We use cookies to enhance the usability of our website. If you continue, we'll assume that you are happy to receive all cookies. More information. Don't show this again.
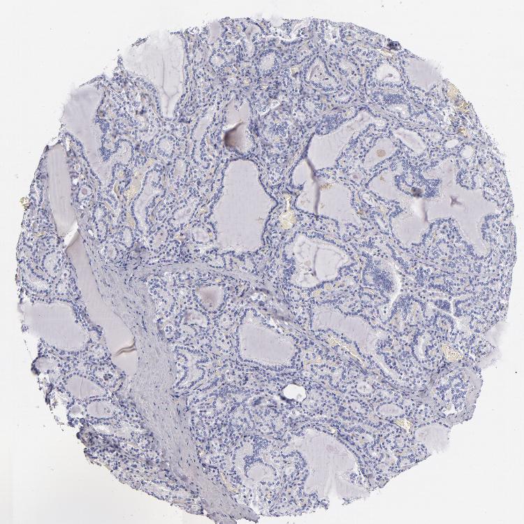
On the top, protein expression in current human tissue, based on all annotated cell types, is reported with the units not detected (n), low (l), medium (m) and high (h). Underneath, protein expression in each annotated cell type are reported using the same units.
Protein expression data is based on knowledge-based annotation. For genes where more than one antibody has been used, a collective score is set.
If knowledge-based annotation could not be performed for a gene, no data is displayed here. View antibody staining data further down this page.
A summary of mRNA expression data available for current tissue based on several datasets. The mRNA expression levels in human tissues are based on RNA-seq data generated by the Human Protein Atlas (HPA), Genotype-Tissue Expression (GTEx) portal and CAGE data generated by the FANTOM5 consortium. Consensus normalized expression (NX) levels for human tissues was created by combining the data from these three transcriptomics datasets (HPA, GTEx and FANTOM5).
The mRNA expression levels in pig are based on RNA-seq data generated by the Human Protein Atlas (HPA), and for mouse, HPA data and in situ hybridization generated by the Allen brain atlas are reported.
Scroll down to view mRNA expression data in more detail.
Antibody staining in the annotated cell types in the current human tissue is reported as not detected, low, medium, or high. This score is based on the staining intensity and fraction of stained cells.
The RNA-seq details section shows detailed information about the individual samples used for the transcript profiling and results of the RNA-seq analysis.
Information about each individual sample is listed below, including gender, age, a tissue section image and estimated fractions of cell types. pTPM (transcripts per million) values give a quantification of the gene abundance which is comparable between different genes and samples.
Glandular cells: 70 Endothelial cells: 20 Other cell types: 10
Female, age 55
Thyroid gland sample 250 pTPM: 0.2
Cell types%
Glandular cells: 70 Endothelial cells: 20 Other cell types: 10
Female, age 58
Thyroid gland sample 251 pTPM: 0.3
Cell types%
Glandular cells: 70 Endothelial cells: 15 Other cell types: 15
Female, age 48
Thyroid gland sample 252 pTPM: 0.4
Cell types%
Glandular cells: 70 Endothelial cells: 20 Other cell types: 10
Male, age 21
Thyroid gland sample 363 pTPM: 0.4
Cell types%
Glandular cells: 75 Endothelial cells: 10 Other cell types: 15
THYROID GLAND - GTEx RNA-seqi
RNA-Seq data generated by the Genotype-Tissue Expression (GTEx) project from human tissues is reported as average pTPM. More information can be found on the GTEx portal.
Distribution across the dataset is visualized with box plots, shown as median and 25th and 75th percentiles. Points are displayed as outliers if they are above or below 1.5 times the interquartile range. pTPM values of the individual samples are presented next to the box plot.
