We use cookies to enhance the usability of our website. If you continue, we'll assume that you are happy to receive all cookies. More information. Don't show this again.
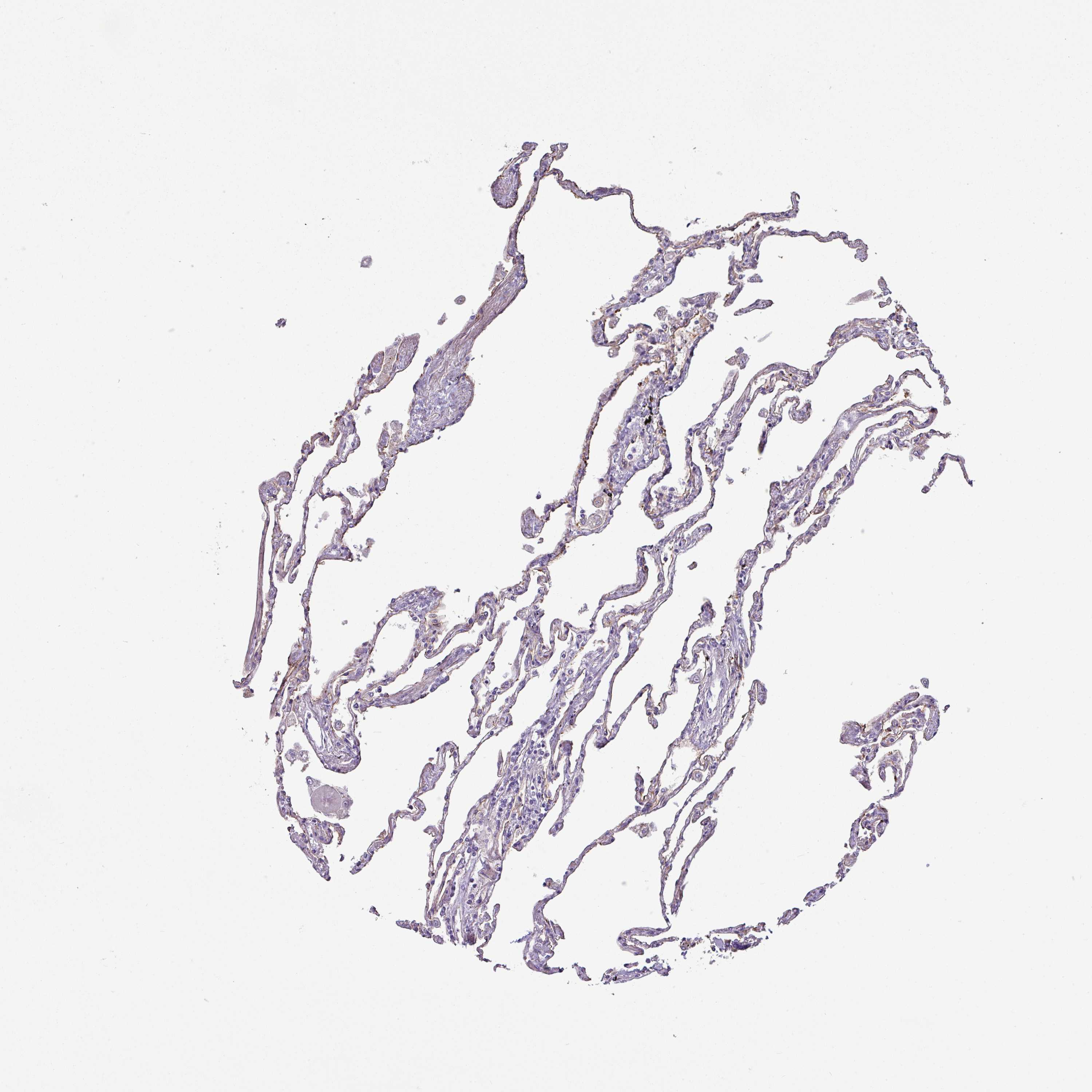
On the top, protein expression in current human tissue, based on all annotated cell types, is reported with the units not detected (n), low (l), medium (m) and high (h). Underneath, protein expression in each annotated cell type are reported using the same units.
Protein expression data is based on knowledge-based annotation. For genes where more than one antibody has been used, a collective score is set.
If knowledge-based annotation could not be performed for a gene, no data is displayed here. View antibody staining data further down this page.
A summary of mRNA expression data available for current tissue based on several datasets. The mRNA expression levels in human tissues are based on RNA-seq data generated by the Human Protein Atlas (HPA), Genotype-Tissue Expression (GTEx) portal and CAGE data generated by the FANTOM5 consortium. Consensus normalized expression (NX) levels for human tissues was created by combining the data from these three transcriptomics datasets (HPA, GTEx and FANTOM5).
The mRNA expression levels in pig are based on RNA-seq data generated by the Human Protein Atlas (HPA), and for mouse, HPA data and in situ hybridization generated by the Allen brain atlas are reported.
Scroll down to view mRNA expression data in more detail.
Antibody staining in the annotated cell types in the current human tissue is reported as not detected, low, medium, or high. This score is based on the staining intensity and fraction of stained cells.
The RNA-seq details section shows detailed information about the individual samples used for the transcript profiling and results of the RNA-seq analysis.
