We use cookies to enhance the usability of our website. If you continue, we'll assume that you are happy to receive all cookies. More information. Don't show this again.
On the top, protein expression in current human tissue, based on all annotated cell types, is reported with the units not detected (n), low (l), medium (m) and high (h). Underneath, protein expression in each annotated cell type are reported using the same units.
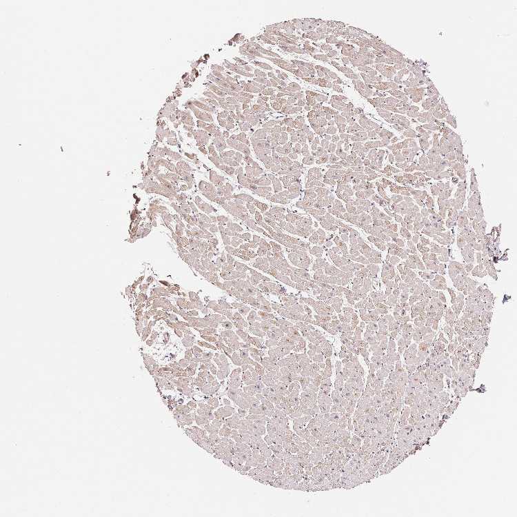
Protein expression data is based on knowledge-based annotation. For genes where more than one antibody has been used, a collective score is set.
If knowledge-based annotation could not be performed for a gene, no data is displayed here. View antibody staining data further down this page.
A summary of mRNA expression data available for current tissue based on several datasets. The mRNA expression levels in human tissues are based on RNA-seq data generated by the Human Protein Atlas (HPA), Genotype-Tissue Expression (GTEx) portal and CAGE data generated by the FANTOM5 consortium. Consensus normalized expression (NX) levels for human tissues was created by combining the data from these three transcriptomics datasets (HPA, GTEx and FANTOM5).
The mRNA expression levels in pig are based on RNA-seq data generated by the Human Protein Atlas (HPA), and for mouse, HPA data and in situ hybridization generated by the Allen brain atlas are reported.
Scroll down to view mRNA expression data in more detail.
Antibody staining in the annotated cell types in the current human tissue is reported as not detected, low, medium, or high. This score is based on the staining intensity and fraction of stained cells.
The RNA-seq details section shows detailed information about the individual samples used for the transcript profiling and results of the RNA-seq analysis.
Information about each individual sample is listed below, including gender, age, a tissue section image and estimated fractions of cell types. pTPM (transcripts per million) values give a quantification of the gene abundance which is comparable between different genes and samples.
RNA-Seq data generated by the Genotype-Tissue Expression (GTEx) project from human tissues is reported as average pTPM. More information can be found on the GTEx portal.
Distribution across the dataset is visualized with box plots, shown as median and 25th and 75th percentiles. Points are displayed as outliers if they are above or below 1.5 times the interquartile range. pTPM values of the individual samples are presented next to the box plot.
Max pTPM: 1.5
Min pTPM: 0.0
Std pTPM: 0.1
Median pTPM: 0.0
GTEX-X4XX-1126-SM-3NMBY
60-69 years, male
1.5
GTEX-18A66-1126-SM-731C5
60-69 years, male
1.1
GTEX-14PHY-0326-SM-62LE3
60-69 years, female
0.8
GTEX-1AX9I-1026-SM-73KYF
60-69 years, male
0.7
GTEX-18A67-1026-SM-731CE
50-59 years, male
0.5
GTEX-1E1VI-1426-SM-793CY
50-59 years, male
0.5
GTEX-11GSP-1226-SM-5985M
60-69 years, female
0.4
GTEX-145LS-1326-SM-5Q5EP
60-69 years, female
0.4
GTEX-17JCI-0826-SM-7LT8W
60-69 years, female
0.4
GTEX-18A7A-1226-SM-7LTAJ
50-59 years, female
0.4
GTEX-X261-0926-SM-3NMCY
50-59 years, male
0.4
GTEX-12ZZY-1226-SM-5GCNK
60-69 years, male
0.3
GTEX-132NY-1426-SM-5J1MJ
60-69 years, male
0.3
GTEX-13NYB-0326-SM-5IJDP
40-49 years, male
0.3
GTEX-13OW6-0926-SM-5L3GM
50-59 years, male
0.3
GTEX-15CHR-0326-SM-7DHN3
50-59 years, male
0.3
GTEX-ZDXO-0426-SM-4WKF6
60-69 years, male
0.3
GTEX-146FH-1126-SM-5NQAT
50-59 years, female
0.2
GTEX-15ER7-0826-SM-6PALW
20-29 years, female
0.2
GTEX-16XZZ-1026-SM-7DHKS
60-69 years, male
0.2
GTEX-17HGU-1126-SM-793BP
50-59 years, male
0.2
GTEX-18D9B-1126-SM-7KFSH
60-69 years, male
0.2
GTEX-XXEK-2026-SM-4BRVE
50-59 years, male
0.2
GTEX-Y8E4-0426-SM-4V6GB
40-49 years, male
0.2
GTEX-11DXY-1026-SM-5987V
60-69 years, male
0.1
GTEX-12WSC-1026-SM-5EQ5Y
50-59 years, male
0.1
GTEX-139TU-1926-SM-5J2OC
60-69 years, male
0.1