Max pTPM: 4.2
Min pTPM: 0.0
Std pTPM: 0.3
Median pTPM: 0.1
GTEX-XYKS-0826-SM-4BRVF
60-69 years, female
4.2
GTEX-15CHR-1726-SM-7DUGW
50-59 years, male
2.0
GTEX-1399R-0126-SM-5IFEV
30-39 years, male
1.9
GTEX-11ZVC-0126-SM-5986G
50-59 years, female
1.7
GTEX-1C64N-1026-SM-79ONM
50-59 years, male
1.6
GTEX-SIU8-0626-SM-2XCDN
50-59 years, male
1.5
GTEX-111FC-1026-SM-5GZX1
60-69 years, male
1.3
GTEX-11EQ8-0826-SM-5N9FG
60-69 years, male
1.1
GTEX-11O72-2326-SM-5BC7H
40-49 years, male
1.1
GTEX-12ZZZ-1226-SM-59HK1
60-69 years, male
1.1
GTEX-16YQH-0326-SM-6LPJV
30-39 years, male
1.1
GTEX-1B8L1-1626-SM-7IGMH
60-69 years, male
1.1
GTEX-ZQG8-0926-SM-57WFF
60-69 years, female
1.1
GTEX-OIZG-0226-SM-2TC5L
50-59 years, male
1.0
GTEX-SJXC-0726-SM-2XCFJ
60-69 years, male
1.0
GTEX-U8T8-2326-SM-3DB96
60-69 years, male
1.0
GTEX-ZVT3-0726-SM-5GICN
60-69 years, female
1.0
GTEX-1192W-0126-SM-5EGGS
60-69 years, male
0.9
GTEX-14753-0926-SM-5Q5BI
60-69 years, male
0.9
GTEX-14E7W-0926-SM-5YYA4
70-79 years, male
0.9
GTEX-17F9Y-0526-SM-7EWDC
70-79 years, female
0.9
GTEX-1A8G7-1026-SM-73KVA
60-69 years, male
0.9
GTEX-1EN7A-1026-SM-7IGPZ
40-49 years, male
0.9
GTEX-PX3G-2626-SM-2I3EG
20-29 years, female
0.9
GTEX-11P7K-0226-SM-5986Z
30-39 years, male
0.8
GTEX-139YR-1226-SM-5IFEU
50-59 years, male
0.8
GTEX-169BO-0326-SM-7EPIM
50-59 years, male
0.8
GTEX-1BAJH-0926-SM-79OO6
70-79 years, male
0.8
GTEX-S7SE-0726-SM-2XCD7
50-59 years, male
0.8
GTEX-WYJK-1626-SM-3NM9J
50-59 years, male
0.8
GTEX-X4XY-0826-SM-4E3JM
60-69 years, male
0.8
GTEX-1212Z-0426-SM-5FQT6
60-69 years, male
0.7
GTEX-1477Z-0226-SM-5TDCI
60-69 years, male
0.7
GTEX-15SHV-0426-SM-6M476
60-69 years, male
0.7
GTEX-1CB4H-0126-SM-7IGN2
60-69 years, female
0.7
GTEX-RM2N-0526-SM-2TF4N
50-59 years, male
0.7
GTEX-RVPV-1226-SM-2TF73
60-69 years, male
0.7
GTEX-Y111-1926-SM-4SOIS
50-59 years, male
0.7
GTEX-11EMC-0226-SM-5EGLP
60-69 years, female
0.6
GTEX-11XUK-0226-SM-5EQLW
40-49 years, female
0.6
GTEX-139TS-0126-SM-5K7XJ
60-69 years, male
0.6
GTEX-13JVG-0926-SM-5IJE1
60-69 years, male
0.6
GTEX-13O61-0226-SM-5KM52
60-69 years, male
0.6
GTEX-1EH9U-0926-SM-7EWF1
60-69 years, male
0.6
GTEX-T6MN-0626-SM-32PM9
50-59 years, male
0.6
GTEX-VJYA-0426-SM-3GIJK
60-69 years, male
0.6
GTEX-WHSE-0626-SM-4RGNF
20-29 years, male
0.6
GTEX-WRHU-0926-SM-4E3IG
50-59 years, female
0.6
GTEX-ZVP2-0426-SM-57WC2
50-59 years, male
0.6
GTEX-12WSC-0826-SM-5EQ5Q
50-59 years, male
0.5
GTEX-1313W-0726-SM-5EGK1
50-59 years, female
0.5
GTEX-131XG-0226-SM-5IFG1
50-59 years, female
0.5
GTEX-13IVO-0926-SM-5KLZP
70-79 years, male
0.5
GTEX-13PVQ-0726-SM-5L3GI
50-59 years, male
0.5
GTEX-13QJ3-0926-SM-73KX5
50-59 years, male
0.5
GTEX-13X6J-0826-SM-5LU32
50-59 years, male
0.5
GTEX-14BIN-0126-SM-5TDCG
50-59 years, female
0.5
GTEX-14PII-0826-SM-6871S
60-69 years, male
0.5
GTEX-18465-1426-SM-7KFTF
50-59 years, male
0.5
GTEX-POYW-0826-SM-2XCEM
60-69 years, male
0.5
GTEX-SE5C-0726-SM-4BRWY
40-49 years, female
0.5
GTEX-X15G-0526-SM-3NMB7
50-59 years, female
0.5
GTEX-XUW1-1026-SM-4BONY
50-59 years, female
0.5
GTEX-ZVZP-1026-SM-5GICI