Information about each individual sample is listed below, including gender, age, a tissue section image and estimated fractions of cell types. pTPM (transcripts per million) values give a quantification of the gene abundance which is comparable between different genes and samples.
RNA-Seq data generated by the Genotype-Tissue Expression (GTEx) project from human tissues is reported as average pTPM. More information can be found on the GTEx portal.
Distribution across the dataset is visualized with box plots, shown as median and 25th and 75th percentiles. Points are displayed as outliers if they are above or below 1.5 times the interquartile range. pTPM values of the individual samples are presented next to the box plot.
Max pTPM: 2.2
Min pTPM: 0.0
Std pTPM: 0.2
Median pTPM: 0.2
GTEX-169BO-0226-SM-79OL1
50-59 years, male
2.2
GTEX-11DXX-0626-SM-5Q5AG
60-69 years, female
1.2
GTEX-ZZPT-1326-SM-5E43H
50-59 years, male
1.2
GTEX-X3Y1-0626-SM-3P5YS
40-49 years, male
1.1
GTEX-QMR6-1926-SM-32PL9
50-59 years, male
1.0
GTEX-R55D-0926-SM-3GAEU
50-59 years, male
1.0
GTEX-WHSB-0326-SM-5FQSD
50-59 years, male
1.0
GTEX-OIZI-1026-SM-3NB1K
40-49 years, male
0.9
GTEX-15RIE-0326-SM-6PAMC
60-69 years, male
0.8
GTEX-1CB4J-1726-SM-79OOL
60-69 years, male
0.8
GTEX-ZUA1-1026-SM-4YCEA
40-49 years, male
0.8
GTEX-11ZTT-0626-SM-5EQLM
60-69 years, female
0.7
GTEX-131XF-1026-SM-5BC6A
60-69 years, male
0.7
GTEX-145LU-0526-SM-5O9AT
50-59 years, male
0.7
GTEX-15CHC-0226-SM-5YYBB
60-69 years, female
0.7
GTEX-15SKB-0826-SM-7KUFB
60-69 years, male
0.7
GTEX-17HG3-0326-SM-7IGP4
30-39 years, female
0.7
GTEX-1AX9I-0826-SM-73KUT
60-69 years, male
0.7
GTEX-1B97I-0226-SM-73KVO
40-49 years, male
0.7
GTEX-T6MN-0826-SM-32PM4
50-59 years, male
0.7
GTEX-WYJK-0826-SM-3NM8Y
50-59 years, male
0.7
GTEX-Y5V6-0226-SM-4V6G7
60-69 years, male
0.7
GTEX-11PRG-0926-SM-5EGI8
50-59 years, male
0.6
GTEX-139TT-0726-SM-5K7XW
60-69 years, male
0.6
GTEX-13NYS-1626-SM-5J2MU
60-69 years, male
0.6
GTEX-13NZ8-0326-SM-5L3DF
60-69 years, female
0.6
GTEX-145MH-0626-SM-5NQAK
50-59 years, male
0.6
GTEX-17F96-0626-SM-793CC
70-79 years, male
0.6
GTEX-1A3MV-0526-SM-72D5A
30-39 years, male
0.6
GTEX-1C6VS-1226-SM-79OO2
60-69 years, male
0.6
GTEX-OHPL-0526-SM-3NM8U
60-69 years, female
0.6
GTEX-POYW-1226-SM-2XCEP
60-69 years, male
0.6
GTEX-QMRM-0826-SM-3NB33
50-59 years, male
0.6
GTEX-R3RS-1026-SM-3GADF
40-49 years, female
0.6
GTEX-ZXG5-0826-SM-5GID6
60-69 years, male
0.6
GTEX-117YW-0526-SM-5H11C
50-59 years, male
0.5
GTEX-12WSK-0826-SM-5CVNP
40-49 years, female
0.5
GTEX-12WSN-5004-SM-793CE
40-49 years, male
0.5
GTEX-16NGA-0226-SM-718AI
40-49 years, female
0.5
GTEX-1CB4F-0926-SM-7DHMJ
60-69 years, male
0.5
GTEX-N7MT-0126-SM-2D7VT
60-69 years, female
0.5
GTEX-QCQG-0326-SM-2I3ES
50-59 years, female
0.5
GTEX-QDT8-0926-SM-32PL2
30-39 years, female
0.5
GTEX-S33H-0626-SM-2XCBJ
30-39 years, male
0.5
GTEX-WK11-0526-SM-3NB3O
50-59 years, male
0.5
GTEX-WRHU-0226-SM-3MJFV
50-59 years, female
0.5
GTEX-X4XX-1026-SM-4QARO
60-69 years, male
0.5
GTEX-X4XY-1026-SM-46MVX
