We use cookies to enhance the usability of our website. If you continue, we'll assume that you are happy to receive all cookies. More information. Don't show this again.
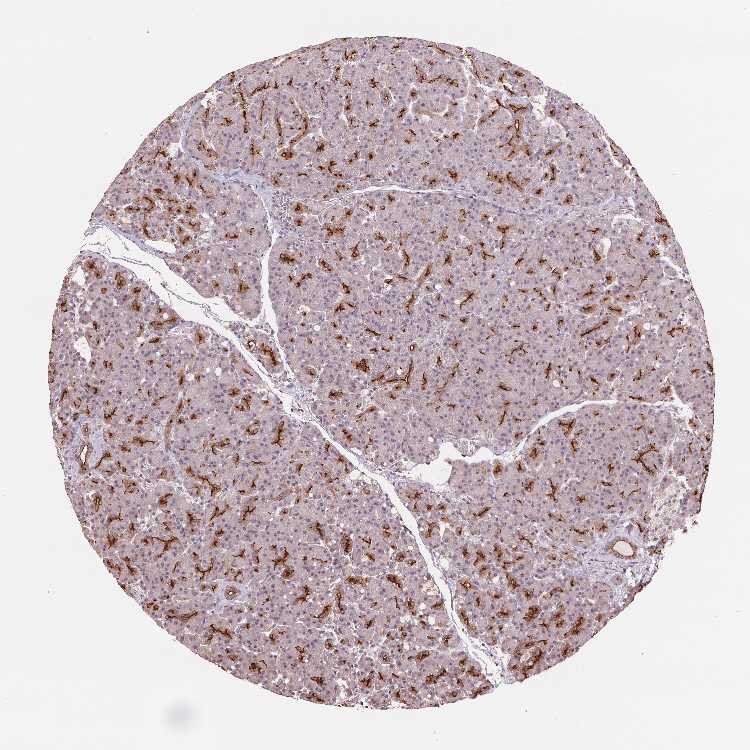
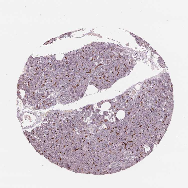
On the top, protein expression in current human tissue, based on all annotated cell types, is reported with the units not detected (n), low (l), medium (m) and high (h). Underneath, protein expression in each annotated cell type are reported using the same units.
Protein expression data is based on knowledge-based annotation. For genes where more than one antibody has been used, a collective score is set.
If knowledge-based annotation could not be performed for a gene, no data is displayed here. View antibody staining data further down this page.
A summary of mRNA expression data available for current tissue based on several datasets. The mRNA expression levels in human tissues are based on RNA-seq data generated by the Human Protein Atlas (HPA), Genotype-Tissue Expression (GTEx) portal and CAGE data generated by the FANTOM5 consortium. Consensus normalized expression (NX) levels for human tissues was created by combining the data from these three transcriptomics datasets (HPA, GTEx and FANTOM5).
The mRNA expression levels in pig are based on RNA-seq data generated by the Human Protein Atlas (HPA), and for mouse, HPA data and in situ hybridization generated by the Allen brain atlas are reported.
Scroll down to view mRNA expression data in more detail.
Antibody staining in the annotated cell types in the current human tissue is reported as not detected, low, medium, or high. This score is based on the staining intensity and fraction of stained cells.
The RNA-seq details section shows detailed information about the individual samples used for the transcript profiling and results of the RNA-seq analysis.
Information about each individual sample is listed below, including gender, age, a tissue section image and estimated fractions of cell types. pTPM (transcripts per million) values give a quantification of the gene abundance which is comparable between different genes and samples.
RNA-Seq data generated by the Genotype-Tissue Expression (GTEx) project from human tissues is reported as average pTPM. More information can be found on the GTEx portal.
Distribution across the dataset is visualized with box plots, shown as median and 25th and 75th percentiles. Points are displayed as outliers if they are above or below 1.5 times the interquartile range. pTPM values of the individual samples are presented next to the box plot.
