We use cookies to enhance the usability of our website. If you continue, we'll assume that you are happy to receive all cookies. More information. Don't show this again.
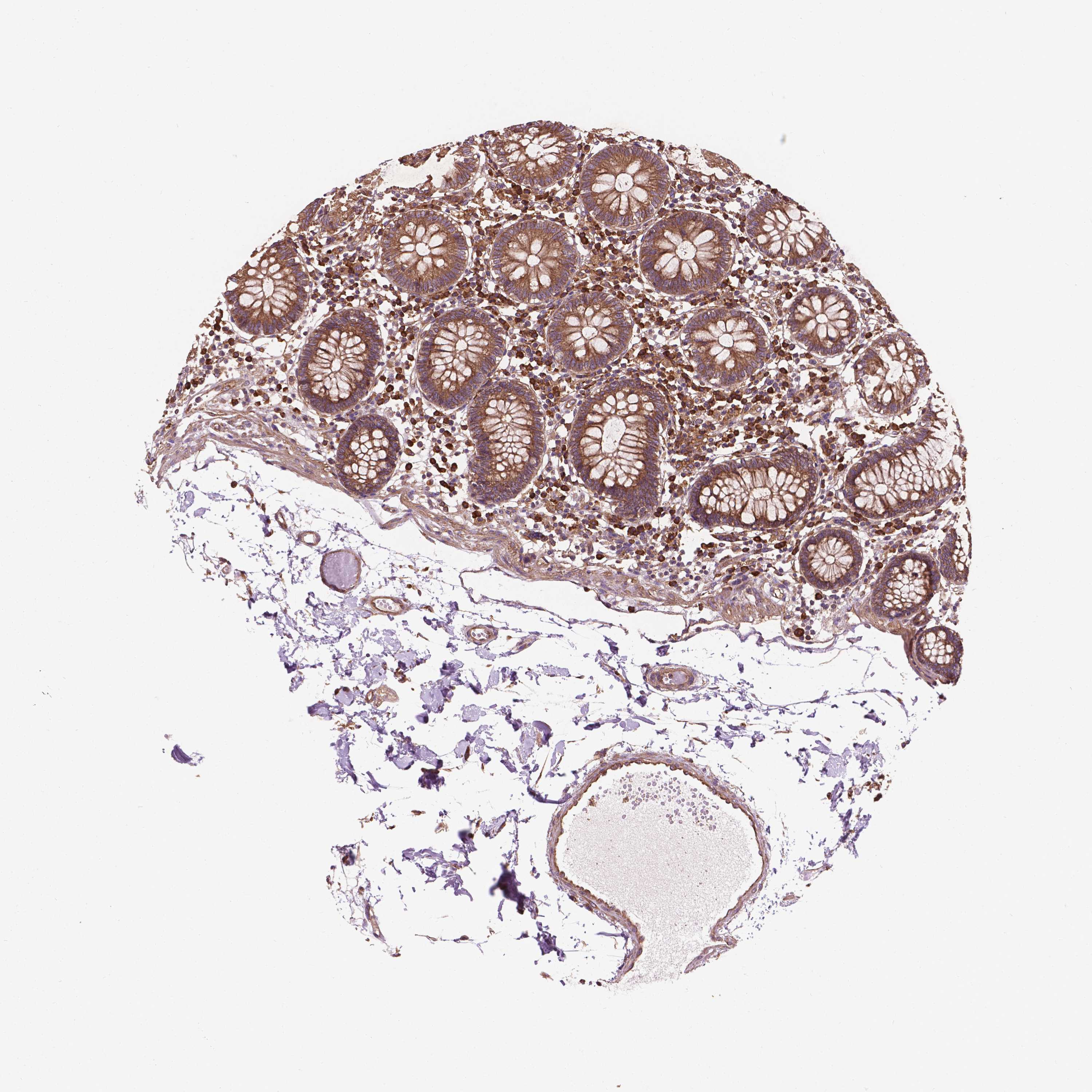
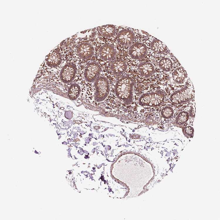
On the top, protein expression in current human tissue, based on all annotated cell types, is reported with the units not detected (n), low (l), medium (m) and high (h). Underneath, protein expression in each annotated cell type are reported using the same units.
Protein expression data is based on knowledge-based annotation. For genes where more than one antibody has been used, a collective score is set.
If knowledge-based annotation could not be performed for a gene, no data is displayed here. View antibody staining data further down this page.
A summary of mRNA expression data available for current tissue based on several datasets. The mRNA expression levels in human tissues are based on RNA-seq data generated by the Human Protein Atlas (HPA), Genotype-Tissue Expression (GTEx) portal and CAGE data generated by the FANTOM5 consortium. Consensus normalized expression (NX) levels for human tissues was created by combining the data from these three transcriptomics datasets (HPA, GTEx and FANTOM5).
The mRNA expression levels in pig are based on RNA-seq data generated by the Human Protein Atlas (HPA), and for mouse, HPA data and in situ hybridization generated by the Allen brain atlas are reported.
Scroll down to view mRNA expression data in more detail.
Antibody staining in the annotated cell types in the current human tissue is reported as not detected, low, medium, or high. This score is based on the staining intensity and fraction of stained cells.
The RNA-seq details section shows detailed information about the individual samples used for the transcript profiling and results of the RNA-seq analysis.
Information about each individual sample is listed below, including gender, age, a tissue section image and estimated fractions of cell types. pTPM (transcripts per million) values give a quantification of the gene abundance which is comparable between different genes and samples.
RNA-Seq data generated by the Genotype-Tissue Expression (GTEx) project from human tissues is reported as average pTPM. More information can be found on the GTEx portal.
Distribution across the dataset is visualized with box plots, shown as median and 25th and 75th percentiles. Points are displayed as outliers if they are above or below 1.5 times the interquartile range. pTPM values of the individual samples are presented next to the box plot.
