We use cookies to enhance the usability of our website. If you continue, we'll assume that you are happy to receive all cookies. More information. Don't show this again.
On the top, protein expression in current human tissue, based on all annotated cell types, is reported with the units not detected (n), low (l), medium (m) and high (h). Underneath, protein expression in each annotated cell type are reported using the same units.
Protein expression data is based on knowledge-based annotation. For genes where more than one antibody has been used, a collective score is set.
If knowledge-based annotation could not be performed for a gene, no data is displayed here. View antibody staining data further down this page.
A summary of mRNA expression data available for current tissue based on several datasets. The mRNA expression levels in human tissues are based on RNA-seq data generated by the Human Protein Atlas (HPA), Genotype-Tissue Expression (GTEx) portal and CAGE data generated by the FANTOM5 consortium. Consensus normalized expression (NX) levels for human tissues was created by combining the data from these three transcriptomics datasets (HPA, GTEx and FANTOM5).
The mRNA expression levels in pig are based on RNA-seq data generated by the Human Protein Atlas (HPA), and for mouse, HPA data and in situ hybridization generated by the Allen brain atlas are reported.
Scroll down to view mRNA expression data in more detail.
Antibody staining in the annotated cell types in the current human tissue is reported as not detected, low, medium, or high. This score is based on the staining intensity and fraction of stained cells.
The RNA-seq details section shows detailed information about the individual samples used for the transcript profiling and results of the RNA-seq analysis.
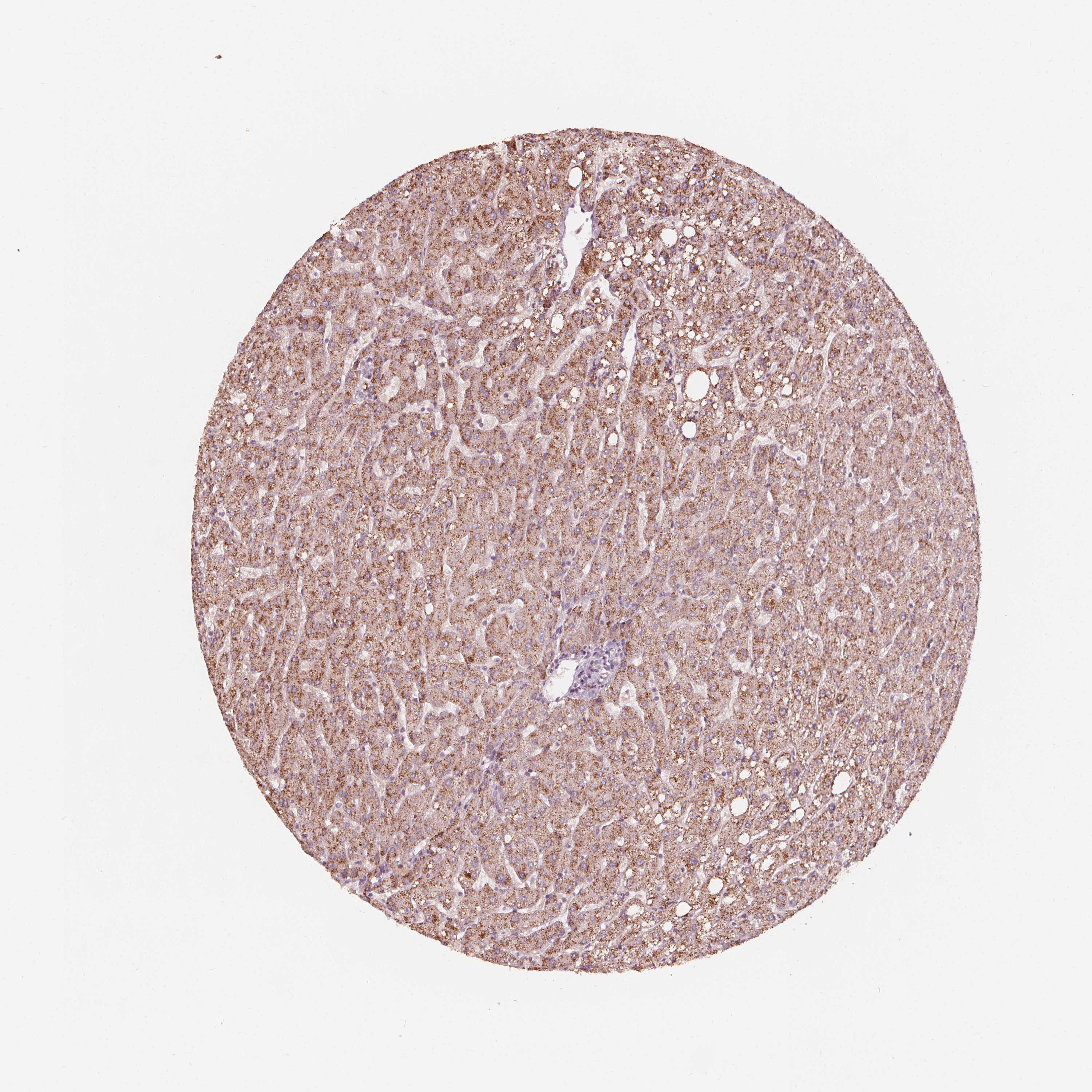
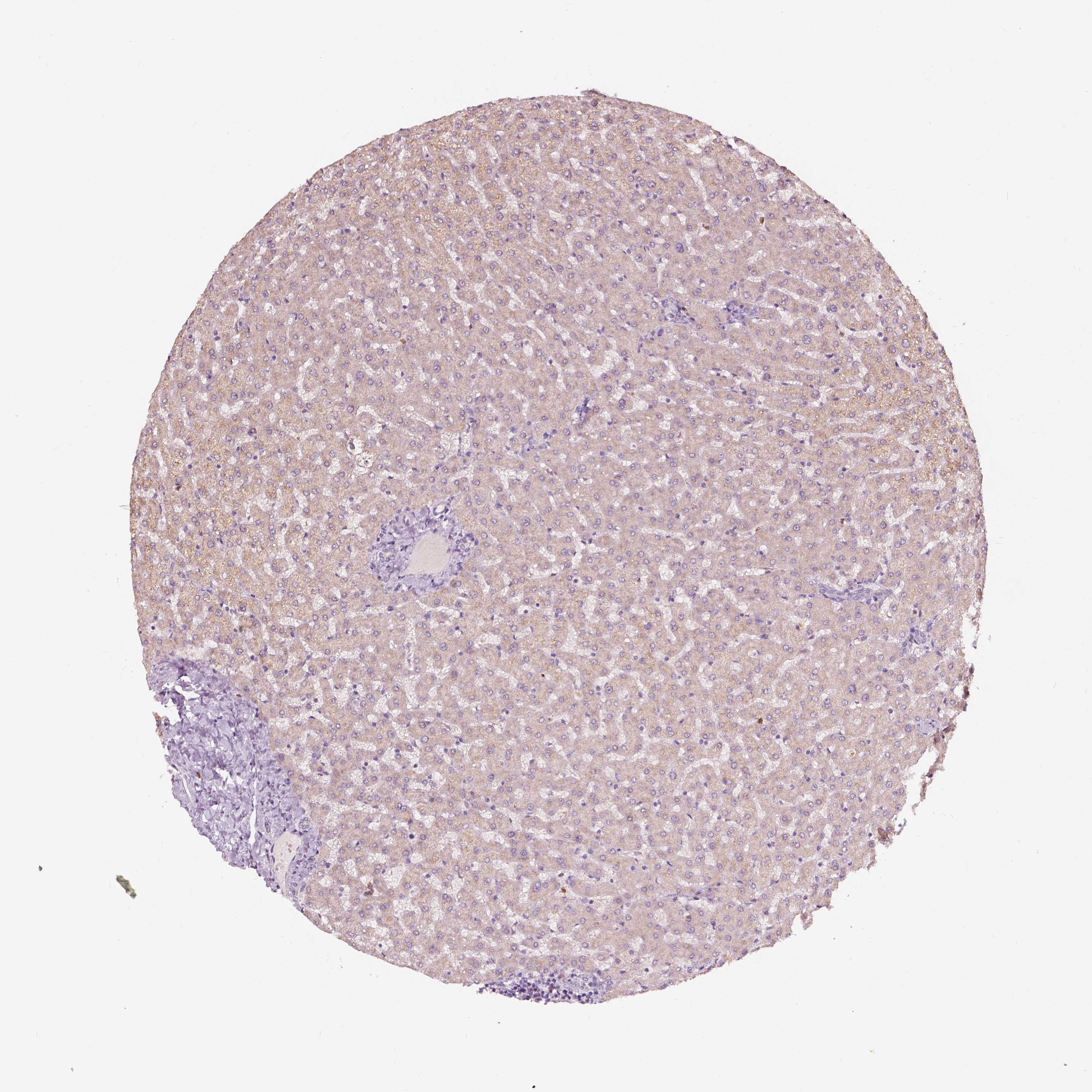
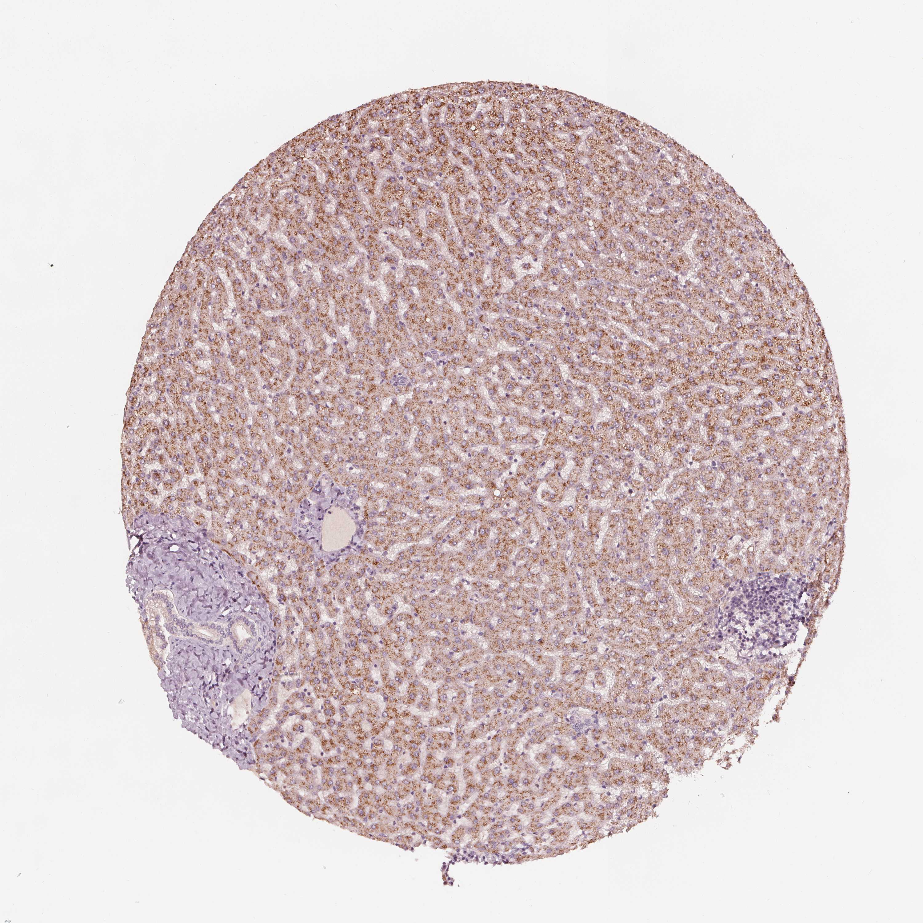
Information about each individual sample is listed below, including gender, age, a tissue section image and estimated fractions of cell types. pTPM (transcripts per million) values give a quantification of the gene abundance which is comparable between different genes and samples.
