We use cookies to enhance the usability of our website. If you continue, we'll assume that you are happy to receive all cookies. More information. Don't show this again.
On the top, protein expression in current human tissue, based on all annotated cell types, is reported with the units not detected (n), low (l), medium (m) and high (h). Underneath, protein expression in each annotated cell type are reported using the same units.
Protein expression data is based on knowledge-based annotation. For genes where more than one antibody has been used, a collective score is set.
If knowledge-based annotation could not be performed for a gene, no data is displayed here. View antibody staining data further down this page.
A summary of mRNA expression data available for current tissue based on several datasets. The mRNA expression levels in human tissues are based on RNA-seq data generated by the Human Protein Atlas (HPA), Genotype-Tissue Expression (GTEx) portal and CAGE data generated by the FANTOM5 consortium. Consensus normalized expression (NX) levels for human tissues was created by combining the data from these three transcriptomics datasets (HPA, GTEx and FANTOM5).
The mRNA expression levels in pig are based on RNA-seq data generated by the Human Protein Atlas (HPA), and for mouse, HPA data and in situ hybridization generated by the Allen brain atlas are reported.
Scroll down to view mRNA expression data in more detail.
Antibody staining in the annotated cell types in the current human tissue is reported as not detected, low, medium, or high. This score is based on the staining intensity and fraction of stained cells.
The RNA-seq details section shows detailed information about the individual samples used for the transcript profiling and results of the RNA-seq analysis.
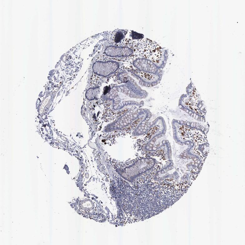
Information about each individual sample is listed below, including gender, age, a tissue section image and estimated fractions of cell types. pTPM (transcripts per million) values give a quantification of the gene abundance which is comparable between different genes and samples.
RNA-Seq data generated by the Genotype-Tissue Expression (GTEx) project from human tissues is reported as average pTPM. More information can be found on the GTEx portal.
Distribution across the dataset is visualized with box plots, shown as median and 25th and 75th percentiles. Points are displayed as outliers if they are above or below 1.5 times the interquartile range. pTPM values of the individual samples are presented next to the box plot.
Max pTPM: 350.0
Min pTPM: 46.2
Std pTPM: 49.4
Median pTPM: 136.9
GTEX-13SLW-2826-SM-5Q5ES
70-79 years, male
350.0
GTEX-ZAB4-2426-SM-5HL8A
40-49 years, male
340.0
GTEX-13X6I-2726-SM-5Q5ET
60-69 years, male
311.2
GTEX-17EUY-1726-SM-79OK4
20-29 years, male
281.4
GTEX-15EO6-2326-SM-6LPKK
50-59 years, male
271.3
GTEX-15UF6-2726-SM-7KULY
70-79 years, female
258.7
GTEX-11EI6-2626-SM-5PNVT
60-69 years, male
254.7
GTEX-WFON-1326-SM-4LVMN
40-49 years, male
251.9
GTEX-145LS-2926-SM-5O99G
60-69 years, female
251.1
GTEX-148VJ-2426-SM-5NQ9Y
70-79 years, male
241.9
GTEX-13OVJ-1826-SM-5KM2D
50-59 years, female
238.5
GTEX-WRHK-1126-SM-4MVOJ
20-29 years, female
235.3
GTEX-Y114-1626-SM-4TT7I
50-59 years, female
234.2
GTEX-12ZZW-2426-SM-5DUWE
50-59 years, male
232.3
GTEX-1AYCT-1926-SM-793AE
50-59 years, male
230.0
GTEX-13X6K-2726-SM-5O9DG
60-69 years, female
226.0
GTEX-WI4N-2226-SM-4OOS9
40-49 years, female
221.8
GTEX-1477Z-2126-SM-5Q5CM
