We use cookies to enhance the usability of our website. If you continue, we'll assume that you are happy to receive all cookies. More information. Don't show this again.
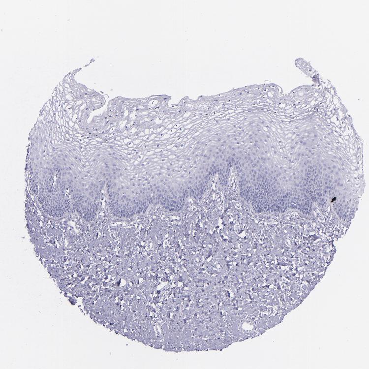
On the top, protein expression in current human tissue, based on all annotated cell types, is reported with the units not detected (n), low (l), medium (m) and high (h). Underneath, protein expression in each annotated cell type are reported using the same units.
Protein expression data is based on knowledge-based annotation. For genes where more than one antibody has been used, a collective score is set.
If knowledge-based annotation could not be performed for a gene, no data is displayed here. View antibody staining data further down this page.
A summary of mRNA expression data available for current tissue based on several datasets. The mRNA expression levels in human tissues are based on RNA-seq data generated by the Human Protein Atlas (HPA), Genotype-Tissue Expression (GTEx) portal and CAGE data generated by the FANTOM5 consortium. Consensus normalized expression (NX) levels for human tissues was created by combining the data from these three transcriptomics datasets (HPA, GTEx and FANTOM5).
The mRNA expression levels in pig are based on RNA-seq data generated by the Human Protein Atlas (HPA), and for mouse, HPA data and in situ hybridization generated by the Allen brain atlas are reported.
Scroll down to view mRNA expression data in more detail.
Antibody staining in the annotated cell types in the current human tissue is reported as not detected, low, medium, or high. This score is based on the staining intensity and fraction of stained cells.
RNA-Seq data generated by the Genotype-Tissue Expression (GTEx) project from human tissues is reported as average pTPM. More information can be found on the GTEx portal.
Distribution across the dataset is visualized with box plots, shown as median and 25th and 75th percentiles. Points are displayed as outliers if they are above or below 1.5 times the interquartile range. pTPM values of the individual samples are presented next to the box plot.
Max pTPM: 2.5
Min pTPM: 0.0
Std pTPM: 0.2
Median pTPM: 0.0
GTEX-RU1J-1426-SM-46MUV
20-29 years, female
2.5
GTEX-13N11-1526-SM-5L3FL
50-59 years, female
0.3
GTEX-XUW1-0326-SM-4BOOR
50-59 years, female
0.3
GTEX-13W3W-2326-SM-5LU4Y
60-69 years, female
0.1
GTEX-W5WG-1026-SM-4LMIF
50-59 years, female
0.1
GTEX-ZYY3-2626-SM-5N9DH
60-69 years, female
0.1
GTEX-1117F-2526-SM-5GZY6
60-69 years, female
0.0
GTEX-113JC-1926-SM-5N9GE
50-59 years, female
0.0
GTEX-11DXX-1726-SM-5H11T
60-69 years, female
0.0
GTEX-11EM3-1826-SM-5A5KO