GTEX-13CF2-0226-SM-5L3DV
60-69 years, male
0.1
GTEX-13N1W-0926-SM-5MR36
70-79 years, male
0.1
GTEX-13X6J-1226-SM-79OMF
50-59 years, male
0.1
GTEX-147JS-1326-SM-5SI6D
60-69 years, male
0.1
GTEX-14A6H-0326-SM-5NQAN
30-39 years, male
0.1
GTEX-14BIL-0926-SM-7DHKN
50-59 years, male
0.1
GTEX-14BIM-2726-SM-5Q5EG
60-69 years, female
0.1
GTEX-14DAQ-1026-SM-793B1
60-69 years, female
0.1
GTEX-14PII-1026-SM-5ZZVW
60-69 years, male
0.1
GTEX-16GPK-1226-SM-7LTAU
60-69 years, male
0.1
GTEX-17F96-0826-SM-7DHLU
70-79 years, male
0.1
GTEX-18465-0726-SM-7LG4L
50-59 years, male
0.1
GTEX-1A32A-1326-SM-73KWW
50-59 years, female
0.1
GTEX-1EWIQ-1126-SM-7EPIK
70-79 years, female
0.1
GTEX-WQUQ-1326-SM-3MJFF
60-69 years, male
0.1
GTEX-WY7C-1126-SM-3NB3A
50-59 years, male
0.1
GTEX-XBEC-1226-SM-4AT65
50-59 years, male
0.1
GTEX-ZDTT-0326-SM-4WKF9
60-69 years, male
0.1
GTEX-ZGAY-0226-SM-4WWAL
40-49 years, female
0.1
GTEX-ZVZQ-0726-SM-51MR3
60-69 years, female
0.1
GTEX-ZYT6-0926-SM-5GIEM
30-39 years, male
0.1
GTEX-1117F-0726-SM-5GIEN
60-69 years, female
0.0
GTEX-111FC-0626-SM-5N9CU
60-69 years, male
0.0
GTEX-111VG-0326-SM-5GZX7
60-69 years, male
0.0
GTEX-111YS-0326-SM-5GZZ3
60-69 years, male
0.0
GTEX-1122O-0626-SM-5N9B9
60-69 years, female
0.0
GTEX-117XS-0726-SM-5H131
60-69 years, male
0.0
GTEX-117YW-0426-SM-5GZZZ
50-59 years, male
0.0
GTEX-117YX-0626-SM-5EGJI
50-59 years, male
0.0
GTEX-1192W-0226-SM-5EGGT
60-69 years, male
0.0
GTEX-1192X-0726-SM-5987R
50-59 years, male
0.0
GTEX-11DXX-0526-SM-5PNVR
60-69 years, female
0.0
GTEX-11DXZ-0326-SM-5EGH1
50-59 years, male
0.0
GTEX-11DYG-1026-SM-5A5JQ
60-69 years, male
0.0
GTEX-11EM3-0426-SM-5N9BZ
20-29 years, female
0.0
GTEX-11EMC-0826-SM-59862
60-69 years, female
0.0
GTEX-11GS4-0426-SM-5N9CD
60-69 years, male
0.0
GTEX-11LCK-0826-SM-5PNYD
30-39 years, male
0.0
GTEX-11NUK-0926-SM-5HL57
50-59 years, male
0.0
GTEX-11NV4-0826-SM-5BC4S
60-69 years, male
0.0
GTEX-11O72-1026-SM-5986B
40-49 years, male
0.0
GTEX-11ONC-1026-SM-5GU64
60-69 years, male
0.0
GTEX-11P81-0526-SM-59873
30-39 years, female
0.0
GTEX-11TT1-1426-SM-5EGIA
20-29 years, male
0.0
GTEX-11TUW-1126-SM-5EQKJ
60-69 years, male
0.0
GTEX-11UD2-0926-SM-5CVL6
50-59 years, male
0.0
GTEX-11WQK-0226-SM-5EQLI
50-59 years, male
0.0
GTEX-11ZTT-0526-SM-5EQLA
60-69 years, female
0.0
GTEX-11ZUS-0326-SM-5EQ4W
30-39 years, male
0.0
GTEX-11ZVC-0526-SM-5N9G1
50-59 years, female
0.0
GTEX-1211K-0226-SM-59HJY
60-69 years, female
0.0
GTEX-1212Z-0726-SM-5EGI5
60-69 years, male
0.0
GTEX-12584-1026-SM-59HK3
40-49 years, male
0.0
GTEX-12696-1226-SM-5FQSM
60-69 years, male
0.0
GTEX-12BJ1-0326-SM-5FQUB
60-69 years, male
0.0
GTEX-12WSA-1126-SM-5EGKU
60-69 years, male
0.0
GTEX-12WSD-1226-SM-5HL9Q
60-69 years, female
0.0
GTEX-12WSE-0926-SM-5S2VX
20-29 years, male
0.0
GTEX-12WSG-1226-SM-5EQ4C
50-59 years, female
0.0
GTEX-12WSI-0426-SM-5EQ5J
50-59 years, male
0.0
GTEX-12WSK-0526-SM-5CVNA
40-49 years, female
0.0
GTEX-12WSN-0226-SM-5DUXH
40-49 years, male
0.0
GTEX-12ZZX-0726-SM-5EGKA
40-49 years, female
0.0
GTEX-13112-0526-SM-5EQ4S
50-59 years, male
0.0
GTEX-1313W-1126-SM-5EQ5U
50-59 years, female
0.0
GTEX-131XE-0526-SM-5K7YT
50-59 years, male
0.0
GTEX-131XF-0426-SM-5HL7U
60-69 years, male
0.0
GTEX-131XG-0526-SM-5DUWF
50-59 years, female
0.0
GTEX-131YS-0826-SM-5PNYV
60-69 years, female
0.0
GTEX-132AR-1926-SM-5EGK5
50-59 years, female
0.0
GTEX-132Q8-1126-SM-5K7XS
60-69 years, male
0.0
GTEX-132QS-0526-SM-5IJC7
60-69 years, male
0.0
GTEX-1339X-0326-SM-5K7Z8
40-49 years, male
0.0
GTEX-1399R-1726-SM-5K7YJ
30-39 years, male
0.0
GTEX-1399S-0826-SM-5KM23
30-39 years, female
0.0
GTEX-1399T-0726-SM-5J1MH
60-69 years, male
0.0
GTEX-1399U-0726-SM-5KM1D
50-59 years, female
0.0
GTEX-139YR-0526-SM-5L3DG
50-59 years, male
0.0
GTEX-13D11-1526-SM-5J2NA
50-59 years, female
0.0
GTEX-13FH7-0826-SM-5J2NW
50-59 years, female
0.0
GTEX-13FHO-1226-SM-5L3EF
60-69 years, male
0.0
GTEX-13FHP-0826-SM-5K7V5
50-59 years, male
0.0
GTEX-13FTW-0826-SM-5K7XR
