We use cookies to enhance the usability of our website. If you continue, we'll assume that you are happy to receive all cookies. More information. Don't show this again.
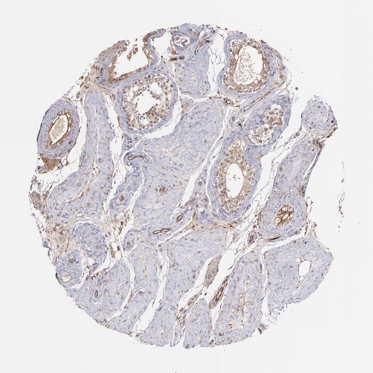
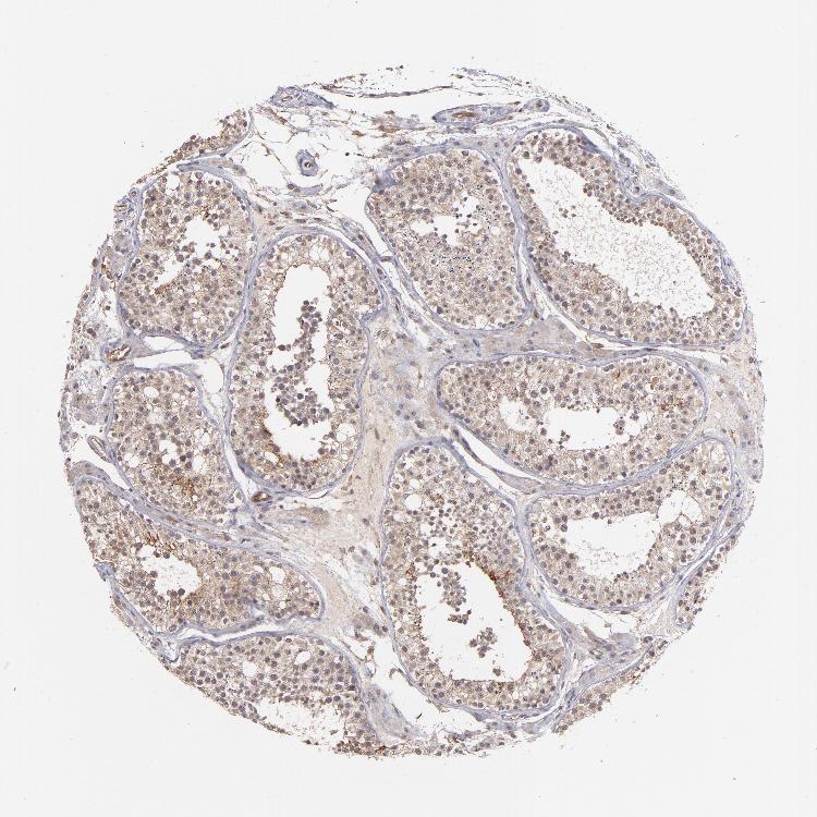
On the top, protein expression in current human tissue, based on all annotated cell types, is reported with the units not detected (n), low (l), medium (m) and high (h). Underneath, protein expression in each annotated cell type are reported using the same units.
Protein expression data is based on knowledge-based annotation. For genes where more than one antibody has been used, a collective score is set.
If knowledge-based annotation could not be performed for a gene, no data is displayed here. View antibody staining data further down this page.
A summary of mRNA expression data available for current tissue based on several datasets. The mRNA expression levels in human tissues are based on RNA-seq data generated by the Human Protein Atlas (HPA), Genotype-Tissue Expression (GTEx) portal and CAGE data generated by the FANTOM5 consortium. Consensus normalized expression (NX) levels for human tissues was created by combining the data from these three transcriptomics datasets (HPA, GTEx and FANTOM5).
The mRNA expression levels in pig are based on RNA-seq data generated by the Human Protein Atlas (HPA), and for mouse, HPA data and in situ hybridization generated by the Allen brain atlas are reported.
Scroll down to view mRNA expression data in more detail.
Antibody staining in the annotated cell types in the current human tissue is reported as not detected, low, medium, or high. This score is based on the staining intensity and fraction of stained cells.
