We use cookies to enhance the usability of our website. If you continue, we'll assume that you are happy to receive all cookies. More information. Don't show this again.
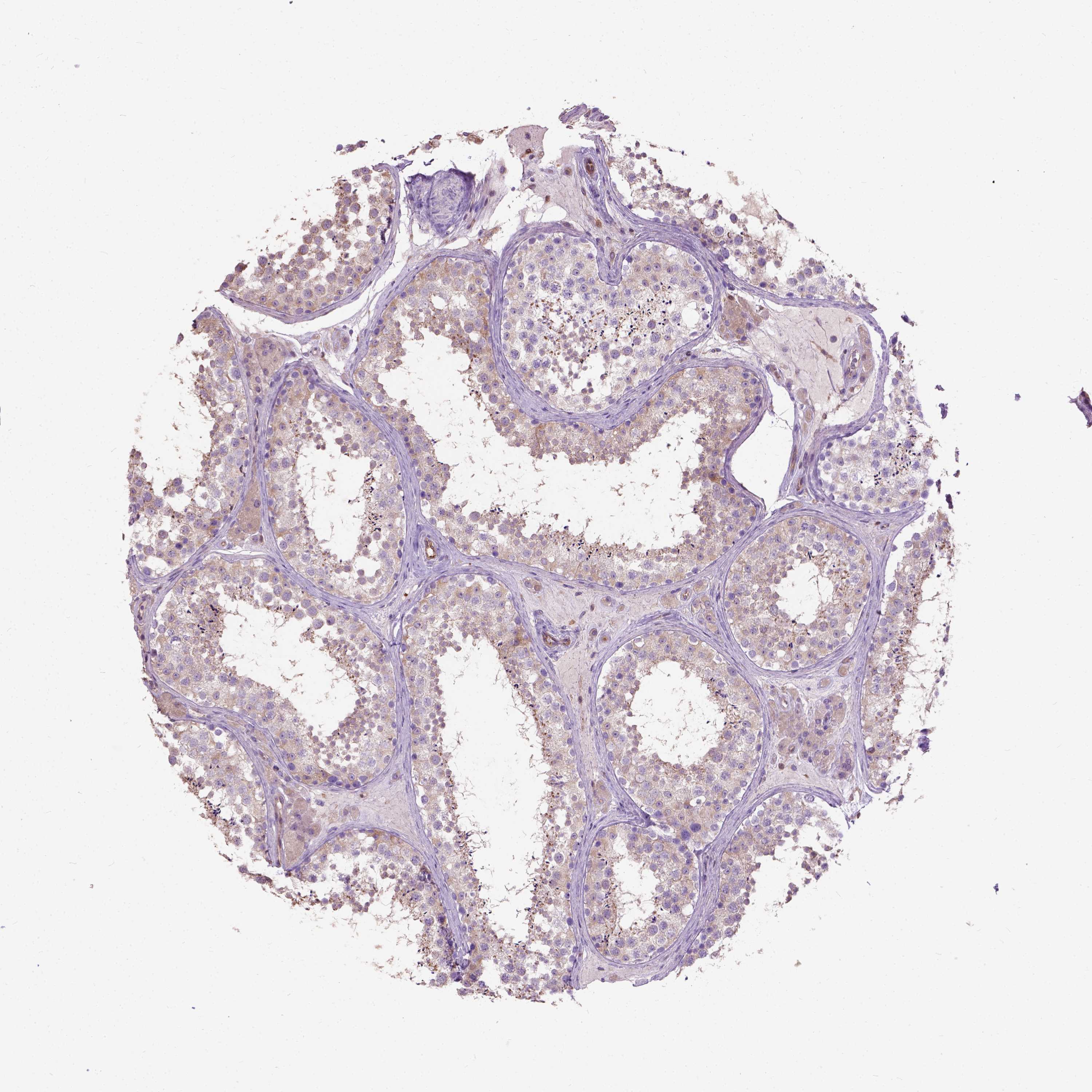
On the top, protein expression in current human tissue, based on all annotated cell types, is reported with the units not detected (n), low (l), medium (m) and high (h). Underneath, protein expression in each annotated cell type are reported using the same units.
Protein expression data is based on knowledge-based annotation. For genes where more than one antibody has been used, a collective score is set.
