We use cookies to enhance the usability of our website. If you continue, we'll assume that you are happy to receive all cookies. More information. Don't show this again.
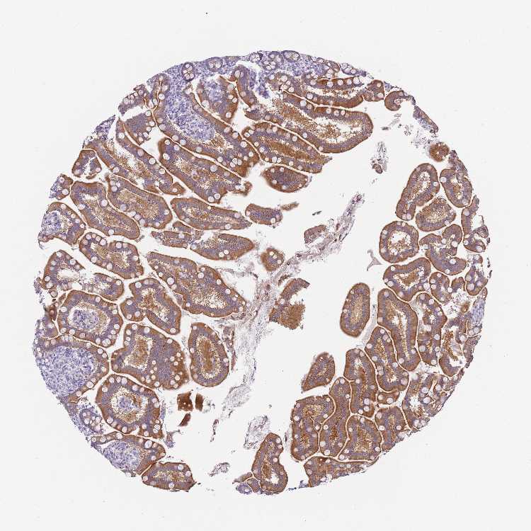
On the top, protein expression in current human tissue, based on all annotated cell types, is reported with the units not detected (n), low (l), medium (m) and high (h). Underneath, protein expression in each annotated cell type are reported using the same units.
Protein expression data is based on knowledge-based annotation. For genes where more than one antibody has been used, a collective score is set.
If knowledge-based annotation could not be performed for a gene, no data is displayed here. View antibody staining data further down this page.
A summary of mRNA expression data available for current tissue based on several datasets. The mRNA expression levels in human tissues are based on RNA-seq data generated by the Human Protein Atlas (HPA), Genotype-Tissue Expression (GTEx) portal and CAGE data generated by the FANTOM5 consortium. Consensus normalized expression (NX) levels for human tissues was created by combining the data from these three transcriptomics datasets (HPA, GTEx and FANTOM5).
The mRNA expression levels in pig are based on RNA-seq data generated by the Human Protein Atlas (HPA), and for mouse, HPA data and in situ hybridization generated by the Allen brain atlas are reported.
Scroll down to view mRNA expression data in more detail.
Antibody staining in the annotated cell types in the current human tissue is reported as not detected, low, medium, or high. This score is based on the staining intensity and fraction of stained cells.
The RNA-seq details section shows detailed information about the individual samples used for the transcript profiling and results of the RNA-seq analysis.
Information about each individual sample is listed below, including gender, age, a tissue section image and estimated fractions of cell types. pTPM (transcripts per million) values give a quantification of the gene abundance which is comparable between different genes and samples.
RNA-Seq data generated by the Genotype-Tissue Expression (GTEx) project from human tissues is reported as average pTPM. More information can be found on the GTEx portal.
Distribution across the dataset is visualized with box plots, shown as median and 25th and 75th percentiles. Points are displayed as outliers if they are above or below 1.5 times the interquartile range. pTPM values of the individual samples are presented next to the box plot.
Small Intestine - Terminal Ileum Average pTPM: 5.2
Samples: 137
Max pTPM: 22.0
Min pTPM: 0.0
Std pTPM: 4.6
Median pTPM: 4.2
GTEX-144GM-1026-SM-79OKU
20-29 years, male
22.0
GTEX-ZEX8-1826-SM-57WBH
50-59 years, male
17.9
GTEX-11DXX-1626-SM-5H11H
60-69 years, female
17.7
GTEX-11NSD-1726-SM-5N9C3
20-29 years, male
17.3
GTEX-ZTSS-0926-SM-59865
40-49 years, male
16.2
GTEX-YFCO-1326-SM-664NV
40-49 years, male
16.0
GTEX-1399R-2026-SM-5K7WN
30-39 years, male
15.7
GTEX-11P82-0826-SM-5P9GU
20-29 years, male
15.0
GTEX-11EQ9-1326-SM-5985X
30-39 years, male
14.8
GTEX-ZPCL-1726-SM-57WEO