The RNA-seq details section shows detailed information about the individual samples used for the transcript profiling and results of the RNA-seq analysis.
Information about each individual sample is listed below, including gender, age, a tissue section image and estimated fractions of cell types. pTPM (transcripts per million) values give a quantification of the gene abundance which is comparable between different genes and samples.
Cells in seminiferous ducts: 65 Other cell types: 35
Male, age 34
Testis sample 278 pTPM: 8.8
Cell types%
Cells in seminiferous ducts: 75 Other cell types: 25
Male, age 62
Testis sample 279 pTPM: 7
Cell types%
Cells in seminiferous ducts: 70 Other cell types: 30
Male, age 34
Testis sample 280 pTPM: 64.9
Cell types%
Cells in seminiferous ducts: 60 Other cell types: 40
Male, age 26
Testis sample 281 pTPM: 3.3
Cell types%
Cells in seminiferous ducts: 55 Other cell types: 45
Male, age 50
Testis sample 282 pTPM: 6
Cell types%
Cells in seminiferous ducts: 85 Other cell types: 15
Male, age 37
Testis sample 283 pTPM: 13.9
Cell types%
Cells in seminiferous ducts: 35 Other cell types: 65
Male, age 51
Testis sample 349 pTPM: 4.5
Cell types%
Cells in seminiferous ducts: 65 Other cell types: 35
Male, age 34
Testis sample 354 pTPM: 9.1
Cell types%
Cells in seminiferous ducts: 70 Other cell types: 30
Male, age 26
Testis sample 371 pTPM: 2.4
Cell types%
Cells in seminiferous ducts: 75 Other cell types: 25
TESTIS - GTEx RNA-seqi
RNA-Seq data generated by the Genotype-Tissue Expression (GTEx) project from human tissues is reported as average pTPM. More information can be found on the GTEx portal.
Distribution across the dataset is visualized with box plots, shown as median and 25th and 75th percentiles. Points are displayed as outliers if they are above or below 1.5 times the interquartile range. pTPM values of the individual samples are presented next to the box plot.
Max pTPM: 136.9
Min pTPM: 2.1
Std pTPM: 11.7
Median pTPM: 5.0
GTEX-11TT1-2226-SM-5GU6B
20-29 years, male
136.9
GTEX-1339X-1926-SM-5PNVP
40-49 years, male
57.3
GTEX-14C38-0126-SM-5YY9V
50-59 years, male
50.2
GTEX-U8XE-0126-SM-4E3I3
30-39 years, male
44.1
GTEX-QEG5-0126-SM-4R1JR
20-29 years, male
41.5
GTEX-1CB4J-1626-SM-79OOK
60-69 years, male
40.4
GTEX-1AX8Z-2826-SM-73KTZ
60-69 years, male
40.1
GTEX-RUSQ-2126-SM-47JXK
50-59 years, male
38.1
GTEX-14PJ4-1726-SM-664OC
