We use cookies to enhance the usability of our website. If you continue, we'll assume that you are happy to receive all cookies. More information. Don't show this again.
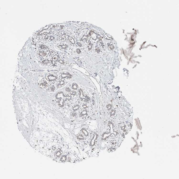
On the top, protein expression in current human tissue, based on all annotated cell types, is reported with the units not detected (n), low (l), medium (m) and high (h). Underneath, protein expression in each annotated cell type are reported using the same units.
Protein expression data is based on knowledge-based annotation. For genes where more than one antibody has been used, a collective score is set.
If knowledge-based annotation could not be performed for a gene, no data is displayed here. View antibody staining data further down this page.
A summary of mRNA expression data available for current tissue based on several datasets. The mRNA expression levels in human tissues are based on RNA-seq data generated by the Human Protein Atlas (HPA), Genotype-Tissue Expression (GTEx) portal and CAGE data generated by the FANTOM5 consortium. Consensus normalized expression (NX) levels for human tissues was created by combining the data from these three transcriptomics datasets (HPA, GTEx and FANTOM5).
The mRNA expression levels in pig are based on RNA-seq data generated by the Human Protein Atlas (HPA), and for mouse, HPA data and in situ hybridization generated by the Allen brain atlas are reported.
Scroll down to view mRNA expression data in more detail.
Antibody staining in the annotated cell types in the current human tissue is reported as not detected, low, medium, or high. This score is based on the staining intensity and fraction of stained cells.
The RNA-seq details section shows detailed information about the individual samples used for the transcript profiling and results of the RNA-seq analysis.
Information about each individual sample is listed below, including gender, age, a tissue section image and estimated fractions of cell types. pTPM (transcripts per million) values give a quantification of the gene abundance which is comparable between different genes and samples.
Glandular cells: 15 Adipocytes: 5 Other cell types: 80
Female, age 80
Breast sample 390 pTPM: 82.8
Cell types%
Glandular cells: 5 Adipocytes: 15 Other cell types: 80
Female, age 47
Breast sample 405 pTPM: 43.2
Cell types%
Glandular cells: 5 Adipocytes: 5 Other cell types: 90
Female, age 38
Breast sample 410 pTPM: 26.7
Cell types%
