We use cookies to enhance the usability of our website. If you continue, we'll assume that you are happy to receive all cookies. More information. Don't show this again.
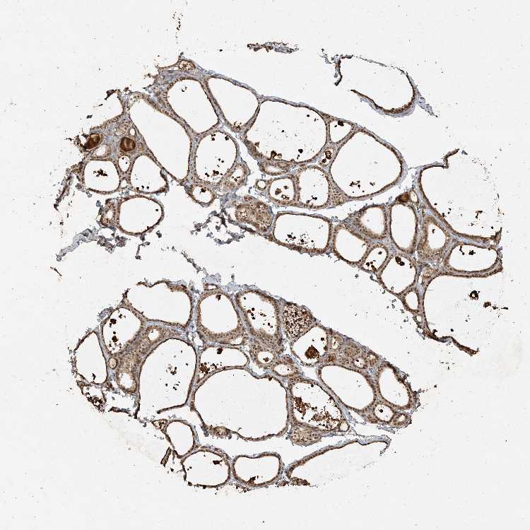
On the top, protein expression in current human tissue, based on all annotated cell types, is reported with the units not detected (n), low (l), medium (m) and high (h). Underneath, protein expression in each annotated cell type are reported using the same units.
Protein expression data is based on knowledge-based annotation. For genes where more than one antibody has been used, a collective score is set.
If knowledge-based annotation could not be performed for a gene, no data is displayed here. View antibody staining data further down this page.
A summary of mRNA expression data available for current tissue based on several datasets. The mRNA expression levels in human tissues are based on RNA-seq data generated by the Human Protein Atlas (HPA), Genotype-Tissue Expression (GTEx) portal and CAGE data generated by the FANTOM5 consortium. Consensus normalized expression (NX) levels for human tissues was created by combining the data from these three transcriptomics datasets (HPA, GTEx and FANTOM5).
The mRNA expression levels in pig are based on RNA-seq data generated by the Human Protein Atlas (HPA), and for mouse, HPA data and in situ hybridization generated by the Allen brain atlas are reported.
Scroll down to view mRNA expression data in more detail.
Antibody staining in the annotated cell types in the current human tissue is reported as not detected, low, medium, or high. This score is based on the staining intensity and fraction of stained cells.
The RNA-seq details section shows detailed information about the individual samples used for the transcript profiling and results of the RNA-seq analysis.
Information about each individual sample is listed below, including gender, age, a tissue section image and estimated fractions of cell types. pTPM (transcripts per million) values give a quantification of the gene abundance which is comparable between different genes and samples.
Glandular cells: 70 Endothelial cells: 20 Other cell types: 10
Female, age 55
Thyroid gland sample 250 pTPM: 0.8
Cell types%
Glandular cells: 70 Endothelial cells: 20 Other cell types: 10
Female, age 58
Thyroid gland sample 251 pTPM: 3.6
Cell types%
Glandular cells: 70 Endothelial cells: 15 Other cell types: 15
Female, age 48
Thyroid gland sample 252 pTPM: 2.5
Cell types%
Glandular cells: 70 Endothelial cells: 20 Other cell types: 10
Male, age 21
Thyroid gland sample 363 pTPM: 1.4
Cell types%
Glandular cells: 75 Endothelial cells: 10 Other cell types: 15
THYROID GLAND - GTEx RNA-seqi
RNA-Seq data generated by the Genotype-Tissue Expression (GTEx) project from human tissues is reported as average pTPM. More information can be found on the GTEx portal.
Distribution across the dataset is visualized with box plots, shown as median and 25th and 75th percentiles. Points are displayed as outliers if they are above or below 1.5 times the interquartile range. pTPM values of the individual samples are presented next to the box plot.