Hepatocytes: 80 Fibroblasts: 15 Other cell types: 5
Male, age 74
Liver sample 24 pTPM: 22.8
Cell types%
Hepatocytes: 85 Fibroblasts: 5 Other cell types: 10
Female, age 62
Liver sample 350 pTPM: 9.1
Cell types%
Hepatocytes: 70 Fibroblasts: 10 Other cell types: 20
Male, age 78
Liver sample 351 pTPM: 3.4
Cell types%
Hepatocytes: 75 Fibroblasts: 5 Other cell types: 20
Male, age 53
Liver sample 352 pTPM: 14.5
Cell types%
Hepatocytes: 80 Fibroblasts: 5 Other cell types: 15
Male, age 77
Liver sample 353 pTPM: 31.9
Cell types%
Hepatocytes: 75 Fibroblasts: 5 Other cell types: 20
Female, age 72
Liver sample 359 pTPM: 10.9
Cell types%
Hepatocytes: 50 Fibroblasts: 10 Other cell types: 40
Male, age 70
Liver sample 367 pTPM: 8.7
Cell types%
Hepatocytes: 65 Fibroblasts: 10 Other cell types: 25
Female, age 23
Liver sample 396 pTPM: 16.2
Cell types%
Hepatocytes: 70 Fibroblasts: 5 Other cell types: 25
LIVER - GTEx RNA-seqi
RNA-Seq data generated by the Genotype-Tissue Expression (GTEx) project from human tissues is reported as average pTPM. More information can be found on the GTEx portal.
Distribution across the dataset is visualized with box plots, shown as median and 25th and 75th percentiles. Points are displayed as outliers if they are above or below 1.5 times the interquartile range. pTPM values of the individual samples are presented next to the box plot.
Max pTPM: 55.8
Min pTPM: 4.4
Std pTPM: 10.3
Median pTPM: 19.3
GTEX-RN64-1826-SM-48FDV
50-59 years, male
55.8
GTEX-14PHX-0526-SM-664NW
50-59 years, male
53.0
GTEX-1EKGG-1226-SM-7IGNO
60-69 years, male
50.9
GTEX-WZTO-0626-SM-4PQYY
40-49 years, male
48.8
GTEX-13O1R-2026-SM-5KM3N
60-69 years, male
46.5
GTEX-18A66-2026-SM-7189C
60-69 years, male
44.7
GTEX-1A32A-0826-SM-72D5C
50-59 years, female
44.4
GTEX-QEG4-1826-SM-4R1JN
30-39 years, male
43.1
GTEX-QESD-2026-SM-447BI
20-29 years, male
41.3
GTEX-U8XE-1526-SM-4E3HT
30-39 years, male
40.9
GTEX-18A6Q-2026-SM-718AQ
60-69 years, male
40.4
GTEX-QDVN-0826-SM-48TZ2
50-59 years, male
38.7
GTEX-REY6-1226-SM-48FDR
60-69 years, male
38.5
GTEX-11OF3-0726-SM-5BC4Z
60-69 years, male
36.2
GTEX-14AS3-0126-SM-5Q5F4
40-49 years, female
36.1
GTEX-144GL-1426-SM-79OMA
50-59 years, male
36.0
GTEX-X4EP-1026-SM-4QAS5
60-69 years, female
35.8
GTEX-R53T-0326-SM-48FEC
50-59 years, female
35.7
GTEX-11NV4-1326-SM-5HL6V
60-69 years, male
35.1
GTEX-17F96-1226-SM-79OK2
70-79 years, male
34.6
GTEX-11ZUS-2526-SM-59872
30-39 years, male
34.4
GTEX-15DYW-1326-SM-6LPIV
60-69 years, female
34.2
GTEX-1399T-0826-SM-5IFES
