We use cookies to enhance the usability of our website. If you continue, we'll assume that you are happy to receive all cookies. More information. Don't show this again.
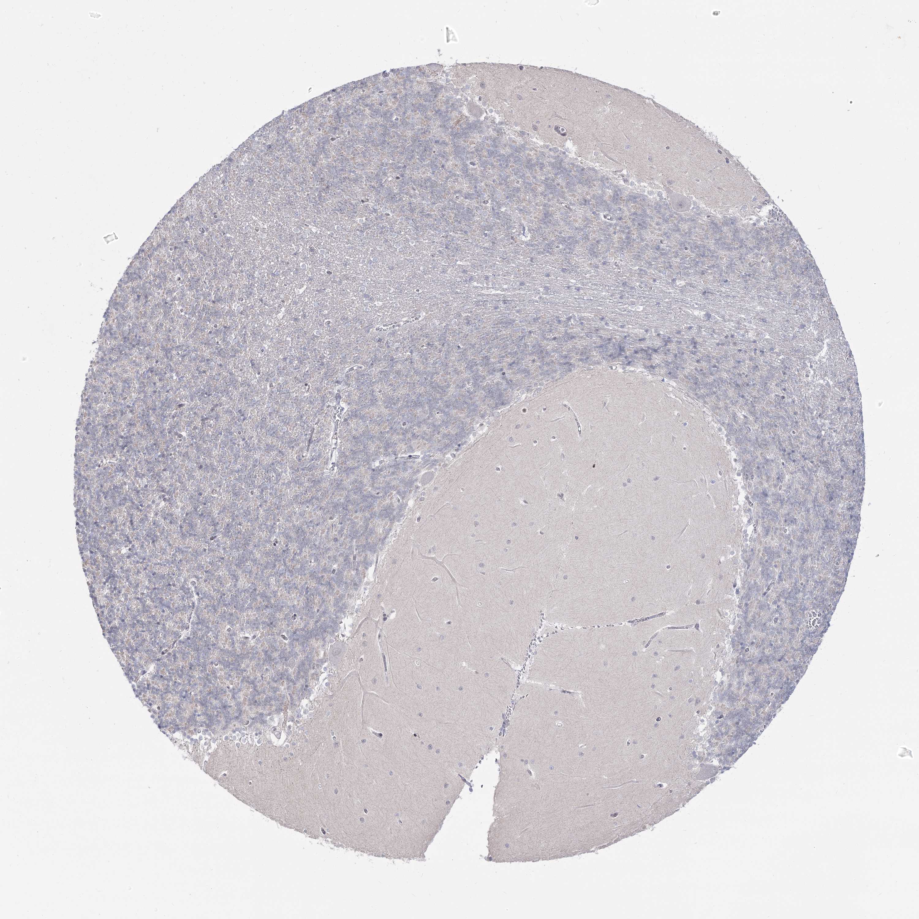
On the top, protein expression in current human tissue, based on all annotated cell types, is reported with the units not detected (n), low (l), medium (m) and high (h). Underneath, protein expression in each annotated cell type are reported using the same units.
Protein expression data is based on knowledge-based annotation. For genes where more than one antibody has been used, a collective score is set.
If knowledge-based annotation could not be performed for a gene, no data is displayed here. View antibody staining data further down this page.
A summary of mRNA expression data available for current tissue based on several datasets. The mRNA expression levels in human tissues are based on RNA-seq data generated by the Human Protein Atlas (HPA), Genotype-Tissue Expression (GTEx) portal and CAGE data generated by the FANTOM5 consortium. Consensus normalized expression (NX) levels for human tissues was created by combining the data from these three transcriptomics datasets (HPA, GTEx and FANTOM5).
The mRNA expression levels in pig are based on RNA-seq data generated by the Human Protein Atlas (HPA), and for mouse, HPA data and in situ hybridization generated by the Allen brain atlas are reported.
Scroll down to view mRNA expression data in more detail.
Antibody staining in the annotated cell types in the current human tissue is reported as not detected, low, medium, or high. This score is based on the staining intensity and fraction of stained cells.
RNA-Seq data generated by the Genotype-Tissue Expression (GTEx) project from human tissues is reported as average pTPM. More information can be found on the GTEx portal.