Max pTPM: 120.6
Min pTPM: 7.1
Std pTPM: 15.7
Median pTPM: 30.2
GTEX-1AX8Z-1726-SM-731DE
60-69 years, male
120.6
GTEX-14BMU-0726-SM-73KXS
20-29 years, female
89.6
GTEX-XV7Q-0926-SM-4BRVQ
40-49 years, female
89.1
GTEX-13PL7-2226-SM-5L3IC
60-69 years, female
86.6
GTEX-WFON-0626-SM-4LVLX
40-49 years, male
72.8
GTEX-1B932-1626-SM-731EA
40-49 years, female
69.2
GTEX-Y3IK-0426-SM-4WWE2
50-59 years, female
68.7
GTEX-ZVZP-0626-SM-59HL5
50-59 years, male
66.4
GTEX-16MT8-1726-SM-7EWE7
60-69 years, female
66.1
GTEX-144GN-0826-SM-5LU5G
50-59 years, male
65.2
GTEX-ZTPG-1026-SM-5DUWP
20-29 years, female
63.8
GTEX-ZF3C-2026-SM-4WWB5
50-59 years, female
63.6
GTEX-1B8KE-0726-SM-72D7G
50-59 years, male
63.0
GTEX-1399U-0926-SM-5IFHA
50-59 years, female
60.3
GTEX-WFJO-0626-SM-4LVMC
30-39 years, male
57.5
GTEX-PSDG-1526-SM-48TCY
50-59 years, male
57.1
GTEX-14E6E-1426-SM-5RQI2
30-39 years, male
56.9
GTEX-1AYD5-0326-SM-7EWEO
50-59 years, male
56.9
GTEX-15SDE-0826-SM-6M463
50-59 years, female
56.7
GTEX-14PN4-1626-SM-6AJB5
50-59 years, male
54.2
GTEX-12WSK-0226-SM-5BC62
40-49 years, female
52.3
GTEX-15FZZ-0626-SM-7KFTO
30-39 years, female
52.1
GTEX-14PHX-2026-SM-6872C
50-59 years, male
51.2
GTEX-139YR-1526-SM-5IFJ1
50-59 years, male
51.0
GTEX-18A66-2126-SM-7189D
60-69 years, male
50.8
GTEX-13X6H-0626-SM-5LU53
50-59 years, female
50.4
GTEX-WY7C-1026-SM-4OND3
50-59 years, male
49.2
GTEX-1CB4F-1226-SM-7DHKU
60-69 years, male
49.1
GTEX-131XF-1426-SM-5BC68
60-69 years, male
48.9
GTEX-14PK6-1026-SM-664NZ
70-79 years, female
47.4
GTEX-OOBK-1026-SM-48TC2
40-49 years, male
47.4
GTEX-Y8LW-1026-SM-5IFJY
50-59 years, female
46.6
GTEX-XBED-0226-SM-47JY8
60-69 years, male
46.5
GTEX-132QS-0926-SM-5P9GB
60-69 years, male
46.3
GTEX-18D9U-1626-SM-7KFTW
40-49 years, male
46.3
GTEX-S32W-0826-SM-4AD5Z
50-59 years, female
46.1
GTEX-145MN-1426-SM-5SI9H
30-39 years, male
46.0
GTEX-WFG7-0426-SM-4LMK5
20-29 years, male
46.0
GTEX-ZAB5-0826-SM-5P9FU
50-59 years, male
46.0
GTEX-XYKS-1226-SM-4BRVI
60-69 years, female
45.7
GTEX-18A67-1726-SM-7KFT9
50-59 years, male
45.2
GTEX-SNOS-0926-SM-4DM7A
40-49 years, male
45.1
GTEX-1C4CL-0926-SM-79OL2
30-39 years, male
45.0
GTEX-144FL-1526-SM-5Q5CA
50-59 years, male
44.7
GTEX-VUSG-0326-SM-3GIJ7
50-59 years, male
44.7
GTEX-1C64O-1426-SM-7EWER
60-69 years, male
44.6
GTEX-1211K-1126-SM-5EGGB
60-69 years, female
44.4
GTEX-14AS3-0326-SM-5Q5DB
40-49 years, female
44.4
GTEX-V1D1-0726-SM-4JBH7
50-59 years, male
44.4
GTEX-ZYW4-2126-SM-59HJ9