40-49 years, male
0.0
GTEX-13FTZ-0326-SM-5J1O1
60-69 years, male
0.0
GTEX-13FXS-1026-SM-62LFQ
50-59 years, male
0.0
GTEX-13JUV-0226-SM-5IJCC
40-49 years, female
0.0
GTEX-13JVG-1126-SM-5KM2M
60-69 years, male
0.0
GTEX-13N11-0726-SM-5L3DP
50-59 years, female
0.0
GTEX-13NYS-1926-SM-5IJCB
60-69 years, male
0.0
GTEX-13NZ9-0126-SM-5K7XV
50-59 years, male
0.0
GTEX-13NZA-0826-SM-5K7WS
60-69 years, male
0.0
GTEX-13NZB-0426-SM-5KM26
30-39 years, male
0.0
GTEX-13O1R-0926-SM-5L3DS
60-69 years, male
0.0
GTEX-13O21-0326-SM-5J1N9
50-59 years, male
0.0
GTEX-13O3O-1426-SM-5KM2S
60-69 years, female
0.0
GTEX-13O3P-1426-SM-5L3DT
50-59 years, male
0.0
GTEX-13O3Q-0326-SM-5L3FE
50-59 years, male
0.0
GTEX-13O61-0426-SM-5L3ET
60-69 years, male
0.0
GTEX-13OVG-0426-SM-5KM2T
60-69 years, male
0.0
GTEX-13OVI-0326-SM-5K7X1
60-69 years, female
0.0
GTEX-13OW5-0926-SM-5L3GZ
60-69 years, male
0.0
GTEX-13OW7-1626-SM-5IJDH
50-59 years, male
0.0
GTEX-13PL6-0826-SM-5IJBI
40-49 years, female
0.0
GTEX-13PL7-0726-SM-5KM1S
60-69 years, female
0.0
GTEX-13PVQ-1326-SM-5LU4J
50-59 years, male
0.0
GTEX-13PVR-0926-SM-5S2RB
60-69 years, female
0.0
GTEX-13QBU-0226-SM-5LU48
40-49 years, female
0.0
GTEX-13RTJ-0526-SM-62LDP
60-69 years, male
0.0
GTEX-13S86-0326-SM-5SI6K
40-49 years, male
0.0
GTEX-13SLW-0826-SM-5QGP7
70-79 years, male
0.0
GTEX-13SLX-0926-SM-5S2NM
50-59 years, female
0.0
GTEX-13U4I-0626-SM-5LU5L
40-49 years, female
0.0
GTEX-13VXT-0726-SM-5SIAD
20-29 years, female
0.0
GTEX-13W3W-0526-SM-5LU3X
60-69 years, female
0.0
GTEX-13X6K-1726-SM-7IGLG
60-69 years, female
0.0
GTEX-13YAN-1426-SM-7EPG8
60-69 years, male
0.0
GTEX-1445S-1226-SM-5O9BF
60-69 years, male
0.0
GTEX-144GL-1026-SM-5O99R
50-59 years, male
0.0
GTEX-145LV-0226-SM-5S2QG
50-59 years, male
0.0
GTEX-145MN-0726-SM-5NQBH
30-39 years, male
0.0
GTEX-146FR-0926-SM-5QGPE
60-69 years, female
0.0
GTEX-1477Z-1126-SM-5P9GK
60-69 years, male
0.0
GTEX-147F4-1126-SM-5TDDE
50-59 years, male
0.0
GTEX-148VJ-1426-SM-5TDE3
70-79 years, male
0.0
GTEX-14A5I-1026-SM-5Q5E3
50-59 years, female
0.0
GTEX-14ASI-0826-SM-5Q5EB
60-69 years, male
0.0
GTEX-14BIN-2126-SM-793AX
50-59 years, female
0.0
GTEX-14BMV-1026-SM-5SI6B
50-59 years, male
0.0
GTEX-14C38-1326-SM-62LDK
50-59 years, male
0.0
GTEX-14C39-0726-SM-5RQIK
40-49 years, male
0.0
GTEX-14C5O-1226-SM-664N3
60-69 years, male
0.0
GTEX-14E1K-0826-SM-5ZZW9
50-59 years, male
0.0
GTEX-14E6C-0326-SM-5Q5EE
40-49 years, male
0.0
GTEX-14E7W-1126-SM-5ZZVS
70-79 years, male
0.0
GTEX-14H4A-0426-SM-5ZZWO
40-49 years, female
0.0
GTEX-14JG1-0826-SM-5ZZWR
40-49 years, male
0.0
GTEX-14PHX-0626-SM-5YY8Z
50-59 years, male
0.0
GTEX-14PJ2-1126-SM-69LOD
50-59 years, male
0.0
GTEX-14PJ4-0926-SM-5YY98
60-69 years, male
0.0
GTEX-14PJ6-0626-SM-686Z6
60-69 years, female
0.0
GTEX-14PJM-0826-SM-6LLIW
50-59 years, female
0.0
GTEX-14PJO-0826-SM-6ETZK
60-69 years, male
0.0
GTEX-14PK6-0726-SM-6LLIX
70-79 years, female
0.0
GTEX-14PN3-0726-SM-6EU14
60-69 years, female
0.0
GTEX-14PN4-0826-SM-69LON
50-59 years, male
0.0
GTEX-14XAO-0926-SM-69LPZ
60-69 years, female
0.0
GTEX-15CHC-0326-SM-5ZZVP
60-69 years, female
0.0
GTEX-15CHQ-1326-SM-6871Z
60-69 years, male
0.0
GTEX-15D1Q-0426-SM-6AJ9G
40-49 years, male
0.0
GTEX-15DCE-0826-SM-7KULW
20-29 years, male
0.0
GTEX-15EU6-1326-SM-6PANG
50-59 years, male
0.0
GTEX-15RIE-1326-SM-6PAMM
60-69 years, male
0.0
GTEX-15RJE-0726-SM-7KUEG
40-49 years, male
0.0
GTEX-15SDE-1826-SM-7KUFN
50-59 years, female
0.0
GTEX-15SHU-0926-SM-6PAMK
40-49 years, female
0.0
GTEX-15SHV-0526-SM-7KUEN
60-69 years, male
0.0
GTEX-15SKB-0926-SM-7KUFC
60-69 years, male
0.0
GTEX-15UF7-1526-SM-6LPI7
40-49 years, male
0.0
GTEX-16MT8-0826-SM-7KULO
60-69 years, female
0.0
GTEX-16NPX-0826-SM-6M489
50-59 years, male
0.0
GTEX-16XZY-0526-SM-7DHKY
70-79 years, male
0.0
GTEX-16YQH-0726-SM-7IGM1
30-39 years, male
0.0
GTEX-17EVP-0526-SM-7EPGY
40-49 years, male
0.0
GTEX-17F9E-0726-SM-793A1
50-59 years, male
0.0
GTEX-17F9Y-1226-SM-7EPGE
70-79 years, female