Distribution across the dataset is visualized with box plots, shown as median and 25th and 75th percentiles. Points are displayed as outliers if they are above or below 1.5 times the interquartile range. pTPM values of the individual samples are presented next to the box plot.
Max pTPM: 4.7
Min pTPM: 0.0
Std pTPM: 0.7
Median pTPM: 0.7
GTEX-QDT8-0011-R11A-SM-32PKD
30-39 years, female
4.7
GTEX-QMR6-0011-R11A-SM-32PKK
50-59 years, male
3.7
GTEX-17F97-0011-R11b-SM-7KFRQ
50-59 years, male
2.8
GTEX-P44H-0011-R11A-SM-2XCER
40-49 years, male
2.8
GTEX-131YS-0011-R11b-SM-5EGLM
60-69 years, female
2.2
GTEX-18465-0011-R11a-SM-72D78
50-59 years, male
2.2
GTEX-1B8SF-0011-R11a-SM-79OOP
60-69 years, male
2.2
GTEX-12WSE-0011-R11b-SM-5P9JW
20-29 years, male
2.1
GTEX-WVLH-0011-R11A-SM-3MJFO
50-59 years, male
2.1
GTEX-14DAQ-0011-R11a-SM-664NO
60-69 years, female
1.8
GTEX-X4EP-0011-R11B-SM-4QASK
60-69 years, female
1.8
GTEX-Y8DK-0011-R11A-SM-4SOK2
60-69 years, male
1.8
GTEX-11H98-0011-R11b-SM-5NQ6U
50-59 years, male
1.7
GTEX-ZAB4-0011-R11a-SM-4SOKI
40-49 years, male
1.7
GTEX-13X6K-0011-R11a-SM-5P9F5
60-69 years, female
1.6
GTEX-18464-0011-R11a-SM-72D76
50-59 years, male
1.6
GTEX-R55E-0011-R11A-SM-2TC6I
20-29 years, male
1.6
GTEX-15EO6-0011-R11b-SM-6M47M
50-59 years, male
1.5
GTEX-X585-0011-R11B-SM-46MUZ
50-59 years, male
1.5
GTEX-13CF2-0011-R11b-SM-5LZXO
60-69 years, male
1.4
GTEX-15DCD-0011-R11a-SM-6AJAF
70-79 years, female
1.4
GTEX-T6MN-0011-R11A-SM-32QOX
50-59 years, male
1.4
GTEX-TSE9-0011-R11A-SM-3DB7N
60-69 years, female
1.4
GTEX-UTHO-0011-R11A-SM-3GIJE
60-69 years, male
1.4
GTEX-13OVJ-0011-R11a-SM-5P9H8
50-59 years, female
1.3
GTEX-1A3MX-0011-R11b-SM-7DUGP
60-69 years, male
1.3
GTEX-YFC4-0011-R11a-SM-4SOK6
40-49 years, female
1.3
GTEX-11GSP-0011-R11b-SM-5NQ7V
60-69 years, female
1.2
GTEX-12WSC-0011-R11a-SM-5GU5J
50-59 years, male
1.2
GTEX-13FHP-0011-R11b-SM-5LZXP
50-59 years, male
1.2
GTEX-13VXU-0011-R11b-SM-5O9DJ
50-59 years, male
1.2
GTEX-RU72-0011-R11A-SM-5SI8G
50-59 years, female
1.2
GTEX-T5JC-0011-R11A-SM-32PMB
20-29 years, male
1.2
GTEX-ZVT3-0011-R11b-SM-57WBI
60-69 years, female
1.2
GTEX-139TT-0011-R11b-SM-5LZV1
60-69 years, male
1.1
GTEX-13FHO-0011-R11b-SM-5LZYQ
60-69 years, male
1.1
GTEX-13SLW-0011-R11a-SM-5SI8Q
70-79 years, male
1.1
GTEX-145MI-0011-R11a-SM-5P9JZ
60-69 years, female
1.1
GTEX-16Z82-0011-R11a-SM-79OKJ
60-69 years, male
1.1
GTEX-Q2AG-0011-R11A-SM-2HMKZ