Glandular cells: 40 Adipocytes: 5 Other cell types: 55
BREAST - GTEx RNA-seqi
RNA-Seq data generated by the Genotype-Tissue Expression (GTEx) project from human tissues is reported as average pTPM. More information can be found on the GTEx portal.
Distribution across the dataset is visualized with box plots, shown as median and 25th and 75th percentiles. Points are displayed as outliers if they are above or below 1.5 times the interquartile range. pTPM values of the individual samples are presented next to the box plot.
Max pTPM: 173.5
Min pTPM: 37.4
Std pTPM: 23.6
Median pTPM: 75.3
GTEX-S33H-0326-SM-4AD6N
30-39 years, male
173.5
GTEX-13QJ3-0826-SM-7DHKK
50-59 years, male
170.3
GTEX-XV7Q-2326-SM-4BRVZ
40-49 years, female
169.7
GTEX-132AR-0826-SM-5EGK6
50-59 years, female
166.7
GTEX-13NZ9-1026-SM-5MR5K
50-59 years, male
143.8
GTEX-11ONC-2126-SM-5HL6E
60-69 years, male
141.1
GTEX-146FH-0826-SM-5SI8T
50-59 years, female
140.0
GTEX-1AX8Z-0926-SM-731AW
60-69 years, male
138.6
GTEX-13FTW-1426-SM-5LZWZ
40-49 years, male
131.2
GTEX-14PJ4-2126-SM-6ETZJ
60-69 years, male
130.5
GTEX-R53T-1526-SM-48FEK
50-59 years, female
120.6
GTEX-183FY-1126-SM-7DHLJ
20-29 years, male
120.3
GTEX-ZDYS-1126-SM-5K7UB
50-59 years, male
119.6
GTEX-TKQ2-1826-SM-33HB2
50-59 years, male
117.5
GTEX-139TU-0626-SM-5KM3X
60-69 years, male
117.4
GTEX-11ZUS-0826-SM-5FQUY
30-39 years, male
117.0
GTEX-17MFQ-0926-SM-7LG4S
20-29 years, male
116.8
GTEX-15UF7-0726-SM-6M46D
40-49 years, male
116.1
GTEX-ZV6S-1826-SM-5NQ8D
40-49 years, female
115.6
GTEX-WFON-1826-SM-3GILG
40-49 years, male
115.0
GTEX-17F98-0526-SM-79OK5
40-49 years, female
114.4
GTEX-Y5V6-2126-SM-4WWFX
60-69 years, male
113.6
GTEX-1C6VQ-0426-SM-79OOX
50-59 years, male
113.4
GTEX-14DAR-1326-SM-7DUEG
50-59 years, male
111.2
GTEX-U8XE-0826-SM-4E3J1
30-39 years, male
111.2
GTEX-13O61-1826-SM-5KM4I
60-69 years, male
110.9
GTEX-U3ZN-1926-SM-4DXSG
30-39 years, female
110.3
GTEX-WY7C-2726-SM-3NB3P
50-59 years, male
108.9
GTEX-12WSK-2226-SM-5GCO5
40-49 years, female
108.2
GTEX-13NZ8-0126-SM-5IJCT
60-69 years, female
108.1
GTEX-17HHE-1426-SM-7EPH4
50-59 years, male
107.1
GTEX-ZQG8-0726-SM-5P9H9
60-69 years, female
107.1
GTEX-YEC3-1026-SM-5IFI5
50-59 years, male
106.3
GTEX-11NSD-0926-SM-5N9DR
20-29 years, male
104.1
GTEX-14PHY-1926-SM-5YY95
60-69 years, female
103.9
GTEX-14B4R-1226-SM-5TDDT
30-39 years, male
103.6
GTEX-Y8E4-1626-SM-5S2MW
40-49 years, male
103.6
GTEX-Y114-2026-SM-4TT7L
50-59 years, female
103.1
GTEX-144GL-2026-SM-5LU3O
50-59 years, male
