 75 Other cell types: 25
Male, age 62
Testis sample 279 pTPM: 9.7
Cell types%
Cells in seminiferous ducts: 70 Other cell types: 30
Male, age 34
Testis sample 280 pTPM: 10.2
Cell types%
Cells in seminiferous ducts: 60 Other cell types: 40
Male, age 26
Testis sample 281 pTPM: 10.7
Cell types%
Cells in seminiferous ducts: 55 Other cell types: 45
Male, age 50
Testis sample 282 pTPM: 10.2
Cell types%
Cells in seminiferous ducts: 85 Other cell types: 15
Male, age 37
Testis sample 283 pTPM: 9.7
Cell types%
Cells in seminiferous ducts: 35 Other cell types: 65
Male, age 51
Testis sample 349 pTPM: 14.3
Cell types%
Cells in seminiferous ducts: 65 Other cell types: 35
Male, age 34
Testis sample 354 pTPM: 10.8
Cell types%
Cells in seminiferous ducts: 70 Other cell types: 30
Male, age 26
Testis sample 371 pTPM: 10.2
Cell types%
Cells in seminiferous ducts: 75 Other cell types: 25
TESTIS - GTEx RNA-seqi
RNA-Seq data generated by the Genotype-Tissue Expression (GTEx) project from human tissues is reported as average pTPM. More information can be found on the GTEx portal.
Distribution across the dataset is visualized with box plots, shown as median and 25th and 75th percentiles. Points are displayed as outliers if they are above or below 1.5 times the interquartile range. pTPM values of the individual samples are presented next to the box plot.
Max pTPM: 7.6
Min pTPM: 2.4
Std pTPM: 0.9
Median pTPM: 5.0
GTEX-11TT1-2226-SM-5GU6B
20-29 years, male
7.6
GTEX-183FY-1926-SM-7KFRI
20-29 years, male
7.6
GTEX-RM2N-1326-SM-48FCW
50-59 years, male
7.5
GTEX-OXRL-2126-SM-3NM98
50-59 years, male
7.4
GTEX-ZV7C-2026-SM-5NQ8F
50-59 years, male
7.4
GTEX-14E1K-1926-SM-73KWS
50-59 years, male
7.2
GTEX-1CAMR-1526-SM-79OLP
20-29 years, male
7.2
GTEX-17MFQ-0826-SM-793C8
20-29 years, male
7.1
GTEX-WY7C-2226-SM-4ONCS
50-59 years, male
7.1
GTEX-15G19-1326-SM-6LPIR
60-69 years, male
7.0
GTEX-131XE-0426-SM-5IJF4
50-59 years, male
6.9
GTEX-1C64O-2126-SM-7IGPB
60-69 years, male
6.9
GTEX-1A3MV-0726-SM-72D5M
30-39 years, male
6.8
GTEX-147GR-0626-SM-5S2PK
60-69 years, male
6.6
GTEX-14DAR-1126-SM-793AT
50-59 years, male
6.6
GTEX-17HGU-0726-SM-7DUFN
50-59 years, male
6.6
GTEX-1B996-2326-SM-731EC
60-69 years, male
6.6
GTEX-WHSB-2126-SM-4M1XF
50-59 years, male
6.6
GTEX-ZUA1-2726-SM-59HLJ