60-69 years, male
35.2
GTEX-S4Z8-2126-SM-4AD5H
60-69 years, male
33.3
GTEX-O5YT-2126-SM-3MJGD
20-29 years, male
32.3
GTEX-144GM-0426-SM-5Q5C8
20-29 years, male
31.0
GTEX-Y3I4-2026-SM-4TT6Z
50-59 years, male
30.4
GTEX-1399T-1526-SM-5P9J6
60-69 years, male
28.4
GTEX-NPJ8-1226-SM-3MJHM
40-49 years, male
27.4
GTEX-14A5H-0626-SM-5TDCO
60-69 years, male
26.6
GTEX-Y8E4-2226-SM-5LU94
40-49 years, male
26.6
GTEX-15G19-1326-SM-6LPIR
60-69 years, male
26.0
GTEX-148VJ-2526-SM-5TDEI
70-79 years, male
25.9
GTEX-18A67-1826-SM-7KFT7
50-59 years, male
25.6
GTEX-ZLFU-2026-SM-4WWG2
40-49 years, male
24.9
GTEX-WFG8-1926-SM-4LVM1
20-29 years, male
23.2
GTEX-XBED-2026-SM-4AT5D
60-69 years, male
23.2
GTEX-13O1R-0726-SM-5IJEI
60-69 years, male
20.5
GTEX-1E2YA-2826-SM-7EPIN
50-59 years, male
16.6
GTEX-17F97-2726-SM-7IGQ4
50-59 years, male
15.2
GTEX-ZTX8-1126-SM-51MRM
20-29 years, male
14.8
GTEX-13QJ3-0226-SM-5S2PU
50-59 years, male
14.5
GTEX-WVJS-2726-SM-4MVNU
50-59 years, male
14.4
GTEX-S4Q7-1226-SM-4AD5I
20-29 years, male
14.2
GTEX-117YX-2026-SM-5GIEF
50-59 years, male
13.9
GTEX-147GR-0626-SM-5S2PK
60-69 years, male
13.7
GTEX-WY7C-2226-SM-4ONCS
50-59 years, male
12.4
GTEX-1C6VS-1126-SM-7EWEW
60-69 years, male
12.3
GTEX-S33H-0126-SM-4AD62
30-39 years, male
12.1
GTEX-131XE-0426-SM-5IJF4
50-59 years, male
11.8
GTEX-VJYA-1426-SM-4KL1Y
60-69 years, male
11.8
GTEX-Q2AH-1526-SM-48TZG
40-49 years, male
11.3
GTEX-17MF6-2726-SM-7IGMZ
40-49 years, male
11.1
GTEX-PLZ5-1526-SM-3P5ZX
50-59 years, male
11.0
GTEX-1399R-1626-SM-5P9GG
30-39 years, male
10.8
GTEX-15RJ7-1826-SM-7KUMJ
40-49 years, male
10.8
GTEX-PLZ6-1226-SM-3P5ZS
30-39 years, male
10.7
GTEX-13OW8-0526-SM-5KM24
60-69 years, male
10.4
GTEX-1C6VQ-1426-SM-73KTW
50-59 years, male
10.3
GTEX-XPT6-1626-SM-4B655
20-29 years, male
9.6
GTEX-14A6H-2326-SM-5Q5B5
30-39 years, male
9.5
GTEX-12BJ1-1326-SM-5BC5P
60-69 years, male
9.0
GTEX-132QS-1226-SM-5P9GD
60-69 years, male
9.0
GTEX-ZT9X-1426-SM-5DUX1
40-49 years, male
8.8
GTEX-1A3MX-1026-SM-731F8
60-69 years, male
8.7
GTEX-17HGU-0726-SM-7DUFN
50-59 years, male
8.6
GTEX-YJ89-0626-SM-4TT3Z
60-69 years, male
8.4
GTEX-OIZH-2126-SM-3NB1P
50-59 years, male
8.3
GTEX-TKQ2-1526-SM-4DXUN
50-59 years, male
8.1
GTEX-13FTW-1326-SM-5LZZD
40-49 years, male
8.0
GTEX-145LT-0426-SM-5LUAP
40-49 years, male
8.0
GTEX-144GN-1626-SM-5Q5BU
50-59 years, male
7.9
GTEX-18A66-0726-SM-72D77
60-69 years, male