102.6
GTEX-11EQ9-1826-SM-5Q5AJ
30-39 years, male
102.5
GTEX-S341-1526-SM-4AD6K
40-49 years, female
102.0
GTEX-S7SE-0826-SM-4AT4D
50-59 years, male
101.9
GTEX-V955-2026-SM-3GAFA
60-69 years, male
101.4
GTEX-11O72-2126-SM-5N9FO
40-49 years, male
101.1
GTEX-YFCO-1826-SM-4W1YH
40-49 years, male
101.1
GTEX-11GSO-1926-SM-5A5K3
60-69 years, male
100.8
GTEX-145MN-1926-SM-5SIAI
30-39 years, male
100.7
GTEX-17KNJ-2026-SM-7LG53
50-59 years, male
100.2
GTEX-13O3Q-2226-SM-5KM4O
50-59 years, male
99.8
GTEX-13VXU-2826-SM-664MA
50-59 years, male
99.7
GTEX-YJ8O-2226-SM-5IFHW
40-49 years, female
99.7
GTEX-ZDTT-2126-SM-5S2OJ
60-69 years, male
99.7
GTEX-TKQ1-0226-SM-33HB5
30-39 years, male
97.4
GTEX-Y3I4-1526-SM-4TT7K
50-59 years, male
97.4
GTEX-13W46-0826-SM-5LU3H
50-59 years, male
97.0
GTEX-X15G-1626-SM-3NMB3
50-59 years, female
97.0
GTEX-RUSQ-2026-SM-4GIAK
50-59 years, male
96.9
GTEX-PSDG-1626-SM-48TCQ
50-59 years, male
95.8
GTEX-UPK5-2326-SM-3P5Z8
40-49 years, male
95.8
GTEX-XMK1-1126-SM-4IHJ8
40-49 years, male
95.8
GTEX-1B932-0826-SM-73KXG
40-49 years, female
94.9
GTEX-WI4N-1426-SM-3LK7H
40-49 years, female
94.8
GTEX-14E6E-1326-SM-5S2NR
30-39 years, male
94.7
GTEX-17GQL-0326-SM-7LG5U
60-69 years, male
94.5
GTEX-17HGU-1326-SM-79OKB
50-59 years, male
94.3
GTEX-SE5C-2126-SM-4BRUJ
40-49 years, female
94.0
GTEX-X4XY-0926-SM-4E3JD
60-69 years, male
93.3
GTEX-12BJ1-1826-SM-5HL9N
60-69 years, male
93.0
GTEX-139T6-1626-SM-5PNYZ
50-59 years, male
92.9
GTEX-XUW1-2326-SM-4BOO5
50-59 years, female
92.9
GTEX-UJHI-1426-SM-3DB9C
50-59 years, female
92.8
GTEX-WXYG-2226-SM-4E3IM
50-59 years, female
92.7
GTEX-11ZTT-2326-SM-5EQLG
60-69 years, female
92.3
GTEX-16YQH-2826-SM-6PAMY
30-39 years, male
91.6
GTEX-18A6Q-0926-SM-7LG4N
60-69 years, male
91.5
GTEX-15G19-2126-SM-6M48J
60-69 years, male
91.1
GTEX-R55D-0826-SM-48FEA
50-59 years, male
91.0
GTEX-XYKS-1326-SM-4BRUN
60-69 years, female
90.7
GTEX-TML8-1226-SM-32QON
40-49 years, female
90.6
GTEX-XQ8I-2426-SM-4WAXY
50-59 years, male
90.4
GTEX-1B97I-0426-SM-79OL7
40-49 years, male
90.1
GTEX-17HG3-0126-SM-7IGNH
30-39 years, female
89.8
GTEX-132NY-0826-SM-5K7Y7
60-69 years, male
89.3
GTEX-12WSN-1326-SM-5GCNT
40-49 years, male
89.0
GTEX-WOFL-0826-SM-3MJG1
60-69 years, male
88.8
GTEX-12KS4-0126-SM-5Q5A5
30-39 years, male
88.3
GTEX-11EI6-0626-SM-5985T
60-69 years, male
88.1
GTEX-ZYFC-0826-SM-5E44K
50-59 years, male
88.0
GTEX-Y5LM-1726-SM-4VDSX
40-49 years, female
87.7
GTEX-11OF3-1926-SM-59889
60-69 years, male
87.3