Max pTPM: 170.1
Min pTPM: 1.8
Std pTPM: 16.4
Median pTPM: 6.3
GTEX-17EUY-1726-SM-79OK4
20-29 years, male
170.1
GTEX-ZYFD-2226-SM-5E43P
50-59 years, male
88.4
GTEX-11I78-1326-SM-5PNY9
50-59 years, female
77.1
GTEX-11WQK-2526-SM-5CVL8
50-59 years, male
73.1
GTEX-144GM-1126-SM-79OJK
20-29 years, male
71.5
GTEX-11TT1-0926-SM-5GU5M
20-29 years, male
56.3
GTEX-WFG7-1626-SM-4LVMF
20-29 years, male
51.0
GTEX-11EM3-1626-SM-5N9CO
20-29 years, female
49.2
GTEX-14PN3-1926-SM-6EU1Y
60-69 years, female
46.3
GTEX-1C475-1526-SM-7DHM3
40-49 years, female
40.1
GTEX-14BMU-1326-SM-5RQIH
20-29 years, female
37.7
GTEX-ZA64-1426-SM-5CVMC
20-29 years, male
36.9
GTEX-ZTSS-1226-SM-51MSZ
40-49 years, male
35.6
GTEX-148VJ-2426-SM-5NQ9Y
70-79 years, male
32.9
GTEX-1339X-1726-SM-5P9J9
40-49 years, male
31.0
GTEX-Y114-1626-SM-4TT7I
50-59 years, female
29.2
GTEX-14C39-1626-SM-5S2P4
40-49 years, male
25.9
GTEX-12WSJ-1426-SM-5GCON
40-49 years, female
25.8
GTEX-13OVI-2126-SM-5KM3U
60-69 years, female
25.7
GTEX-15DCZ-2826-SM-6EU2J
20-29 years, female
25.5
GTEX-Y3I4-1126-SM-4TT7Y
50-59 years, male
25.5
GTEX-12WSL-1826-SM-5LZW9
50-59 years, male
23.9
GTEX-132AR-2826-SM-5IJFV
50-59 years, female
23.7
GTEX-15RIF-1426-SM-7KUKQ
20-29 years, male
23.5
GTEX-13FH7-1626-SM-5J2O9
50-59 years, female
23.0
GTEX-ZZ64-0826-SM-5E449
20-29 years, male
22.8
GTEX-13X6I-2726-SM-5Q5ET
60-69 years, male
22.3
GTEX-15DZA-1026-SM-6PAND
30-39 years, female
21.8
GTEX-15UF7-1326-SM-7KUKV
40-49 years, male
21.7
GTEX-ZLFU-1426-SM-4WWEU
40-49 years, male
21.0
GTEX-15G19-2726-SM-6LPKG
60-69 years, male
20.4
GTEX-XBED-1726-SM-47JYO
60-69 years, male
19.6
GTEX-WI4N-2226-SM-4OOS9
40-49 years, female
19.1
GTEX-14PHX-1126-SM-5YYA5
50-59 years, male
18.9
GTEX-11TUW-2326-SM-5EQMO
60-69 years, male
18.4
GTEX-14A5H-1626-SM-5SIAN
60-69 years, male
18.1
GTEX-WRHK-1126-SM-4MVOJ
20-29 years, female
17.3
GTEX-1A3MX-2326-SM-718B4
60-69 years, male
17.2
GTEX-YJ8A-1726-SM-5P9IQ
20-29 years, male
17.0
GTEX-13O1R-2426-SM-5KLZZ
60-69 years, male
16.9
GTEX-ZLV1-1326-SM-4WWER
60-69 years, female
16.7
GTEX-1AX9J-2526-SM-73KUY
60-69 years, male
16.5
GTEX-ZAJG-2626-SM-5S2NU
50-59 years, female
16.3
GTEX-18D9A-1326-SM-7LT8P
30-39 years, female
16.2
GTEX-15F5U-1426-SM-7KUN2
40-49 years, male
15.3
GTEX-13OVJ-1826-SM-5KM2D
50-59 years, female
14.7
GTEX-WY7C-1926-SM-4ONCI
50-59 years, male
14.2
GTEX-1A3MV-1026-SM-72D5U
30-39 years, male
13.5
GTEX-WFG8-1726-SM-4LVM6
20-29 years, male
13.4
GTEX-117YX-0526-SM-5EGJH
50-59 years, male
13.2
GTEX-16BQI-2026-SM-7KULQ
30-39 years, female
13.2
GTEX-1211K-1826-SM-5EGJ2
60-69 years, female
13.0
GTEX-ZY6K-1326-SM-5GZWP
50-59 years, male
12.6
GTEX-14E6C-2226-SM-5QGQG
40-49 years, male
12.1
GTEX-183FY-1426-SM-7DHLM
20-29 years, male
12.1
GTEX-ZXES-1726-SM-5E43G
30-39 years, female
12.0
GTEX-YF7O-1626-SM-5IFII
50-59 years, male
11.9
GTEX-1AMFI-1826-SM-73KWB
50-59 years, female
11.4
GTEX-ZAB4-2426-SM-5HL8A
40-49 years, male
11.2
GTEX-1B97I-1526-SM-73KUK
40-49 years, male
11.0
GTEX-XXEK-1826-SM-4BRVC
50-59 years, male
11.0
GTEX-1122O-1426-SM-5H11R
60-69 years, female
10.8
GTEX-ZDTS-2726-SM-5L3E2
60-69 years, male
10.8
GTEX-ZVT2-1726-SM-51MRO
50-59 years, female
10.6
GTEX-15EO6-2326-SM-6LPKK
50-59 years, male
10.5
GTEX-12ZZW-2426-SM-5DUWE
50-59 years, male
10.4
GTEX-WFON-1326-SM-4LVMN
40-49 years, male
10.4
GTEX-15ER7-2826-SM-6PAN2
20-29 years, female
10.3
GTEX-13SLW-2826-SM-5Q5ES
70-79 years, male
9.9
GTEX-WXYG-1726-SM-4ONCU
50-59 years, female
9.9
GTEX-ZV6S-1126-SM-57WE9
40-49 years, female
9.8
GTEX-11VI4-1426-SM-5GU6O
