We use cookies to enhance the usability of our website. If you continue, we'll assume that you are happy to receive all cookies. More information. Don't show this again.
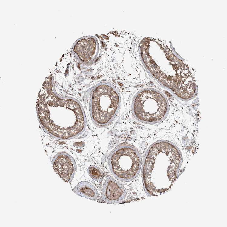
On the top, protein expression in current human tissue, based on all annotated cell types, is reported with the units not detected (n), low (l), medium (m) and high (h). Underneath, protein expression in each annotated cell type are reported using the same units.
Protein expression data is based on knowledge-based annotation. For genes where more than one antibody has been used, a collective score is set.
If knowledge-based annotation could not be performed for a gene, no data is displayed here. View antibody staining data further down this page.
A summary of mRNA expression data available for current tissue based on several datasets. The mRNA expression levels in human tissues are based on RNA-seq data generated by the Human Protein Atlas (HPA), Genotype-Tissue Expression (GTEx) portal and CAGE data generated by the FANTOM5 consortium. Consensus normalized expression (NX) levels for human tissues was created by combining the data from these three transcriptomics datasets (HPA, GTEx and FANTOM5).
The mRNA expression levels in pig are based on RNA-seq data generated by the Human Protein Atlas (HPA), and for mouse, HPA data and in situ hybridization generated by the Allen brain atlas are reported.
Scroll down to view mRNA expression data in more detail.
Antibody staining in the annotated cell types in the current human tissue is reported as not detected, low, medium, or high. This score is based on the staining intensity and fraction of stained cells.
The RNA-seq details section shows detailed information about the individual samples used for the transcript profiling and results of the RNA-seq analysis.
Information about each individual sample is listed below, including gender, age, a tissue section image and estimated fractions of cell types. pTPM (transcripts per million) values give a quantification of the gene abundance which is comparable between different genes and samples.
Cells in seminiferous ducts: 65 Other cell types: 35
Male, age 34
Testis sample 278 pTPM: 93.9
Cell types%
Cells in seminiferous ducts: 75 Other cell types: 25
Male, age 62
Testis sample 279 pTPM: 93.1
Cell types%
Cells in seminiferous ducts: 70 Other cell types: 30
Male, age 34
Testis sample 280 pTPM: 63.3
Cell types%
Cells in seminiferous ducts: 60 Other cell types: 40
Male, age 26
Testis sample 281 pTPM: 92.5
Cell types%
Cells in seminiferous ducts: 55 Other cell types: 45
Male, age 50
Testis sample 282 pTPM: 97.3
Cell types%
Cells in seminiferous ducts: 85 Other cell types: 15
Male, age 37
Testis sample 283 pTPM: 74.3
Cell types%
Cells in seminiferous ducts: 35 Other cell types: 65
Male, age 51
Testis sample 349 pTPM: 109.8
Cell types%
Cells in seminiferous ducts: 65 Other cell types: 35
Male, age 34
Testis sample 354 pTPM: 89.4
Cell types%
Cells in seminiferous ducts: 70 Other cell types: 30
Male, age 26
Testis sample 371 pTPM: 82.8
Cell types%
Cells in seminiferous ducts: 75 Other cell types: 25
TESTIS - GTEx RNA-seqi
RNA-Seq data generated by the Genotype-Tissue Expression (GTEx) project from human tissues is reported as average pTPM. More information can be found on the GTEx portal.
Distribution across the dataset is visualized with box plots, shown as median and 25th and 75th percentiles. Points are displayed as outliers if they are above or below 1.5 times the interquartile range. pTPM values of the individual samples are presented next to the box plot.