GTEX-18A7A-0726-SM-7LTAI
50-59 years, female
87.0
GTEX-QMRM-1626-SM-4R1KV
50-59 years, male
87.0
GTEX-14BMV-0626-SM-793AU
50-59 years, male
86.9
GTEX-1AMEY-1026-SM-718AA
30-39 years, female
85.6
GTEX-17HHY-0926-SM-793C1
50-59 years, male
85.5
GTEX-ZDXO-0126-SM-5S2ND
60-69 years, male
85.5
GTEX-1A3MV-1626-SM-731C1
30-39 years, male
85.4
GTEX-ZY6K-1626-SM-5GZWV
50-59 years, male
85.3
GTEX-1211K-1926-SM-5EQLB
60-69 years, female
84.9
GTEX-117YX-1426-SM-5H12H
50-59 years, male
84.6
GTEX-S4Q7-1126-SM-4AD6R
20-29 years, male
84.5
GTEX-18D9A-1526-SM-7LG4J
30-39 years, female
84.2
GTEX-13113-1726-SM-5GCOO
60-69 years, female
84.1
GTEX-R3RS-0626-SM-48FE1
40-49 years, female
84.1
GTEX-ZZPU-0626-SM-5E43T
50-59 years, female
83.9
GTEX-1AX9I-0726-SM-73KWV
60-69 years, male
83.6
GTEX-ZV7C-1826-SM-5NQ83
50-59 years, male
83.2
GTEX-S32W-2026-SM-4AD6E
50-59 years, female
82.7
GTEX-1C64O-0726-SM-7DUFU
60-69 years, male
81.7
GTEX-17JCI-0726-SM-7EPH1
60-69 years, female
81.6
GTEX-VUSG-2226-SM-4KKZO
50-59 years, male
81.6
GTEX-144GM-0926-SM-5O994
20-29 years, male
81.1
GTEX-11LCK-2426-SM-5HL5F
30-39 years, male
80.9
GTEX-11P81-1926-SM-5BC53
30-39 years, female
80.4
GTEX-13W3W-1226-SM-5LU4H
60-69 years, female
80.2
GTEX-WRHU-0326-SM-3MJFY
50-59 years, female
80.0
GTEX-ZTX8-1226-SM-4YCE9
20-29 years, male
79.8
GTEX-RWS6-1926-SM-47JXY
60-69 years, female
79.7
GTEX-XQ3S-1326-SM-4BOPQ
20-29 years, male
79.7
GTEX-X4EP-2926-SM-3P5YQ
60-69 years, female
79.6
GTEX-QEG5-0726-SM-4R1JQ
20-29 years, male
79.4
GTEX-11NV4-2026-SM-5N9DG
60-69 years, male
78.9
GTEX-18QFQ-0826-SM-718AX
30-39 years, male
78.9
GTEX-13D11-1026-SM-5IJFB
50-59 years, female
78.8
GTEX-T6MN-0726-SM-32PML
50-59 years, male
78.6
GTEX-Q2AG-0326-SM-48U1O
40-49 years, female
78.5
GTEX-16BQI-1026-SM-7KUEA
30-39 years, female
78.4
GTEX-13N1W-0626-SM-5MR4U
70-79 years, male
78.2
GTEX-13O3P-0826-SM-5L3DH
50-59 years, male
78.2
GTEX-1B8KE-1226-SM-73KWK
50-59 years, male
78.1
GTEX-13NZB-2126-SM-5MR4Y
30-39 years, male
77.7
GTEX-S4P3-1326-SM-4AD6V
50-59 years, female
77.5
GTEX-RU1J-0626-SM-4WAWY
20-29 years, female
77.0
GTEX-15UF6-0126-SM-6PAMB
70-79 years, female
76.8
GTEX-WYBS-0926-SM-3NM94
60-69 years, female
76.3
GTEX-ZQUD-1926-SM-51MSA
30-39 years, male
76.3
GTEX-ZZ64-1226-SM-5E43R
20-29 years, male
76.3
GTEX-11WQC-1726-SM-5GU4W
60-69 years, male
76.2
GTEX-13N11-1726-SM-5J1OJ
50-59 years, female
76.2
GTEX-ZVT4-1026-SM-57WC4
50-59 years, female
76.1
GTEX-1122O-1226-SM-5H113
60-69 years, female
75.9