0.0
GTEX-17GQL-0626-SM-731CN
60-69 years, male
0.0
GTEX-17KNJ-0626-SM-7LT9L
50-59 years, male
0.0
GTEX-17MF6-0926-SM-7LTAL
40-49 years, male
0.0
GTEX-183WM-0926-SM-718AN
70-79 years, female
0.0
GTEX-18A6Q-1526-SM-731CO
60-69 years, male
0.0
GTEX-18D9U-1426-SM-718BO
40-49 years, male
0.0
GTEX-1A3MX-1226-SM-731B3
60-69 years, male
0.0
GTEX-1A8G6-1826-SM-73KY8
60-69 years, male
0.0
GTEX-1AX8Z-1126-SM-731CS
60-69 years, male
0.0
GTEX-1AX9J-0926-SM-73KXA
60-69 years, male
0.0
GTEX-1AX9K-0426-SM-73KUG
50-59 years, male
0.0
GTEX-1B8KE-0326-SM-73KTY
50-59 years, male
0.0
GTEX-1B8SF-1326-SM-7IGQJ
60-69 years, male
0.0
GTEX-1B8SG-0726-SM-79ONS
50-59 years, male
0.0
GTEX-1B932-1326-SM-79OM4
40-49 years, female
0.0
GTEX-1B933-0826-SM-79OMW
50-59 years, female
0.0
GTEX-1B97J-0326-SM-7939H
50-59 years, female
0.0
GTEX-1B996-1026-SM-793CF
60-69 years, male
0.0
GTEX-1BAJH-1026-SM-7EWEG
70-79 years, male
0.0
GTEX-1C2JI-0626-SM-7DHM1
50-59 years, male
0.0
GTEX-1C64O-0926-SM-79OLN
60-69 years, male
0.0
GTEX-1CB4E-0626-SM-7DHMW
60-69 years, male
0.0
GTEX-1CB4G-0726-SM-79OOJ
60-69 years, male
0.0
GTEX-1CB4H-0626-SM-7IGN3
60-69 years, female
0.0
GTEX-1CB4I-1526-SM-7DHMY
50-59 years, male
0.0
GTEX-U8XE-0926-SM-3DB8V
30-39 years, male
0.0
GTEX-UPK5-0226-SM-3GAEV
40-49 years, male
0.0
GTEX-UTHO-1226-SM-3GAEE
60-69 years, male
0.0
GTEX-V1D1-0626-SM-4JBHN
50-59 years, male
0.0
GTEX-V955-0826-SM-5SI82
60-69 years, male
0.0
GTEX-VJWN-1026-SM-4M1ZN
50-59 years, female
0.0
GTEX-VUSG-0726-SM-3GIK1
50-59 years, male
0.0
GTEX-W5X1-0826-SM-3GILN
40-49 years, female
0.0
GTEX-WEY5-0226-SM-3GIKN
40-49 years, female
0.0
GTEX-WFG7-0826-SM-3GIKU
20-29 years, male
0.0
GTEX-WFG8-0726-SM-3GILP
20-29 years, male
0.0
GTEX-WFON-0226-SM-3GIKR
40-49 years, male
0.0
GTEX-WH7G-0326-SM-3NMBH
40-49 years, male
0.0
GTEX-WHPG-1026-SM-3NMBA
50-59 years, male
0.0
GTEX-WHSE-0826-SM-4SOJU
20-29 years, male
0.0
GTEX-WHWD-0326-SM-3LK6L
50-59 years, male
0.0
GTEX-WI4N-0726-SM-3TW93
40-49 years, female
0.0
GTEX-WK11-0626-SM-3NMAV
50-59 years, male
0.0
GTEX-WL46-0726-SM-3LK5Z
50-59 years, male
0.0
GTEX-WOFL-1226-SM-4OOST
60-69 years, male
0.0
GTEX-WRHU-1026-SM-4E3ID
50-59 years, female
0.0
GTEX-WWYW-1126-SM-3NB2Q
50-59 years, female
0.0
GTEX-WYBS-1226-SM-3NM9N
60-69 years, female
0.0
GTEX-WYJK-1126-SM-3NM9Z
50-59 years, male
0.0
GTEX-WZTO-1226-SM-3NMAZ
40-49 years, male
0.0
GTEX-X3Y1-0226-SM-3P5Z5
40-49 years, male
0.0
GTEX-X4EP-0326-SM-3P5Z6
60-69 years, female
0.0
GTEX-X5EB-0626-SM-46MVQ
40-49 years, male
0.0
GTEX-X62O-0826-SM-46MW8
50-59 years, male
0.0
GTEX-X8HC-1026-SM-46MWH
50-59 years, female
0.0
GTEX-XGQ4-0526-SM-4AT6C
50-59 years, male
0.0
GTEX-XLM4-2026-SM-4AT4X
60-69 years, male
0.0
GTEX-XOT4-1126-SM-4B66E
60-69 years, female
0.0
GTEX-XPT6-0226-SM-4B65L
20-29 years, male
0.0
GTEX-XPVG-0726-SM-4B658
50-59 years, male
0.0
GTEX-XQ3S-0526-SM-4BOQA
20-29 years, male
0.0
GTEX-XQ8I-0226-SM-4BOPM
50-59 years, male
0.0
GTEX-XV7Q-0726-SM-4BRV6
40-49 years, female
0.0
GTEX-XYKS-0226-SM-4BRW3
60-69 years, female
0.0
GTEX-Y114-0126-SM-4TT8K
50-59 years, female
0.0
GTEX-Y3I4-0526-SM-4TT6X
50-59 years, male
0.0
GTEX-Y3IK-1026-SM-51MR7
50-59 years, female
0.0
GTEX-Y5V5-0726-SM-4VBPY
60-69 years, female
0.0
GTEX-YB5K-0226-SM-5IFJE
40-49 years, female
0.0
GTEX-YEC3-0426-SM-4YCEP
50-59 years, male
0.0
GTEX-YEC4-0226-SM-4W1YG
40-49 years, male
0.0
GTEX-YECK-1226-SM-4W21G
60-69 years, male
0.0
GTEX-YF7O-0526-SM-5P9IO
50-59 years, male
0.0
GTEX-YFC4-0426-SM-4TT3J
40-49 years, female
0.0
GTEX-YJ8O-0826-SM-5CVM3
40-49 years, female
0.0
GTEX-Z93S-0326-SM-5HL84
50-59 years, male
0.0
GTEX-ZAB4-0926-SM-5CVN4
40-49 years, male
0.0
GTEX-ZAB5-0126-SM-5CVMT
50-59 years, male
0.0
GTEX-ZAJG-0926-SM-5Q5AB
50-59 years, female
0.0
GTEX-ZAK1-1126-SM-5PNXU
50-59 years, female
0.0
GTEX-ZDTS-1226-SM-4WKGL
60-69 years, male
0.0
GTEX-ZDYS-0326-SM-5HL4W
50-59 years, male
0.0
GTEX-ZE7O-0626-SM-57WCD
50-59 years, female
0.0