60-69 years, male
0.5
GTEX-Y111-1026-SM-4TT22
50-59 years, male
0.5
GTEX-ZA64-0326-SM-5HL8T
20-29 years, male
0.5
GTEX-ZF29-1026-SM-4WKGC
60-69 years, female
0.5
GTEX-ZT9W-0726-SM-4YCDC
50-59 years, male
0.5
GTEX-11DZ1-0426-SM-5H11A
50-59 years, male
0.4
GTEX-11EI6-0826-SM-5985V
60-69 years, male
0.4
GTEX-11WQC-0626-SM-5EQMF
60-69 years, male
0.4
GTEX-12WSA-1026-SM-5EGHN
60-69 years, male
0.4
GTEX-12WSE-0826-SM-5S2VL
20-29 years, male
0.4
GTEX-131YS-0926-SM-5IJB9
60-69 years, female
0.4
GTEX-139UW-0226-SM-5K7WU
60-69 years, male
0.4
GTEX-13FTZ-0526-SM-5IJCW
60-69 years, male
0.4
GTEX-13JVG-1426-SM-5MR4W
60-69 years, male
0.4
GTEX-13N11-0326-SM-5LUA3
50-59 years, female
0.4
GTEX-13PVQ-0926-SM-5IJFD
50-59 years, male
0.4
GTEX-14DAQ-0926-SM-793AZ
60-69 years, female
0.4
GTEX-14E6D-1026-SM-5S2RS
50-59 years, male
0.4
GTEX-16XZZ-0926-SM-7DHLI
60-69 years, male
0.4
GTEX-17GQL-0726-SM-731BL
60-69 years, male
0.4
GTEX-17HII-0926-SM-79ON7
50-59 years, male
0.4
GTEX-18A6Q-0826-SM-7KFRD
60-69 years, male
0.4
GTEX-1AX9K-0826-SM-731F9
50-59 years, male
0.4
GTEX-1B8KZ-0526-SM-73KW2
50-59 years, male
0.4
GTEX-NFK9-1026-SM-2HMK1
40-49 years, male
0.4
GTEX-O5YV-0526-SM-2I5GE
60-69 years, female
0.4
GTEX-O5YW-0526-SM-2YUMX
50-59 years, male
0.4
GTEX-OXRP-0526-SM-2I3EW
60-69 years, female
0.4
GTEX-PLZ5-0726-SM-2I5F9
50-59 years, male
0.4
GTEX-PVOW-1026-SM-2XCF9
40-49 years, male
0.4
GTEX-PW2O-0526-SM-2I3DX
20-29 years, male
0.4
GTEX-QXCU-0626-SM-2TC69
50-59 years, male
0.4
GTEX-REY6-0426-SM-2TF5G
60-69 years, male
0.4
GTEX-RM2N-0426-SM-2TF4T
50-59 years, male
0.4
GTEX-RWSA-1126-SM-2XCAZ
40-49 years, male
0.4
GTEX-X4LF-0526-SM-3NMB6
50-59 years, male
0.4
GTEX-Y9LG-0526-SM-4VBRY
30-39 years, male
0.4
GTEX-YEC3-0226-SM-5IFJO
50-59 years, male
0.4
GTEX-ZDTT-0926-SM-5J2MS
60-69 years, male
0.4
GTEX-ZDYS-0426-SM-5IJEQ
50-59 years, male
0.4
GTEX-ZEX8-0526-SM-4WKH5
50-59 years, male
0.4
GTEX-ZLWG-0626-SM-4WWFR
50-59 years, female
0.4
GTEX-1122O-0126-SM-5GICA
60-69 years, female
0.3
GTEX-1128S-0726-SM-5N9D6
60-69 years, female
0.3
GTEX-117YX-1326-SM-5H125
50-59 years, male
0.3
GTEX-11TUW-0526-SM-5LU9A
60-69 years, male
0.3
GTEX-11ZTS-1226-SM-5EQMQ
60-69 years, female
0.3
GTEX-11ZUS-0126-SM-5EQM5
30-39 years, male
0.3
GTEX-11ZVC-0226-SM-731E8
50-59 years, female
0.3
GTEX-1212Z-1026-SM-5EGJ8
60-69 years, male
0.3
GTEX-12696-1026-SM-5FQUV
60-69 years, male
0.3
GTEX-12ZZY-0926-SM-5EQ6I
60-69 years, male
0.3
GTEX-131XW-1126-SM-5EGK4
50-59 years, female
0.3
GTEX-1399U-0826-SM-5KM1P
50-59 years, female
0.3
GTEX-13FLV-0426-SM-5KLZA
50-59 years, male
0.3
GTEX-13NYB-0626-SM-5MR47
40-49 years, male
0.3
GTEX-13NZ9-0926-SM-5KM12
50-59 years, male
0.3
GTEX-13OVG-0326-SM-5KM57
60-69 years, male
0.3
GTEX-13OW6-0826-SM-5L3GA
50-59 years, male
0.3
GTEX-13SLW-1226-SM-5S2Q7
70-79 years, male
0.3
GTEX-13W3W-0326-SM-731DS
60-69 years, female
0.3
GTEX-147F3-0726-SM-5NQ9U
50-59 years, female
0.3
GTEX-147GR-1226-SM-5TDCL
60-69 years, male
0.3
GTEX-14A6H-0526-SM-5NQAZ
30-39 years, male
0.3
GTEX-14ABY-1126-SM-5Q5F8