50-59 years, male
0.5
GTEX-11EI6-0726-SM-59866
60-69 years, male
0.4
GTEX-12WSE-1226-SM-73KUF
20-29 years, male
0.4
GTEX-131XF-1826-SM-5EGKG
60-69 years, male
0.4
GTEX-132NY-1026-SM-5P9IY
60-69 years, male
0.4
GTEX-139T6-0326-SM-5J2LY
50-59 years, male
0.4
GTEX-13OVK-0226-SM-6M472
40-49 years, male
0.4
GTEX-13RTJ-0326-SM-5YYAE
60-69 years, male
0.4
GTEX-145MH-0426-SM-5LU8T
50-59 years, male
0.4
GTEX-14A5H-0726-SM-5Q5DW
60-69 years, male
0.4
GTEX-15CHC-0126-SM-5YYBA
60-69 years, female
0.4
GTEX-15CHQ-0826-SM-69LOT
60-69 years, male
0.4
GTEX-15SB6-1526-SM-7KUMQ
50-59 years, female
0.4
GTEX-17KNJ-1026-SM-79ONK
50-59 years, male
0.4
GTEX-1AMFI-0526-SM-7189M
50-59 years, female
0.4
GTEX-1C6VS-0826-SM-7EWEI
60-69 years, male
0.4
GTEX-1EMGI-0826-SM-7EPHY
60-69 years, male
0.4
GTEX-PLZ4-1226-SM-2I5FE
50-59 years, female
0.4
GTEX-Q2AI-0326-SM-2I3EK
40-49 years, male
0.4
GTEX-RWSA-0826-SM-2XCBF
40-49 years, male
0.4
GTEX-WHPG-0226-SM-3NMB9
50-59 years, male
0.4
GTEX-XBED-0126-SM-47JY7
60-69 years, male
0.4
GTEX-XLM4-0726-SM-4AT64
60-69 years, male
0.4
GTEX-ZAB5-0726-SM-5P9JG
50-59 years, male
0.4
GTEX-ZLWG-0526-SM-4WWFB
50-59 years, female
0.4
GTEX-11DXY-0426-SM-5H12R
60-69 years, male
0.3
GTEX-11NSD-0126-SM-5987F
20-29 years, male
0.3
GTEX-11P82-0226-SM-5HL4O
20-29 years, male
0.3
GTEX-12696-0326-SM-5EGL4
60-69 years, male
0.3
GTEX-12WSK-0926-SM-5CVNQ
40-49 years, female
0.3
GTEX-13FH7-0126-SM-5KLZ1
50-59 years, female
0.3
GTEX-13FTW-0626-SM-5IFEX
40-49 years, male
0.3
GTEX-13O21-2226-SM-5MR3L
50-59 years, male
0.3
GTEX-13OW6-0726-SM-5L3FX
50-59 years, male
0.3
GTEX-13OW8-0126-SM-5IJE5
60-69 years, male
0.3
GTEX-13U4I-0526-SM-5LU59
40-49 years, female
0.3
GTEX-145LT-0226-SM-5S2QK
40-49 years, male
0.3
GTEX-145LU-0426-SM-5O9AH
50-59 years, male
0.3
GTEX-145MG-0826-SM-5Q5C2
50-59 years, male
0.3
GTEX-14B4R-0126-SM-5TDE4
30-39 years, male
0.3
GTEX-14ICK-1626-SM-6ETZX
40-49 years, male
0.3
GTEX-15ER7-0726-SM-7KUMF
20-29 years, female
0.3
GTEX-15RJE-1326-SM-6LPI6
40-49 years, male
0.3
GTEX-16MTA-0726-SM-7KUL4
50-59 years, male
0.3
GTEX-16Z82-0426-SM-7EPGX
60-69 years, male
0.3
GTEX-17EVP-0126-SM-7EPHW
40-49 years, male
0.3
GTEX-17F96-0526-SM-79OLE
70-79 years, male
0.3
GTEX-17HHE-0426-SM-79OK3
50-59 years, male
0.3
GTEX-18A7A-0826-SM-7KFTJ
50-59 years, female
0.3
GTEX-1A8FM-0726-SM-7DUGK
50-59 years, female
0.3
GTEX-1B8SF-0626-SM-73KVV
60-69 years, male
0.3
GTEX-1B97I-0326-SM-7DUGB
40-49 years, male
0.3
GTEX-1CAMQ-1126-SM-7EWFE
40-49 years, male
0.3
GTEX-1EKGG-0726-SM-7IGPX
60-69 years, male
0.3
GTEX-N7MS-2326-SM-2HMLD
60-69 years, male
0.3
GTEX-P4PQ-2626-SM-33HC9
60-69 years, male
0.3
GTEX-P4QT-2626-SM-2I3FM
50-59 years, female
0.3
GTEX-P78B-0526-SM-2I5F7
40-49 years, female
0.3
GTEX-PWN1-2626-SM-2I3FH
40-49 years, female
0.3
GTEX-Q2AG-0826-SM-2HMKF
40-49 years, female
0.3
GTEX-QDVN-0626-SM-2I3FP
50-59 years, male
0.3
GTEX-QV44-0826-SM-2S1RG
50-59 years, male
0.3
GTEX-R55G-0726-SM-2TC6J
40-49 years, female
0.3
GTEX-RNOR-0926-SM-2TF56
50-59 years, female
0.3
GTEX-UJMC-0326-SM-3GAE2
50-59 years, male
0.3