Max pTPM: 19.5
Min pTPM: 0.0
Std pTPM: 2.8
Median pTPM: 2.3
GTEX-WXYG-0226-SM-3NB2Y
50-59 years, female
19.5
GTEX-117YX-1226-SM-5H11S
50-59 years, male
19.0
GTEX-13N1W-0826-SM-5MR5J
70-79 years, male
18.0
GTEX-11TUW-0226-SM-5LU8X
60-69 years, male
14.4
GTEX-ZAJG-0726-SM-5HL9A
50-59 years, female
13.9
GTEX-16AAH-0326-SM-7DHML
50-59 years, male
12.9
GTEX-ZQUD-0126-SM-7EPIS
30-39 years, male
12.4
GTEX-P4QT-2626-SM-2I3FM
50-59 years, female
11.9
GTEX-XYKS-0826-SM-4BRVF
60-69 years, female
11.8
GTEX-12WSL-0626-SM-5GCOY
50-59 years, male
11.4
GTEX-OXRO-1226-SM-48TDL
60-69 years, female
11.3
GTEX-11P82-0226-SM-5HL4O
20-29 years, male
11.2
GTEX-145MI-1126-SM-5O9AK
60-69 years, female
11.2
GTEX-14B4R-0126-SM-5TDE4
30-39 years, male
11.2
GTEX-131XF-1826-SM-5EGKG
60-69 years, male
11.1
GTEX-ZDYS-0626-SM-5J2N5
50-59 years, male
10.9
GTEX-13FXS-0726-SM-5LZXJ
50-59 years, male
9.8
GTEX-13FLW-0326-SM-5J2M4
50-59 years, male
9.5
GTEX-Y9LG-0426-SM-4VBRT
30-39 years, male
9.5
GTEX-15UF6-1126-SM-6LPJ3
70-79 years, female
9.4
GTEX-1A8G6-0626-SM-7IGNB
60-69 years, male
9.4
GTEX-1CB4J-1426-SM-7MKFR
60-69 years, male
9.3
GTEX-131XE-0126-SM-5LZVC
50-59 years, male
9.0
GTEX-ZV7C-0126-SM-57WDE
50-59 years, male
9.0
GTEX-12WSH-0226-SM-5GCOG
50-59 years, male
8.7
GTEX-17F96-0526-SM-79OLE
70-79 years, male
8.6
GTEX-RVPV-1226-SM-2TF73
60-69 years, male
8.5
GTEX-Y5V5-0326-SM-5RQJG
60-69 years, female
8.5
GTEX-11NV4-0626-SM-5N9BR
60-69 years, male
8.4
GTEX-ZA64-0426-SM-5HL96
20-29 years, male
8.1
GTEX-1B932-0926-SM-73KUP
40-49 years, female
7.9
GTEX-16BQI-0726-SM-6LPJZ
30-39 years, female
7.8
GTEX-1C6VS-0826-SM-7EWEI
60-69 years, male
7.7
GTEX-12BJ1-0426-SM-5FQSO
60-69 years, male
7.5
GTEX-144GO-0126-SM-5LUAO
60-69 years, male
7.5
GTEX-132QS-0326-SM-5IJFN
60-69 years, male
7.3
GTEX-14PJ4-0326-SM-664OT
60-69 years, male
7.3
GTEX-14E6E-0326-SM-73KY6
30-39 years, male
7.1
GTEX-YJ89-0726-SM-5P9F7
60-69 years, male
6.9
GTEX-WHPG-0226-SM-3NMB9
50-59 years, male
6.8
GTEX-14BMV-0726-SM-73KVE
50-59 years, male
6.7
GTEX-14PII-0826-SM-6871S
60-69 years, male
6.7
GTEX-14PKU-0326-SM-6AJA7
40-49 years, female
6.6
GTEX-17F97-0626-SM-7IGOH
50-59 years, male
6.5
GTEX-1477Z-0226-SM-5TDCI
60-69 years, male
6.4
GTEX-16Z82-0426-SM-7EPGX
60-69 years, male
6.4
GTEX-11NUK-1026-SM-5HL5J
50-59 years, male
6.3
GTEX-14A6H-2426-SM-5Q5BO
30-39 years, male
6.3
GTEX-1CB4F-0826-SM-793CV
60-69 years, male
6.3
GTEX-15RJ7-0326-SM-6M47H
40-49 years, male
6.2
GTEX-SIU8-0626-SM-2XCDN
50-59 years, male
6.1
GTEX-UJMC-0326-SM-3GAE2
50-59 years, male
6.0
GTEX-18A67-0826-SM-7KFTI
50-59 years, male
5.9
GTEX-R55E-0826-SM-2TC5M
20-29 years, male
5.9
GTEX-WVLH-0626-SM-3MJG7
50-59 years, male
5.9
GTEX-13O1R-0826-SM-5J2MB
60-69 years, male
5.8
GTEX-13O3O-0926-SM-5KM1F
60-69 years, female
5.8
GTEX-145MG-0826-SM-5Q5C2
50-59 years, male
5.8
GTEX-ZTPG-0826-SM-5DUVC
20-29 years, female
5.8
GTEX-13O3Q-0626-SM-5IJG1
50-59 years, male
5.7
GTEX-NFK9-0726-SM-2HMJW
40-49 years, male
5.6
GTEX-144GL-1226-SM-5O9A4
50-59 years, male
5.5
GTEX-14753-0926-SM-5Q5BI
60-69 years, male
5.5