Max pTPM: 70.9
Min pTPM: 15.0
Std pTPM: 10.4
Median pTPM: 44.6
GTEX-11TT1-2226-SM-5GU6B
20-29 years, male
70.9
GTEX-17MFQ-0826-SM-793C8
20-29 years, male
69.7
GTEX-1CAMR-1526-SM-79OLP
20-29 years, male
68.8
GTEX-WY7C-2226-SM-4ONCS
50-59 years, male
68.6
GTEX-1B8SF-2926-SM-731DL
60-69 years, male
67.5
GTEX-XBED-2026-SM-4AT5D
60-69 years, male
66.8
GTEX-139TT-2226-SM-5LZWO
60-69 years, male
66.5
GTEX-TKQ2-1526-SM-4DXUN
50-59 years, male
66.3
GTEX-15RIF-1826-SM-6M469
20-29 years, male
65.8
GTEX-1GMRU-0626-SM-7MKH2
50-59 years, male
65.6
GTEX-145MO-0126-SM-5S2QU
60-69 years, male
65.4
GTEX-132QS-1226-SM-5P9GD
60-69 years, male
65.2
GTEX-12BJ1-1326-SM-5BC5P
60-69 years, male
64.5
GTEX-11WQC-2326-SM-5EQKE
60-69 years, male
64.0
GTEX-14BIL-2226-SM-73KWF
50-59 years, male
62.0
GTEX-1B996-2326-SM-731EC
60-69 years, male
62.0
GTEX-14DAR-1126-SM-793AT
50-59 years, male
61.9
GTEX-ZTSS-1526-SM-51MTC
40-49 years, male
61.9
GTEX-OXRL-2126-SM-3NM98
50-59 years, male
61.8
GTEX-1A3MX-1026-SM-731F8
60-69 years, male
60.8
GTEX-ZV7C-2026-SM-5NQ8F
50-59 years, male
60.7
GTEX-12ZZY-0126-SM-5LZV2
60-69 years, male
59.7
GTEX-WK11-0326-SM-4OOS6
50-59 years, male
59.6
GTEX-13VXU-0726-SM-5J2O7
50-59 years, male
59.5
GTEX-139TS-1726-SM-5IJG5
60-69 years, male
59.4
GTEX-17HHE-1226-SM-793C6
50-59 years, male
59.4
GTEX-13FTW-1326-SM-5LZZD
40-49 years, male
57.5
GTEX-16YQH-1826-SM-6LPJW
30-39 years, male
57.5
GTEX-17HII-0126-SM-7KFSS
50-59 years, male
57.2
GTEX-Q2AI-1226-SM-48U14
40-49 years, male
57.2
GTEX-1AX9J-1226-SM-72D6P
60-69 years, male
57.1
GTEX-SNOS-1126-SM-4DM67
40-49 years, male
57.1
GTEX-1A3MV-0726-SM-72D5M
30-39 years, male
56.9
GTEX-WFON-2026-SM-4LVMW
40-49 years, male
56.9
GTEX-YB5E-1926-SM-5IFIG
40-49 years, male
56.9
GTEX-11DXY-0226-SM-5H123
60-69 years, male
56.8
GTEX-YEC3-1726-SM-5IFIK
50-59 years, male
56.0
GTEX-1CB4G-2426-SM-7DUGM
60-69 years, male
55.9
GTEX-REY6-0126-SM-48FDT
60-69 years, male
55.7
GTEX-ZDYS-1326-SM-5IJFF
50-59 years, male
55.6
GTEX-14C5O-2326-SM-73KYU
60-69 years, male
55.3
GTEX-15RIE-0626-SM-6M47G
60-69 years, male
54.9
GTEX-117XS-2026-SM-5GID1
60-69 years, male
54.6
GTEX-13OVL-0426-SM-5IFG6
50-59 years, male
54.3
GTEX-1AX9I-1826-SM-72D5I
60-69 years, male
54.3
GTEX-ZPU1-2126-SM-57WED
40-49 years, male
54.3
GTEX-T6MN-2026-SM-4DM7L
50-59 years, male
54.2
GTEX-1EU9M-1626-SM-7EWF2
60-69 years, male
54.0
GTEX-1F6IF-0526-SM-7MKHD
60-69 years, male
54.0
GTEX-U4B1-1526-SM-4DXSL
40-49 years, male
53.9
GTEX-11ZUS-2726-SM-5FQUA
30-39 years, male
53.3
GTEX-144GL-0726-SM-5LU4P
