We use cookies to enhance the usability of our website. If you continue, we'll assume that you are happy to receive all cookies. More information. Don't show this again.
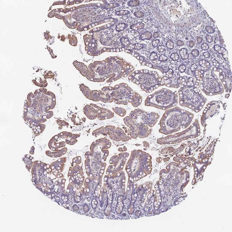
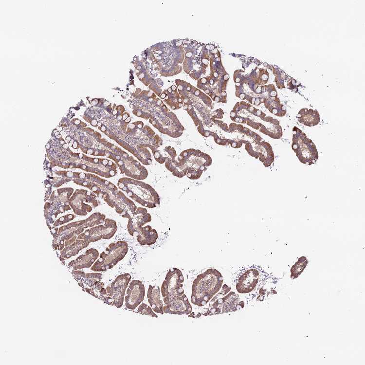
On the top, protein expression in current human tissue, based on all annotated cell types, is reported with the units not detected (n), low (l), medium (m) and high (h). Underneath, protein expression in each annotated cell type are reported using the same units.
Protein expression data is based on knowledge-based annotation. For genes where more than one antibody has been used, a collective score is set.
If knowledge-based annotation could not be performed for a gene, no data is displayed here. View antibody staining data further down this page.
A summary of mRNA expression data available for current tissue based on several datasets. The mRNA expression levels in human tissues are based on RNA-seq data generated by the Human Protein Atlas (HPA), Genotype-Tissue Expression (GTEx) portal and CAGE data generated by the FANTOM5 consortium. Consensus normalized expression (NX) levels for human tissues was created by combining the data from these three transcriptomics datasets (HPA, GTEx and FANTOM5).
The mRNA expression levels in pig are based on RNA-seq data generated by the Human Protein Atlas (HPA), and for mouse, HPA data and in situ hybridization generated by the Allen brain atlas are reported.
Scroll down to view mRNA expression data in more detail.
Antibody staining in the annotated cell types in the current human tissue is reported as not detected, low, medium, or high. This score is based on the staining intensity and fraction of stained cells.
The RNA-seq details section shows detailed information about the individual samples used for the transcript profiling and results of the RNA-seq analysis.
Information about each individual sample is listed below, including gender, age, a tissue section image and estimated fractions of cell types. pTPM (transcripts per million) values give a quantification of the gene abundance which is comparable between different genes and samples.
RNA-Seq data generated by the Genotype-Tissue Expression (GTEx) project from human tissues is reported as average pTPM. More information can be found on the GTEx portal.
Distribution across the dataset is visualized with box plots, shown as median and 25th and 75th percentiles. Points are displayed as outliers if they are above or below 1.5 times the interquartile range. pTPM values of the individual samples are presented next to the box plot.
Small Intestine - Terminal Ileum Average pTPM: 4.5
Samples: 137
Max pTPM: 55.2
Min pTPM: 0.1
Std pTPM: 5.3
Median pTPM: 3.3
GTEX-1EMGI-2826-SM-7IGMR
60-69 years, male
55.2
GTEX-14BMU-1426-SM-5TDE5
20-29 years, female
20.7
GTEX-14PK6-1626-SM-6871I
70-79 years, female
17.8
GTEX-VUSG-1726-SM-4KKZL
50-59 years, male
13.7
GTEX-ZZ64-0526-SM-5GZXM
20-29 years, male
13.0
GTEX-WHSB-1026-SM-4M1XN
50-59 years, male
11.4
GTEX-183FY-1626-SM-793D8
20-29 years, male
11.0
GTEX-17MFQ-1026-SM-7KFSZ
20-29 years, male
10.8
GTEX-1399S-2026-SM-5KM4B