60-69 years, male
215.4
GTEX-11DXX-1926-SM-5EGJK
60-69 years, female
214.5
GTEX-132NY-2726-SM-5PNY2
60-69 years, male
214.1
GTEX-11VI4-1426-SM-5GU6O
40-49 years, female
212.4
GTEX-14DAQ-2926-SM-664MV
60-69 years, female
212.2
GTEX-139D8-2926-SM-5IJBM
30-39 years, female
211.5
GTEX-139TS-2226-SM-5J2N1
60-69 years, male
210.3
GTEX-17F9Y-2626-SM-7IGN9
70-79 years, female
205.6
GTEX-1CB4G-2726-SM-79OO4
60-69 years, male
205.4
GTEX-ZYY3-2226-SM-5E45A
60-69 years, female
203.7
GTEX-XUZC-1526-SM-4BRV4
30-39 years, female
203.3
GTEX-13113-1426-SM-5EGHU
60-69 years, female
202.9
GTEX-144GM-1126-SM-79OJK
20-29 years, male
199.3
GTEX-15G19-2726-SM-6LPKG
60-69 years, male
198.9
GTEX-YEC3-2026-SM-4WWFL
50-59 years, male
197.5
GTEX-18A66-2626-SM-72D67
60-69 years, male
196.3
GTEX-13FHO-2726-SM-5K7VG
60-69 years, male
195.1
GTEX-11P81-1426-SM-5P9JN
30-39 years, female
191.6
GTEX-WHPG-1626-SM-4M1ZL
50-59 years, male
191.0
GTEX-14E6C-2226-SM-5QGQG
40-49 years, male
189.0
GTEX-183WM-2526-SM-731BP
70-79 years, female
185.4
GTEX-15F5U-1426-SM-7KUN2
40-49 years, male
184.7
GTEX-14PJ4-1826-SM-5YY97
60-69 years, male
182.9
GTEX-147JS-2626-SM-5S2UX
60-69 years, male
182.4
GTEX-18465-2726-SM-7LT9I
50-59 years, male
181.3
GTEX-11PRG-2026-SM-5GU5F
50-59 years, male
180.5
GTEX-WY7C-1926-SM-4ONCI
50-59 years, male
180.3
GTEX-14PHX-1126-SM-5YYA5
50-59 years, male
178.5
GTEX-1A3MX-2326-SM-718B4
60-69 years, male
177.8
GTEX-132AR-2826-SM-5IJFV
50-59 years, female
176.9
GTEX-14A5I-2426-SM-5Q5CP
50-59 years, female
176.7
GTEX-147GR-2826-SM-5RQK8
60-69 years, male
174.2
GTEX-12ZZY-2726-SM-5EQ45
60-69 years, male
174.1
GTEX-ZQG8-2426-SM-57WEE
60-69 years, female
171.8
GTEX-1AX9J-2526-SM-73KUY
60-69 years, male
171.5
GTEX-XV7Q-2226-SM-4BRVY
40-49 years, female
171.2
GTEX-17JCI-2826-SM-7IGNA
60-69 years, female
170.2
GTEX-146FH-2426-SM-5Q5EW
50-59 years, female
170.0
GTEX-12WSD-2626-SM-5EGJE
60-69 years, female
169.7
GTEX-15RIE-2026-SM-7KFRW
60-69 years, male
169.4
GTEX-1BAJH-2726-SM-7IGNJ
70-79 years, male
169.4
GTEX-15ETS-2326-SM-7KUGC
40-49 years, female
168.9
GTEX-ZVT4-2626-SM-5N9GJ
50-59 years, female
168.7
GTEX-15RJE-2226-SM-6M46A
40-49 years, male
168.5
GTEX-ZV6S-1126-SM-57WE9
40-49 years, female
167.8
GTEX-ZLV1-1326-SM-4WWER
60-69 years, female
167.3
GTEX-1B8L1-1926-SM-7IGND
60-69 years, male
166.9
GTEX-16XZZ-2726-SM-7EWDO
60-69 years, male
166.4
GTEX-15DCZ-2826-SM-6EU2J
20-29 years, female
165.7
GTEX-1E2YA-2526-SM-7IGOU
50-59 years, male
164.8
GTEX-1AMFI-1826-SM-73KWB
50-59 years, female
163.2
GTEX-13FH7-1626-SM-5J2O9
50-59 years, female
162.8
GTEX-13N2G-2226-SM-5IJCU
60-69 years, male
162.8
GTEX-YECK-2826-SM-5IFHF
60-69 years, male
162.3
GTEX-14C5O-2626-SM-5RQI5
60-69 years, male
162.1
GTEX-16Z82-2426-SM-7KUMS
60-69 years, male
161.2
GTEX-ZVT2-1726-SM-51MRO
50-59 years, female
161.1
GTEX-15UF7-1326-SM-7KUKV
40-49 years, male
160.9
GTEX-ZE9C-2126-SM-4WKGY
60-69 years, male
160.8
GTEX-1B932-2126-SM-7IGMU
40-49 years, female
160.4
GTEX-13OW5-2826-SM-5KM1G
60-69 years, male
159.9
GTEX-1399U-2226-SM-5KLZI
50-59 years, female
158.5
GTEX-WQUQ-2626-SM-4MVNP
60-69 years, male
157.7
GTEX-15CHQ-2626-SM-686YZ
60-69 years, male
157.0
GTEX-14E1K-1626-SM-664MO
50-59 years, male
156.1
GTEX-1EMGI-2626-SM-7IGNR
60-69 years, male
155.3
GTEX-14BIN-2426-SM-5TDCF
50-59 years, female
155.0
GTEX-117YX-0526-SM-5EGJH
50-59 years, male
154.8
GTEX-1C6VQ-2626-SM-7IGMQ
50-59 years, male
154.5
GTEX-117XS-2226-SM-5GIE1
60-69 years, male
154.0
GTEX-145MH-2726-SM-5QGQ6
50-59 years, male
