We use cookies to enhance the usability of our website. If you continue, we'll assume that you are happy to receive all cookies. More information. Don't show this again.
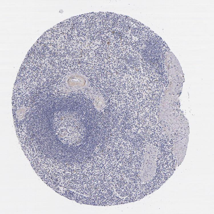
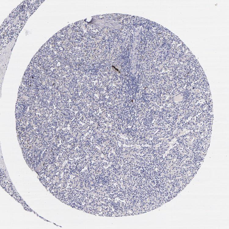
On the top, protein expression in current human tissue, based on all annotated cell types, is reported with the units not detected (n), low (l), medium (m) and high (h). Underneath, protein expression in each annotated cell type are reported using the same units.
Protein expression data is based on knowledge-based annotation. For genes where more than one antibody has been used, a collective score is set.
If knowledge-based annotation could not be performed for a gene, no data is displayed here. View antibody staining data further down this page.
A summary of mRNA expression data available for current tissue based on several datasets. The mRNA expression levels in human tissues are based on RNA-seq data generated by the Human Protein Atlas (HPA), Genotype-Tissue Expression (GTEx) portal and CAGE data generated by the FANTOM5 consortium. Consensus normalized expression (NX) levels for human tissues was created by combining the data from these three transcriptomics datasets (HPA, GTEx and FANTOM5).
The mRNA expression levels in pig are based on RNA-seq data generated by the Human Protein Atlas (HPA), and for mouse, HPA data and in situ hybridization generated by the Allen brain atlas are reported.
Scroll down to view mRNA expression data in more detail.
Antibody staining in the annotated cell types in the current human tissue is reported as not detected, low, medium, or high. This score is based on the staining intensity and fraction of stained cells.
The RNA-seq details section shows detailed information about the individual samples used for the transcript profiling and results of the RNA-seq analysis.
Information about each individual sample is listed below, including gender, age, a tissue section image and estimated fractions of cell types. pTPM (transcripts per million) values give a quantification of the gene abundance which is comparable between different genes and samples.
RNA-Seq data generated by the Genotype-Tissue Expression (GTEx) project from human tissues is reported as average pTPM. More information can be found on the GTEx portal.
Distribution across the dataset is visualized with box plots, shown as median and 25th and 75th percentiles. Points are displayed as outliers if they are above or below 1.5 times the interquartile range. pTPM values of the individual samples are presented next to the box plot.
Max pTPM: 0.2
Min pTPM: 0.0