GTEX-14BIN-0126-SM-5TDCG
50-59 years, female
5.5
GTEX-18A6Q-0726-SM-7LT8Y
60-69 years, male
5.5
GTEX-WYJK-1626-SM-3NM9J
50-59 years, male
5.5
GTEX-Y114-0626-SM-4TT98
50-59 years, female
5.5
GTEX-144GM-0226-SM-5Q5CB
20-29 years, male
5.4
GTEX-14C39-0226-SM-5TDDW
40-49 years, male
5.4
GTEX-X5EB-0726-SM-46MVR
40-49 years, male
5.4
GTEX-ZV6S-0226-SM-59HJT
40-49 years, female
5.4
GTEX-117XS-0526-SM-5987Q
60-69 years, male
5.3
GTEX-XGQ4-0426-SM-4AT4I
50-59 years, male
5.3
GTEX-YB5K-0526-SM-5LUAS
40-49 years, female
5.3
GTEX-OXRK-0626-SM-2HMJ5
50-59 years, female
5.2
GTEX-POYW-0826-SM-2XCEM
60-69 years, male
5.2
GTEX-XMK1-0626-SM-4B65A
40-49 years, male
5.2
GTEX-ZDTS-0926-SM-5YY9D
60-69 years, male
5.2
GTEX-13PL6-1026-SM-5L3E5
40-49 years, female
5.1
GTEX-R3RS-0726-SM-3GIJR
40-49 years, female
5.0
GTEX-11TTK-0826-SM-5N9EG
60-69 years, female
4.9
GTEX-117YW-0126-SM-5EGGN
50-59 years, male
4.8
GTEX-ZPCL-0126-SM-4WWC8
60-69 years, female
4.8
GTEX-12ZZX-1226-SM-5EGHS
40-49 years, female
4.6
GTEX-18465-1426-SM-7KFTF
50-59 years, male
4.6
GTEX-Y8E4-0126-SM-4VBQ2
40-49 years, male
4.6
GTEX-12WSJ-0326-SM-5GCMT
40-49 years, female
4.5
GTEX-ZC5H-0626-SM-5LU9K
40-49 years, female
4.5
GTEX-11NSD-0126-SM-5987F
20-29 years, male
4.4
GTEX-13NYB-0726-SM-5MR4J
40-49 years, male
4.4
GTEX-13NZ8-0226-SM-5J2OK
60-69 years, female
4.4
GTEX-1B8SG-1126-SM-7IGMT
50-59 years, male
4.4
GTEX-SNOS-0226-SM-32PLR
40-49 years, male
4.4
GTEX-XLM4-0726-SM-4AT64
60-69 years, male
4.3
GTEX-ZYFD-0826-SM-5NQ9A
50-59 years, male
4.3
GTEX-11DXX-0226-SM-5P9HL
60-69 years, female
4.2
GTEX-13NZA-1026-SM-5MR48
60-69 years, male
4.2
GTEX-15DZA-0226-SM-7KFS6
30-39 years, female
4.2
GTEX-146FR-0326-SM-5SI8U
60-69 years, female
4.1
GTEX-147F4-0826-SM-5QGRB
50-59 years, male
4.1
GTEX-T6MN-0626-SM-32PM9
50-59 years, male
4.0
GTEX-1128S-0126-SM-5H12S
60-69 years, female
3.9
GTEX-11DXY-0426-SM-5H12R
60-69 years, male
3.9
GTEX-12WSD-0926-SM-5GCNL
60-69 years, female
3.9
GTEX-13VXU-0826-SM-5KLZ2
50-59 years, male
3.9
GTEX-1497J-0126-SM-5Q5BK
60-69 years, male
3.9
GTEX-1CAMQ-1126-SM-7EWFE
40-49 years, male
3.9
GTEX-WRHU-0926-SM-4E3IG
50-59 years, female
3.9
GTEX-WWYW-0826-SM-3NB2X
50-59 years, female
3.9
GTEX-13W46-0926-SM-5LU3T
50-59 years, male
3.8
GTEX-P4PQ-2626-SM-33HC9
60-69 years, male
3.8
GTEX-TSE9-0626-SM-3DB8B
60-69 years, female
3.8
GTEX-WK11-0926-SM-3NMAU
50-59 years, male
3.8
GTEX-ZAB5-0726-SM-5P9JG
50-59 years, male
3.8
GTEX-ZE7O-1126-SM-57WC8
50-59 years, female
3.8
GTEX-13FTY-0726-SM-5J2OH
40-49 years, female
3.7
GTEX-13O3P-0726-SM-5J2OM
50-59 years, male
3.7
GTEX-13RTK-0326-SM-5RQHS
20-29 years, male
3.7
GTEX-ZT9W-0226-SM-4YCCZ
50-59 years, male
3.7
GTEX-1192W-0126-SM-5EGGS
60-69 years, male
3.6
GTEX-11DXZ-0926-SM-5N9CG
50-59 years, male
3.6
GTEX-14ASI-0726-SM-5Q5DC
60-69 years, male
3.6
GTEX-14C5O-0826-SM-5TDEG
60-69 years, male
3.6
GTEX-15G1A-0326-SM-6M467
30-39 years, male
3.6
GTEX-17HHE-0426-SM-79OK3
50-59 years, male
3.6
GTEX-1AX9I-0626-SM-72D54
60-69 years, male
3.6
GTEX-WYBS-1926-SM-3NM8N
60-69 years, female
3.6
GTEX-11DYG-0826-SM-5N9GH
60-69 years, male