7.9
GTEX-18A7B-1526-SM-7KFTH
70-79 years, male
7.6
GTEX-1AX9K-1826-SM-731CY
50-59 years, male
7.6
GTEX-15RIE-0626-SM-6M47G
60-69 years, male
7.5
GTEX-QV44-1726-SM-4R1KG
50-59 years, male
7.4
GTEX-1AYCT-1026-SM-79ONR
50-59 years, male
7.3
GTEX-1A3MV-0726-SM-72D5M
30-39 years, male
7.2
GTEX-P4QS-2126-SM-3NMCF
60-69 years, male
7.2
GTEX-Y9LG-1726-SM-4VBQE
30-39 years, male
7.2
GTEX-11P7K-1026-SM-5HL6Y
30-39 years, male
7.1
GTEX-QLQ7-1426-SM-4R1JX
60-69 years, male
7.1
GTEX-QMRM-1526-SM-4R1K6
50-59 years, male
7.1
GTEX-S3XE-1526-SM-4AD5A
50-59 years, male
7.1
GTEX-ZPU1-2126-SM-57WED
40-49 years, male
7.1
GTEX-12WSM-1326-SM-5GCP9
60-69 years, male
7.0
GTEX-R55D-0126-SM-48FEL
50-59 years, male
6.9
GTEX-U4B1-1526-SM-4DXSL
40-49 years, male
6.9
GTEX-14C5O-2326-SM-73KYU
60-69 years, male
6.8
GTEX-14E6E-1026-SM-664N9
30-39 years, male
6.8
GTEX-13NYB-2226-SM-5MR58
40-49 years, male
6.7
GTEX-ZDYS-1326-SM-5IJFF
50-59 years, male
6.7
GTEX-13OVK-2226-SM-6LPJY
40-49 years, male
6.6
GTEX-13OW6-0126-SM-5IJGM
50-59 years, male
6.6
GTEX-13NZB-2026-SM-5MR4M
30-39 years, male
6.5
GTEX-V1D1-2126-SM-4JBH4
50-59 years, male
6.4
GTEX-YB5E-1926-SM-5IFIG
40-49 years, male
6.4
GTEX-111CU-1726-SM-5EGHM
50-59 years, male
6.3
GTEX-11TUW-2226-SM-5EQL9
60-69 years, male
6.3
GTEX-ZAB4-0126-SM-5CVMG
40-49 years, male
6.3
GTEX-ZDTT-2026-SM-5K7TY
60-69 years, male
6.3
GTEX-12WSH-0326-SM-5GCNH
50-59 years, male
6.2
GTEX-OIZI-0126-SM-3NB13
40-49 years, male
6.2
GTEX-U3ZM-1626-SM-4DXSK
40-49 years, male
6.1
GTEX-13OVH-0726-SM-5N9BU
70-79 years, male
6.0
GTEX-OHPM-2126-SM-3LK75
50-59 years, male
6.0
GTEX-13NZA-2526-SM-5IJFX
60-69 years, male
5.9
GTEX-14PHX-1426-SM-69LPP
50-59 years, male
5.9
GTEX-1B8KZ-1826-SM-73KVJ
50-59 years, male
5.9
GTEX-15SKB-0326-SM-6M477
60-69 years, male
5.8
GTEX-QLQW-1026-SM-447A9
30-39 years, male
5.8
GTEX-SNOS-1126-SM-4DM67
40-49 years, male
5.8
GTEX-OOBK-2126-SM-3LK5T
40-49 years, male
5.7
GTEX-1C4CL-1926-SM-731DY
30-39 years, male
5.6
GTEX-13O21-1226-SM-5J2MK
50-59 years, male
5.5
GTEX-13O61-2026-SM-5J2M6
60-69 years, male
5.5
GTEX-NFK9-0126-SM-3LK5H
40-49 years, male
5.5
GTEX-OOBJ-2126-SM-3NB1N
60-69 years, male
5.5
GTEX-RM2N-1326-SM-48FCW
50-59 years, male
5.5
GTEX-11O72-0726-SM-5P9GO
40-49 years, male
5.4
GTEX-139T6-1226-SM-5IFFC
50-59 years, male
5.4
GTEX-14B4R-1026-SM-5TDDS
30-39 years, male
5.4
GTEX-T8EM-0126-SM-4DM5R
40-49 years, male
5.4