40-49 years, female
9.7
GTEX-Y8LW-1126-SM-4VDS4
50-59 years, female
9.6
GTEX-13PVQ-2726-SM-5L3H7
50-59 years, male
9.5
GTEX-14JG6-1626-SM-5YYBC
30-39 years, female
9.5
GTEX-1A32A-2626-SM-73KX9
50-59 years, female
9.5
GTEX-13111-1926-SM-5GCOL
50-59 years, male
9.1
GTEX-13PVR-1726-SM-5Q5EC
60-69 years, female
9.0
GTEX-17HHE-1626-SM-7DHLN
50-59 years, male
9.0
GTEX-XV7Q-2226-SM-4BRVY
40-49 years, female
9.0
GTEX-13CF3-1326-SM-5LZXZ
60-69 years, female
8.8
GTEX-ZE9C-2126-SM-4WKGY
60-69 years, male
8.8
GTEX-X15G-1526-SM-4PQZM
50-59 years, female
8.7
GTEX-13FHO-2726-SM-5K7VG
60-69 years, male
8.6
GTEX-Y5LM-1426-SM-5RQJL
40-49 years, female
8.6
GTEX-ZVT4-2626-SM-5N9GJ
50-59 years, female
8.5
GTEX-111CU-1226-SM-5EGIN
50-59 years, male
8.4
GTEX-13VXT-2026-SM-5L3EW
20-29 years, female
8.3
GTEX-17GQL-1626-SM-7LG69
60-69 years, male
8.3
GTEX-15ETS-2326-SM-7KUGC
40-49 years, female
8.1
GTEX-WHPG-1626-SM-4M1ZL
50-59 years, male
8.1
GTEX-WQUQ-2626-SM-4MVNP
60-69 years, male
8.1
GTEX-15UF6-2726-SM-7KULY
70-79 years, female
8.0
GTEX-YEC3-2026-SM-4WWFL
50-59 years, male
8.0
GTEX-15RIE-2026-SM-7KFRW
60-69 years, male
7.9
GTEX-17MFQ-1226-SM-7KFSA
20-29 years, male
7.8
GTEX-1C2JI-1726-SM-73KUW
50-59 years, male
7.4
GTEX-11ZTT-1626-SM-5EQKR
60-69 years, female
7.3
GTEX-11ZU8-1126-SM-5EQ5K
60-69 years, male
7.3
GTEX-ZTTD-2626-SM-57WEX
50-59 years, male
7.3
GTEX-11PRG-2026-SM-5GU5F
50-59 years, male
7.2
GTEX-139D8-2926-SM-5IJBM
30-39 years, female
7.2
GTEX-1AYCT-1926-SM-793AE
50-59 years, male
7.2
GTEX-13113-1426-SM-5EGHU
60-69 years, female
7.1
GTEX-18A66-2626-SM-72D67
60-69 years, male
7.1
GTEX-12BJ1-2026-SM-5FQUH
60-69 years, male
7.0
GTEX-131XG-1526-SM-5GCNQ
50-59 years, female
7.0
GTEX-139T6-1426-SM-5P9J7
50-59 years, male
7.0
GTEX-ZPIC-2626-SM-57WE2
40-49 years, female
7.0
GTEX-14AS3-1026-SM-5TDD7
40-49 years, female
6.9
GTEX-WHWD-1526-SM-4OORV
50-59 years, male
6.8
GTEX-145LS-2926-SM-5O99G
60-69 years, female
6.6
GTEX-146FH-2426-SM-5Q5EW
50-59 years, female
6.4
GTEX-14PJ4-1826-SM-5YY97
60-69 years, male
6.4
GTEX-16NGA-0926-SM-718AG
40-49 years, female
6.4
GTEX-XUZC-1526-SM-4BRV4
30-39 years, female
6.3
GTEX-ZYY3-2226-SM-5E45A
60-69 years, female
6.3
GTEX-1477Z-2126-SM-5Q5CM
60-69 years, male
6.1
GTEX-14A5I-2426-SM-5Q5CP
50-59 years, female
6.1
GTEX-14E6E-1726-SM-5S2R6
30-39 years, male
6.1
GTEX-18QFQ-1726-SM-731C9
30-39 years, male
6.1
GTEX-Y9LG-1326-SM-4VBQB
30-39 years, male
6.1
GTEX-13O61-1526-SM-5KM3P
60-69 years, male
6.0
GTEX-13U4I-2626-SM-5SI9C
40-49 years, female
6.0
GTEX-145ME-1126-SM-5SIAT
40-49 years, female
5.8
GTEX-ZC5H-2426-SM-4WAZ6
40-49 years, female
5.8
GTEX-13QBU-2026-SM-5KLZB
40-49 years, female
5.7
GTEX-14PK6-1826-SM-69LOM
70-79 years, female
5.7
GTEX-15CHQ-2626-SM-686YZ
60-69 years, male
5.5
GTEX-ZF29-1826-SM-4WKG8
60-69 years, female
5.5
GTEX-1CB4G-2726-SM-79OO4
60-69 years, male
5.4
GTEX-ZF28-2526-SM-57WFH
60-69 years, male
5.4
GTEX-ZQG8-2426-SM-57WEE
60-69 years, female
5.4
GTEX-11DXX-1926-SM-5EGJK
60-69 years, female
5.2
GTEX-14PJ3-1226-SM-5ZZVY
50-59 years, male
5.1
GTEX-16Z82-2426-SM-7KUMS
60-69 years, male
5.1
GTEX-17F9Y-2626-SM-7IGN9
70-79 years, female
5.1
GTEX-1B932-2126-SM-7IGMU
40-49 years, female
5.1
GTEX-ZF2S-1826-SM-4WKFF
50-59 years, female
5.1
GTEX-ZYFG-1826-SM-5GZWX
60-69 years, female
5.1
GTEX-139TS-2226-SM-5J2N1
60-69 years, male
5.0
GTEX-ZT9W-1726-SM-51MS3
50-59 years, male
5.0
GTEX-111YS-1826-SM-5GIEP
60-69 years, male
4.9
GTEX-12696-1926-SM-5EGJT
60-69 years, male
4.9
GTEX-1399U-2226-SM-5KLZI
50-59 years, female