3.5
GTEX-13X6J-0826-SM-5LU32
50-59 years, male
3.5
GTEX-13YAN-0926-SM-5O9C3
60-69 years, male
3.5
GTEX-1EH9U-0926-SM-7EWF1
60-69 years, male
3.5
GTEX-1192X-1126-SM-5EGGU
50-59 years, male
3.4
GTEX-16GPK-0926-SM-6LPJ9
60-69 years, male
3.4
GTEX-1B97I-0326-SM-7DUGB
40-49 years, male
3.4
GTEX-XBEW-0126-SM-4AT66
40-49 years, male
3.4
GTEX-11GS4-0826-SM-5986J
60-69 years, male
3.3
GTEX-12WSE-1226-SM-73KUF
20-29 years, male
3.3
GTEX-13FH7-0126-SM-5KLZ1
50-59 years, female
3.3
GTEX-13G51-1226-SM-5K7Z3
60-69 years, male
3.3
GTEX-15EU6-1426-SM-6M48E
50-59 years, male
3.3
GTEX-QV44-0826-SM-2S1RG
50-59 years, male
3.3
GTEX-X4LF-0426-SM-3NMB5
50-59 years, male
3.3
GTEX-Y3IK-0526-SM-4WWE3
50-59 years, female
3.3
GTEX-Y5V6-0526-SM-4VBRV
60-69 years, male
3.3
GTEX-13112-0326-SM-5P9IW
50-59 years, male
3.2
GTEX-15DDE-0626-SM-69LOK
50-59 years, female
3.2
GTEX-17EVQ-0526-SM-7KFSK
70-79 years, male
3.2
GTEX-17KNJ-1026-SM-79ONK
50-59 years, male
3.2
GTEX-18A66-0826-SM-72D5Z
60-69 years, male
3.2
GTEX-1B8KZ-0426-SM-731DP
50-59 years, male
3.2
GTEX-OHPM-2626-SM-33HC5
50-59 years, male
3.2
GTEX-XBED-0126-SM-47JY7
60-69 years, male
3.2
GTEX-ZXG5-0926-SM-5NQ8H
60-69 years, male
3.2
GTEX-146FQ-0726-SM-5LUA7
30-39 years, male
3.1
GTEX-1B8KE-0626-SM-7189H
50-59 years, male
3.1
GTEX-R55C-0626-SM-2TF4Q
40-49 years, male
3.1
GTEX-13CF3-0926-SM-5LZZC
60-69 years, female
3.0
GTEX-13OW7-0826-SM-5L3EL
50-59 years, male
3.0
GTEX-14PHW-2926-SM-6AJBA
60-69 years, female
3.0
GTEX-18D9U-1026-SM-72D5R
40-49 years, male
3.0
GTEX-U8T8-2326-SM-3DB96
60-69 years, male
3.0
GTEX-X15G-0526-SM-3NMB7
50-59 years, female
3.0
GTEX-ZUA1-0926-SM-4YCDX
40-49 years, male
3.0
GTEX-131XH-0526-SM-5DUX7
50-59 years, male
2.9
GTEX-13PDP-1026-SM-5L3FA
60-69 years, male
2.9
GTEX-145MH-0426-SM-5LU8T
50-59 years, male
2.9
GTEX-15SHV-0426-SM-6M476
60-69 years, male
2.9
GTEX-17HII-1926-SM-79OLB
50-59 years, male
2.9
GTEX-OOBJ-2626-SM-2I3F6
60-69 years, male
2.9
GTEX-S32W-0726-SM-2XCBL
50-59 years, female
2.9
GTEX-WHSB-1626-SM-3LK6J
50-59 years, male
2.9
GTEX-YFCO-0326-SM-4W1ZP
40-49 years, male
2.9
GTEX-13NYC-2426-SM-5MR3K
60-69 years, male
2.8
GTEX-14DAQ-0826-SM-73KWT
60-69 years, female
2.8
GTEX-14PJ3-0126-SM-69LQP
50-59 years, male
2.8
GTEX-16MTA-0726-SM-7KUL4
50-59 years, male
2.8
GTEX-Q2AI-0326-SM-2I3EK
40-49 years, male
2.8
GTEX-QEG5-0826-SM-2I5GF
20-29 years, male
2.8
GTEX-11DZ1-2726-SM-5A5KH
50-59 years, male
2.7
GTEX-11EI6-0726-SM-59866
60-69 years, male
2.7
GTEX-131YS-0726-SM-5P9G9
60-69 years, female
2.7
GTEX-139UW-0126-SM-5KM1B
60-69 years, male
2.7
GTEX-14BMU-0226-SM-5S2QA
20-29 years, female
2.7
GTEX-15CHQ-0826-SM-69LOT
60-69 years, male
2.7
GTEX-1BAJH-0926-SM-79OO6
70-79 years, male
2.7
GTEX-TKQ1-0126-SM-33HB3
30-39 years, male
2.7
GTEX-ZF28-0826-SM-4WKGJ
60-69 years, male
2.7
GTEX-ZYVF-1126-SM-5E458
50-59 years, female
2.7
GTEX-ZZ64-0126-SM-5GZXA
20-29 years, male
2.7
GTEX-11OF3-0626-SM-5BC4Y
60-69 years, male
2.6
GTEX-13113-0126-SM-5LZVX
60-69 years, female
2.6
GTEX-14E7W-0926-SM-5YYA4
70-79 years, male
2.6
GTEX-15CHR-1726-SM-7DUGW
50-59 years, male