60-69 years, female
14.6
GTEX-ZLV1-1126-SM-4WWBW
60-69 years, female
13.7
GTEX-139YR-2226-SM-5IFFW
50-59 years, male
12.8
GTEX-16MTA-1526-SM-6LPJB
50-59 years, male
12.0
GTEX-XUZC-1426-SM-4BRV3
30-39 years, female
12.0
GTEX-11I78-1126-SM-5A5K5
50-59 years, female
11.9
GTEX-XGQ4-1326-SM-4GIDU
50-59 years, male
11.5
GTEX-11DXZ-1326-SM-5H11X
50-59 years, male
10.7
GTEX-XXEK-1026-SM-4BRUW
50-59 years, male
10.6
GTEX-ZZ64-0526-SM-5GZXM
20-29 years, male
10.6
GTEX-1GMR2-1026-SM-7MKHJ
50-59 years, male
10.5
GTEX-133LE-1426-SM-5IFH1
20-29 years, female
10.4
GTEX-ZTX8-0526-SM-59HLD
20-29 years, male
10.4
GTEX-14DAR-1426-SM-5RQIR
50-59 years, male
10.0
GTEX-131XF-1326-SM-5GCMQ
60-69 years, male
9.8
GTEX-1399S-2026-SM-5KM4B
30-39 years, female
9.7
GTEX-WQUQ-2426-SM-4MVNW
60-69 years, male
9.7
GTEX-131XG-1726-SM-5LZUR
50-59 years, female
8.7
GTEX-VJYA-0926-SM-4KL1N
60-69 years, male
8.7
GTEX-YEC4-1726-SM-4W21E
40-49 years, male
8.5
GTEX-14PK6-1626-SM-6871I
70-79 years, female
8.0
GTEX-1AMFI-1926-SM-731F2
50-59 years, female
8.0
GTEX-145LT-1026-SM-5LU9O
40-49 years, male
7.8
GTEX-1CAMR-0826-SM-7MKFK
20-29 years, male
7.3
GTEX-1497J-1926-SM-5TDCC
60-69 years, male
7.1
GTEX-14XAO-1926-SM-6ETZO
60-69 years, female
6.9
GTEX-17HHE-1726-SM-79OKT
50-59 years, male
6.7
GTEX-ZVT2-2126-SM-5NQ93
50-59 years, female
6.7
GTEX-14PKU-1626-SM-6871C
40-49 years, female
6.6
GTEX-YB5E-1526-SM-5IFIE
40-49 years, male
6.5
GTEX-1399U-2126-SM-5IFEZ
50-59 years, female
6.4
GTEX-1122O-1326-SM-5H11F
60-69 years, female
6.3
GTEX-12BJ1-1926-SM-5HL9Z
60-69 years, male
6.1
GTEX-ZTPG-2626-SM-57WFX
20-29 years, female
6.1
GTEX-11P7K-1626-SM-5GU63
30-39 years, male
6.0
GTEX-XBED-1426-SM-4AT4G
60-69 years, male
5.9
GTEX-13PL7-2626-SM-5IFH4
60-69 years, female
5.4
GTEX-WH7G-1626-SM-4LVMY
40-49 years, male
5.4
GTEX-YF7O-1826-SM-5IFIU
50-59 years, male
5.3
GTEX-14E6E-1626-SM-5RQI7
30-39 years, male
5.2
GTEX-14PJ3-1326-SM-664O7
50-59 years, male
5.2
GTEX-14PJ6-1726-SM-6AJBN
60-69 years, female
5.2
GTEX-WRHK-1026-SM-4MVOD
20-29 years, female
5.2
GTEX-ZVP2-1726-SM-5GU5P
50-59 years, male
5.2
GTEX-ZXES-1526-SM-5NQ95
30-39 years, female
5.2
GTEX-13X6H-1826-SM-7EWCZ
50-59 years, female
5.1
GTEX-XAJ8-0526-SM-47JYK
40-49 years, male
5.1
GTEX-ZLFU-1526-SM-4WWBT
40-49 years, male
5.0
GTEX-13113-1226-SM-5EGHT
60-69 years, female
4.9
GTEX-13D11-0726-SM-5LZZB
50-59 years, female
4.9
GTEX-11VI4-1626-SM-5EQKO
40-49 years, female
4.8
GTEX-13O61-1326-SM-5KM31
60-69 years, male
4.8
GTEX-ZVZP-1826-SM-5GZXB
50-59 years, male
4.8
GTEX-WFJO-0926-SM-4LVM2
30-39 years, male
4.6
GTEX-16AAH-1426-SM-7KFTR
50-59 years, male
4.5
GTEX-X15G-1426-SM-4PQZK
50-59 years, female
4.5
GTEX-14PJN-0826-SM-686ZL
30-39 years, male
4.3
GTEX-Y3IK-1726-SM-4YCCR
50-59 years, female
4.3
GTEX-16NGA-1126-SM-7KFSY
40-49 years, female
4.2
GTEX-ZF29-1626-SM-4WKFJ
60-69 years, female
4.2
GTEX-13FTW-2026-SM-5IJE2
40-49 years, male
4.1
GTEX-14BMU-1426-SM-5TDE5
20-29 years, female
4.0
GTEX-11XUK-1426-SM-5EQMG
40-49 years, female
3.8
GTEX-13RTK-0826-SM-5Q5C6
20-29 years, male
3.8
GTEX-14PKV-2026-SM-6AJ9A
20-29 years, female
3.8
GTEX-18A66-2526-SM-7KFTZ
60-69 years, male
3.7