50-59 years, male
53.2
GTEX-QLQW-1026-SM-447A9
30-39 years, male
53.1
GTEX-18A6Q-2626-SM-7KFT3
60-69 years, male
53.0
GTEX-13O61-2026-SM-5J2M6
60-69 years, male
52.9
GTEX-16MTA-1126-SM-6LPJA
50-59 years, male
52.9
GTEX-131XE-0426-SM-5IJF4
50-59 years, male
52.8
GTEX-17HHY-0726-SM-7IGM6
50-59 years, male
52.6
GTEX-QLQ7-1426-SM-4R1JX
60-69 years, male
52.6
GTEX-XBEC-0126-SM-4GIDT
50-59 years, male
52.6
GTEX-Y3I4-2026-SM-4TT6Z
50-59 years, male
52.4
GTEX-11GS4-2026-SM-5N9CP
60-69 years, male
52.3
GTEX-183FY-1926-SM-7KFRI
20-29 years, male
52.1
GTEX-ZVTK-0126-SM-57WDG
20-29 years, male
51.8
GTEX-1212Z-0326-SM-5FQSJ
60-69 years, male
51.6
GTEX-12WSH-0326-SM-5GCNH
50-59 years, male
51.6
GTEX-14E1K-1926-SM-73KWS
50-59 years, male
51.6
GTEX-ZUA1-2726-SM-59HLJ
40-49 years, male
51.6
GTEX-14E6E-1026-SM-664N9
30-39 years, male
51.5
GTEX-WVLH-2626-SM-4MVNV
50-59 years, male
51.5
GTEX-TKQ1-0926-SM-4DXU2
30-39 years, male
51.4
GTEX-1CB4I-0926-SM-7MKFY
50-59 years, male
51.3
GTEX-OIZH-2126-SM-3NB1P
50-59 years, male
51.1
GTEX-144GM-0426-SM-5Q5C8
20-29 years, male
50.9
GTEX-S4Q7-1226-SM-4AD5I
20-29 years, male
50.9
GTEX-117YW-1526-SM-5EGGP
50-59 years, male
50.7
GTEX-14C39-0526-SM-664OF
40-49 years, male
50.4
GTEX-13N1W-2626-SM-5IJEP
70-79 years, male
50.3
GTEX-18A66-0726-SM-72D77
60-69 years, male
50.3
GTEX-S3XE-1526-SM-4AD5A
50-59 years, male
50.3
GTEX-ZAB5-2426-SM-5CVMW
50-59 years, male
50.2
GTEX-ZVZP-2226-SM-57WBF
50-59 years, male
50.2
GTEX-ZYT6-2726-SM-5GICP
30-39 years, male
50.1
GTEX-11EQ9-1926-SM-5PNVV
30-39 years, male
50.0
GTEX-N7MS-0126-SM-3TW8O
60-69 years, male
50.0
GTEX-XGQ4-2026-SM-4AT6G
50-59 years, male
50.0
GTEX-111YS-2026-SM-5EGGL
60-69 years, male
49.9
GTEX-18D9B-2726-SM-72D73
60-69 years, male
49.8
GTEX-14PJ3-1626-SM-664O5
50-59 years, male
49.7
GTEX-Z93S-1726-SM-5HL8G
50-59 years, male
49.7
GTEX-14ABY-0626-SM-5Q5C9
50-59 years, male
49.6
GTEX-14PJ4-1726-SM-664OC
60-69 years, male
49.6
GTEX-1AYCT-1026-SM-79ONR
50-59 years, male
49.1
GTEX-147JS-0126-SM-5S2TW
60-69 years, male
48.8
GTEX-WHSE-0426-SM-4M1XO
20-29 years, male
48.7
GTEX-111CU-1726-SM-5EGHM
50-59 years, male
48.6
GTEX-ZA64-1626-SM-5CVME
20-29 years, male
48.6
GTEX-S7SE-0326-SM-4AT5Q
50-59 years, male
48.5
GTEX-1B8KE-1426-SM-7EWEL
50-59 years, male
48.4
GTEX-T8EM-0126-SM-4DM5R
40-49 years, male
48.3
GTEX-U3ZM-1626-SM-4DXSK
40-49 years, male
48.3
GTEX-13112-0226-SM-5P9IV
50-59 years, male
48.1
GTEX-13NZB-2026-SM-5MR4M
30-39 years, male
48.1
GTEX-RM2N-1326-SM-48FCW
50-59 years, male
48.1
GTEX-OHPM-2126-SM-3LK75