60-69 years, male
44.4
GTEX-ZZPU-0726-SM-5N9C8
50-59 years, female
44.2
GTEX-O5YT-1026-SM-3MJGF
20-29 years, male
43.6
GTEX-NPJ8-2126-SM-3MJGK
40-49 years, male
41.3
GTEX-ZYFG-0826-SM-5BC5T
60-69 years, female
41.3
GTEX-12WSL-0426-SM-5GCNX
50-59 years, male
41.1
GTEX-144GM-0726-SM-79OJQ
20-29 years, male
41.1
GTEX-1B97J-1526-SM-79ONI
50-59 years, female
41.1
GTEX-XUW1-1726-SM-4BOOZ
50-59 years, female
41.1
GTEX-11EQ9-1026-SM-5H134
30-39 years, male
40.8
GTEX-146FR-0126-SM-5Q5F3
60-69 years, female
40.5
GTEX-15EU6-1126-SM-68721
50-59 years, male
40.3
GTEX-X4LF-0326-SM-4QAS9
50-59 years, male
40.2
GTEX-XPVG-0326-SM-4B653
50-59 years, male
39.9
GTEX-NFK9-1626-SM-3LK5J
40-49 years, male
39.5
GTEX-QMRM-0326-SM-4R1K5
50-59 years, male
39.4
GTEX-1C2JI-0926-SM-731F1
50-59 years, male
39.3
GTEX-Y9LG-0726-SM-4VDS3
30-39 years, male
39.3
GTEX-13N11-0226-SM-5KM3C
50-59 years, female
39.1
GTEX-14PJ2-1526-SM-686Z4
50-59 years, male
39.0
GTEX-V955-0326-SM-4JBGV
60-69 years, male
39.0
GTEX-1CB4I-1326-SM-79OLY
50-59 years, male
38.7
GTEX-11TT1-0326-SM-5LUAY
20-29 years, male
38.4
GTEX-131XE-1926-SM-5IFER
50-59 years, male
38.1
GTEX-S4P3-0626-SM-4AD59
50-59 years, female
38.1
GTEX-T5JW-0226-SM-4DM7I
20-29 years, female
37.9
GTEX-1B8KZ-0926-SM-731D7
50-59 years, male
37.8
GTEX-14PJ4-0726-SM-6872E
60-69 years, male
37.7
GTEX-15RJ7-0826-SM-6LLI8
40-49 years, male
37.4
GTEX-UJHI-0626-SM-3DB8T
50-59 years, female
37.3
GTEX-WFG8-0326-SM-4LVN4
20-29 years, male
37.3
GTEX-PW2O-0826-SM-48TC5
20-29 years, male
37.2
GTEX-1AYCT-1226-SM-7EPGH
50-59 years, male
37.0
GTEX-UJMC-1126-SM-3GADP
50-59 years, male
37.0
GTEX-17F98-0426-SM-79ONZ
40-49 years, female
36.7
GTEX-QLQ7-0626-SM-4R1JT
60-69 years, male
36.6
GTEX-1497J-0426-SM-5Q5CO
60-69 years, male
36.5
GTEX-ZP4G-0426-SM-4YCER
20-29 years, female
36.2
GTEX-14ICL-1126-SM-5S2RE
30-39 years, male
35.9
GTEX-WHSB-0726-SM-4M1XQ
50-59 years, male
35.9
GTEX-ZC5H-0826-SM-5N9FH
40-49 years, female
35.7
GTEX-R53T-0426-SM-48FEM
50-59 years, female
35.2
GTEX-17KNJ-1926-SM-7KFRV
50-59 years, male
35.0
GTEX-QCQG-0426-SM-48U29
50-59 years, female
35.0
GTEX-Q2AI-0426-SM-48U13
40-49 years, male
34.8
GTEX-X5EB-0526-SM-46MVP
40-49 years, male
34.8
GTEX-11P7K-0526-SM-5BC5I
30-39 years, male
34.5
GTEX-14JG6-0426-SM-68715
30-39 years, female
34.4
GTEX-S3XE-0526-SM-4AD4G
50-59 years, male
34.4
GTEX-XGQ4-0226-SM-4GIDS
50-59 years, male
34.4
GTEX-P4QS-1026-SM-3NMCW
60-69 years, male
34.3
GTEX-ZDTT-1126-SM-4WKFW