GTEX-VUSG-1726-SM-4KKZL
50-59 years, male
3.5
GTEX-139T6-1026-SM-5IJGC
50-59 years, male
3.4
GTEX-X5EB-1626-SM-4E3IV
40-49 years, male
3.3
GTEX-Z9EW-0926-SM-5CVMM
40-49 years, male
3.3
GTEX-Y9LG-1626-SM-5IFHM
30-39 years, male
3.2
GTEX-ZP4G-1626-SM-57WGD
20-29 years, female
3.2
GTEX-111YS-1426-SM-5GID8
60-69 years, male
3.1
GTEX-13CF3-1226-SM-5LZXN
60-69 years, female
3.1
GTEX-14PN3-2026-SM-68729
60-69 years, female
3.0
GTEX-13FH7-1226-SM-5IJFK
50-59 years, female
2.9
GTEX-1C475-1426-SM-793CH
40-49 years, female
2.8
GTEX-WHSB-1026-SM-4M1XN
50-59 years, male
2.8
GTEX-Y114-1426-SM-4TT6W
50-59 years, female
2.8
GTEX-17MFQ-1026-SM-7KFSZ
20-29 years, male
2.7
GTEX-1B8KE-1726-SM-7IGMN
50-59 years, male
2.7
GTEX-1C64O-2526-SM-79ONO
60-69 years, male
2.7
GTEX-15G1A-1726-SM-6LPI4
30-39 years, male
2.6
GTEX-ZA64-1226-SM-5HL7B
20-29 years, male
2.6
GTEX-13NYB-1826-SM-5J1N3
40-49 years, male
2.4
GTEX-13O21-1026-SM-5IJDU
50-59 years, male
2.4
GTEX-1GMR3-2726-SM-7MKFB
40-49 years, male
2.0
GTEX-145ME-0926-SM-5O9AR
40-49 years, female
1.9
GTEX-1GL5R-2026-SM-7MKHP
50-59 years, male
1.9
GTEX-ZYFG-2026-SM-5E43Y
60-69 years, female
1.9
GTEX-1B8KZ-1126-SM-7IGLX
50-59 years, male
1.8
GTEX-13QBU-1926-SM-5IJEW
40-49 years, female
1.6
GTEX-1192X-2526-SM-59868
50-59 years, male
1.4
GTEX-183FY-1626-SM-793D8
20-29 years, male
1.4
GTEX-1AX8Z-2526-SM-731E3
60-69 years, male
1.4
GTEX-12WSK-1526-SM-5CVNO
40-49 years, female
1.3
GTEX-15DZA-0826-SM-6AJBF
30-39 years, female
1.3
GTEX-WFG7-1726-SM-4LVME
20-29 years, male
1.3
GTEX-WY7C-1826-SM-4ONCE
50-59 years, male
1.3
GTEX-ZQG8-2526-SM-57WEQ
60-69 years, female
1.2
GTEX-ZF2S-1726-SM-57WFT
50-59 years, female
1.1
GTEX-131XE-0926-SM-5HL7J
50-59 years, male
1.0
GTEX-ZPIC-2326-SM-57WDW
40-49 years, female
1.0
GTEX-18QFQ-1626-SM-72D7H
30-39 years, male
0.9
GTEX-1BAJH-2526-SM-7IGOT
70-79 years, male
0.9
GTEX-1EMGI-2826-SM-7IGMR
60-69 years, male
0.8
GTEX-13111-1426-SM-5DUW3
50-59 years, male
0.7
GTEX-148VJ-2226-SM-5NQ9M
70-79 years, male
0.6
GTEX-Y5V5-1826-SM-4VDS5
60-69 years, female
0.5
GTEX-111CU-1326-SM-5NQ8L
50-59 years, male
0.4
GTEX-117YX-0326-SM-5GICL
50-59 years, male
0.4
GTEX-11LCK-1926-SM-5A5KE
30-39 years, male
0.4
GTEX-16A39-1426-SM-6LLI6
30-39 years, female
0.4
GTEX-UPK5-2026-SM-4JBIM
40-49 years, male
0.4
GTEX-WEY5-1526-SM-4LMJF
40-49 years, female
0.4
GTEX-WFON-1526-SM-4LVMP
40-49 years, male
0.4
GTEX-WYJK-1526-SM-4ONCW
50-59 years, male
0.4
GTEX-XMK1-1826-SM-4B66F
40-49 years, male
0.4
GTEX-ZAB5-1526-SM-5HL9P
50-59 years, male
0.4
GTEX-13OVI-1926-SM-5IJCG
60-69 years, female
0.3
GTEX-17KNJ-1626-SM-718AL
50-59 years, male
0.3
GTEX-ZC5H-2326-SM-4WAYT
40-49 years, female
0.3
GTEX-Y111-2226-SM-4SOJB
50-59 years, male
0.2
GTEX-Y3I4-1326-SM-4TT8Z
50-59 years, male
0.2
GTEX-ZQUD-0926-SM-57WE3
30-39 years, male
0.2
GTEX-XPVG-1726-SM-4B65W
50-59 years, male
0.1
GTEX-13W3W-2026-SM-5K7UL
60-69 years, female
0.0
GTEX-14C39-1826-SM-5ZZW4
40-49 years, male
0.0
Show allShow less
SMALL INTESTINE - FANTOM5 CAGEi
RNA expression in human tissues obtained through Cap Analysis of Gene Expression (CAGE) generated by the FANTOM5 project are reported as Scaled Tags Per Million.