2.6
GTEX-15G19-0626-SM-6M474
60-69 years, male
2.6
GTEX-16NGA-0326-SM-718AJ
40-49 years, female
2.6
GTEX-1A3MV-0326-SM-73KW7
30-39 years, male
2.6
GTEX-OXRL-2626-SM-2I3F1
50-59 years, male
2.6
GTEX-RU1J-0226-SM-2TF5Y
20-29 years, female
2.6
GTEX-SJXC-0726-SM-2XCFJ
60-69 years, male
2.6
GTEX-12WSC-0826-SM-5EQ5Q
50-59 years, male
2.5
GTEX-132AR-1126-SM-5P9GA
50-59 years, female
2.5
GTEX-13OVI-0826-SM-5KLZ8
60-69 years, female
2.5
GTEX-148VI-0526-SM-5TDDG
60-69 years, female
2.5
GTEX-14ABY-0926-SM-5Q5DY
50-59 years, male
2.5
GTEX-14PJO-0626-SM-6LLHH
60-69 years, male
2.5
GTEX-13PVR-0626-SM-5S2RC
60-69 years, female
2.4
GTEX-145LU-0426-SM-5O9AH
50-59 years, male
2.4
GTEX-14PQA-1226-SM-6M47A
50-59 years, female
2.4
GTEX-N7MS-2326-SM-2HMLD
60-69 years, male
2.4
GTEX-RWS6-0626-SM-2XCAS
60-69 years, female
2.4
GTEX-SN8G-1526-SM-4DM79
50-59 years, female
2.4
GTEX-YF7O-0726-SM-4W213
50-59 years, male
2.4
GTEX-1211K-0726-SM-5FQUW
60-69 years, female
2.3
GTEX-13FHP-0926-SM-5L3EC
50-59 years, male
2.3
GTEX-14PN3-0826-SM-69LOS
60-69 years, female
2.3
GTEX-1C6VR-0426-SM-7IGN6
60-69 years, male
2.3
GTEX-1EN7A-1026-SM-7IGPZ
40-49 years, male
2.3
GTEX-P4QS-2626-SM-2I3EV
60-69 years, male
2.3
GTEX-PWN1-2626-SM-2I3FH
40-49 years, female
2.3
GTEX-PX3G-2626-SM-2I3EG
20-29 years, female
2.3
GTEX-QEL4-0726-SM-3GIJ5
50-59 years, male
2.3
GTEX-R53T-0526-SM-3GADL
50-59 years, female
2.3
GTEX-T2IS-0626-SM-32QP6
20-29 years, female
2.3
GTEX-WFG7-0326-SM-5SI7L
20-29 years, male
2.3
GTEX-XV7Q-0326-SM-4BRVM
40-49 years, female
2.3
GTEX-ZZPU-1326-SM-5GZWS
50-59 years, female
2.3
GTEX-111VG-0526-SM-5N9BW
60-69 years, male
2.2
GTEX-13VXT-0626-SM-5SIA1
20-29 years, female
2.2
GTEX-14ICL-0426-SM-5RQJ3
30-39 years, male
2.2
GTEX-14PN4-1526-SM-6871V
50-59 years, male
2.2
GTEX-14XAO-0426-SM-6AJB6
60-69 years, female
2.2
GTEX-1A8G7-1026-SM-73KVA
60-69 years, male
2.2
GTEX-OIZG-0226-SM-2TC5L
50-59 years, male
2.2
GTEX-REY6-0526-SM-2TF5M
60-69 years, male
2.2
GTEX-YEC4-0626-SM-5CVLU
40-49 years, male
2.2
GTEX-ZVP2-0426-SM-57WC2
50-59 years, male
2.2
GTEX-11VI4-0226-SM-5GU6C
40-49 years, female
2.1
GTEX-11XUK-0226-SM-5EQLW
40-49 years, female
2.1
GTEX-12WSG-0226-SM-5EGIF
50-59 years, female
2.1
GTEX-1399T-0126-SM-5KM15
60-69 years, male
2.1
GTEX-13FHO-0926-SM-5N9EW
60-69 years, male
2.1
GTEX-15FZZ-0226-SM-6LLI4
30-39 years, female
2.1
GTEX-17HHY-0826-SM-7EPID
50-59 years, male
2.1
GTEX-17JCI-0626-SM-7IGM7
60-69 years, female
2.1
GTEX-183WM-2626-SM-7KFRY
70-79 years, female
2.1
GTEX-1CB4H-0126-SM-7IGN2
60-69 years, female
2.1
GTEX-RNOR-0926-SM-2TF56
50-59 years, female
2.1
GTEX-U4B1-0626-SM-3DB8L
40-49 years, male
2.1
GTEX-X4XX-0926-SM-46MV7
60-69 years, male
2.1
GTEX-11GSO-0626-SM-5A5LW
60-69 years, male
2.0
GTEX-11LCK-0526-SM-5A5M9
30-39 years, male
2.0
GTEX-12696-0326-SM-5EGL4
60-69 years, male
2.0
GTEX-132NY-1026-SM-5P9IY
60-69 years, male
2.0
GTEX-13O21-2226-SM-5MR3L
50-59 years, male
2.0
GTEX-13OW8-0126-SM-5IJE5
60-69 years, male
2.0
GTEX-13S86-1126-SM-5RQJX
40-49 years, male
2.0
GTEX-14C38-0826-SM-5S2U8
50-59 years, male
2.0