If knowledge-based annotation could not be performed for a gene, no data is displayed here. View antibody staining data further down this page.
A summary of mRNA expression data available for current tissue based on several datasets. The mRNA expression levels in human tissues are based on RNA-seq data generated by the Human Protein Atlas (HPA), Genotype-Tissue Expression (GTEx) portal and CAGE data generated by the FANTOM5 consortium. Consensus normalized expression (NX) levels for human tissues was created by combining the data from these three transcriptomics datasets (HPA, GTEx and FANTOM5).
The mRNA expression levels in pig are based on RNA-seq data generated by the Human Protein Atlas (HPA), and for mouse, HPA data and in situ hybridization generated by the Allen brain atlas are reported.
Scroll down to view mRNA expression data in more detail.
Antibody staining in the annotated cell types in the current human tissue is reported as not detected, low, medium, or high. This score is based on the staining intensity and fraction of stained cells.
The RNA-seq details section shows detailed information about the individual samples used for the transcript profiling and results of the RNA-seq analysis.
Information about each individual sample is listed below, including gender, age, a tissue section image and estimated fractions of cell types. pTPM (transcripts per million) values give a quantification of the gene abundance which is comparable between different genes and samples.
Cells in seminiferous ducts: 65 Other cell types: 35
Male, age 34
Testis sample 278 pTPM: 10.6
Cell types%
Cells in seminiferous ducts: 75 Other cell types: 25
Male, age 62
Testis sample 279 pTPM: 7.7
Cell types%
Cells in seminiferous ducts: 70 Other cell types: 30
Male, age 34
Testis sample 280 pTPM: 8.3
Cell types%
Cells in seminiferous ducts: 60 Other cell types: 40
Male, age 26
Testis sample 281 pTPM: 8.5
Cell types%
Cells in seminiferous ducts: 55 Other cell types: 45
Male, age 50
Testis sample 282 pTPM: 5.1
Cell types%
Cells in seminiferous ducts: 85 Other cell types: 15
Male, age 37
Testis sample 283 pTPM: 7
Cell types%
Cells in seminiferous ducts: 35 Other cell types: 65
Male, age 51
Testis sample 349 pTPM: 5
Cell types%
Cells in seminiferous ducts: 65 Other cell types: 35
Male, age 34
Testis sample 354 pTPM: 9.9
Cell types%
Cells in seminiferous ducts: 70 Other cell types: 30
Male, age 26
Testis sample 371 pTPM: 7.1
Cell types%
Cells in seminiferous ducts: 75 Other cell types: 25
TESTIS - GTEx RNA-seqi
RNA-Seq data generated by the Genotype-Tissue Expression (GTEx) project from human tissues is reported as average pTPM. More information can be found on the GTEx portal.
Distribution across the dataset is visualized with box plots, shown as median and 25th and 75th percentiles. Points are displayed as outliers if they are above or below 1.5 times the interquartile range. pTPM values of the individual samples are presented next to the box plot.