60-69 years, male
34.3
GTEX-QDVJ-1226-SM-48U1V
50-59 years, male
33.7
GTEX-WXYG-0826-SM-4ONC7
50-59 years, female
33.7
GTEX-17F9E-1426-SM-793BG
50-59 years, male
33.5
GTEX-PX3G-1026-SM-48TZW
20-29 years, female
33.4
GTEX-Y5LM-0526-SM-4V6G3
40-49 years, female
33.4
GTEX-OHPM-1026-SM-3LK74
50-59 years, male
33.0
GTEX-131XG-1426-SM-5GCMO
50-59 years, female
32.6
GTEX-U4B1-0726-SM-4DXUA
40-49 years, male
32.6
GTEX-YFCO-1026-SM-5LU9S
40-49 years, male
32.2
GTEX-1AMFI-0726-SM-731D9
50-59 years, female
32.0
GTEX-1399R-0426-SM-5IJE3
30-39 years, male
31.8
GTEX-ZF29-1126-SM-4WKGO
60-69 years, female
31.8
GTEX-XMK1-0326-SM-4B652
40-49 years, male
31.6
GTEX-13CF3-1026-SM-5LZWY
60-69 years, female
31.5
GTEX-QDVN-0926-SM-2I5GL
50-59 years, male
31.4
GTEX-13OVI-0526-SM-5IFFQ
60-69 years, female
31.0
GTEX-1B996-1326-SM-731EO
60-69 years, male
30.6
GTEX-ZVP2-0726-SM-59HKY
50-59 years, male
30.5
GTEX-R55G-0326-SM-48FDM
40-49 years, female
30.4
GTEX-178AV-0226-SM-793B7
40-49 years, male
30.3
GTEX-X15G-0726-SM-4PQZ5
50-59 years, female
30.3
GTEX-12WSN-0826-SM-5GCOF
40-49 years, male
30.2
GTEX-U8XE-2026-SM-3DB8S
30-39 years, male
30.2
GTEX-1AX9J-1726-SM-731FF
60-69 years, male
30.1
GTEX-YB5E-0526-SM-4VDSD
40-49 years, male
30.1
GTEX-145MO-2126-SM-5Q5CZ
60-69 years, male
30.0
GTEX-WYJK-2426-SM-4ONDQ
50-59 years, male
30.0
GTEX-1C6VQ-1726-SM-7IGLQ
50-59 years, male
29.9
GTEX-OHPL-1026-SM-3MJGI
60-69 years, female
29.9
GTEX-15UF7-0826-SM-6M46E
40-49 years, male
29.4
GTEX-ZVT2-2026-SM-5NQ8Q
50-59 years, female
29.2
GTEX-17HHE-0526-SM-7DUGR
50-59 years, male
29.1
GTEX-S95S-0726-SM-4B64H
60-69 years, male
29.0
GTEX-WHPG-0326-SM-4M1XV
50-59 years, male
28.8
GTEX-ZPIC-0926-SM-4WWFK
40-49 years, female
28.8
GTEX-111CU-0526-SM-5EGHK
50-59 years, male
28.5
GTEX-RWS6-1126-SM-47JXC
60-69 years, female
28.3
GTEX-132AR-1826-SM-5EGHR
50-59 years, female
28.0
GTEX-15RIF-0626-SM-6LLI3
20-29 years, male
28.0
GTEX-11I78-0626-SM-5A5LZ
50-59 years, female
27.4
GTEX-13FH7-1426-SM-5IFIC
50-59 years, female
27.1
GTEX-P4PQ-1026-SM-3NMCN
60-69 years, male
27.1
GTEX-14DAR-0526-SM-664MX
50-59 years, male
27.0
GTEX-13VXT-1226-SM-5LU3M
20-29 years, female
26.8
GTEX-XXEK-1726-SM-4BRVB
50-59 years, male
26.5
GTEX-R55D-1426-SM-48FEN
50-59 years, male
26.4
GTEX-1AX9K-2026-SM-731D1
50-59 years, male
26.0
GTEX-11VI4-0426-SM-5EGHZ
40-49 years, female
25.9
GTEX-17HGU-2026-SM-79OKS
50-59 years, male
25.9
GTEX-14PJ3-0426-SM-6LLHF
50-59 years, male
25.5