GTEX-ZF2S-2026-SM-5E461
50-59 years, female
75.8
GTEX-ZYT6-0126-SM-5E45J
30-39 years, male
75.8
GTEX-Y5V5-2126-SM-4WWFO
60-69 years, female
75.6
GTEX-ZLV1-1426-SM-4WWES
60-69 years, female
75.5
GTEX-1269C-2426-SM-5FQSN
60-69 years, female
75.2
GTEX-18A7B-2626-SM-7LG55
70-79 years, male
75.2
GTEX-1B8KZ-1526-SM-7DUG7
50-59 years, male
74.9
GTEX-13SLW-2526-SM-62LDQ
70-79 years, male
74.5
GTEX-14PKU-0426-SM-6EU1P
40-49 years, female
74.4
GTEX-ZUA1-1526-SM-59HLS
40-49 years, male
74.2
GTEX-14BMU-1626-SM-5TDE7
20-29 years, female
74.1
GTEX-13CF3-2126-SM-5IFJP
60-69 years, female
73.9
GTEX-17EVQ-0426-SM-7LG57
70-79 years, male
73.8
GTEX-Y3IK-2326-SM-4WWDT
50-59 years, female
73.3
GTEX-1B97J-0426-SM-79OLQ
50-59 years, female
73.0
GTEX-11P7K-0726-SM-5EGKX
30-39 years, male
72.9
GTEX-13FTX-1126-SM-5N9EN
20-29 years, female
72.9
GTEX-ZPIC-1126-SM-5BC7F
40-49 years, female
72.8
GTEX-13QIC-2326-SM-5LU5N
60-69 years, female
72.3
GTEX-ZVZQ-0826-SM-51MRF
60-69 years, female
72.2
GTEX-1192X-2326-SM-5987X
50-59 years, male
72.0
GTEX-VJWN-0726-SM-3GIJ8
50-59 years, female
72.0
GTEX-17EUY-1926-SM-7DUF6
20-29 years, male
71.8
GTEX-ZEX8-2226-SM-57WC6
50-59 years, male
71.4
GTEX-QDT8-0626-SM-48TYW
30-39 years, female
71.3
GTEX-11DXZ-1926-SM-5GZZL
50-59 years, male
71.2
GTEX-U3ZH-1426-SM-4DXSR
30-39 years, male
71.2
GTEX-T5JW-2026-SM-4DM63
20-29 years, female
70.8
GTEX-13PVQ-1026-SM-5KM3M
50-59 years, male
70.5
GTEX-15ETS-0626-SM-7KUMX
40-49 years, female
70.5
GTEX-ZWKS-2826-SM-5NQ74
30-39 years, male
70.5
GTEX-11GS4-2126-SM-5A5KR
60-69 years, male
70.2
GTEX-15FZZ-0726-SM-7KUFZ
30-39 years, female
69.6
GTEX-11TT1-2126-SM-5GU5Y
20-29 years, male
69.2
GTEX-17F96-2426-SM-7IGLN
70-79 years, male
69.1
GTEX-13PVR-2226-SM-7DHKP
60-69 years, female
69.0
GTEX-1AX9J-1126-SM-731B7
60-69 years, male
69.0
GTEX-15DCZ-0726-SM-69LOV
20-29 years, female
68.9
GTEX-1CAMR-1426-SM-793BO
20-29 years, male
68.8
GTEX-XGQ4-0926-SM-4AT4U
50-59 years, male
68.8
GTEX-Y9LG-1426-SM-5IFJZ
30-39 years, male
68.7
GTEX-11I78-2226-SM-5PNYA
50-59 years, female
68.6
GTEX-YFC4-1426-SM-5IFJG
40-49 years, female
68.4
GTEX-11TUW-1826-SM-5BC5D
60-69 years, male
68.1
GTEX-18465-2026-SM-718AP
50-59 years, male
67.8
GTEX-117XS-1926-SM-5GICO
60-69 years, male
67.7
GTEX-133LE-1726-SM-5K7VQ
20-29 years, female
67.6
GTEX-14ICK-2426-SM-6EU27
40-49 years, male
67.6
GTEX-1E2YA-2726-SM-7IGPW
50-59 years, male
67.6
GTEX-ZAB4-2526-SM-5HL8M
40-49 years, male
67.4
GTEX-ZF3C-2326-SM-5S2MZ
50-59 years, female
67.4