Max pTPM: 17.0
Min pTPM: 3.4
Std pTPM: 1.9
Median pTPM: 7.4
GTEX-14C5O-2326-SM-73KYU
60-69 years, male
17.0
GTEX-XBED-2026-SM-4AT5D
60-69 years, male
14.0
GTEX-1AYCT-1026-SM-79ONR
50-59 years, male
13.7
GTEX-QLQ7-1426-SM-4R1JX
60-69 years, male
12.9
GTEX-1CAMR-1526-SM-79OLP
20-29 years, male
12.2
GTEX-O5YT-2126-SM-3MJGD
20-29 years, male
12.2
GTEX-XPVG-2226-SM-4B65U
50-59 years, male
12.0
GTEX-117YX-2026-SM-5GIEF
50-59 years, male
11.8
GTEX-S4Q7-1226-SM-4AD5I
20-29 years, male
11.8
GTEX-WY7C-2226-SM-4ONCS
50-59 years, male
11.8
GTEX-17MFQ-0826-SM-793C8
20-29 years, male
11.7
GTEX-13QJ3-0226-SM-5S2PU
50-59 years, male
11.6
GTEX-Y8E4-2226-SM-5LU94
40-49 years, male
11.5
GTEX-12BJ1-1326-SM-5BC5P
60-69 years, male
11.4
GTEX-1B8KZ-1826-SM-73KVJ
50-59 years, male
11.4
GTEX-T5JC-0726-SM-4DM55
20-29 years, male
11.4
GTEX-S4Z8-2126-SM-4AD5H
60-69 years, male
11.3
GTEX-QV44-1726-SM-4R1KG
50-59 years, male
11.2
GTEX-U8XE-0126-SM-4E3I3
30-39 years, male
11.0
GTEX-18A66-0726-SM-72D77
60-69 years, male
10.7
GTEX-145MF-1726-SM-5LU9H
50-59 years, male
10.6
GTEX-WFON-2026-SM-4LVMW
40-49 years, male
10.6
GTEX-11DXY-0226-SM-5H123
60-69 years, male
10.5
GTEX-17HHE-1226-SM-793C6
50-59 years, male
10.5
GTEX-1AX8Z-2826-SM-73KTZ
60-69 years, male
10.4
GTEX-WOFM-1126-SM-4OOSB
20-29 years, male
10.4
GTEX-WVLH-2626-SM-4MVNV
50-59 years, male
10.4
GTEX-14A6H-2326-SM-5Q5B5
30-39 years, male
10.2
GTEX-14B4R-1026-SM-5TDDS
30-39 years, male
10.2
GTEX-ZA64-1626-SM-5CVME
20-29 years, male
10.2
GTEX-1A3MV-0726-SM-72D5M
30-39 years, male
10.0
GTEX-14C38-0126-SM-5YY9V
50-59 years, male
9.8
GTEX-1AX9J-1226-SM-72D6P
60-69 years, male
9.8
GTEX-NPJ8-1226-SM-3MJHM
40-49 years, male
9.8
GTEX-QLQW-1026-SM-447A9
30-39 years, male
9.8
GTEX-RM2N-1326-SM-48FCW
50-59 years, male
9.8
GTEX-SNMC-1026-SM-4DM7K
20-29 years, male
9.8
GTEX-14PJ4-1726-SM-664OC
60-69 years, male
9.7
GTEX-U4B1-1526-SM-4DXSL
40-49 years, male
9.7
GTEX-YJ89-0626-SM-4TT3Z
60-69 years, male
9.7
GTEX-ZDTT-2026-SM-5K7TY
60-69 years, male
9.7
GTEX-S33H-0126-SM-4AD62
30-39 years, male
9.6
GTEX-XPT6-1626-SM-4B655
20-29 years, male
9.6
GTEX-YB5E-1926-SM-5IFIG
40-49 years, male
9.6
GTEX-111CU-1726-SM-5EGHM
50-59 years, male
9.5
GTEX-13FTW-1326-SM-5LZZD
40-49 years, male
9.5
GTEX-15RIE-0626-SM-6M47G
60-69 years, male
9.5
GTEX-17HGU-0726-SM-7DUFN
50-59 years, male
9.5
GTEX-14E1K-1926-SM-73KWS
50-59 years, male
9.4
GTEX-NFK9-0126-SM-3LK5H
40-49 years, male
9.4
GTEX-PLZ5-1526-SM-3P5ZX
50-59 years, male
9.4