GTEX-ZEX8-0326-SM-4WKGS
50-59 years, male
0.0
GTEX-ZF29-0426-SM-4WKFN
60-69 years, female
0.0
GTEX-ZF2S-0826-SM-4WWBI
50-59 years, female
0.0
GTEX-ZF3C-1126-SM-57WEG
50-59 years, female
0.0
GTEX-ZG7Y-1426-SM-4WWBM
50-59 years, male
0.0
GTEX-ZLFU-0326-SM-4WWBK
40-49 years, male
0.0
GTEX-ZPU1-0726-SM-5HL6O
40-49 years, male
0.0
GTEX-ZT9W-0526-SM-57WFG
50-59 years, male
0.0
GTEX-ZTPG-1326-SM-51MSQ
20-29 years, female
0.0
GTEX-ZTTD-0626-SM-4YCCY
50-59 years, male
0.0
GTEX-ZUA1-0726-SM-4YCD9
40-49 years, male
0.0
GTEX-ZV7C-0526-SM-51MRB
50-59 years, male
0.0
GTEX-ZVT2-0926-SM-5GICE
50-59 years, female
0.0
GTEX-ZVT3-0826-SM-5GIC8
60-69 years, female
0.0
GTEX-ZVT4-1326-SM-5NQ8E
50-59 years, female
0.0
GTEX-ZXG5-0626-SM-5NQ85
60-69 years, male
0.0
GTEX-ZYFC-1026-SM-5GZX9
50-59 years, male
0.0
GTEX-ZYFD-2026-SM-5E459
50-59 years, male
0.0
GTEX-ZYFG-0526-SM-5GZXX
60-69 years, female
0.0
GTEX-ZYVF-1826-SM-5E44F
50-59 years, female
0.0
GTEX-ZZPT-0926-SM-5GICZ
50-59 years, male
0.0
GTEX-ZZPU-1126-SM-5N9CW
50-59 years, female
0.0
Show allShow less
Heart - Left Ventricle Average pTPM: 0.0
Samples: 303
Max pTPM: 0.5
Min pTPM: 0.0
Std pTPM: 0.0
Median pTPM: 0.0
GTEX-1339X-0426-SM-5KLZY
40-49 years, male
0.5
GTEX-11TUW-1026-SM-5GU7D
60-69 years, male
0.3
GTEX-132AR-2026-SM-5IJG4
50-59 years, female
0.3
GTEX-13CF3-0726-SM-5J2MY
60-69 years, female
0.3
GTEX-PSDG-0926-SM-2I5FP
50-59 years, male
0.3
GTEX-S32W-0626-SM-2XCBG
50-59 years, female
0.3
GTEX-Y3IK-0826-SM-51MT8
50-59 years, female
0.3
GTEX-11ZUS-0226-SM-5FQT8
30-39 years, male
0.2
GTEX-12BJ1-0226-SM-5LUA2
60-69 years, male
0.2
GTEX-13D11-1726-SM-5IFGQ
50-59 years, female
0.2
GTEX-13PVR-1026-SM-5QGQW
60-69 years, female
0.2
GTEX-14H4A-0626-SM-5ZZUT
40-49 years, female
0.2
GTEX-17F9E-0926-SM-7IGMG
50-59 years, male
0.2
GTEX-NFK9-0926-SM-2HMJU
40-49 years, male
0.2
GTEX-11O72-1126-SM-5N9E2
40-49 years, male
0.1
GTEX-12WSK-0626-SM-5LZUJ
40-49 years, female
0.1
GTEX-13112-0426-SM-5PNVC
50-59 years, male
0.1
GTEX-139YR-0826-SM-5LZXY
50-59 years, male
0.1
GTEX-13N1W-1026-SM-5IJC5
70-79 years, male
0.1
GTEX-13O3O-1526-SM-5KM1C
60-69 years, female
0.1
GTEX-13OW6-1126-SM-5L3HL
50-59 years, male
0.1
GTEX-13OW8-2126-SM-5J1OS
60-69 years, male
0.1
GTEX-13QBU-0426-SM-5J2O4
40-49 years, female
0.1
GTEX-13RTJ-0726-SM-5QGQN
60-69 years, male
0.1
GTEX-13S86-0226-SM-5S2PJ
40-49 years, male
0.1
GTEX-14E1K-1026-SM-73KUR
50-59 years, male
0.1
GTEX-14PJ6-0726-SM-69LOL
60-69 years, female
0.1
GTEX-1AX9J-1026-SM-72D6E
60-69 years, male
0.1
GTEX-1AYCT-0426-SM-73KVZ
50-59 years, male
0.1
GTEX-1EMGI-1226-SM-793DD
60-69 years, male
0.1
GTEX-OIZH-0326-SM-2HMKC
50-59 years, male
0.1
GTEX-QMRM-0526-SM-2I5GA
50-59 years, male
0.1
GTEX-RWS6-0326-SM-2XCAP
60-69 years, female
0.1
GTEX-SNMC-0126-SM-2XCFO
20-29 years, male
0.1
GTEX-WEY5-0426-SM-3GIKT
40-49 years, female
0.1
GTEX-WFG7-0726-SM-3GIKO
20-29 years, male
0.1
GTEX-WHPG-0826-SM-3NMBF
50-59 years, male
0.1
GTEX-WHWD-0426-SM-3LK83
50-59 years, male
0.1
GTEX-WYJK-1026-SM-3NM8W
50-59 years, male
0.1
GTEX-XGQ4-0326-SM-4GIEE
50-59 years, male
0.1
GTEX-XQ3S-0626-SM-4BOOB
20-29 years, male
0.1
GTEX-XV7Q-0826-SM-4BRV7
40-49 years, female
0.1
GTEX-XXEK-0926-SM-4BRWH
50-59 years, male
0.1
GTEX-Y5V5-0626-SM-4VBPX
60-69 years, female
0.1
GTEX-Y5V6-0826-SM-4VBRU
60-69 years, male
0.1
GTEX-ZDYS-0226-SM-5HL4K
50-59 years, male
0.1
GTEX-ZGAY-0326-SM-57WF5
40-49 years, female
0.1
GTEX-ZTPG-1226-SM-4YCDO
20-29 years, female
0.1
GTEX-ZZPU-0926-SM-5GZYT
50-59 years, female
0.1
GTEX-111FC-0826-SM-5GZWO
60-69 years, male
0.0
GTEX-111YS-0426-SM-5987O
60-69 years, male
0.0
GTEX-1122O-0826-SM-5GICV
60-69 years, female
0.0
GTEX-117YW-0326-SM-5N9CY
50-59 years, male
0.0
GTEX-117YX-1126-SM-5H128
50-59 years, male
0.0
GTEX-11DXX-0326-SM-5PNWC
60-69 years, female
0.0
GTEX-11DXY-0826-SM-5EGGR
60-69 years, male
0.0
GTEX-11DXZ-0626-SM-5GU77
50-59 years, male
0.0
GTEX-11EM3-0626-SM-5H12Z
20-29 years, female
0.0
GTEX-11EMC-0726-SM-5EGJO