GTEX-15SHU-0726-SM-7KUFI
40-49 years, female
2.0
GTEX-18A7A-0826-SM-7KFTJ
50-59 years, female
2.0
GTEX-1A8FM-0726-SM-7DUGK
50-59 years, female
2.0
GTEX-1C64N-1026-SM-79ONM
50-59 years, male
2.0
GTEX-V1D1-0926-SM-4JBHQ
50-59 years, male
2.0
GTEX-ZPU1-0426-SM-4WWCA
40-49 years, male
2.0
GTEX-11ZTS-1126-SM-5LU9X
60-69 years, female
1.9
GTEX-139TS-0126-SM-5K7XJ
60-69 years, male
1.9
GTEX-13FLV-0226-SM-5J2OF
50-59 years, male
1.9
GTEX-13OW5-0626-SM-5J2N2
60-69 years, male
1.9
GTEX-147GR-0726-SM-5S2PL
60-69 years, male
1.9
GTEX-14PKV-0626-SM-6AJA2
20-29 years, female
1.9
GTEX-1AX9J-2126-SM-731DD
60-69 years, male
1.9
GTEX-R55G-0726-SM-2TC6J
40-49 years, female
1.9
GTEX-RM2N-0526-SM-2TF4N
50-59 years, male
1.9
GTEX-RU72-0126-SM-2TF6Z
50-59 years, female
1.9
GTEX-W5X1-0426-SM-3GILB
40-49 years, female
1.9
GTEX-WYVS-0326-SM-3NM9V
40-49 years, female
1.9
GTEX-X4XY-0826-SM-4E3JM
60-69 years, male
1.9
GTEX-Y5LM-0626-SM-4V6G4
40-49 years, female
1.9
GTEX-11P81-0126-SM-5HL5Y
30-39 years, female
1.8
GTEX-12584-0826-SM-5FQSK
40-49 years, male
1.8
GTEX-12ZZZ-1226-SM-59HK1
60-69 years, male
1.8
GTEX-13FTW-0626-SM-5IFEX
40-49 years, male
1.8
GTEX-13QJC-0826-SM-5RQKC
60-69 years, female
1.8
GTEX-13RTJ-0326-SM-5YYAE
60-69 years, male
1.8
GTEX-15SB6-1526-SM-7KUMQ
50-59 years, female
1.8
GTEX-17F9E-0626-SM-79ON5
50-59 years, male
1.8
GTEX-1CAMR-0226-SM-7DUGO
20-29 years, male
1.8
GTEX-OHPK-2626-SM-2HMK9
50-59 years, female
1.8
GTEX-RUSQ-1026-SM-2TF6V
50-59 years, male
1.8
GTEX-WY7C-0226-SM-3NB37
50-59 years, male
1.8
GTEX-11ZTT-1026-SM-5EQKF
60-69 years, female
1.7
GTEX-13N11-1026-SM-5K7XQ
50-59 years, female
1.7
GTEX-145LT-0226-SM-5S2QK
40-49 years, male
1.7
GTEX-14JIY-1226-SM-6871R
60-69 years, male
1.7
GTEX-15CHC-0126-SM-5YYBA
60-69 years, female
1.7
GTEX-18D9B-0726-SM-72D6K
60-69 years, male
1.7
GTEX-1C2JI-0326-SM-7EWFD
50-59 years, male
1.7
GTEX-Q2AH-0726-SM-2I3EA
40-49 years, male
1.7
GTEX-VJYA-0426-SM-3GIJK
60-69 years, male
1.7
GTEX-VUSG-0426-SM-3GIKD
50-59 years, male
1.7
GTEX-Y111-1926-SM-4SOIS
50-59 years, male
1.7
GTEX-YEC3-0826-SM-4WWFP
50-59 years, male
1.7
GTEX-ZT9X-0226-SM-51MT2
40-49 years, male
1.7
GTEX-1122O-0226-SM-5N9DA
60-69 years, female
1.6
GTEX-12WSK-0926-SM-5CVNQ
40-49 years, female
1.6
GTEX-15D1Q-0626-SM-6AJAZ
40-49 years, male
1.6
GTEX-16YQH-0326-SM-6LPJV
30-39 years, male
1.6
GTEX-1C4CL-0726-SM-7IGP9
30-39 years, male
1.6
GTEX-1EKGG-0726-SM-7IGPX
60-69 years, male
1.6
GTEX-S7SE-0726-SM-2XCD7
50-59 years, male
1.6
GTEX-ZLFU-0626-SM-4WWBO
40-49 years, male
1.6
GTEX-ZTSS-0226-SM-59877
40-49 years, male
1.6
GTEX-111CU-0226-SM-5GZXC
50-59 years, male
1.5
GTEX-1212Z-0426-SM-5FQT6
60-69 years, male
1.5
GTEX-12ZZY-0826-SM-5EQMT
60-69 years, male
1.5
GTEX-15RJE-1326-SM-6LPI6
40-49 years, male
1.5
GTEX-17HG3-0226-SM-7EWEA
30-39 years, female
1.5
GTEX-P78B-0526-SM-2I5F7
40-49 years, female
1.5
GTEX-XUW1-1026-SM-4BONY
50-59 years, female
1.5
GTEX-XXEK-1326-SM-4BRV1
50-59 years, male
1.5
GTEX-1269C-0226-SM-5EGKS
60-69 years, female
1.4
GTEX-1399R-0126-SM-5IFEV
30-39 years, male
1.4
GTEX-13D11-0226-SM-5LZXL
