We use cookies to enhance the usability of our website. If you continue, we'll assume that you are happy to receive all cookies. More information. Don't show this again.
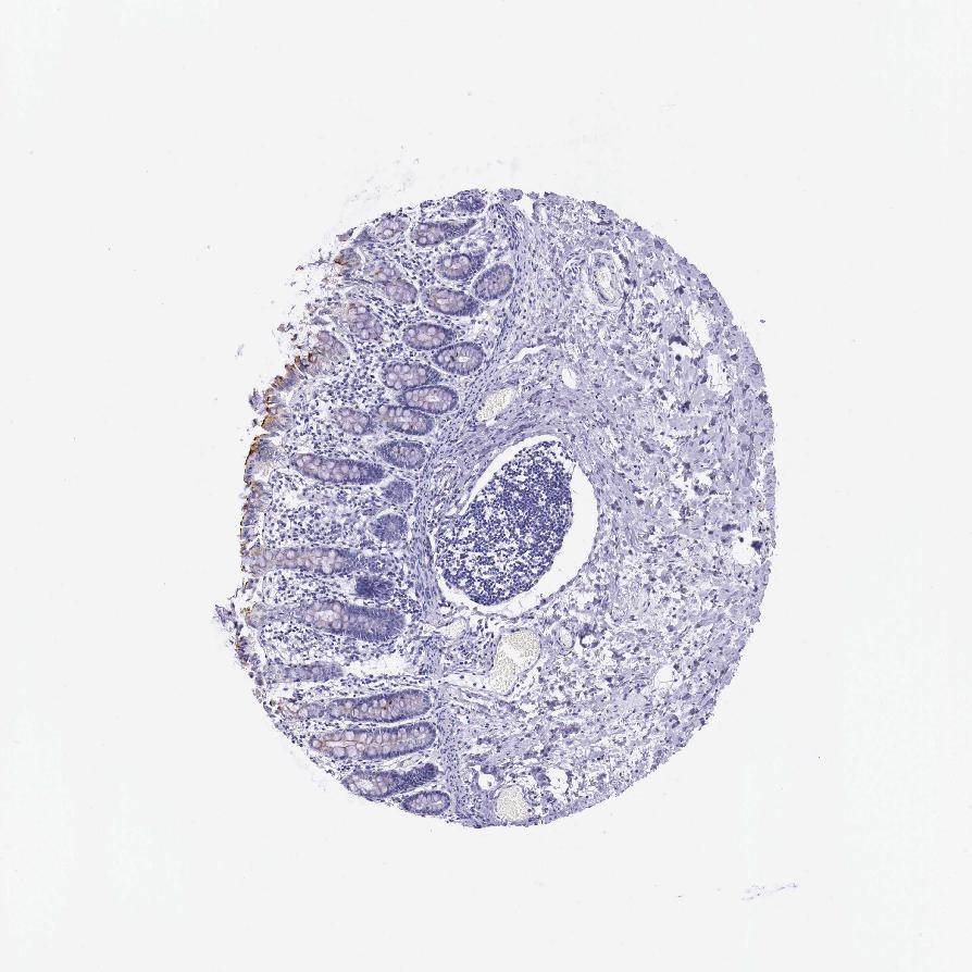
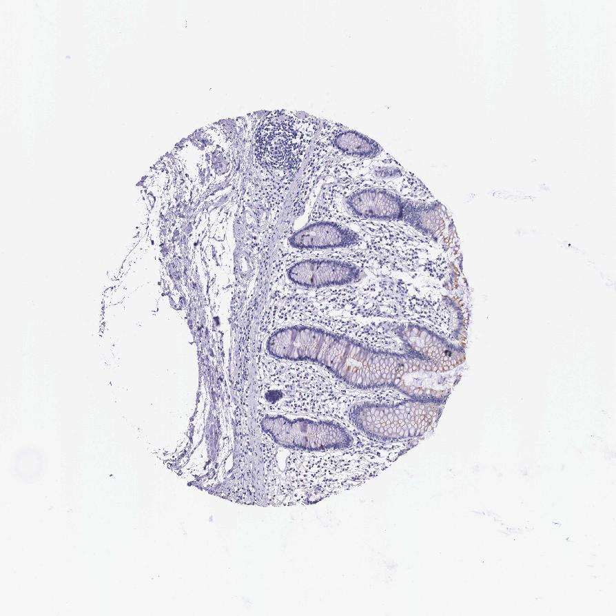
On the top, protein expression in current human tissue, based on all annotated cell types, is reported with the units not detected (n), low (l), medium (m) and high (h). Underneath, protein expression in each annotated cell type are reported using the same units.