30-39 years, female
10.3
GTEX-ZVP2-1726-SM-5GU5P
50-59 years, male
10.1
GTEX-ZLFU-1526-SM-4WWBT
40-49 years, male
9.2
GTEX-11NSD-1726-SM-5N9C3
20-29 years, male
8.6
GTEX-145LT-1026-SM-5LU9O
40-49 years, male
7.9
GTEX-Z9EW-0926-SM-5CVMM
40-49 years, male
7.8
GTEX-144GM-1026-SM-79OKU
20-29 years, male
7.6
GTEX-14PJN-0826-SM-686ZL
30-39 years, male
7.4
GTEX-YEC4-1726-SM-4W21E
40-49 years, male
7.3
GTEX-12BJ1-1926-SM-5HL9Z
60-69 years, male
7.2
GTEX-XUZC-1426-SM-4BRV3
30-39 years, female
6.8
GTEX-13113-1226-SM-5EGHT
60-69 years, female
6.7
GTEX-ZTX8-0526-SM-59HLD
20-29 years, male
6.6
GTEX-139T6-1026-SM-5IJGC
50-59 years, male
6.2
GTEX-1BAJH-2526-SM-7IGOT
70-79 years, male
6.1
GTEX-YFCO-1326-SM-664NV
40-49 years, male
6.1
GTEX-139YR-2226-SM-5IFFW
50-59 years, male
5.9
GTEX-133LE-1426-SM-5IFH1
20-29 years, female
5.8
GTEX-WRHK-1026-SM-4MVOD
20-29 years, female
5.8
GTEX-16MTA-1526-SM-6LPJB
50-59 years, male
5.6
GTEX-1B8KE-1726-SM-7IGMN
50-59 years, male
5.6
GTEX-ZLV1-1126-SM-4WWBW
60-69 years, female
5.6
GTEX-131XF-1326-SM-5GCMQ
60-69 years, male
5.5
GTEX-14PKU-1626-SM-6871C
40-49 years, female
5.5
GTEX-1C475-1426-SM-793CH
40-49 years, female
5.5
GTEX-WQUQ-2426-SM-4MVNW
60-69 years, male
5.3
GTEX-1399R-2026-SM-5K7WN
30-39 years, male
5.2
GTEX-WH7G-1626-SM-4LVMY
40-49 years, male
5.2
GTEX-X15G-1426-SM-4PQZK
50-59 years, female
5.2
GTEX-1192X-2526-SM-59868
50-59 years, male
5.1
GTEX-13O61-1326-SM-5KM31
60-69 years, male
5.1
GTEX-ZF29-1626-SM-4WKFJ
60-69 years, female
5.1
GTEX-148VJ-2226-SM-5NQ9M
70-79 years, male
5.0
GTEX-11P7K-1626-SM-5GU63
30-39 years, male
4.9
GTEX-14E6E-1626-SM-5RQI7
30-39 years, male
4.9
GTEX-14PJ3-1326-SM-664O7
50-59 years, male
4.9
GTEX-XXEK-1026-SM-4BRUW
50-59 years, male
4.9
GTEX-XAJ8-0526-SM-47JYK
40-49 years, male
4.8
GTEX-1399U-2126-SM-5IFEZ
50-59 years, female
4.7
GTEX-1AX8Z-2526-SM-731E3
60-69 years, male
4.7
GTEX-XBED-1426-SM-4AT4G
60-69 years, male
4.6
GTEX-ZQG8-2526-SM-57WEQ
60-69 years, female
4.6
GTEX-13FH7-1226-SM-5IJFK
50-59 years, female
4.4
GTEX-13O21-1026-SM-5IJDU
50-59 years, male
4.2
GTEX-1497J-1926-SM-5TDCC
60-69 years, male
4.2
GTEX-VJYA-0926-SM-4KL1N
60-69 years, male
4.2
GTEX-WFG7-1726-SM-4LVME
20-29 years, male
4.2
GTEX-145ME-0926-SM-5O9AR
40-49 years, female
4.1
GTEX-18A66-2526-SM-7KFTZ
60-69 years, male
4.1
GTEX-WFJO-0926-SM-4LVM2
30-39 years, male
4.1
GTEX-XGQ4-1326-SM-4GIDU
50-59 years, male
4.0
GTEX-ZEX8-1826-SM-57WBH
50-59 years, male
4.0
GTEX-16AAH-1426-SM-7KFTR
50-59 years, male
3.8
GTEX-17HHE-1726-SM-79OKT
50-59 years, male
3.7
GTEX-Y111-2226-SM-4SOJB
50-59 years, male
3.7
GTEX-14XAO-1926-SM-6ETZO
60-69 years, female
3.6
GTEX-Y114-1426-SM-4TT6W
50-59 years, female
3.6
GTEX-ZP4G-1626-SM-57WGD
20-29 years, female
3.6
GTEX-16NGA-1126-SM-7KFSY
40-49 years, female
3.4
GTEX-1B8KZ-1126-SM-7IGLX
50-59 years, male
3.4
GTEX-13RTK-0826-SM-5Q5C6
20-29 years, male
3.3
GTEX-Y9LG-1626-SM-5IFHM
30-39 years, male
3.2
GTEX-ZPIC-2326-SM-57WDW
40-49 years, female
3.2
GTEX-131XG-1726-SM-5LZUR
50-59 years, female
3.1
GTEX-X5EB-1626-SM-4E3IV
40-49 years, male
3.1
GTEX-ZF2S-1726-SM-57WFT
50-59 years, female
3.1
GTEX-13FTW-2026-SM-5IJE2
40-49 years, male
3.0