4.9
GTEX-14C5O-2626-SM-5RQI5
60-69 years, male
4.9
GTEX-15DYW-2426-SM-7KUG8
60-69 years, female
4.9
GTEX-139UW-2326-SM-5KM1Y
60-69 years, male
4.8
GTEX-11DXZ-1626-SM-5GIDI
50-59 years, male
4.7
GTEX-12KS4-2326-SM-5EGJB
30-39 years, male
4.7
GTEX-13OW5-2826-SM-5KM1G
60-69 years, male
4.7
GTEX-147JS-2626-SM-5S2UX
60-69 years, male
4.7
GTEX-14DAQ-2926-SM-664MV
60-69 years, female
4.7
GTEX-14PKV-1926-SM-686YU
20-29 years, female
4.7
GTEX-ZPCL-1626-SM-57WGC
60-69 years, female
4.7
GTEX-11EQ9-1526-SM-5PNY7
30-39 years, male
4.6
GTEX-13FTW-2126-SM-5K7YG
40-49 years, male
4.6
GTEX-1EMGI-2626-SM-7IGNR
60-69 years, male
4.6
GTEX-V955-1726-SM-4JBHF
60-69 years, male
4.6
GTEX-13OW6-2226-SM-5N9FL
50-59 years, male
4.5
GTEX-145MO-2626-SM-5QGPD
60-69 years, male
4.5
GTEX-1B8KE-1526-SM-7DUG2
50-59 years, male
4.5
GTEX-ZAB5-1426-SM-5HL9D
50-59 years, male
4.5
GTEX-13N2G-2226-SM-5IJCU
60-69 years, male
4.4
GTEX-16XZZ-2726-SM-7EWDO
60-69 years, male
4.4
GTEX-1AX9K-1626-SM-73KUS
50-59 years, male
4.4
GTEX-XAJ8-0726-SM-47JY5
40-49 years, male
4.4
GTEX-14E1K-1626-SM-664MO
50-59 years, male
4.3
GTEX-1B996-2726-SM-7DUGG
60-69 years, male
4.3
GTEX-Z93S-2626-SM-57WBX
50-59 years, male
4.3
GTEX-145LT-0826-SM-5S2QL
40-49 years, male
4.2
GTEX-17F96-2126-SM-7KFSM
70-79 years, male
4.2
GTEX-11P7K-1826-SM-5HL5A
30-39 years, male
4.1
GTEX-17HGU-2626-SM-79OKN
50-59 years, male
4.1
GTEX-ZG7Y-1826-SM-4WWD3
50-59 years, male
4.1
GTEX-117XS-2226-SM-5GIE1
60-69 years, male
4.0
GTEX-14BIN-2426-SM-5TDCF
50-59 years, female
4.0
GTEX-X4EO-2726-SM-4E3HS
60-69 years, female
4.0
GTEX-ZP4G-1526-SM-57WE5
20-29 years, female
4.0
GTEX-183WM-2526-SM-731BP
70-79 years, female
3.9
GTEX-12WSG-2426-SM-5EQLZ
50-59 years, female
3.8
GTEX-131XE-1026-SM-5EGKE
50-59 years, male
3.8
GTEX-18A6Q-2226-SM-7LG61
60-69 years, male
3.8
GTEX-1B8L1-1926-SM-7IGND
60-69 years, male
3.8
GTEX-1E2YA-2526-SM-7IGOU
50-59 years, male
3.8
GTEX-XQ8I-2326-SM-4BOQC
50-59 years, male
3.8
GTEX-ZYT6-2826-SM-5GICX
30-39 years, male
3.8
GTEX-11ZTS-1526-SM-5N9G7
60-69 years, female
3.7
GTEX-13OVK-1026-SM-7KFTC
40-49 years, male
3.7
GTEX-13X6K-2726-SM-5O9DG
60-69 years, female
3.7
GTEX-17KNJ-1826-SM-7LT9N
50-59 years, male
3.7
GTEX-11ONC-1926-SM-5GU75
60-69 years, male
3.6
GTEX-13D11-0626-SM-5LZYY
50-59 years, female
3.6
GTEX-13G51-2126-SM-5IJD9
60-69 years, male
3.6
GTEX-13PL7-2426-SM-5J2N3
60-69 years, female
3.6
GTEX-YECK-2826-SM-5IFHF
60-69 years, male
3.6
GTEX-13OW8-2726-SM-5L3FZ
60-69 years, male
3.5
GTEX-1C4CL-1626-SM-7DUF3
30-39 years, male
3.5
GTEX-YFCO-1526-SM-5YYB8
40-49 years, male
3.5
GTEX-ZPU1-1726-SM-4WWFV
40-49 years, male
3.5
GTEX-12WSD-2626-SM-5EGJE
60-69 years, female
3.4
GTEX-1399R-2126-SM-5K7WZ
30-39 years, male
3.4
GTEX-18465-2726-SM-7LT9I
50-59 years, male
3.4
GTEX-1C6VQ-2626-SM-7IGMQ
50-59 years, male
3.4
GTEX-ZVT3-2826-SM-5GU6A
60-69 years, female
3.4
GTEX-11EMC-1426-SM-5N9E4
60-69 years, female
3.3
GTEX-13RTJ-1926-SM-5YYA2
60-69 years, male
3.3
GTEX-11EI6-2626-SM-5PNVT
60-69 years, male
3.2
GTEX-11P81-1426-SM-5P9JN
30-39 years, female
3.2
GTEX-16MTA-1626-SM-6M47N
50-59 years, male
3.2
GTEX-ZVZQ-2626-SM-59HLB
60-69 years, female
3.2
GTEX-1212Z-1826-SM-5FQSH
60-69 years, male
3.1
GTEX-12WSM-1426-SM-5GCPA
60-69 years, male
3.1
GTEX-132NY-2726-SM-5PNY2
60-69 years, male
3.1
GTEX-15RJE-2226-SM-6M46A
40-49 years, male
3.1
GTEX-17JCI-2826-SM-7IGNA
60-69 years, female
3.1
GTEX-XUW1-1826-SM-4BOQD
50-59 years, female
3.1
GTEX-11DXY-2026-SM-5N9CZ
60-69 years, male
3.0
GTEX-1BAJH-2726-SM-7IGNJ
70-79 years, male
3.0