GTEX-Q2AH-0926-SM-48TZK
40-49 years, male
25.5
GTEX-Y8E4-1326-SM-5IFIY
40-49 years, male
25.4
GTEX-14PKU-0626-SM-6EU1Q
40-49 years, female
25.3
GTEX-1CAMS-1926-SM-7DUEU
40-49 years, female
25.1
GTEX-1B933-1726-SM-731FC
50-59 years, female
25.0
GTEX-VJYA-0826-SM-4KL1M
60-69 years, male
25.0
GTEX-PLZ6-0726-SM-3P619
30-39 years, male
24.8
GTEX-148VI-0826-SM-5TDDI
60-69 years, female
24.4
GTEX-13YAN-2126-SM-5Q5C4
60-69 years, male
24.1
GTEX-SE5C-0326-SM-4BRWX
40-49 years, female
23.8
GTEX-1122O-0726-SM-5GIEV
60-69 years, female
23.0
GTEX-W5WG-0826-SM-4RGNE
50-59 years, female
23.0
GTEX-Y3I4-0826-SM-4TT2A
50-59 years, male
23.0
GTEX-117YX-0226-SM-5EGH6
50-59 years, male
22.9
GTEX-XQ8I-1926-SM-4BOOK
50-59 years, male
22.9
GTEX-ZDYS-2526-SM-4WKGU
50-59 years, male
22.8
GTEX-QV31-0226-SM-447BO
30-39 years, male
22.5
GTEX-ZLWG-0326-SM-4WWC7
50-59 years, female
22.3
GTEX-ZYY3-0826-SM-5E44R
60-69 years, female
22.3
GTEX-S33H-1226-SM-4AD69
30-39 years, male
22.2
GTEX-ZLFU-0726-SM-57WF6
40-49 years, male
22.2
GTEX-13FTW-0526-SM-5IFIP
40-49 years, male
22.1
GTEX-WYVS-0926-SM-4SOJV
40-49 years, female
22.1
GTEX-XBEW-1626-SM-4SOJP
40-49 years, male
21.7
GTEX-ZT9W-0926-SM-57WFS
50-59 years, male
21.7
GTEX-ZV7C-0726-SM-59HKH
50-59 years, male
21.7
GTEX-146FQ-1526-SM-5Q5CX
30-39 years, male
21.5
GTEX-QV44-0426-SM-4R1KF
50-59 years, male
21.5
GTEX-RM2N-0326-SM-48FD8
50-59 years, male
21.3
GTEX-13W3W-1026-SM-5IFG4
60-69 years, female
21.2
GTEX-15UF6-1826-SM-6LLI9
70-79 years, female
21.2
GTEX-P4PP-1026-SM-3NM9O
30-39 years, female
21.0
GTEX-YB5K-1826-SM-5IFJC
40-49 years, female
20.9
GTEX-1128S-0826-SM-5GZZI
60-69 years, female
20.8
GTEX-13O61-2126-SM-5IJEO
60-69 years, male
20.8
GTEX-14PN3-0126-SM-6AJAU
60-69 years, female
20.8
GTEX-1339X-1026-SM-5IFH5
40-49 years, male
20.7
GTEX-13O1R-1826-SM-5KM3B
60-69 years, male
20.5
GTEX-QEL4-1326-SM-447AD
50-59 years, male
20.3
GTEX-WRHK-0226-SM-4MVOH
20-29 years, female
20.3
GTEX-ZAB4-1726-SM-5HL8C
40-49 years, male
20.3
GTEX-1A3MW-1926-SM-7IGM8
60-69 years, female
20.0
GTEX-TMMY-1326-SM-4DXU9
40-49 years, female
20.0
GTEX-Q734-0426-SM-48TZX
40-49 years, female
19.9
GTEX-13FTX-1226-SM-5IFGN
20-29 years, female
19.8
GTEX-WQUQ-2126-SM-4OOSO
60-69 years, male
19.5
GTEX-YEC3-0626-SM-5IFHZ
50-59 years, male
19.3
GTEX-13D11-2226-SM-5IFEO
50-59 years, female
18.9
GTEX-13FLV-0626-SM-5IFEY
50-59 years, male
18.9
GTEX-WI4N-1826-SM-4OOSF
40-49 years, female
18.9
GTEX-YEC4-1326-SM-5IFHG
40-49 years, male
