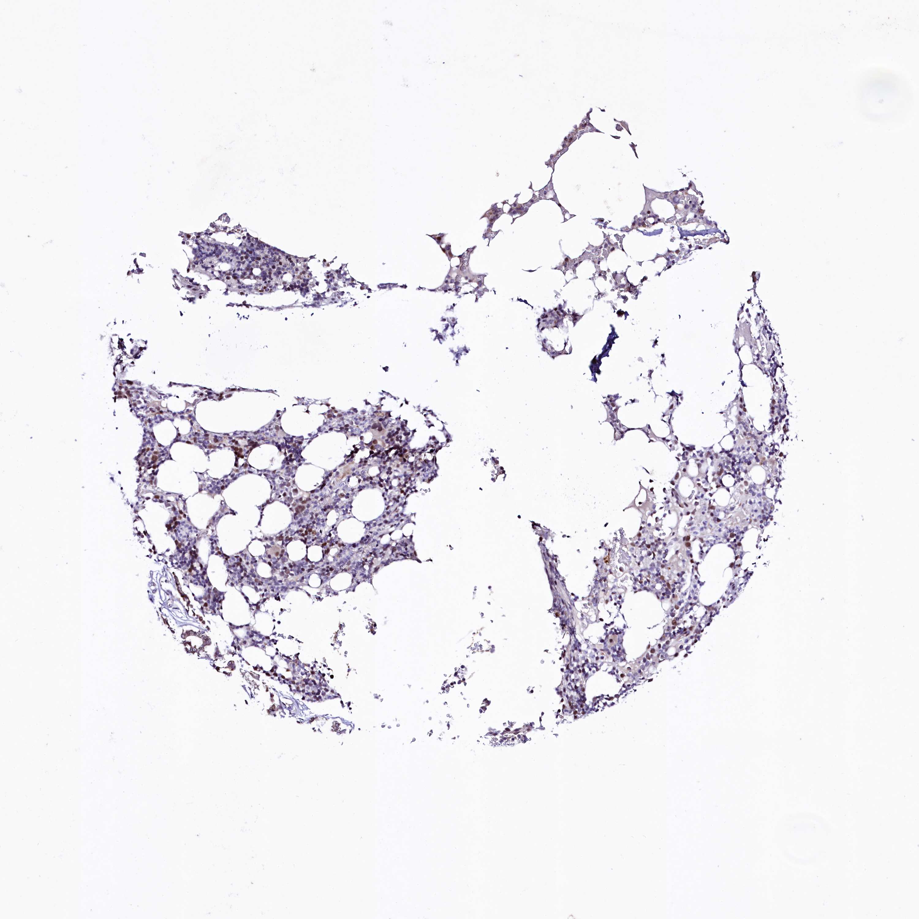
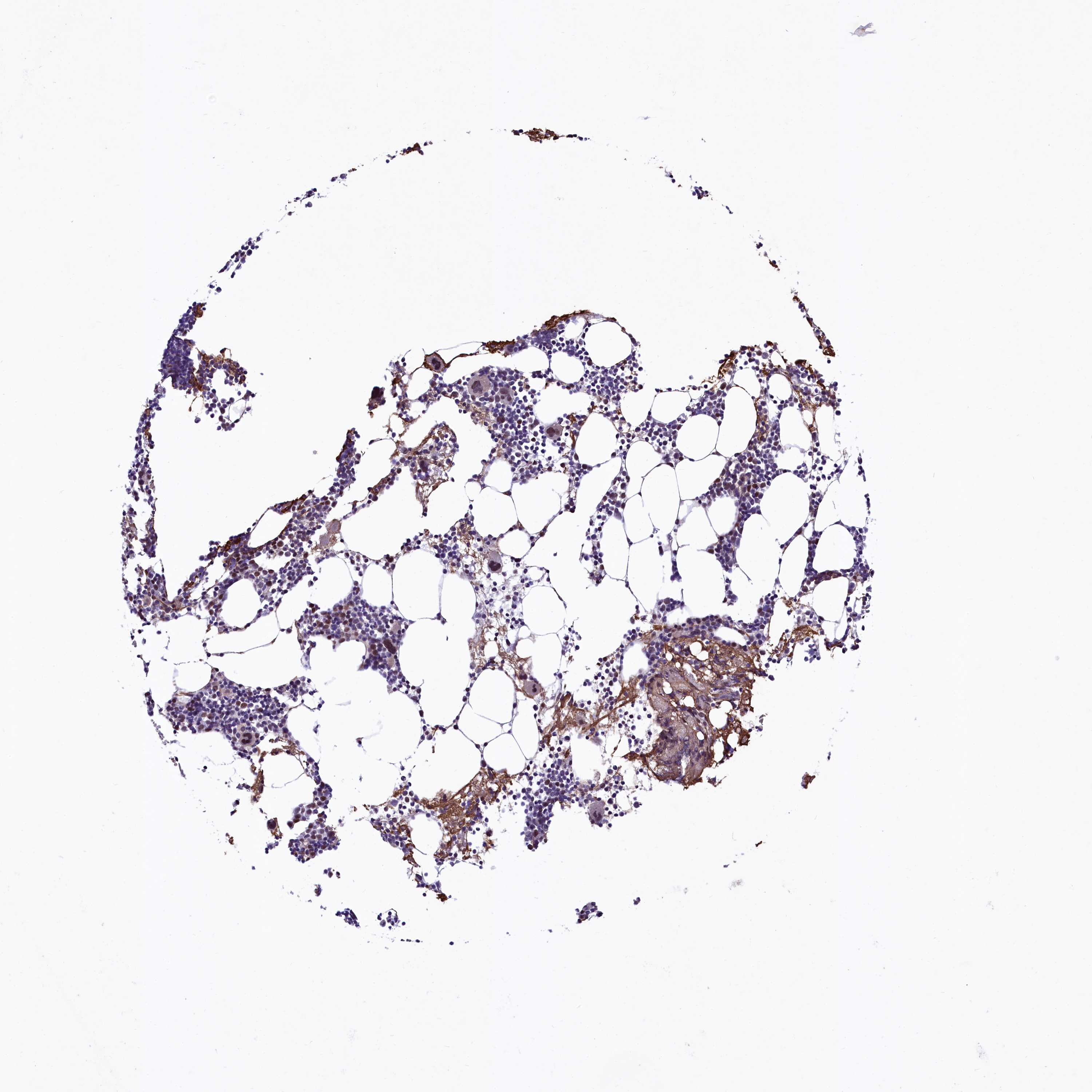
LEUTX