We use cookies to enhance the usability of our website. If you continue, we'll assume that you are happy to receive all cookies. More information. Don't show this again.
On the top, protein expression in current human tissue, based on all annotated cell types, is reported with the units not detected (n), low (l), medium (m) and high (h). Underneath, protein expression in each annotated cell type are reported using the same units.
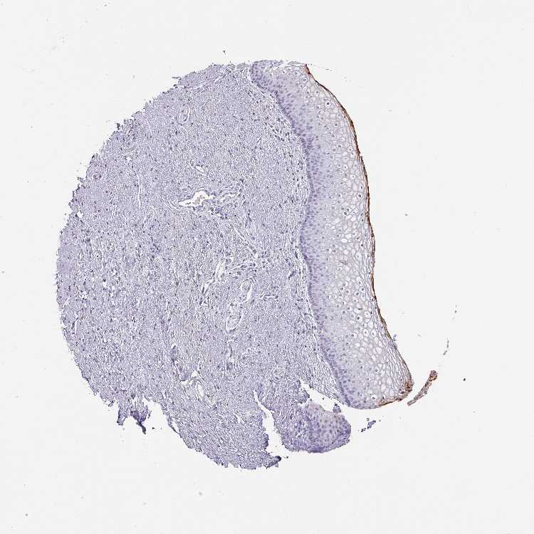
Protein expression data is based on knowledge-based annotation. For genes where more than one antibody has been used, a collective score is set.
If knowledge-based annotation could not be performed for a gene, no data is displayed here. View antibody staining data further down this page.
A summary of mRNA expression data available for current tissue based on several datasets. The mRNA expression levels in human tissues are based on RNA-seq data generated by the Human Protein Atlas (HPA), Genotype-Tissue Expression (GTEx) portal and CAGE data generated by the FANTOM5 consortium. Consensus normalized expression (NX) levels for human tissues was created by combining the data from these three transcriptomics datasets (HPA, GTEx and FANTOM5).
The mRNA expression levels in pig are based on RNA-seq data generated by the Human Protein Atlas (HPA), and for mouse, HPA data and in situ hybridization generated by the Allen brain atlas are reported.
Scroll down to view mRNA expression data in more detail.
Antibody staining in the annotated cell types in the current human tissue is reported as not detected, low, medium, or high. This score is based on the staining intensity and fraction of stained cells.
RNA-Seq data generated by the Genotype-Tissue Expression (GTEx) project from human tissues is reported as average pTPM. More information can be found on the GTEx portal.
Distribution across the dataset is visualized with box plots, shown as median and 25th and 75th percentiles. Points are displayed as outliers if they are above or below 1.5 times the interquartile range. pTPM values of the individual samples are presented next to the box plot.
Max pTPM: 48.7
Min pTPM: 2.1
Std pTPM: 8.8
Median pTPM: 17.2
GTEX-1117F-2526-SM-5GZY6
60-69 years, female
48.7
GTEX-ZC5H-2226-SM-4WAWS
40-49 years, female
47.8
GTEX-11TTK-2726-SM-5GU58
60-69 years, female
40.8
GTEX-ZE7O-2426-SM-57WD7
50-59 years, female
40.2
GTEX-18A7A-2826-SM-7LT8J
50-59 years, female
35.4
GTEX-15SB6-1426-SM-7KUEM
50-59 years, female
34.2
GTEX-S7SF-1426-SM-4AT5A
20-29 years, female
33.1
GTEX-131YS-2426-SM-5J2OD
60-69 years, female
32.8
GTEX-T2IS-1926-SM-4DM74
20-29 years, female
32.5
GTEX-11P81-2126-SM-5HL6N
30-39 years, female
32.4