151.4
GTEX-12696-1926-SM-5EGJT
60-69 years, male
151.1
GTEX-YJ8O-1426-SM-5PNV9
40-49 years, female
150.2
GTEX-111CU-1226-SM-5EGIN
50-59 years, male
149.5
GTEX-11WQK-2526-SM-5CVL8
50-59 years, male
149.4
GTEX-ZTSS-1226-SM-51MSZ
40-49 years, male
148.7
GTEX-1211K-1826-SM-5EGJ2
60-69 years, female
148.2
GTEX-11EQ9-1526-SM-5PNY7
30-39 years, male
147.9
GTEX-139T6-1426-SM-5P9J7
50-59 years, male
147.8
GTEX-13VXT-2026-SM-5L3EW
20-29 years, female
147.6
GTEX-16NGA-0926-SM-718AG
40-49 years, female
147.6
GTEX-14PN3-1926-SM-6EU1Y
60-69 years, female
147.0
GTEX-ZF28-2526-SM-57WFH
60-69 years, male
146.1
GTEX-17KNJ-1826-SM-7LT9N
50-59 years, male
145.4
GTEX-WHWD-1526-SM-4OORV
50-59 years, male
145.1
GTEX-17HG3-1126-SM-7DUFC
30-39 years, female
144.8
GTEX-131YS-2926-SM-5EGKI
60-69 years, female
143.7
GTEX-ZC5H-2426-SM-4WAZ6
40-49 years, female
142.8
GTEX-145ME-1126-SM-5SIAT
40-49 years, female
142.1
GTEX-1C475-1526-SM-7DHM3
40-49 years, female
142.0
GTEX-ZZ64-0826-SM-5E449
20-29 years, male
141.7
GTEX-ZAJG-2626-SM-5S2NU
50-59 years, female
141.4
GTEX-13RTJ-1926-SM-5YYA2
60-69 years, male
140.4
GTEX-ZF29-1826-SM-4WKG8
60-69 years, female
139.9
GTEX-17MFQ-1226-SM-7KFSA
20-29 years, male
139.7
GTEX-Z93S-2626-SM-57WBX
50-59 years, male
138.7
GTEX-ZPU1-1726-SM-4WWFV
40-49 years, male
138.7
GTEX-ZY6K-1326-SM-5GZWP
50-59 years, male
137.9
GTEX-13OVI-2126-SM-5KM3U
60-69 years, female
137.6
GTEX-1212Z-1826-SM-5FQSH
60-69 years, male
136.9
GTEX-ZLFU-1426-SM-4WWEU
40-49 years, male
136.3
GTEX-Y5LM-1426-SM-5RQJL
40-49 years, female
136.1
GTEX-1122O-1426-SM-5H11R
60-69 years, female
135.8
GTEX-ZYFG-1826-SM-5GZWX
60-69 years, female
135.5
GTEX-18QFQ-1726-SM-731C9
30-39 years, male
135.3
GTEX-ZVT3-2826-SM-5GU6A
60-69 years, female
134.8
GTEX-1339X-1726-SM-5P9J9
40-49 years, male
134.3
GTEX-Y3I4-1126-SM-4TT7Y
50-59 years, male
134.3
GTEX-1B97I-1526-SM-73KUK
40-49 years, male
134.0
GTEX-Y8LW-1126-SM-4VDS4
50-59 years, female
132.5
GTEX-X15G-1526-SM-4PQZM
50-59 years, female
132.0
GTEX-131XG-1526-SM-5GCNQ
50-59 years, female
131.6
GTEX-1CB4F-1926-SM-7MKFN
60-69 years, male
130.3
GTEX-WFG8-1726-SM-4LVM6
20-29 years, male
130.1
GTEX-12WSG-2426-SM-5EQLZ
50-59 years, female
129.7
GTEX-14AS3-1026-SM-5TDD7
40-49 years, female
129.5
GTEX-13PVR-1726-SM-5Q5EC
60-69 years, female
129.3
GTEX-11GS4-1826-SM-5HL4T
60-69 years, male
129.1
GTEX-13OW8-2726-SM-5L3FZ
60-69 years, male
129.0
GTEX-13111-1926-SM-5GCOL
50-59 years, male
128.7
GTEX-1C2JI-1726-SM-73KUW
50-59 years, male
128.7
GTEX-14PJ3-1226-SM-5ZZVY
50-59 years, male
128.1
GTEX-12KS4-2326-SM-5EGJB
30-39 years, male
127.8
GTEX-13OVK-1026-SM-7KFTC
40-49 years, male
127.6
GTEX-ZE7O-2626-SM-51MSS
50-59 years, female
127.6
GTEX-14PKV-1926-SM-686YU
20-29 years, female
127.4
GTEX-12WSJ-1426-SM-5GCON
40-49 years, female
127.2
GTEX-X4EO-2726-SM-4E3HS
60-69 years, female
127.0
GTEX-ZYT6-2826-SM-5GICX
30-39 years, male
126.0
GTEX-13CF3-1326-SM-5LZXZ
60-69 years, female
125.4
GTEX-145MO-2626-SM-5QGPD
60-69 years, male
124.8
GTEX-YJ8A-1726-SM-5P9IQ
20-29 years, male
124.4
GTEX-14C39-1626-SM-5S2P4
40-49 years, male
124.2
GTEX-17HHE-1626-SM-7DHLN
50-59 years, male
124.1
GTEX-13G51-2126-SM-5IJD9
60-69 years, male
123.5
GTEX-11ZU8-1126-SM-5EQ5K
60-69 years, male
123.0
GTEX-ZPCL-1626-SM-57WGC
60-69 years, female
121.4
GTEX-1B8KE-1526-SM-7DUG2
50-59 years, male
121.3
GTEX-11DXY-2026-SM-5N9CZ
60-69 years, male
121.0
GTEX-15DYW-2426-SM-7KUG8
60-69 years, female
121.0
GTEX-1A3MV-1026-SM-72D5U
30-39 years, male
120.8
GTEX-ZT9W-1726-SM-51MS3