40-49 years, male
6.6
GTEX-11WQC-2326-SM-5EQKE
60-69 years, male
6.4
GTEX-12BJ1-1326-SM-5BC5P
60-69 years, male
6.4
GTEX-13FTW-1326-SM-5LZZD
40-49 years, male
6.4
GTEX-13NZB-2026-SM-5MR4M
30-39 years, male
6.4
GTEX-145MO-0126-SM-5S2QU
60-69 years, male
6.4
GTEX-XBED-2026-SM-4AT5D
60-69 years, male
6.4
GTEX-14BIL-2226-SM-73KWF
50-59 years, male
6.3
GTEX-17HHE-1226-SM-793C6
50-59 years, male
6.3
GTEX-18A6Q-2626-SM-7KFT3
60-69 years, male
6.3
GTEX-OIZH-2126-SM-3NB1P
50-59 years, male
6.3
GTEX-SNOS-1126-SM-4DM67
40-49 years, male
6.3
GTEX-Y3I4-2026-SM-4TT6Z
50-59 years, male
6.3
GTEX-ZVTK-0126-SM-57WDG
20-29 years, male
6.3
GTEX-14E6E-1026-SM-664N9
30-39 years, male
6.2
GTEX-1AX9K-1826-SM-731CY
50-59 years, male
6.2
GTEX-ZYT6-2726-SM-5GICP
30-39 years, male
6.2
GTEX-12WSM-1326-SM-5GCP9
60-69 years, male
6.1
GTEX-1AYCT-1026-SM-79ONR
50-59 years, male
6.1
GTEX-S4Q7-1226-SM-4AD5I
20-29 years, male
6.1
GTEX-V1D1-2126-SM-4JBH4
50-59 years, male
6.1
GTEX-XAJ8-1326-SM-47JYT
40-49 years, male
6.1
GTEX-YB5E-1926-SM-5IFIG
40-49 years, male
6.1
GTEX-11NSD-1026-SM-5N9BE
20-29 years, male
6.0
GTEX-139TT-2226-SM-5LZWO
60-69 years, male
6.0
GTEX-14PJ2-2026-SM-6AJAQ
50-59 years, male
6.0
GTEX-15RIF-1826-SM-6M469
20-29 years, male
6.0
GTEX-T8EM-0126-SM-4DM5R
40-49 years, male
6.0
GTEX-1B8SF-2926-SM-731DL
60-69 years, male
5.9
GTEX-1CB4G-2426-SM-7DUGM
60-69 years, male
5.9
GTEX-1GMRU-0626-SM-7MKH2
50-59 years, male
5.9
GTEX-Q2AH-1526-SM-48TZG
40-49 years, male
5.9
GTEX-ZDYS-1326-SM-5IJFF
50-59 years, male
5.9
GTEX-13OVL-0426-SM-5IFG6
50-59 years, male
5.8
GTEX-16YQH-1826-SM-6LPJW
30-39 years, male
5.8
GTEX-QLQ7-1426-SM-4R1JX
60-69 years, male
5.8
GTEX-QV31-1126-SM-4R1K4
30-39 years, male
5.8
GTEX-ZPU1-2126-SM-57WED
40-49 years, male
5.8
GTEX-117YX-2026-SM-5GIEF
50-59 years, male
5.7
GTEX-11P7K-1026-SM-5HL6Y
30-39 years, male
5.7
GTEX-12ZZY-0126-SM-5LZV2
60-69 years, male
5.7
GTEX-13O61-2026-SM-5J2M6
60-69 years, male
5.7
GTEX-16MTA-1126-SM-6LPJA
50-59 years, male
5.7
GTEX-1AX9I-1826-SM-72D5I
60-69 years, male
5.7
GTEX-YJ89-0626-SM-4TT3Z
60-69 years, male
5.7
GTEX-111YS-2026-SM-5EGGL
60-69 years, male
5.6
GTEX-11EQ9-1926-SM-5PNVV
30-39 years, male
5.6
GTEX-132QS-1226-SM-5P9GD
60-69 years, male
5.6
GTEX-1399R-1626-SM-5P9GG
30-39 years, male
5.6
GTEX-RUSQ-2126-SM-47JXK