GTEX-W5X1-0426-SM-3GILB
40-49 years, female
0.3
GTEX-WYBS-1926-SM-3NM8N
60-69 years, female
0.3
GTEX-Y5V5-0326-SM-5RQJG
60-69 years, female
0.3
GTEX-Y5V6-0526-SM-4VBRV
60-69 years, male
0.3
GTEX-YB5K-0526-SM-5LUAS
40-49 years, female
0.3
GTEX-YJ89-0726-SM-5P9F7
60-69 years, male
0.3
GTEX-Z9EW-0226-SM-5CVM7
40-49 years, male
0.3
GTEX-ZC5H-0626-SM-5LU9K
40-49 years, female
0.3
GTEX-ZE7O-1126-SM-57WC8
50-59 years, female
0.3
GTEX-ZT9X-0226-SM-51MT2
40-49 years, male
0.3
GTEX-1192X-1126-SM-5EGGU
50-59 years, male
0.2
GTEX-11EM3-0126-SM-5985K
20-29 years, female
0.2
GTEX-11GS4-0826-SM-5986J
60-69 years, male
0.2
GTEX-11P81-0126-SM-5HL5Y
30-39 years, female
0.2
GTEX-11TTK-0826-SM-5N9EG
60-69 years, female
0.2
GTEX-11VI4-0226-SM-5GU6C
40-49 years, female
0.2
GTEX-11ZTS-1126-SM-5LU9X
60-69 years, female
0.2
GTEX-12BJ1-0426-SM-5FQSO
60-69 years, male
0.2
GTEX-133LE-0326-SM-5P9G4
20-29 years, female
0.2
GTEX-139UW-0126-SM-5KM1B
60-69 years, male
0.2
GTEX-13D11-0226-SM-5LZXL
50-59 years, female
0.2
GTEX-13FHO-0926-SM-5N9EW
60-69 years, male
0.2
GTEX-13NYB-0726-SM-5MR4J
40-49 years, male
0.2
GTEX-13O3O-0926-SM-5KM1F
60-69 years, female
0.2
GTEX-13PL6-1026-SM-5L3E5
40-49 years, female
0.2
GTEX-13RTK-0326-SM-5RQHS
20-29 years, male
0.2
GTEX-13W46-0926-SM-5LU3T
50-59 years, male
0.2
GTEX-13YAN-0926-SM-5O9C3
60-69 years, male
0.2
GTEX-144GL-1226-SM-5O9A4
50-59 years, male
0.2
GTEX-146FQ-0726-SM-5LUA7
30-39 years, male
0.2
GTEX-14ASI-0726-SM-5Q5DC
60-69 years, male
0.2
GTEX-14PJ3-0126-SM-69LQP
50-59 years, male
0.2
GTEX-14PJO-0626-SM-6LLHH
60-69 years, male
0.2
GTEX-14PN3-0826-SM-69LOS
60-69 years, female
0.2
GTEX-14PQA-1226-SM-6M47A
50-59 years, female
0.2
GTEX-15DDE-0626-SM-69LOK
50-59 years, female
0.2
GTEX-15SHU-0726-SM-7KUFI
40-49 years, female
0.2
GTEX-15UF6-1126-SM-6LPJ3
70-79 years, female
0.2
GTEX-16XZY-0726-SM-79OMU
70-79 years, male
0.2
GTEX-17HG3-0226-SM-7EWEA
30-39 years, female
0.2
GTEX-17HHY-0826-SM-7EPID
50-59 years, male
0.2
GTEX-17HII-1926-SM-79OLB
50-59 years, male
0.2
GTEX-17MF6-0626-SM-7LT8D
40-49 years, male
0.2
GTEX-18A66-0826-SM-72D5Z
60-69 years, male
0.2
GTEX-18A6Q-0726-SM-7LT8Y
60-69 years, male
0.2
GTEX-1AX8Z-0826-SM-7DUFZ
60-69 years, male
0.2
GTEX-1AX9I-0626-SM-72D54
60-69 years, male
0.2
GTEX-1AYCT-0226-SM-73KVB
50-59 years, male
0.2
GTEX-1B8KE-0626-SM-7189H
50-59 years, male
0.2
GTEX-1B8KZ-0426-SM-731DP
50-59 years, male
0.2
GTEX-1CAMR-0226-SM-7DUGO
20-29 years, male
0.2
GTEX-OHPK-2626-SM-2HMK9
50-59 years, female
0.2
GTEX-OIZI-0726-SM-2XCEI
40-49 years, male
0.2
GTEX-OXRK-0626-SM-2HMJ5
50-59 years, female
0.2
GTEX-Q734-0526-SM-2I3EH
40-49 years, female
0.2
GTEX-QV31-0726-SM-3GAEG
30-39 years, male
0.2
GTEX-QXCU-0326-SM-2TC63
50-59 years, male
0.2
GTEX-R53T-0526-SM-3GADL
50-59 years, female
0.2
GTEX-RN64-0626-SM-2TC5V
50-59 years, male
0.2
GTEX-RTLS-0626-SM-5SI7Z
60-69 years, female
0.2
GTEX-S7SF-0226-SM-5SI7H
20-29 years, female
0.2
GTEX-T8EM-0226-SM-3DB7C
40-49 years, male
0.2
GTEX-U4B1-0626-SM-3DB8L
40-49 years, male
0.2
GTEX-V1D1-0926-SM-4JBHQ
50-59 years, male
0.2
GTEX-V955-0426-SM-3GAEL
