We use cookies to enhance the usability of our website. If you continue, we'll assume that you are happy to receive all cookies. More information. Don't show this again.
On the top, protein expression in current human tissue, based on all annotated cell types, is reported with the units not detected (n), low (l), medium (m) and high (h). Underneath, protein expression in each annotated cell type are reported using the same units.
Protein expression data is based on knowledge-based annotation. For genes where more than one antibody has been used, a collective score is set.
If knowledge-based annotation could not be performed for a gene, no data is displayed here. View antibody staining data further down this page.
A summary of mRNA expression data available for current tissue based on several datasets. The mRNA expression levels in human tissues are based on RNA-seq data generated by the Human Protein Atlas (HPA), Genotype-Tissue Expression (GTEx) portal and CAGE data generated by the FANTOM5 consortium. Consensus normalized expression (NX) levels for human tissues was created by combining the data from these three transcriptomics datasets (HPA, GTEx and FANTOM5).
The mRNA expression levels in pig are based on RNA-seq data generated by the Human Protein Atlas (HPA), and for mouse, HPA data and in situ hybridization generated by the Allen brain atlas are reported.
Scroll down to view mRNA expression data in more detail.
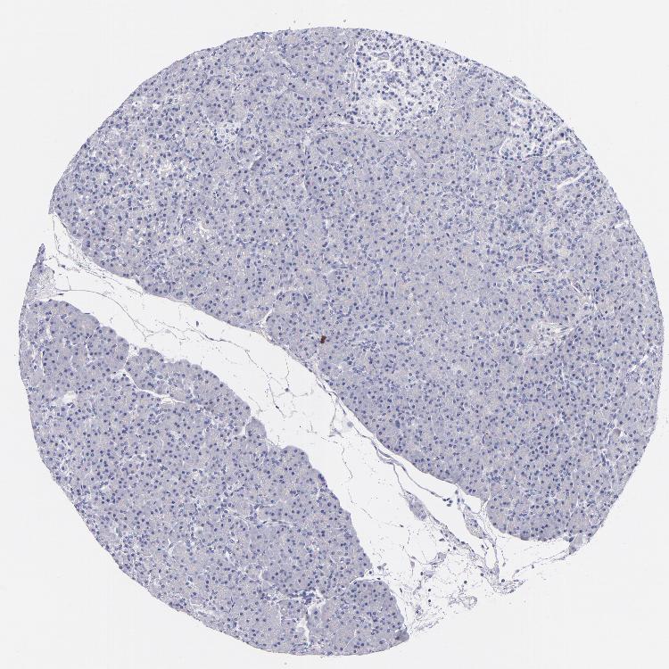
Antibody staining in the annotated cell types in the current human tissue is reported as not detected, low, medium, or high. This score is based on the staining intensity and fraction of stained cells.
The RNA-seq details section shows detailed information about the individual samples used for the transcript profiling and results of the RNA-seq analysis.
Information about each individual sample is listed below, including gender, age, a tissue section image and estimated fractions of cell types. pTPM (transcripts per million) values give a quantification of the gene abundance which is comparable between different genes and samples.
RNA-Seq data generated by the Genotype-Tissue Expression (GTEx) project from human tissues is reported as average pTPM. More information can be found on the GTEx portal.
Distribution across the dataset is visualized with box plots, shown as median and 25th and 75th percentiles. Points are displayed as outliers if they are above or below 1.5 times the interquartile range. pTPM values of the individual samples are presented next to the box plot.