40-49 years, female
1.1
GTEX-ZUA1-0011-R11b-SM-51MTI
40-49 years, male
1.1
GTEX-14C5O-0011-R11b-SM-6872H
60-69 years, male
1.0
GTEX-14E7W-0011-R11a-SM-5ZZVA
70-79 years, male
1.0
GTEX-11ZUS-0011-R11b-SM-5BC7B
30-39 years, male
0.9
GTEX-12ZZZ-0011-R11a-SM-5EGLC
60-69 years, male
0.9
GTEX-1399T-0011-R11a-SM-5J2O1
60-69 years, male
0.9
GTEX-13OVL-0011-R11b-SM-5L3G7
50-59 years, male
0.9
GTEX-13OW7-0011-R11a-SM-5O9DY
50-59 years, male
0.9
GTEX-144GL-0011-R11b-SM-5P9F6
50-59 years, male
0.9
GTEX-Z93S-0011-R11a-SM-4RGNN
50-59 years, male
0.9
GTEX-13O3Q-0011-R11b-SM-5KM2W
50-59 years, male
0.8
GTEX-14PN4-0011-R11a-SM-686ZW
50-59 years, male
0.8
GTEX-15DYW-0011-R11a-SM-6LPIT
60-69 years, female
0.8
GTEX-1AX9I-0011-R11b-SM-7DHN4
60-69 years, male
0.8
GTEX-ZDXO-0011-R11a-SM-4WWD9
60-69 years, male
0.8
GTEX-12126-0011-R11a-SM-5BC6X
20-29 years, male
0.7
GTEX-12WSI-0011-R11b-SM-5P9EZ
50-59 years, male
0.7
GTEX-131XH-0011-R11a-SM-5EGLN
50-59 years, male
0.7
GTEX-13FTY-0011-R11a-SM-5IJEA
40-49 years, female
0.7
GTEX-13OW5-0011-R11b-SM-5L3GG
60-69 years, male
0.7
GTEX-13RTJ-0011-R11a-SM-5O9CK
60-69 years, male
0.7
GTEX-13S7M-0011-R11b-SM-5P9HU
60-69 years, female
0.7
GTEX-13X6I-0011-R11a-SM-5P9HN
60-69 years, male
0.7
GTEX-14ABY-0011-R11a-SM-5SI7C
50-59 years, male
0.7
GTEX-14E6D-0011-R11b-SM-664NP
50-59 years, male
0.7
GTEX-14JIY-0011-R11b-SM-62LE8
60-69 years, male
0.7
GTEX-15CHQ-0011-R11b-SM-686ZZ
60-69 years, male
0.7
GTEX-17HII-0011-R11b-SM-7KFSX
50-59 years, male
0.7
GTEX-183WM-0011-R11a-SM-718A5
70-79 years, female
0.7
GTEX-1B8L1-0011-R11b-SM-793DJ
60-69 years, male
0.7
GTEX-ZE9C-0011-R11a-SM-4WKGG
60-69 years, male
0.7
GTEX-12ZZX-0011-R11a-SM-5DUVJ
40-49 years, female
0.6
GTEX-132Q8-0011-R11b-SM-5DUW9
60-69 years, male
0.6
GTEX-13JUV-0011-R11a-SM-5LZYH
40-49 years, female
0.6
GTEX-13X6J-0011-R11a-SM-5P9HE
50-59 years, male
0.6
GTEX-14BIM-0011-R11b-SM-5S2RN
60-69 years, female
0.6
GTEX-17HG3-0011-R11b-SM-7KFT4
30-39 years, female
0.6
GTEX-17JCI-0011-R11a-SM-7189Y
60-69 years, female
0.6
GTEX-T2IS-0011-R11A-SM-32QPC
20-29 years, female
0.6
GTEX-WHSE-0011-R11A-SM-3P5YY
20-29 years, male
0.6
GTEX-WWYW-0011-R11A-SM-3NB38
50-59 years, female
0.6
GTEX-X261-0011-R11A-SM-4E3JY
50-59 years, male
0.6
GTEX-13NYB-0011-R11a-SM-5KM3Q
40-49 years, male
0.5
GTEX-13OVH-0011-R11b-SM-5KM4X
70-79 years, male
0.5
GTEX-13OW8-0011-R11a-SM-5L3GT
60-69 years, male
0.5
