We use cookies to enhance the usability of our website. If you continue, we'll assume that you are happy to receive all cookies. More information. Don't show this again.
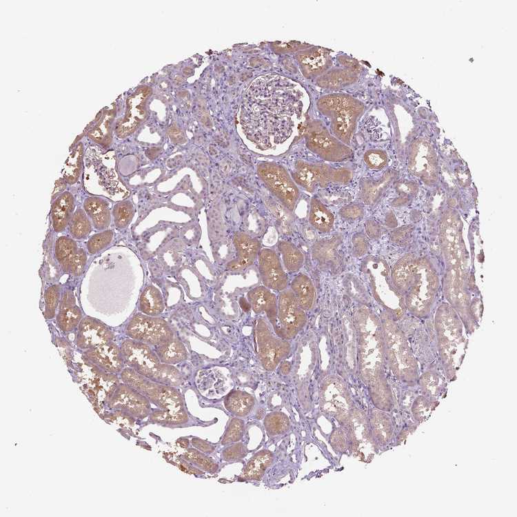
On the top, protein expression in current human tissue, based on all annotated cell types, is reported with the units not detected (n), low (l), medium (m) and high (h). Underneath, protein expression in each annotated cell type are reported using the same units.
Protein expression data is based on knowledge-based annotation. For genes where more than one antibody has been used, a collective score is set.
If knowledge-based annotation could not be performed for a gene, no data is displayed here. View antibody staining data further down this page.
A summary of mRNA expression data available for current tissue based on several datasets. The mRNA expression levels in human tissues are based on RNA-seq data generated by the Human Protein Atlas (HPA), Genotype-Tissue Expression (GTEx) portal and CAGE data generated by the FANTOM5 consortium. Consensus normalized expression (NX) levels for human tissues was created by combining the data from these three transcriptomics datasets (HPA, GTEx and FANTOM5).
The mRNA expression levels in pig are based on RNA-seq data generated by the Human Protein Atlas (HPA), and for mouse, HPA data and in situ hybridization generated by the Allen brain atlas are reported.
Scroll down to view mRNA expression data in more detail.
Antibody staining in the annotated cell types in the current human tissue is reported as not detected, low, medium, or high. This score is based on the staining intensity and fraction of stained cells.
The RNA-seq details section shows detailed information about the individual samples used for the transcript profiling and results of the RNA-seq analysis.
Information about each individual sample is listed below, including gender, age, a tissue section image and estimated fractions of cell types. pTPM (transcripts per million) values give a quantification of the gene abundance which is comparable between different genes and samples.
Cells in tubules: 60 Cells in glomeruli: 20 Fibroblasts: 5 Other cell types: 15
Female, age 67
Kidney sample 56 pTPM: 1.7
Cell types%
Cells in tubules: 70 Cells in glomeruli: 15 Fibroblasts: 10 Other cell types: 5
Female, age 55
Kidney sample 57 pTPM: 3.7
Cell types%
Cells in tubules: 80 Cells in glomeruli: 10 Fibroblasts: 5 Other cell types: 5
Male, age 46
Kidney sample 58 pTPM: 1.7
Cell types%
Cells in tubules: 60 Cells in glomeruli: 25 Fibroblasts: 5 Other cell types: 10
Female, age 57
Kidney sample 358 pTPM: 0.9
Cell types%
Cells in tubules: 60 Cells in glomeruli: 10 Fibroblasts: 10 Other cell types: 20
Male, age 78
Kidney sample 377 pTPM: 3.9
Cell types%
Cells in tubules: 65 Cells in glomeruli: 10 Fibroblasts: 5 Other cell types: 20
Male, age 73
Kidney sample 380 pTPM: 1.2
Cell types%
Cells in tubules: 60 Cells in glomeruli: 10 Fibroblasts: 10 Other cell types: 20
Female, age 59
Kidney sample 394 pTPM: 2.5
Cell types%
Cells in tubules: 65 Cells in glomeruli: 10 Fibroblasts: 10 Other cell types: 15
Female, age 48
Kidney sample 414 pTPM: 1.7
Cell types%
Cells in tubules: 60 Cells in glomeruli: 5 Fibroblasts: 10 Other cell types: 25
KIDNEY - GTEx RNA-seqi
RNA-Seq data generated by the Genotype-Tissue Expression (GTEx) project from human tissues is reported as average pTPM. More information can be found on the GTEx portal.