GTEX-ZVZP-2226-SM-57WBF
50-59 years, male
5.4
GTEX-11ONC-2226-SM-5HL6D
60-69 years, male
5.3
GTEX-145MF-1726-SM-5LU9H
50-59 years, male
5.3
GTEX-1B8KE-1426-SM-7EWEL
50-59 years, male
5.3
GTEX-Q2AI-1226-SM-48U14
40-49 years, male
5.3
GTEX-WHSE-0426-SM-4M1XO
20-29 years, male
5.3
GTEX-X3Y1-2626-SM-4PQZI
40-49 years, male
5.3
GTEX-11DXY-0226-SM-5H123
60-69 years, male
5.2
GTEX-13OW5-2526-SM-5L3I1
60-69 years, male
5.2
GTEX-145MO-0126-SM-5S2QU
60-69 years, male
5.2
GTEX-17F9E-1626-SM-7EWDB
50-59 years, male
5.2
GTEX-WFON-2026-SM-4LVMW
40-49 years, male
5.2
GTEX-WYJK-1826-SM-4ONDM
50-59 years, male
5.2
GTEX-14PJN-1626-SM-68727
30-39 years, male
5.1
GTEX-1CAMR-1526-SM-79OLP
20-29 years, male
5.1
GTEX-18D9B-2726-SM-72D73
60-69 years, male
5.0
GTEX-T5JC-0726-SM-4DM55
20-29 years, male
5.0
GTEX-WVLH-2626-SM-4MVNV
50-59 years, male
5.0
GTEX-X261-2326-SM-4PQYU
50-59 years, male
5.0
GTEX-XPVG-2226-SM-4B65U
50-59 years, male
5.0
GTEX-U8T8-1126-SM-4DXUE
60-69 years, male
4.9
GTEX-XLM4-1526-SM-4AT6D
60-69 years, male
4.9
GTEX-13N1W-2626-SM-5IJEP
70-79 years, male
4.8
GTEX-R55E-0726-SM-48FCZ
20-29 years, male
4.8
GTEX-14753-0626-SM-5Q5CY
60-69 years, male
4.7
GTEX-1B996-2326-SM-731EC
60-69 years, male
4.7
GTEX-XMK1-2026-SM-4B65K
40-49 years, male
4.7
GTEX-14C39-0526-SM-664OF
40-49 years, male
4.6
GTEX-1AX9I-1826-SM-72D5I
60-69 years, male
4.6
GTEX-1CB4I-0926-SM-7MKFY
50-59 years, male
4.6
GTEX-QV31-1126-SM-4R1K4
30-39 years, male
4.6
GTEX-SNMC-1026-SM-4DM7K
20-29 years, male
4.6
GTEX-XAJ8-1326-SM-47JYT
40-49 years, male
4.6
GTEX-ZV7C-2026-SM-5NQ8F
50-59 years, male
4.6
GTEX-11GS4-2026-SM-5N9CP
60-69 years, male
4.5
GTEX-13N2G-0126-SM-5N9DV
60-69 years, male
4.5
GTEX-14BIL-2226-SM-73KWF
50-59 years, male
4.5
GTEX-17HHE-1226-SM-793C6
50-59 years, male
4.5
GTEX-U3ZH-1526-SM-4DXV1
30-39 years, male
4.5
GTEX-YFCO-1726-SM-4W21S
40-49 years, male
4.5
GTEX-11EQ8-1426-SM-5EGJR
60-69 years, male
4.4
GTEX-147JS-0126-SM-5S2TW
60-69 years, male
4.4
GTEX-14E1K-1926-SM-73KWS
50-59 years, male
4.4
GTEX-16XZZ-0626-SM-6M47T
60-69 years, male
4.4
GTEX-RN64-2326-SM-48FDW
50-59 years, male
4.4
GTEX-14E7W-0726-SM-664OK
70-79 years, male
4.3
GTEX-14PJ3-1626-SM-664O5
50-59 years, male
4.3
GTEX-16Z82-2726-SM-7KULV
60-69 years, male
4.3
GTEX-ZYFC-0126-SM-5GIEH
50-59 years, male
4.3
GTEX-11DXZ-2126-SM-59881
50-59 years, male
4.2
GTEX-12WSL-2326-SM-5DUXQ
50-59 years, male
4.2