Std pTPM: 0.0
Median pTPM: 0.0
GTEX-ZVP2-0526-SM-51MSC
50-59 years, male
0.2
GTEX-111CU-0426-SM-5GZY1
50-59 years, male
0.0
GTEX-111FC-1326-SM-5N9D9
60-69 years, male
0.0
GTEX-1122O-0526-SM-5N9DM
60-69 years, female
0.0
GTEX-117YX-2126-SM-5GIEL
50-59 years, male
0.0
GTEX-11DXX-0726-SM-5H12X
60-69 years, female
0.0
GTEX-11EQ9-0426-SM-5A5JY
30-39 years, male
0.0
GTEX-11LCK-0126-SM-5A5M5
30-39 years, male
0.0
GTEX-11NSD-0426-SM-5N9CR
20-29 years, male
0.0
GTEX-11P7K-0426-SM-5BC5H
30-39 years, male
0.0
GTEX-11P81-1326-SM-5GU5S
30-39 years, female
0.0
GTEX-11VI4-0126-SM-5GU6Z
40-49 years, female
0.0
GTEX-11XUK-0426-SM-5EQML
40-49 years, female
0.0
GTEX-1211K-0426-SM-5FQTP
60-69 years, female
0.0
GTEX-12BJ1-0726-SM-5EGGF
60-69 years, male
0.0
GTEX-12WSD-1726-SM-5GCN4
60-69 years, female
0.0
GTEX-12WSG-0926-SM-5EGIH
50-59 years, female
0.0
GTEX-12WSJ-0526-SM-5GCOZ
40-49 years, female
0.0
GTEX-12WSK-0126-SM-5GCO7
40-49 years, female
0.0
GTEX-12WSN-0126-SM-5DUX5
40-49 years, male
0.0
GTEX-13111-0126-SM-5EGHO
50-59 years, male
0.0
GTEX-131XE-1126-SM-5EGHW
50-59 years, male
0.0
GTEX-131XG-0426-SM-5IFGD
50-59 years, female
0.0
GTEX-132QS-0226-SM-5IFFZ
60-69 years, male
0.0
GTEX-1399R-0226-SM-5IJGG
30-39 years, male
0.0
GTEX-1399S-0226-SM-5IFFG
30-39 years, female
0.0
GTEX-139T6-0226-SM-5IFGZ
50-59 years, male
0.0
GTEX-139YR-0426-SM-5IFFV
50-59 years, male
0.0
GTEX-13CF3-0226-SM-5J1NW
60-69 years, female
0.0
GTEX-13FH7-1326-SM-5IFG8
50-59 years, female
0.0
GTEX-13N11-0126-SM-5KM2Z
50-59 years, female
0.0
GTEX-13OVK-0426-SM-7KFT8
40-49 years, male
0.0
GTEX-13PL7-1126-SM-5MR5O
60-69 years, female
0.0
GTEX-13PVR-0326-SM-5RQJY
60-69 years, female
0.0
GTEX-13S86-0126-SM-5S2PI
40-49 years, male
0.0
GTEX-13U4I-1626-SM-5IFFR
40-49 years, female
0.0
GTEX-13VXT-1326-SM-5LU3Y
20-29 years, female
0.0
GTEX-13X6H-0726-SM-5Q5BX
50-59 years, female
0.0
GTEX-144GN-2126-SM-5O99D
50-59 years, male
0.0
GTEX-145MN-0126-SM-5RQHY
30-39 years, male
0.0
GTEX-146FQ-0626-SM-5LU9U
30-39 years, male
0.0
GTEX-146FR-1926-SM-5NQA6
60-69 years, female
0.0
GTEX-147F3-0126-SM-5NQBJ
50-59 years, female
0.0
GTEX-14BMU-0426-SM-73KYT
20-29 years, female
0.0
GTEX-14DAR-0326-SM-5S2PS
50-59 years, male
0.0
GTEX-14E1K-0126-SM-664NL
50-59 years, male
0.0
GTEX-14E6E-1226-SM-5S2R5
30-39 years, male
0.0
GTEX-14ICL-0126-SM-664NG
30-39 years, male
0.0
GTEX-14JG6-0226-SM-6872A
30-39 years, female
0.0
GTEX-14PJ4-0526-SM-6871G
60-69 years, male
0.0
GTEX-14PJ5-0326-SM-664OD
60-69 years, female
0.0
GTEX-14PJ6-0226-SM-6AJ9K
60-69 years, female
0.0
GTEX-14PK6-0526-SM-69LOF
70-79 years, female
0.0
GTEX-14PKU-0526-SM-6871A
40-49 years, female
0.0