50-59 years, male
0.3
GTEX-14JIY-1326-SM-6AJB3
60-69 years, male
0.3
GTEX-14PJO-0926-SM-686YT
60-69 years, male
0.3
GTEX-15D1Q-0526-SM-6AJAY
40-49 years, male
0.3
GTEX-16Z82-1026-SM-6M48A
60-69 years, male
0.3
GTEX-17F98-0226-SM-793BV
40-49 years, female
0.3
GTEX-17HHE-0626-SM-7DHL6
50-59 years, male
0.3
GTEX-1B996-0726-SM-7IGPI
60-69 years, male
0.3
GTEX-1EN7A-0826-SM-7MKFV
40-49 years, male
0.3
GTEX-NPJ8-0326-SM-2D7VV
40-49 years, male
0.3
GTEX-OXRK-0926-SM-2HMKP
50-59 years, female
0.3
GTEX-OXRL-0526-SM-2I3EZ
50-59 years, male
0.3
GTEX-Q2AG-1026-SM-33HBW
40-49 years, female
0.3
GTEX-Q2AH-0426-SM-2I3EP
40-49 years, male
0.3
GTEX-QDVN-0726-SM-4B64L
50-59 years, male
0.3
GTEX-QEG4-0526-SM-48TZD
30-39 years, male
0.3
GTEX-QEL4-0826-SM-3GAF2
50-59 years, male
0.3
GTEX-R55C-0526-SM-3GIKA
40-49 years, male
0.3
GTEX-RU1J-0126-SM-2TF6Y
20-29 years, female
0.3
GTEX-RVPV-1726-SM-5SI8C
60-69 years, male
0.3
GTEX-RWS6-0226-SM-2XCA9
60-69 years, female
0.3
GTEX-SE5C-0526-SM-2XCE1
40-49 years, female
0.3
GTEX-T8EM-0326-SM-3DB7F
40-49 years, male
0.3
GTEX-UJMC-0726-SM-3GADX
50-59 years, male
0.3
GTEX-WOFM-0126-SM-3MJFE
20-29 years, male
0.3
GTEX-WWYW-0926-SM-3NB2Z
50-59 years, female
0.3
GTEX-WY7C-0426-SM-3NB3C
50-59 years, male
0.3
GTEX-X4EO-0926-SM-3P5Z2
60-69 years, female
0.3
GTEX-XBEW-0226-SM-4AT6A
40-49 years, male
0.3
GTEX-XMD2-1026-SM-4WWE8
60-69 years, female
0.3
GTEX-XPVG-1026-SM-4B64Y
50-59 years, male
0.3
GTEX-Y5LM-0726-SM-4VBRP
40-49 years, female
0.3
GTEX-ZAB5-0626-SM-5PNVB
50-59 years, male
0.3
GTEX-ZDXO-1326-SM-57WBS
60-69 years, male
0.3
GTEX-ZYT6-0526-SM-5GIEA
30-39 years, male
0.3
GTEX-111FC-1126-SM-5GZWU
60-69 years, male
0.2
GTEX-111VG-0726-SM-5GIDC
60-69 years, male
0.2
GTEX-111YS-0626-SM-5GZXV
60-69 years, male
0.2
GTEX-11EMC-0126-SM-5EGKV
60-69 years, female
0.2
GTEX-11LCK-0426-SM-5A5M8
30-39 years, male
0.2
GTEX-11NUK-0826-SM-5HL4U
50-59 years, male
0.2
GTEX-11O72-1326-SM-5BC5A
40-49 years, male
0.2
GTEX-11P7K-0326-SM-59871
30-39 years, male
0.2
GTEX-11P81-0226-SM-5HL5M
30-39 years, female
0.2
GTEX-1211K-0826-SM-5FQUP
60-69 years, female
0.2
GTEX-12KS4-0726-SM-5FQSX
30-39 years, male
0.2
GTEX-12WSL-1026-SM-5CVNJ
50-59 years, male
0.2
GTEX-12ZZW-0926-SM-5LZUD
50-59 years, male
0.2
GTEX-13113-5004-SM-79ONL
60-69 years, female
0.2
GTEX-1313W-0926-SM-5EQ56
50-59 years, female
0.2
GTEX-133LE-0526-SM-5N9EJ
20-29 years, female
0.2
GTEX-139T6-0426-SM-5IJEM
50-59 years, male
0.2
GTEX-13FHP-0726-SM-5K7YI
50-59 years, male
0.2
GTEX-13FTY-0126-SM-5J2NZ
40-49 years, female
0.2
GTEX-13G51-0426-SM-5K7Z5
60-69 years, male
0.2
GTEX-13N1W-0726-SM-5MR57
70-79 years, male
0.2
GTEX-13N2G-0826-SM-5IJE6
60-69 years, male
0.2
GTEX-13O21-3026-SM-5J2NI
50-59 years, male
0.2
GTEX-13O61-0726-SM-5J2MD
60-69 years, male
0.2
GTEX-13OVH-1026-SM-5J2NP
70-79 years, male
0.2
GTEX-13OVL-0626-SM-5KM13
50-59 years, male
0.2
GTEX-13OW7-0926-SM-5L3EX
50-59 years, male
0.2
GTEX-13OW8-1726-SM-5L3GO
60-69 years, male
0.2
GTEX-13QBU-0726-SM-5J2OA
40-49 years, female
0.2
GTEX-13QJ3-1026-SM-5QGQU
