We use cookies to enhance the usability of our website. If you continue, we'll assume that you are happy to receive all cookies. More information. Don't show this again.
On the top, protein expression in current human tissue, based on all annotated cell types, is reported with the units not detected (n), low (l), medium (m) and high (h). Underneath, protein expression in each annotated cell type are reported using the same units.
Protein expression data is based on knowledge-based annotation. For genes where more than one antibody has been used, a collective score is set.
If knowledge-based annotation could not be performed for a gene, no data is displayed here. View antibody staining data further down this page.
A summary of mRNA expression data available for current tissue based on several datasets. The mRNA expression levels in human tissues are based on RNA-seq data generated by the Human Protein Atlas (HPA), Genotype-Tissue Expression (GTEx) portal and CAGE data generated by the FANTOM5 consortium. Consensus normalized expression (NX) levels for human tissues was created by combining the data from these three transcriptomics datasets (HPA, GTEx and FANTOM5).
The mRNA expression levels in pig are based on RNA-seq data generated by the Human Protein Atlas (HPA), and for mouse, HPA data and in situ hybridization generated by the Allen brain atlas are reported.
Scroll down to view mRNA expression data in more detail.
Antibody staining in the annotated cell types in the current human tissue is reported as not detected, low, medium, or high. This score is based on the staining intensity and fraction of stained cells.
The RNA-seq details section shows detailed information about the individual samples used for the transcript profiling and results of the RNA-seq analysis.
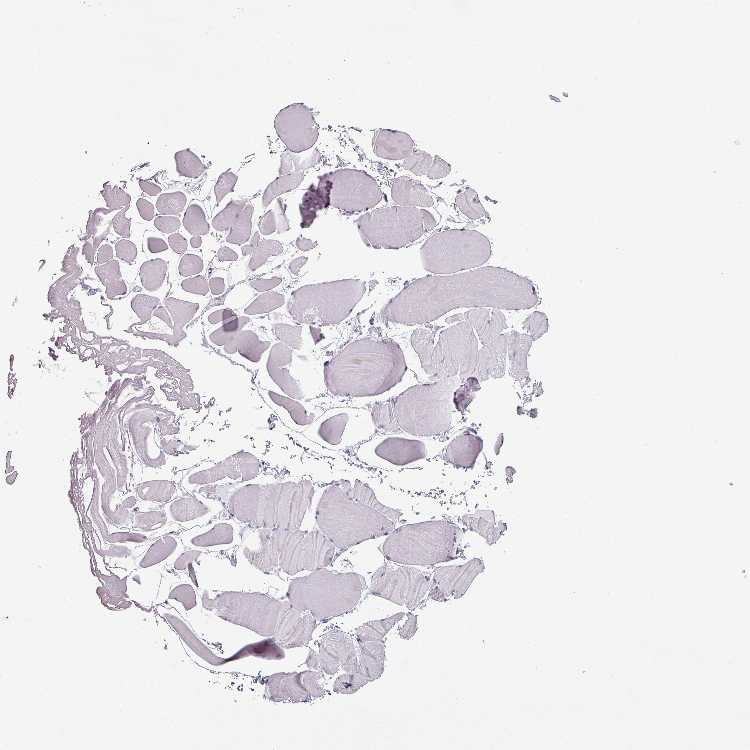
Information about each individual sample is listed below, including gender, age, a tissue section image and estimated fractions of cell types. pTPM (transcripts per million) values give a quantification of the gene abundance which is comparable between different genes and samples.
RNA-Seq data generated by the Genotype-Tissue Expression (GTEx) project from human tissues is reported as average pTPM. More information can be found on the GTEx portal.
Distribution across the dataset is visualized with box plots, shown as median and 25th and 75th percentiles. Points are displayed as outliers if they are above or below 1.5 times the interquartile range. pTPM values of the individual samples are presented next to the box plot.
Max pTPM: 42.6
Min pTPM: 0.9
Std pTPM: 5.6
Median pTPM: 8.6
GTEX-UTHO-0726-SM-3GAEN
60-69 years, male
42.6
GTEX-15SB6-1826-SM-6PALN
50-59 years, female
41.5
GTEX-139T8-0526-SM-5KLZL
60-69 years, male
38.8
GTEX-14A6H-5019-SM-793DH
30-39 years, male
35.6
GTEX-VJWN-0426-SM-3GIJI
50-59 years, female
33.9
GTEX-139D8-0726-SM-5P9GJ
30-39 years, female
32.5
GTEX-ZVE2-0626-SM-5GU7I
50-59 years, male
31.5
GTEX-PW2O-1726-SM-2S1OO
20-29 years, male
29.6
GTEX-Q734-2026-SM-3GADA
40-49 years, female
29.4
GTEX-13QJ3-0726-SM-5SI68
50-59 years, male
28.5
GTEX-18A66-0126-SM-731CQ
60-69 years, male
27.2
GTEX-14AS3-2126-SM-5S2MK
40-49 years, female
27.0
GTEX-17MF6-2026-SM-7LG5I
40-49 years, male
25.7
GTEX-Q2AG-0426-SM-2S1PU
40-49 years, female
25.6
GTEX-WYJK-1726-SM-3NM9U
50-59 years, male
22.4
GTEX-R53T-1826-SM-3GIJX
50-59 years, female
22.3
GTEX-15SDE-2326-SM-6PAL4
50-59 years, female
21.7
GTEX-1AMFI-2226-SM-731C6
50-59 years, female
21.3
GTEX-1AYD5-2226-SM-73KX3
50-59 years, male
21.3
GTEX-13FTX-2026-SM-5L3D6
20-29 years, female
21.2
GTEX-15ER7-0226-SM-7KUEU
20-29 years, female
21.2
GTEX-17HHE-2126-SM-7DHLO
50-59 years, male
21.2
GTEX-ZF28-0526-SM-4WKGW