Distribution across the dataset is visualized with box plots, shown as median and 25th and 75th percentiles. Points are displayed as outliers if they are above or below 1.5 times the interquartile range. pTPM values of the individual samples are presented next to the box plot.
Max pTPM: 12.6
Min pTPM: 0.9
Std pTPM: 2.4
Median pTPM: 2.5
GTEX-ZE9C-1426-SM-4WKGM
60-69 years, male
12.6
GTEX-RN64-1626-SM-48FD7
50-59 years, male
11.0
GTEX-17F97-1926-SM-7IGM4
50-59 years, male
9.0
GTEX-1A3MW-2226-SM-73KUX
60-69 years, female
6.5
GTEX-13112-2126-SM-5GCO4
50-59 years, male
5.4
GTEX-145MN-0326-SM-5QGQI
30-39 years, male
5.3
GTEX-147F4-2626-SM-5Q5CS
50-59 years, male
5.0
GTEX-1AX8Z-2326-SM-731CR
60-69 years, male
4.7
GTEX-13RTJ-2226-SM-5S2Q1
60-69 years, male
4.4
GTEX-11TTK-1926-SM-5PNW8
60-69 years, female
4.1
GTEX-QLQW-1626-SM-4R1K1
30-39 years, male
3.9
GTEX-ZLFU-0926-SM-5P9F8
40-49 years, male
3.7
GTEX-ZYFG-1626-SM-5GZYY
60-69 years, female
3.6
GTEX-1399S-0526-SM-5IJG8
30-39 years, female
3.5
GTEX-ZYT6-2226-SM-5GIC9
30-39 years, male
3.5
GTEX-12WSG-0826-SM-5EQ5A
50-59 years, female
3.4
GTEX-13OVI-1126-SM-5KLZF
60-69 years, female
3.3
GTEX-12696-0926-SM-5FQTV
60-69 years, male
3.2
GTEX-1C6VQ-2326-SM-7IGN1
50-59 years, male
3.0
GTEX-ZVZP-0926-SM-5GIDB
50-59 years, male
3.0
GTEX-13OVL-1826-SM-5KLZR
50-59 years, male
2.9
GTEX-14C39-2126-SM-664OH
40-49 years, male
2.5
GTEX-1BAJH-1826-SM-731DA
70-79 years, male
2.5
GTEX-XPVG-0526-SM-4B65N
50-59 years, male
2.4
GTEX-P4QS-1126-SM-3NMD5
60-69 years, male
2.3
GTEX-11GS4-2326-SM-5A5KS
60-69 years, male
2.1
GTEX-NPJ8-2226-SM-3TW8D
40-49 years, male
2.1
GTEX-1497J-0826-SM-5NQAJ
60-69 years, male
1.9
GTEX-13NYB-1726-SM-5N9G2
40-49 years, male
1.8
GTEX-16MT8-1926-SM-7EPGL
60-69 years, female
1.8
GTEX-1EKGG-2226-SM-7IGOA
60-69 years, male
1.8
GTEX-14C5O-2026-SM-5YYB1
60-69 years, male
1.6
GTEX-QDVN-1626-SM-48TZC
50-59 years, male
1.6
GTEX-15CHQ-2126-SM-6871M
60-69 years, male
1.5
GTEX-T5JC-1526-SM-4DM68
20-29 years, male
1.5
GTEX-Y5V6-2026-SM-5IFHO
60-69 years, male
1.5
GTEX-13OW6-1826-SM-5N9F9
50-59 years, male
1.4
GTEX-14E6D-2526-SM-5YYA9
50-59 years, male
1.4
GTEX-ZC5H-1726-SM-5HL7X
40-49 years, female
1.4
GTEX-ZDXO-0226-SM-4WKH7
60-69 years, male
1.4
GTEX-13O1R-2526-SM-5N9FW
60-69 years, male
1.3
GTEX-15DYW-2026-SM-6AJBD
60-69 years, female
1.3
GTEX-17HHY-2326-SM-7KFSR
50-59 years, male
1.2
GTEX-N7MS-1626-SM-3LK5F
60-69 years, male
1.1
GTEX-11OF3-1326-SM-5N9FJ
60-69 years, male
0.9
Show allShow less
KIDNEY - FANTOM5 CAGEi
RNA expression in human tissues obtained through Cap Analysis of Gene Expression (CAGE) generated by the FANTOM5 project are reported as Scaled Tags Per Million.