We use cookies to enhance the usability of our website. If you continue, we'll assume that you are happy to receive all cookies. More information. Don't show this again.
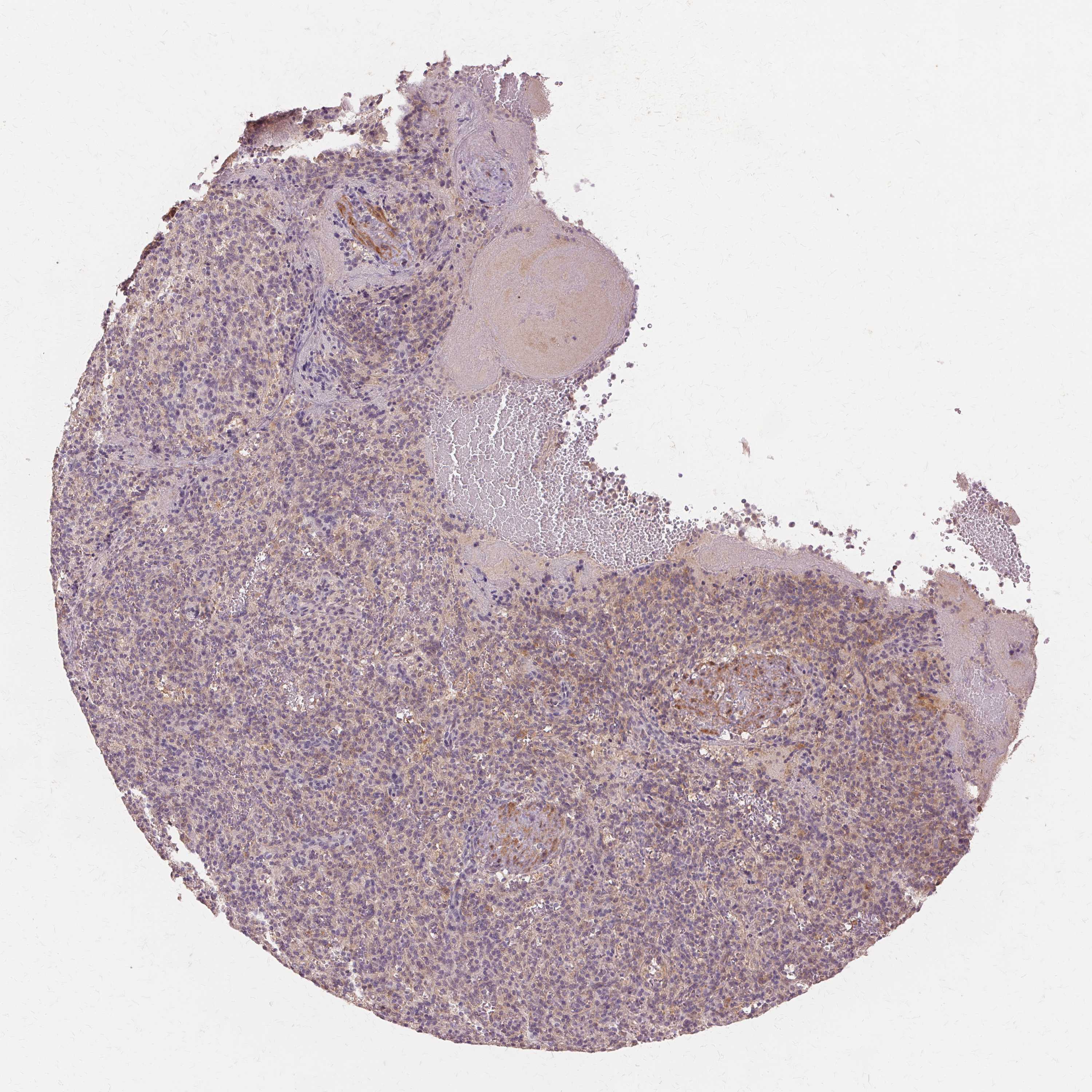
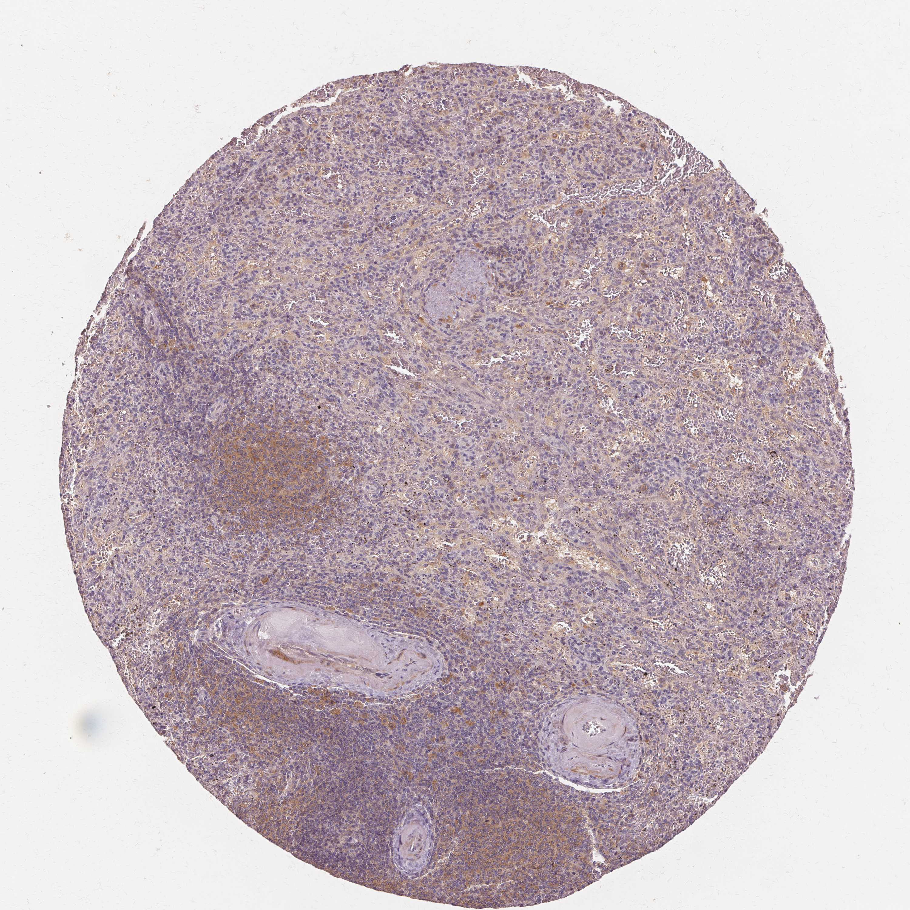
On the top, protein expression in current human tissue, based on all annotated cell types, is reported with the units not detected (n), low (l), medium (m) and high (h). Underneath, protein expression in each annotated cell type are reported using the same units.
Protein expression data is based on knowledge-based annotation. For genes where more than one antibody has been used, a collective score is set.
If knowledge-based annotation could not be performed for a gene, no data is displayed here. View antibody staining data further down this page.
A summary of mRNA expression data available for current tissue based on several datasets. The mRNA expression levels in human tissues are based on RNA-seq data generated by the Human Protein Atlas (HPA), Genotype-Tissue Expression (GTEx) portal and CAGE data generated by the FANTOM5 consortium. Consensus normalized expression (NX) levels for human tissues was created by combining the data from these three transcriptomics datasets (HPA, GTEx and FANTOM5).
The mRNA expression levels in pig are based on RNA-seq data generated by the Human Protein Atlas (HPA), and for mouse, HPA data and in situ hybridization generated by the Allen brain atlas are reported.
Scroll down to view mRNA expression data in more detail.
Antibody staining in the annotated cell types in the current human tissue is reported as not detected, low, medium, or high. This score is based on the staining intensity and fraction of stained cells.
The RNA-seq details section shows detailed information about the individual samples used for the transcript profiling and results of the RNA-seq analysis.
Information about each individual sample is listed below, including gender, age, a tissue section image and estimated fractions of cell types. pTPM (transcripts per million) values give a quantification of the gene abundance which is comparable between different genes and samples.
RNA-Seq data generated by the Genotype-Tissue Expression (GTEx) project from human tissues is reported as average pTPM. More information can be found on the GTEx portal.
Distribution across the dataset is visualized with box plots, shown as median and 25th and 75th percentiles. Points are displayed as outliers if they are above or below 1.5 times the interquartile range. pTPM values of the individual samples are presented next to the box plot.