Max pTPM: 1.0
Min pTPM: 0.0
Std pTPM: 0.1
Median pTPM: 0.3
GTEX-1B8KZ-0926-SM-731D7
50-59 years, male
1.0
GTEX-178AV-0226-SM-793B7
40-49 years, male
0.9
GTEX-17HHE-0526-SM-7DUGR
50-59 years, male
0.8
GTEX-14BMU-0726-SM-73KXS
20-29 years, female
0.7
GTEX-1C64O-1426-SM-7EWER
60-69 years, male
0.7
GTEX-1CB4F-1226-SM-7DHKU
60-69 years, male
0.7
GTEX-QV44-0426-SM-4R1KF
50-59 years, male
0.7
GTEX-ZAB5-0826-SM-5P9FU
50-59 years, male
0.7
GTEX-11TT1-0326-SM-5LUAY
20-29 years, male
0.6
GTEX-1399R-0426-SM-5IJE3
30-39 years, male
0.6
GTEX-13PL7-2226-SM-5L3IC
60-69 years, female
0.6
GTEX-146FQ-1526-SM-5Q5CX
30-39 years, male
0.6
GTEX-14PJ2-1526-SM-686Z4
50-59 years, male
0.6
GTEX-14PJO-1826-SM-69LPR
60-69 years, male
0.6
GTEX-15RIF-0626-SM-6LLI3
20-29 years, male
0.6
GTEX-1AX8Z-1726-SM-731DE
60-69 years, male
0.6
GTEX-1C4CL-0926-SM-79OL2
30-39 years, male
0.6
GTEX-OOBJ-1026-SM-3NB2L
60-69 years, male
0.6
GTEX-PX3G-1026-SM-48TZW
20-29 years, female
0.6
GTEX-131XF-1426-SM-5BC68
60-69 years, male
0.5
GTEX-132AR-1826-SM-5EGHR
50-59 years, female
0.5
GTEX-13CF3-1026-SM-5LZWY
60-69 years, female
0.5
GTEX-13VXT-1226-SM-5LU3M
20-29 years, female
0.5
GTEX-145MN-1426-SM-5SI9H
30-39 years, male
0.5
GTEX-1497J-0426-SM-5Q5CO
60-69 years, male
0.5
GTEX-14PHX-2026-SM-6872C
50-59 years, male
0.5
GTEX-15DYW-1626-SM-6LLI1
60-69 years, female
0.5
GTEX-15SDE-0826-SM-6M463
50-59 years, female
0.5
GTEX-18A66-2126-SM-7189D
60-69 years, male
0.5
GTEX-1AYCT-1226-SM-7EPGH
50-59 years, male
0.5
GTEX-1AYD5-0326-SM-7EWEO
50-59 years, male
0.5
GTEX-1B932-1626-SM-731EA
40-49 years, female
0.5
GTEX-TML8-0526-SM-32QOQ
40-49 years, female
0.5
GTEX-WHPG-0326-SM-4M1XV
50-59 years, male
0.5
GTEX-Y5V5-1026-SM-5LUAH
60-69 years, female
0.5
GTEX-ZEX8-1026-SM-4WKHE
50-59 years, male
0.5
GTEX-ZP4G-0426-SM-4YCER
20-29 years, female
0.5
GTEX-111CU-0526-SM-5EGHK
50-59 years, male
0.4
GTEX-11EQ9-1026-SM-5H134
30-39 years, male
0.4
GTEX-11P7K-0526-SM-5BC5I
30-39 years, male
0.4
GTEX-12WSK-0226-SM-5BC62
40-49 years, female
0.4
GTEX-139YR-1526-SM-5IFJ1
50-59 years, male
0.4
GTEX-13FH7-1426-SM-5IFIC
50-59 years, female
0.4
GTEX-13U4I-1526-SM-5IFFF
40-49 years, female
0.4
GTEX-14E6E-1426-SM-5RQI2
30-39 years, male
0.4
GTEX-14PJN-1526-SM-6AJBP
30-39 years, male
0.4
GTEX-15ER7-1326-SM-6LPK9
20-29 years, female
0.4
GTEX-15RJ7-0826-SM-6LLI8
40-49 years, male
0.4
GTEX-17F98-0426-SM-79ONZ
40-49 years, female
0.4