50-59 years, male
5.6
GTEX-SNMC-1026-SM-4DM7K
20-29 years, male
5.6
GTEX-XMK1-2026-SM-4B65K
40-49 years, male
5.6
GTEX-ZTSS-1526-SM-51MTC
40-49 years, male
5.6
GTEX-11EI6-2226-SM-5EGJM
60-69 years, male
5.5
GTEX-1212Z-0326-SM-5FQSJ
60-69 years, male
5.5
GTEX-145LT-0426-SM-5LUAP
40-49 years, male
5.5
GTEX-17HHY-0726-SM-7IGM6
50-59 years, male
5.5
GTEX-14C5O-2326-SM-73KYU
60-69 years, male
5.4
GTEX-1AX9J-1226-SM-72D6P
60-69 years, male
5.4
GTEX-OHPM-2126-SM-3LK75
50-59 years, male
5.4
GTEX-QEG5-0126-SM-4R1JR
20-29 years, male
5.4
GTEX-S7SE-0326-SM-4AT5Q
50-59 years, male
5.4
GTEX-U4B1-1526-SM-4DXSL
40-49 years, male
5.4
GTEX-XGQ4-2026-SM-4AT6G
50-59 years, male
5.4
GTEX-Y5V6-1726-SM-4VDSZ
60-69 years, male
5.4
GTEX-111VG-1926-SM-5GIDO
60-69 years, male
5.3
GTEX-117XS-2026-SM-5GID1
60-69 years, male
5.3
GTEX-14E7W-0726-SM-664OK
70-79 years, male
5.3
GTEX-14PJN-1626-SM-68727
30-39 years, male
5.3
GTEX-15RJ7-1826-SM-7KUMJ
40-49 years, male
5.3
GTEX-1B8KZ-1826-SM-73KVJ
50-59 years, male
5.3
GTEX-1C64N-2826-SM-7IGP5
50-59 years, male
5.3
GTEX-1EKGG-2726-SM-79OOD
60-69 years, male
5.3
GTEX-Q2AI-1226-SM-48U14
40-49 years, male
5.3
GTEX-WH7G-1926-SM-4LVMM
40-49 years, male
5.3
GTEX-YEC4-1526-SM-4W1YU
40-49 years, male
5.3
GTEX-11NV4-1726-SM-5N9FC
60-69 years, male
5.2
GTEX-14ABY-0626-SM-5Q5C9
50-59 years, male
5.2
GTEX-17HII-0126-SM-7KFSS
50-59 years, male
5.2
GTEX-18A66-0726-SM-72D77
60-69 years, male
5.2
GTEX-18D9B-2726-SM-72D73
60-69 years, male
5.2
GTEX-1AX8Z-2826-SM-73KTZ
60-69 years, male
5.2
GTEX-1C4CL-1926-SM-731DY
30-39 years, male
5.2
GTEX-WFON-2026-SM-4LVMW
40-49 years, male
5.2
GTEX-11O72-0726-SM-5P9GO
40-49 years, male
5.1
GTEX-11P82-1526-SM-5BC5M
20-29 years, male
5.1
GTEX-12WSL-2326-SM-5DUXQ
50-59 years, male
5.1
GTEX-13111-1526-SM-5EGJX
50-59 years, male
5.1
GTEX-139T6-1226-SM-5IFFC
50-59 years, male
5.1
GTEX-13FHP-2826-SM-5IJFW
50-59 years, male
5.1
GTEX-13NYB-2226-SM-5MR58
40-49 years, male
5.1
GTEX-13O21-1226-SM-5J2MK
50-59 years, male
5.1
GTEX-145MH-2326-SM-5O9AW
50-59 years, male
5.1
GTEX-14B4R-1026-SM-5TDDS
30-39 years, male
5.1
GTEX-14PJ3-1626-SM-664O5
50-59 years, male
5.1
GTEX-15RIE-0626-SM-6M47G
60-69 years, male
5.1
GTEX-17KNJ-1126-SM-7KFT6
50-59 years, male
5.1
GTEX-18A7B-1526-SM-7KFTH
70-79 years, male
5.1
GTEX-OOBJ-2126-SM-3NB1N