Max pTPM: 65.7
Min pTPM: 16.7
Std pTPM: 7.3
Median pTPM: 35.1
GTEX-18A66-1826-SM-7KFSU
60-69 years, male
65.7
GTEX-ZEX8-0726-SM-4WKH8
50-59 years, male
59.9
GTEX-1C64O-1626-SM-731EN
60-69 years, male
56.9
GTEX-15RIG-0126-SM-6PAN4
40-49 years, male
52.4
GTEX-1FIGZ-0126-SM-7MKGZ
40-49 years, male
52.4
GTEX-R55G-0226-SM-48FEI
40-49 years, female
51.7
GTEX-131XE-1126-SM-5EGHW
50-59 years, male
51.3
GTEX-13VXT-1326-SM-5LU3Y
20-29 years, female
50.3
GTEX-WYJK-0726-SM-4ONC9
50-59 years, male
49.4
GTEX-15SDE-0126-SM-793BA
50-59 years, female
49.2
GTEX-Y3IK-0126-SM-4WWE9
50-59 years, female
47.7
GTEX-1A3MV-0126-SM-731FQ
30-39 years, male
47.5
GTEX-13N11-0126-SM-5KM2Z
50-59 years, female
46.8
GTEX-14BMU-0426-SM-73KYT
20-29 years, female
46.6
GTEX-1AMFI-0926-SM-731E4
50-59 years, female
46.3
GTEX-ZP4G-0326-SM-4YCEF
20-29 years, female
45.3
GTEX-117YX-2126-SM-5GIEL
50-59 years, male
44.1
GTEX-1B97J-1926-SM-7IGQB
50-59 years, female
44.1
GTEX-XV7Q-0126-SM-4BRVK
40-49 years, female
43.8
GTEX-15RIF-0526-SM-6LLI2
20-29 years, male
43.6
GTEX-ZTTD-1726-SM-57WEL
50-59 years, male
43.5
GTEX-1B97I-0126-SM-731DH
40-49 years, male
42.9
GTEX-146FQ-0626-SM-5LU9U
30-39 years, male
42.6
GTEX-14PJ6-0226-SM-6AJ9K
60-69 years, female
42.4
GTEX-P4PP-0926-SM-48TBZ
30-39 years, female
42.1
GTEX-145MN-0126-SM-5RQHY
30-39 years, male
42.0
GTEX-147F3-0126-SM-5NQBJ
50-59 years, female
42.0
GTEX-Q734-0226-SM-48U1A
40-49 years, female
41.9
GTEX-169BO-0126-SM-79OLS
50-59 years, male
41.6
GTEX-13U4I-1626-SM-5IFFR
40-49 years, female
41.2
GTEX-ZVP2-0526-SM-51MSC
50-59 years, male
41.0
GTEX-15CHC-0726-SM-6AJ9D
60-69 years, female
40.8
GTEX-QLQW-0126-SM-447BK
30-39 years, male
40.7
GTEX-X585-1826-SM-4QAS3
50-59 years, male
40.7
GTEX-XXEK-0126-SM-4BRVU
50-59 years, male
40.7
GTEX-1CB4I-1426-SM-79OLZ
50-59 years, male
40.6
GTEX-111CU-0426-SM-5GZY1
50-59 years, male
40.5
GTEX-PW2O-0126-SM-48TC8
20-29 years, male
40.5
GTEX-OOBJ-0926-SM-48TDO
60-69 years, male
40.4
GTEX-RUSQ-0126-SM-47JWV
50-59 years, male
40.3
GTEX-U3ZN-0126-SM-4DXUM
30-39 years, female
40.3
GTEX-XMK1-0126-SM-4B65F
40-49 years, male
40.1
GTEX-U3ZH-0126-SM-4DXUK
30-39 years, male
40.0
GTEX-17HHE-0326-SM-793BH
50-59 years, male
39.9
GTEX-Q2AH-0226-SM-48U1I
40-49 years, male
39.8
GTEX-1211K-0426-SM-5FQTP
60-69 years, female
39.7
GTEX-11NSD-0426-SM-5N9CR
20-29 years, male
39.5
GTEX-ZLFU-0526-SM-4WWBN
40-49 years, male
39.5
GTEX-13OVK-0426-SM-7KFT8
40-49 years, male
39.4
GTEX-14DAR-0326-SM-5S2PS
50-59 years, male
39.4
GTEX-12WSJ-0526-SM-5GCOZ
40-49 years, female
39.1
GTEX-1CB4E-0126-SM-7DHMX
60-69 years, male
38.8
GTEX-1122O-0526-SM-5N9DM
60-69 years, female
38.6
GTEX-P4QS-0926-SM-48TBS
60-69 years, male
38.6
GTEX-YFCO-0926-SM-5LUA5