GTEX-145LU-0011-R11b-SM-5P9JX
50-59 years, male
0.5
GTEX-14JG1-0011-R11a-SM-62LEE
40-49 years, male
0.5
GTEX-15ER7-0011-R11a-SM-6LPIL
20-29 years, female
0.5
GTEX-1BAJH-0011-R11b-SM-7IGLM
70-79 years, male
0.5
GTEX-N7MS-0011-R11A-SM-2HMJS
60-69 years, male
0.5
GTEX-OHPN-0011-R11A-SM-2I5FM
60-69 years, female
0.5
GTEX-WL46-0011-R11A-SM-3MJFT
50-59 years, male
0.5
GTEX-XMD1-0011-R11A-SM-4AT5J
60-69 years, male
0.5
GTEX-11OF3-0011-R11a-SM-57WCR
60-69 years, male
0.4
GTEX-12WSM-0011-R11a-SM-5DUX8
60-69 years, male
0.4
GTEX-1313W-0011-R11a-SM-5DUXN
50-59 years, female
0.4
GTEX-13N2G-0011-R11a-SM-5MR3F
60-69 years, male
0.4
GTEX-13NZA-0011-R11b-SM-5KM4W
60-69 years, male
0.4
GTEX-13PVQ-0011-R11a-SM-5O9DU
50-59 years, male
0.4
GTEX-13QIC-0011-R11b-SM-5O9BU
60-69 years, female
0.4
GTEX-17EVP-0011-R11a-SM-7EWDL
40-49 years, male
0.4
GTEX-18A6Q-0011-R11a-SM-72D6H
60-69 years, male
0.4
GTEX-12WSF-0011-R11a-SM-5LZVT
70-79 years, male
0.3
GTEX-131XW-0011-R11a-SM-5DUV9
50-59 years, female
0.3
GTEX-13G51-0011-R11b-SM-5J2NE
60-69 years, male
0.3
GTEX-13NYS-0011-R11b-SM-5MR4P
60-69 years, male
0.3
GTEX-13SLX-0011-R11b-SM-5O9C8
50-59 years, female
0.3
GTEX-14ASI-0011-R11b-SM-6AJBJ
60-69 years, male
0.3
GTEX-14BIN-0011-R11a-SM-5SI79
50-59 years, female
0.3
GTEX-NPJ7-0011-R11A-SM-2I3E8
60-69 years, female
0.3
GTEX-RVPV-0011-R11A-SM-2TF6F
60-69 years, male
0.3
GTEX-WZTO-0011-R11A-SM-4E3K9
40-49 years, male
0.3
GTEX-X4XX-0011-R11A-SM-46MWQ
60-69 years, male
0.3
GTEX-ZE7O-0011-R11a-SM-57WBC
50-59 years, female
0.3
GTEX-ZF28-0011-R11a-SM-4WWEI
60-69 years, male
0.3
GTEX-13CZV-0011-R11b-SM-5N9FN
60-69 years, male
0.2
GTEX-13FXS-0011-R11a-SM-5L3DM
50-59 years, male
0.2
GTEX-13JVG-0011-R11a-SM-5KM53
60-69 years, male
0.2
GTEX-14C39-0011-R11b-SM-5YYAF
40-49 years, male
0.2
GTEX-15G19-0011-R11b-SM-6LPIH
60-69 years, male
0.2
GTEX-16GPK-0011-R11b-SM-7MKFF
60-69 years, male
0.2
GTEX-S7SE-0011-R11A-SM-2XCDD
50-59 years, male
0.2
GTEX-YJ89-0011-R11a-SM-4SOKA
60-69 years, male
0.2
GTEX-ZVZQ-0011-R11a-SM-51MS6
60-69 years, female
0.2
GTEX-11WQC-0011-R11b-SM-57WD6
60-69 years, male
0.1
GTEX-12WSH-0011-R11a-SM-5LZVM
50-59 years, male
0.1
GTEX-13O3O-0011-R11b-SM-5KM4G
60-69 years, female
0.1
GTEX-13PLJ-0011-R11b-SM-5O9BS
60-69 years, female
0.1
GTEX-145MH-0011-R11a-SM-5P9HQ
50-59 years, male
0.1
GTEX-16XZZ-0011-R11a-SM-7EPI3
60-69 years, male
0.1
GTEX-16YQH-0011-R11b-SM-7LT98
30-39 years, male