50-59 years, male
48.0
GTEX-1C6VR-1526-SM-7MKG9
60-69 years, male
47.8
GTEX-Y111-2426-SM-4TT23
50-59 years, male
47.6
GTEX-S7PM-0626-SM-4AD4Q
60-69 years, male
47.4
GTEX-17HGU-0726-SM-7DUFN
50-59 years, male
47.3
GTEX-QV44-1726-SM-4R1KG
50-59 years, male
47.3
GTEX-17GQL-1726-SM-718B8
60-69 years, male
47.2
GTEX-11DXZ-2126-SM-59881
50-59 years, male
47.0
GTEX-144GN-1626-SM-5Q5BU
50-59 years, male
47.0
GTEX-XAJ8-1326-SM-47JYT
40-49 years, male
46.8
GTEX-S33H-0126-SM-4AD62
30-39 years, male
46.6
GTEX-145MH-2326-SM-5O9AW
50-59 years, male
46.5
GTEX-Q2AH-1526-SM-48TZG
40-49 years, male
46.5
GTEX-R55C-1426-SM-48FED
40-49 years, male
46.4
GTEX-XMK1-2026-SM-4B65K
40-49 years, male
46.4
GTEX-145LT-0426-SM-5LUAP
40-49 years, male
46.3
GTEX-12WSI-2126-SM-5GCMV
50-59 years, male
46.2
GTEX-1EKGG-2726-SM-79OOD
60-69 years, male
46.1
GTEX-18A7B-1526-SM-7KFTH
70-79 years, male
46.0
GTEX-14C38-0126-SM-5YY9V
50-59 years, male
45.8
GTEX-15SHV-1926-SM-6LPI1
60-69 years, male
45.6
GTEX-S95S-1126-SM-4B64E
60-69 years, male
45.5
GTEX-QV31-1126-SM-4R1K4
30-39 years, male
45.3
GTEX-X3Y1-2626-SM-4PQZI
40-49 years, male
44.8
GTEX-14PJ2-2026-SM-6AJAQ
50-59 years, male
44.6
GTEX-O5YT-2126-SM-3MJGD
20-29 years, male
44.6
GTEX-ZT9W-2226-SM-57WFU
50-59 years, male
44.6
GTEX-139T6-1226-SM-5IFFC
50-59 years, male
44.5
GTEX-14753-0626-SM-5Q5CY
60-69 years, male
44.4
GTEX-SNMC-1026-SM-4DM7K
20-29 years, male
44.4
GTEX-XLM4-1526-SM-4AT6D
60-69 years, male
44.1
GTEX-WFG8-1926-SM-4LVM1
20-29 years, male
44.0
GTEX-11P7K-1026-SM-5HL6Y
30-39 years, male
43.9
GTEX-1C4CL-1926-SM-731DY
30-39 years, male
43.8
GTEX-WHSB-2126-SM-4M1XF
50-59 years, male
43.8
GTEX-111VG-1926-SM-5GIDO
60-69 years, male
43.6
GTEX-12696-0226-SM-5EGL3
60-69 years, male
43.6
GTEX-WZTO-0326-SM-4PQYZ
40-49 years, male
43.6
GTEX-11NUK-2626-SM-5A5MB
50-59 years, male
43.5
GTEX-OOBK-2126-SM-3LK5T
40-49 years, male
43.4
GTEX-RUSQ-2126-SM-47JXK
50-59 years, male
43.4
GTEX-12C56-1426-SM-5FQSW
20-29 years, male
43.1
GTEX-T5JC-0726-SM-4DM55
20-29 years, male
42.9
GTEX-V1D1-2126-SM-4JBH4
50-59 years, male
42.9
GTEX-YJ89-0626-SM-4TT3Z
60-69 years, male
42.8
GTEX-15G19-1326-SM-6LPIR
60-69 years, male
42.6
GTEX-XPVG-2226-SM-4B65U
50-59 years, male
42.5
GTEX-1AX9K-1826-SM-731CY
50-59 years, male
42.4
GTEX-1AX8Z-2826-SM-73KTZ
60-69 years, male
42.2
GTEX-117YX-2026-SM-5GIEF
50-59 years, male
42.0
GTEX-11OF3-1826-SM-5987N
60-69 years, male
42.0
GTEX-13FLW-2126-SM-5N9FD
50-59 years, male
42.0
GTEX-ZZ64-1126-SM-5GZXY
20-29 years, male
42.0
GTEX-NFK9-0126-SM-3LK5H