GTEX-11GS4-1826-SM-5HL4T
60-69 years, male
2.9
GTEX-145MH-2726-SM-5QGQ6
50-59 years, male
2.9
GTEX-18A67-2226-SM-7LT9Z
50-59 years, male
2.9
GTEX-12ZZY-2726-SM-5EQ45
60-69 years, male
2.8
GTEX-13X6J-2826-SM-7EPGA
50-59 years, male
2.7
GTEX-WYVS-1126-SM-4SOJX
40-49 years, female
2.7
GTEX-YJ8O-1426-SM-5PNV9
40-49 years, female
2.6
GTEX-147GR-2826-SM-5RQK8
60-69 years, male
2.4
GTEX-ZE7O-2626-SM-51MSS
50-59 years, female
2.3
GTEX-131YS-2926-SM-5EGKI
60-69 years, female
2.2
GTEX-1CB4F-1926-SM-7MKFN
60-69 years, male
2.2
GTEX-12ZZX-2726-SM-5N9FT
40-49 years, female
2.1
GTEX-17HG3-1126-SM-7DUFC
30-39 years, female
2.0
GTEX-13CF2-1826-SM-5N9GK
60-69 years, male
1.8
Show allShow less
Colon - Transverse Average pTPM: 9.8
Samples: 274
Max pTPM: 118.6
Min pTPM: 2.8
Std pTPM: 9.8
Median pTPM: 7.3
GTEX-11EQ9-1426-SM-5987G
30-39 years, male
118.6
GTEX-15DZA-0926-SM-69LQ3
30-39 years, female
63.5
GTEX-17EUY-1826-SM-7DUEZ
20-29 years, male
51.4
GTEX-11WQK-2126-SM-5EQME
50-59 years, male
43.4
GTEX-15G1A-1826-SM-7KUKO
30-39 years, male
35.2
GTEX-ZF29-1726-SM-4WKFV
60-69 years, female
32.5
GTEX-13CF3-1426-SM-5K7YY
60-69 years, female
31.8
GTEX-12WSJ-1526-SM-5GCNI
40-49 years, female
30.9
GTEX-13O61-1626-SM-5KM3T
60-69 years, male
28.1
GTEX-1339X-1626-SM-5IJDN
40-49 years, male
27.6
GTEX-14ICL-1226-SM-5S2RD
30-39 years, male
27.2
GTEX-TKQ1-0626-SM-4DXTS
30-39 years, male
27.2
GTEX-14C39-1926-SM-5ZZW5
40-49 years, male
27.0
GTEX-18D9B-2526-SM-718BN
60-69 years, male
26.9
GTEX-Y114-1526-SM-4TT79
50-59 years, female
26.6
GTEX-13O3P-2326-SM-5KM55
50-59 years, male
25.5
GTEX-XXEK-1926-SM-4BRVD
50-59 years, male
25.1
GTEX-11TUW-2026-SM-5EQL8
60-69 years, male
22.2
GTEX-QDVJ-1326-SM-48U1X
50-59 years, male
22.0
GTEX-144GM-1226-SM-5LU52
20-29 years, male
21.3
GTEX-ZTSS-1126-SM-5985O
40-49 years, male
20.9
GTEX-Y3I4-1426-SM-4TT9C
50-59 years, male
20.3
GTEX-SNOS-1226-SM-4DM5H
40-49 years, male
19.9
GTEX-ZYVF-2826-SM-5GIDK
50-59 years, female
19.3
GTEX-14ICK-1026-SM-6AJA4
40-49 years, male
19.2
GTEX-148VJ-2626-SM-5QGPI
70-79 years, male
18.8
GTEX-13OVG-1426-SM-5K7VP
60-69 years, male
18.0
GTEX-O5YT-1426-SM-3MJHC
20-29 years, male
17.1
GTEX-13W3W-2126-SM-5K7UX
60-69 years, female
17.0
GTEX-S4Q7-0826-SM-4AD5E
20-29 years, male
17.0
GTEX-WEY5-1426-SM-4LMJ3
40-49 years, female
16.1
GTEX-14H4A-1926-SM-5ZZWN
40-49 years, female
15.8
GTEX-ZXES-1626-SM-5NQ7L
30-39 years, female
15.4
GTEX-S3XE-1126-SM-4AD4N
50-59 years, male
15.3
GTEX-11TT1-1026-SM-5PNW7
20-29 years, male
15.2
GTEX-XV7Q-2126-SM-4BRVX
40-49 years, female
14.6
GTEX-ZY6K-1226-SM-5GZYL
50-59 years, male
14.5
GTEX-ZZ64-0726-SM-5GZX4
20-29 years, male
14.5
GTEX-117YX-0826-SM-5H11J
50-59 years, male
13.8
GTEX-1AX9I-2626-SM-73KU5
60-69 years, male
13.7
GTEX-T6MO-0826-SM-4DM51
40-49 years, female
13.7
GTEX-1AYCT-1826-SM-731EG
50-59 years, male
13.1
GTEX-WYJK-2226-SM-4ONDJ
50-59 years, male
12.5
GTEX-17F9E-1826-SM-7IGMC
50-59 years, male
12.4
GTEX-13X6H-1926-SM-7EWD3
50-59 years, female
12.1
GTEX-147F3-1926-SM-5SIB9
50-59 years, female
12.0
GTEX-13O3O-2526-SM-5L3DR
60-69 years, female
11.8
GTEX-S4UY-0826-SM-4AD4Z
40-49 years, female
11.7
GTEX-13FH7-1526-SM-5J2N6
50-59 years, female
11.6
GTEX-13OVJ-1726-SM-5IJDZ
50-59 years, female
11.6
GTEX-XBED-1526-SM-4AT5W
60-69 years, male
11.5
GTEX-XYKS-2226-SM-4E3IU
60-69 years, female
11.4
GTEX-13OVI-2026-SM-5J1MU
60-69 years, female
11.2
GTEX-17EVQ-1826-SM-7IGPH
70-79 years, male
11.2
GTEX-X5EB-0926-SM-46MVT
40-49 years, male
11.1
GTEX-QDVN-1326-SM-48TZ3
50-59 years, male
10.9
GTEX-144GL-2526-SM-5TDDL