GTEX-17F9E-1426-SM-793BG
50-59 years, male
0.4
GTEX-18A6Q-1726-SM-7LT9A
60-69 years, male
0.4
GTEX-1AMFI-0726-SM-731D9
50-59 years, female
0.4
GTEX-1B933-1726-SM-731FC
50-59 years, female
0.4
GTEX-P4PP-1026-SM-3NM9O
30-39 years, female
0.4
GTEX-Q2AI-0426-SM-48U13
40-49 years, male
0.4
GTEX-R53T-0426-SM-48FEM
50-59 years, female
0.4
GTEX-S32W-0826-SM-4AD5Z
50-59 years, female
0.4
GTEX-S33H-1226-SM-4AD69
30-39 years, male
0.4
GTEX-UJMC-1126-SM-3GADP
50-59 years, male
0.4
GTEX-VJYA-0826-SM-4KL1M
60-69 years, male
0.4
GTEX-VUSG-0326-SM-3GIJ7
50-59 years, male
0.4
GTEX-WYVS-0926-SM-4SOJV
40-49 years, female
0.4
GTEX-XMK1-0326-SM-4B652
40-49 years, male
0.4
GTEX-XPVG-0326-SM-4B653
50-59 years, male
0.4
GTEX-XQ8I-1926-SM-4BOOK
50-59 years, male
0.4
GTEX-Y8E4-1326-SM-5IFIY
40-49 years, male
0.4
GTEX-ZAK1-2326-SM-5CVMY
50-59 years, female
0.4
GTEX-ZDTT-1126-SM-4WKFW
60-69 years, male
0.4
GTEX-ZF3C-2026-SM-4WWB5
50-59 years, female
0.4
GTEX-ZLWG-0326-SM-4WWC7
50-59 years, female
0.4
GTEX-1128S-0826-SM-5GZZI
60-69 years, female
0.3
GTEX-117YX-0226-SM-5EGH6
50-59 years, male
0.3
GTEX-11NSD-0526-SM-5A5LT
20-29 years, male
0.3
GTEX-11ONC-0526-SM-5BC57
60-69 years, male
0.3
GTEX-11VI4-0426-SM-5EGHZ
40-49 years, female
0.3
GTEX-12WSD-1626-SM-5GCNR
60-69 years, female
0.3
GTEX-1399U-0926-SM-5IFHA
50-59 years, female
0.3
GTEX-13FLV-0626-SM-5IFEY
50-59 years, male
0.3
GTEX-13FTW-0526-SM-5IFIP
40-49 years, male
0.3
GTEX-13FTX-1226-SM-5IFGN
20-29 years, female
0.3
GTEX-13O61-2126-SM-5IJEO
60-69 years, male
0.3
GTEX-144GN-0826-SM-5LU5G
50-59 years, male
0.3
GTEX-146FR-0126-SM-5Q5F3
60-69 years, female
0.3
GTEX-14ICL-1126-SM-5S2RE
30-39 years, male
0.3
GTEX-14JG6-0426-SM-68715
30-39 years, female
0.3
GTEX-14PJ3-0426-SM-6LLHF
50-59 years, male
0.3
GTEX-14PJ6-0926-SM-686ZA
60-69 years, female
0.3
GTEX-15EU6-1126-SM-68721
50-59 years, male
0.3
GTEX-15FZZ-0626-SM-7KFTO
30-39 years, female
0.3
GTEX-15UKP-1326-SM-6LPI8
20-29 years, male
0.3
GTEX-16MT8-1726-SM-7EWE7
60-69 years, female
0.3
GTEX-17KNJ-1926-SM-7KFRV
50-59 years, male
0.3
GTEX-18A7A-1726-SM-7LT93
50-59 years, female
0.3
GTEX-1B97J-1526-SM-79ONI
50-59 years, female
0.3
GTEX-1C2JI-0926-SM-731F1
50-59 years, male
0.3
GTEX-1C6VQ-1726-SM-7IGLQ
50-59 years, male
0.3
GTEX-1CAMS-1926-SM-7DUEU
40-49 years, female
0.3
GTEX-1CB4I-1326-SM-79OLY
50-59 years, male
0.3
GTEX-O5YT-1026-SM-3MJGF
20-29 years, male
0.3
GTEX-OHPM-1026-SM-3LK74
50-59 years, male