60-69 years, male
21.1
GTEX-ZAB5-2126-SM-5K7UN
50-59 years, male
20.8
GTEX-SNMC-1426-SM-2XCFM
20-29 years, male
20.6
GTEX-1445S-0626-SM-5LU3C
60-69 years, male
20.5
GTEX-U3ZH-1926-SM-4DXTR
30-39 years, male
20.5
GTEX-13IVO-0626-SM-5LZYJ
70-79 years, male
20.0
GTEX-OIZG-1326-SM-2HMIQ
50-59 years, male
20.0
GTEX-OXRN-1326-SM-3LK5V
50-59 years, male
19.5
GTEX-OXRP-2326-SM-2S1NL
60-69 years, female
19.5
GTEX-PLZ6-1526-SM-2S1OC
30-39 years, male
19.2
GTEX-12ZZX-0326-SM-5DUVH
40-49 years, female
19.1
GTEX-VUSG-2626-SM-4KKZI
50-59 years, male
19.1
GTEX-144GO-1326-SM-5Q5EL
60-69 years, male
18.6
GTEX-X638-0326-SM-47JY1
70-79 years, female
18.4
GTEX-1B932-0526-SM-73KU7
40-49 years, female
18.0
GTEX-145LS-0526-SM-5LU8Y
60-69 years, female
17.9
GTEX-16XZY-2226-SM-7938N
70-79 years, male
17.9
GTEX-ZWKS-0326-SM-5NQ7G
30-39 years, male
17.8
GTEX-V955-2426-SM-3GAEF
60-69 years, male
17.7
GTEX-VJYA-1926-SM-3GIJJ
60-69 years, male
17.5
GTEX-WXYG-2526-SM-3NB3F
50-59 years, female
17.4
GTEX-PLZ5-1726-SM-2I5F6
50-59 years, male
17.3
GTEX-ZT9X-1826-SM-57WDU
40-49 years, male
16.8
GTEX-14C5O-0626-SM-664N2
60-69 years, male
16.7
GTEX-OXRL-1626-SM-2YUMU
50-59 years, male
16.7
GTEX-11VI4-1926-SM-5CVLI
40-49 years, female
16.4
GTEX-13PL7-0626-SM-5IJCD
60-69 years, female
16.4
GTEX-1192X-0426-SM-5GIEE
50-59 years, male
16.1
GTEX-PWCY-2026-SM-5SI8R
20-29 years, female
16.1
GTEX-RNOR-0526-SM-2TF4O
50-59 years, female
16.1
GTEX-ZXG5-0326-SM-5GICH
60-69 years, male
16.1
GTEX-16NPX-0626-SM-7KULB
50-59 years, male
16.0
GTEX-Y5V5-2526-SM-4VBQ4
60-69 years, female
16.0
GTEX-13SLW-0326-SM-5RQK5
70-79 years, male
15.9
GTEX-1A3MX-0526-SM-718A9
60-69 years, male
15.9
GTEX-ZVE1-0526-SM-5NQ71
50-59 years, female
15.9
GTEX-16MT8-0326-SM-6PAM5
60-69 years, female
15.8
GTEX-1CB4I-0326-SM-7DHMM
50-59 years, male
15.8
GTEX-PLZ4-0926-SM-2S1OI
50-59 years, female
15.8
GTEX-T8EM-1326-SM-3DB7G
40-49 years, male
15.7
GTEX-13NYS-0326-SM-5MR4L
60-69 years, male
15.5
GTEX-13X6K-0326-SM-5Q5D6
60-69 years, female
15.5
GTEX-ZPCL-2026-SM-57WFD
60-69 years, female
15.5
GTEX-14DAQ-0326-SM-664MR
60-69 years, female
15.4
GTEX-1AMEY-1526-SM-73KYW
30-39 years, female
15.2
GTEX-POMQ-1926-SM-3NB1Y
20-29 years, female
15.2
GTEX-TKQ2-0826-SM-33HB6
50-59 years, male
15.2
GTEX-T5JW-1826-SM-3GAE1
20-29 years, female
15.1
GTEX-13PDP-0326-SM-5K7XP
60-69 years, male
15.0
GTEX-17EUY-0626-SM-793BE
20-29 years, male
15.0
GTEX-YBZK-0326-SM-59HLN
50-59 years, female
15.0
GTEX-WRHK-1626-SM-3MJFH
20-29 years, female
14.8
GTEX-ZV68-0526-SM-59HKI
50-59 years, female
14.6
GTEX-1C475-1726-SM-73KVX
40-49 years, female
14.5
GTEX-U3ZM-1226-SM-3DB9G
40-49 years, male
14.5
GTEX-11EI6-0326-SM-5EQ6G
60-69 years, male
14.4
GTEX-12WSL-2726-SM-5CVNL
50-59 years, male
14.4
GTEX-14LZ3-0626-SM-5ZZWP
60-69 years, female
14.4
GTEX-15CHR-2426-SM-7DUFX
50-59 years, male
14.4
GTEX-15D79-0526-SM-6ETZP
50-59 years, male
14.3
GTEX-15EO6-2826-SM-6PANB
50-59 years, male
14.3
GTEX-UJHI-1726-SM-3DB9B
50-59 years, female
14.3
GTEX-13OVK-1926-SM-6M48G
40-49 years, male
14.2
GTEX-183FY-0226-SM-7LG54
20-29 years, male
14.2
GTEX-132Q8-0626-SM-5L3F3
60-69 years, male
14.1
GTEX-QEG4-0626-SM-2S1OY
30-39 years, male
14.1
GTEX-1314G-1726-SM-5LZUX
30-39 years, male
14.0
GTEX-14BIM-0326-SM-5SI9B
60-69 years, female
14.0
GTEX-11EQ8-0526-SM-5N9BC
60-69 years, male
13.9
GTEX-P78B-1626-SM-5SI85
40-49 years, female
13.9
GTEX-15DZA-2026-SM-6PANE
30-39 years, female
13.8
GTEX-WWTW-0626-SM-4MVNS
50-59 years, male
13.7
GTEX-ZF2S-2126-SM-4WWAY
50-59 years, female
13.7
GTEX-1269C-2626-SM-5EQ5C
60-69 years, female
13.6
GTEX-OOBJ-1626-SM-2I3F7
60-69 years, male
13.6
GTEX-ZAJG-0526-SM-5S2MT
50-59 years, female
13.5
GTEX-17HG3-2726-SM-7DHL5
30-39 years, female
13.4