60-69 years, female
0.0
GTEX-11GS4-0526-SM-5A5KQ
60-69 years, male
0.0
GTEX-11GSP-1326-SM-5A5KY
60-69 years, female
0.0
GTEX-11I78-0826-SM-5A5K4
50-59 years, female
0.0
GTEX-11LCK-0926-SM-5A5KA
30-39 years, male
0.0
GTEX-11ONC-0126-SM-5PNW6
60-69 years, male
0.0
GTEX-11TT1-1326-SM-5PNYM
20-29 years, male
0.0
GTEX-11ZVC-0426-SM-5CVLD
50-59 years, female
0.0
GTEX-1211K-0626-SM-5FQUZ
60-69 years, female
0.0
GTEX-1212Z-0626-SM-5FQTB
60-69 years, male
0.0
GTEX-12584-0926-SM-5FQTN
40-49 years, male
0.0
GTEX-12696-1126-SM-5FQTI
60-69 years, male
0.0
GTEX-1269C-0826-SM-5N9EM
60-69 years, female
0.0
GTEX-12WSC-1126-SM-5EQ4G
50-59 years, male
0.0
GTEX-12WSD-1126-SM-5EGJD
60-69 years, female
0.0
GTEX-12WSG-0526-SM-5FQTH
50-59 years, female
0.0
GTEX-12WSN-5001-SM-7DHMK
40-49 years, male
0.0
GTEX-12ZZW-1026-SM-5GCMM
50-59 years, male
0.0
GTEX-12ZZY-1126-SM-5DUWQ
60-69 years, male
0.0
GTEX-12ZZZ-1726-SM-59HK5
60-69 years, male
0.0
GTEX-1313W-1426-SM-5KLZU
50-59 years, female
0.0
GTEX-1314G-0126-SM-5LZUL
30-39 years, male
0.0
GTEX-131XE-0626-SM-5HL98
50-59 years, male
0.0
GTEX-131XF-5001-SM-7DHLY
60-69 years, male
0.0
GTEX-131XG-0626-SM-5GCMP
50-59 years, female
0.0
GTEX-131XH-0226-SM-5LZVB
50-59 years, male
0.0
GTEX-132NY-1726-SM-5EGKK
60-69 years, male
0.0
GTEX-132QS-0426-SM-5KLZ6
60-69 years, male
0.0
GTEX-1399R-1926-SM-5K7X8
30-39 years, male
0.0
GTEX-1399S-1026-SM-5KLZ9
30-39 years, female
0.0
GTEX-1399T-0426-SM-5PNVJ
60-69 years, male
0.0
GTEX-1399U-0526-SM-5K7YM
50-59 years, female
0.0
GTEX-13CF2-0426-SM-5KM1H
60-69 years, male
0.0
GTEX-13FH7-0926-SM-5J2MR
50-59 years, female
0.0
GTEX-13FHP-1026-SM-5K7Y2
50-59 years, male
0.0
GTEX-13FLV-0926-SM-5L3DZ
50-59 years, male
0.0
GTEX-13FTW-1026-SM-5L3E3
40-49 years, male
0.0
GTEX-13FTZ-0226-SM-5K7X6
60-69 years, male
0.0
GTEX-13JVG-1326-SM-5N9F8
60-69 years, male
0.0
GTEX-13N11-0426-SM-5KM3O
50-59 years, female
0.0
GTEX-13NYB-0226-SM-5N9G4
40-49 years, male
0.0
GTEX-13NZB-0226-SM-5KM1T
30-39 years, male
0.0
GTEX-13O1R-1226-SM-5J1NU
60-69 years, male
0.0
GTEX-13O21-2326-SM-5MR3X
50-59 years, male
0.0
GTEX-13O3P-1626-SM-5K7X3
50-59 years, male
0.0
GTEX-13O61-0526-SM-5J2M1
60-69 years, male
0.0
GTEX-13OVG-0526-SM-5K7YD
60-69 years, male
0.0
GTEX-13OVL-0526-SM-5KLZQ
50-59 years, male
0.0
GTEX-13OW5-1126-SM-5J1NR
60-69 years, male
0.0
GTEX-13PVQ-1226-SM-5IJDC
50-59 years, male
0.0
GTEX-13SLX-1026-SM-5ZZUQ
50-59 years, female
0.0
GTEX-13U4I-0826-SM-5SIBD
40-49 years, female
0.0
GTEX-13VXT-1126-SM-5LU3A
20-29 years, female
0.0
GTEX-13W3W-0426-SM-5SI9D
60-69 years, female
0.0
GTEX-13X6H-0426-SM-5LU4E
50-59 years, female
0.0
GTEX-13X6I-1426-SM-5SI9Z
60-69 years, male
0.0
GTEX-13X6K-1826-SM-5O9CR
60-69 years, female
0.0
GTEX-145LV-0326-SM-5Q5BW
50-59 years, male
0.0
GTEX-145MN-0626-SM-5QGRH
30-39 years, male
0.0
GTEX-145MO-1126-SM-5NQBX
60-69 years, male
0.0
GTEX-146FH-1026-SM-5RQIF
50-59 years, female
0.0
GTEX-146FR-0626-SM-5RQJ1
60-69 years, female
0.0
GTEX-147F4-1226-SM-5NQAY
50-59 years, male
0.0
GTEX-147JS-1526-SM-5ZZWF
60-69 years, male
0.0
GTEX-148VI-0326-SM-5RQK7
60-69 years, female
0.0
GTEX-148VJ-1526-SM-5Q5DU
70-79 years, male
0.0
GTEX-1497J-1226-SM-5Q5BL
60-69 years, male
0.0
GTEX-14A5I-1226-SM-5NQBW
50-59 years, female
0.0
GTEX-14A6H-0226-SM-5Q5DX
30-39 years, male
0.0
GTEX-14BIL-1126-SM-79OMC
50-59 years, male
0.0
GTEX-14BIN-2226-SM-5YYA1
50-59 years, female
0.0
GTEX-14C38-1426-SM-5RQHZ
50-59 years, male
0.0
GTEX-14C39-0926-SM-5TDDV
40-49 years, male
0.0
GTEX-14C5O-1326-SM-5S2UW
60-69 years, male
0.0
GTEX-14DAQ-1126-SM-664MT
60-69 years, female
0.0
GTEX-14E6C-0426-SM-5YYA8
40-49 years, male
0.0
GTEX-14E6D-0926-SM-5S2QV
50-59 years, male
0.0
GTEX-14E7W-1226-SM-5RQIU
70-79 years, male
0.0
GTEX-14JG1-1026-SM-6ETZY
40-49 years, male
0.0
GTEX-14JIY-1126-SM-6EU28
60-69 years, male
0.0
GTEX-14PHX-2126-SM-6EU2U
50-59 years, male
0.0
GTEX-14PHY-0226-SM-5ZZWM
60-69 years, female
0.0
GTEX-14PJ2-1026-SM-6EU1M