0.1
GTEX-17EVQ-0011-R11a-SM-7LT9C
70-79 years, male
0.1
GTEX-139UW-0011-R11a-SM-5IJGN
60-69 years, male
0.0
GTEX-13FLV-0011-R11a-SM-5LZZ7
50-59 years, male
0.0
GTEX-13OW6-0011-R11a-SM-5L3H2
50-59 years, male
0.0
GTEX-NL4W-0011-R11A-SM-2I3DW
50-59 years, male
0.0
Show allShow less
Brain - Cerebellum Average pTPM: 0.7
Samples: 173
Max pTPM: 3.7
Min pTPM: 0.0
Std pTPM: 0.4
Median pTPM: 0.7
GTEX-P44H-2426-SM-2XCEJ
40-49 years, male
3.7
GTEX-1B933-3026-SM-731DB
50-59 years, female
2.6
GTEX-15EO6-2926-SM-6M48D
50-59 years, male
2.3
GTEX-QMR6-1326-SM-32PLB
50-59 years, male
2.1
GTEX-11DYG-2926-SM-5H132
60-69 years, male
1.9
GTEX-13X6J-2926-SM-7EPGP
50-59 years, male
1.8
GTEX-11O72-2826-SM-5HL6W
40-49 years, male
1.6
GTEX-14DAQ-3026-SM-5S2QZ
60-69 years, female
1.6
GTEX-QVUS-2926-SM-3GIJB
60-69 years, female
1.6
GTEX-S7SE-2526-SM-2XCDL
50-59 years, male
1.6
GTEX-T2IS-2926-SM-32QPO
20-29 years, female
1.6
GTEX-17HHY-2926-SM-79OJW
50-59 years, male
1.5
GTEX-1A8G6-3126-SM-731D8
60-69 years, male
1.5
GTEX-13QIC-3026-SM-5LU58
60-69 years, female
1.4
GTEX-1CB4H-3026-SM-79OLX
60-69 years, female
1.4
GTEX-12WSM-2126-SM-5GCOC
60-69 years, male
1.3
GTEX-17EVP-2926-SM-793BU
40-49 years, male
1.3
GTEX-N7MT-1226-SM-2D7W4
60-69 years, female
1.3
GTEX-T5JC-2326-SM-32PMR
20-29 years, male
1.3
GTEX-T6MN-2526-SM-32PMN
50-59 years, male
1.3
GTEX-ZYY3-3026-SM-5GIEJ
60-69 years, female
1.3
GTEX-11PRG-2826-SM-5BC54
50-59 years, male
1.2
GTEX-12WSE-2926-SM-5RQJ9
20-29 years, male
1.2
GTEX-13NYB-3226-SM-5J2ND
40-49 years, male
1.2
GTEX-1A3MX-2926-SM-718B7
60-69 years, male
1.2
GTEX-11TTK-2826-SM-5GU5K
60-69 years, female
1.1
GTEX-12ZZX-2826-SM-5BC6K
40-49 years, female
1.1
GTEX-13JVG-3226-SM-5IJGJ
60-69 years, male
1.1
GTEX-145MH-2926-SM-5Q5D2
50-59 years, male
1.1
GTEX-14C39-3026-SM-5S2QE
40-49 years, male
1.1
GTEX-17F97-2926-SM-7DUEQ
50-59 years, male
1.1
GTEX-1CB4G-2926-SM-7MKFQ
60-69 years, male
1.1
GTEX-Y111-2826-SM-4TT3O
50-59 years, male
1.1
GTEX-13FHP-2926-SM-5IJG9
50-59 years, male
1.0
GTEX-13X6I-2926-SM-5Q5C3
60-69 years, male
1.0
GTEX-13X6K-2826-SM-5O9DS
60-69 years, female
1.0
GTEX-145MI-3126-SM-5Q5CF
60-69 years, female
1.0
GTEX-14PJM-3026-SM-6LLHM
50-59 years, female
1.0
GTEX-R55E-2526-SM-2TC6H
20-29 years, male
1.0
GTEX-117XS-3126-SM-5GIDP
60-69 years, male
0.9
GTEX-12ZZY-2926-SM-5DUXO
60-69 years, male
0.9
GTEX-13CF2-3026-SM-5IFFX
60-69 years, male
0.9
GTEX-14ABY-3026-SM-664NE