50-59 years, male
10.8
GTEX-17F98-1026-SM-7IGO8
40-49 years, female
10.8
GTEX-SNMC-1126-SM-4DM5M
20-29 years, male
10.8
GTEX-11O72-2226-SM-5PNW2
40-49 years, male
10.7
GTEX-S341-1426-SM-4AD6U
40-49 years, female
10.6
GTEX-16AAH-1326-SM-7KFRG
50-59 years, male
10.5
GTEX-1A3MV-1126-SM-718BS
30-39 years, male
10.5
GTEX-132AR-2726-SM-5PNVN
50-59 years, female
10.3
GTEX-144GN-1126-SM-5LU33
50-59 years, male
10.2
GTEX-14PJ3-0926-SM-69LQG
50-59 years, male
10.2
GTEX-XMK1-1726-SM-4B64Z
40-49 years, male
10.2
GTEX-1CAMS-2526-SM-7EPH7
40-49 years, female
10.1
GTEX-QLQ7-1126-SM-4R1KN
60-69 years, male
10.1
GTEX-139YR-2126-SM-5KM11
50-59 years, male
10.0
GTEX-1AMEY-1926-SM-73KVT
30-39 years, female
10.0
GTEX-P78B-1726-SM-3P5ZV
40-49 years, female
10.0
GTEX-15UF6-2626-SM-6M466
70-79 years, female
9.6
GTEX-18D9U-1926-SM-7KFTM
40-49 years, male
9.6
GTEX-1B932-2826-SM-73KUD
40-49 years, female
9.6
GTEX-QMRM-1226-SM-447C6
50-59 years, male
9.6
GTEX-WY7C-1626-SM-4ONC8
50-59 years, male
9.5
GTEX-15CHQ-2526-SM-6EU24
60-69 years, male
9.4
GTEX-ZVP2-1526-SM-5NQ82
50-59 years, male
9.4
GTEX-14AS3-1126-SM-5Q5CR
40-49 years, female
9.3
GTEX-OIZH-1426-SM-3NB1O
50-59 years, male
9.3
GTEX-SE5C-1526-SM-4BRWU
40-49 years, female
9.3
GTEX-14E1K-1826-SM-793DT
50-59 years, male
9.2
GTEX-145ME-0826-SM-5O9AF
40-49 years, female
9.1
GTEX-OXRL-1426-SM-3NM9E
50-59 years, male
9.1
GTEX-18A66-2426-SM-7KFSQ
60-69 years, male
9.0
GTEX-RM2N-0926-SM-48FD1
50-59 years, male
9.0
GTEX-15RIE-1826-SM-6M48P
60-69 years, male
8.9
GTEX-PWCY-1026-SM-48TD4
20-29 years, female
8.9
GTEX-14PJ4-1926-SM-6LLHG
60-69 years, male
8.8
GTEX-18D9A-1126-SM-7KFRJ
30-39 years, female
8.7
GTEX-147JS-2526-SM-5S2Q8
60-69 years, male
8.6
GTEX-Q2AH-1226-SM-48TZL
40-49 years, male
8.6
GTEX-ZV7C-1526-SM-5NQ72
50-59 years, male
8.6
GTEX-ZV6S-1226-SM-59HLH
40-49 years, female
8.5
GTEX-15RIF-1326-SM-6LPKO
20-29 years, male
8.4
GTEX-1C6VQ-2726-SM-73KUL
50-59 years, male
8.4
GTEX-WFG7-1526-SM-4LVMG
20-29 years, male
8.4
GTEX-WQUQ-2526-SM-4MVNO
60-69 years, male
8.4
GTEX-ZPCL-1826-SM-57WF1
60-69 years, female
8.4
GTEX-UJMC-1326-SM-4IHLS
50-59 years, male
8.3
GTEX-ZLV1-1226-SM-4WWBX
60-69 years, female
8.3
GTEX-16NPV-2626-SM-6M484
50-59 years, female
8.2
GTEX-WHWD-1226-SM-4OOS1
50-59 years, male
8.2
GTEX-Y8LW-1226-SM-4WWDP
50-59 years, female
8.2
GTEX-15DCE-2026-SM-7KUFE
20-29 years, male
8.1
GTEX-P4PP-1426-SM-3NM9L
30-39 years, female
8.1
GTEX-14BMU-1526-SM-5TDE6
20-29 years, female
8.0
GTEX-14JG6-1726-SM-69LPL
30-39 years, female
8.0
GTEX-1B996-2626-SM-73KZ1
60-69 years, male
8.0
GTEX-R53T-1326-SM-48FCQ
50-59 years, female
8.0
GTEX-U3ZN-2126-SM-4DXU1
30-39 years, female
8.0
GTEX-ZAB4-2226-SM-5HL97
40-49 years, male
8.0
GTEX-11VI4-1526-SM-5EQKC
40-49 years, female
7.9
GTEX-QCQG-1626-SM-48U26
50-59 years, female
7.9
GTEX-YEC4-1926-SM-5IFHJ
40-49 years, male
7.9
GTEX-1122O-1526-SM-5N9CL
60-69 years, female
7.8
GTEX-11EM3-1526-SM-5A5KN
20-29 years, female
7.8
GTEX-V955-1626-SM-4JBHJ
60-69 years, male
7.8
GTEX-11TTK-2426-SM-5PNYO
60-69 years, female
7.7
GTEX-12BJ1-2126-SM-5BC5O
60-69 years, male
7.7
GTEX-12KS4-2426-SM-5LU8P
30-39 years, male
7.7
GTEX-1399U-1926-SM-5IFH7
50-59 years, female
7.7
GTEX-1C475-1626-SM-731FP
40-49 years, female
7.7
GTEX-QLQW-0426-SM-447A7
30-39 years, male
7.7
GTEX-ZGAY-2126-SM-4YCFB
40-49 years, female
7.7
GTEX-1128S-1626-SM-5H12O
60-69 years, female
7.6
GTEX-131XG-1826-SM-5LZV4
50-59 years, female
7.6
GTEX-12WSL-1626-SM-5GCMU
50-59 years, male
7.5
GTEX-13OVK-0826-SM-7KULZ
40-49 years, male
7.5