60-69 years, male
34.1
GTEX-1C6VQ-1626-SM-79OO1
50-59 years, male
33.8
GTEX-13FTZ-0726-SM-5IFFY
60-69 years, male
32.1
GTEX-TKQ2-1726-SM-4DXUP
50-59 years, male
32.1
GTEX-1A8FM-1226-SM-7IGMD
50-59 years, female
31.9
GTEX-XXEK-1126-SM-4BRUX
50-59 years, male
30.6
GTEX-PX3G-0826-SM-48TZS
20-29 years, female
30.5
GTEX-1EWIQ-0726-SM-7MKFW
70-79 years, female
30.1
GTEX-11ZTS-1426-SM-5EQMM
60-69 years, female
30.0
GTEX-15RJE-1126-SM-6LPI5
40-49 years, male
29.9
GTEX-13OW6-2626-SM-5IFF2
50-59 years, male
29.7
GTEX-145MF-0826-SM-5QGQA
50-59 years, male
29.1
GTEX-13O3O-1826-SM-5IFGW
60-69 years, female
28.8
GTEX-13NYB-1026-SM-5IFH3
40-49 years, male
28.7
GTEX-WY7C-0726-SM-4ONCB
50-59 years, male
28.6
GTEX-XBEC-1526-SM-4AT68
50-59 years, male
28.0
GTEX-SJXC-1226-SM-4DM78
60-69 years, male
27.8
GTEX-147F4-1426-SM-5LUA8
50-59 years, male
27.6
GTEX-1AX8Z-1026-SM-7189R
60-69 years, male
27.5
GTEX-Y5V5-0926-SM-4VBPZ
60-69 years, female
27.5
GTEX-131XE-0326-SM-5LZVO
50-59 years, male
26.9
GTEX-14BIL-1326-SM-79OMR
50-59 years, male
26.9
GTEX-18465-1626-SM-7LG6N
50-59 years, male
26.9
GTEX-1B933-1226-SM-731DW
50-59 years, female
26.9
GTEX-P78B-1326-SM-3P611
40-49 years, female
26.7
GTEX-X4EO-1126-SM-4QARQ
60-69 years, female
26.7
GTEX-X4XY-1626-SM-46MVN
60-69 years, male
26.7
GTEX-ZVT4-0626-SM-5E45T
50-59 years, female
26.6
GTEX-13PVQ-1526-SM-5IFEQ
50-59 years, male
26.3
GTEX-14A5I-1726-SM-5QGQ5
50-59 years, female
26.2
GTEX-139TU-0826-SM-5IJFG
60-69 years, male
26.0
GTEX-RTLS-1326-SM-46MUN
60-69 years, female
25.7
GTEX-QV44-0326-SM-4R1KD
50-59 years, male
25.5
GTEX-11DXY-0526-SM-5EGGQ
60-69 years, male
25.4
GTEX-132NY-0926-SM-5P9G3
60-69 years, male
25.4
GTEX-17HHE-0126-SM-79398
50-59 years, male
25.3
GTEX-ZEX8-0826-SM-4WKHK
50-59 years, male
25.2
GTEX-11DXZ-0126-SM-5EGGY
50-59 years, male
24.5
GTEX-147GR-1326-SM-7IGLB
60-69 years, male
24.5
GTEX-T6MN-1226-SM-3NMA5
50-59 years, male
24.3
GTEX-RWSA-1426-SM-47JXA
40-49 years, male
24.2
GTEX-12KS4-1326-SM-5LUB3
30-39 years, male
23.5
GTEX-144GM-1326-SM-5LU5E
20-29 years, male
23.4
GTEX-ZF2S-3026-SM-4WWCH
50-59 years, female
22.9
GTEX-13SLX-1226-SM-5S2Q6
50-59 years, female
22.7
GTEX-13NZB-0626-SM-5IFH6
30-39 years, male
22.6
GTEX-YECK-1926-SM-4W21H
60-69 years, male
22.6
GTEX-YFC4-1526-SM-5IFJS
40-49 years, female
22.3
GTEX-UPK5-1426-SM-4JBHH
40-49 years, male
22.1
GTEX-13N11-0926-SM-5IJG2
50-59 years, female
22.0
GTEX-ZTPG-1426-SM-51MT3
20-29 years, female
22.0
GTEX-11GSP-0626-SM-5986T
60-69 years, female
21.6
GTEX-11WQC-0726-SM-5EQMR