GTEX-13111-1526-SM-5EGJX
50-59 years, male
4.2
GTEX-16AAH-1626-SM-7EWE2
50-59 years, male
4.2
GTEX-17KNJ-1126-SM-7KFT6
50-59 years, male
4.2
GTEX-X5EB-2026-SM-4E3KA
40-49 years, male
4.2
GTEX-12696-0226-SM-5EGL3
60-69 years, male
4.1
GTEX-14DAR-1126-SM-793AT
50-59 years, male
4.1
GTEX-UPJH-0126-SM-4IHLL
50-59 years, male
4.1
GTEX-XBEC-0126-SM-4GIDT
50-59 years, male
4.1
GTEX-YF7O-2026-SM-4W1YE
50-59 years, male
4.1
GTEX-145MH-2326-SM-5O9AW
50-59 years, male
4.0
GTEX-REY6-0126-SM-48FDT
60-69 years, male
4.0
GTEX-WH7G-1926-SM-4LVMM
40-49 years, male
4.0
GTEX-ZZ64-1126-SM-5GZXY
20-29 years, male
4.0
GTEX-111YS-2026-SM-5EGGL
60-69 years, male
3.9
GTEX-17MFQ-0826-SM-793C8
20-29 years, male
3.9
GTEX-18465-1526-SM-7KFTV
50-59 years, male
3.9
GTEX-OXRL-2126-SM-3NM98
50-59 years, male
3.9
GTEX-TKQ1-0926-SM-4DXU2
30-39 years, male
3.9
GTEX-WHSB-2126-SM-4M1XF
50-59 years, male
3.9
GTEX-11EI6-2226-SM-5EGJM
60-69 years, male
3.8
GTEX-16YQH-1826-SM-6LPJW
30-39 years, male
3.8
GTEX-117XS-2026-SM-5GID1
60-69 years, male
3.7
GTEX-13VXU-0726-SM-5J2O7
50-59 years, male
3.7
GTEX-17GQL-1726-SM-718B8
60-69 years, male
3.7
GTEX-1CB4G-2426-SM-7DUGM
60-69 years, male
3.7
GTEX-WOFM-1126-SM-4OOSB
20-29 years, male
3.7
GTEX-Y5V6-1726-SM-4VDSZ
60-69 years, male
3.7
GTEX-ZTSS-1526-SM-51MTC
40-49 years, male
3.7
GTEX-1AX9J-1226-SM-72D6P
60-69 years, male
3.6
GTEX-1F6IF-0526-SM-7MKHD
60-69 years, male
3.6
GTEX-S95S-1126-SM-4B64E
60-69 years, male
3.6
GTEX-YEC4-1526-SM-4W1YU
40-49 years, male
3.6
GTEX-11P82-1526-SM-5BC5M
20-29 years, male
3.5
GTEX-12ZZY-0126-SM-5LZV2
60-69 years, male
3.5
GTEX-15SHV-1926-SM-6LPI1
60-69 years, male
3.5
GTEX-16MTA-1126-SM-6LPJA
50-59 years, male
3.5
GTEX-18A6Q-2626-SM-7KFT3
60-69 years, male
3.5
GTEX-1EKGG-2726-SM-79OOD
60-69 years, male
3.5
GTEX-N7MS-0126-SM-3TW8O
60-69 years, male
3.5
GTEX-PW2O-1426-SM-48TCD
20-29 years, male
3.5
GTEX-S7SE-0326-SM-4AT5Q
50-59 years, male
3.5
GTEX-111VG-1926-SM-5GIDO
60-69 years, male
3.4
GTEX-11WQC-2326-SM-5EQKE
60-69 years, male
3.4
GTEX-139TT-2226-SM-5LZWO
60-69 years, male
3.4
GTEX-13FLW-2126-SM-5N9FD
50-59 years, male
3.4
GTEX-144GL-0726-SM-5LU4P
50-59 years, male
3.4
GTEX-17HHY-0726-SM-7IGM6
50-59 years, male
3.4
GTEX-1B8SF-2926-SM-731DL
60-69 years, male
3.4
GTEX-1EU9M-1626-SM-7EWF2
60-69 years, male
3.4
GTEX-11NSD-1026-SM-5N9BE
20-29 years, male
3.3
GTEX-1212Z-0326-SM-5FQSJ
60-69 years, male
3.3