0.3
GTEX-PLZ6-0726-SM-3P619
30-39 years, male
0.3
GTEX-PW2O-0826-SM-48TC5
20-29 years, male
0.3
GTEX-Q734-0426-SM-48TZX
40-49 years, female
0.3
GTEX-QCQG-0426-SM-48U29
50-59 years, female
0.3
GTEX-QDVJ-1226-SM-48U1V
50-59 years, male
0.3
GTEX-QDVN-0926-SM-2I5GL
50-59 years, male
0.3
GTEX-QLQ7-0626-SM-4R1JT
60-69 years, male
0.3
GTEX-R55D-1426-SM-48FEN
50-59 years, male
0.3
GTEX-R55G-0326-SM-48FDM
40-49 years, female
0.3
GTEX-S3XE-0526-SM-4AD4G
50-59 years, male
0.3
GTEX-S4P3-0626-SM-4AD59
50-59 years, female
0.3
GTEX-SE5C-0326-SM-4BRWX
40-49 years, female
0.3
GTEX-SNOS-0926-SM-4DM7A
40-49 years, male
0.3
GTEX-T5JW-0226-SM-4DM7I
20-29 years, female
0.3
GTEX-TKQ2-0426-SM-4DXUO
50-59 years, male
0.3
GTEX-UJHI-0626-SM-3DB8T
50-59 years, female
0.3
GTEX-WFG8-0326-SM-4LVN4
20-29 years, male
0.3
GTEX-WRHK-0226-SM-4MVOH
20-29 years, female
0.3
GTEX-WY7C-1026-SM-4OND3
50-59 years, male
0.3
GTEX-WYJK-2426-SM-4ONDQ
50-59 years, male
0.3
GTEX-X15G-0726-SM-4PQZ5
50-59 years, female
0.3
GTEX-XBED-0226-SM-47JY8
60-69 years, male
0.3
GTEX-XGQ4-0226-SM-4GIDS
50-59 years, male
0.3
GTEX-XV7Q-0926-SM-4BRVQ
40-49 years, female
0.3
GTEX-XXEK-1726-SM-4BRVB
50-59 years, male
0.3
GTEX-Y3I4-0826-SM-4TT2A
50-59 years, male
0.3
GTEX-Y3IK-0426-SM-4WWE2
50-59 years, female
0.3
GTEX-Y5LM-0526-SM-4V6G3
40-49 years, female
0.3
GTEX-YB5E-0526-SM-4VDSD
40-49 years, male
0.3
GTEX-YEC3-0626-SM-5IFHZ
50-59 years, male
0.3
GTEX-YFCO-1026-SM-5LU9S
40-49 years, male
0.3
GTEX-ZC5H-0826-SM-5N9FH
40-49 years, female
0.3
GTEX-ZDYS-2526-SM-4WKGU
50-59 years, male
0.3
GTEX-ZPU1-0226-SM-4WWC9
40-49 years, male
0.3
GTEX-ZTPG-1026-SM-5DUWP
20-29 years, female
0.3
GTEX-ZVP2-0726-SM-59HKY
50-59 years, male
0.3
GTEX-ZVT2-2026-SM-5NQ8Q
50-59 years, female
0.3
GTEX-ZYY3-0826-SM-5E44R
60-69 years, female
0.3
GTEX-ZZPU-0726-SM-5N9C8
50-59 years, female
0.3
GTEX-1122O-0726-SM-5GIEV
60-69 years, female
0.2
GTEX-11LCK-0226-SM-5A5M6
30-39 years, male
0.2
GTEX-1211K-1126-SM-5EGGB
60-69 years, female
0.2
GTEX-12WSN-0826-SM-5GCOF
40-49 years, male
0.2
GTEX-131XE-1926-SM-5IFER
50-59 years, male
0.2
GTEX-131XG-1426-SM-5GCMO
50-59 years, female
0.2
GTEX-1339X-1026-SM-5IFH5
40-49 years, male
0.2
GTEX-13D11-2226-SM-5IFEO
50-59 years, female
0.2
GTEX-13O1R-1826-SM-5KM3B
60-69 years, male
0.2
GTEX-13SLX-1326-SM-5S2QS
50-59 years, female
0.2
GTEX-13W3W-1026-SM-5IFG4
60-69 years, female
0.2
GTEX-144GM-0726-SM-79OJQ