GTEX-13NZB-2626-SM-5J2M7
30-39 years, male
13.3
GTEX-13U4I-1826-SM-5IJD2
40-49 years, female
13.3
GTEX-14LLW-0526-SM-62LFB
70-79 years, female
13.3
GTEX-QLQ7-1726-SM-2S1QQ
60-69 years, male
13.3
GTEX-13OVH-0626-SM-5L3EI
70-79 years, male
13.2
GTEX-1A8G7-0326-SM-72D5B
60-69 years, male
13.2
GTEX-OXRK-1826-SM-2HMJE
50-59 years, female
13.2
GTEX-RU72-1326-SM-2TF6T
50-59 years, female
13.2
GTEX-117YX-2526-SM-5EQ4Q
50-59 years, male
13.1
GTEX-XGQ4-2326-SM-4AT53
50-59 years, male
13.1
GTEX-XQ8I-0626-SM-4BOPT
50-59 years, male
13.1
GTEX-11TTK-0326-SM-5BC5N
60-69 years, female
13.0
GTEX-17F98-1626-SM-7938R
40-49 years, female
13.0
GTEX-QV44-2026-SM-2S1RD
50-59 years, male
13.0
GTEX-U4B1-1626-SM-3DB8N
40-49 years, male
13.0
GTEX-RTLS-0526-SM-2TF64
60-69 years, female
12.9
GTEX-11DXW-0726-SM-5H12J
40-49 years, male
12.8
GTEX-12KS4-0826-SM-5BC5R
30-39 years, male
12.8
GTEX-13FHO-0726-SM-5IJDG
60-69 years, male
12.7
GTEX-15DCD-0626-SM-7KUG7
70-79 years, female
12.7
GTEX-17HHY-0326-SM-7938H
50-59 years, male
12.7
GTEX-11DXZ-2426-SM-5N9DT
50-59 years, male
12.6
GTEX-133LE-2026-SM-5K7WM
20-29 years, female
12.6
GTEX-13G51-2726-SM-5LZZ9
60-69 years, male
12.6
GTEX-13OVL-1426-SM-5IJC1
50-59 years, male
12.6
GTEX-ZA64-2026-SM-5PNXT
20-29 years, male
12.6
GTEX-13W46-0726-SM-5LU3Z
50-59 years, male
12.5
GTEX-14DAR-1826-SM-664N1
50-59 years, male
12.5
GTEX-QDVJ-1926-SM-2S1PJ
50-59 years, male
12.5
GTEX-111VG-2626-SM-5GZY2
60-69 years, male
12.4
GTEX-11WQC-2626-SM-5CVLF
60-69 years, male
12.4
GTEX-13JVG-0126-SM-5L3D3
60-69 years, male
12.3
GTEX-18A7A-0626-SM-718BJ
50-59 years, female
12.3
GTEX-OIZH-1626-SM-2HMKI
50-59 years, male
12.3
GTEX-Z93S-1326-SM-5CVMR
50-59 years, male
12.3
GTEX-R55E-0526-SM-2TC6B
20-29 years, male
12.2
GTEX-ZLV1-2126-SM-4WWD2
60-69 years, female
12.2
GTEX-13NZ9-0626-SM-5IJCO
50-59 years, male
12.1
GTEX-1CB4E-2126-SM-793AP
60-69 years, male
12.1
GTEX-18D9B-0426-SM-7LTAR
60-69 years, male
12.0
GTEX-OHPL-1626-SM-2HMIR
60-69 years, female
12.0
GTEX-ZQUD-1726-SM-51MRQ
30-39 years, male
12.0
GTEX-15SKB-2526-SM-6PALP
60-69 years, male
11.9
GTEX-1AX9K-2726-SM-7DHMA
50-59 years, male
11.9
GTEX-O5YV-2026-SM-2D7VS
60-69 years, female
11.9
GTEX-WRHU-0826-SM-3MJFN
50-59 years, female
11.9
GTEX-14PJ6-2326-SM-6ETZR
60-69 years, female
11.8
GTEX-17MFQ-1926-SM-793A6
20-29 years, male
11.8
GTEX-11WQK-0726-SM-5GU71
50-59 years, male
11.7
GTEX-1B8KE-2226-SM-7939K
50-59 years, male
11.7
GTEX-PSDG-0426-SM-5SI86
50-59 years, male
11.7
GTEX-12WSF-0926-SM-6PALU
70-79 years, male
11.6
GTEX-Y8E4-1026-SM-4VBQ5
40-49 years, male
11.6
GTEX-14ICL-1926-SM-5RQIZ
30-39 years, male
11.5
GTEX-1A3MW-0526-SM-731BY
60-69 years, female
11.5
GTEX-V1D1-2426-SM-3GAER
50-59 years, male
11.5
GTEX-13D11-2526-SM-5KM28
50-59 years, female
11.4
GTEX-17F96-2726-SM-7LT9F
70-79 years, male
11.4
GTEX-12WSN-2526-SM-5LZU8
40-49 years, male
11.3
GTEX-13OVJ-0226-SM-5L3GK
50-59 years, female
11.3
GTEX-145MO-0726-SM-5NQB9
60-69 years, male
11.3
GTEX-14PJ5-2026-SM-6LLIN
60-69 years, female
11.3
GTEX-16GPK-0526-SM-7KUER
60-69 years, male
11.3
GTEX-11ZTT-2626-SM-5EQKK
60-69 years, female
11.2
GTEX-12ZZZ-0226-SM-59HKU
60-69 years, male
11.0
GTEX-139TU-0526-SM-5J2M8
60-69 years, male
11.0
GTEX-13OW5-0326-SM-5L3HK
60-69 years, male
11.0
GTEX-145MN-2426-SM-5NQA5
30-39 years, male
11.0
GTEX-15RIF-2126-SM-7KUM8
20-29 years, male
11.0
GTEX-R55D-0626-SM-3GAD5
50-59 years, male
11.0
GTEX-TML8-1826-SM-32QOR
40-49 years, female
11.0
GTEX-1211K-2126-SM-59HJZ
60-69 years, female
10.9
GTEX-132AR-1026-SM-5PNVL
50-59 years, female
10.9
GTEX-13RTK-1626-SM-5QGQS
20-29 years, male
10.9
GTEX-17EVQ-1226-SM-7LG59
70-79 years, male
10.9
GTEX-17F9E-0226-SM-79OKK
50-59 years, male
10.9
GTEX-18D9A-1826-SM-718BK
30-39 years, female
10.9