GTEX-YB5E-1726-SM-5IFJ3
40-49 years, male
67.1
GTEX-XBED-1626-SM-47JYN
60-69 years, male
66.8
GTEX-XMD2-0926-SM-4WWEF
60-69 years, female
66.8
GTEX-13OW8-0226-SM-5K7UP
60-69 years, male
66.6
GTEX-11DZ1-0326-SM-5N9BN
50-59 years, male
66.5
GTEX-ZT9W-2026-SM-51MRA
50-59 years, male
66.4
GTEX-14E7W-0826-SM-62LEJ
70-79 years, male
66.0
GTEX-13OW5-2226-SM-5L3HC
60-69 years, male
65.7
GTEX-ZTTD-1026-SM-51MRD
50-59 years, male
65.6
GTEX-ZC5H-2626-SM-5J2MG
40-49 years, female
65.3
GTEX-1CB4G-2326-SM-79OOI
60-69 years, male
65.1
GTEX-15SHW-1326-SM-6PAL8
60-69 years, male
65.0
GTEX-145ME-1526-SM-5Q5F2
40-49 years, female
64.9
GTEX-145LT-0726-SM-5S2VM
40-49 years, male
64.7
GTEX-13O3O-0826-SM-5K7WE
60-69 years, female
64.6
GTEX-QEL4-2126-SM-447AE
50-59 years, male
64.3
GTEX-W5X1-2326-SM-3GIL6
40-49 years, female
64.3
GTEX-1EKGG-2626-SM-7IGPY
60-69 years, male
63.7
GTEX-YB5K-1626-SM-5IFIN
40-49 years, female
63.7
GTEX-1BAJH-0826-SM-7EWEF
70-79 years, male
63.5
GTEX-T2YK-2226-SM-32QPT
50-59 years, male
63.5
GTEX-147F4-2826-SM-5NQBN
50-59 years, male
63.0
GTEX-17EVP-0226-SM-79OND
40-49 years, male
63.0
GTEX-QVJO-1826-SM-447C9
60-69 years, female
63.0
GTEX-RU72-0626-SM-46MUI
50-59 years, female
63.0
GTEX-1314G-1226-SM-5BC6D
30-39 years, male
62.7
GTEX-139T8-0826-SM-5L3DE
60-69 years, male
62.6
GTEX-REY6-2426-SM-48FF5
60-69 years, male
61.9
GTEX-11DXW-0626-SM-5N9ER
40-49 years, male
61.7
GTEX-11EMC-2026-SM-5A5JV
60-69 years, female
61.6
GTEX-ZF29-1926-SM-5S2P1
60-69 years, female
61.4
GTEX-1399U-1826-SM-5PNZ1
50-59 years, female
61.0
GTEX-1B933-2526-SM-7IGO5
50-59 years, female
60.6
GTEX-T6MO-0326-SM-32QOK
40-49 years, female
59.9
GTEX-13FTY-2226-SM-5J1ND
40-49 years, female
59.7
GTEX-1313W-0826-SM-5EQ4T
50-59 years, female
59.6
GTEX-131YS-0626-SM-5EGKL
60-69 years, female
59.6
GTEX-15ER7-1626-SM-6PAMZ
20-29 years, female
59.6
GTEX-14AS3-1626-SM-5S2OY
40-49 years, female
59.3
GTEX-1CB4E-0226-SM-79OLW
60-69 years, male
59.1
GTEX-12ZZX-1126-SM-5EGKB
40-49 years, female
58.9
GTEX-13FHO-0826-SM-5L3E8
60-69 years, male
58.7
GTEX-1A8G7-2426-SM-731AK
60-69 years, male
58.4
GTEX-XUZC-1626-SM-4BRVP
30-39 years, female
58.4
GTEX-11PRG-0826-SM-5EQ6A
50-59 years, male
58.3
GTEX-S4UY-0726-SM-4AD6X
40-49 years, female
58.2
GTEX-14753-2426-SM-5LU8U
60-69 years, male
57.9
GTEX-1117F-2826-SM-5GZXL
60-69 years, female
57.7
GTEX-ZLFU-2126-SM-4WWEV
40-49 years, male
57.4
GTEX-Y8LW-1626-SM-5IFHX
50-59 years, female
57.2
GTEX-XMD1-0826-SM-4AT52
60-69 years, male
56.9