50-59 years, female
1.4
GTEX-14AS3-0226-SM-5Q5B6
40-49 years, female
1.4
GTEX-15EO6-0126-SM-6LPKJ
50-59 years, male
1.4
GTEX-T8EM-0226-SM-3DB7C
40-49 years, male
1.4
GTEX-WFG8-0426-SM-3GILD
20-29 years, male
1.4
GTEX-WH7G-0526-SM-3NMBI
40-49 years, male
1.4
GTEX-WHSE-0626-SM-4RGNF
20-29 years, male
1.4
GTEX-ZAK1-0726-SM-5HL8Q
50-59 years, female
1.4
GTEX-ZYT6-0426-SM-5GID3
30-39 years, male
1.4
GTEX-113JC-0126-SM-5EGJW
50-59 years, female
1.3
GTEX-1313W-0726-SM-5EGK1
50-59 years, female
1.3
GTEX-13N2G-0726-SM-5MR38
60-69 years, male
1.3
GTEX-14PJM-1326-SM-664NX
50-59 years, female
1.3
GTEX-14PK6-0426-SM-6EU1J
70-79 years, female
1.3
GTEX-16XZZ-0826-SM-7IGM3
60-69 years, male
1.3
GTEX-1CB4I-0726-SM-7DUGS
50-59 years, male
1.3
GTEX-OXRP-0326-SM-33HBJ
60-69 years, female
1.3
GTEX-QXCU-0326-SM-2TC63
50-59 years, male
1.3
GTEX-RN64-0626-SM-2TC5V
50-59 years, male
1.3
GTEX-T5JW-1226-SM-3GACY
20-29 years, female
1.3
GTEX-WOFL-0726-SM-3MJG4
60-69 years, male
1.3
GTEX-Z9EW-0226-SM-5CVM7
40-49 years, male
1.3
GTEX-ZGAY-1026-SM-4WWBR
40-49 years, female
1.3
GTEX-13IVO-0926-SM-5KLZP
70-79 years, male
1.2
GTEX-13OW6-0726-SM-5L3FX
50-59 years, male
1.2
GTEX-13PVQ-0726-SM-5L3GI
50-59 years, male
1.2
GTEX-148VJ-0726-SM-5LU8J
70-79 years, male
1.2
GTEX-183FY-0626-SM-79OKR
20-29 years, male
1.2
GTEX-1AMFI-0526-SM-7189M
50-59 years, female
1.2
GTEX-1B8L1-1626-SM-7IGMH
60-69 years, male
1.2
GTEX-S7SF-0226-SM-5SI7H
20-29 years, female
1.2
GTEX-X8HC-0726-SM-46MWG
50-59 years, female
1.2
GTEX-ZLWG-0526-SM-4WWFB
50-59 years, female
1.2
GTEX-ZYFC-0926-SM-5GZWW
50-59 years, male
1.2
GTEX-ZYFG-0626-SM-5GZYA
60-69 years, female
1.2
GTEX-13JVG-0926-SM-5IJE1
60-69 years, male
1.1
GTEX-13O61-0226-SM-5KM52
60-69 years, male
1.1
GTEX-13OVJ-0626-SM-5J2O2
50-59 years, female
1.1
GTEX-13QJ3-0926-SM-73KX5
50-59 years, male
1.1
GTEX-13U4I-0526-SM-5LU59
40-49 years, female
1.1
GTEX-14A5H-0726-SM-5Q5DW
60-69 years, male
1.1
GTEX-178AV-0726-SM-6LPJI
40-49 years, male
1.1
GTEX-17F9Y-0526-SM-7EWDC
70-79 years, female
1.1
GTEX-17MF6-0626-SM-7LT8D
40-49 years, male
1.1
GTEX-1AX9K-0626-SM-73KVD
50-59 years, male
1.1
GTEX-1AYCT-0226-SM-73KVB
50-59 years, male
1.1
GTEX-PWCY-2326-SM-2I3EQ
20-29 years, female
1.1
GTEX-ZLV1-0126-SM-4WWBZ
60-69 years, female
1.1
GTEX-11EMC-0226-SM-5EGLP
60-69 years, female
1.0
GTEX-13NZ9-1126-SM-5MR37
50-59 years, male
1.0
GTEX-13X6H-0526-SM-5LU4Q
50-59 years, female
1.0
GTEX-14E6C-2626-SM-5RQJP
40-49 years, male
1.0
GTEX-15ER7-0726-SM-7KUMF
20-29 years, female
1.0
GTEX-17EVP-0126-SM-7EPHW
40-49 years, male
1.0
GTEX-18QFQ-0726-SM-7LG6D
30-39 years, male
1.0
GTEX-1AMEY-0126-SM-73KTX
30-39 years, female
1.0
GTEX-1EMGI-0826-SM-7EPHY
60-69 years, male
1.0
GTEX-RWSA-0826-SM-2XCBF
40-49 years, male
1.0
GTEX-TMMY-0826-SM-33HB9
40-49 years, female
1.0
GTEX-YFC4-2626-SM-5P9FQ
40-49 years, female
1.0
GTEX-111FC-1026-SM-5GZX1
60-69 years, male
0.9
GTEX-1399U-0326-SM-5P9G5
50-59 years, female
0.9
GTEX-13OVG-0226-SM-5LU93
60-69 years, male
0.9
GTEX-16NPX-1426-SM-6LPK3
50-59 years, male
0.9
GTEX-17HGU-0826-SM-7EWE5
50-59 years, male
0.9