40-49 years, male
41.9
GTEX-U8XE-0126-SM-4E3I3
30-39 years, male
41.7
GTEX-18465-1526-SM-7KFTV
50-59 years, male
41.5
GTEX-P4QS-2126-SM-3NMCF
60-69 years, male
41.3
GTEX-14B4R-1026-SM-5TDDS
30-39 years, male
41.2
GTEX-1399R-1626-SM-5P9GG
30-39 years, male
41.1
GTEX-11NV4-1726-SM-5N9FC
60-69 years, male
41.0
GTEX-ZT9X-1426-SM-5DUX1
40-49 years, male
41.0
GTEX-12WSL-2326-SM-5DUXQ
50-59 years, male
40.9
GTEX-12WSM-1326-SM-5GCP9
60-69 years, male
40.9
GTEX-Y8E4-2226-SM-5LU94
40-49 years, male
40.8
GTEX-1E1VI-1026-SM-7MKGQ
50-59 years, male
40.7
GTEX-13O21-1226-SM-5J2MK
50-59 years, male
40.4
GTEX-1339X-1926-SM-5PNVP
40-49 years, male
40.3
GTEX-13111-1526-SM-5EGJX
50-59 years, male
40.2
GTEX-13NYB-2226-SM-5MR58
40-49 years, male
40.2
GTEX-16Z82-2726-SM-7KULV
60-69 years, male
40.1
GTEX-13OVK-2226-SM-6LPJY
40-49 years, male
39.9
GTEX-WYJK-1826-SM-4ONDM
50-59 years, male
39.9
GTEX-Y5V6-1726-SM-4VDSZ
60-69 years, male
39.9
GTEX-ZDTT-2026-SM-5K7TY
60-69 years, male
39.7
GTEX-11EQ8-1426-SM-5EGJR
60-69 years, male
39.5
GTEX-R55D-0126-SM-48FEL
50-59 years, male
39.5
GTEX-UPJH-0126-SM-4IHLL
50-59 years, male
39.3
GTEX-16AAH-1626-SM-7EWE2
50-59 years, male
39.2
GTEX-QEG5-0126-SM-4R1JR
20-29 years, male
39.1
GTEX-X5EB-2026-SM-4E3KA
40-49 years, male
39.1
GTEX-ZYFC-0126-SM-5GIEH
50-59 years, male
38.9
GTEX-13NZA-2526-SM-5IJFX
60-69 years, male
38.8
GTEX-QEG4-0126-SM-48TZE
30-39 years, male
38.7
GTEX-XPT6-1626-SM-4B655
20-29 years, male
38.5
GTEX-13QJ3-0226-SM-5S2PU
50-59 years, male
38.2
GTEX-RWSA-2426-SM-47JXR
40-49 years, male
38.2
GTEX-14E7W-0726-SM-664OK
70-79 years, male
38.1
GTEX-U8T8-1126-SM-4DXUE
60-69 years, male
38.1
GTEX-11EI6-2226-SM-5EGJM
60-69 years, male
37.9
GTEX-11NSD-1026-SM-5N9BE
20-29 years, male
37.9
GTEX-QMRM-1526-SM-4R1K6
50-59 years, male
37.9
GTEX-13FHP-2826-SM-5IJFW
50-59 years, male
37.8
GTEX-13OW5-2526-SM-5L3I1
60-69 years, male
37.7
GTEX-V955-1926-SM-4KL1L
60-69 years, male
37.7
GTEX-YF7O-2026-SM-4W1YE
50-59 years, male
37.7
GTEX-11O72-0726-SM-5P9GO
40-49 years, male
37.6
GTEX-PLZ5-1526-SM-3P5ZX
50-59 years, male
37.1
GTEX-14A5H-0626-SM-5TDCO
60-69 years, male
36.8
GTEX-XQ3S-2726-SM-4BOP2
20-29 years, male
36.3
GTEX-R55E-0726-SM-48FCZ
20-29 years, male
36.2
GTEX-ZTX8-1126-SM-51MRM
20-29 years, male
36.1
GTEX-WOFM-1126-SM-4OOSB
20-29 years, male
35.9
GTEX-15RJ7-1826-SM-7KUMJ
40-49 years, male
35.8
GTEX-17KNJ-1126-SM-7KFT6
50-59 years, male
35.6
GTEX-U3ZH-1526-SM-4DXV1
30-39 years, male
35.4
GTEX-147GR-0626-SM-5S2PK
60-69 years, male
35.3
GTEX-1C64N-2826-SM-7IGP5