GTEX-PWN1-1626-SM-2S1OL
40-49 years, female
10.9
GTEX-Q2AH-1826-SM-2S1Q2
40-49 years, male
10.9
GTEX-12126-0526-SM-5PNW4
20-29 years, male
10.8
GTEX-13OW8-1426-SM-5IJDT
60-69 years, male
10.8
GTEX-ZAKK-0326-SM-5EGHA
70-79 years, male
10.8
GTEX-ZP4G-2026-SM-57WEH
20-29 years, female
10.8
GTEX-111YS-2326-SM-5987L
60-69 years, male
10.7
GTEX-11DZ1-0926-SM-5EQ5R
50-59 years, male
10.7
GTEX-13NYB-2726-SM-5J2MT
40-49 years, male
10.7
GTEX-1A3MV-2026-SM-718BU
30-39 years, male
10.7
GTEX-1A8G6-0126-SM-7DUFY
60-69 years, male
10.7
GTEX-S7PM-0526-SM-3NM92
60-69 years, male
10.7
GTEX-SNOS-1526-SM-32PLW
40-49 years, male
10.7
GTEX-XUW1-0826-SM-4BOP6
50-59 years, female
10.7
GTEX-ZC5H-0326-SM-5HL9F
40-49 years, female
10.7
GTEX-1313W-0526-SM-5P9FZ
50-59 years, female
10.6
GTEX-14JIY-0426-SM-62LF7
60-69 years, male
10.6
GTEX-15F5U-1826-SM-6LLJF
40-49 years, male
10.5
GTEX-16BQI-0326-SM-6PAM4
30-39 years, female
10.5
GTEX-16YQH-0426-SM-7KUL7
30-39 years, male
10.5
GTEX-ZAK1-0526-SM-5K7X4
50-59 years, female
10.5
GTEX-145LU-2026-SM-5Q5E8
50-59 years, male
10.4
GTEX-15DDE-0526-SM-6ETZQ
50-59 years, female
10.4
GTEX-1C4CL-0326-SM-7DHMH
30-39 years, male
10.4
GTEX-ZVTK-0626-SM-5GU6Y
20-29 years, male
10.4
GTEX-ZVZO-0326-SM-5HL4N
40-49 years, male
10.4
GTEX-13FHP-0526-SM-5K7UY
50-59 years, male
10.3
GTEX-13FXS-0326-SM-5K7TV
50-59 years, male
10.3
GTEX-14PQA-0526-SM-7KUFS
50-59 years, female
10.3
GTEX-QLQW-1326-SM-2S1QS
30-39 years, male
10.3
GTEX-YFCO-1926-SM-4W212
40-49 years, male
10.3
GTEX-148VJ-0326-SM-5QGQE
70-79 years, male
10.2
GTEX-15CHC-2426-SM-6EU22
60-69 years, female
10.2
GTEX-15CHQ-0726-SM-6EU18
60-69 years, male
10.2
GTEX-18QFQ-0326-SM-731C3
30-39 years, male
10.2
GTEX-RWS6-2126-SM-2XCAV
60-69 years, female
10.2
GTEX-YB5E-2226-SM-5IFJ5
40-49 years, male
10.2
GTEX-14JG6-2126-SM-6EU2F
30-39 years, female
10.1
GTEX-15RJ7-2426-SM-6M48L
40-49 years, male
10.1
GTEX-16MTA-2026-SM-7KUL3
50-59 years, male
10.1
GTEX-OIZI-0626-SM-2XCEH
40-49 years, male
10.1
GTEX-QDVN-2426-SM-2S1Q4
50-59 years, male
10.1
GTEX-QESD-1626-SM-2S1RB
20-29 years, male
10.1
GTEX-WOFM-1326-SM-3MJFR
20-29 years, male
10.1
GTEX-139YR-2526-SM-5IJC6
50-59 years, male
10.0
GTEX-145LT-1626-SM-5O992
40-49 years, male
10.0
GTEX-NFK9-0626-SM-2HMIV
40-49 years, male
10.0
GTEX-RWSA-0726-SM-2XCBE
40-49 years, male
10.0
GTEX-13FTY-0226-SM-5IJBW
40-49 years, female
9.9
GTEX-QCQG-2126-SM-2S1P8
50-59 years, female
9.9
GTEX-TMMY-0426-SM-33HBB
40-49 years, female
9.9
GTEX-Y8E5-0326-SM-57WBM
60-69 years, male
9.9
GTEX-15ETS-0326-SM-6PANH
40-49 years, female
9.8
GTEX-T6MN-0526-SM-32PMS
50-59 years, male
9.8
GTEX-16NGA-1926-SM-7LTA6
40-49 years, female
9.7
GTEX-SE5C-1826-SM-2XCE4
40-49 years, female
9.7
GTEX-UPJH-0526-SM-4IHK8
50-59 years, male
9.7
GTEX-11ONC-2426-SM-5GU7H
60-69 years, male
9.6
GTEX-13VXU-0326-SM-5LU36
50-59 years, male
9.6
GTEX-12C56-1926-SM-5FQUG
20-29 years, male
9.5
GTEX-14753-0526-SM-5QGPR
60-69 years, male
9.5
GTEX-17EVP-1326-SM-7DHMR
40-49 years, male
9.5
GTEX-RM2N-1626-SM-2TF5N
50-59 years, male
9.5
GTEX-RU1J-1726-SM-2TF5S
20-29 years, female
9.5
GTEX-S33H-2226-SM-5S2UF
30-39 years, male
9.5
GTEX-11GSO-2526-SM-5PNVX
60-69 years, male
9.4
GTEX-11O72-0326-SM-5986D
40-49 years, male
9.4
GTEX-SN8G-0326-SM-32PLG
50-59 years, female
9.4
GTEX-14BMV-0326-SM-5RQHW
50-59 years, male
9.3
GTEX-TSE9-0526-SM-3DB7Z
60-69 years, female
9.3
GTEX-U3ZG-0326-SM-47JXN
50-59 years, male
9.3
GTEX-144GM-2026-SM-5LU3D
20-29 years, male
9.2
GTEX-18A6Q-0326-SM-718AT
60-69 years, male
9.2
GTEX-POYW-0526-SM-2XCEY
60-69 years, male
9.2
GTEX-QVJO-0126-SM-3GIK4
60-69 years, female
9.2
GTEX-17KNJ-2426-SM-7DHLR
50-59 years, male
9.1
GTEX-1B8KZ-2126-SM-73KYG
50-59 years, male
9.1
GTEX-WHPG-2226-SM-3NMBO
50-59 years, male
9.1