50-59 years, male
120.4
GTEX-17F96-2126-SM-7KFSM
70-79 years, male
120.3
GTEX-15DZA-1026-SM-6PAND
30-39 years, female
119.6
GTEX-WYVS-1126-SM-4SOJX
40-49 years, female
119.4
GTEX-16MTA-1626-SM-6M47N
50-59 years, male
118.6
GTEX-17GQL-1626-SM-7LG69
60-69 years, male
117.2
GTEX-11ZTS-1526-SM-5N9G7
60-69 years, female
117.0
GTEX-XBED-1726-SM-47JYO
60-69 years, male
116.6
GTEX-14PK6-1826-SM-69LOM
70-79 years, female
115.4
GTEX-ZTTD-2626-SM-57WEX
50-59 years, male
115.0
GTEX-ZAB5-1426-SM-5HL9D
50-59 years, male
114.5
GTEX-11DXZ-1626-SM-5GIDI
50-59 years, male
113.7
GTEX-1C4CL-1626-SM-7DUF3
30-39 years, male
111.9
GTEX-183FY-1426-SM-7DHLM
20-29 years, male
111.7
GTEX-12WSL-1826-SM-5LZW9
50-59 years, male
109.9
GTEX-13OW6-2226-SM-5N9FL
50-59 years, male
109.9
GTEX-12BJ1-2026-SM-5FQUH
60-69 years, male
109.8
GTEX-18A67-2226-SM-7LT9Z
50-59 years, male
109.7
GTEX-11ONC-1926-SM-5GU75
60-69 years, male
109.4
GTEX-V955-1726-SM-4JBHF
60-69 years, male
108.5
GTEX-13PVQ-2726-SM-5L3H7
50-59 years, male
108.2
GTEX-ZP4G-1526-SM-57WE5
20-29 years, female
107.8
GTEX-18A6Q-2226-SM-7LG61
60-69 years, male
107.6
GTEX-1399R-2126-SM-5K7WZ
30-39 years, male
107.2
GTEX-XUW1-1826-SM-4BOQD
50-59 years, female
107.1
GTEX-1AX9K-1626-SM-73KUS
50-59 years, male
106.5
GTEX-13O61-1526-SM-5KM3P
60-69 years, male
106.0
GTEX-ZXES-1726-SM-5E43G
30-39 years, female
103.8
GTEX-14E6E-1726-SM-5S2R6
30-39 years, male
103.3
GTEX-17HGU-2626-SM-79OKN
50-59 years, male
102.8
GTEX-14A5H-1626-SM-5SIAN
60-69 years, male
102.2
GTEX-11TUW-2326-SM-5EQMO
60-69 years, male
100.2
GTEX-139UW-2326-SM-5KM1Y
60-69 years, male
100.1
GTEX-11TT1-0926-SM-5GU5M
20-29 years, male
99.1
GTEX-1A32A-2626-SM-73KX9
50-59 years, female
98.8
GTEX-13X6J-2826-SM-7EPGA
50-59 years, male
98.6
GTEX-13U4I-2626-SM-5SI9C
40-49 years, female
98.4
GTEX-18D9A-1326-SM-7LT8P
30-39 years, female
98.1
GTEX-ZDTS-2726-SM-5L3E2
60-69 years, male
97.6
GTEX-11ZTT-1626-SM-5EQKR
60-69 years, female
96.4
GTEX-11P7K-1826-SM-5HL5A
30-39 years, male
96.1
GTEX-14BMU-1326-SM-5RQIH
20-29 years, female
95.5
GTEX-XQ8I-2326-SM-4BOQC
50-59 years, male
95.5
GTEX-ZG7Y-1826-SM-4WWD3
50-59 years, male
95.4
GTEX-ZVZQ-2626-SM-59HLB
60-69 years, female
95.4
GTEX-Y9LG-1326-SM-4VBQB
30-39 years, male
94.4
GTEX-WXYG-1726-SM-4ONCU
50-59 years, female
92.4
GTEX-11EMC-1426-SM-5N9E4
60-69 years, female
92.1
GTEX-1B996-2726-SM-7DUGG
60-69 years, male
92.0
GTEX-12WSM-1426-SM-5GCPA
60-69 years, male
91.5
GTEX-ZA64-1426-SM-5CVMC
20-29 years, male
90.3
GTEX-13O1R-2426-SM-5KLZZ
60-69 years, male
89.4
GTEX-WFG7-1626-SM-4LVMF
20-29 years, male
87.2
GTEX-15ER7-2826-SM-6PAN2
20-29 years, female
86.8
GTEX-111YS-1826-SM-5GIEP
60-69 years, male
85.7
GTEX-ZPIC-2626-SM-57WE2
40-49 years, female
85.4
GTEX-13D11-0626-SM-5LZYY
50-59 years, female
83.2
GTEX-12ZZX-2726-SM-5N9FT
40-49 years, female
83.1
GTEX-16BQI-2026-SM-7KULQ
30-39 years, female
81.7
GTEX-13FTW-2126-SM-5K7YG
40-49 years, male
80.9
GTEX-13CF2-1826-SM-5N9GK
60-69 years, male
79.3
GTEX-13PL7-2426-SM-5J2N3
60-69 years, female
78.7
GTEX-11I78-1326-SM-5PNY9
50-59 years, female
78.4
GTEX-13QBU-2026-SM-5KLZB
40-49 years, female
78.4
GTEX-15RIF-1426-SM-7KUKQ
20-29 years, male
75.4
GTEX-YF7O-1626-SM-5IFII
50-59 years, male
73.7
GTEX-YFCO-1526-SM-5YYB8
40-49 years, male
73.7
GTEX-11EM3-1626-SM-5N9CO
20-29 years, female
70.6
GTEX-XAJ8-0726-SM-47JY5
40-49 years, male
67.1
GTEX-ZYFD-2226-SM-5E43P
50-59 years, male
65.5
GTEX-ZF2S-1826-SM-4WKFF
50-59 years, female
64.8
GTEX-14JG6-1626-SM-5YYBC
30-39 years, female
63.5