50-59 years, male
0.2
GTEX-13VXU-2726-SM-5LU4N
50-59 years, male
0.2
GTEX-144GN-0426-SM-5O9AP
50-59 years, male
0.2
GTEX-145LS-1226-SM-5Q5D9
60-69 years, female
0.2
GTEX-145MF-0726-SM-5Q5BT
50-59 years, male
0.2
GTEX-1477Z-0626-SM-5NQB7
60-69 years, male
0.2
GTEX-148VJ-0826-SM-5LU8V
70-79 years, male
0.2
GTEX-1497J-0326-SM-5Q5CN
60-69 years, male
0.2
GTEX-14BMU-0526-SM-73KW4
20-29 years, female
0.2
GTEX-14C39-0326-SM-5TDDX
40-49 years, male
0.2
GTEX-14JG6-0326-SM-6AJBT
30-39 years, female
0.2
GTEX-14LZ3-0726-SM-5YYAB
60-69 years, female
0.2
GTEX-14PK6-0326-SM-6AJ9S
70-79 years, female
0.2
GTEX-15ER7-0926-SM-7KUMG
20-29 years, female
0.2
GTEX-15EU6-1226-SM-6AJBE
50-59 years, male
0.2
GTEX-15SHV-0326-SM-6M475
60-69 years, male
0.2
GTEX-15SHW-0926-SM-6LPIO
60-69 years, male
0.2
GTEX-17EVP-0726-SM-7EWDX
40-49 years, male
0.2
GTEX-17EVQ-1526-SM-79ONG
70-79 years, male
0.2
GTEX-17F9Y-1026-SM-7IGO4
70-79 years, female
0.2
GTEX-17HGU-0926-SM-79OKO
50-59 years, male
0.2
GTEX-17KNJ-0926-SM-7IGP2
50-59 years, male
0.2
GTEX-17MF6-0826-SM-7LT8F
40-49 years, male
0.2
GTEX-18465-0626-SM-7LT8X
50-59 years, male
0.2
GTEX-18A66-0926-SM-718BG
60-69 years, male
0.2
GTEX-18D9U-0526-SM-72D7C
40-49 years, male
0.2
GTEX-1A32A-0726-SM-731D4
50-59 years, female
0.2
GTEX-1AX9J-1626-SM-73KUI
60-69 years, male
0.2
GTEX-1B8L1-0626-SM-7EPHL
60-69 years, male
0.2
GTEX-1B8SF-0826-SM-73KW8
60-69 years, male
0.2
GTEX-1CAMQ-1026-SM-7EPIC
40-49 years, male
0.2
GTEX-1CB4I-2126-SM-793AG
50-59 years, male
0.2
GTEX-N7MS-0926-SM-2HMIZ
60-69 years, male
0.2
GTEX-NL3G-0526-SM-4RTWW
60-69 years, female
0.2
GTEX-OIZG-0526-SM-2HMLF
50-59 years, male
0.2
GTEX-OXRN-0526-SM-2I5EN
50-59 years, male
0.2
GTEX-P4PP-0526-SM-2HMKE
30-39 years, female
0.2
GTEX-P4PQ-0526-SM-2HMKR
60-69 years, male
0.2
GTEX-P4QT-0526-SM-2I3EX
50-59 years, female
0.2
GTEX-PSDG-1126-SM-2S1ON
50-59 years, male
0.2
GTEX-Q734-0626-SM-2I3EF
40-49 years, female
0.2
GTEX-QV44-0926-SM-2S1RH
50-59 years, male
0.2
GTEX-R55G-0826-SM-2TC5U
40-49 years, female
0.2
GTEX-RN64-1226-SM-2TC6E
50-59 years, male
0.2
GTEX-RNOR-0726-SM-2TF5I
50-59 years, female
0.2
GTEX-RU72-0526-SM-2TF5Z
50-59 years, female
0.2
GTEX-RUSQ-0626-SM-2TF5V
50-59 years, male
0.2
GTEX-S7SE-0926-SM-2XCD6
50-59 years, male
0.2
GTEX-SIU8-0926-SM-5SI87
50-59 years, male
0.2
GTEX-SN8G-0926-SM-4DM5I
50-59 years, female
0.2
GTEX-T2IS-0526-SM-32QP9
20-29 years, female
0.2
GTEX-TSE9-0726-SM-3DB8C
60-69 years, female
0.2
GTEX-U3ZH-0526-SM-3DB75
30-39 years, male
0.2
GTEX-U412-0826-SM-3DB9K
60-69 years, male
0.2
GTEX-U8T8-2226-SM-3DB95
60-69 years, male
0.2
GTEX-UPJH-0826-SM-4WKFD
50-59 years, male
0.2
GTEX-UPK5-1126-SM-3GAEJ
40-49 years, male
0.2
GTEX-WFG7-0526-SM-3GIKI
20-29 years, male
0.2
GTEX-WFG8-0926-SM-3GIKJ
20-29 years, male
0.2
GTEX-WFJO-0326-SM-3GIL3
30-39 years, male
0.2
GTEX-WHPG-1426-SM-3NMBB
50-59 years, male
0.2
GTEX-WVJS-0826-SM-4MVNR
50-59 years, male
0.2
GTEX-WZTO-0426-SM-3NM99
40-49 years, male
0.2
GTEX-X585-1026-SM-46MW6
50-59 years, male
0.2
GTEX-X5EB-0426-SM-46MVY
40-49 years, male