GTEX-14PN3-0226-SM-6871K
60-69 years, female
0.0
GTEX-15CHC-0726-SM-6AJ9D
60-69 years, female
0.0
GTEX-15CHQ-1226-SM-6ETZL
60-69 years, male
0.0
GTEX-15DYW-1426-SM-6LPIW
60-69 years, female
0.0
GTEX-15DZA-0126-SM-6PAMV
30-39 years, female
0.0
GTEX-15ER7-1526-SM-6LLHO
20-29 years, female
0.0
GTEX-15ETS-3126-SM-6LPKN
40-49 years, female
0.0
GTEX-15F5U-0126-SM-6LPKA
40-49 years, male
0.0
GTEX-15RIF-0526-SM-6LLI2
20-29 years, male
0.0
GTEX-15RIG-0126-SM-6PAN4
40-49 years, male
0.0
GTEX-15RJ7-0126-SM-6LPJN
40-49 years, male
0.0
GTEX-15SB6-0126-SM-6LPJR
50-59 years, female
0.0
GTEX-15SDE-0126-SM-793BA
50-59 years, female
0.0
GTEX-15SHV-0126-SM-6LPIS
60-69 years, male
0.0
GTEX-15UF7-1926-SM-6LPJT
40-49 years, male
0.0
GTEX-169BO-0126-SM-79OLS
50-59 years, male
0.0
GTEX-16MT8-1826-SM-7EWE8
60-69 years, female
0.0
GTEX-16XZY-0126-SM-7IGQ9
70-79 years, male
0.0
GTEX-17F96-1426-SM-7IGQA
70-79 years, male
0.0
GTEX-17F9E-1126-SM-79OMO
50-59 years, male
0.0
GTEX-17GQL-0126-SM-72D5Q
60-69 years, male
0.0
GTEX-17HHE-0326-SM-793BH
50-59 years, male
0.0
GTEX-18A66-1826-SM-7KFSU
60-69 years, male
0.0
GTEX-18A67-1526-SM-7LG6F
50-59 years, male
0.0
GTEX-1A3MV-0126-SM-731FQ
30-39 years, male
0.0
GTEX-1AMFI-0926-SM-731E4
50-59 years, female
0.0
GTEX-1AX9K-0226-SM-793CM
50-59 years, male
0.0
GTEX-1AYD5-0226-SM-79ONV
50-59 years, male
0.0
GTEX-1B8KZ-0226-SM-7EWF6
50-59 years, male
0.0
GTEX-1B97I-0126-SM-731DH
40-49 years, male
0.0
GTEX-1B97J-1926-SM-7IGQB
50-59 years, female
0.0
GTEX-1C4CL-0626-SM-731DM
30-39 years, male
0.0
GTEX-1C64O-1626-SM-731EN
60-69 years, male
0.0
GTEX-1C6VQ-2126-SM-7IGNL
50-59 years, male
0.0
GTEX-1CB4E-0126-SM-7DHMX
60-69 years, male
0.0
GTEX-1CB4F-0226-SM-7EPHS
60-69 years, male
0.0
GTEX-1CB4I-1426-SM-79OLZ
50-59 years, male
0.0
GTEX-1FIGZ-0126-SM-7MKGZ
40-49 years, male
0.0
GTEX-O5YT-0926-SM-48TDG
20-29 years, male
0.0
GTEX-OIZH-0926-SM-48TBR
50-59 years, male
0.0
GTEX-OOBJ-0926-SM-48TDO
60-69 years, male
0.0
GTEX-P4PP-0926-SM-48TBZ
30-39 years, female
0.0
GTEX-P4QS-0926-SM-48TBS
60-69 years, male
0.0
GTEX-PLZ6-0126-SM-48TC6
30-39 years, male
0.0
GTEX-POMQ-0126-SM-48TD6
20-29 years, female
0.0
GTEX-PW2O-0126-SM-48TC8
20-29 years, male
0.0
GTEX-PX3G-0926-SM-48U12
20-29 years, female
0.0
GTEX-Q2AH-0226-SM-48U1I
40-49 years, male
0.0
GTEX-Q734-0226-SM-48U1A
40-49 years, female
0.0
GTEX-QCQG-0226-SM-48U28
50-59 years, female
0.0
GTEX-QDVN-0526-SM-48TZ4
50-59 years, male
0.0
GTEX-QLQW-0126-SM-447BK
30-39 years, male
0.0
GTEX-QMRM-0226-SM-4R1K7
50-59 years, male
0.0
GTEX-QV31-0126-SM-447BP
30-39 years, male
0.0
GTEX-QV44-0126-SM-4R1KH
50-59 years, male
0.0
GTEX-R55G-0226-SM-48FEI
40-49 years, female