GTEX-XXEK-1826-SM-4BRVC
50-59 years, male
57.2
GTEX-145LT-0826-SM-5S2QL
40-49 years, male
56.4
GTEX-131XE-1026-SM-5EGKE
50-59 years, male
46.2
Show allShow less
Colon - Transverse Average pTPM: 180.8
Samples: 274
Max pTPM: 583.6
Min pTPM: 55.0
Std pTPM: 64.7
Median pTPM: 171.0
GTEX-ZXES-1626-SM-5NQ7L
30-39 years, female
583.6
GTEX-1339X-1626-SM-5IJDN
40-49 years, male
388.1
GTEX-17EVQ-1826-SM-7IGPH
70-79 years, male
387.6
GTEX-14E1K-1826-SM-793DT
50-59 years, male
377.0
GTEX-17MF6-2426-SM-7LTAM
40-49 years, male
352.0
GTEX-13OVI-2026-SM-5J1MU
60-69 years, female
339.7
GTEX-14ICK-1026-SM-6AJA4
40-49 years, male
337.4
GTEX-144GL-2526-SM-5TDDL
50-59 years, male
335.7
GTEX-13O3P-2326-SM-5KM55
50-59 years, male
331.8
GTEX-XV7Q-2126-SM-4BRVX
40-49 years, female
327.2
GTEX-15DYW-2326-SM-6PAMU
60-69 years, female
321.5
GTEX-15SB6-1226-SM-7KUMP
50-59 years, female
315.3
GTEX-14BMV-2426-SM-5S2PP
50-59 years, male
314.4
GTEX-UJHI-1126-SM-4IHLN
50-59 years, female
311.5
GTEX-15G1A-1826-SM-7KUKO
30-39 years, male
306.1
GTEX-15UF6-2626-SM-6M466
70-79 years, female
302.9
GTEX-12WSJ-1526-SM-5GCNI
40-49 years, female
292.5
GTEX-17F98-1026-SM-7IGO8
40-49 years, female
284.7
GTEX-147JS-2526-SM-5S2Q8
60-69 years, male
281.9
GTEX-QDVN-1326-SM-48TZ3
50-59 years, male
281.5
GTEX-144GN-1126-SM-5LU33
50-59 years, male
280.5
GTEX-1AX9I-2626-SM-73KU5
60-69 years, male
277.5
GTEX-18A66-2426-SM-7KFSQ
60-69 years, male
276.6
GTEX-1B8KE-1926-SM-731EE
50-59 years, male
274.3
GTEX-Q2AH-1226-SM-48TZL
40-49 years, male
269.5
GTEX-139YR-2126-SM-5KM11
50-59 years, male
269.3
GTEX-1CB4F-2026-SM-79OLU
60-69 years, male
264.6
GTEX-11TTK-2426-SM-5PNYO
60-69 years, female
264.3
GTEX-117YX-0826-SM-5H11J
50-59 years, male
263.4
GTEX-13X6H-1926-SM-7EWD3
50-59 years, female
257.5
GTEX-ZAB4-2226-SM-5HL97
40-49 years, male
256.7
GTEX-1C6VQ-2726-SM-73KUL
50-59 years, male
256.5
GTEX-111VG-2226-SM-5N9DU
60-69 years, male
255.4
GTEX-13O3O-2526-SM-5L3DR
60-69 years, female
244.8
GTEX-1B932-2826-SM-73KUD
40-49 years, female
244.7
GTEX-Q734-1126-SM-48TZY
40-49 years, female
243.7
GTEX-R55G-1226-SM-48FDC
40-49 years, female
234.8
GTEX-15CHQ-2526-SM-6EU24
60-69 years, male
234.3
GTEX-11EM3-1526-SM-5A5KN
20-29 years, female
234.1
GTEX-13OVJ-1726-SM-5IJDZ
50-59 years, female
234.1
GTEX-13W3W-2126-SM-5K7UX
60-69 years, female
233.7
GTEX-13OVG-1426-SM-5K7VP
60-69 years, male
233.6
GTEX-SNOS-1226-SM-4DM5H
40-49 years, male
233.6
GTEX-13FHP-2426-SM-5KLZ5
50-59 years, male
232.1
GTEX-1CAMS-2526-SM-7EPH7
40-49 years, female
231.8
GTEX-145ME-0826-SM-5O9AF
40-49 years, female
230.5
GTEX-11O72-2226-SM-5PNW2
40-49 years, male
230.3
GTEX-1122O-1526-SM-5N9CL
60-69 years, female
230.2
GTEX-13OVK-0826-SM-7KULZ
40-49 years, male
230.1
GTEX-QCQG-1626-SM-48U26
50-59 years, female
230.1
GTEX-18D9U-1926-SM-7KFTM
40-49 years, male
223.9
GTEX-1C475-1626-SM-731FP
40-49 years, female
223.8
GTEX-R53T-1326-SM-48FCQ
50-59 years, female
223.7
GTEX-ZVP2-1526-SM-5NQ82
50-59 years, male
222.5
GTEX-145LS-2726-SM-5Q5D8
60-69 years, female
222.2
GTEX-O5YT-1426-SM-3MJHC
20-29 years, male
222.0
GTEX-XMK1-1726-SM-4B64Z
40-49 years, male
217.6
GTEX-147GR-2726-SM-664OO
60-69 years, male
217.2
GTEX-QLQ7-1126-SM-4R1KN
60-69 years, male
216.5
GTEX-ZV6S-1226-SM-59HLH
40-49 years, female
216.5
GTEX-14DAQ-2726-SM-5S2QY
60-69 years, female
216.4
GTEX-1128S-1626-SM-5H12O
60-69 years, female
214.8
GTEX-12ZZZ-2426-SM-5GCNN
60-69 years, male
213.7
GTEX-1BAJH-2326-SM-7IGMO
70-79 years, male
212.9
GTEX-WFON-1426-SM-4LVMT
40-49 years, male
212.5