60-69 years, male
21.3
GTEX-U3ZN-0226-SM-3DB8D
30-39 years, female
21.1
GTEX-139TS-1426-SM-5IFJD
60-69 years, male
20.9
GTEX-12WSD-1426-SM-5GCN9
60-69 years, female
20.7
GTEX-15ER7-1826-SM-6LLI7
20-29 years, female
20.6
GTEX-1A8G7-1126-SM-731ED
60-69 years, male
20.4
GTEX-12WSL-0226-SM-5CVMJ
50-59 years, male
20.2
GTEX-ZAB4-0826-SM-5LU9D
40-49 years, male
20.0
GTEX-14753-1626-SM-5NQ9L
60-69 years, male
19.9
GTEX-YB5E-0326-SM-5IFHU
40-49 years, male
19.8
GTEX-11TT1-1726-SM-5EQLJ
20-29 years, male
19.7
GTEX-18A7A-1526-SM-72D69
50-59 years, female
19.6
GTEX-18D9B-1526-SM-7KFRK
60-69 years, male
19.4
GTEX-ZPU1-0826-SM-57WG2
40-49 years, male
19.3
GTEX-1212Z-0226-SM-59HLF
60-69 years, male
19.0
GTEX-1399R-1226-SM-5P9GF
30-39 years, male
18.8
GTEX-11NUK-1226-SM-5P9GM
50-59 years, male
18.7
GTEX-ZYT6-0626-SM-5E45V
30-39 years, male
18.7
GTEX-RNOR-1426-SM-48FDJ
50-59 years, female
18.4
GTEX-ZYY3-0626-SM-5NQ6W
60-69 years, female
18.4
GTEX-1EH9U-1126-SM-7IGLU
60-69 years, male
17.8
GTEX-Q734-0326-SM-48U15
40-49 years, female
17.4
GTEX-YEC4-0826-SM-5P9FV
40-49 years, male
17.4
GTEX-13OVJ-1026-SM-5IFGI
50-59 years, female
17.3
GTEX-17HII-1026-SM-7IGLY
50-59 years, male
17.3
GTEX-ZF29-2026-SM-4WWB7
60-69 years, female
17.0
GTEX-14E1K-0326-SM-5S2PE
50-59 years, male
16.8
GTEX-S33H-1626-SM-4AD68
30-39 years, male
16.8
GTEX-12WSG-0626-SM-5FQTQ
50-59 years, female
16.5
GTEX-Y5LM-0426-SM-4VBRO
40-49 years, female
16.4
GTEX-ZZPU-0426-SM-5GZYH
50-59 years, female
16.4
GTEX-11ZVC-0726-SM-5FQT9
50-59 years, female
16.3
GTEX-OOBJ-0826-SM-3NB2K
60-69 years, male
16.2
GTEX-13X6J-1826-SM-5TDCT
50-59 years, male
16.1
GTEX-12WSI-0226-SM-5GCNA
50-59 years, male
16.0
GTEX-Q2AG-1126-SM-48U1P
40-49 years, female
16.0
GTEX-VUSG-0126-SM-4KL1X
50-59 years, male
15.8
GTEX-1B932-1426-SM-793AN
40-49 years, female
15.7
GTEX-ZAB5-0426-SM-5CVMI
50-59 years, male
15.7
GTEX-13113-1326-SM-5GCOI
60-69 years, female
15.6
GTEX-1497J-0726-SM-5Q5D1
60-69 years, male
15.5
GTEX-UTHO-2426-SM-4JBHD
60-69 years, male
15.5
GTEX-13FLV-0326-SM-5N9DJ
50-59 years, male
15.3
GTEX-WYVS-1926-SM-4PQZ2
40-49 years, female
15.2
GTEX-1CAMQ-1426-SM-7MKFL
40-49 years, male
15.0
GTEX-1GF9X-0426-SM-7MKHN
40-49 years, female
15.0
GTEX-ZVT3-1626-SM-5GU66
60-69 years, female
14.9
GTEX-145MO-2326-SM-5NQ9K
60-69 years, male
14.7
GTEX-13PVR-0126-SM-5S2PY
60-69 years, female
14.5
GTEX-15SHU-1826-SM-7KUKS
40-49 years, female
14.4
GTEX-14JG1-1626-SM-664NH
40-49 years, male
14.2
GTEX-1GF9V-1226-SM-7MKGY
60-69 years, male
14.1
GTEX-S32W-1926-SM-4AD63