20-29 years, female
0.0
GTEX-11EMC-1926-SM-5A5JU
60-69 years, female
0.0
GTEX-11GSP-2226-SM-5HL5Q
60-69 years, female
0.0
GTEX-11I78-2026-SM-5987C
50-59 years, female
0.0
GTEX-11P81-2126-SM-5HL6N
30-39 years, female
0.0
GTEX-11TTK-2726-SM-5GU58
60-69 years, female
0.0
GTEX-11VI4-0726-SM-5GU5B
40-49 years, female
0.0
GTEX-11XUK-1326-SM-5EQM4
40-49 years, female
0.0
GTEX-12WSD-2926-SM-5LZUH
60-69 years, female
0.0
GTEX-12WSJ-1326-SM-5GCOB
40-49 years, female
0.0
GTEX-12ZZX-1926-SM-5EGKC
40-49 years, female
0.0
GTEX-131XG-2126-SM-5DUXG
50-59 years, female
0.0
GTEX-131YS-2426-SM-5J2OD
60-69 years, female
0.0
GTEX-1399S-2326-SM-5K7YV
30-39 years, female
0.0
GTEX-1399U-1526-SM-5J2N7
50-59 years, female
0.0
GTEX-13D11-1326-SM-5IJFY
50-59 years, female
0.0
GTEX-13OVI-0926-SM-5J1MI
60-69 years, female
0.0
GTEX-13PL7-2726-SM-5L3GB
60-69 years, female
0.0
GTEX-13PVR-1426-SM-5S2PW
60-69 years, female
0.0
GTEX-13QBU-1726-SM-5IJFQ
40-49 years, female
0.0
GTEX-13QIC-1826-SM-5J1MY
60-69 years, female
0.0
GTEX-13U4I-2026-SM-5LU3L
40-49 years, female
0.0
GTEX-145LS-2526-SM-5TDC9
60-69 years, female
0.0
GTEX-145ME-1426-SM-5RQJS
40-49 years, female
0.0
GTEX-146FH-2626-SM-5Q5E1
50-59 years, female
0.0
GTEX-146FR-2426-SM-5NQAU
60-69 years, female
0.0
GTEX-147F3-1526-SM-5SIAK
50-59 years, female
0.0
GTEX-14A5I-2726-SM-5SIB3
50-59 years, female
0.0
GTEX-14BMU-1926-SM-5S2QC
20-29 years, female
0.0
GTEX-14DAQ-2326-SM-5S2QX
60-69 years, female
0.0
GTEX-14H4A-2426-SM-664OQ
40-49 years, female
0.0
GTEX-14JG6-0726-SM-69LQH
30-39 years, female
0.0
GTEX-14PJ6-1626-SM-6872D
60-69 years, female
0.0
GTEX-14PJM-2926-SM-69LOE
50-59 years, female
0.0
GTEX-14PKU-1326-SM-6871B
40-49 years, female
0.0
GTEX-14PN3-1626-SM-6AJAV
60-69 years, female
0.0
GTEX-15DCZ-2326-SM-6AJB1
20-29 years, female
0.0
GTEX-15DYW-2926-SM-6PANA
60-69 years, female
0.0
GTEX-15ER7-2526-SM-7KUFW
20-29 years, female
0.0
GTEX-15SB6-1426-SM-7KUEM
50-59 years, female
0.0
GTEX-15SDE-1726-SM-6LPJS
50-59 years, female
0.0
GTEX-15SHU-2926-SM-7KUKT
40-49 years, female
0.0
GTEX-15UF6-2126-SM-6M46Z
70-79 years, female
0.0
GTEX-16NGA-1626-SM-72D6M
40-49 years, female
0.0
GTEX-16NPV-2526-SM-6M483
50-59 years, female
0.0
GTEX-17F9Y-2326-SM-7DUFP
70-79 years, female
0.0
GTEX-17JCI-2526-SM-7DHLB
60-69 years, female
0.0
GTEX-183WM-2126-SM-7LG4I
70-79 years, female
0.0
GTEX-18A7A-2826-SM-7LT8J
50-59 years, female
0.0
GTEX-18D9A-1026-SM-7KFRU
30-39 years, female
0.0
GTEX-1A8FM-2426-SM-7IGPE
50-59 years, female
0.0
GTEX-1AMFI-1526-SM-73KVY
50-59 years, female
0.0
GTEX-1C475-0526-SM-793AC
40-49 years, female
0.0
GTEX-1CAMS-2326-SM-793CR
40-49 years, female
0.0
GTEX-1EWIQ-2326-SM-7IGNF
70-79 years, female