GTEX-UPJH-0126-SM-4IHLL
50-59 years, male
9.4
GTEX-WHSE-0426-SM-4M1XO
20-29 years, male
9.4
GTEX-13OW8-0526-SM-5KM24
60-69 years, male
9.3
GTEX-13O1R-0726-SM-5IJEI
60-69 years, male
9.2
GTEX-U3ZH-1526-SM-4DXV1
30-39 years, male
9.2
GTEX-13O21-1226-SM-5J2MK
50-59 years, male
9.1
GTEX-14PJN-1626-SM-68727
30-39 years, male
9.1
GTEX-1C4CL-1926-SM-731DY
30-39 years, male
9.1
GTEX-13NZB-2026-SM-5MR4M
30-39 years, male
9.0
GTEX-S3XE-1526-SM-4AD5A
50-59 years, male
9.0
GTEX-T8EM-0126-SM-4DM5R
40-49 years, male
9.0
GTEX-13O61-2026-SM-5J2M6
60-69 years, male
8.9
GTEX-14A5H-0626-SM-5TDCO
60-69 years, male
8.9
GTEX-16YQH-1826-SM-6LPJW
30-39 years, male
8.9
GTEX-1CB4G-2426-SM-7DUGM
60-69 years, male
8.9
GTEX-1CB4I-0926-SM-7MKFY
50-59 years, male
8.9
GTEX-U3ZM-1626-SM-4DXSK
40-49 years, male
8.9
GTEX-ZUA1-2726-SM-59HLJ
40-49 years, male
8.9
GTEX-PLZ6-1226-SM-3P5ZS
30-39 years, male
8.8
GTEX-1339X-1926-SM-5PNVP
40-49 years, male
8.7
GTEX-R55C-1426-SM-48FED
40-49 years, male
8.7
GTEX-Y9LG-1726-SM-4VBQE
30-39 years, male
8.7
GTEX-QMRM-1526-SM-4R1K6
50-59 years, male
8.6
GTEX-WFG8-1926-SM-4LVM1
20-29 years, male
8.6
GTEX-1399R-1626-SM-5P9GG
30-39 years, male
8.5
GTEX-14753-0626-SM-5Q5CY
60-69 years, male
8.5
GTEX-14BIL-2226-SM-73KWF
50-59 years, male
8.5
GTEX-QV31-1126-SM-4R1K4
30-39 years, male
8.5
GTEX-111YS-2026-SM-5EGGL
60-69 years, male
8.4
GTEX-11P7K-1026-SM-5HL6Y
30-39 years, male
8.4
GTEX-ZAB4-0126-SM-5CVMG
40-49 years, male
8.4
GTEX-11EI6-2226-SM-5EGJM
60-69 years, male
8.3
GTEX-145LT-0426-SM-5LUAP
40-49 years, male
8.3
GTEX-1EKGG-2726-SM-79OOD
60-69 years, male
8.3
GTEX-OHPM-2126-SM-3LK75
50-59 years, male
8.3
GTEX-RUSQ-2126-SM-47JXK
50-59 years, male
8.3
GTEX-TKQ1-0926-SM-4DXU2
30-39 years, male
8.3
GTEX-13112-0226-SM-5P9IV
50-59 years, male
8.2
GTEX-18A7B-1526-SM-7KFTH
70-79 years, male
8.2
GTEX-1F6IF-0526-SM-7MKHD
60-69 years, male
8.2
GTEX-P4QS-2126-SM-3NMCF
60-69 years, male
8.2
GTEX-111VG-1926-SM-5GIDO
60-69 years, male
8.1
GTEX-139T6-1226-SM-5IFFC
50-59 years, male
8.1
GTEX-147GR-0626-SM-5S2PK
60-69 years, male
8.1
GTEX-14PJ3-1626-SM-664O5
50-59 years, male
8.1
GTEX-Y5V6-1726-SM-4VDSZ
60-69 years, male
8.1
GTEX-11TT1-2226-SM-5GU6B
20-29 years, male
8.0
GTEX-12ZZY-0126-SM-5LZV2
60-69 years, male
8.0
GTEX-14E6E-1026-SM-664N9
30-39 years, male
8.0
GTEX-1AX9K-1826-SM-731CY
50-59 years, male
8.0
GTEX-X3Y1-2626-SM-4PQZI
40-49 years, male
8.0
GTEX-15RJ7-1826-SM-7KUMJ
40-49 years, male
7.9
GTEX-WYJK-1826-SM-4ONDM
50-59 years, male
7.9