60-69 years, male
0.2
GTEX-WH7G-0526-SM-3NMBI
40-49 years, male
0.2
GTEX-WL46-0126-SM-3TW8I
50-59 years, male
0.2
GTEX-WYVS-0326-SM-3NM9V
40-49 years, female
0.2
GTEX-X4LF-0426-SM-3NMB5
50-59 years, male
0.2
GTEX-XMK1-0626-SM-4B65A
40-49 years, male
0.2
GTEX-XXEK-1326-SM-4BRV1
50-59 years, male
0.2
GTEX-Y114-0626-SM-4TT98
50-59 years, female
0.2
GTEX-Y5LM-0626-SM-4V6G4
40-49 years, female
0.2
GTEX-Y8E4-0126-SM-4VBQ2
40-49 years, male
0.2
GTEX-YEC3-0826-SM-4WWFP
50-59 years, male
0.2
GTEX-YFCO-0326-SM-4W1ZP
40-49 years, male
0.2
GTEX-ZAK1-0726-SM-5HL8Q
50-59 years, female
0.2
GTEX-ZGAY-1026-SM-4WWBR
40-49 years, female
0.2
GTEX-ZVZQ-0626-SM-59HJU
60-69 years, female
0.2
GTEX-ZY6K-0226-SM-5SIAY
50-59 years, male
0.2
GTEX-ZYFG-0626-SM-5GZYA
60-69 years, female
0.2
GTEX-ZZ64-0126-SM-5GZXA
20-29 years, male
0.2
GTEX-111CU-0226-SM-5GZXC
50-59 years, male
0.1
GTEX-111YS-0726-SM-5GZY8
60-69 years, male
0.1
GTEX-1122O-0226-SM-5N9DA
60-69 years, female
0.1
GTEX-1128S-0126-SM-5H12S
60-69 years, female
0.1
GTEX-117XS-0526-SM-5987Q
60-69 years, male
0.1
GTEX-117YX-1226-SM-5H11S
50-59 years, male
0.1
GTEX-11DXX-0226-SM-5P9HL
60-69 years, female
0.1
GTEX-11DXZ-0926-SM-5N9CG
50-59 years, male
0.1
GTEX-11DYG-0826-SM-5N9GH
60-69 years, male
0.1
GTEX-11DZ1-2726-SM-5A5KH
50-59 years, male
0.1
GTEX-11EQ9-0626-SM-5A5K1
30-39 years, male
0.1
GTEX-11I78-0526-SM-5986A
50-59 years, female
0.1
GTEX-11NUK-1026-SM-5HL5J
50-59 years, male
0.1
GTEX-11NV4-0626-SM-5N9BR
60-69 years, male
0.1
GTEX-11TT1-1126-SM-5P9GV
20-29 years, male
0.1
GTEX-11TUW-0226-SM-5LU8X
60-69 years, male
0.1
GTEX-11ZTT-1026-SM-5EQKF
60-69 years, female
0.1
GTEX-12584-0826-SM-5FQSK
40-49 years, male
0.1
GTEX-1269C-0226-SM-5EGKS
60-69 years, female
0.1
GTEX-12WSH-0226-SM-5GCOG
50-59 years, male
0.1
GTEX-12WSJ-0326-SM-5GCMT
40-49 years, female
0.1
GTEX-12WSL-0626-SM-5GCOY
50-59 years, male
0.1
GTEX-12ZZX-1226-SM-5EGHS
40-49 years, female
0.1
GTEX-13111-0226-SM-5EQ55
50-59 years, male
0.1
GTEX-132AR-1126-SM-5P9GA
50-59 years, female
0.1
GTEX-132QS-0326-SM-5IJFN
60-69 years, male
0.1
GTEX-13FHP-0926-SM-5L3EC
50-59 years, male
0.1
GTEX-13FLV-0226-SM-5J2OF
50-59 years, male
0.1
GTEX-13FLW-0326-SM-5J2M4
50-59 years, male
0.1
GTEX-13FTY-0726-SM-5J2OH
40-49 years, female
0.1
GTEX-13G51-1226-SM-5K7Z3
60-69 years, male
0.1
GTEX-13N11-1026-SM-5K7XQ
50-59 years, female
0.1
GTEX-13N1W-0826-SM-5MR5J
70-79 years, male
0.1
GTEX-13NZ8-0226-SM-5J2OK
60-69 years, female
0.1
GTEX-13NZ9-1126-SM-5MR37
50-59 years, male
0.1
GTEX-13O3P-0726-SM-5J2OM
50-59 years, male
0.1
GTEX-13O3Q-0626-SM-5IJG1
50-59 years, male
0.1
GTEX-13OVG-0226-SM-5LU93
60-69 years, male
0.1
GTEX-13OVJ-0626-SM-5J2O2
50-59 years, female
0.1
GTEX-13OW5-0626-SM-5J2N2
60-69 years, male
0.1
GTEX-13OW7-0826-SM-5L3EL
50-59 years, male
0.1
GTEX-13PDP-1026-SM-5L3FA
60-69 years, male
0.1
GTEX-13PVR-0626-SM-5S2RC
60-69 years, female
0.1
GTEX-13QBU-0626-SM-5J2OG
40-49 years, female
0.1
GTEX-13S86-1126-SM-5RQJX
40-49 years, male
0.1
GTEX-13VXT-0626-SM-5SIA1
20-29 years, female
0.1
GTEX-13VXU-0826-SM-5KLZ2
50-59 years, male