GTEX-TML8-1126-SM-4DXSS
40-49 years, female
30.8
GTEX-ZYY3-2626-SM-5N9DH
60-69 years, female
30.6
GTEX-17JCI-2526-SM-7DHLB
60-69 years, female
30.5
GTEX-SE5C-1126-SM-4BRWZ
40-49 years, female
26.7
GTEX-145LS-2526-SM-5TDC9
60-69 years, female
26.1
GTEX-YJ8O-1226-SM-5P9JE
40-49 years, female
26.1
GTEX-15SDE-1726-SM-6LPJS
50-59 years, female
25.9
GTEX-TSE9-2526-SM-4DXUS
60-69 years, female
25.9
GTEX-15SHU-2926-SM-7KUKT
40-49 years, female
25.7
GTEX-11DXX-1726-SM-5H11T
60-69 years, female
25.3
GTEX-WYVS-1426-SM-4ONCV
40-49 years, female
25.3
GTEX-ZXES-0626-SM-5E45P
30-39 years, female
25.3
GTEX-14H4A-2426-SM-664OQ
40-49 years, female
24.3
GTEX-ZZPU-2226-SM-5EGIV
50-59 years, female
23.6
GTEX-14DAQ-2326-SM-5S2QX
60-69 years, female
23.5
GTEX-T6MO-1226-SM-4DM5S
40-49 years, female
23.2
GTEX-P78B-2226-SM-3P5ZZ
40-49 years, female
22.8
GTEX-U3ZN-0926-SM-4DXTU
30-39 years, female
21.8
GTEX-P4PP-2526-SM-3P61P
30-39 years, female
21.4
GTEX-18D9A-1026-SM-7KFRU
30-39 years, female
21.3
GTEX-11VI4-0726-SM-5GU5B
40-49 years, female
21.2
GTEX-UJHI-1326-SM-4IHJO
50-59 years, female
21.2
GTEX-PLZ4-2726-SM-3P61A
50-59 years, female
20.7
GTEX-OHPK-2526-SM-3MJH9
50-59 years, female
20.6
GTEX-Y8LW-1426-SM-5RQJJ
50-59 years, female
20.4
GTEX-1399S-2326-SM-5K7YV
30-39 years, female
20.3
GTEX-QVJO-2526-SM-4R1KB
60-69 years, female
20.3
GTEX-17F9Y-2326-SM-7DUFP
70-79 years, female
20.2
GTEX-N7MT-1926-SM-3LK5N
60-69 years, female
19.9
GTEX-13QBU-1726-SM-5IJFQ
40-49 years, female
19.8
GTEX-15ER7-2526-SM-7KUFW
20-29 years, female
19.7
GTEX-NL3G-2526-SM-4SOIE
60-69 years, female
19.7
GTEX-S4P3-1126-SM-4AD52
50-59 years, female
19.7
GTEX-ZTPG-2226-SM-57WF9
20-29 years, female
19.1
GTEX-S341-1226-SM-4AD5S
40-49 years, female
19.0
GTEX-1EWIQ-2326-SM-7IGNF
70-79 years, female
18.9
GTEX-11EMC-1926-SM-5A5JU
60-69 years, female
18.8
GTEX-15DYW-2926-SM-6PANA
60-69 years, female
18.8
GTEX-QCQG-1226-SM-48U23
50-59 years, female
18.2
GTEX-13PL7-2726-SM-5L3GB
60-69 years, female
18.1
GTEX-X15G-1926-SM-4PQZQ
50-59 years, female
18.1
GTEX-13U4I-2026-SM-5LU3L
40-49 years, female
17.9
GTEX-113JC-1926-SM-5N9GE
50-59 years, female
17.8
GTEX-1399U-1526-SM-5J2N7
50-59 years, female
17.8
GTEX-QDT8-2526-SM-48TYX
30-39 years, female
17.5
GTEX-Y3IK-2226-SM-4YCD4
50-59 years, female
17.5
GTEX-11I78-2026-SM-5987C
50-59 years, female
17.3
GTEX-14A5I-2726-SM-5SIB3
50-59 years, female
17.2
GTEX-1A8FM-2426-SM-7IGPE
50-59 years, female
17.2
GTEX-14PN3-1626-SM-6AJAV
60-69 years, female
17.1
GTEX-1C475-0526-SM-793AC
40-49 years, female
17.1
GTEX-ZGAY-2226-SM-4YCCX
40-49 years, female
17.1
GTEX-RU1J-1426-SM-46MUV
20-29 years, female
16.7
GTEX-XUW1-0326-SM-4BOOR
50-59 years, female
16.7
GTEX-ZVT3-2726-SM-5GU5X