GTEX-Y3I4-2026-SM-4TT6Z
50-59 years, male
7.9
GTEX-15G19-1326-SM-6LPIR
60-69 years, male
7.8
GTEX-15RIF-1826-SM-6M469
20-29 years, male
7.8
GTEX-OXRL-2126-SM-3NM98
50-59 years, male
7.8
GTEX-VJYA-1426-SM-4KL1Y
60-69 years, male
7.8
GTEX-ZTSS-1526-SM-51MTC
40-49 years, male
7.8
GTEX-1B8KE-1426-SM-7EWEL
50-59 years, male
7.7
GTEX-OOBJ-2126-SM-3NB1N
60-69 years, male
7.7
GTEX-ZDYS-1326-SM-5IJFF
50-59 years, male
7.7
GTEX-11O72-0726-SM-5P9GO
40-49 years, male
7.6
GTEX-1212Z-0326-SM-5FQSJ
60-69 years, male
7.6
GTEX-13NZA-2526-SM-5IJFX
60-69 years, male
7.6
GTEX-13OW6-0126-SM-5IJGM
50-59 years, male
7.6
GTEX-1AX9I-1826-SM-72D5I
60-69 years, male
7.6
GTEX-131XE-0426-SM-5IJF4
50-59 years, male
7.5
GTEX-132QS-1226-SM-5P9GD
60-69 years, male
7.5
GTEX-13OW5-2526-SM-5L3I1
60-69 years, male
7.5
GTEX-145MO-0126-SM-5S2QU
60-69 years, male
7.5
GTEX-18D9B-2726-SM-72D73
60-69 years, male
7.5
GTEX-XBEC-0126-SM-4GIDT
50-59 years, male
7.5
GTEX-YF7O-2026-SM-4W1YE
50-59 years, male
7.5
GTEX-11NSD-1026-SM-5N9BE
20-29 years, male
7.4
GTEX-14DAR-1126-SM-793AT
50-59 years, male
7.4
GTEX-16AAH-1626-SM-7EWE2
50-59 years, male
7.4
GTEX-183FY-1926-SM-7KFRI
20-29 years, male
7.4
GTEX-N7MS-0126-SM-3TW8O
60-69 years, male
7.4
GTEX-OIZH-2126-SM-3NB1P
50-59 years, male
7.4
GTEX-S7SE-0326-SM-4AT5Q
50-59 years, male
7.4
GTEX-TKQ2-1526-SM-4DXUN
50-59 years, male
7.4
GTEX-U8T8-1126-SM-4DXUE
60-69 years, male
7.4
GTEX-X5EB-2026-SM-4E3KA
40-49 years, male
7.4
GTEX-XGQ4-2026-SM-4AT6G
50-59 years, male
7.4
GTEX-139TS-1726-SM-5IJG5
60-69 years, male
7.3
GTEX-13OVK-2226-SM-6LPJY
40-49 years, male
7.3
GTEX-18A6Q-2626-SM-7KFT3
60-69 years, male
7.3
GTEX-1B996-2326-SM-731EC
60-69 years, male
7.3
GTEX-Q2AI-1226-SM-48U14
40-49 years, male
7.3
GTEX-YEC4-1526-SM-4W1YU
40-49 years, male
7.3
GTEX-ZPU1-2126-SM-57WED
40-49 years, male
7.3
GTEX-ZT9X-1426-SM-5DUX1
40-49 years, male
7.3
GTEX-ZTX8-1126-SM-51MRM
20-29 years, male
7.3
GTEX-ZYFC-0126-SM-5GIEH
50-59 years, male
7.3
GTEX-ZZ64-1126-SM-5GZXY
20-29 years, male
7.3
GTEX-13111-1526-SM-5EGJX
50-59 years, male
7.2
GTEX-147JS-0126-SM-5S2TW
60-69 years, male
7.2
GTEX-15SKB-0326-SM-6M477
60-69 years, male
7.2
GTEX-18465-1526-SM-7KFTV
50-59 years, male
7.2
GTEX-OIZI-0126-SM-3NB13
40-49 years, male
7.2
GTEX-REY6-0126-SM-48FDT
60-69 years, male
7.2
GTEX-S95S-1126-SM-4B64E
60-69 years, male
7.2
GTEX-SNOS-1126-SM-4DM67
40-49 years, male
7.2
GTEX-XMK1-2026-SM-4B65K
40-49 years, male
7.2
GTEX-ZLFU-2026-SM-4WWG2
40-49 years, male
7.2
GTEX-ZV7C-2026-SM-5NQ8F