0.2
GTEX-XBED-0826-SM-47JYC
60-69 years, male
0.2
GTEX-XGQ4-0826-SM-4AT4T
50-59 years, male
0.2
GTEX-XOT4-1426-SM-4B65T
60-69 years, female
0.2
GTEX-XQ3S-0926-SM-4BOPI
20-29 years, male
0.2
GTEX-Y5V5-0826-SM-4VBQD
60-69 years, female
0.2
GTEX-Y8LW-0326-SM-4VBQ9
50-59 years, female
0.2
GTEX-YEC4-0526-SM-4W21U
40-49 years, male
0.2
GTEX-YF7O-0626-SM-4W21R
50-59 years, male
0.2
GTEX-YFC4-1126-SM-5RQJN
40-49 years, female
0.2
GTEX-YJ8O-1826-SM-5HL82
40-49 years, female
0.2
GTEX-ZAB4-0626-SM-5CVN3
40-49 years, male
0.2
GTEX-ZE7O-0826-SM-57WCP
50-59 years, female
0.2
GTEX-ZF28-0726-SM-4WKFU
60-69 years, male
0.2
GTEX-ZVZQ-1526-SM-5N9G6
60-69 years, female
0.2
GTEX-ZYFG-0226-SM-5GIDT
60-69 years, female
0.2
GTEX-ZYW4-1526-SM-5SIBA
60-69 years, male
0.2
GTEX-11EQ9-0226-SM-5A5JX
30-39 years, male
0.1
GTEX-11GSP-0726-SM-5986L
60-69 years, female
0.1
GTEX-11I78-0126-SM-5HL6F
50-59 years, female
0.1
GTEX-11OF3-1126-SM-5986C
60-69 years, male
0.1
GTEX-11TT1-1626-SM-5EQL7
20-29 years, male
0.1
GTEX-12584-1426-SM-5EGJ9
40-49 years, male
0.1
GTEX-1269C-0926-SM-5FQSR
60-69 years, female
0.1
GTEX-12WSD-0826-SM-5GCNE
60-69 years, female
0.1
GTEX-12WSG-5004-SM-7EPG9
50-59 years, female
0.1
GTEX-12WSI-0826-SM-5EGKD
50-59 years, male
0.1
GTEX-12WSJ-0226-SM-5GCP7
40-49 years, female
0.1
GTEX-13111-0426-SM-5DUXR
50-59 years, male
0.1
GTEX-131XE-0726-SM-5HL9K
50-59 years, male
0.1
GTEX-131XH-0426-SM-5DUWU
50-59 years, male
0.1
GTEX-132NY-1226-SM-5PNVF
60-69 years, male
0.1
GTEX-132QS-0726-SM-5IJE9
60-69 years, male
0.1
GTEX-1399S-1726-SM-5L3DI
30-39 years, female
0.1
GTEX-13CF3-0426-SM-5IJEU
60-69 years, female
0.1
GTEX-13FH7-1726-SM-5IJE7
50-59 years, female
0.1
GTEX-13FHO-1026-SM-5KM1Q
60-69 years, male
0.1
GTEX-13FTX-0326-SM-5J2NG
20-29 years, female
0.1
GTEX-13JUV-0526-SM-5K7XE
40-49 years, female
0.1
GTEX-13O3O-0726-SM-5J1N7
60-69 years, female
0.1
GTEX-13O3Q-0526-SM-5KM18
50-59 years, male
0.1
GTEX-13OW5-0726-SM-5KLZK
60-69 years, male
0.1
GTEX-13PL7-1726-SM-5J2NX
60-69 years, female
0.1
GTEX-13QJC-0526-SM-5RQKB
60-69 years, female
0.1
GTEX-13RTJ-1126-SM-5S2UJ
60-69 years, male
0.1
GTEX-13S7M-2126-SM-5S2QR
60-69 years, female
0.1
GTEX-13S86-0626-SM-5Q5E7
40-49 years, male
0.1
GTEX-13U4I-1426-SM-5J2M3
40-49 years, female
0.1
GTEX-13VXT-1426-SM-5LU4B
20-29 years, female
0.1
GTEX-13X6K-1626-SM-7EWCX
60-69 years, female
0.1
GTEX-13YAN-1026-SM-5O9CF
60-69 years, male
0.1
GTEX-145LT-0326-SM-5LUAD
40-49 years, male
0.1
GTEX-145ME-0226-SM-5S2QN
40-49 years, female
0.1
GTEX-145MO-1326-SM-5Q5EF
60-69 years, male
0.1
GTEX-146FH-1226-SM-5NQB6
50-59 years, female
0.1
GTEX-147F4-0926-SM-5Q5EO
50-59 years, male
0.1
GTEX-148VI-0226-SM-5RQKA
60-69 years, female
0.1
GTEX-14AS3-0926-SM-5TDD6
40-49 years, female
0.1
GTEX-14BIL-1226-SM-79OME
50-59 years, male
0.1
GTEX-14BMV-0826-SM-73KXU
50-59 years, male
0.1
GTEX-14DAR-0226-SM-5S2PR
50-59 years, male
0.1
GTEX-14E1K-0226-SM-62LDT
50-59 years, male
0.1
GTEX-14E6C-1426-SM-5ZZWH
40-49 years, male
0.1
GTEX-14E6E-0426-SM-73KUE
30-39 years, male
0.1
GTEX-14JG1-0926-SM-5YY8W