60-69 years, male
5.1
GTEX-R55C-1426-SM-48FED
40-49 years, male
5.1
GTEX-RWSA-2426-SM-47JXR
40-49 years, male
5.1
GTEX-S3XE-1526-SM-4AD5A
50-59 years, male
5.1
GTEX-TKQ2-1526-SM-4DXUN
50-59 years, male
5.1
GTEX-YEC3-1726-SM-5IFIK
50-59 years, male
5.1
GTEX-11DXZ-2126-SM-59881
50-59 years, male
5.0
GTEX-13OW6-0126-SM-5IJGM
50-59 years, male
5.0
GTEX-14A6H-2326-SM-5Q5B5
30-39 years, male
5.0
GTEX-18465-1526-SM-7KFTV
50-59 years, male
5.0
GTEX-1CB4I-0926-SM-7MKFY
50-59 years, male
5.0
GTEX-OOBK-2126-SM-3LK5T
40-49 years, male
5.0
GTEX-R55D-0126-SM-48FEL
50-59 years, male
5.0
GTEX-S7PM-0626-SM-4AD4Q
60-69 years, male
5.0
GTEX-U3ZM-1626-SM-4DXSK
40-49 years, male
5.0
GTEX-Y8E4-2226-SM-5LU94
40-49 years, male
5.0
GTEX-Y9LG-1726-SM-4VBQE
30-39 years, male
5.0
GTEX-ZT9W-2226-SM-57WFU
50-59 years, male
5.0
GTEX-ZVZP-2226-SM-57WBF
50-59 years, male
5.0
GTEX-13OW8-0526-SM-5KM24
60-69 years, male
4.9
GTEX-147JS-0126-SM-5S2TW
60-69 years, male
4.9
GTEX-16AAH-1626-SM-7EWE2
50-59 years, male
4.9
GTEX-17F9E-1626-SM-7EWDB
50-59 years, male
4.9
GTEX-P4QS-2126-SM-3NMCF
60-69 years, male
4.9
GTEX-T6MN-2026-SM-4DM7L
50-59 years, male
4.9
GTEX-UPJH-0126-SM-4IHLL
50-59 years, male
4.9
GTEX-WK11-0326-SM-4OOS6
50-59 years, male
4.9
GTEX-XBEC-0126-SM-4GIDT
50-59 years, male
4.9
GTEX-ZZ64-1126-SM-5GZXY
20-29 years, male
4.9
GTEX-12WSH-0326-SM-5GCNH
50-59 years, male
4.8
GTEX-13OVK-2226-SM-6LPJY
40-49 years, male
4.8
GTEX-144GM-0426-SM-5Q5C8
20-29 years, male
4.8
GTEX-145MF-1726-SM-5LU9H
50-59 years, male
4.8
GTEX-15SHV-1926-SM-6LPI1
60-69 years, male
4.8
GTEX-1A3MX-1026-SM-731F8
60-69 years, male
4.8
GTEX-1EU9M-1626-SM-7EWF2
60-69 years, male
4.8
GTEX-1F6IF-0526-SM-7MKHD
60-69 years, male
4.8
GTEX-PLZ6-1226-SM-3P5ZS
30-39 years, male
4.8
GTEX-REY6-0126-SM-48FDT
60-69 years, male
4.8
GTEX-S33H-0126-SM-4AD62
30-39 years, male
4.8
GTEX-U3ZH-1526-SM-4DXV1
30-39 years, male
4.8
GTEX-U8XE-0126-SM-4E3I3
30-39 years, male
4.8
GTEX-X5EB-2026-SM-4E3KA
40-49 years, male
4.8
GTEX-Y111-2426-SM-4TT23
50-59 years, male
4.8
GTEX-YF7O-2026-SM-4W1YE
50-59 years, male
4.8
GTEX-11GS4-2026-SM-5N9CP
60-69 years, male
4.7
GTEX-13N2G-0126-SM-5N9DV
60-69 years, male
4.7
GTEX-13OW5-2526-SM-5L3I1
60-69 years, male
4.7
GTEX-13VXU-0726-SM-5J2O7
50-59 years, male
4.7
GTEX-144GL-0726-SM-5LU4P