50-59 years, male
7.2
GTEX-1399T-1526-SM-5P9J6
60-69 years, male
7.1
GTEX-13NYB-2226-SM-5MR58
40-49 years, male
7.1
GTEX-14PJ2-2026-SM-6AJAQ
50-59 years, male
7.1
GTEX-1A3MX-1026-SM-731F8
60-69 years, male
7.1
GTEX-V955-1926-SM-4KL1L
60-69 years, male
7.1
GTEX-XQ3S-2726-SM-4BOP2
20-29 years, male
7.1
GTEX-ZVTK-0126-SM-57WDG
20-29 years, male
7.1
GTEX-11ONC-2226-SM-5HL6D
60-69 years, male
7.0
GTEX-145MH-2326-SM-5O9AW
50-59 years, male
7.0
GTEX-1E2YA-2826-SM-7EPIN
50-59 years, male
7.0
GTEX-WZTO-0326-SM-4PQYZ
40-49 years, male
7.0
GTEX-13N1W-2626-SM-5IJEP
70-79 years, male
6.9
GTEX-144GL-0726-SM-5LU4P
50-59 years, male
6.9
GTEX-17KNJ-1126-SM-7KFT6
50-59 years, male
6.9
GTEX-1B8SF-2926-SM-731DL
60-69 years, male
6.8
GTEX-OOBK-2126-SM-3LK5T
40-49 years, male
6.8
GTEX-RN64-2326-SM-48FDW
50-59 years, male
6.8
GTEX-11EQ9-1926-SM-5PNVV
30-39 years, male
6.7
GTEX-14C39-0526-SM-664OF
40-49 years, male
6.7
GTEX-15SHV-1926-SM-6LPI1
60-69 years, male
6.7
GTEX-Q2AH-1526-SM-48TZG
40-49 years, male
6.7
GTEX-QEG5-0126-SM-4R1JR
20-29 years, male
6.7
GTEX-RWSA-2426-SM-47JXR
40-49 years, male
6.7
GTEX-S7PM-0626-SM-4AD4Q
60-69 years, male
6.7
GTEX-XAJ8-1326-SM-47JYT
40-49 years, male
6.7
GTEX-11P82-1526-SM-5BC5M
20-29 years, male
6.6
GTEX-11TUW-2226-SM-5EQL9
60-69 years, male
6.6
GTEX-13OVH-0726-SM-5N9BU
70-79 years, male
6.6
GTEX-144GN-1626-SM-5Q5BU
50-59 years, male
6.6
GTEX-17GQL-1726-SM-718B8
60-69 years, male
6.6
GTEX-1C64O-2126-SM-7IGPB
60-69 years, male
6.6
GTEX-PW2O-1426-SM-48TCD
20-29 years, male
6.6
GTEX-XLM4-1526-SM-4AT6D
60-69 years, male
6.6
GTEX-YEC3-1726-SM-5IFIK
50-59 years, male
6.6
GTEX-13N2G-0126-SM-5N9DV
60-69 years, male
6.5
GTEX-13VXU-0726-SM-5J2O7
50-59 years, male
6.5
GTEX-17HHY-0726-SM-7IGM6
50-59 years, male
6.5
GTEX-WK11-0326-SM-4OOS6
50-59 years, male
6.5
GTEX-11GS4-2026-SM-5N9CP
60-69 years, male
6.4
GTEX-13OVL-0426-SM-5IFG6
50-59 years, male
6.4
GTEX-16MTA-1126-SM-6LPJA
50-59 years, male
6.4
GTEX-16XZZ-0626-SM-6M47T
60-69 years, male
6.4
GTEX-R55D-0126-SM-48FEL
50-59 years, male
6.4
GTEX-R55E-0726-SM-48FCZ
20-29 years, male
6.4
GTEX-T6MN-2026-SM-4DM7L
50-59 years, male
6.4
GTEX-Y111-2426-SM-4TT23
50-59 years, male
6.4
GTEX-ZAB5-2426-SM-5CVMW
50-59 years, male
6.4
GTEX-ZT9W-2226-SM-57WFU
50-59 years, male
6.4
GTEX-ZVZP-2226-SM-57WBF
50-59 years, male
6.4
GTEX-12WSM-1326-SM-5GCP9
60-69 years, male
6.3
GTEX-144GM-0426-SM-5Q5C8
20-29 years, male
6.3
GTEX-18QFQ-1926-SM-72D5H
30-39 years, male
6.3
GTEX-YFCO-1726-SM-4W21S
