We use cookies to enhance the usability of our website. If you continue, we'll assume that you are happy to receive all cookies. More information. Don't show this again.
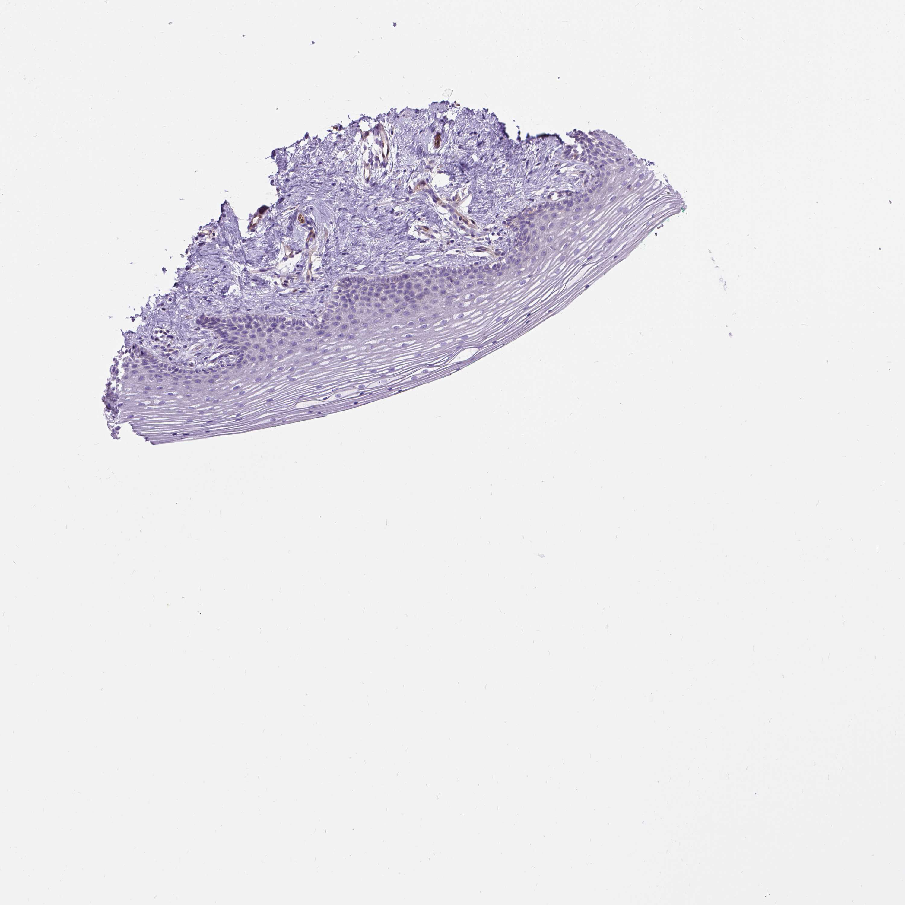
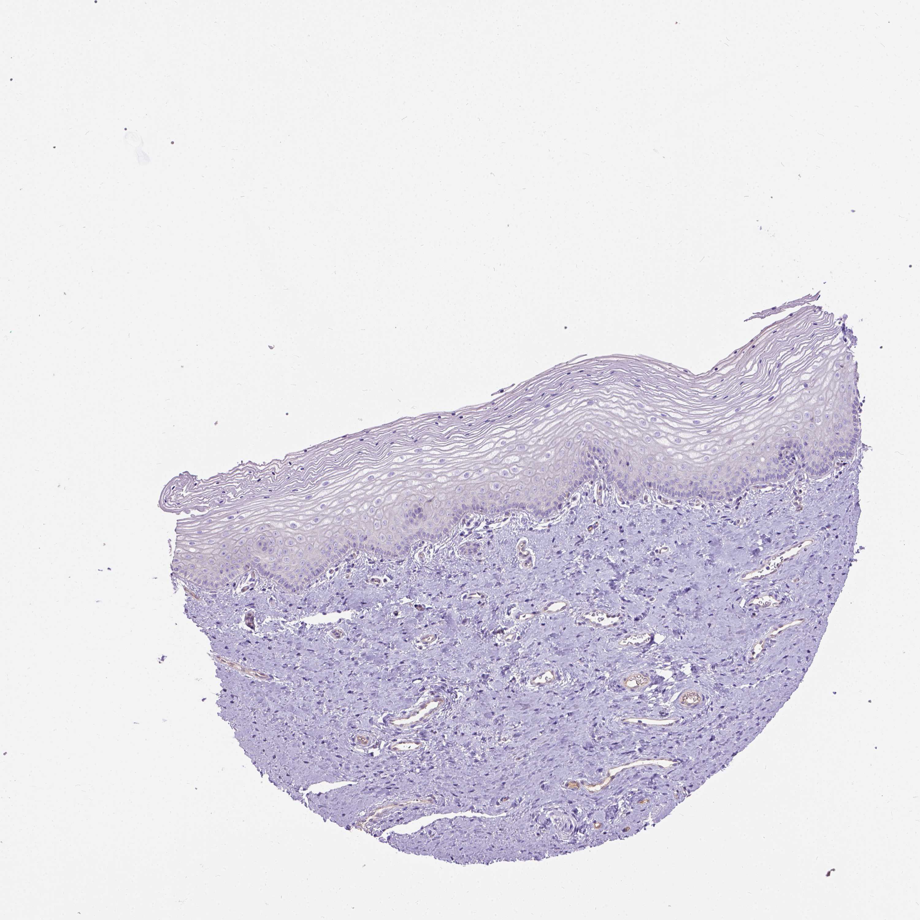
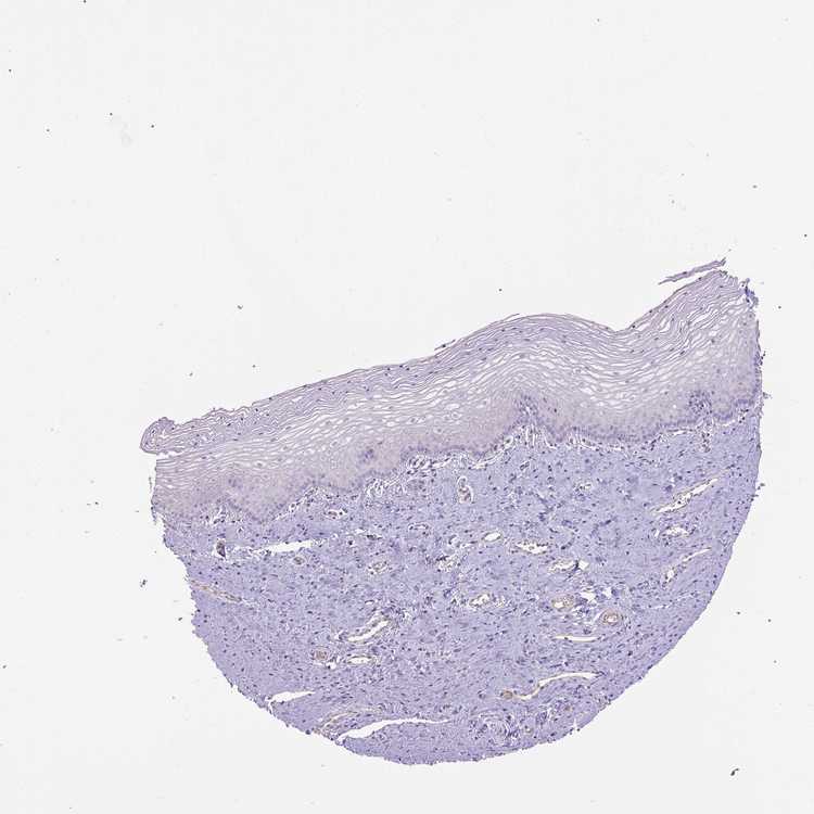
On the top, protein expression in current human tissue, based on all annotated cell types, is reported with the units not detected (n), low (l), medium (m) and high (h). Underneath, protein expression in each annotated cell type are reported using the same units.