GTEX-ZDYS-2326-SM-4WKG6
50-59 years, male
212.2
GTEX-11DXX-1826-SM-5H126
60-69 years, female
212.0
GTEX-ZZ64-0726-SM-5GZX4
20-29 years, male
211.6
GTEX-147F3-1926-SM-5SIB9
50-59 years, female
210.4
GTEX-18D9A-1126-SM-7KFRJ
30-39 years, female
210.3
GTEX-17JCI-2626-SM-7EWE6
60-69 years, female
210.1
GTEX-148VJ-2626-SM-5QGPI
70-79 years, male
208.7
GTEX-QLQW-0426-SM-447A7
30-39 years, male
208.2
GTEX-SE5C-1526-SM-4BRWU
40-49 years, female
207.2
GTEX-ZV7C-1526-SM-5NQ72
50-59 years, male
206.7
GTEX-QMRM-1226-SM-447C6
50-59 years, male
206.5
GTEX-15RIF-1326-SM-6LPKO
20-29 years, male
205.8
GTEX-132AR-2726-SM-5PNVN
50-59 years, female
204.4
GTEX-14BIN-3026-SM-5ZZUS
50-59 years, female
203.5
GTEX-14C39-1926-SM-5ZZW5
40-49 years, male
201.8
GTEX-13FTW-1826-SM-5IJEN
40-49 years, male
200.8
GTEX-OXRK-1726-SM-3NB16
50-59 years, female
199.8
GTEX-XBED-1526-SM-4AT5W
60-69 years, male
199.2
GTEX-11ONC-2026-SM-5HL61
60-69 years, male
198.5
GTEX-WOFM-2026-SM-4OOSQ
20-29 years, male
198.4
GTEX-117YW-1826-SM-5PNY5
50-59 years, male
198.2
GTEX-PLZ6-0926-SM-3P5ZQ
30-39 years, male
196.4
GTEX-13OW5-2626-SM-5MR3M
60-69 years, male
195.4
GTEX-16MT8-2726-SM-7IGLJ
60-69 years, female
195.2
GTEX-14PJM-2626-SM-686ZD
50-59 years, female
194.0
GTEX-WFG7-1526-SM-4LVMG
20-29 years, male
194.0
GTEX-YB5E-1626-SM-5IFIQ
40-49 years, male
192.2
GTEX-U3ZN-2126-SM-4DXU1
30-39 years, female
191.9
GTEX-WHWD-1226-SM-4OOS1
50-59 years, male
191.8
GTEX-11VI4-1526-SM-5EQKC
40-49 years, female
191.7
GTEX-111CU-1426-SM-5GZYP
50-59 years, male
190.1
GTEX-OHPM-1426-SM-3TW8Y
50-59 years, male
189.3
GTEX-WQUQ-2526-SM-4MVNO
60-69 years, male
189.3
GTEX-1399R-2226-SM-5P9JB
30-39 years, male
188.6
GTEX-S341-1426-SM-4AD6U
40-49 years, female
187.8
GTEX-13D11-0826-SM-5KLZJ
50-59 years, female
187.6
GTEX-15ER7-2926-SM-7KUFK
20-29 years, female
187.3
GTEX-O5YW-1426-SM-3MJHF
50-59 years, male
187.3
GTEX-T5JW-1126-SM-4DM5V
20-29 years, female
187.3
GTEX-144GM-1226-SM-5LU52
20-29 years, male
187.2
GTEX-12WSL-1626-SM-5GCMU
50-59 years, male
186.5
GTEX-15SHU-2526-SM-6M47D
40-49 years, female
184.6
GTEX-U3ZH-1326-SM-4DXSF
30-39 years, male
184.3
GTEX-14XAO-2026-SM-69LOI
60-69 years, female
184.2
GTEX-ZYFG-1926-SM-5GID5
60-69 years, female
183.8
GTEX-TKQ2-1326-SM-4DXT9
50-59 years, male
183.0
GTEX-ZY6K-1226-SM-5GZYL
50-59 years, male
182.7
GTEX-11P7K-1526-SM-5EGI7
30-39 years, male
181.6
GTEX-ZEX8-1926-SM-4WKFR
50-59 years, male
181.2
GTEX-1C4CL-2126-SM-7IGQC
30-39 years, male
180.9
GTEX-P4QT-1426-SM-3NMCX
50-59 years, female
180.8
GTEX-18A7B-2026-SM-72D71
70-79 years, male
180.4
GTEX-1399U-1926-SM-5IFH7
50-59 years, female
179.9
GTEX-13VXT-2426-SM-5LU46
20-29 years, female
178.8
GTEX-14JIY-3326-SM-6871E
60-69 years, male
178.7
GTEX-145MO-2426-SM-5NQ9W
60-69 years, male
178.6
GTEX-133LE-1526-SM-5IFEN
20-29 years, female
178.4
GTEX-1AYCT-1826-SM-731EG
50-59 years, male
177.9
GTEX-12C56-0626-SM-5EGGC
20-29 years, male
177.4
GTEX-V955-1626-SM-4JBHJ
60-69 years, male
175.9
GTEX-131XG-1826-SM-5LZV4
50-59 years, female
175.8
GTEX-17KNJ-1726-SM-7LG6A
50-59 years, male
175.7
GTEX-TML8-1326-SM-4DXTO
40-49 years, female
175.0
GTEX-11EQ9-1426-SM-5987G
30-39 years, male
174.7
GTEX-14PK6-1726-SM-6871J
70-79 years, female
174.6
GTEX-16NPV-2626-SM-6M484
50-59 years, female
174.6
GTEX-XUZC-1326-SM-4BRV2
30-39 years, female
174.2
GTEX-ZVT2-1926-SM-5GU5T
50-59 years, female
174.0
GTEX-13OW6-2126-SM-5N9GL
50-59 years, male
173.3
GTEX-U4B1-1126-SM-4DXV3
40-49 years, male
172.8
GTEX-139TS-1926-SM-5IJFO
60-69 years, male
