We use cookies to enhance the usability of our website. If you continue, we'll assume that you are happy to receive all cookies. More information. Don't show this again.
On the top, protein expression in current human tissue, based on all annotated cell types, is reported with the units not detected (n), low (l), medium (m) and high (h). Underneath, protein expression in each annotated cell type are reported using the same units.
Protein expression data is based on knowledge-based annotation. For genes where more than one antibody has been used, a collective score is set.
If knowledge-based annotation could not be performed for a gene, no data is displayed here. View antibody staining data further down this page.
A summary of mRNA expression data available for current tissue based on several datasets. The mRNA expression levels in human tissues are based on RNA-seq data generated by the Human Protein Atlas (HPA), Genotype-Tissue Expression (GTEx) portal and CAGE data generated by the FANTOM5 consortium. Consensus normalized expression (NX) levels for human tissues was created by combining the data from these three transcriptomics datasets (HPA, GTEx and FANTOM5).
The mRNA expression levels in pig are based on RNA-seq data generated by the Human Protein Atlas (HPA), and for mouse, HPA data and in situ hybridization generated by the Allen brain atlas are reported.
Scroll down to view mRNA expression data in more detail.
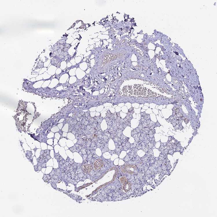
Antibody staining in the annotated cell types in the current human tissue is reported as not detected, low, medium, or high. This score is based on the staining intensity and fraction of stained cells.
The RNA-seq details section shows detailed information about the individual samples used for the transcript profiling and results of the RNA-seq analysis.
Information about each individual sample is listed below, including gender, age, a tissue section image and estimated fractions of cell types. pTPM (transcripts per million) values give a quantification of the gene abundance which is comparable between different genes and samples.
RNA-Seq data generated by the Genotype-Tissue Expression (GTEx) project from human tissues is reported as average pTPM. More information can be found on the GTEx portal.
Distribution across the dataset is visualized with box plots, shown as median and 25th and 75th percentiles. Points are displayed as outliers if they are above or below 1.5 times the interquartile range. pTPM values of the individual samples are presented next to the box plot.
Max pTPM: 3.3
Min pTPM: 0.0
Std pTPM: 0.6
Median pTPM: 0.4
GTEX-Y3I4-1926-SM-4TT8L
50-59 years, male
3.3
GTEX-1AX9K-2126-SM-72D7K
50-59 years, male
2.8
GTEX-145ME-1626-SM-5RQI3
40-49 years, female
2.6
GTEX-18A67-0626-SM-7KFSL
50-59 years, male
2.5
GTEX-1445S-2926-SM-5O993
60-69 years, male
2.2
GTEX-178AV-1426-SM-6LLID
40-49 years, male
2.1
GTEX-ZA64-1726-SM-5CVMF
20-29 years, male
1.8
GTEX-ZQG8-2126-SM-4YCF1
60-69 years, female
1.7
GTEX-146FR-1226-SM-5SIA7
60-69 years, female
1.4
GTEX-X5EB-1726-SM-4E3J7
40-49 years, male
1.4
GTEX-XV7Q-2426-SM-4BRV8
40-49 years, female
1.4
GTEX-15CHC-1226-SM-686ZH
60-69 years, female
1.3
GTEX-17KNJ-2726-SM-7KFRE
50-59 years, male
1.3
GTEX-1C64N-2926-SM-79OLM
50-59 years, male
1.3
GTEX-ZE7O-2926-SM-51MSG
50-59 years, female
1.2
GTEX-11ZTT-2226-SM-5CVLP
60-69 years, female
1.1
GTEX-1B932-0626-SM-731EM
40-49 years, female
1.1
GTEX-XMK1-2626-SM-4B65R
40-49 years, male
1.1
GTEX-1117F-3026-SM-5GZYU
60-69 years, female
1.0
GTEX-13CF2-2426-SM-5LZYL
60-69 years, male
1.0
GTEX-ZC5H-2726-SM-5KLZW
40-49 years, female
1.0
GTEX-11TUW-2426-SM-5EQKB
60-69 years, male
0.9
GTEX-18QFQ-0626-SM-718AW
30-39 years, male