0.1
GTEX-13X6H-0526-SM-5LU4Q
50-59 years, female
0.1
GTEX-144GO-0126-SM-5LUAO
60-69 years, male
0.1
GTEX-147F4-0826-SM-5QGRB
50-59 years, male
0.1
GTEX-147GR-0726-SM-5S2PL
60-69 years, male
0.1
GTEX-14A6H-2426-SM-5Q5BO
30-39 years, male
0.1
GTEX-14C5O-0826-SM-5TDEG
60-69 years, male
0.1
GTEX-14DAQ-0826-SM-73KWT
60-69 years, female
0.1
GTEX-14E6E-0326-SM-73KY6
30-39 years, male
0.1
GTEX-14PJ4-0326-SM-664OT
60-69 years, male
0.1
GTEX-14PJ6-0326-SM-6871H
60-69 years, female
0.1
GTEX-14PKU-0326-SM-6AJA7
40-49 years, female
0.1
GTEX-14PKV-0626-SM-6AJA2
20-29 years, female
0.1
GTEX-14PN4-1526-SM-6871V
50-59 years, male
0.1
GTEX-14XAO-0426-SM-6AJB6
60-69 years, female
0.1
GTEX-15EU6-1426-SM-6M48E
50-59 years, male
0.1
GTEX-15G19-0626-SM-6M474
60-69 years, male
0.1
GTEX-15RIE-0426-SM-7KUMH
60-69 years, male
0.1
GTEX-15RJ7-0326-SM-6M47H
40-49 years, male
0.1
GTEX-16XZZ-0826-SM-7IGM3
60-69 years, male
0.1
GTEX-178AV-0726-SM-6LPJI
40-49 years, male
0.1
GTEX-17F9E-0626-SM-79ON5
50-59 years, male
0.1
GTEX-183FY-0626-SM-79OKR
20-29 years, male
0.1
GTEX-183WM-2626-SM-7KFRY
70-79 years, female
0.1
GTEX-18QFQ-0726-SM-7LG6D
30-39 years, male
0.1
GTEX-1A3MV-0326-SM-73KW7
30-39 years, male
0.1
GTEX-1AMEY-0126-SM-73KTX
30-39 years, female
0.1
GTEX-1AX9K-0626-SM-73KVD
50-59 years, male
0.1
GTEX-1C4CL-0726-SM-7IGP9
30-39 years, male
0.1
GTEX-1CB4F-0826-SM-793CV
60-69 years, male
0.1
GTEX-1CB4I-0726-SM-7DUGS
50-59 years, male
0.1
GTEX-NFK9-0726-SM-2HMJW
40-49 years, male
0.1
GTEX-OHPM-2626-SM-33HC5
50-59 years, male
0.1
GTEX-OXRO-1226-SM-48TDL
60-69 years, female
0.1
GTEX-OXRP-0326-SM-33HBJ
60-69 years, female
0.1
GTEX-PWCY-2326-SM-2I3EQ
20-29 years, female
0.1
GTEX-QLQ7-0726-SM-2I5G2
60-69 years, male
0.1
GTEX-R55C-0626-SM-2TF4Q
40-49 years, male
0.1
GTEX-R55E-0826-SM-2TC5M
20-29 years, male
0.1
GTEX-RU1J-0226-SM-2TF5Y
20-29 years, female
0.1
GTEX-RU72-0126-SM-2TF6Z
50-59 years, female
0.1
GTEX-RWS6-0626-SM-2XCAS
60-69 years, female
0.1
GTEX-S32W-0726-SM-2XCBL
50-59 years, female
0.1
GTEX-S341-0226-SM-5S2VG
40-49 years, female
0.1
GTEX-T5JW-1226-SM-3GACY
20-29 years, female
0.1
GTEX-U3ZM-0126-SM-3DB8M
40-49 years, male
0.1
GTEX-U3ZN-0326-SM-3DB86
30-39 years, female
0.1
GTEX-W5WG-1426-SM-4KKZP
50-59 years, female
0.1
GTEX-WEY5-0526-SM-3GIKZ
40-49 years, female
0.1
GTEX-WFJO-0226-SM-3GIKW
30-39 years, male
0.1
GTEX-WK11-0926-SM-3NMAU
50-59 years, male
0.1
GTEX-WOFL-0726-SM-3MJG4
60-69 years, male
0.1
GTEX-WXYG-0226-SM-3NB2Y
50-59 years, female
0.1
GTEX-WY7C-0226-SM-3NB37
50-59 years, male
0.1
GTEX-X5EB-0726-SM-46MVR
40-49 years, male
0.1
GTEX-XBEW-0126-SM-4AT66
40-49 years, male
0.1
GTEX-XGQ4-0426-SM-4AT4I
50-59 years, male
0.1
GTEX-XV7Q-0326-SM-4BRVM
40-49 years, female
0.1
GTEX-YEC4-0626-SM-5CVLU
40-49 years, male
0.1
GTEX-ZDTS-0926-SM-5YY9D
60-69 years, male
0.1
GTEX-ZDYS-0626-SM-5J2N5
50-59 years, male
0.1
GTEX-ZF28-0826-SM-4WKGJ
60-69 years, male
0.1
GTEX-ZLV1-0126-SM-4WWBZ
60-69 years, female
0.1
GTEX-ZQUD-0126-SM-7EPIS
30-39 years, male
0.1
GTEX-ZTSS-0226-SM-59877
40-49 years, male
0.1
GTEX-ZTX8-0626-SM-59HKC