50-59 years, male
4.7
GTEX-16Z82-2726-SM-7KULV
60-69 years, male
4.7
GTEX-17MF6-2726-SM-7IGMZ
40-49 years, male
4.7
GTEX-18A67-1826-SM-7KFT7
50-59 years, male
4.7
GTEX-TKQ1-0926-SM-4DXU2
30-39 years, male
4.7
GTEX-V955-1926-SM-4KL1L
60-69 years, male
4.7
GTEX-WFG8-1926-SM-4LVM1
20-29 years, male
4.7
GTEX-XPVG-2226-SM-4B65U
50-59 years, male
4.7
GTEX-ZYFC-0126-SM-5GIEH
50-59 years, male
4.7
GTEX-111CU-1726-SM-5EGHM
50-59 years, male
4.6
GTEX-111FC-1926-SM-5GZYC
60-69 years, male
4.6
GTEX-139TS-1726-SM-5IJG5
60-69 years, male
4.6
GTEX-14753-0626-SM-5Q5CY
60-69 years, male
4.6
GTEX-14A5H-0626-SM-5TDCO
60-69 years, male
4.6
GTEX-17GQL-1726-SM-718B8
60-69 years, male
4.6
GTEX-1CB4J-1626-SM-79OOK
60-69 years, male
4.6
GTEX-N7MS-0126-SM-3TW8O
60-69 years, male
4.6
GTEX-NPJ8-1226-SM-3MJHM
40-49 years, male
4.6
GTEX-QLQW-1026-SM-447A9
30-39 years, male
4.6
GTEX-QV44-1726-SM-4R1KG
50-59 years, male
4.6
GTEX-VJYA-1426-SM-4KL1Y
60-69 years, male
4.6
GTEX-WHSE-0426-SM-4M1XO
20-29 years, male
4.6
GTEX-WOFM-1126-SM-4OOSB
20-29 years, male
4.6
GTEX-WYJK-1826-SM-4ONDM
50-59 years, male
4.6
GTEX-ZA64-1626-SM-5CVME
20-29 years, male
4.6
GTEX-11EQ8-1426-SM-5EGJR
60-69 years, male
4.5
GTEX-12696-0226-SM-5EGL3
60-69 years, male
4.5
GTEX-13N1W-2626-SM-5IJEP
70-79 years, male
4.5
GTEX-14C39-0526-SM-664OF
40-49 years, male
4.5
GTEX-18QFQ-1926-SM-72D5H
30-39 years, male
4.5
GTEX-1C6VQ-1426-SM-73KTW
50-59 years, male
4.5
GTEX-O5YT-2126-SM-3MJGD
20-29 years, male
4.5
GTEX-R55E-0726-SM-48FCZ
20-29 years, male
4.5
GTEX-WVLH-2626-SM-4MVNV
50-59 years, male
4.5
GTEX-X3Y1-2626-SM-4PQZI
40-49 years, male
4.5
GTEX-ZT9X-1426-SM-5DUX1
40-49 years, male
4.5
GTEX-12C56-1426-SM-5FQSW
20-29 years, male
4.4
GTEX-1399T-1526-SM-5P9J6
60-69 years, male
4.4
GTEX-144GN-1626-SM-5Q5BU
50-59 years, male
4.4
GTEX-1E2YA-2826-SM-7EPIN
50-59 years, male
4.4
GTEX-WZTO-0326-SM-4PQYZ
40-49 years, male
4.4
GTEX-1339X-1926-SM-5PNVP
40-49 years, male
4.3
GTEX-13QJ3-0226-SM-5S2PU
50-59 years, male
4.3
GTEX-1B8KE-1426-SM-7EWEL
50-59 years, male
4.3
GTEX-1E1VI-1026-SM-7MKGQ
50-59 years, male
4.3
GTEX-NFK9-0126-SM-3LK5H
40-49 years, male
4.3
GTEX-OIZI-0126-SM-3NB13
40-49 years, male
4.3
GTEX-YFCO-1726-SM-4W21S
40-49 years, male
4.3
GTEX-Z93S-1726-SM-5HL8G
50-59 years, male
4.3
GTEX-ZDTT-2026-SM-5K7TY