0.0
GTEX-N7MT-1926-SM-3LK5N
60-69 years, female
0.0
GTEX-NL3G-2526-SM-4SOIE
60-69 years, female
0.0
GTEX-OHPK-2526-SM-3MJH9
50-59 years, female
0.0
GTEX-OHPL-2526-SM-3MJGT
60-69 years, female
0.0
GTEX-P4PP-2526-SM-3P61P
30-39 years, female
0.0
GTEX-P78B-2226-SM-3P5ZZ
40-49 years, female
0.0
GTEX-PLZ4-2726-SM-3P61A
50-59 years, female
0.0
GTEX-PWCY-1726-SM-48TD3
20-29 years, female
0.0
GTEX-PWN1-2526-SM-48TDS
40-49 years, female
0.0
GTEX-PX3G-2526-SM-48TZV
20-29 years, female
0.0
GTEX-Q734-1426-SM-48TZQ
40-49 years, female
0.0
GTEX-QCQG-1226-SM-48U23
50-59 years, female
0.0
GTEX-QDT8-2526-SM-48TYX
30-39 years, female
0.0
GTEX-QVJO-2526-SM-4R1KB
60-69 years, female
0.0
GTEX-RWS6-1726-SM-47JXP
60-69 years, female
0.0
GTEX-S341-1226-SM-4AD5S
40-49 years, female
0.0
GTEX-S4P3-1126-SM-4AD52
50-59 years, female
0.0
GTEX-S4UY-1326-SM-4AD4X
40-49 years, female
0.0
GTEX-S7SF-1426-SM-4AT5A
20-29 years, female
0.0
GTEX-SE5C-1126-SM-4BRWZ
40-49 years, female
0.0
GTEX-T2IS-1926-SM-4DM74
20-29 years, female
0.0
GTEX-T6MO-1226-SM-4DM5S
40-49 years, female
0.0
GTEX-TML8-1126-SM-4DXSS
40-49 years, female
0.0
GTEX-TMMY-1926-SM-4DXUU
40-49 years, female
0.0
GTEX-TSE9-2526-SM-4DXUS
60-69 years, female
0.0
GTEX-U3ZN-0926-SM-4DXTU
30-39 years, female
0.0
GTEX-UJHI-1326-SM-4IHJO
50-59 years, female
0.0
GTEX-WEY5-0826-SM-4LMIH
40-49 years, female
0.0
GTEX-WRHU-2926-SM-4MVNQ
50-59 years, female
0.0
GTEX-WYVS-1426-SM-4ONCV
40-49 years, female
0.0
GTEX-X15G-1926-SM-4PQZQ
50-59 years, female
0.0
GTEX-X8HC-2826-SM-46MWJ
50-59 years, female
0.0
GTEX-XV7Q-1626-SM-4BRWC
40-49 years, female
0.0
GTEX-Y114-1926-SM-4TT8J
50-59 years, female
0.0
GTEX-Y3IK-2226-SM-4YCD4
50-59 years, female
0.0
GTEX-Y8LW-1426-SM-5RQJJ
50-59 years, female
0.0
GTEX-YFC4-2926-SM-5IFJ8
40-49 years, female
0.0
GTEX-YJ8O-1226-SM-5P9JE
40-49 years, female
0.0
GTEX-ZC5H-2226-SM-4WAWS
40-49 years, female
0.0
GTEX-ZE7O-2426-SM-57WD7
50-59 years, female
0.0
GTEX-ZGAY-2226-SM-4YCCX
40-49 years, female
0.0
GTEX-ZLWG-1126-SM-4WWFQ
50-59 years, female
0.0
GTEX-ZP4G-0826-SM-4WWF3
20-29 years, female
0.0
GTEX-ZQG8-1126-SM-51MRL
60-69 years, female
0.0
GTEX-ZTPG-2226-SM-57WF9
20-29 years, female
0.0
GTEX-ZV6S-1326-SM-59HJA
40-49 years, female
0.0
GTEX-ZVT2-0626-SM-5GICR
50-59 years, female
0.0
GTEX-ZVT3-2726-SM-5GU5X
60-69 years, female
0.0
GTEX-ZXES-0626-SM-5E45P
30-39 years, female
0.0
GTEX-ZYVF-0326-SM-5GIES
50-59 years, female
0.0
GTEX-ZZPU-2226-SM-5EGIV
50-59 years, female
0.0
Show allShow less
VAGINA - FANTOM5 CAGEi
RNA expression in human tissues obtained through Cap Analysis of Gene Expression (CAGE) generated by the FANTOM5 project are reported as Scaled Tags Per Million.