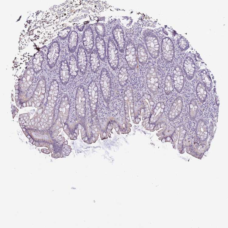
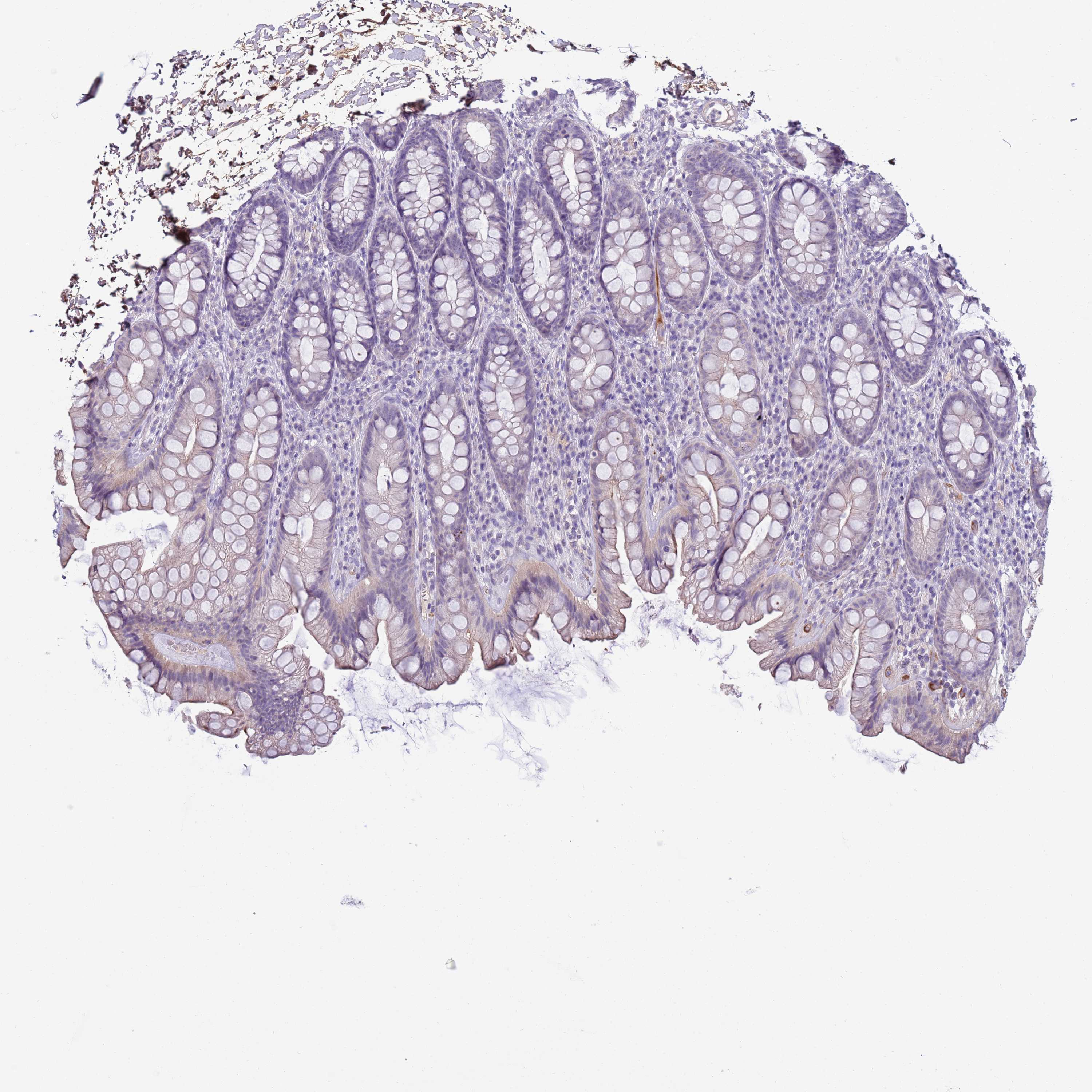
TRIM51