0.0
GTEX-RUSQ-0126-SM-47JWV
50-59 years, male
0.0
GTEX-S3XE-0626-SM-4AD6B
50-59 years, male
0.0
GTEX-S4Z8-0226-SM-4AD5K
60-69 years, male
0.0
GTEX-T5JW-0126-SM-4DM6K
20-29 years, female
0.0
GTEX-U3ZH-0126-SM-4DXUK
30-39 years, male
0.0
GTEX-U3ZN-0126-SM-4DXUM
30-39 years, female
0.0
GTEX-U4B1-0526-SM-4DXTK
40-49 years, male
0.0
GTEX-UJHI-0126-SM-4IHLP
50-59 years, female
0.0
GTEX-UPK5-1626-SM-4JBHI
40-49 years, male
0.0
GTEX-VJYA-0126-SM-4KL1P
60-69 years, male
0.0
GTEX-W5WG-0626-SM-4SOID
50-59 years, female
0.0
GTEX-WFON-0126-SM-4LVM9
40-49 years, male
0.0
GTEX-WHWD-0126-SM-4OORS
50-59 years, male
0.0
GTEX-WXYG-0126-SM-4OND7
50-59 years, female
0.0
GTEX-WY7C-0126-SM-4ONCO
50-59 years, male
0.0
GTEX-WYJK-0726-SM-4ONC9
50-59 years, male
0.0
GTEX-WYVS-0126-SM-4ONDH
40-49 years, female
0.0
GTEX-X3Y1-0126-SM-4PQZA
40-49 years, male
0.0
GTEX-X4LF-0226-SM-4QAS8
50-59 years, male
0.0
GTEX-X585-1826-SM-4QAS3
50-59 years, male
0.0
GTEX-XAJ8-0126-SM-47JYG
40-49 years, male
0.0
GTEX-XGQ4-0126-SM-4AT4H
50-59 years, male
0.0
GTEX-XMK1-0126-SM-4B65F
40-49 years, male
0.0
GTEX-XPVG-0626-SM-4B65B
50-59 years, male
0.0
GTEX-XQ8I-1726-SM-4BOQB
50-59 years, male
0.0
GTEX-XV7Q-0126-SM-4BRVK
40-49 years, female
0.0
GTEX-XXEK-0126-SM-4BRVU
50-59 years, male
0.0
GTEX-Y114-0726-SM-4TT6U
50-59 years, female
0.0
GTEX-Y3I4-0126-SM-4TT26
50-59 years, male
0.0
GTEX-Y3IK-0126-SM-4WWE9
50-59 years, female
0.0
GTEX-Y5LM-0326-SM-4VBRN
40-49 years, female
0.0
GTEX-Y8LW-0126-SM-4VBS1
50-59 years, female
0.0
GTEX-YB5E-0426-SM-5IFHR
40-49 years, male
0.0
GTEX-YB5K-1926-SM-4VDT4
40-49 years, female
0.0
GTEX-YEC4-0126-SM-4W21T
40-49 years, male
0.0
GTEX-YFCO-0926-SM-5LUA5
40-49 years, male
0.0
GTEX-Z9EW-0726-SM-5HL9H
40-49 years, male
0.0
GTEX-ZAB5-0526-SM-5CVMU
50-59 years, male
0.0
GTEX-ZDTT-1026-SM-5KM19
60-69 years, male
0.0
GTEX-ZDYS-1026-SM-4WKHC
50-59 years, male
0.0
GTEX-ZEX8-0726-SM-4WKH8
50-59 years, male
0.0
GTEX-ZF29-0626-SM-4WKHD
60-69 years, female
0.0
GTEX-ZF2S-0326-SM-4WKGD
50-59 years, female
0.0
GTEX-ZLFU-0526-SM-4WWBN
40-49 years, male
0.0
GTEX-ZLWG-0426-SM-4WWFA
50-59 years, female
0.0
GTEX-ZP4G-0326-SM-4YCEF
20-29 years, female
0.0
GTEX-ZPU1-1026-SM-4YCEQ
40-49 years, male
0.0
GTEX-ZTTD-1726-SM-57WEL
50-59 years, male
0.0
GTEX-ZV6S-0826-SM-5NQ6Z
40-49 years, female
0.0
GTEX-ZVZP-0726-SM-59HKA
50-59 years, male
0.0
GTEX-ZYFG-0726-SM-5GIDX
60-69 years, female
0.0
GTEX-ZZPU-0126-SM-5E446
50-59 years, female
0.0
Show allShow less
SPLEEN - FANTOM5 CAGEi
RNA expression in human tissues obtained through Cap Analysis of Gene Expression (CAGE) generated by the FANTOM5 project are reported as Scaled Tags Per Million.