Protein expression data is based on knowledge-based annotation. For genes where more than one antibody has been used, a collective score is set.
If knowledge-based annotation could not be performed for a gene, no data is displayed here. View antibody staining data further down this page.
A summary of mRNA expression data available for current tissue based on several datasets. The mRNA expression levels in human tissues are based on RNA-seq data generated by the Human Protein Atlas (HPA), Genotype-Tissue Expression (GTEx) portal and CAGE data generated by the FANTOM5 consortium. Consensus normalized expression (NX) levels for human tissues was created by combining the data from these three transcriptomics datasets (HPA, GTEx and FANTOM5).
The mRNA expression levels in pig are based on RNA-seq data generated by the Human Protein Atlas (HPA), and for mouse, HPA data and in situ hybridization generated by the Allen brain atlas are reported.
Scroll down to view mRNA expression data in more detail.
Antibody staining in the annotated cell types in the current human tissue is reported as not detected, low, medium, or high. This score is based on the staining intensity and fraction of stained cells.
The RNA-seq details section shows detailed information about the individual samples used for the transcript profiling and results of the RNA-seq analysis.
Information about each individual sample is listed below, including gender, age, a tissue section image and estimated fractions of cell types. pTPM (transcripts per million) values give a quantification of the gene abundance which is comparable between different genes and samples.
RNA-Seq data generated by the Genotype-Tissue Expression (GTEx) project from human tissues is reported as average pTPM. More information can be found on the GTEx portal.
Distribution across the dataset is visualized with box plots, shown as median and 25th and 75th percentiles. Points are displayed as outliers if they are above or below 1.5 times the interquartile range. pTPM values of the individual samples are presented next to the box plot.
Max pTPM: 19.9
Min pTPM: 0.0
Std pTPM: 1.8
Median pTPM: 0.2
GTEX-Y8LW-1126-SM-4VDS4
50-59 years, female
19.9
GTEX-YEC3-2026-SM-4WWFL
50-59 years, male
16.5
GTEX-13113-1426-SM-5EGHU
60-69 years, female
9.7
GTEX-14C39-1626-SM-5S2P4
40-49 years, male
4.8
GTEX-117YX-0526-SM-5EGJH
50-59 years, male
3.3
GTEX-11VI4-1426-SM-5GU6O
40-49 years, female
2.6
GTEX-13QBU-2026-SM-5KLZB
40-49 years, female
2.1
GTEX-ZF29-1826-SM-4WKG8
60-69 years, female
2.1
GTEX-YFCO-1526-SM-5YYB8
40-49 years, male
2.0