Protein expression data is based on knowledge-based annotation. For genes where more than one antibody has been used, a collective score is set.
If knowledge-based annotation could not be performed for a gene, no data is displayed here. View antibody staining data further down this page.
A summary of mRNA expression data available for current tissue based on several datasets. The mRNA expression levels in human tissues are based on RNA-seq data generated by the Human Protein Atlas (HPA), Genotype-Tissue Expression (GTEx) portal and CAGE data generated by the FANTOM5 consortium. Consensus normalized expression (NX) levels for human tissues was created by combining the data from these three transcriptomics datasets (HPA, GTEx and FANTOM5).
The mRNA expression levels in pig are based on RNA-seq data generated by the Human Protein Atlas (HPA), and for mouse, HPA data and in situ hybridization generated by the Allen brain atlas are reported.
Scroll down to view mRNA expression data in more detail.
Antibody staining in the annotated cell types in the current human tissue is reported as not detected, low, medium, or high. This score is based on the staining intensity and fraction of stained cells.
RNA-Seq data generated by the Genotype-Tissue Expression (GTEx) project from human tissues is reported as average pTPM. More information can be found on the GTEx portal.
Distribution across the dataset is visualized with box plots, shown as median and 25th and 75th percentiles. Points are displayed as outliers if they are above or below 1.5 times the interquartile range. pTPM values of the individual samples are presented next to the box plot.
Max pTPM: 13.4
Min pTPM: 1.2
Std pTPM: 3.0
Median pTPM: 4.3
GTEX-17JCI-2526-SM-7DHLB
60-69 years, female
13.4
GTEX-ZVT3-2726-SM-5GU5X
60-69 years, female
12.8
GTEX-14DAQ-2326-SM-5S2QX
60-69 years, female
11.9
GTEX-145LS-2526-SM-5TDC9
60-69 years, female
11.8
GTEX-1EWIQ-2326-SM-7IGNF
70-79 years, female
11.7
GTEX-XV7Q-1626-SM-4BRWC
40-49 years, female
11.6
GTEX-12ZZX-1926-SM-5EGKC
40-49 years, female
11.5
GTEX-15DYW-2926-SM-6PANA
60-69 years, female
11.1
GTEX-15UF6-2126-SM-6M46Z
70-79 years, female
10.6
GTEX-131YS-2426-SM-5J2OD
60-69 years, female
10.2
GTEX-183WM-2126-SM-7LG4I
70-79 years, female
10.0
GTEX-PLZ4-2726-SM-3P61A
50-59 years, female
9.9
GTEX-14PJM-2926-SM-69LOE
50-59 years, female
9.8
GTEX-RU1J-1426-SM-46MUV
20-29 years, female
9.7
GTEX-13N11-1526-SM-5L3FL
50-59 years, female
9.6
GTEX-146FH-2626-SM-5Q5E1
50-59 years, female