172.0
GTEX-145LT-0926-SM-5LU9C
40-49 years, male
171.5
GTEX-P4PP-1426-SM-3NM9L
30-39 years, female
170.5
GTEX-P78B-1726-SM-3P5ZV
40-49 years, female
170.0
GTEX-Y5LM-1526-SM-4VDTA
40-49 years, female
169.7
GTEX-18A7A-2226-SM-7LT8K
50-59 years, female
168.8
GTEX-15RIE-1826-SM-6M48P
60-69 years, male
168.4
GTEX-S4Q7-0826-SM-4AD5E
20-29 years, male
168.4
GTEX-ZF29-1726-SM-4WKFV
60-69 years, female
168.4
GTEX-12BJ1-2126-SM-5BC5O
60-69 years, male
168.1
GTEX-16AAH-1326-SM-7KFRG
50-59 years, male
167.9
GTEX-11NSD-1626-SM-5986U
20-29 years, male
167.0
GTEX-17EUY-1826-SM-7DUEZ
20-29 years, male
166.4
GTEX-ZF2S-1926-SM-4WWAN
50-59 years, female
166.3
GTEX-13PL7-2526-SM-5IFGR
60-69 years, female
164.8
GTEX-14PHX-1526-SM-68717
50-59 years, male
164.5
GTEX-146FQ-1926-SM-5NQBY
30-39 years, male
164.3
GTEX-PLZ5-1126-SM-3P613
50-59 years, male
164.2
GTEX-16Z82-2226-SM-6LPJ7
60-69 years, male
163.8
GTEX-W5WG-2426-SM-4LMI6
50-59 years, female
163.4
GTEX-RM2N-0926-SM-48FD1
50-59 years, male
162.4
GTEX-OIZH-1426-SM-3NB1O
50-59 years, male
162.2
GTEX-Z93S-2426-SM-5HL8N
50-59 years, male
162.2
GTEX-14E6E-1526-SM-5RQIG
30-39 years, male
162.0
GTEX-ZLV1-1226-SM-4WWBX
60-69 years, female
161.6
GTEX-PX3G-1426-SM-48U1J
20-29 years, female
160.5
GTEX-S4UY-0826-SM-4AD4Z
40-49 years, female
160.5
GTEX-XGQ4-1226-SM-4AT67
50-59 years, male
160.2
GTEX-ZTSS-1126-SM-5985O
40-49 years, male
159.9
GTEX-S3XE-1126-SM-4AD4N
50-59 years, male
159.6
GTEX-QEL4-1926-SM-4R1JI
50-59 years, male
158.0
GTEX-12KS4-2426-SM-5LU8P
30-39 years, male
156.8
GTEX-Y3IK-1826-SM-4WWDS
50-59 years, female
156.8
GTEX-13PVR-1626-SM-73KVF
60-69 years, female
156.5
GTEX-145MN-1726-SM-5SIA6
30-39 years, male
155.8
GTEX-1B8KZ-1326-SM-7DUG6
50-59 years, male
155.4
GTEX-OXRL-1426-SM-3NM9E
50-59 years, male
155.3
GTEX-15DCE-2026-SM-7KUFE
20-29 years, male
155.2
GTEX-14BMU-1526-SM-5TDE6
20-29 years, female
154.7
GTEX-UJMC-1326-SM-4IHLS
50-59 years, male
154.5
GTEX-WYVS-1826-SM-4OND6
40-49 years, female
153.0
GTEX-11P81-1126-SM-5GU5G
30-39 years, female
152.8
GTEX-17HHE-1826-SM-79OKE
50-59 years, male
152.6
GTEX-T6MO-0826-SM-4DM51
40-49 years, female
152.2
GTEX-ZYVF-2826-SM-5GIDK
50-59 years, female
151.3
GTEX-13S86-1626-SM-5Q5C5
40-49 years, male
150.9
GTEX-15CHR-1426-SM-7DUGV
50-59 years, male
150.1
GTEX-1AMFI-1726-SM-7189L
50-59 years, female
149.7
GTEX-PWN1-1426-SM-48TDF
40-49 years, female
149.4
GTEX-178AV-1326-SM-6LPJX
40-49 years, male
148.7
GTEX-WHSB-0926-SM-4M1XJ
50-59 years, male
148.6
GTEX-14PJ4-1926-SM-6LLHG
60-69 years, male
148.3
GTEX-Q2AI-0926-SM-48U1F
40-49 years, male
147.8
GTEX-QDVJ-1326-SM-48U1X
50-59 years, male
147.7
GTEX-X3Y1-1726-SM-4PQZL
40-49 years, male
147.6
GTEX-X15G-1326-SM-4PQZJ
50-59 years, female
146.6
GTEX-131XE-0826-SM-5HL9W
50-59 years, male
146.0
GTEX-14PKV-2126-SM-664O3
20-29 years, female
145.8
GTEX-R55D-1826-SM-48FEF
50-59 years, male
144.9
GTEX-ZPCL-1826-SM-57WF1
60-69 years, female
144.8
GTEX-1A3MV-1126-SM-718BS
30-39 years, male
143.6
GTEX-Y3I4-1426-SM-4TT9C
50-59 years, male
142.9
GTEX-ZGAY-2126-SM-4YCFB
40-49 years, female
142.9
GTEX-14C5O-2526-SM-73KU2
60-69 years, male
141.5
GTEX-Y8LW-1226-SM-4WWDP
50-59 years, female
141.4
GTEX-Y114-1526-SM-4TT79
50-59 years, female
140.2
GTEX-ZPU1-1926-SM-57WDT
40-49 years, male
139.2
GTEX-13CF3-1426-SM-5K7YY
60-69 years, female
136.8
GTEX-14ICL-1226-SM-5S2RD
30-39 years, male
136.8
GTEX-ZP4G-1726-SM-4WWCM
20-29 years, female
136.5
GTEX-13O21-2426-SM-5MR4A
50-59 years, male
135.9
GTEX-139T6-1326-SM-5IFFO
50-59 years, male