50-59 years, male
0.0
GTEX-14PJ4-1126-SM-5YY91
60-69 years, male
0.0
GTEX-14PK6-0826-SM-5ZZVO
70-79 years, female
0.0
GTEX-14PN3-0526-SM-69LQF
60-69 years, female
0.0
GTEX-14XAO-1126-SM-6EU11
60-69 years, female
0.0
GTEX-15CHC-0426-SM-6LLHI
60-69 years, female
0.0
GTEX-15CHQ-1526-SM-69LPW
60-69 years, male
0.0
GTEX-15DCZ-1126-SM-6871O
20-29 years, female
0.0
GTEX-15DDE-1126-SM-6LLHN
50-59 years, female
0.0
GTEX-15DYW-1126-SM-6LPK5
60-69 years, female
0.0
GTEX-15EOM-5007-SM-793DG
20-29 years, female
0.0
GTEX-15ER7-1726-SM-6PAMX
20-29 years, female
0.0
GTEX-15RJ7-0226-SM-7KUMN
40-49 years, male
0.0
GTEX-15RJE-0626-SM-7KUKR
40-49 years, male
0.0
GTEX-15SHU-1126-SM-7KUMB
40-49 years, female
0.0
GTEX-15SHW-1226-SM-6M46C
60-69 years, male
0.0
GTEX-16BQI-0926-SM-6M485
30-39 years, female
0.0
GTEX-16MT8-0926-SM-6M487
60-69 years, female
0.0
GTEX-16NPX-0926-SM-7KUEZ
50-59 years, male
0.0
GTEX-16XZY-0426-SM-793BI
70-79 years, male
0.0
GTEX-16YQH-0926-SM-793BC
30-39 years, male
0.0
GTEX-17GQL-0526-SM-72D5N
60-69 years, male
0.0
GTEX-17HGU-1026-SM-79OKL
50-59 years, male
0.0
GTEX-17HHY-1426-SM-7EWDQ
50-59 years, male
0.0
GTEX-17JCI-1126-SM-7IGMM
60-69 years, female
0.0
GTEX-17KNJ-0826-SM-793A4
50-59 years, male
0.0
GTEX-17MF6-0726-SM-7LT8E
40-49 years, male
0.0
GTEX-18465-0926-SM-731AY
50-59 years, male
0.0
GTEX-18A66-1226-SM-7LT8G
60-69 years, male
0.0
GTEX-18A67-1226-SM-7KFRS
50-59 years, male
0.0
GTEX-18A6Q-1626-SM-7KFTA
60-69 years, male
0.0
GTEX-18D9B-1226-SM-72D6V
60-69 years, male
0.0
GTEX-18D9U-1126-SM-72D5Y
40-49 years, male
0.0
GTEX-1A3MW-1326-SM-7189P
60-69 years, female
0.0
GTEX-1A3MX-1326-SM-72D58
60-69 years, male
0.0
GTEX-1AX8Z-1326-SM-7DHMO
60-69 years, male
0.0
GTEX-1AX9I-1126-SM-7EPHH
60-69 years, male
0.0
GTEX-1AX9K-0526-SM-73KV1
50-59 years, male
0.0
GTEX-1B8KE-0126-SM-793AM
50-59 years, male
0.0
GTEX-1B8L1-0526-SM-79ONX
60-69 years, male
0.0
GTEX-1B8SG-0826-SM-7EWF7
50-59 years, male
0.0
GTEX-1B932-1026-SM-793CL
40-49 years, female
0.0
GTEX-1B996-1126-SM-73KWN
60-69 years, male
0.0
GTEX-1BAJH-1626-SM-73KUV
70-79 years, male
0.0
GTEX-1C2JI-0526-SM-7EWEQ
50-59 years, male
0.0
GTEX-1C64O-0826-SM-79OKZ
60-69 years, male
0.0
GTEX-1C6VQ-1126-SM-7EWET
50-59 years, male
0.0
GTEX-1CAMS-1326-SM-79OJR
40-49 years, female
0.0
GTEX-1CB4G-0826-SM-7DUGF
60-69 years, male
0.0
GTEX-1E1VI-1326-SM-7IGQD
50-59 years, male
0.0
GTEX-1EH9U-0826-SM-7IGPT
60-69 years, male
0.0
GTEX-1EU9M-1826-SM-7DUGU
60-69 years, male
0.0
GTEX-1EWIQ-1426-SM-7IGOS
70-79 years, female
0.0
GTEX-N7MS-0826-SM-2HML4
60-69 years, male
0.0
GTEX-N7MT-1326-SM-2I3FV
60-69 years, female
0.0
GTEX-NPJ8-0426-SM-2HMK6
40-49 years, male
0.0
GTEX-O5YT-0326-SM-32PKA
20-29 years, male
0.0
GTEX-O5YV-0326-SM-2I5H2
60-69 years, female
0.0
GTEX-O5YW-0326-SM-2I5EI
50-59 years, male
0.0
GTEX-OHPK-0326-SM-2HMJO
50-59 years, female
0.0
GTEX-OHPL-0326-SM-33HC8
60-69 years, female
0.0
GTEX-OHPM-0326-SM-33HCA
50-59 years, male
0.0
GTEX-OIZG-1126-SM-2HMIU
50-59 years, male
0.0
GTEX-OOBJ-0326-SM-33HBO
60-69 years, male
0.0
GTEX-OXRK-0826-SM-2HMK7
50-59 years, female
0.0
GTEX-OXRL-0326-SM-2I3F2
50-59 years, male
0.0
GTEX-OXRO-2026-SM-2YUMZ
60-69 years, female
0.0
GTEX-P44H-0726-SM-48TBT
40-49 years, male
0.0
GTEX-P4PP-0326-SM-33HC4
30-39 years, female
0.0
GTEX-P4PQ-0326-SM-2HMJ8
60-69 years, male
0.0
GTEX-P4QS-0326-SM-2I3EU
60-69 years, male
0.0
GTEX-P78B-0426-SM-2I5F5
40-49 years, female
0.0
GTEX-PLZ5-0626-SM-2I5F8
50-59 years, male
0.0
GTEX-POMQ-0326-SM-2I5FO
20-29 years, female
0.0
GTEX-PVOW-0426-SM-5MR5R
40-49 years, male
0.0
GTEX-PWCY-0526-SM-5P9HG
20-29 years, female
0.0
GTEX-PX3G-0326-SM-2I3EO
20-29 years, female
0.0
GTEX-Q2AH-0526-SM-2I3ED
40-49 years, male
0.0
GTEX-QDVJ-0426-SM-2I5FW
50-59 years, male
0.0
GTEX-QDVN-0326-SM-2I3FS
50-59 years, male
0.0
GTEX-QEG4-0426-SM-33HC3
30-39 years, male
0.0
GTEX-QEG5-0926-SM-2TC64
20-29 years, male
0.0
GTEX-QEL4-0926-SM-3GAD1
50-59 years, male
0.0
GTEX-QESD-0526-SM-2I5G5