GTEX-13NZA-0526-SM-5L3D7
60-69 years, male
9.0
GTEX-13PL6-0326-SM-5IJCP
40-49 years, female
9.0
GTEX-147F3-0226-SM-5NQBV
50-59 years, female
9.0
GTEX-14BMU-2026-SM-5S2W6
20-29 years, female
9.0
GTEX-11DXX-2726-SM-5PNXO
60-69 years, female
8.9
GTEX-12ZZY-0626-SM-5EQ5T
60-69 years, male
8.9
GTEX-1399U-2526-SM-5L3DL
50-59 years, female
8.9
GTEX-14JG1-0126-SM-5ZZUP
40-49 years, male
8.9
GTEX-17HGU-0626-SM-7939Y
50-59 years, male
8.9
GTEX-QDT8-0526-SM-3NMD8
30-39 years, female
8.9
GTEX-R3RS-0526-SM-3GADG
40-49 years, female
8.9
GTEX-WL46-0626-SM-3LK7R
50-59 years, male
8.9
GTEX-WYVS-2326-SM-3NMAI
40-49 years, female
8.9
GTEX-1128S-2426-SM-5H11B
60-69 years, female
8.8
GTEX-12WSA-0726-SM-5FQU2
60-69 years, male
8.8
GTEX-13N11-2726-SM-5L3ER
50-59 years, female
8.8
GTEX-146FR-1726-SM-5Q5DT
60-69 years, female
8.8
GTEX-14H4A-0926-SM-5ZZUU
40-49 years, female
8.8
GTEX-139TS-2626-SM-5J1MT
60-69 years, male
8.7
GTEX-13RTL-0326-SM-7LT89
40-49 years, male
8.7
GTEX-13X6I-0526-SM-5QGP8
60-69 years, male
8.7
GTEX-15RIE-2426-SM-7KUDS
60-69 years, male
8.7
GTEX-16NPV-2426-SM-6M482
50-59 years, female
8.7
GTEX-ZZPU-2626-SM-5E45Y
50-59 years, female
8.7
GTEX-12WSG-2526-SM-5EQ4O
50-59 years, female
8.6
GTEX-1399Q-2426-SM-5J2MO
40-49 years, male
8.6
GTEX-14ASI-0526-SM-5QGQP
60-69 years, male
8.6
GTEX-N7MS-0426-SM-2YUN6
60-69 years, male
8.6
GTEX-XUYS-0326-SM-47JX2
50-59 years, male
8.6
GTEX-ZAB4-0426-SM-5HL7N
40-49 years, male
8.6
GTEX-ZDXO-0326-SM-4WKHJ
60-69 years, male
8.6
GTEX-ZYT6-1626-SM-5E45R
30-39 years, male
8.6
GTEX-12584-0526-SM-5FQTS
40-49 years, male
8.5
GTEX-131XG-2326-SM-5HL8F
50-59 years, female
8.5
GTEX-145ME-2026-SM-5SIA5
40-49 years, female
8.5
GTEX-14E6D-0326-SM-62LDX
50-59 years, male
8.5
GTEX-15SHU-0626-SM-7KUFH
40-49 years, female
8.5
GTEX-TMZS-0326-SM-3DB9P
60-69 years, male
8.5
GTEX-WY7C-2526-SM-3NB2N
50-59 years, male
8.5
GTEX-XPT6-2026-SM-4B64V
20-29 years, male
8.5
GTEX-11UD1-0326-SM-5EQKX
40-49 years, female
8.4
GTEX-13111-2226-SM-5LZUE
50-59 years, male
8.4
GTEX-13SLX-0326-SM-5Q5E4
50-59 years, female
8.4
GTEX-15G19-0526-SM-6PAMT
60-69 years, male
8.4
GTEX-17GQL-1926-SM-718B9
60-69 years, male
8.4
GTEX-QEL4-0626-SM-3GIJM
50-59 years, male
8.4
GTEX-WWYW-0526-SM-3NB2W
50-59 years, female
8.4
GTEX-YJ8O-2826-SM-5CVM4
40-49 years, female
8.4
GTEX-139UW-2626-SM-5K7W1
60-69 years, male
8.3
GTEX-13O61-2326-SM-5J1NJ
60-69 years, male
8.3
GTEX-13S86-2326-SM-5RQK1
40-49 years, male
8.3
GTEX-14PJM-0426-SM-5ZZVN
50-59 years, female
8.3
GTEX-17HII-0426-SM-793A3
50-59 years, male
8.3
GTEX-1B933-0426-SM-7DHMC
50-59 years, female
8.3
GTEX-R55C-1726-SM-3GADJ
40-49 years, male
8.3
GTEX-11P82-1826-SM-5PNYJ
20-29 years, male
8.2
GTEX-1399T-2426-SM-5L3FJ
60-69 years, male
8.2
GTEX-13N1W-0526-SM-5MR4I
70-79 years, male
8.2
GTEX-144GN-2426-SM-5LU4R
50-59 years, male
8.2
GTEX-1497J-2626-SM-5SI9K
60-69 years, male
8.2
GTEX-1C2JI-2126-SM-793CG
50-59 years, male
8.2
GTEX-1E1VI-0426-SM-7DHN1
50-59 years, male
8.2
GTEX-T2IS-2626-SM-32QPP
20-29 years, female
8.1
GTEX-ZUA1-0326-SM-5NQA3
40-49 years, male
8.1
GTEX-111FC-0326-SM-5GZZ1
60-69 years, male
8.0
GTEX-1122O-2426-SM-5GIDN
60-69 years, female
8.0
GTEX-11LCK-1226-SM-5Q5AM
30-39 years, male
8.0
GTEX-11ZUS-1426-SM-5FQSP
30-39 years, male
8.0
GTEX-144GL-0326-SM-5QGOY
50-59 years, male
8.0
GTEX-11P81-2526-SM-5GU6H
30-39 years, female
7.9
GTEX-131XF-2326-SM-5BC6B
60-69 years, male
7.9
GTEX-WEY5-2026-SM-5SI8D
40-49 years, female
7.9
GTEX-11EMC-2626-SM-59864
60-69 years, female
7.8
GTEX-131XW-0326-SM-5KM1J
50-59 years, female
7.8
GTEX-147F4-0326-SM-5TDCK
50-59 years, male
7.8
GTEX-17JCI-0326-SM-7LG5H
60-69 years, female
7.8
GTEX-WFON-2326-SM-3LK7M
40-49 years, male
7.8
GTEX-117YW-2426-SM-5Q5AE
50-59 years, male
7.7