40-49 years, male
0.1
GTEX-14LLW-0726-SM-5ZZVV
70-79 years, female
0.1
GTEX-14PHY-0526-SM-664NM
60-69 years, female
0.1
GTEX-14PJ4-0626-SM-6AJBS
60-69 years, male
0.1
GTEX-14PJ5-0226-SM-5YY99
60-69 years, female
0.1
GTEX-14PJM-0926-SM-6AJ9Y
50-59 years, female
0.1
GTEX-14XAO-0526-SM-6AJB7
60-69 years, female
0.1
GTEX-15CHR-0726-SM-7EPHG
50-59 years, male
0.1
GTEX-15FZZ-0326-SM-6M48O
30-39 years, female
0.1
GTEX-15RJ7-0626-SM-6M47V
40-49 years, male
0.1
GTEX-15RJE-1026-SM-6M46X
40-49 years, male
0.1
GTEX-15UKP-1926-SM-6LPI9
20-29 years, male
0.1
GTEX-16AAH-0426-SM-7DUFM
50-59 years, male
0.1
GTEX-16MT8-1026-SM-6LPK1
60-69 years, female
0.1
GTEX-178AV-0326-SM-6LPJF
40-49 years, male
0.1
GTEX-17JCI-1526-SM-7IGOQ
60-69 years, female
0.1
GTEX-183FY-0726-SM-793C3
20-29 years, male
0.1
GTEX-18A67-1126-SM-7KFSB
50-59 years, male
0.1
GTEX-18A7A-1026-SM-7LT8B
50-59 years, female
0.1
GTEX-18D9A-0226-SM-7KFSJ
30-39 years, female
0.1
GTEX-18QFQ-0926-SM-7LG4V
30-39 years, male
0.1
GTEX-1A8FM-0826-SM-793D5
50-59 years, female
0.1
GTEX-1AX8Z-1526-SM-73KW1
60-69 years, male
0.1
GTEX-1B932-0726-SM-731EY
40-49 years, female
0.1
GTEX-1C4CL-0826-SM-7EWEZ
30-39 years, male
0.1
GTEX-1C64O-1226-SM-79OOC
60-69 years, male
0.1
GTEX-1C6VR-0626-SM-79OOY
60-69 years, male
0.1
GTEX-1C6WA-0726-SM-7IGQ5
60-69 years, male
0.1
GTEX-1EMGI-1426-SM-7IGNQ
60-69 years, male
0.1
GTEX-O5YT-0526-SM-32PK8
20-29 years, male
0.1
GTEX-OIZH-0526-SM-2HMKV
50-59 years, male
0.1
GTEX-OOBJ-0526-SM-48TDK
60-69 years, male
0.1
GTEX-OXRO-0326-SM-33HBM
60-69 years, female
0.1
GTEX-P44H-1126-SM-48TBU
40-49 years, male
0.1
GTEX-P4QS-0526-SM-2I3ET
60-69 years, male
0.1
GTEX-P78B-0926-SM-2I5FA
40-49 years, female
0.1
GTEX-PLZ4-0726-SM-2TC6Q
50-59 years, female
0.1
GTEX-PLZ6-0426-SM-5IJDW
30-39 years, male
0.1
GTEX-PX3G-0526-SM-2I3EM
20-29 years, female
0.1
GTEX-QDVJ-0926-SM-2I5FU
50-59 years, male
0.1
GTEX-QEG5-1126-SM-33HC2
20-29 years, male
0.1
GTEX-QESD-0626-SM-2I5G4
20-29 years, male
0.1
GTEX-RTLS-0926-SM-2TF5X
60-69 years, female
0.1
GTEX-S32W-0326-SM-2XCBI
50-59 years, female
0.1
GTEX-S341-0326-SM-2XCAU
40-49 years, female
0.1
GTEX-SNOS-0426-SM-32PMH
40-49 years, male
0.1
GTEX-T5JC-0826-SM-32PMC
20-29 years, male
0.1
GTEX-TML8-0326-SM-4GICN
40-49 years, female
0.1
GTEX-TMMY-0926-SM-4TT1Z
40-49 years, female
0.1
GTEX-U3ZM-0426-SM-3DB73
40-49 years, male
0.1
GTEX-U3ZN-0626-SM-3DB7U
30-39 years, female
0.1
GTEX-UJHI-0726-SM-3DB92
50-59 years, female
0.1
GTEX-V1D1-0826-SM-3P5ZA
50-59 years, male
0.1
GTEX-VJYA-0326-SM-3GAEX
60-69 years, male
0.1
GTEX-WFON-0426-SM-3GIL4
40-49 years, male
0.1
GTEX-WYVS-0526-SM-3NM9W
40-49 years, female
0.1
GTEX-X261-1026-SM-3NMDL
50-59 years, male
0.1
GTEX-XBEC-1026-SM-4QASM
50-59 years, male
0.1
GTEX-XQ8I-1126-SM-4BOO2
50-59 years, male
0.1
GTEX-XXEK-0626-SM-4BRWE
50-59 years, male
0.1
GTEX-XYKS-0526-SM-4BRW2
60-69 years, female
0.1
GTEX-YB5E-0726-SM-4VDSH
40-49 years, male
0.1
GTEX-YECK-0926-SM-4W214
60-69 years, male
0.1
GTEX-YFCO-0426-SM-4W1Z7
40-49 years, male
0.1