GTEX-Y5LM-1526-SM-4VDTA
40-49 years, female
7.5
GTEX-ZYFG-1926-SM-5GID5
60-69 years, female
7.5
GTEX-133LE-1526-SM-5IFEN
20-29 years, female
7.4
GTEX-145MN-1726-SM-5SIA6
30-39 years, male
7.4
GTEX-R55G-1226-SM-48FDC
40-49 years, female
7.4
GTEX-VJYA-2026-SM-4KL1K
60-69 years, male
7.4
GTEX-17HHE-1826-SM-79OKE
50-59 years, male
7.3
GTEX-OXRK-1726-SM-3NB16
50-59 years, female
7.3
GTEX-1399S-1926-SM-5J2M5
30-39 years, female
7.2
GTEX-16NGA-1026-SM-7KFS3
40-49 years, female
7.2
GTEX-PLZ5-1126-SM-3P613
50-59 years, male
7.2
GTEX-17MF6-2426-SM-7LTAM
40-49 years, male
7.1
GTEX-PWN1-1426-SM-48TDF
40-49 years, female
7.1
GTEX-S7SF-1926-SM-4AT5B
20-29 years, female
7.1
GTEX-X15G-1326-SM-4PQZJ
50-59 years, female
7.1
GTEX-13PVR-1626-SM-73KVF
60-69 years, female
7.0
GTEX-1B8KE-1926-SM-731EE
50-59 years, male
7.0
GTEX-R55D-1826-SM-48FEF
50-59 years, male
7.0
GTEX-139T6-1326-SM-5IFFO
50-59 years, male
6.9
GTEX-13S86-1626-SM-5Q5C5
40-49 years, male
6.9
GTEX-145LT-0926-SM-5LU9C
40-49 years, male
6.9
GTEX-14PJM-2626-SM-686ZD
50-59 years, female
6.9
GTEX-15DYW-2326-SM-6PAMU
60-69 years, female
6.8
GTEX-1AMFI-1726-SM-7189L
50-59 years, female
6.8
GTEX-O5YW-1426-SM-3MJHF
50-59 years, male
6.8
GTEX-13D11-0826-SM-5KLZJ
50-59 years, female
6.7
GTEX-1C64O-2326-SM-73KU8
60-69 years, male
6.7
GTEX-QV31-0826-SM-4R1KR
30-39 years, male
6.7
GTEX-TKQ2-1326-SM-4DXT9
50-59 years, male
6.7
GTEX-ZEX8-1926-SM-4WKFR
50-59 years, male
6.7
GTEX-11DXX-1826-SM-5H126
60-69 years, female
6.6
GTEX-1B8KZ-1326-SM-7DUG6
50-59 years, male
6.6
GTEX-QEL4-1926-SM-4R1JI
50-59 years, male
6.6
GTEX-ZPIC-2226-SM-57WDX
40-49 years, female
6.6
GTEX-13PL7-2526-SM-5IFGR
60-69 years, female
6.5
GTEX-UJHI-1126-SM-4IHLN
50-59 years, female
6.5
GTEX-13OW6-2126-SM-5N9GL
50-59 years, male
6.4
GTEX-145LS-2726-SM-5Q5D8
60-69 years, female
6.4
GTEX-P4QT-1426-SM-3NMCX
50-59 years, female
6.4
GTEX-YB5E-1626-SM-5IFIQ
40-49 years, male
6.4
GTEX-11P7K-1526-SM-5EGI7
30-39 years, male
6.3
GTEX-13FTW-1826-SM-5IJEN
40-49 years, male
6.3
GTEX-13VXT-2426-SM-5LU46
20-29 years, female
6.3
GTEX-WOFM-2026-SM-4OOSQ
20-29 years, male
6.3
GTEX-15SB6-1226-SM-7KUMP
50-59 years, female
6.2
GTEX-18QFQ-1526-SM-72D57
30-39 years, male
6.2
GTEX-Q2AI-0926-SM-48U1F
40-49 years, male
6.2
GTEX-18A7B-2026-SM-72D71
70-79 years, male
6.1
GTEX-RWS6-1826-SM-47JXX
60-69 years, female
6.1
GTEX-XUW1-1926-SM-4BOP1
50-59 years, female
6.1
GTEX-131XE-0826-SM-5HL9W
50-59 years, male
6.0
GTEX-U4B1-1126-SM-4DXV3
40-49 years, male
6.0
GTEX-11P82-1026-SM-5BC5J
20-29 years, male
5.9
GTEX-16MT8-2726-SM-7IGLJ
60-69 years, female
5.9
GTEX-1CB4F-2026-SM-79OLU
60-69 years, male
5.9
GTEX-Y8E4-2426-SM-4WWDN
40-49 years, male
5.9
GTEX-ZP4G-1726-SM-4WWCM
20-29 years, female
5.9
GTEX-12C56-0626-SM-5EGGC
20-29 years, male
5.8
GTEX-147GR-2726-SM-664OO
60-69 years, male
5.8
GTEX-ZVT2-1926-SM-5GU5T
50-59 years, female
5.8
GTEX-111CU-1426-SM-5GZYP
50-59 years, male
5.7
GTEX-11P81-1126-SM-5GU5G
30-39 years, female
5.7
GTEX-11ZVC-2126-SM-5EGJ1
50-59 years, female
5.7
GTEX-13OW5-2626-SM-5MR3M
60-69 years, male
5.7
GTEX-R55C-1126-SM-48FCJ
40-49 years, male
5.7
GTEX-Z93S-2426-SM-5HL8N
50-59 years, male
5.7
GTEX-11ONC-2026-SM-5HL61
60-69 years, male
5.6
GTEX-15ER7-2926-SM-7KUFK
20-29 years, female
5.6
GTEX-17KNJ-1726-SM-7LG6A
50-59 years, male
5.6
GTEX-1C4CL-2126-SM-7IGQC
30-39 years, male
5.6
GTEX-YF7O-1726-SM-5IFJ9
50-59 years, male
5.6
GTEX-11NSD-1626-SM-5986U
20-29 years, male
5.5
GTEX-13FHP-2426-SM-5KLZ5
50-59 years, male
5.5
GTEX-14BIN-3026-SM-5ZZUS
50-59 years, female
5.5