GTEX-11ZVC-2726-SM-5FQSZ
50-59 years, female
7.7
GTEX-14PJN-2126-SM-6AJBM
30-39 years, male
7.7
GTEX-1B97I-2026-SM-7DHN2
40-49 years, male
7.7
GTEX-147JS-0526-SM-5TDD3
60-69 years, male
7.6
GTEX-YECK-0626-SM-4W1ZE
60-69 years, male
7.6
GTEX-ZE7O-0326-SM-51MTH
50-59 years, female
7.6
GTEX-13113-5019-SM-7EPH2
60-69 years, female
7.5
GTEX-13O21-1726-SM-5MR5A
50-59 years, male
7.5
GTEX-14E6C-1526-SM-664ND
40-49 years, male
7.5
GTEX-14E6E-2026-SM-664N5
30-39 years, male
7.5
GTEX-XQ3S-0426-SM-4BOOA
20-29 years, male
7.5
GTEX-Y111-0326-SM-4SOIX
50-59 years, male
7.5
GTEX-ZYY3-0526-SM-5E45G
60-69 years, female
7.5
GTEX-1212Z-2626-SM-5YY8P
60-69 years, male
7.4
GTEX-13NZ8-2126-SM-5L3EO
60-69 years, female
7.4
GTEX-16Z82-0126-SM-7DHLF
60-69 years, male
7.4
GTEX-1477Z-1626-SM-5SIA8
60-69 years, male
7.3
GTEX-P4PQ-1626-SM-2HMKK
60-69 years, male
7.3
GTEX-12BJ1-2526-SM-5FQUE
60-69 years, male
7.2
GTEX-183WM-0426-SM-731B1
70-79 years, female
7.2
GTEX-1AX9J-0126-SM-73KY2
60-69 years, male
7.2
GTEX-SSA3-0326-SM-32QPS
60-69 years, male
7.2
GTEX-XV7Q-2926-SM-4BRUL
40-49 years, female
7.2
GTEX-132NY-0726-SM-5KLZM
60-69 years, male
7.1
GTEX-13FTW-2326-SM-5K7YS
40-49 years, male
7.1
GTEX-13OW6-0626-SM-5L3IB
50-59 years, male
7.1
GTEX-SIU8-0526-SM-2XCDP
50-59 years, male
7.1
GTEX-Y8DK-0326-SM-4TT3P
60-69 years, male
7.1
GTEX-YEC3-2126-SM-4YCDB
50-59 years, male
7.1
GTEX-ZVT3-0526-SM-5GIE9
60-69 years, female
7.1
GTEX-11XUK-2226-SM-5CVLL
40-49 years, female
7.0
GTEX-13JUV-2326-SM-5IJCE
40-49 years, female
7.0
GTEX-16AAH-1826-SM-7939D
50-59 years, male
7.0
GTEX-P4QT-1626-SM-5S2UR
50-59 years, female
7.0
GTEX-Y5LM-2126-SM-4VDSY
40-49 years, female
7.0
GTEX-ZTX8-1626-SM-51MRY
20-29 years, male
7.0
GTEX-11ZU8-2326-SM-5EQMJ
60-69 years, male
6.9
GTEX-13112-2626-SM-5BC66
50-59 years, male
6.9
GTEX-14ABY-0126-SM-62LDI
50-59 years, male
6.9
GTEX-14PJ3-2026-SM-5ZZVK
50-59 years, male
6.9
GTEX-1BAJH-0126-SM-7DHMF
70-79 years, male
6.9
GTEX-PX3G-1626-SM-2S1PT
20-29 years, female
6.9
GTEX-SJXC-0526-SM-2XCFG
60-69 years, male
6.9
GTEX-XPVG-2526-SM-4B66D
50-59 years, male
6.9
GTEX-11GSP-2726-SM-5A5LJ
60-69 years, female
6.8
GTEX-13CF2-2726-SM-5LZWW
60-69 years, male
6.8
GTEX-13O3Q-2726-SM-5KM51
50-59 years, male
6.8
GTEX-QVUS-0226-SM-3GIJY
60-69 years, female
6.8
GTEX-WHSB-1826-SM-3TW8M
50-59 years, male
6.8
GTEX-Y3I4-2326-SM-4TT81
50-59 years, male
6.8
GTEX-113JC-2726-SM-5EGIS
50-59 years, female
6.7
GTEX-11NUK-0226-SM-5A5L4
50-59 years, male
6.7
GTEX-139T6-2026-SM-5IFFL
50-59 years, male
6.7
GTEX-13VXT-0326-SM-5LU4U
20-29 years, female
6.7
GTEX-1B8SF-0426-SM-79OL4
60-69 years, male
6.7
GTEX-11OF3-2526-SM-5P9JL
60-69 years, male
6.6
GTEX-14E1K-2326-SM-664MP
50-59 years, male
6.6
GTEX-15SHW-0726-SM-7KUEI
60-69 years, male
6.6
GTEX-1C64O-0326-SM-73KVW
60-69 years, male
6.6
GTEX-T5JC-0626-SM-3NMA6
20-29 years, male
6.6
GTEX-TKQ1-1426-SM-4GICK
30-39 years, male
6.6
GTEX-X4EO-0526-SM-3P5Z3
60-69 years, female
6.6
GTEX-XYKS-2426-SM-4AT43
60-69 years, female
6.6
GTEX-ZF3C-0326-SM-4WWBF
50-59 years, female
6.6
GTEX-131YS-0526-SM-5EGKJ
60-69 years, female
6.5
GTEX-13QIC-1226-SM-5K7YR
60-69 years, female
6.5
GTEX-XBED-2626-SM-4E3J5
60-69 years, male
6.5
GTEX-ZE9C-2326-SM-5J1NT
60-69 years, male
6.5
GTEX-ZV6S-2126-SM-4YCEM
40-49 years, female
6.5
GTEX-1117F-0426-SM-5EGHI
60-69 years, female
6.4
GTEX-11I78-2426-SM-5A5K9
50-59 years, female
6.4
GTEX-145MH-0326-SM-5LU8H
50-59 years, male
6.4
GTEX-14BIL-0326-SM-5SI9Q
50-59 years, male
6.4
GTEX-14PK6-2126-SM-6ETZV
70-79 years, female
6.4
GTEX-15RIG-0426-SM-7KUF4
40-49 years, male
6.4
GTEX-15UKP-0326-SM-7KUFP
20-29 years, male
6.4
GTEX-Y9LG-1926-SM-5IFHY
30-39 years, male
6.4
GTEX-ZVT4-0326-SM-51MS5
50-59 years, female
6.4
GTEX-11PRG-0326-SM-5GU53
50-59 years, male