GTEX-15RIF-1826-SM-6M469
20-29 years, male
3.3
GTEX-1BAJH-0726-SM-7IGMF
70-79 years, male
3.3
GTEX-ZUA1-2726-SM-59HLJ
40-49 years, male
3.3
GTEX-11LCK-2326-SM-5HL53
30-39 years, male
3.2
GTEX-139TS-1726-SM-5IJG5
60-69 years, male
3.2
GTEX-17HII-0126-SM-7KFSS
50-59 years, male
3.2
GTEX-V955-1926-SM-4KL1L
60-69 years, male
3.2
GTEX-WK11-0326-SM-4OOS6
50-59 years, male
3.2
GTEX-ZT9W-2226-SM-57WFU
50-59 years, male
3.2
GTEX-12C56-1426-SM-5FQSW
20-29 years, male
3.1
GTEX-18QFQ-1926-SM-72D5H
30-39 years, male
3.1
GTEX-13112-0226-SM-5P9IV
50-59 years, male
3.0
GTEX-183FY-1926-SM-7KFRI
20-29 years, male
3.0
GTEX-QEG4-0126-SM-48TZE
30-39 years, male
3.0
GTEX-WZTO-0326-SM-4PQYZ
40-49 years, male
3.0
GTEX-Y111-2426-SM-4TT23
50-59 years, male
3.0
GTEX-117YW-1526-SM-5EGGP
50-59 years, male
2.9
GTEX-RWSA-2426-SM-47JXR
40-49 years, male
2.9
GTEX-YEC3-1726-SM-5IFIK
50-59 years, male
2.9
GTEX-ZA64-1626-SM-5CVME
20-29 years, male
2.9
GTEX-ZAB5-2426-SM-5CVMW
50-59 years, male
2.9
GTEX-11NUK-2626-SM-5A5MB
50-59 years, male
2.8
GTEX-14PJ2-2026-SM-6AJAQ
50-59 years, male
2.8
GTEX-XGQ4-2026-SM-4AT6G
50-59 years, male
2.8
GTEX-XQ3S-2726-SM-4BOP2
20-29 years, male
2.8
GTEX-ZVTK-0126-SM-57WDG
20-29 years, male
2.8
GTEX-ZYT6-2726-SM-5GICP
30-39 years, male
2.8
GTEX-12WSI-2126-SM-5GCMV
50-59 years, male
2.7
GTEX-13FHP-2826-SM-5IJFW
50-59 years, male
2.7
GTEX-147F4-0626-SM-5LUAK
50-59 years, male
2.7
GTEX-1C64O-2126-SM-7IGPB
60-69 years, male
2.7
GTEX-1C6VR-1526-SM-7MKG9
60-69 years, male
2.7
GTEX-11NV4-1726-SM-5N9FC
60-69 years, male
2.6
GTEX-R55C-1426-SM-48FED
40-49 years, male
2.6
GTEX-S7PM-0626-SM-4AD4Q
60-69 years, male
2.6
GTEX-111FC-1926-SM-5GZYC
60-69 years, male
2.5
GTEX-11OF3-1826-SM-5987N
60-69 years, male
2.5
GTEX-11ZUS-2726-SM-5FQUA
30-39 years, male
2.5
GTEX-14ABY-0626-SM-5Q5C9
50-59 years, male
2.5
GTEX-1GMRU-0626-SM-7MKH2
50-59 years, male
2.5
GTEX-T6MN-2026-SM-4DM7L
50-59 years, male
2.5
GTEX-1E1VI-1026-SM-7MKGQ
50-59 years, male
2.4
GTEX-11EQ9-1926-SM-5PNVV
30-39 years, male
2.3
GTEX-13OVL-0426-SM-5IFG6
50-59 years, male
2.3
GTEX-Z93S-1726-SM-5HL8G
50-59 years, male
2.2
GTEX-ZQUD-2026-SM-51MSM
30-39 years, male
2.2
GTEX-1C64N-2826-SM-7IGP5
50-59 years, male
2.1
Show allShow less
TESTIS - FANTOM5 CAGEi
RNA expression in human tissues obtained through Cap Analysis of Gene Expression (CAGE) generated by the FANTOM5 project are reported as Scaled Tags Per Million.