60-69 years, female
16.7
GTEX-131XG-2126-SM-5DUXG
50-59 years, female
16.6
GTEX-14PJM-2926-SM-69LOE
50-59 years, female
16.6
GTEX-ZLWG-1126-SM-4WWFQ
50-59 years, female
16.5
GTEX-PX3G-2526-SM-48TZV
20-29 years, female
16.2
GTEX-TMMY-1926-SM-4DXUU
40-49 years, female
16.2
GTEX-146FH-2626-SM-5Q5E1
50-59 years, female
15.7
GTEX-PWCY-1726-SM-48TD3
20-29 years, female
15.4
GTEX-PWN1-2526-SM-48TDS
40-49 years, female
15.1
GTEX-14BMU-1926-SM-5S2QC
20-29 years, female
15.0
GTEX-16NGA-1626-SM-72D6M
40-49 years, female
15.0
GTEX-W5WG-1026-SM-4LMIF
50-59 years, female
14.9
GTEX-16NPV-2526-SM-6M483
50-59 years, female
14.8
GTEX-13N11-1526-SM-5L3FL
50-59 years, female
14.7
GTEX-13PVR-1426-SM-5S2PW
60-69 years, female
14.2
GTEX-ZP4G-0826-SM-4WWF3
20-29 years, female
14.2
GTEX-14PKU-1326-SM-6871B
40-49 years, female
13.1
GTEX-146FR-2426-SM-5NQAU
60-69 years, female
12.8
GTEX-OHPL-2526-SM-3MJGT
60-69 years, female
12.8
GTEX-X8HC-2826-SM-46MWJ
50-59 years, female
12.8
GTEX-11XUK-1326-SM-5EQM4
40-49 years, female
12.7
GTEX-12ZZX-1926-SM-5EGKC
40-49 years, female
12.2
GTEX-15UF6-2126-SM-6M46Z
70-79 years, female
12.0
GTEX-1CAMS-2326-SM-793CR
40-49 years, female
11.2
GTEX-145ME-1426-SM-5RQJS
40-49 years, female
10.8
GTEX-RWS6-1726-SM-47JXP
60-69 years, female
10.5
GTEX-1AMFI-1526-SM-73KVY
50-59 years, female
10.4
GTEX-13D11-1326-SM-5IJFY
50-59 years, female
10.3
GTEX-ZV6S-1326-SM-59HJA
40-49 years, female
10.2
GTEX-147F3-1526-SM-5SIAK
50-59 years, female
10.1
GTEX-11GSP-2226-SM-5HL5Q
60-69 years, female
9.8
GTEX-13QIC-1826-SM-5J1MY
60-69 years, female
9.7
GTEX-WEY5-0826-SM-4LMIH
40-49 years, female
9.7
GTEX-ZVT2-0626-SM-5GICR
50-59 years, female
8.8
GTEX-13W3W-2326-SM-5LU4Y
60-69 years, female
8.6
GTEX-Y114-1926-SM-4TT8J
50-59 years, female
8.6
GTEX-ZQG8-1126-SM-51MRL
60-69 years, female
8.3
GTEX-183WM-2126-SM-7LG4I
70-79 years, female
8.0
GTEX-XV7Q-1626-SM-4BRWC
40-49 years, female
8.0
GTEX-12WSJ-1326-SM-5GCOB
40-49 years, female
7.9
GTEX-WRHU-2926-SM-4MVNQ
50-59 years, female
7.4
GTEX-ZYVF-0326-SM-5GIES
50-59 years, female
7.4
GTEX-14PJ6-1626-SM-6872D
60-69 years, female
7.0
GTEX-14JG6-0726-SM-69LQH
30-39 years, female
6.5
GTEX-11EM3-1826-SM-5A5KO
20-29 years, female
6.3
GTEX-15DCZ-2326-SM-6AJB1
20-29 years, female
5.8
GTEX-Q734-1426-SM-48TZQ
40-49 years, female
4.5
GTEX-12WSD-2926-SM-5LZUH
60-69 years, female
4.1
GTEX-S4UY-1326-SM-4AD4X
40-49 years, female
3.0
GTEX-YFC4-2926-SM-5IFJ8
40-49 years, female
2.5
GTEX-13OVI-0926-SM-5J1MI
60-69 years, female
2.1
Show allShow less
VAGINA - FANTOM5 CAGEi
RNA expression in human tissues obtained through Cap Analysis of Gene Expression (CAGE) generated by the FANTOM5 project are reported as Scaled Tags Per Million.