6.3
GTEX-12WSD-0526-SM-5EQ6F
60-69 years, female
6.3
GTEX-14A5H-0326-SM-5RQIB
60-69 years, male
6.3
GTEX-18D9U-0626-SM-7LTA4
40-49 years, male
6.2
GTEX-1AX9I-0326-SM-73KXQ
60-69 years, male
6.2
GTEX-ZPIC-2526-SM-57WDP
40-49 years, female
6.2
GTEX-ZZPT-0626-SM-5GZXT
50-59 years, male
6.2
GTEX-P44H-0426-SM-2XCEZ
40-49 years, male
6.1
GTEX-YEC4-2226-SM-5IFJT
40-49 years, male
6.1
GTEX-ZDYS-1726-SM-5HL4Y
50-59 years, male
6.1
GTEX-ZYFG-2426-SM-5GIE8
60-69 years, female
6.1
GTEX-12WSC-0326-SM-5EQ5E
50-59 years, male
6.0
GTEX-ZQG8-1226-SM-51MRX
60-69 years, female
6.0
GTEX-ZTPG-0126-SM-5O9AL
20-29 years, female
6.0
GTEX-13OVI-1726-SM-5L3DW
60-69 years, female
5.9
GTEX-18A7B-0326-SM-7LG65
70-79 years, male
5.9
GTEX-X88G-0326-SM-47JZ4
30-39 years, male
5.9
GTEX-XUZC-2126-SM-4BRW8
30-39 years, female
5.9
GTEX-11NV4-0326-SM-5HL58
60-69 years, male
5.8
GTEX-O5YT-1626-SM-32PK6
20-29 years, male
5.8
GTEX-OOBK-1626-SM-2HMKG
40-49 years, male
5.8
GTEX-W5WG-1926-SM-4KKZK
50-59 years, female
5.8
GTEX-13O3O-0526-SM-5J1NL
60-69 years, female
5.7
GTEX-1C6VR-2526-SM-7DHMT
60-69 years, male
5.7
GTEX-YF7O-2526-SM-5IFJX
50-59 years, male
5.7
GTEX-Z9EW-1726-SM-5CVMO
40-49 years, male
5.7
GTEX-13RTJ-2726-SM-73KVG
60-69 years, male
5.6
GTEX-13X6J-0326-SM-7EPGD
50-59 years, male
5.6
GTEX-145LV-2326-SM-5LU8Z
50-59 years, male
5.6
GTEX-YFC4-1026-SM-5RQJM
40-49 years, female
5.6
GTEX-16XZZ-0526-SM-7KUF1
60-69 years, male
5.5
GTEX-P4QS-1626-SM-2S1NH
60-69 years, male
5.5
GTEX-QV31-1426-SM-2S1QD
30-39 years, male
5.5
GTEX-RN64-0326-SM-2TC5J
50-59 years, male
5.5
GTEX-X8HC-0526-SM-4E3JA
50-59 years, female
5.5
GTEX-13YAN-0526-SM-5O9BE
60-69 years, male
5.4
GTEX-146FQ-0326-SM-5NQAX
30-39 years, male
5.4
GTEX-OHPN-2726-SM-2I5H4
60-69 years, female
5.4
GTEX-WK11-2526-SM-3NM9Y
50-59 years, male
5.4
GTEX-WZTO-0826-SM-3NM8Q
40-49 years, male
5.4
GTEX-Y8LW-2026-SM-4V6G8
50-59 years, female
5.4
GTEX-ZYFD-0326-SM-5NQ8I
50-59 years, male
5.4
GTEX-12WSH-2526-SM-5CVNH
50-59 years, male
5.3
GTEX-144FL-0326-SM-5O99O
50-59 years, male
5.3
GTEX-14A5I-0326-SM-5NQ9J
50-59 years, female
5.3
GTEX-YB5K-2326-SM-5IFHD
40-49 years, female
5.3
GTEX-13N2G-2326-SM-5J1ON
60-69 years, male
5.2
GTEX-XBEW-1026-SM-4QARV
40-49 years, male
5.2
GTEX-139TT-0426-SM-5IJFA
60-69 years, male
5.1
GTEX-145MG-0226-SM-5TDDB
50-59 years, male
5.1
GTEX-S95S-1426-SM-2XCDM
60-69 years, male
5.1
GTEX-XBEC-0626-SM-4QARY
50-59 years, male
5.1
GTEX-ZZ64-1526-SM-5E43K
20-29 years, male
5.1
GTEX-11EM3-2126-SM-5H11M
20-29 years, female
5.0
GTEX-147GR-0126-SM-62LER
60-69 years, male
5.0
GTEX-1CAMR-1726-SM-793CU
20-29 years, male
5.0
GTEX-OHPK-1626-SM-2YUN3
50-59 years, female
5.0
GTEX-11GS4-2526-SM-5A5KT
60-69 years, male
4.9
GTEX-1399S-2726-SM-5KM22
30-39 years, female
4.9
GTEX-14C39-2426-SM-5S2U5
40-49 years, male
4.9
GTEX-1B996-0326-SM-7DHMU
60-69 years, male
4.9
GTEX-11ZTS-0526-SM-5CVL9
60-69 years, female
4.8
GTEX-1399R-2526-SM-5IFG2
30-39 years, male
4.8
GTEX-13FTZ-2226-SM-5LZXI
60-69 years, male
4.8
GTEX-18465-0326-SM-7LTAD
50-59 years, male
4.8
GTEX-X5EB-2326-SM-46MW5
40-49 years, male
4.8
GTEX-11NSD-2026-SM-5HL5U
20-29 years, male
4.7
GTEX-13OW7-0326-SM-5J1MP
50-59 years, male
4.7
GTEX-13PVQ-0326-SM-5K7YF
50-59 years, male
4.7
GTEX-15SHV-2526-SM-6PAMG
60-69 years, male
4.7
GTEX-18A67-0326-SM-7LG5X
50-59 years, male
4.7
GTEX-1C6VQ-0326-SM-7DHMS
50-59 years, male
4.7
GTEX-1C6WA-0326-SM-7DUGE
60-69 years, male
4.7
GTEX-QXCU-1726-SM-2TC6L
50-59 years, male
4.7
GTEX-139T4-0326-SM-5K7XN
50-59 years, female
4.6
GTEX-14PJ2-0326-SM-6EU2Q
50-59 years, male
4.6
GTEX-15G1A-2026-SM-7KUFG
30-39 years, male
4.6
GTEX-XMD2-0526-SM-4YCDI
60-69 years, female
4.6
GTEX-XOT4-0526-SM-4B66O
60-69 years, female
4.6
GTEX-111CU-2026-SM-5GZZC
50-59 years, male