18.9
GTEX-14C39-1026-SM-73KWG
40-49 years, male
18.3
GTEX-WH7G-0826-SM-4LVMR
40-49 years, male
18.3
GTEX-11DXX-0926-SM-5H112
60-69 years, female
18.2
GTEX-T8EM-0826-SM-4DM76
40-49 years, male
18.1
GTEX-13U4I-1526-SM-5IFFF
40-49 years, female
17.9
GTEX-15ER7-1326-SM-6LPK9
20-29 years, female
17.6
GTEX-TML8-0526-SM-32QOQ
40-49 years, female
17.6
GTEX-11LCK-0226-SM-5A5M6
30-39 years, male
17.4
GTEX-14PJN-1526-SM-6AJBP
30-39 years, male
17.2
GTEX-X3Y1-0726-SM-3P5YU
40-49 years, male
17.1
GTEX-Y114-0826-SM-4TT77
50-59 years, female
17.1
GTEX-ZPU1-0226-SM-4WWC9
40-49 years, male
17.0
GTEX-14PHY-1126-SM-664OR
60-69 years, female
16.4
GTEX-14PKV-0926-SM-6AJB4
20-29 years, female
16.4
GTEX-WHWD-0726-SM-4OORX
50-59 years, male
16.4
GTEX-TKQ2-0426-SM-4DXUO
50-59 years, male
16.3
GTEX-13PVR-0726-SM-5S2PX
60-69 years, female
16.1
GTEX-111YS-1226-SM-5EGGJ
60-69 years, male
16.0
GTEX-ZG7Y-0326-SM-4WWEY
50-59 years, male
16.0
GTEX-11XUK-0626-SM-5N9ES
40-49 years, female
15.6
GTEX-ZEX8-1026-SM-4WKHE
50-59 years, male
15.4
GTEX-11GSP-0426-SM-5A5KX
60-69 years, female
15.3
GTEX-QESD-0226-SM-447BH
20-29 years, male
15.3
GTEX-11ONC-0526-SM-5BC57
60-69 years, male
14.9
GTEX-15UKP-1326-SM-6LPI8
20-29 years, male
14.6
GTEX-15SHV-1526-SM-6LLIB
60-69 years, male
14.5
GTEX-13SLX-1326-SM-5S2QS
50-59 years, female
14.4
GTEX-14PJO-1826-SM-69LPR
60-69 years, male
14.4
GTEX-18A6Q-1726-SM-7LT9A
60-69 years, male
14.2
GTEX-145ME-0326-SM-5S2QO
40-49 years, female
14.1
GTEX-OOBJ-1026-SM-3NB2L
60-69 years, male
14.0
GTEX-QLQW-0326-SM-447A8
30-39 years, male
13.9
GTEX-Y5V5-1026-SM-5LUAH
60-69 years, female
13.8
GTEX-ZAK1-2326-SM-5CVMY
50-59 years, female
13.8
GTEX-14PJ6-0926-SM-686ZA
60-69 years, female
13.3
GTEX-17MF6-1426-SM-7IGOX
40-49 years, male
13.1
GTEX-1F5PL-0726-SM-7MKH8
40-49 years, female
13.1
GTEX-1399S-0326-SM-5IFFS
30-39 years, female
13.0
GTEX-12WSD-1626-SM-5GCNR
60-69 years, female
12.9
GTEX-YF7O-1326-SM-4W1ZR
50-59 years, male
12.1
GTEX-18A7A-1726-SM-7LT93
50-59 years, female
11.9
GTEX-15DYW-1626-SM-6LLI1
60-69 years, female
11.3
GTEX-11NSD-0526-SM-5A5LT
20-29 years, male
10.9
GTEX-12BJ1-1126-SM-5EGGG
60-69 years, male
10.4
GTEX-12WSG-1026-SM-5EGII
50-59 years, female
7.1
GTEX-14PJM-2126-SM-6AJAS
50-59 years, female
7.1
Show allShow less
PANCREAS - FANTOM5 CAGEi
RNA expression in human tissues obtained through Cap Analysis of Gene Expression (CAGE) generated by the FANTOM5 project are reported as Scaled Tags Per Million.