50-59 years, male
0.9
GTEX-14JFF-2826-SM-6871Q
60-69 years, male
0.9
GTEX-15ER7-3026-SM-6M47W
20-29 years, female
0.9
GTEX-16YQH-2926-SM-6LPJE
30-39 years, male
0.9
GTEX-17EVQ-2726-SM-7EWDT
70-79 years, male
0.9
GTEX-1C6WA-3326-SM-7MKGN
60-69 years, male
0.9
GTEX-1EU9M-2926-SM-793DF
60-69 years, male
0.9
GTEX-TSE9-2926-SM-3DB77
60-69 years, female
0.9
GTEX-UTHO-2926-SM-3P5Z9
60-69 years, male
0.9
GTEX-XMD1-2826-SM-4AT5F
60-69 years, male
0.9
GTEX-ZAB4-2926-SM-57WCV
40-49 years, male
0.9
GTEX-ZUA1-2926-SM-59HL3
40-49 years, male
0.9
GTEX-11NV4-2226-SM-5BC4T
60-69 years, male
0.8
GTEX-12WSD-3026-SM-5LZU7
60-69 years, female
0.8
GTEX-13OVJ-2726-SM-5IJG6
50-59 years, female
0.8
GTEX-13OVL-3026-SM-5IJF1
50-59 years, male
0.8
GTEX-145LS-3026-SM-5O99S
60-69 years, female
0.8
GTEX-14BIM-3126-SM-5Q5C7
60-69 years, female
0.8
GTEX-14BIN-3326-SM-5Q5E6
50-59 years, female
0.8
GTEX-14E7W-2926-SM-5S2R8
70-79 years, male
0.8
GTEX-14JG1-2926-SM-686ZK
40-49 years, male
0.8
GTEX-15SHU-3026-SM-6LPIB
40-49 years, female
0.8
GTEX-NPJ8-2626-SM-2D7W2
40-49 years, male
0.8
GTEX-QDT8-3026-SM-32PKB
30-39 years, female
0.8
GTEX-X4EP-3026-SM-3P5YP
60-69 years, female
0.8
GTEX-XLM4-2926-SM-4AT59
60-69 years, male
0.8
GTEX-YJ89-2926-SM-5P9IT
60-69 years, male
0.8
GTEX-ZAK1-2926-SM-5HL9S
50-59 years, female
0.8
GTEX-ZDXO-2926-SM-4WKFM
60-69 years, male
0.8
GTEX-111FC-3326-SM-5GZYV
60-69 years, male
0.7
GTEX-11EMC-3326-SM-5P9JH
60-69 years, female
0.7
GTEX-11GSO-3026-SM-5Q5AL
60-69 years, male
0.7
GTEX-11ZUS-2826-SM-5EQKW
30-39 years, male
0.7
GTEX-11ZVC-3026-SM-59HJM
50-59 years, female
0.7
GTEX-12WSC-2926-SM-5BC5Z
50-59 years, male
0.7
GTEX-13G51-3126-SM-5IJG7
60-69 years, male
0.7
GTEX-13O3O-3026-SM-5KM42
60-69 years, female
0.7
GTEX-13OW7-2926-SM-5MR3Z
50-59 years, male
0.7
GTEX-13PVQ-2926-SM-5L3HJ
50-59 years, male
0.7
GTEX-145LU-2626-SM-5LU9Z
50-59 years, male
0.7
GTEX-147GR-3126-SM-5S2PM
60-69 years, male
0.7
GTEX-14ASI-2926-SM-5Q5DG
60-69 years, male
0.7
GTEX-14JIY-2326-SM-6AJAJ
60-69 years, male
0.7
GTEX-14PN4-3026-SM-664O4
50-59 years, male
0.7
GTEX-17HII-2926-SM-79OMK
50-59 years, male
0.7
GTEX-1C6VR-3026-SM-7IGLW
60-69 years, male
0.7
GTEX-RNOR-2226-SM-2TF5O
50-59 years, female
0.7
GTEX-RU72-2926-SM-2TF66
50-59 years, female
0.7
GTEX-11DXY-3126-SM-5N9BT
60-69 years, male
0.6
GTEX-11GSP-3126-SM-5A5LL
60-69 years, female
0.6
GTEX-131XH-2926-SM-5LZU4
50-59 years, male