4.5
GTEX-S32W-2326-SM-2XCAW
50-59 years, female
4.5
GTEX-X4XX-0626-SM-3NMC1
60-69 years, male
4.5
GTEX-11OC5-0326-SM-5PNW5
60-69 years, male
4.4
GTEX-13W3W-2626-SM-5SIA2
60-69 years, female
4.4
GTEX-QEG5-0426-SM-2I5GJ
20-29 years, male
4.4
GTEX-Y5V6-2626-SM-5IFIX
60-69 years, male
4.4
GTEX-ZV7C-2426-SM-5NQ7Q
50-59 years, male
4.4
GTEX-11UD2-0326-SM-5EQLE
50-59 years, male
4.2
GTEX-1CAMS-0126-SM-79396
40-49 years, female
4.2
GTEX-U3ZN-2226-SM-3DB88
30-39 years, female
4.2
GTEX-WHSE-0526-SM-5GZZD
20-29 years, male
4.2
GTEX-WOFL-0626-SM-3MJG3
60-69 years, male
4.2
GTEX-UJMC-1826-SM-3GADT
50-59 years, male
4.1
GTEX-Y3IK-2626-SM-4WWDK
50-59 years, female
4.1
GTEX-ZDTS-0526-SM-4WKH9
60-69 years, male
4.1
GTEX-ZYW4-0526-SM-5GZZ5
60-69 years, male
4.1
GTEX-11H98-0326-SM-5HL4S
50-59 years, male
4.0
GTEX-13FH7-2126-SM-5L3DJ
50-59 years, female
4.0
GTEX-13PVR-2526-SM-5RQIT
60-69 years, female
4.0
GTEX-1A32A-0526-SM-731B9
50-59 years, female
4.0
GTEX-12WSJ-1726-SM-5LZVV
40-49 years, female
3.9
GTEX-14PII-0626-SM-69LPY
60-69 years, male
3.9
GTEX-P4PP-1626-SM-2HMJF
30-39 years, female
3.9
GTEX-U8T8-1426-SM-3DB9H
60-69 years, male
3.9
GTEX-ZVZP-2526-SM-57WBR
50-59 years, male
3.9
GTEX-ZYFC-0526-SM-5GIDF
50-59 years, male
3.9
GTEX-131XH-2726-SM-5GCO2
50-59 years, male
3.8
GTEX-13O3P-0626-SM-5L3D5
50-59 years, male
3.8
GTEX-13QBU-2426-SM-5LU4L
40-49 years, female
3.8
GTEX-1B8L1-2726-SM-793AL
60-69 years, male
3.8
GTEX-11EQ9-2126-SM-5PNVW
30-39 years, male
3.7
GTEX-13NYC-0726-SM-5J2NQ
60-69 years, male
3.7
GTEX-14C38-0426-SM-5TDDZ
50-59 years, male
3.7
GTEX-14PJ4-2426-SM-6EU1U
60-69 years, male
3.6
GTEX-17F97-0526-SM-7DUF8
50-59 years, male
3.6
GTEX-X4XY-0626-SM-4E3IN
60-69 years, male
3.6
GTEX-1AX8Z-0326-SM-731BU
60-69 years, male
3.5
GTEX-WFG8-2426-SM-3GILL
20-29 years, male
3.5
GTEX-11TUW-2526-SM-5EQKN
60-69 years, male
3.4
GTEX-13CF3-1826-SM-5J1NK
60-69 years, female
3.4
GTEX-ZYVF-0626-SM-5E43Q
50-59 years, female
3.4
GTEX-11DXY-2726-SM-5GID2
60-69 years, male
3.3
GTEX-13X6H-2326-SM-7EWEB
50-59 years, female
3.3
GTEX-REY6-0826-SM-2TF4S
60-69 years, male
3.3
GTEX-U8XE-0726-SM-3DB8O
30-39 years, male
3.3
GTEX-R55G-2326-SM-2TC61
40-49 years, female
3.2
GTEX-13O1R-0526-SM-5K7XU
60-69 years, male
3.1
GTEX-15UF7-2226-SM-6PAMQ
40-49 years, male
3.1
GTEX-12696-2826-SM-5FQTY
60-69 years, male
2.9
GTEX-X261-0326-SM-3NMD4
50-59 years, male
2.9
GTEX-12WSM-0326-SM-5LZVI
60-69 years, male
2.8
GTEX-ZVP2-2126-SM-5GU6E
50-59 years, male
2.8
GTEX-13OVG-2126-SM-5KM1K
60-69 years, male
2.7
GTEX-14PN4-0326-SM-6EU2N
50-59 years, male
2.6
GTEX-ZY6K-2026-SM-5GZXQ
50-59 years, male
2.6
GTEX-131XE-2726-SM-5P9G7
50-59 years, male
2.5
GTEX-XAJ8-1026-SM-47JY9
40-49 years, male
2.5
GTEX-14PJO-0526-SM-6EU2O
60-69 years, male
2.4
GTEX-ZVT2-2426-SM-57WCQ
50-59 years, female
2.3
GTEX-11P7K-1926-SM-5GU6R
30-39 years, male
2.2
GTEX-1339X-2426-SM-5KLYU
40-49 years, male
2.2
GTEX-145MI-0326-SM-5Q5EV
60-69 years, female
2.2
GTEX-146FH-0526-SM-5QGQ3
50-59 years, female
2.2
GTEX-15DCZ-0526-SM-686Z3
20-29 years, female
2.2
GTEX-Q2AI-1526-SM-3GIJ3
40-49 years, male
2.2
GTEX-14XAO-2226-SM-6LLHU
60-69 years, female
1.8
GTEX-15UF6-1026-SM-7KUF7
70-79 years, female
1.8
GTEX-U412-0326-SM-3DB9L
60-69 years, male
1.8
GTEX-Y114-2526-SM-4TT8M
50-59 years, female
1.8
GTEX-13PLJ-0326-SM-5L3I7
60-69 years, female
1.7
GTEX-1B8SG-0326-SM-73KXW
50-59 years, male
1.7
GTEX-11TT1-2326-SM-5GU6N
20-29 years, male
1.4
GTEX-WFG7-2226-SM-3GIKP
20-29 years, male
1.0
GTEX-117XS-2526-SM-5H11G
60-69 years, male
0.9
Show allShow less
SKELETAL MUSCLE - FANTOM5 CAGEi
RNA expression in human tissues obtained through Cap Analysis of Gene Expression (CAGE) generated by the FANTOM5 project are reported as Scaled Tags Per Million.