20-29 years, male
0.2
GTEX-145ME-0326-SM-5S2QO
40-49 years, female
0.2
GTEX-145MO-2126-SM-5Q5CZ
60-69 years, male
0.2
GTEX-148VI-0826-SM-5TDDI
60-69 years, female
0.2
GTEX-14C39-1026-SM-73KWG
40-49 years, male
0.2
GTEX-14DAR-0526-SM-664MX
50-59 years, male
0.2
GTEX-14PHY-1126-SM-664OR
60-69 years, female
0.2
GTEX-14PJ4-0726-SM-6872E
60-69 years, male
0.2
GTEX-14PJM-2126-SM-6AJAS
50-59 years, female
0.2
GTEX-14PK6-1026-SM-664NZ
70-79 years, female
0.2
GTEX-14PKV-0926-SM-6AJB4
20-29 years, female
0.2
GTEX-14PN3-0126-SM-6AJAU
60-69 years, female
0.2
GTEX-15SHV-1526-SM-6LLIB
60-69 years, male
0.2
GTEX-15UF6-1826-SM-6LLI9
70-79 years, female
0.2
GTEX-15UF7-0826-SM-6M46E
40-49 years, male
0.2
GTEX-18A67-1726-SM-7KFT9
50-59 years, male
0.2
GTEX-18D9U-1626-SM-7KFTW
40-49 years, male
0.2
GTEX-1A3MW-1926-SM-7IGM8
60-69 years, female
0.2
GTEX-1AX9K-2026-SM-731D1
50-59 years, male
0.2
GTEX-NPJ8-2126-SM-3MJGK
40-49 years, male
0.2
GTEX-OHPL-1026-SM-3MJGI
60-69 years, female
0.2
GTEX-OOBK-1026-SM-48TC2
40-49 years, male
0.2
GTEX-P4PQ-1026-SM-3NMCN
60-69 years, male
0.2
GTEX-PSDG-1526-SM-48TCY
50-59 years, male
0.2
GTEX-QEL4-1326-SM-447AD
50-59 years, male
0.2
GTEX-QLQW-0326-SM-447A8
30-39 years, male
0.2
GTEX-QMRM-0326-SM-4R1K5
50-59 years, male
0.2
GTEX-RM2N-0326-SM-48FD8
50-59 years, male
0.2
GTEX-T8EM-0826-SM-4DM76
40-49 years, male
0.2
GTEX-TMMY-1326-SM-4DXU9
40-49 years, female
0.2
GTEX-U4B1-0726-SM-4DXUA
40-49 years, male
0.2
GTEX-U8XE-2026-SM-3DB8S
30-39 years, male
0.2
GTEX-V1D1-0726-SM-4JBH7
50-59 years, male
0.2
GTEX-WFG7-0426-SM-4LMK5
20-29 years, male
0.2
GTEX-WFJO-0626-SM-4LVMC
30-39 years, male
0.2
GTEX-WH7G-0826-SM-4LVMR
40-49 years, male
0.2
GTEX-WHSB-0726-SM-4M1XQ
50-59 years, male
0.2
GTEX-WQUQ-2126-SM-4OOSO
60-69 years, male
0.2
GTEX-WXYG-0826-SM-4ONC7
50-59 years, female
0.2
GTEX-X3Y1-0726-SM-3P5YU
40-49 years, male
0.2
GTEX-X4LF-0326-SM-4QAS9
50-59 years, male
0.2
GTEX-X5EB-0526-SM-46MVP
40-49 years, male
0.2
GTEX-XBEW-1626-SM-4SOJP
40-49 years, male
0.2
GTEX-XUW1-1726-SM-4BOOZ
50-59 years, female
0.2
GTEX-XYKS-1226-SM-4BRVI
60-69 years, female
0.2
GTEX-Y8LW-1026-SM-5IFJY
50-59 years, female
0.2
GTEX-Y9LG-0726-SM-4VDS3
30-39 years, male
0.2
GTEX-YF7O-1326-SM-4W1ZR
50-59 years, male
0.2
GTEX-ZG7Y-0326-SM-4WWEY
50-59 years, male
0.2
GTEX-ZLFU-0726-SM-57WF6
40-49 years, male
0.2
GTEX-ZV7C-0726-SM-59HKH
50-59 years, male
0.2
GTEX-ZVZP-0626-SM-59HL5
50-59 years, male
