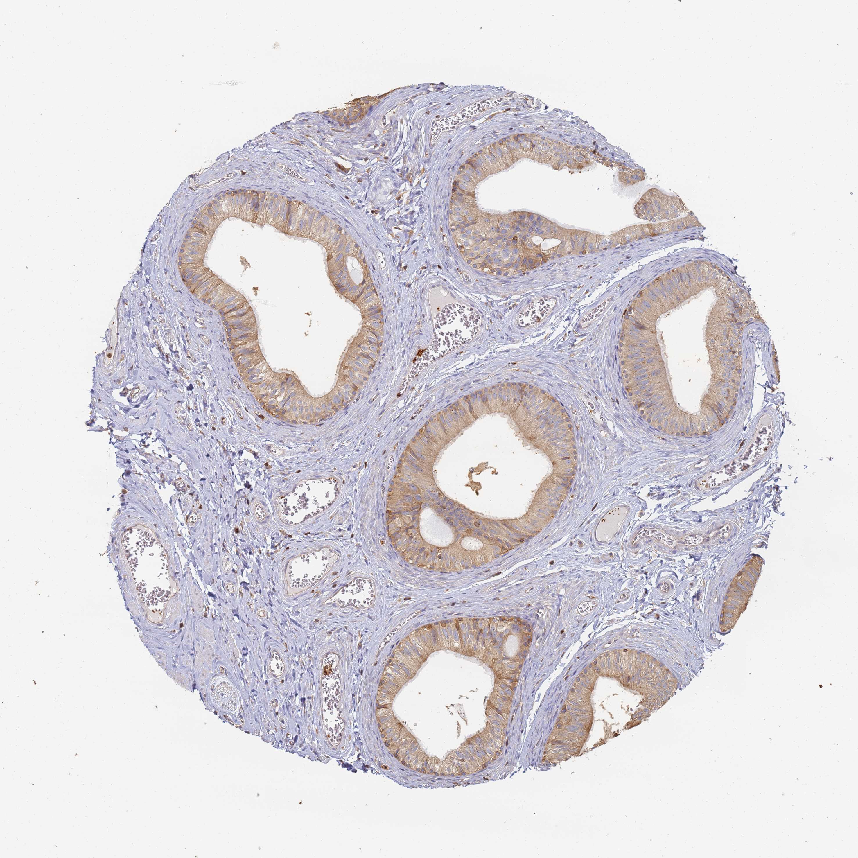
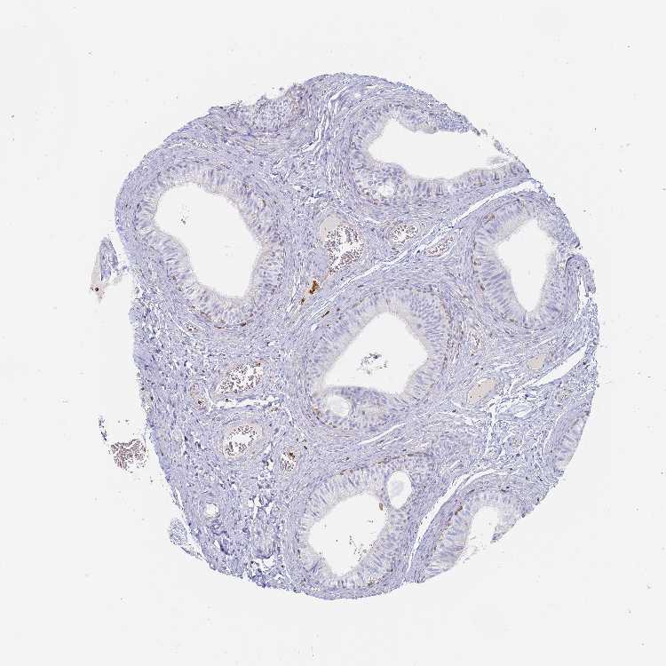
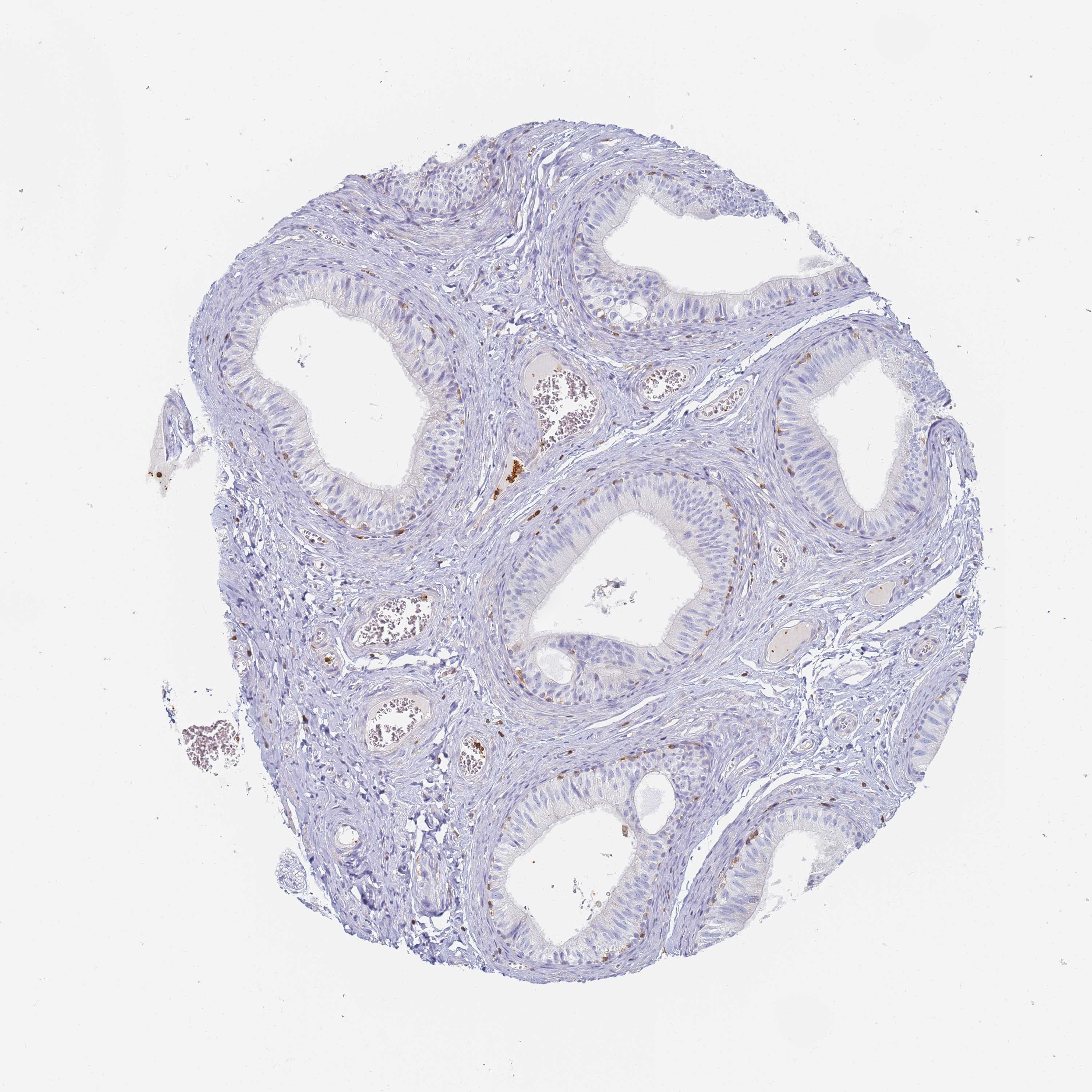
BIN2