20-29 years, male
0.1
GTEX-ZUA1-0926-SM-4YCDX
40-49 years, male
0.1
GTEX-ZYFC-0926-SM-5GZWW
50-59 years, male
0.1
GTEX-ZYFD-0826-SM-5NQ9A
50-59 years, male
0.1
GTEX-ZYT6-0426-SM-5GID3
30-39 years, male
0.1
GTEX-ZYW4-1126-SM-5SI99
60-69 years, male
0.1
GTEX-ZZPU-1326-SM-5GZWS
50-59 years, female
0.1
GTEX-111VG-0526-SM-5N9BW
60-69 years, male
0.0
GTEX-113JC-0126-SM-5EGJW
50-59 years, female
0.0
GTEX-117YW-0126-SM-5EGGN
50-59 years, male
0.0
GTEX-11GSO-0626-SM-5A5LW
60-69 years, male
0.0
GTEX-11LCK-0526-SM-5A5M9
30-39 years, male
0.0
GTEX-11OF3-0626-SM-5BC4Y
60-69 years, male
0.0
GTEX-11UD2-0626-SM-5GU6L
50-59 years, male
0.0
GTEX-1211K-0726-SM-5FQUW
60-69 years, female
0.0
GTEX-12WSD-0926-SM-5GCNL
60-69 years, female
0.0
GTEX-12WSG-0226-SM-5EGIF
50-59 years, female
0.0
GTEX-12WSN-0726-SM-5GCMS
40-49 years, male
0.0
GTEX-12ZZY-0826-SM-5EQMT
60-69 years, male
0.0
GTEX-13112-0326-SM-5P9IW
50-59 years, male
0.0
GTEX-13113-0126-SM-5LZVX
60-69 years, female
0.0
GTEX-131XE-0126-SM-5LZVC
50-59 years, male
0.0
GTEX-131XH-0526-SM-5DUX7
50-59 years, male
0.0
GTEX-131YS-0726-SM-5P9G9
60-69 years, female
0.0
GTEX-1399T-0126-SM-5KM15
60-69 years, male
0.0
GTEX-1399U-0326-SM-5P9G5
50-59 years, female
0.0
GTEX-13CF3-0926-SM-5LZZC
60-69 years, female
0.0
GTEX-13FXS-0726-SM-5LZXJ
50-59 years, male
0.0
GTEX-13N2G-0726-SM-5MR38
60-69 years, male
0.0
GTEX-13NYC-2426-SM-5MR3K
60-69 years, male
0.0
GTEX-13NZA-1026-SM-5MR48
60-69 years, male
0.0
GTEX-13O1R-0826-SM-5J2MB
60-69 years, male
0.0
GTEX-13OVI-0826-SM-5KLZ8
60-69 years, female
0.0
GTEX-13QJC-0826-SM-5RQKC
60-69 years, female
0.0
GTEX-144GM-0226-SM-5Q5CB
20-29 years, male
0.0
GTEX-145ME-0126-SM-5S2QM
40-49 years, female
0.0
GTEX-145MI-1126-SM-5O9AK
60-69 years, female
0.0
GTEX-146FR-0326-SM-5SI8U
60-69 years, female
0.0
GTEX-148VI-0526-SM-5TDDG
60-69 years, female
0.0
GTEX-148VJ-0726-SM-5LU8J
70-79 years, male
0.0
GTEX-1497J-0126-SM-5Q5BK
60-69 years, male
0.0
GTEX-14ABY-0926-SM-5Q5DY
50-59 years, male
0.0
GTEX-14AS3-0226-SM-5Q5B6
40-49 years, female
0.0
GTEX-14BMU-0226-SM-5S2QA
20-29 years, female
0.0
GTEX-14BMV-0726-SM-73KVE
50-59 years, male
0.0
GTEX-14C38-0826-SM-5S2U8
50-59 years, male
0.0
GTEX-14C39-0226-SM-5TDDW
40-49 years, male
0.0
GTEX-14E6C-2626-SM-5RQJP
40-49 years, male
0.0
GTEX-14ICL-0426-SM-5RQJ3
30-39 years, male
0.0
GTEX-14JIY-1226-SM-6871R
60-69 years, male
0.0
GTEX-14PHW-2926-SM-6AJBA
60-69 years, female
0.0
GTEX-14PJM-1326-SM-664NX
50-59 years, female
0.0
GTEX-14PK6-0426-SM-6EU1J
70-79 years, female
0.0
GTEX-15D1Q-0626-SM-6AJAZ
40-49 years, male
0.0
GTEX-15DCZ-1226-SM-6871P
20-29 years, female
0.0
GTEX-15DZA-0226-SM-7KFS6
30-39 years, female
0.0
GTEX-15EO6-0126-SM-6LPKJ
50-59 years, male
0.0
GTEX-15ETS-0526-SM-6PAN3
40-49 years, female
0.0
GTEX-15FZZ-0226-SM-6LLI4
30-39 years, female
0.0
GTEX-15G1A-0326-SM-6M467
30-39 years, male
0.0
GTEX-16AAH-0326-SM-7DHML
50-59 years, male
0.0
GTEX-16BQI-0726-SM-6LPJZ
30-39 years, female
0.0
GTEX-16GPK-0926-SM-6LPJ9
60-69 years, male
0.0
GTEX-16MT8-0626-SM-6M47Q
60-69 years, female
0.0
GTEX-16NGA-0326-SM-718AJ