40-49 years, male
38.6
GTEX-YB5E-0426-SM-5IFHR
40-49 years, male
38.5
GTEX-14E1K-0126-SM-664NL
50-59 years, male
38.3
GTEX-PX3G-0926-SM-48U12
20-29 years, female
38.2
GTEX-Y5LM-0326-SM-4VBRN
40-49 years, female
37.9
GTEX-O5YT-0926-SM-48TDG
20-29 years, male
37.6
GTEX-QMRM-0226-SM-4R1K7
50-59 years, male
37.4
GTEX-WHWD-0126-SM-4OORS
50-59 years, male
37.4
GTEX-1399S-0226-SM-5IFFG
30-39 years, female
37.3
GTEX-11P7K-0426-SM-5BC5H
30-39 years, male
37.2
GTEX-131XG-0426-SM-5IFGD
50-59 years, female
37.1
GTEX-T5JW-0126-SM-4DM6K
20-29 years, female
37.1
GTEX-XAJ8-0126-SM-47JYG
40-49 years, male
36.9
GTEX-Y8LW-0126-SM-4VBS1
50-59 years, female
36.9
GTEX-15ER7-1526-SM-6LLHO
20-29 years, female
36.8
GTEX-15F5U-0126-SM-6LPKA
40-49 years, male
36.7
GTEX-QV31-0126-SM-447BP
30-39 years, male
36.3
GTEX-146FR-1926-SM-5NQA6
60-69 years, female
36.1
GTEX-XGQ4-0126-SM-4AT4H
50-59 years, male
36.1
GTEX-XQ8I-1726-SM-4BOQB
50-59 years, male
36.0
GTEX-WXYG-0126-SM-4OND7
50-59 years, female
35.8
GTEX-ZPU1-1026-SM-4YCEQ
40-49 years, male
35.8
GTEX-15SB6-0126-SM-6LPJR
50-59 years, female
35.7
GTEX-1AX9K-0226-SM-793CM
50-59 years, male
35.5
GTEX-15ETS-3126-SM-6LPKN
40-49 years, female
35.4
GTEX-18A67-1526-SM-7LG6F
50-59 years, male
35.4
GTEX-1AYD5-0226-SM-79ONV
50-59 years, male
35.2
GTEX-14JG6-0226-SM-6872A
30-39 years, female
35.1
GTEX-15SHV-0126-SM-6LPIS
60-69 years, male
34.9
GTEX-1C4CL-0626-SM-731DM
30-39 years, male
34.8
GTEX-14PJ5-0326-SM-664OD
60-69 years, female
34.7
GTEX-ZF2S-0326-SM-4WKGD
50-59 years, female
34.7
GTEX-12WSK-0126-SM-5GCO7
40-49 years, female
34.6
GTEX-12WSG-0926-SM-5EGIH
50-59 years, female
34.4
GTEX-POMQ-0126-SM-48TD6
20-29 years, female
34.3
GTEX-11P81-1326-SM-5GU5S
30-39 years, female
34.2
GTEX-139YR-0426-SM-5IFFV
50-59 years, male
34.2
GTEX-W5WG-0626-SM-4SOID
50-59 years, female
34.1
GTEX-17F96-1426-SM-7IGQA
70-79 years, male
33.9
GTEX-ZV6S-0826-SM-5NQ6Z
40-49 years, female
33.9
GTEX-13S86-0126-SM-5S2PI
40-49 years, male
33.7
GTEX-ZAB5-0526-SM-5CVMU
50-59 years, male
33.7
GTEX-ZYFG-0726-SM-5GIDX
60-69 years, female
33.6
GTEX-11DXX-0726-SM-5H12X
60-69 years, female
33.5
GTEX-U4B1-0526-SM-4DXTK
40-49 years, male
33.4
GTEX-YB5K-1926-SM-4VDT4
40-49 years, female
33.3
GTEX-QCQG-0226-SM-48U28
50-59 years, female
33.1
GTEX-12WSD-1726-SM-5GCN4
60-69 years, female
33.0
GTEX-11VI4-0126-SM-5GU6Z
40-49 years, female
32.8
GTEX-WYVS-0126-SM-4ONDH
40-49 years, female
32.7
GTEX-13FH7-1326-SM-5IFG8
50-59 years, female
32.6
GTEX-144GN-2126-SM-5O99D
50-59 years, male
32.3
GTEX-15UF7-1926-SM-6LPJT
40-49 years, male
32.3
GTEX-11XUK-0426-SM-5EQML
40-49 years, female
32.1
GTEX-1399R-0226-SM-5IJGG
30-39 years, male
32.1
GTEX-1C6VQ-2126-SM-7IGNL
50-59 years, male
32.1