135.8
GTEX-11ZVC-2126-SM-5EGJ1
50-59 years, female
135.6
GTEX-14JG6-1726-SM-69LPL
30-39 years, female
135.2
GTEX-16NGA-1026-SM-7KFS3
40-49 years, female
134.8
GTEX-QV31-0826-SM-4R1KR
30-39 years, male
134.8
GTEX-17F96-2026-SM-79ON4
70-79 years, male
133.6
GTEX-Y8E4-2426-SM-4WWDN
40-49 years, male
133.6
GTEX-Y9LG-1526-SM-4WWDR
30-39 years, male
132.9
GTEX-ZPIC-2226-SM-57WDX
40-49 years, female
132.9
GTEX-1B996-2626-SM-73KZ1
60-69 years, male
131.9
GTEX-S7SF-1926-SM-4AT5B
20-29 years, female
131.5
GTEX-VJYA-2026-SM-4KL1K
60-69 years, male
131.1
GTEX-1C64O-2326-SM-73KU8
60-69 years, male
131.0
GTEX-WYJK-2226-SM-4ONDJ
50-59 years, male
129.4
GTEX-PWCY-1026-SM-48TD4
20-29 years, female
129.0
GTEX-R55C-1126-SM-48FCJ
40-49 years, male
128.6
GTEX-14H4A-1926-SM-5ZZWN
40-49 years, female
128.2
GTEX-18D9B-2526-SM-718BN
60-69 years, male
127.6
GTEX-1399S-1926-SM-5J2M5
30-39 years, female
127.2
GTEX-1AMEY-1926-SM-73KVT
30-39 years, female
127.2
GTEX-17HGU-2426-SM-7EWDP
50-59 years, male
125.2
GTEX-SNMC-1126-SM-4DM5M
20-29 years, male
124.9
GTEX-11GSP-1626-SM-5986N
60-69 years, female
123.2
GTEX-XUW1-1926-SM-4BOP1
50-59 years, female
122.7
GTEX-11I78-1226-SM-5A5K6
50-59 years, female
122.1
GTEX-ZYFC-2626-SM-5NQ6S
50-59 years, male
122.1
GTEX-14PJ3-0926-SM-69LQG
50-59 years, male
121.2
GTEX-ZT9W-1826-SM-51MQX
50-59 years, male
120.0
GTEX-U3ZM-1126-SM-4DXUB
40-49 years, male
119.4
GTEX-11TT1-1026-SM-5PNW7
20-29 years, male
118.7
GTEX-11P82-1026-SM-5BC5J
20-29 years, male
118.6
GTEX-111YS-1626-SM-5GZZ9
60-69 years, male
118.3
GTEX-WY7C-1626-SM-4ONC8
50-59 years, male
118.0
GTEX-14DAR-1526-SM-5RQIX
50-59 years, male
117.1
GTEX-XPVG-1826-SM-4B64X
50-59 years, male
116.8
GTEX-1211K-1726-SM-5FQUJ
60-69 years, female
115.3
GTEX-11WQK-2126-SM-5EQME
50-59 years, male
114.9
GTEX-13111-0726-SM-5DUVE
50-59 years, male
114.7
GTEX-TKQ1-0626-SM-4DXTS
30-39 years, male
114.1
GTEX-YEC3-2426-SM-5IFJR
50-59 years, male
112.9
GTEX-13U4I-2426-SM-5LU34
40-49 years, female
111.9
GTEX-YF7O-1726-SM-5IFJ9
50-59 years, male
111.4
GTEX-RU1J-1326-SM-46MUL
20-29 years, female
110.2
GTEX-11LCK-2026-SM-5A5MA
30-39 years, male
109.6
GTEX-S4P3-1226-SM-4AD4Y
50-59 years, female
109.2
GTEX-18QFQ-1526-SM-72D57
30-39 years, male
107.7
GTEX-11DXZ-1726-SM-5H12M
50-59 years, male
107.2
GTEX-14PJ5-0926-SM-6LLIK
60-69 years, female
107.1
GTEX-XQ8I-2126-SM-4BOOM
50-59 years, male
105.4
GTEX-XXEK-1926-SM-4BRVD
50-59 years, male
104.0
GTEX-RWS6-1826-SM-47JXX
60-69 years, female
103.7
GTEX-X5EB-0926-SM-46MVT
40-49 years, male
102.3
GTEX-14AS3-1126-SM-5Q5CR
40-49 years, female
101.5
GTEX-WH7G-1326-SM-4LVMS
40-49 years, male
101.2
GTEX-YEC4-1926-SM-5IFHJ
40-49 years, male
100.3
GTEX-XYKS-2226-SM-4E3IU
60-69 years, female
99.7
GTEX-15CHC-1626-SM-5ZZWS
60-69 years, female
98.8
GTEX-13QBU-1826-SM-5IJG3
40-49 years, female
97.6
GTEX-11TUW-2026-SM-5EQL8
60-69 years, male
96.9
GTEX-17GQL-1526-SM-7LTAC
60-69 years, male
95.5
GTEX-15DZA-0926-SM-69LQ3
30-39 years, female
93.0
GTEX-WEY5-1426-SM-4LMJ3
40-49 years, female
83.3
GTEX-13O61-1626-SM-5KM3T
60-69 years, male
82.9
GTEX-XBEW-1926-SM-4SOJO
40-49 years, male
80.6
GTEX-17F9E-1826-SM-7IGMC
50-59 years, male
79.3
GTEX-1C2JI-1626-SM-7EPHC
50-59 years, male
72.8
GTEX-13FH7-1526-SM-5J2N6
50-59 years, female
69.0
GTEX-NFK9-2026-SM-3LK5K
40-49 years, male
55.0
Show allShow less
COLON - FANTOM5 CAGEi
RNA expression in human tissues obtained through Cap Analysis of Gene Expression (CAGE) generated by the FANTOM5 project are reported as Scaled Tags Per Million.