60-69 years, male
4.3
GTEX-11NUK-2626-SM-5A5MB
50-59 years, male
4.2
GTEX-12WSI-2126-SM-5GCMV
50-59 years, male
4.2
GTEX-QMRM-1526-SM-4R1K6
50-59 years, male
4.2
GTEX-S4Z8-2126-SM-4AD5H
60-69 years, male
4.2
GTEX-T5JC-0726-SM-4DM55
20-29 years, male
4.2
GTEX-X261-2326-SM-4PQYU
50-59 years, male
4.2
GTEX-XPT6-1626-SM-4B655
20-29 years, male
4.2
GTEX-ZQUD-2026-SM-51MSM
30-39 years, male
4.2
GTEX-11DXY-0226-SM-5H123
60-69 years, male
4.1
GTEX-14C38-0126-SM-5YY9V
50-59 years, male
4.1
GTEX-17F97-2726-SM-7IGQ4
50-59 years, male
4.1
GTEX-U8T8-1126-SM-4DXUE
60-69 years, male
4.1
GTEX-ZLFU-2026-SM-4WWG2
40-49 years, male
4.1
GTEX-11ONC-2226-SM-5HL6D
60-69 years, male
4.0
GTEX-11ZUS-2726-SM-5FQUA
30-39 years, male
4.0
GTEX-147F4-0626-SM-5LUAK
50-59 years, male
4.0
GTEX-14PJ4-1726-SM-664OC
60-69 years, male
4.0
GTEX-15SKB-0326-SM-6M477
60-69 years, male
4.0
GTEX-PW2O-1426-SM-48TCD
20-29 years, male
4.0
GTEX-RN64-2326-SM-48FDW
50-59 years, male
4.0
GTEX-ZAB4-0126-SM-5CVMG
40-49 years, male
4.0
GTEX-13112-0226-SM-5P9IV
50-59 years, male
3.9
GTEX-13O1R-0726-SM-5IJEI
60-69 years, male
3.9
GTEX-XLM4-1526-SM-4AT6D
60-69 years, male
3.8
GTEX-ZAB5-2426-SM-5CVMW
50-59 years, male
3.8
GTEX-117YW-1526-SM-5EGGP
50-59 years, male
3.7
GTEX-13FLW-2126-SM-5N9FD
50-59 years, male
3.7
GTEX-ZTX8-1126-SM-51MRM
20-29 years, male
3.7
GTEX-13OVH-0726-SM-5N9BU
70-79 years, male
3.6
GTEX-148VJ-2526-SM-5TDEI
70-79 years, male
3.6
GTEX-14PHX-1426-SM-69LPP
50-59 years, male
3.6
GTEX-16XZZ-0626-SM-6M47T
60-69 years, male
3.6
GTEX-1C6VR-1526-SM-7MKG9
60-69 years, male
3.6
GTEX-PLZ5-1526-SM-3P5ZX
50-59 years, male
3.6
GTEX-S95S-1126-SM-4B64E
60-69 years, male
3.6
GTEX-XQ3S-2726-SM-4BOP2
20-29 years, male
3.6
GTEX-11LCK-2326-SM-5HL53
30-39 years, male
3.5
GTEX-11OF3-1826-SM-5987N
60-69 years, male
3.4
GTEX-11TUW-2226-SM-5EQL9
60-69 years, male
3.3
GTEX-1C6VS-1126-SM-7EWEW
60-69 years, male
3.1
GTEX-1BAJH-0726-SM-7IGMF
70-79 years, male
3.0
GTEX-QEG4-0126-SM-48TZE
30-39 years, male
3.0
GTEX-13NZA-2526-SM-5IJFX
60-69 years, male
2.9
GTEX-WVJS-2726-SM-4MVNU
50-59 years, male
2.4
Show allShow less
TESTIS - FANTOM5 CAGEi
RNA expression in human tissues obtained through Cap Analysis of Gene Expression (CAGE) generated by the FANTOM5 project are reported as Scaled Tags Per Million.