0.2
GTEX-ZYFG-0826-SM-5BC5T
60-69 years, female
0.2
GTEX-111YS-1226-SM-5EGGJ
60-69 years, male
0.1
GTEX-11DXX-0926-SM-5H112
60-69 years, female
0.1
GTEX-11GSP-0426-SM-5A5KX
60-69 years, female
0.1
GTEX-11I78-0626-SM-5A5LZ
50-59 years, female
0.1
GTEX-11XUK-0626-SM-5N9ES
40-49 years, female
0.1
GTEX-12BJ1-1126-SM-5EGGG
60-69 years, male
0.1
GTEX-12WSG-1026-SM-5EGII
50-59 years, female
0.1
GTEX-12WSL-0426-SM-5GCNX
50-59 years, male
0.1
GTEX-132QS-0926-SM-5P9GB
60-69 years, male
0.1
GTEX-1399S-0326-SM-5IFFS
30-39 years, female
0.1
GTEX-13N11-0226-SM-5KM3C
50-59 years, female
0.1
GTEX-13PVR-0726-SM-5S2PX
60-69 years, female
0.1
GTEX-13YAN-2126-SM-5Q5C4
60-69 years, male
0.1
GTEX-144FL-1526-SM-5Q5CA
50-59 years, male
0.1
GTEX-14AS3-0326-SM-5Q5DB
40-49 years, female
0.1
GTEX-14PKU-0626-SM-6EU1Q
40-49 years, female
0.1
GTEX-14PN4-1626-SM-6AJB5
50-59 years, male
0.1
GTEX-17HGU-2026-SM-79OKS
50-59 years, male
0.1
GTEX-17MF6-1426-SM-7IGOX
40-49 years, male
0.1
GTEX-1AX9J-1726-SM-731FF
60-69 years, male
0.1
GTEX-1B8KE-0726-SM-72D7G
50-59 years, male
0.1
GTEX-1B996-1326-SM-731EO
60-69 years, male
0.1
GTEX-1F5PL-0726-SM-7MKH8
40-49 years, female
0.1
GTEX-NFK9-1626-SM-3LK5J
40-49 years, male
0.1
GTEX-P4QS-1026-SM-3NMCW
60-69 years, male
0.1
GTEX-Q2AH-0926-SM-48TZK
40-49 years, male
0.1
GTEX-QESD-0226-SM-447BH
20-29 years, male
0.1
GTEX-QV31-0226-SM-447BO
30-39 years, male
0.1
GTEX-RWS6-1126-SM-47JXC
60-69 years, female
0.1
GTEX-S95S-0726-SM-4B64H
60-69 years, male
0.1
GTEX-V955-0326-SM-4JBGV
60-69 years, male
0.1
GTEX-W5WG-0826-SM-4RGNE
50-59 years, female
0.1
GTEX-WFON-0626-SM-4LVLX
40-49 years, male
0.1
GTEX-WHWD-0726-SM-4OORX
50-59 years, male
0.1
GTEX-WI4N-1826-SM-4OOSF
40-49 years, female
0.1
GTEX-Y114-0826-SM-4TT77
50-59 years, female
0.1
GTEX-YB5K-1826-SM-5IFJC
40-49 years, female
0.1
GTEX-YEC4-1326-SM-5IFHG
40-49 years, male
0.1
GTEX-ZAB4-1726-SM-5HL8C
40-49 years, male
0.1
GTEX-ZF29-1126-SM-4WKGO
60-69 years, female
0.1
GTEX-ZPIC-0926-SM-4WWFK
40-49 years, female
0.1
GTEX-ZT9W-0926-SM-57WFS
50-59 years, male
0.1
GTEX-13OVI-0526-SM-5IFFQ
60-69 years, female
0.0
GTEX-13X6H-0626-SM-5LU53
50-59 years, female
0.0
GTEX-ZYW4-2126-SM-59HJ9
60-69 years, male
0.0
Show allShow less
PANCREAS - FANTOM5 CAGEi
RNA expression in human tissues obtained through Cap Analysis of Gene Expression (CAGE) generated by the FANTOM5 project are reported as Scaled Tags Per Million.