0.9
GTEX-XGQ4-2626-SM-4AT6B
50-59 years, male
0.9
GTEX-13O21-1926-SM-5MR39
50-59 years, male
0.8
GTEX-14PN4-2526-SM-686ZG
50-59 years, male
0.8
GTEX-1AX8Z-0626-SM-731EH
60-69 years, male
0.8
GTEX-YB5K-1726-SM-5IFIZ
40-49 years, female
0.8
GTEX-ZXG5-2826-SM-5NQ8T
60-69 years, male
0.8
GTEX-13OVI-2326-SM-5KM47
60-69 years, female
0.7
GTEX-Y5V6-2226-SM-4VDTC
60-69 years, male
0.7
GTEX-111FC-2926-SM-5GZY7
60-69 years, male
0.6
GTEX-12WSL-2126-SM-5GCNG
50-59 years, male
0.6
GTEX-13111-2326-SM-5LZUQ
50-59 years, male
0.6
GTEX-131XF-2826-SM-5EGKH
60-69 years, male
0.6
GTEX-131XH-2626-SM-5GCNP
50-59 years, male
0.6
GTEX-1B8KZ-1726-SM-73KV7
50-59 years, male
0.6
GTEX-1B97J-2126-SM-79OL6
50-59 years, female
0.6
GTEX-1CB4I-2526-SM-7MKG1
50-59 years, male
0.6
GTEX-WFJO-2026-SM-4LVM3
30-39 years, male
0.6
GTEX-WHSB-2326-SM-4M1XK
50-59 years, male
0.6
GTEX-X15G-2126-SM-4PQZR
50-59 years, female
0.6
GTEX-12WSM-1826-SM-5BC64
60-69 years, male
0.5
GTEX-1314G-2026-SM-5LZUM
30-39 years, male
0.5
GTEX-13OVK-1826-SM-6PALE
40-49 years, male
0.5
GTEX-17MFQ-1626-SM-7938Z
20-29 years, male
0.5
GTEX-18D9U-2226-SM-7KFTN
40-49 years, male
0.5
GTEX-1GPI7-0326-SM-7MKH6
20-29 years, male
0.5
GTEX-11NV4-1926-SM-5N9D4
60-69 years, male
0.4
GTEX-13JVG-2926-SM-5J2N9
60-69 years, male
0.4
GTEX-13OVL-2926-SM-5IFG3
50-59 years, male
0.4
GTEX-13QJC-2326-SM-5Q5CD
60-69 years, female
0.4
GTEX-14B4R-1426-SM-5Q5CG
30-39 years, male
0.4
GTEX-WOFM-2126-SM-4OOSR
20-29 years, male
0.4
GTEX-11P81-2026-SM-5P9GT
30-39 years, female
0.3
GTEX-12BJ1-2226-SM-5BC6G
60-69 years, male
0.3
GTEX-13113-1526-SM-5EGHV
60-69 years, female
0.3
GTEX-14JIY-3026-SM-6EU1R
60-69 years, male
0.3
GTEX-15EU6-2626-SM-7KUN4
50-59 years, male
0.3
GTEX-1AMEY-1126-SM-72D79
30-39 years, female
0.3
GTEX-1EH9U-2926-SM-7DHLX
60-69 years, male
0.3
GTEX-WH7G-2126-SM-4M1XU
40-49 years, male
0.3
GTEX-WY7C-1426-SM-4OND1
50-59 years, male
0.3
GTEX-Y5LM-1826-SM-4VDT9
40-49 years, female
0.3
GTEX-ZF29-2126-SM-4WWB8
60-69 years, female
0.3
GTEX-ZPU1-2326-SM-57WEP
40-49 years, male
0.3
GTEX-11EQ9-2026-SM-5P9JI
30-39 years, male
0.2
GTEX-11P82-0926-SM-5986X
20-29 years, male
0.2
GTEX-11WQK-2926-SM-5EQKT
50-59 years, male
0.2
GTEX-14PJ3-1526-SM-664O9
50-59 years, male
0.2
GTEX-14PJN-1726-SM-69LO7
30-39 years, male
0.2
GTEX-15SHV-2226-SM-6M464
60-69 years, male
0.2
GTEX-1A3MV-1726-SM-72D68
30-39 years, male
0.2
GTEX-1C64O-0626-SM-7DHL1
60-69 years, male
0.2
GTEX-1GMR2-2026-SM-7MKHK
50-59 years, male
0.2
GTEX-Y111-2626-SM-4TT24
50-59 years, male
0.2
GTEX-1192X-2926-SM-5N9BA
50-59 years, male
0.1
GTEX-11EMC-2526-SM-5PNVU
60-69 years, female
0.1
GTEX-12WSN-2226-SM-5DUXT
40-49 years, male
0.1
GTEX-1339X-2326-SM-5HL5B
40-49 years, male
0.1
GTEX-14E1K-2626-SM-664OJ
50-59 years, male
0.1
GTEX-YF7O-2226-SM-5CVN8
50-59 years, male
0.1
GTEX-ZP4G-1926-SM-57WDZ
20-29 years, female
0.1
GTEX-ZQUD-2126-SM-51MSY
30-39 years, male
0.1
GTEX-ZT9W-2126-SM-51MSF
50-59 years, male
0.1
GTEX-11ZTS-3026-SM-5EQM7
60-69 years, female
0.0
GTEX-13G51-2426-SM-5LZY8
60-69 years, male
0.0
GTEX-13NYB-2426-SM-5IFF4
40-49 years, male
0.0
GTEX-13QBU-2126-SM-5KLZN
40-49 years, female
0.0
GTEX-13VXT-1726-SM-5IFF5
20-29 years, female
0.0
GTEX-15RJE-2726-SM-6LPJ1
40-49 years, male
0.0
GTEX-18A7B-2826-SM-7KFTK
70-79 years, male
0.0
GTEX-1B8SF-1826-SM-731DJ
60-69 years, male
0.0
GTEX-1C4CL-2026-SM-731EB
30-39 years, male
0.0
GTEX-WYVS-2026-SM-4RGNS
40-49 years, female
0.0
GTEX-X261-2426-SM-4PQZU
50-59 years, male
0.0
GTEX-X3Y1-1926-SM-4PQZO
40-49 years, male
0.0
Show allShow less
SALIVARY GLAND - FANTOM5 CAGEi
RNA expression in human tissues obtained through Cap Analysis of Gene Expression (CAGE) generated by the FANTOM5 project are reported as Scaled Tags Per Million.