GTEX-W5WG-1426-SM-4KKZP
50-59 years, female
0.9
GTEX-XUZC-0126-SM-4BOO6
30-39 years, female
0.9
GTEX-Y3I4-0226-SM-4TT27
50-59 years, male
0.9
GTEX-YB5E-0626-SM-4VDSE
40-49 years, male
0.9
GTEX-ZYY3-1926-SM-5GZXS
60-69 years, female
0.9
GTEX-11EQ9-0626-SM-5A5K1
30-39 years, male
0.8
GTEX-11ZVC-0126-SM-5986G
50-59 years, female
0.8
GTEX-13111-0226-SM-5EQ55
50-59 years, male
0.8
GTEX-139YR-1226-SM-5IFEU
50-59 years, male
0.8
GTEX-13OVK-0226-SM-6M472
40-49 years, male
0.8
GTEX-145ME-0126-SM-5S2QM
40-49 years, female
0.8
GTEX-18D9A-0126-SM-7KFSI
30-39 years, female
0.8
GTEX-Q2AG-0826-SM-2HMKF
40-49 years, female
0.8
GTEX-QDVN-0626-SM-2I3FP
50-59 years, male
0.8
GTEX-V955-0426-SM-3GAEL
60-69 years, male
0.8
GTEX-WL46-0126-SM-3TW8I
50-59 years, male
0.8
GTEX-11EQ8-0826-SM-5N9FG
60-69 years, male
0.7
GTEX-11TT1-1126-SM-5P9GV
20-29 years, male
0.7
GTEX-11UD2-0626-SM-5GU6L
50-59 years, male
0.7
GTEX-16MT8-0626-SM-6M47Q
60-69 years, female
0.7
GTEX-OIZI-0726-SM-2XCEI
40-49 years, male
0.7
GTEX-Q734-0526-SM-2I3EH
40-49 years, female
0.7
GTEX-RTLS-0626-SM-5SI7Z
60-69 years, female
0.7
GTEX-U3ZM-0126-SM-3DB8M
40-49 years, male
0.7
GTEX-ZVT3-0726-SM-5GICN
60-69 years, female
0.7
GTEX-ZYW4-1126-SM-5SI99
60-69 years, male
0.7
GTEX-11I78-0526-SM-5986A
50-59 years, female
0.6
GTEX-131XG-0226-SM-5IFG1
50-59 years, female
0.6
GTEX-139T6-0326-SM-5J2LY
50-59 years, male
0.6
GTEX-14PJ6-0326-SM-6871H
60-69 years, female
0.6
GTEX-15ETS-0526-SM-6PAN3
40-49 years, female
0.6
GTEX-169BO-0326-SM-7EPIM
50-59 years, male
0.6
GTEX-QLQ7-0726-SM-2I5G2
60-69 years, male
0.6
GTEX-ZVZP-1026-SM-5GICI
50-59 years, male
0.6
GTEX-ZVZQ-0626-SM-59HJU
60-69 years, female
0.6
GTEX-11EM3-0126-SM-5985K
20-29 years, female
0.5
GTEX-11P7K-0226-SM-5986Z
30-39 years, male
0.5
GTEX-12WSN-0726-SM-5GCMS
40-49 years, male
0.5
GTEX-13QBU-0626-SM-5J2OG
40-49 years, female
0.5
GTEX-14ICK-1626-SM-6ETZX
40-49 years, male
0.5
GTEX-1AX8Z-0826-SM-7DUFZ
60-69 years, male
0.5
GTEX-SE5C-0726-SM-4BRWY
40-49 years, female
0.5
GTEX-T6MO-0226-SM-32QOL
40-49 years, female
0.5
GTEX-WFJO-0226-SM-3GIKW
30-39 years, male
0.5
GTEX-111YS-0726-SM-5GZY8
60-69 years, male
0.4
GTEX-15DCZ-1226-SM-6871P
20-29 years, female
0.4
GTEX-1B8SF-0626-SM-73KVV
60-69 years, male
0.4
GTEX-PLZ4-1226-SM-2I5FE
50-59 years, female
0.4
GTEX-U3ZN-0326-SM-3DB86
30-39 years, female
0.4
GTEX-ZQG8-0926-SM-57WFF
60-69 years, female
0.4
GTEX-ZTX8-0626-SM-59HKC
20-29 years, male
0.4
GTEX-11O72-2326-SM-5BC7H
40-49 years, male
0.3
GTEX-15RIE-0426-SM-7KUMH
60-69 years, male
0.3
GTEX-16XZY-0726-SM-79OMU
70-79 years, male
0.3
GTEX-QV31-0726-SM-3GAEG
30-39 years, male
0.3
GTEX-ZY6K-0226-SM-5SIAY
50-59 years, male
0.3
GTEX-133LE-0326-SM-5P9G4
20-29 years, female
0.2
GTEX-QDVJ-0226-SM-2I5FV
50-59 years, male
0.2
GTEX-WEY5-0526-SM-3GIKZ
40-49 years, female
0.1
GTEX-S341-0226-SM-5S2VG
40-49 years, female
0.0
Show allShow less
THYROID GLAND - FANTOM5 CAGEi
RNA expression in human tissues obtained through Cap Analysis of Gene Expression (CAGE) generated by the FANTOM5 project are reported as Scaled Tags Per Million.