GTEX-ZC5H-0926-SM-5CVMZ
40-49 years, female
0.1
GTEX-ZDTS-1026-SM-4WAXS
60-69 years, male
0.1
GTEX-ZF2S-0626-SM-4WKH2
50-59 years, female
0.1
GTEX-ZG7Y-1026-SM-4WWDG
50-59 years, male
0.1
GTEX-ZLV1-0426-SM-4WWC2
60-69 years, female
0.1
GTEX-ZPIC-0626-SM-57WDY
40-49 years, female
0.1
GTEX-ZPU1-0926-SM-57WDO
40-49 years, male
0.1
GTEX-ZQG8-0326-SM-51MSE
60-69 years, female
0.1
GTEX-ZT9X-0326-SM-51MTE
40-49 years, male
0.1
GTEX-ZTPG-0926-SM-5O99H
20-29 years, female
0.1
GTEX-ZTTD-1126-SM-51MRP
50-59 years, male
0.1
GTEX-ZVT3-0926-SM-5GICK
60-69 years, female
0.1
GTEX-ZYVF-1726-SM-5E443
50-59 years, female
0.1
GTEX-ZZPU-0526-SM-5E44U
50-59 years, female
0.1
GTEX-111CU-0326-SM-5GZXO
50-59 years, male
0.0
GTEX-11DXZ-0726-SM-5N9C4
50-59 years, male
0.0
GTEX-11NSD-0326-SM-5A5LS
20-29 years, male
0.0
GTEX-11NV4-1126-SM-5HL6J
60-69 years, male
0.0
GTEX-11UD2-0726-SM-5EQ69
50-59 years, male
0.0
GTEX-11WQK-1226-SM-5GU5Z
50-59 years, male
0.0
GTEX-12BJ1-1026-SM-5EGJA
60-69 years, male
0.0
GTEX-12WSH-0126-SM-5GCO3
50-59 years, male
0.0
GTEX-1339X-0626-SM-5IJER
40-49 years, male
0.0
GTEX-139YR-0926-SM-5LZYB
50-59 years, male
0.0
GTEX-13D11-0326-SM-5LZXX
50-59 years, female
0.0
GTEX-13NZA-1426-SM-5KM4Y
60-69 years, male
0.0
GTEX-13O3P-1026-SM-5N9E7
50-59 years, male
0.0
GTEX-13OVJ-0726-SM-5KM1W
50-59 years, female
0.0
GTEX-144GM-0126-SM-5Q5AX
20-29 years, male
0.0
GTEX-144GO-0226-SM-5LUB1
60-69 years, male
0.0
GTEX-145MN-0926-SM-5NQBT
30-39 years, male
0.0
GTEX-146FQ-0926-SM-5LUAV
30-39 years, male
0.0
GTEX-147JS-1226-SM-5RQK4
60-69 years, male
0.0
GTEX-14C5O-1126-SM-5TDEH
60-69 years, male
0.0
GTEX-14E7W-1326-SM-5RQIV
70-79 years, male
0.0
GTEX-14PQA-1126-SM-7KUM4
50-59 years, female
0.0
GTEX-15DCZ-0826-SM-6AJBB
20-29 years, female
0.0
GTEX-15G1A-0426-SM-6M468
30-39 years, male
0.0
GTEX-15SB6-0426-SM-6LPJ5
50-59 years, female
0.0
GTEX-16MTA-1226-SM-7KULL
50-59 years, male
0.0
GTEX-18D9B-1026-SM-7KFS8
60-69 years, male
0.0
GTEX-1A8G6-0726-SM-73KV5
60-69 years, male
0.0
GTEX-1AYCT-0726-SM-7IGNG
50-59 years, male
0.0
GTEX-1AYD5-1226-SM-7EWEP
50-59 years, male
0.0
GTEX-OHPM-0526-SM-2YUMJ
50-59 years, male
0.0
GTEX-OOBK-0526-SM-2HMJJ
40-49 years, male
0.0
GTEX-POMQ-0526-SM-3GADD
20-29 years, female
0.0
GTEX-T6MO-0426-SM-32QOI
40-49 years, female
0.0
GTEX-U8XE-1426-SM-3DB8Q
30-39 years, male
0.0
GTEX-VUSG-0926-SM-3GIK6
50-59 years, male
0.0
GTEX-W5X1-0526-SM-3GILH
40-49 years, female
0.0
GTEX-WH7G-0726-SM-3NMBM
40-49 years, male
0.0
GTEX-WYBS-1126-SM-3NMAM
60-69 years, female
0.0
GTEX-X4EP-0526-SM-3P5YW
60-69 years, female
0.0
GTEX-XV7Q-0426-SM-4BRVN
40-49 years, female
0.0
GTEX-Y3I4-0426-SM-4TT29
50-59 years, male
0.0
GTEX-Y3IK-0626-SM-4WWE4
50-59 years, female
0.0
GTEX-Y8E4-0526-SM-4V6GC
40-49 years, male
0.0
GTEX-ZY6K-0326-SM-5SIBB
50-59 years, male
0.0
GTEX-ZYY3-0926-SM-5E454
60-69 years, female
0.0
Show allShow less
LUNG - FANTOM5 CAGEi
RNA expression in human tissues obtained through Cap Analysis of Gene Expression (CAGE) generated by the FANTOM5 project are reported as Scaled Tags Per Million.