GTEX-ZLWG-0426-SM-4WWFA
50-59 years, female
32.1
GTEX-ZF29-0626-SM-4WKHD
60-69 years, female
32.0
GTEX-14PK6-0526-SM-69LOF
70-79 years, female
31.9
GTEX-17F9E-1126-SM-79OMO
50-59 years, male
31.5
GTEX-S4Z8-0226-SM-4AD5K
60-69 years, male
31.5
GTEX-PLZ6-0126-SM-48TC6
30-39 years, male
31.4
GTEX-X4LF-0226-SM-4QAS8
50-59 years, male
31.2
GTEX-QV44-0126-SM-4R1KH
50-59 years, male
31.1
GTEX-11LCK-0126-SM-5A5M5
30-39 years, male
30.8
GTEX-13CF3-0226-SM-5J1NW
60-69 years, female
30.8
GTEX-15DZA-0126-SM-6PAMV
30-39 years, female
30.8
GTEX-17GQL-0126-SM-72D5Q
60-69 years, male
30.7
GTEX-UJHI-0126-SM-4IHLP
50-59 years, female
30.7
GTEX-13PVR-0326-SM-5RQJY
60-69 years, female
30.4
GTEX-XPVG-0626-SM-4B65B
50-59 years, male
30.4
GTEX-12WSN-0126-SM-5DUX5
40-49 years, male
30.3
GTEX-15DYW-1426-SM-6LPIW
60-69 years, female
30.2
GTEX-1CB4F-0226-SM-7EPHS
60-69 years, male
30.2
GTEX-OIZH-0926-SM-48TBR
50-59 years, male
30.1
GTEX-YEC4-0126-SM-4W21T
40-49 years, male
30.1
GTEX-Y114-0726-SM-4TT6U
50-59 years, female
29.9
GTEX-12BJ1-0726-SM-5EGGF
60-69 years, male
29.7
GTEX-ZZPU-0126-SM-5E446
50-59 years, female
29.7
GTEX-Z9EW-0726-SM-5HL9H
40-49 years, male
29.3
GTEX-X3Y1-0126-SM-4PQZA
40-49 years, male
29.1
GTEX-WFON-0126-SM-4LVM9
40-49 years, male
28.9
GTEX-WY7C-0126-SM-4ONCO
50-59 years, male
28.9
GTEX-14PJ4-0526-SM-6871G
60-69 years, male
28.8
GTEX-QDVN-0526-SM-48TZ4
50-59 years, male
28.7
GTEX-UPK5-1626-SM-4JBHI
40-49 years, male
28.7
GTEX-VJYA-0126-SM-4KL1P
60-69 years, male
28.7
GTEX-13X6H-0726-SM-5Q5BX
50-59 years, female
28.6
GTEX-14ICL-0126-SM-664NG
30-39 years, male
28.5
GTEX-111FC-1326-SM-5N9D9
60-69 years, male
28.3
GTEX-14PKU-0526-SM-6871A
40-49 years, female
28.2
GTEX-15CHQ-1226-SM-6ETZL
60-69 years, male
28.2
GTEX-139T6-0226-SM-5IFGZ
50-59 years, male
28.0
GTEX-ZVZP-0726-SM-59HKA
50-59 years, male
28.0
GTEX-11EQ9-0426-SM-5A5JY
30-39 years, male
27.2
GTEX-13PL7-1126-SM-5MR5O
60-69 years, female
27.2
GTEX-1B8KZ-0226-SM-7EWF6
50-59 years, male
26.8
GTEX-15RJ7-0126-SM-6LPJN
40-49 years, male
26.7
GTEX-16XZY-0126-SM-7IGQ9
70-79 years, male
26.7
GTEX-14E6E-1226-SM-5S2R5
30-39 years, male
26.4
GTEX-14PN3-0226-SM-6871K
60-69 years, female
25.8
GTEX-ZDYS-1026-SM-4WKHC
50-59 years, male
25.8
GTEX-Y3I4-0126-SM-4TT26
50-59 years, male
24.7
GTEX-13111-0126-SM-5EGHO
50-59 years, male
24.5
GTEX-ZDTT-1026-SM-5KM19
60-69 years, male
24.1
GTEX-S3XE-0626-SM-4AD6B
50-59 years, male
24.0
GTEX-132QS-0226-SM-5IFFZ
60-69 years, male
21.3
GTEX-16MT8-1826-SM-7EWE8
60-69 years, female
16.7
Show allShow less
SPLEEN - FANTOM5 CAGEi
RNA expression in human tissues obtained through Cap Analysis of Gene Expression (CAGE) generated by the FANTOM5 project are reported as Scaled Tags Per Million.