20-29 years, male
0.0
GTEX-QLQ7-0526-SM-2I5G3
60-69 years, male
0.0
GTEX-QV44-0526-SM-2S1RE
50-59 years, male
0.0
GTEX-R45C-0926-SM-3GAD4
60-69 years, female
0.0
GTEX-R53T-0926-SM-3GADH
50-59 years, female
0.0
GTEX-R55C-0326-SM-3GAF1
40-49 years, male
0.0
GTEX-R55E-1026-SM-2TC5S
20-29 years, male
0.0
GTEX-R55G-0526-SM-2TC5O
40-49 years, female
0.0
GTEX-REY6-1026-SM-2TF4Y
60-69 years, male
0.0
GTEX-RN64-0826-SM-2TC62
50-59 years, male
0.0
GTEX-RNOR-0826-SM-2TF5C
50-59 years, female
0.0
GTEX-RTLS-0826-SM-2TF5Q
60-69 years, female
0.0
GTEX-RU72-0326-SM-2TF5T
50-59 years, female
0.0
GTEX-RUSQ-0526-SM-2TF72
50-59 years, male
0.0
GTEX-RWSA-0626-SM-2XCBD
40-49 years, male
0.0
GTEX-S33H-0526-SM-5SI83
30-39 years, male
0.0
GTEX-SE5C-0626-SM-2XCDV
40-49 years, female
0.0
GTEX-SIU8-0826-SM-2XCDQ
50-59 years, male
0.0
GTEX-T2IS-0426-SM-32QPE
20-29 years, female
0.0
GTEX-T6MN-0926-SM-32PLX
50-59 years, male
0.0
GTEX-U3ZH-0326-SM-3DB7A
30-39 years, male
0.0
GTEX-U3ZN-1426-SM-3DB87
30-39 years, female
0.0
GTEX-U4B1-0326-SM-3DB8K
40-49 years, male
0.0
GTEX-U8XE-1126-SM-3DB8W
30-39 years, male
0.0
GTEX-UJHI-0426-SM-3DB8Y
50-59 years, female
0.0
GTEX-UJMC-0526-SM-3GAE3
50-59 years, male
0.0
GTEX-UPK5-0326-SM-5SI81
40-49 years, male
0.0
GTEX-V1D1-0526-SM-4JBGW
50-59 years, male
0.0
GTEX-V955-0726-SM-3GAFG
60-69 years, male
0.0
GTEX-WFG8-0626-SM-3GILJ
20-29 years, male
0.0
GTEX-WFON-0326-SM-3GIKX
40-49 years, male
0.0
GTEX-WH7G-0426-SM-3NMBJ
40-49 years, male
0.0
GTEX-WHSE-0926-SM-3NMBS
20-29 years, male
0.0
GTEX-WI4N-0626-SM-3TW8Z
40-49 years, female
0.0
GTEX-WL46-0926-SM-3LK7T
50-59 years, male
0.0
GTEX-WQUQ-1426-SM-3MJFD
60-69 years, male
0.0
GTEX-WRHU-1226-SM-4E3IJ
50-59 years, female
0.0
GTEX-WWYW-1326-SM-3NB2S
50-59 years, female
0.0
GTEX-WY7C-0526-SM-3NB3D
50-59 years, male
0.0
GTEX-WZTO-1326-SM-3NM8X
40-49 years, male
0.0
GTEX-X15G-0426-SM-4PQZ6
50-59 years, female
0.0
GTEX-X261-1426-SM-4PQZ1
50-59 years, male
0.0
GTEX-X3Y1-0426-SM-3P5Z4
40-49 years, male
0.0
GTEX-X8HC-1626-SM-46MWE
50-59 years, female
0.0
GTEX-XBEC-1326-SM-4AT69
50-59 years, male
0.0
GTEX-XBED-0526-SM-47JY3
60-69 years, male
0.0
GTEX-XPT6-0126-SM-4B65S
20-29 years, male
0.0
GTEX-XPVG-0826-SM-4B654
50-59 years, male
0.0
GTEX-XQ8I-0126-SM-4BOPL
50-59 years, male
0.0
GTEX-Y114-0226-SM-4TT8W
50-59 years, female
0.0
GTEX-Y3I4-0626-SM-4TT7A
50-59 years, male
0.0
GTEX-Y8E4-0326-SM-4VBRR
40-49 years, male
0.0
GTEX-YB5K-0126-SM-5IFJ2
40-49 years, female
0.0
GTEX-YEC3-0726-SM-4YCD1
50-59 years, male
0.0
GTEX-YEC4-0326-SM-4W216
40-49 years, male
0.0
GTEX-YF7O-0426-SM-5P9FS
50-59 years, male
0.0
GTEX-YFC4-0526-SM-5ZZVI
40-49 years, female
0.0
GTEX-ZAB4-1026-SM-5HL7T
40-49 years, male
0.0
GTEX-ZAB5-0226-SM-5CVMH
50-59 years, male
0.0
GTEX-ZAJG-0826-SM-5PNVA
50-59 years, female
0.0
GTEX-ZDTS-1326-SM-6LLHE
60-69 years, male
0.0
GTEX-ZDTT-0726-SM-4WKFK
60-69 years, male
0.0
GTEX-ZDXO-0726-SM-57WBT
60-69 years, male
0.0
GTEX-ZEX8-0426-SM-4WWEN
50-59 years, male
0.0
GTEX-ZF29-0226-SM-4WKHO
60-69 years, female
0.0
GTEX-ZF2S-1026-SM-4WWB1
50-59 years, female
0.0
GTEX-ZF3C-1226-SM-4WWCB
50-59 years, female
0.0
GTEX-ZG7Y-0926-SM-5EQ6O
50-59 years, male
0.0
GTEX-ZLFU-0226-SM-4WWFH
40-49 years, male
0.0
GTEX-ZPIC-0826-SM-4WWFJ
40-49 years, female
0.0
GTEX-ZPU1-0626-SM-4YCDM
40-49 years, male
0.0
GTEX-ZQUD-1526-SM-7IGO2
30-39 years, male
0.0
GTEX-ZUA1-0826-SM-4YCDL
40-49 years, male
0.0
GTEX-ZV7C-0326-SM-57WB1
50-59 years, male
0.0
GTEX-ZVT2-1026-SM-5GU55
50-59 years, female
0.0
GTEX-ZVZP-0226-SM-5NQ73
50-59 years, male
0.0
GTEX-ZYFC-1126-SM-5E44W
50-59 years, male
0.0
GTEX-ZYFG-0426-SM-5E43M
60-69 years, female
0.0
GTEX-ZYT6-1726-SM-5E44P
30-39 years, male
0.0
GTEX-ZYW4-0926-SM-59HJS
60-69 years, male
0.0
Show allShow less
HEART MUSCLE - FANTOM5 CAGEi
RNA expression in human tissues obtained through Cap Analysis of Gene Expression (CAGE) generated by the FANTOM5 project are reported as Scaled Tags Per Million.