50-59 years, female
14.1
GTEX-17EVP-1026-SM-7IGOZ
40-49 years, male
14.0
GTEX-131YS-1626-SM-5HL6C
60-69 years, female
13.9
GTEX-1269C-0626-SM-5FQSS
60-69 years, female
13.8
GTEX-1AMFI-0826-SM-731DV
50-59 years, female
13.7
GTEX-RM2N-1926-SM-48FCU
50-59 years, male
13.7
GTEX-139YR-0226-SM-5IFEM
50-59 years, male
13.6
GTEX-WQUQ-1926-SM-4OOSA
60-69 years, male
13.6
GTEX-13QJC-0726-SM-5RQJK
60-69 years, female
13.4
GTEX-147JS-1126-SM-5RQIW
60-69 years, male
13.0
GTEX-1B996-1426-SM-7EPIA
60-69 years, male
13.0
GTEX-146FH-1526-SM-5NQBU
50-59 years, female
12.7
GTEX-ZVP2-0626-SM-51MSO
50-59 years, male
12.7
GTEX-14E7W-1526-SM-6871X
70-79 years, male
12.6
GTEX-13VXU-0926-SM-5IFFH
50-59 years, male
12.5
GTEX-Z9EW-0426-SM-5CVM9
40-49 years, male
12.4
GTEX-17MF6-1126-SM-7DUFS
40-49 years, male
12.0
GTEX-15RJ7-2026-SM-6LPJ4
40-49 years, male
11.9
GTEX-132AR-0426-SM-5IFH8
50-59 years, female
11.6
GTEX-RU72-1426-SM-46MUF
50-59 years, female
11.5
GTEX-13112-1426-SM-5EGH8
50-59 years, male
11.4
GTEX-1AX9I-1626-SM-72D5D
60-69 years, male
11.2
GTEX-13NZ9-1326-SM-5MR3V
50-59 years, male
10.8
GTEX-145LU-1326-SM-5LU9N
50-59 years, male
10.6
GTEX-WK11-1326-SM-4OOSI
50-59 years, male
10.6
GTEX-X261-1726-SM-4PQYT
50-59 years, male
10.2
GTEX-14XAO-0226-SM-68728
60-69 years, female
10.1
GTEX-11EQ9-0526-SM-5A5JZ
30-39 years, male
9.9
GTEX-1GF9W-0826-SM-7MKHI
60-69 years, male
9.7
GTEX-QEL4-1226-SM-447A4
50-59 years, male
9.7
GTEX-17HGU-1826-SM-7IGQM
50-59 years, male
9.1
GTEX-1B8SG-1326-SM-79ONT
50-59 years, male
9.1
GTEX-O5YT-0826-SM-3TW8N
20-29 years, male
9.1
GTEX-148VI-0626-SM-5TDDH
60-69 years, female
8.9
GTEX-11TUW-1726-SM-5BC5C
60-69 years, male
8.7
GTEX-131XH-0626-SM-5LZWH
50-59 years, male
8.7
GTEX-13FTW-1126-SM-5J2NV
40-49 years, male
8.3
GTEX-15SZO-1226-SM-6LPIP
50-59 years, male
8.2
GTEX-13N2G-0926-SM-5IFGJ
60-69 years, male
8.0
GTEX-S4Z8-0526-SM-4AD4T
60-69 years, male
8.0
GTEX-14C38-1526-SM-5RQJ7
50-59 years, male
7.4
GTEX-X3Y1-2726-SM-4PQZH
40-49 years, male
7.2
GTEX-1CB4J-0726-SM-7IGN8
60-69 years, male
7.1
GTEX-12696-0826-SM-5EGGE
60-69 years, male
6.7
GTEX-12ZZZ-1326-SM-59HKW
60-69 years, male
6.1
GTEX-12WSM-0726-SM-5GCOW
60-69 years, male
5.9
GTEX-14DAQ-1726-SM-5S2R2
60-69 years, female
5.8
GTEX-WFON-1726-SM-4LVMQ
40-49 years, male
5.3
GTEX-14PJO-1726-SM-68719
60-69 years, male
4.4
Show allShow less
LIVER - FANTOM5 CAGEi
RNA expression in human tissues obtained through Cap Analysis of Gene Expression (CAGE) generated by the FANTOM5 project are reported as Scaled Tags Per Million.