0.6
GTEX-13FHO-2926-SM-5L3ES
60-69 years, male
0.6
GTEX-13JUV-3026-SM-5K7WX
40-49 years, female
0.6
GTEX-13N2G-3126-SM-5IJGL
60-69 years, male
0.6
GTEX-13S7M-3026-SM-5S2QQ
60-69 years, female
0.6
GTEX-147F4-3026-SM-5Q5BJ
50-59 years, male
0.6
GTEX-14A5I-2826-SM-5SIBF
50-59 years, female
0.6
GTEX-17HG3-2826-SM-7EPGO
30-39 years, female
0.6
GTEX-17JCI-3026-SM-7EWDR
60-69 years, female
0.6
GTEX-1A8G7-3026-SM-73KTT
60-69 years, male
0.6
GTEX-1B8SF-3026-SM-731DX
60-69 years, male
0.6
GTEX-OHPN-2626-SM-2I5H1
60-69 years, female
0.6
GTEX-PVOW-2626-SM-32PL8
40-49 years, male
0.6
GTEX-PWO3-1026-SM-2I5F2
60-69 years, female
0.6
GTEX-WVLH-2926-SM-3MJG5
50-59 years, male
0.6
GTEX-WZTO-2826-SM-3NM8P
40-49 years, male
0.6
GTEX-X261-3126-SM-4PQZC
50-59 years, male
0.6
GTEX-ZVT3-2926-SM-5GU6M
60-69 years, female
0.6
GTEX-11DXW-1026-SM-5H11K
40-49 years, male
0.5
GTEX-11ONC-3026-SM-5985W
60-69 years, male
0.5
GTEX-12ZZZ-3126-SM-5LZU6
60-69 years, male
0.5
GTEX-144GL-2926-SM-5O99F
50-59 years, male
0.5
GTEX-14C5O-2926-SM-5RQI1
60-69 years, male
0.5
GTEX-15G19-2826-SM-6M48K
60-69 years, male
0.5
GTEX-18A6Q-2826-SM-7LTAO
60-69 years, male
0.5
GTEX-WWYW-3026-SM-3NB36
50-59 years, female
0.5
GTEX-Z93S-2826-SM-57WBL
50-59 years, male
0.5
GTEX-11DZ1-2926-SM-5A5KI
50-59 years, male
0.4
GTEX-11NUK-3026-SM-5986K
50-59 years, male
0.4
GTEX-139TS-3126-SM-5LZWX
60-69 years, male
0.4
GTEX-139TT-2626-SM-5LZUB
60-69 years, male
0.4
GTEX-13OVH-2926-SM-5IJFH
70-79 years, male
0.4
GTEX-13RTJ-3126-SM-5S2Q4
60-69 years, male
0.4
GTEX-13SLX-3226-SM-5YYA6
50-59 years, female
0.4
GTEX-145MF-2826-SM-7EPGU
50-59 years, male
0.4
GTEX-14BMV-2926-SM-5TDEE
50-59 years, male
0.4
GTEX-14PJO-2926-SM-686ZI
60-69 years, male
0.4
GTEX-183WM-2726-SM-7KFRF
70-79 years, female
0.4
GTEX-18465-2926-SM-7KFSE
50-59 years, male
0.4
GTEX-1B8SG-1926-SM-73KUB
50-59 years, male
0.4
GTEX-1EWIQ-3026-SM-7IGOJ
70-79 years, female
0.4
GTEX-Q2AG-2826-SM-2HMJQ
40-49 years, female
0.4
GTEX-WHSE-2926-SM-3NMBG
20-29 years, male
0.4
GTEX-X4XX-2926-SM-3NMB1
60-69 years, male
0.4
GTEX-ZZPT-2926-SM-5EQ5S
50-59 years, male
0.4
GTEX-11EI6-2926-SM-5985U
60-69 years, male
0.3
GTEX-11ZTS-3226-SM-5EGID
60-69 years, female
0.3
GTEX-12126-0926-SM-5FQTW
20-29 years, male
0.3
GTEX-1269C-3126-SM-5EGI6
60-69 years, female
0.3
GTEX-132Q8-2926-SM-5IFFP
60-69 years, male
0.3
GTEX-1399T-3126-SM-5IJFS
60-69 years, male
0.3
GTEX-13O3Q-3026-SM-5IJGD