50-59 years, male
35.2
GTEX-1C64O-2126-SM-7IGPB
60-69 years, male
35.2
GTEX-145MF-1726-SM-5LU9H
50-59 years, male
35.1
GTEX-PLZ6-1226-SM-3P5ZS
30-39 years, male
34.8
GTEX-13OW8-0526-SM-5KM24
60-69 years, male
34.7
GTEX-18QFQ-1926-SM-72D5H
30-39 years, male
34.7
GTEX-13N2G-0126-SM-5N9DV
60-69 years, male
34.6
GTEX-148VJ-2526-SM-5TDEI
70-79 years, male
34.6
GTEX-OIZI-0126-SM-3NB13
40-49 years, male
34.5
GTEX-11LCK-2326-SM-5HL53
30-39 years, male
34.4
GTEX-11P82-1526-SM-5BC5M
20-29 years, male
34.4
GTEX-13O1R-0726-SM-5IJEI
60-69 years, male
34.4
GTEX-17MF6-2726-SM-7IGMZ
40-49 years, male
34.2
GTEX-WH7G-1926-SM-4LVMM
40-49 years, male
34.2
GTEX-11TUW-2226-SM-5EQL9
60-69 years, male
34.0
GTEX-YFCO-1726-SM-4W21S
40-49 years, male
33.5
GTEX-16XZZ-0626-SM-6M47T
60-69 years, male
33.4
GTEX-1BAJH-0726-SM-7IGMF
70-79 years, male
33.4
GTEX-147F4-0626-SM-5LUAK
50-59 years, male
33.1
GTEX-1E2YA-2826-SM-7EPIN
50-59 years, male
33.1
GTEX-ZQUD-2026-SM-51MSM
30-39 years, male
33.1
GTEX-1B8KZ-1826-SM-73KVJ
50-59 years, male
32.9
GTEX-PW2O-1426-SM-48TCD
20-29 years, male
32.8
GTEX-13OW6-0126-SM-5IJGM
50-59 years, male
32.4
GTEX-RN64-2326-SM-48FDW
50-59 years, male
31.9
GTEX-OOBJ-2126-SM-3NB1N
60-69 years, male
31.7
GTEX-111FC-1926-SM-5GZYC
60-69 years, male
31.6
GTEX-S4Z8-2126-SM-4AD5H
60-69 years, male
31.3
GTEX-14PJN-1626-SM-68727
30-39 years, male
31.1
GTEX-15SKB-0326-SM-6M477
60-69 years, male
30.6
GTEX-Y9LG-1726-SM-4VBQE
30-39 years, male
30.4
GTEX-11ONC-2226-SM-5HL6D
60-69 years, male
29.8
GTEX-1399T-1526-SM-5P9J6
60-69 years, male
29.8
GTEX-X261-2326-SM-4PQYU
50-59 years, male
29.8
GTEX-18A67-1826-SM-7KFT7
50-59 years, male
29.3
GTEX-VJYA-1426-SM-4KL1Y
60-69 years, male
29.2
GTEX-ZAB4-0126-SM-5CVMG
40-49 years, male
29.0
GTEX-13OVH-0726-SM-5N9BU
70-79 years, male
28.5
GTEX-YEC4-1526-SM-4W1YU
40-49 years, male
28.1
GTEX-1C6VQ-1426-SM-73KTW
50-59 years, male
27.9
GTEX-14PHX-1426-SM-69LPP
50-59 years, male
26.6
GTEX-17F9E-1626-SM-7EWDB
50-59 years, male
26.4
GTEX-14A6H-2326-SM-5Q5B5
30-39 years, male
25.8
GTEX-ZLFU-2026-SM-4WWG2
40-49 years, male
24.4
GTEX-NPJ8-1226-SM-3MJHM
40-49 years, male
23.2
GTEX-1CB4J-1626-SM-79OOK
60-69 years, male
20.7
GTEX-17F97-2726-SM-7IGQ4
50-59 years, male
19.2
GTEX-1C6VS-1126-SM-7EWEW
60-69 years, male
15.2
GTEX-WVJS-2726-SM-4MVNU
50-59 years, male
15.0
Show allShow less
TESTIS - FANTOM5 CAGEi
RNA expression in human tissues obtained through Cap Analysis of Gene Expression (CAGE) generated by the FANTOM5 project are reported as Scaled Tags Per Million.