8.9
GTEX-11GSP-2226-SM-5HL5Q
60-69 years, female
8.5
GTEX-12WSD-2926-SM-5LZUH
60-69 years, female
7.8
GTEX-YFC4-2926-SM-5IFJ8
40-49 years, female
7.8
GTEX-UJHI-1326-SM-4IHJO
50-59 years, female
7.7
GTEX-TSE9-2526-SM-4DXUS
60-69 years, female
7.6
GTEX-ZYY3-2626-SM-5N9DH
60-69 years, female
7.6
GTEX-WRHU-2926-SM-4MVNQ
50-59 years, female
7.4
GTEX-13QIC-1826-SM-5J1MY
60-69 years, female
7.3
GTEX-ZYVF-0326-SM-5GIES
50-59 years, female
7.1
GTEX-Q734-1426-SM-48TZQ
40-49 years, female
7.0
GTEX-WYVS-1426-SM-4ONCV
40-49 years, female
6.9
GTEX-13W3W-2326-SM-5LU4Y
60-69 years, female
6.8
GTEX-T2IS-1926-SM-4DM74
20-29 years, female
6.7
GTEX-13U4I-2026-SM-5LU3L
40-49 years, female
6.6
GTEX-QDT8-2526-SM-48TYX
30-39 years, female
6.5
GTEX-P78B-2226-SM-3P5ZZ
40-49 years, female
6.2
GTEX-15DCZ-2326-SM-6AJB1
20-29 years, female
6.1
GTEX-RWS6-1726-SM-47JXP
60-69 years, female
6.1
GTEX-ZE7O-2426-SM-57WD7
50-59 years, female
6.1
GTEX-XUW1-0326-SM-4BOOR
50-59 years, female
6.0
GTEX-ZC5H-2226-SM-4WAWS
40-49 years, female
6.0
GTEX-14A5I-2726-SM-5SIB3
50-59 years, female
5.7
GTEX-W5WG-1026-SM-4LMIF
50-59 years, female
5.7
GTEX-X15G-1926-SM-4PQZQ
50-59 years, female
5.4
GTEX-15SHU-2926-SM-7KUKT
40-49 years, female
5.3
GTEX-113JC-1926-SM-5N9GE
50-59 years, female
5.1
GTEX-P4PP-2526-SM-3P61P
30-39 years, female
5.1
GTEX-NL3G-2526-SM-4SOIE
60-69 years, female
5.0
GTEX-16NPV-2526-SM-6M483
50-59 years, female
4.9
GTEX-18A7A-2826-SM-7LT8J
50-59 years, female
4.8
GTEX-PX3G-2526-SM-48TZV
20-29 years, female
4.8
GTEX-YJ8O-1226-SM-5P9JE
40-49 years, female
4.8
GTEX-1117F-2526-SM-5GZY6
60-69 years, female
4.7
GTEX-12WSJ-1326-SM-5GCOB
40-49 years, female
4.7
GTEX-147F3-1526-SM-5SIAK
50-59 years, female
4.7
GTEX-S4UY-1326-SM-4AD4X
40-49 years, female
4.7
GTEX-13OVI-0926-SM-5J1MI
60-69 years, female
4.4
GTEX-15SB6-1426-SM-7KUEM
50-59 years, female
4.4
GTEX-1A8FM-2426-SM-7IGPE
50-59 years, female
4.4
GTEX-OHPL-2526-SM-3MJGT
60-69 years, female
4.4
GTEX-TMMY-1926-SM-4DXUU
40-49 years, female
4.4
GTEX-11DXX-1726-SM-5H11T
60-69 years, female
4.3
GTEX-QCQG-1226-SM-48U23
50-59 years, female
4.2
GTEX-11P81-2126-SM-5HL6N
30-39 years, female
4.1
GTEX-17F9Y-2326-SM-7DUFP
70-79 years, female
4.1
GTEX-13D11-1326-SM-5IJFY
50-59 years, female
4.0
GTEX-11TTK-2726-SM-5GU58
60-69 years, female
3.8
GTEX-11VI4-0726-SM-5GU5B
40-49 years, female
3.8
GTEX-146FR-2426-SM-5NQAU
60-69 years, female
3.8
GTEX-11EMC-1926-SM-5A5JU
60-69 years, female
3.7
GTEX-13PVR-1426-SM-5S2PW
60-69 years, female
3.6
GTEX-14BMU-1926-SM-5S2QC