50-59 years, male
0.3
GTEX-13OW6-2926-SM-5KM29
50-59 years, male
0.3
GTEX-13VXU-3026-SM-5LU3K
50-59 years, male
0.3
GTEX-14E6D-2926-SM-664OP
50-59 years, male
0.3
GTEX-15DYW-3026-SM-7KFRM
60-69 years, female
0.3
GTEX-NPJ7-2826-SM-2I3FU
60-69 years, female
0.3
GTEX-QVJO-1325-SM-2S1QX
60-69 years, female
0.3
GTEX-Y8DK-0726-SM-4TT3S
60-69 years, male
0.3
GTEX-ZYFD-2926-SM-5GID9
50-59 years, male
0.3
GTEX-12696-3026-SM-5FQTU
60-69 years, male
0.2
GTEX-13112-2926-SM-5DUWT
50-59 years, male
0.2
GTEX-13FXS-3026-SM-5LZYO
50-59 years, male
0.2
GTEX-13OW8-2926-SM-5L3FV
60-69 years, male
0.2
GTEX-145MG-3126-SM-5Q5D3
50-59 years, male
0.2
GTEX-1C64N-3126-SM-79OO3
50-59 years, male
0.2
GTEX-1128S-2826-SM-5N9DI
60-69 years, female
0.1
GTEX-11OC5-0626-SM-5HL6M
60-69 years, male
0.1
GTEX-12WSH-3126-SM-5LZW8
50-59 years, male
0.1
GTEX-1313W-3026-SM-5LZUZ
50-59 years, female
0.1
GTEX-16XZZ-2926-SM-6LPK4
60-69 years, male
0.1
GTEX-16Z82-2926-SM-6LPJJ
60-69 years, male
0.1
GTEX-1E1VI-2926-SM-7IGLT
50-59 years, male
0.1
GTEX-N7MS-2526-SM-2D7W3
60-69 years, male
0.1
GTEX-WL46-2826-SM-3LK81
50-59 years, male
0.1
GTEX-YFC4-3026-SM-5IFJK
40-49 years, female
0.1
GTEX-ZF28-2926-SM-4WKG1
60-69 years, male
0.1
GTEX-1192X-3226-SM-5987D
50-59 years, male
0.0
GTEX-131YS-3026-SM-5EGHY
60-69 years, female
0.0
GTEX-13OW5-3126-SM-5MR3Y
60-69 years, male
0.0
GTEX-ZAJG-3026-SM-5HL92
50-59 years, female
0.0
Show allShow less
CEREBELLUM - FANTOM5 CAGEi
RNA expression in human tissues obtained through Cap Analysis of Gene Expression (CAGE) generated by the FANTOM5 project are reported as Scaled Tags Per Million.
Normal distribution across the dataset is visualized with box plots, shown as median and 25th and 75th percentiles. Points are displayed as outliers if they are above or below 1.5 times the interquartile range. pTPM values of the individual samples are presented next to the box plot.
Normal distribution across the dataset is visualized with box plots, shown as median and 25th and 75th percentiles. Points are displayed as outliers if they are above or below 1.5 times the interquartile range. RPKM values of the individual samples are presented next to the box plot.
In situ hybridization (ISH) data generated by the Allen brain atlas from mouse brain is reported as expression energy. For more details about a particular experiment, click on the corresponding Allen experiment ID.