40-49 years, male
6.3
GTEX-117XS-2026-SM-5GID1
60-69 years, male
6.2
GTEX-139TT-2226-SM-5LZWO
60-69 years, male
6.2
GTEX-1E1VI-1026-SM-7MKGQ
50-59 years, male
6.2
GTEX-12C56-1426-SM-5FQSW
20-29 years, male
6.1
GTEX-147F4-0626-SM-5LUAK
50-59 years, male
6.1
GTEX-QEG4-0126-SM-48TZE
30-39 years, male
6.1
GTEX-14PHX-1426-SM-69LPP
50-59 years, male
6.0
GTEX-11NV4-1726-SM-5N9FC
60-69 years, male
5.9
GTEX-17F9E-1626-SM-7EWDB
50-59 years, male
5.9
GTEX-1C6VQ-1426-SM-73KTW
50-59 years, male
5.9
GTEX-1GMRU-0626-SM-7MKH2
50-59 years, male
5.9
GTEX-12WSI-2126-SM-5GCMV
50-59 years, male
5.8
GTEX-13FHP-2826-SM-5IJFW
50-59 years, male
5.8
GTEX-18A67-1826-SM-7KFT7
50-59 years, male
5.8
GTEX-12696-0226-SM-5EGL3
60-69 years, male
5.7
GTEX-12WSL-2326-SM-5DUXQ
50-59 years, male
5.7
GTEX-1BAJH-0726-SM-7IGMF
70-79 years, male
5.7
GTEX-1C6VR-1526-SM-7MKG9
60-69 years, male
5.7
GTEX-V1D1-2126-SM-4JBH4
50-59 years, male
5.7
GTEX-11EQ8-1426-SM-5EGJR
60-69 years, male
5.6
GTEX-11NUK-2626-SM-5A5MB
50-59 years, male
5.6
GTEX-12WSH-0326-SM-5GCNH
50-59 years, male
5.6
GTEX-16Z82-2726-SM-7KULV
60-69 years, male
5.6
GTEX-11ZUS-2726-SM-5FQUA
30-39 years, male
5.5
GTEX-14E7W-0726-SM-664OK
70-79 years, male
5.5
GTEX-1C6VS-1126-SM-7EWEW
60-69 years, male
5.5
GTEX-X261-2326-SM-4PQYU
50-59 years, male
5.5
GTEX-11DXZ-2126-SM-59881
50-59 years, male
5.4
GTEX-11OF3-1826-SM-5987N
60-69 years, male
5.4
GTEX-148VJ-2526-SM-5TDEI
70-79 years, male
5.4
GTEX-WVJS-2726-SM-4MVNU
50-59 years, male
5.4
GTEX-Z93S-1726-SM-5HL8G
50-59 years, male
5.4
GTEX-ZYT6-2726-SM-5GICP
30-39 years, male
5.4
GTEX-11LCK-2326-SM-5HL53
30-39 years, male
5.3
GTEX-1CB4J-1626-SM-79OOK
60-69 years, male
5.3
GTEX-WH7G-1926-SM-4LVMM
40-49 years, male
5.3
GTEX-111FC-1926-SM-5GZYC
60-69 years, male
5.2
GTEX-WHSB-2126-SM-4M1XF
50-59 years, male
5.2
GTEX-117YW-1526-SM-5EGGP
50-59 years, male
5.1
GTEX-17F97-2726-SM-7IGQ4
50-59 years, male
5.0
GTEX-14ABY-0626-SM-5Q5C9
50-59 years, male
4.9
GTEX-17HII-0126-SM-7KFSS
50-59 years, male
4.9
GTEX-11WQC-2326-SM-5EQKE
60-69 years, male
4.8
GTEX-1EU9M-1626-SM-7EWF2
60-69 years, male
4.7
GTEX-17MF6-2726-SM-7IGMZ
40-49 years, male
4.6
GTEX-ZQUD-2026-SM-51MSM
30-39 years, male
4.3
GTEX-13FLW-2126-SM-5N9FD
50-59 years, male
4.2
GTEX-1C64N-2826-SM-7IGP5
50-59 years, male
3.4
Show allShow less
TESTIS - FANTOM5 CAGEi
RNA expression in human tissues obtained through Cap Analysis of Gene Expression (CAGE) generated by the FANTOM5 project are reported as Scaled Tags Per Million.