40-49 years, female
0.0
GTEX-16NPX-1426-SM-6LPK3
50-59 years, male
0.0
GTEX-17EVQ-0526-SM-7KFSK
70-79 years, male
0.0
GTEX-17F97-0626-SM-7IGOH
50-59 years, male
0.0
GTEX-17HGU-0826-SM-7EWE5
50-59 years, male
0.0
GTEX-17JCI-0626-SM-7IGM7
60-69 years, female
0.0
GTEX-18A67-0826-SM-7KFTI
50-59 years, male
0.0
GTEX-18D9A-0126-SM-7KFSI
30-39 years, female
0.0
GTEX-18D9B-0726-SM-72D6K
60-69 years, male
0.0
GTEX-18D9U-1026-SM-72D5R
40-49 years, male
0.0
GTEX-1A8G6-0626-SM-7IGNB
60-69 years, male
0.0
GTEX-1AX9J-2126-SM-731DD
60-69 years, male
0.0
GTEX-1B8SG-1126-SM-7IGMT
50-59 years, male
0.0
GTEX-1B932-0926-SM-73KUP
40-49 years, female
0.0
GTEX-1C2JI-0326-SM-7EWFD
50-59 years, male
0.0
GTEX-1C6VR-0426-SM-7IGN6
60-69 years, male
0.0
GTEX-1CB4J-1426-SM-7MKFR
60-69 years, male
0.0
GTEX-OOBJ-2626-SM-2I3F6
60-69 years, male
0.0
GTEX-OXRL-2626-SM-2I3F1
50-59 years, male
0.0
GTEX-P4QS-2626-SM-2I3EV
60-69 years, male
0.0
GTEX-Q2AH-0726-SM-2I3EA
40-49 years, male
0.0
GTEX-QDVJ-0226-SM-2I5FV
50-59 years, male
0.0
GTEX-QEG5-0826-SM-2I5GF
20-29 years, male
0.0
GTEX-QEL4-0726-SM-3GIJ5
50-59 years, male
0.0
GTEX-R3RS-0726-SM-3GIJR
40-49 years, female
0.0
GTEX-REY6-0526-SM-2TF5M
60-69 years, male
0.0
GTEX-RUSQ-1026-SM-2TF6V
50-59 years, male
0.0
GTEX-SN8G-1526-SM-4DM79
50-59 years, female
0.0
GTEX-SNOS-0226-SM-32PLR
40-49 years, male
0.0
GTEX-T2IS-0626-SM-32QP6
20-29 years, female
0.0
GTEX-T6MO-0226-SM-32QOL
40-49 years, female
0.0
GTEX-TKQ1-0126-SM-33HB3
30-39 years, male
0.0
GTEX-TMMY-0826-SM-33HB9
40-49 years, female
0.0
GTEX-TSE9-0626-SM-3DB8B
60-69 years, female
0.0
GTEX-VUSG-0426-SM-3GIKD
50-59 years, male
0.0
GTEX-WFG7-0326-SM-5SI7L
20-29 years, male
0.0
GTEX-WFG8-0426-SM-3GILD
20-29 years, male
0.0
GTEX-WHSB-1626-SM-3LK6J
50-59 years, male
0.0
GTEX-WVLH-0626-SM-3MJG7
50-59 years, male
0.0
GTEX-WWYW-0826-SM-3NB2X
50-59 years, female
0.0
GTEX-X4XX-0926-SM-46MV7
60-69 years, male
0.0
GTEX-X8HC-0726-SM-46MWG
50-59 years, female
0.0
GTEX-XUZC-0126-SM-4BOO6
30-39 years, female
0.0
GTEX-Y3I4-0226-SM-4TT27
50-59 years, male
0.0
GTEX-Y3IK-0526-SM-4WWE3
50-59 years, female
0.0
GTEX-Y9LG-0426-SM-4VBRT
30-39 years, male
0.0
GTEX-YB5E-0626-SM-4VDSE
40-49 years, male
0.0
GTEX-YF7O-0726-SM-4W213
50-59 years, male
0.0
GTEX-YFC4-2626-SM-5P9FQ
40-49 years, female
0.0
GTEX-ZA64-0426-SM-5HL96
20-29 years, male
0.0
GTEX-ZAJG-0726-SM-5HL9A
50-59 years, female
0.0
GTEX-ZLFU-0626-SM-4WWBO
40-49 years, male
0.0
GTEX-ZPCL-0126-SM-4WWC8
60-69 years, female
0.0
GTEX-ZPU1-0426-SM-4WWCA
40-49 years, male
0.0
GTEX-ZT9W-0226-SM-4YCCZ
50-59 years, male
0.0
GTEX-ZTPG-0826-SM-5DUVC
20-29 years, female
0.0
GTEX-ZV6S-0226-SM-59HJT
40-49 years, female
0.0
GTEX-ZV7C-0126-SM-57WDE
50-59 years, male
0.0
GTEX-ZXG5-0926-SM-5NQ8H
60-69 years, male
0.0
GTEX-ZYVF-1126-SM-5E458
50-59 years, female
0.0
GTEX-ZYY3-1926-SM-5GZXS
60-69 years, female
0.0
Show allShow less
THYROID GLAND - FANTOM5 CAGEi
RNA expression in human tissues obtained through Cap Analysis of Gene Expression (CAGE) generated by the FANTOM5 project are reported as Scaled Tags Per Million.