GTEX-14XAO-2026-SM-69LOI
60-69 years, female
5.5
GTEX-WFON-1426-SM-4LVMT
40-49 years, male
5.5
GTEX-WYVS-1826-SM-4OND6
40-49 years, female
5.5
GTEX-X3Y1-1726-SM-4PQZL
40-49 years, male
5.5
GTEX-XGQ4-1226-SM-4AT67
50-59 years, male
5.5
GTEX-ZPU1-1926-SM-57WDT
40-49 years, male
5.5
GTEX-145MO-2426-SM-5NQ9W
60-69 years, male
5.4
GTEX-Q734-1126-SM-48TZY
40-49 years, female
5.4
GTEX-RU1J-1326-SM-46MUL
20-29 years, female
5.4
GTEX-XPVG-1826-SM-4B64X
50-59 years, male
5.4
GTEX-XQ8I-2126-SM-4BOOM
50-59 years, male
5.4
GTEX-XUZC-1326-SM-4BRV2
30-39 years, female
5.4
GTEX-1211K-1726-SM-5FQUJ
60-69 years, female
5.3
GTEX-14JIY-3326-SM-6871E
60-69 years, male
5.3
GTEX-17HGU-2426-SM-7EWDP
50-59 years, male
5.3
GTEX-ZDYS-2326-SM-4WKG6
50-59 years, male
5.3
GTEX-11I78-1226-SM-5A5K6
50-59 years, female
5.2
GTEX-1399R-2226-SM-5P9JB
30-39 years, male
5.2
GTEX-OHPM-1426-SM-3TW8Y
50-59 years, male
5.2
GTEX-T5JW-1126-SM-4DM5V
20-29 years, female
5.2
GTEX-Y9LG-1526-SM-4WWDR
30-39 years, male
5.2
GTEX-ZF2S-1926-SM-4WWAN
50-59 years, female
5.2
GTEX-14PJ5-0926-SM-6LLIK
60-69 years, female
5.1
GTEX-14PKV-2126-SM-664O3
20-29 years, female
5.1
GTEX-178AV-1326-SM-6LPJX
40-49 years, male
5.1
GTEX-PX3G-1426-SM-48U1J
20-29 years, female
5.1
GTEX-11DXZ-1726-SM-5H12M
50-59 years, male
5.0
GTEX-ZT9W-1826-SM-51MQX
50-59 years, male
5.0
GTEX-111YS-1626-SM-5GZZ9
60-69 years, male
4.9
GTEX-11LCK-2026-SM-5A5MA
30-39 years, male
4.9
GTEX-13111-0726-SM-5DUVE
50-59 years, male
4.9
GTEX-14DAQ-2726-SM-5S2QY
60-69 years, female
4.9
GTEX-14PHX-1526-SM-68717
50-59 years, male
4.9
GTEX-15CHR-1426-SM-7DUGV
50-59 years, male
4.9
GTEX-18A7A-2226-SM-7LT8K
50-59 years, female
4.9
GTEX-WHSB-0926-SM-4M1XJ
50-59 years, male
4.9
GTEX-139TS-1926-SM-5IJFO
60-69 years, male
4.8
GTEX-14E6E-1526-SM-5RQIG
30-39 years, male
4.8
GTEX-NFK9-2026-SM-3LK5K
40-49 years, male
4.8
GTEX-S4P3-1226-SM-4AD4Y
50-59 years, female
4.8
GTEX-TML8-1326-SM-4DXTO
40-49 years, female
4.8
GTEX-111VG-2226-SM-5N9DU
60-69 years, male
4.7
GTEX-146FQ-1926-SM-5NQBY
30-39 years, male
4.7
GTEX-14DAR-1526-SM-5RQIX
50-59 years, male
4.7
GTEX-YEC3-2426-SM-5IFJR
50-59 years, male
4.7
GTEX-12ZZZ-2426-SM-5GCNN
60-69 years, male
4.5
GTEX-PLZ6-0926-SM-3P5ZQ
30-39 years, male
4.5
GTEX-14C5O-2526-SM-73KU2
60-69 years, male
4.4
GTEX-17F96-2026-SM-79ON4
70-79 years, male
4.4
GTEX-1BAJH-2326-SM-7IGMO
70-79 years, male
4.4
GTEX-U3ZM-1126-SM-4DXUB
40-49 years, male
4.4
GTEX-W5WG-2426-SM-4LMI6
50-59 years, female
4.4
GTEX-1C2JI-1626-SM-7EPHC
50-59 years, male
4.3
GTEX-WH7G-1326-SM-4LVMS
40-49 years, male
4.2
GTEX-14BMV-2426-SM-5S2PP
50-59 years, male
4.1
GTEX-15SHU-2526-SM-6M47D
40-49 years, female
4.1
GTEX-U3ZH-1326-SM-4DXSF
30-39 years, male
3.9
GTEX-13O21-2426-SM-5MR4A
50-59 years, male
3.8
GTEX-13QBU-1826-SM-5IJG3
40-49 years, female
3.8
GTEX-16Z82-2226-SM-6LPJ7
60-69 years, male
3.6
GTEX-17JCI-2626-SM-7EWE6
60-69 years, female
3.6
GTEX-XBEW-1926-SM-4SOJO
40-49 years, male
3.5
GTEX-14PK6-1726-SM-6871J
70-79 years, female
3.4
GTEX-Y3IK-1826-SM-4WWDS
50-59 years, female
3.4
GTEX-15CHC-1626-SM-5ZZWS
60-69 years, female
3.3
GTEX-17GQL-1526-SM-7LTAC
60-69 years, male
3.3
GTEX-13U4I-2426-SM-5LU34
40-49 years, female
3.2
GTEX-ZYFC-2626-SM-5NQ6S
50-59 years, male
3.2
GTEX-117YW-1826-SM-5PNY5
50-59 years, male
3.1
GTEX-11GSP-1626-SM-5986N
60-69 years, female
2.8
Show allShow less
COLON - FANTOM5 CAGEi
RNA expression in human tissues obtained through Cap Analysis of Gene Expression (CAGE) generated by the FANTOM5 project are reported as Scaled Tags Per Million.