GTEX-13PL7-2626-SM-5IFH4
60-69 years, female
3.0
GTEX-1GL5R-2026-SM-7MKHP
50-59 years, male
3.0
GTEX-11EQ9-1326-SM-5985X
30-39 years, male
2.9
GTEX-11VI4-1626-SM-5EQKO
40-49 years, female
2.9
GTEX-13CF3-1226-SM-5LZXN
60-69 years, female
2.9
GTEX-1AMFI-1926-SM-731F2
50-59 years, female
2.9
GTEX-UPK5-2026-SM-4JBIM
40-49 years, male
2.9
GTEX-1122O-1326-SM-5H11F
60-69 years, female
2.8
GTEX-WY7C-1826-SM-4ONCE
50-59 years, male
2.8
GTEX-111YS-1426-SM-5GID8
60-69 years, male
2.7
GTEX-11I78-1126-SM-5A5K5
50-59 years, female
2.7
GTEX-ZXES-1526-SM-5NQ95
30-39 years, female
2.7
GTEX-13NYB-1826-SM-5J1N3
40-49 years, male
2.6
GTEX-14DAR-1426-SM-5RQIR
50-59 years, male
2.6
GTEX-1CAMR-0826-SM-7MKFK
20-29 years, male
2.6
GTEX-YF7O-1826-SM-5IFIU
50-59 years, male
2.6
GTEX-11DXX-1626-SM-5H11H
60-69 years, female
2.5
GTEX-13111-1426-SM-5DUW3
50-59 years, male
2.5
GTEX-13X6H-1826-SM-7EWCZ
50-59 years, female
2.5
GTEX-14PKV-2026-SM-6AJ9A
20-29 years, female
2.5
GTEX-18QFQ-1626-SM-72D7H
30-39 years, male
2.4
GTEX-ZVZP-1826-SM-5GZXB
50-59 years, male
2.4
GTEX-11P82-0826-SM-5P9GU
20-29 years, male
2.3
GTEX-13QBU-1926-SM-5IJEW
40-49 years, female
2.3
GTEX-11DXZ-1326-SM-5H11X
50-59 years, male
2.2
GTEX-17KNJ-1626-SM-718AL
50-59 years, male
2.2
GTEX-Y3IK-1726-SM-4YCCR
50-59 years, female
2.1
GTEX-ZC5H-2326-SM-4WAYT
40-49 years, female
2.1
GTEX-ZVT2-2126-SM-5NQ93
50-59 years, female
2.1
GTEX-14PN3-2026-SM-68729
60-69 years, female
2.0
GTEX-15DZA-0826-SM-6AJBF
30-39 years, female
2.0
GTEX-15G1A-1726-SM-6LPI4
30-39 years, male
1.9
GTEX-ZTSS-0926-SM-59865
40-49 years, male
1.9
GTEX-1C64O-2526-SM-79ONO
60-69 years, male
1.8
GTEX-Y5V5-1826-SM-4VDS5
60-69 years, female
1.8
GTEX-13D11-0726-SM-5LZZB
50-59 years, female
1.7
GTEX-11XUK-1426-SM-5EQMG
40-49 years, female
1.6
GTEX-12WSK-1526-SM-5CVNO
40-49 years, female
1.6
GTEX-14C39-1826-SM-5ZZW4
40-49 years, male
1.6
GTEX-14PJ6-1726-SM-6AJBN
60-69 years, female
1.6
GTEX-16A39-1426-SM-6LLI6
30-39 years, female
1.6
GTEX-WEY5-1526-SM-4LMJF
40-49 years, female
1.5
GTEX-XMK1-1826-SM-4B66F
40-49 years, male
1.5
GTEX-ZA64-1226-SM-5HL7B
20-29 years, male
1.5
GTEX-ZYFG-2026-SM-5E43Y
60-69 years, female
1.5
GTEX-1GMR3-2726-SM-7MKFB
40-49 years, male
1.4
GTEX-YB5E-1526-SM-5IFIE
40-49 years, male
1.4
GTEX-ZTPG-2626-SM-57WFX
20-29 years, female
1.4
GTEX-117YX-0326-SM-5GICL
50-59 years, male
1.0
GTEX-1GMR2-1026-SM-7MKHJ
50-59 years, male
1.0
GTEX-ZPCL-1726-SM-57WEO
60-69 years, female
1.0
GTEX-11LCK-1926-SM-5A5KE
30-39 years, male
0.9
GTEX-WYJK-1526-SM-4ONCW
50-59 years, male
0.9
GTEX-ZQUD-0926-SM-57WE3
30-39 years, male
0.9
GTEX-13OVI-1926-SM-5IJCG
60-69 years, female
0.7
GTEX-Y3I4-1326-SM-4TT8Z
50-59 years, male
0.6
GTEX-111CU-1326-SM-5NQ8L
50-59 years, male
0.5
GTEX-WFON-1526-SM-4LVMP
40-49 years, male
0.4
GTEX-131XE-0926-SM-5HL7J
50-59 years, male
0.3
GTEX-13W3W-2026-SM-5K7UL
60-69 years, female
0.3
GTEX-XPVG-1726-SM-4B65W
50-59 years, male
0.3
GTEX-ZAB5-1526-SM-5HL9P
50-59 years, male
0.1
Show allShow less
SMALL INTESTINE - FANTOM5 CAGEi
RNA expression in human tissues obtained through Cap Analysis of Gene Expression (CAGE) generated by the FANTOM5 project are reported as Scaled Tags Per Million.