GTEX-15EOM-5019-SM-793DK
20-29 years, female
56.7
GTEX-WYJK-1326-SM-3NB2T
50-59 years, male
56.3
GTEX-TMMY-0726-SM-33HBE
40-49 years, female
56.0
GTEX-X261-0626-SM-3NMD9
50-59 years, male
55.6
GTEX-ZU9S-1926-SM-5NQBP
30-39 years, male
55.6
GTEX-12WSM-1726-SM-5BC6J
60-69 years, male
55.4
GTEX-ZVTK-0326-SM-51MRR
20-29 years, male
55.3
GTEX-1CB4J-1826-SM-7EWF9
60-69 years, male
55.0
GTEX-ZA64-1526-SM-5CVMD
20-29 years, male
54.8
GTEX-16NGA-0826-SM-718AF
40-49 years, female
54.3
GTEX-14A5I-0726-SM-5TDEB
50-59 years, female
54.2
GTEX-11DXY-2326-SM-5GICW
60-69 years, male
53.6
GTEX-145MF-2226-SM-7EPIR
50-59 years, male
53.3
GTEX-111YS-1926-SM-5GICC
60-69 years, male
52.4
GTEX-ZXES-0826-SM-5E43C
30-39 years, female
52.3
GTEX-ZAJG-0626-SM-5HL8X
50-59 years, female
52.1
GTEX-13PL6-2926-SM-5L3I2
40-49 years, female
51.9
GTEX-17F97-2526-SM-7EWDV
50-59 years, male
51.6
GTEX-ZYW4-0826-SM-5GIDG
60-69 years, male
51.4
GTEX-11EM3-1326-SM-5N9C6
20-29 years, female
51.2
GTEX-ZVE2-1226-SM-5NQ8R
50-59 years, male
51.2
GTEX-13CF2-2026-SM-5K7VI
60-69 years, male
50.6
GTEX-Y111-2026-SM-4SOJA
50-59 years, male
50.6
GTEX-11P82-1326-SM-5HL62
20-29 years, male
49.1
GTEX-1CAMS-1426-SM-7IGPM
40-49 years, female
49.0
GTEX-WYVS-1726-SM-3NMAY
40-49 years, female
48.7
GTEX-145MO-0826-SM-5NQBL
60-69 years, male
48.0
GTEX-ZVT2-1826-SM-5NQ8W
50-59 years, female
48.0
GTEX-1C6VS-0726-SM-7EPHF
60-69 years, male
46.8
GTEX-1A3MX-2726-SM-718B6
60-69 years, male
46.6
GTEX-11WQK-2426-SM-5GU5C
50-59 years, male
46.2
GTEX-1EU9M-2826-SM-7EWFH
60-69 years, male
46.1
GTEX-14PJO-0726-SM-69LO8
60-69 years, male
45.6
GTEX-14LLW-0626-SM-62LFC
70-79 years, female
45.5
GTEX-XOT4-0726-SM-4GIAW
60-69 years, female
44.5
GTEX-T5JC-2126-SM-32PMO
20-29 years, male
44.2
GTEX-U412-1826-SM-4DXTJ
60-69 years, male
43.9
GTEX-13SLX-2326-SM-5ZZWE
50-59 years, female
43.7
GTEX-183WM-0726-SM-7LTAA
70-79 years, female
43.4
GTEX-14H4A-2526-SM-5YYAY
40-49 years, female
42.6
GTEX-15RJE-2626-SM-7KFT1
40-49 years, male
42.4
GTEX-UTHO-1026-SM-3GAF7
60-69 years, male
41.9
GTEX-T2IS-1526-SM-32QPR
20-29 years, female
41.1
GTEX-14PN4-0626-SM-62LFP
50-59 years, male
41.0
GTEX-14E6C-1326-SM-62LEQ
40-49 years, male
40.4
GTEX-131XW-0726-SM-5EGK3
50-59 years, female
38.2
GTEX-17MF6-0326-SM-7EPH5
40-49 years, male
37.4
Show allShow less
BREAST - FANTOM5 CAGEi
RNA expression in human tissues obtained through Cap Analysis of Gene Expression (CAGE) generated by the FANTOM5 project are reported as Scaled Tags Per Million.