20-29 years, female
3.6
GTEX-S4P3-1126-SM-4AD52
50-59 years, female
3.6
GTEX-ZV6S-1326-SM-59HJA
40-49 years, female
3.6
GTEX-11EM3-1826-SM-5A5KO
20-29 years, female
3.4
GTEX-Y8LW-1426-SM-5RQJJ
50-59 years, female
3.4
GTEX-13PL7-2726-SM-5L3GB
60-69 years, female
3.2
GTEX-1CAMS-2326-SM-793CR
40-49 years, female
3.2
GTEX-TML8-1126-SM-4DXSS
40-49 years, female
3.2
GTEX-SE5C-1126-SM-4BRWZ
40-49 years, female
3.1
GTEX-ZGAY-2226-SM-4YCCX
40-49 years, female
3.1
GTEX-11XUK-1326-SM-5EQM4
40-49 years, female
3.0
GTEX-1399S-2326-SM-5K7YV
30-39 years, female
3.0
GTEX-18D9A-1026-SM-7KFRU
30-39 years, female
3.0
GTEX-N7MT-1926-SM-3LK5N
60-69 years, female
2.9
GTEX-15ER7-2526-SM-7KUFW
20-29 years, female
2.8
GTEX-ZQG8-1126-SM-51MRL
60-69 years, female
2.8
GTEX-1399U-1526-SM-5J2N7
50-59 years, female
2.7
GTEX-PWN1-2526-SM-48TDS
40-49 years, female
2.7
GTEX-WEY5-0826-SM-4LMIH
40-49 years, female
2.7
GTEX-S341-1226-SM-4AD5S
40-49 years, female
2.6
GTEX-13QBU-1726-SM-5IJFQ
40-49 years, female
2.5
GTEX-OHPK-2526-SM-3MJH9
50-59 years, female
2.5
GTEX-T6MO-1226-SM-4DM5S
40-49 years, female
2.5
GTEX-Y3IK-2226-SM-4YCD4
50-59 years, female
2.5
GTEX-U3ZN-0926-SM-4DXTU
30-39 years, female
2.4
GTEX-Y114-1926-SM-4TT8J
50-59 years, female
2.4
GTEX-131XG-2126-SM-5DUXG
50-59 years, female
2.2
GTEX-QVJO-2526-SM-4R1KB
60-69 years, female
2.2
GTEX-ZXES-0626-SM-5E45P
30-39 years, female
2.2
GTEX-14PN3-1626-SM-6AJAV
60-69 years, female
2.1
GTEX-15SDE-1726-SM-6LPJS
50-59 years, female
2.1
GTEX-ZP4G-0826-SM-4WWF3
20-29 years, female
2.1
GTEX-ZTPG-2226-SM-57WF9
20-29 years, female
2.0
GTEX-ZVT2-0626-SM-5GICR
50-59 years, female
2.0
GTEX-145ME-1426-SM-5RQJS
40-49 years, female
1.9
GTEX-S7SF-1426-SM-4AT5A
20-29 years, female
1.9
GTEX-X8HC-2826-SM-46MWJ
50-59 years, female
1.9
GTEX-14H4A-2426-SM-664OQ
40-49 years, female
1.8
GTEX-1C475-0526-SM-793AC
40-49 years, female
1.7
GTEX-14PJ6-1626-SM-6872D
60-69 years, female
1.6
GTEX-PWCY-1726-SM-48TD3
20-29 years, female
1.5
GTEX-ZZPU-2226-SM-5EGIV
50-59 years, female
1.4
GTEX-16NGA-1626-SM-72D6M
40-49 years, female
1.3
GTEX-1AMFI-1526-SM-73KVY
50-59 years, female
1.3
GTEX-11I78-2026-SM-5987C
50-59 years, female
1.2
GTEX-14JG6-0726-SM-69LQH
30-39 years, female
1.2
GTEX-14PKU-1326-SM-6871B
40-49 years, female
1.2
GTEX-ZLWG-1126-SM-4WWFQ
50-59 years, female
1.2
Show allShow less
VAGINA - FANTOM5 CAGEi
RNA expression in human tissues obtained through Cap Analysis of Gene Expression (CAGE) generated by the FANTOM5 project are reported as Scaled Tags Per Million.