GTEX-12696-1926-SM-5EGJT
60-69 years, male
1.9
GTEX-ZPCL-1626-SM-57WGC
60-69 years, female
1.8
GTEX-ZF2S-1826-SM-4WKFF
50-59 years, female
1.6
GTEX-17F96-2126-SM-7KFSM
70-79 years, male
1.5
GTEX-1C475-1526-SM-7DHM3
40-49 years, female
1.5
GTEX-ZYFG-1826-SM-5GZWX
60-69 years, female
1.5
GTEX-14PJ3-1226-SM-5ZZVY
50-59 years, male
1.4
GTEX-YF7O-1626-SM-5IFII
50-59 years, male
1.4
GTEX-12WSJ-1426-SM-5GCON
40-49 years, female
1.3
GTEX-ZTSS-1226-SM-51MSZ
40-49 years, male
1.3
GTEX-11ZU8-1126-SM-5EQ5K
60-69 years, male
1.1
GTEX-139T6-1426-SM-5P9J7
50-59 years, male
1.1
GTEX-14JG6-1626-SM-5YYBC
30-39 years, female
1.1
GTEX-16NGA-0926-SM-718AG
40-49 years, female
1.1
GTEX-11EQ9-1526-SM-5PNY7
30-39 years, male
1.0
GTEX-139D8-2926-SM-5IJBM
30-39 years, female
1.0
GTEX-1A3MV-1026-SM-72D5U
30-39 years, male
1.0
GTEX-ZXES-1726-SM-5E43G
30-39 years, female
1.0
GTEX-11EMC-1426-SM-5N9E4
60-69 years, female
0.9
GTEX-13RTJ-1926-SM-5YYA2
60-69 years, male
0.9
GTEX-145MO-2626-SM-5QGPD
60-69 years, male
0.9
GTEX-V955-1726-SM-4JBHF
60-69 years, male
0.9
GTEX-ZQG8-2426-SM-57WEE
60-69 years, female
0.9
GTEX-111CU-1226-SM-5EGIN
50-59 years, male
0.8
GTEX-132AR-2826-SM-5IJFV
50-59 years, female
0.8
GTEX-148VJ-2426-SM-5NQ9Y
70-79 years, male
0.8
GTEX-16XZZ-2726-SM-7EWDO
60-69 years, male
0.8
GTEX-17GQL-1626-SM-7LG69
60-69 years, male
0.8
GTEX-ZT9W-1726-SM-51MS3
50-59 years, male
0.8
GTEX-11WQK-2526-SM-5CVL8
50-59 years, male
0.7
GTEX-1211K-1826-SM-5EGJ2
60-69 years, female
0.7
GTEX-14BMU-1326-SM-5RQIH
20-29 years, female
0.7
GTEX-15DZA-1026-SM-6PAND
30-39 years, female
0.7
GTEX-15RJE-2226-SM-6M46A
40-49 years, male
0.7
GTEX-16BQI-2026-SM-7KULQ
30-39 years, female
0.7
GTEX-WFON-1326-SM-4LVMN
40-49 years, male
0.7
GTEX-WRHK-1126-SM-4MVOJ
20-29 years, female
0.7
GTEX-XBED-1726-SM-47JYO
60-69 years, male
0.7
GTEX-XQ8I-2326-SM-4BOQC
50-59 years, male
0.7
GTEX-XUW1-1826-SM-4BOQD
50-59 years, female
0.7
GTEX-12BJ1-2026-SM-5FQUH
60-69 years, male
0.6
GTEX-13111-1926-SM-5GCOL
50-59 years, male
0.6
GTEX-13O61-1526-SM-5KM3P
60-69 years, male
0.6
GTEX-145LT-0826-SM-5S2QL
40-49 years, male
0.6
GTEX-14E6E-1726-SM-5S2R6
30-39 years, male
0.6
GTEX-17KNJ-1826-SM-7LT9N
50-59 years, male
0.6
GTEX-18A66-2626-SM-72D67
60-69 years, male
0.6
GTEX-1B996-2726-SM-7DUGG
60-69 years, male
0.6
GTEX-Y5LM-1426-SM-5RQJL
40-49 years, female
0.6
GTEX-ZLFU-1426-SM-4WWEU
40-49 years, male
0.6
GTEX-11TT1-0926-SM-5GU5M
20-29 years, male
0.5
GTEX-12ZZW-2426-SM-5DUWE
50-59 years, male
0.5
GTEX-1399U-2226-SM-5KLZI
50-59 years, female
0.5
GTEX-139UW-2326-SM-5KM1Y
60-69 years, male
0.5
GTEX-13SLW-2826-SM-5Q5ES
70-79 years, male
0.5
GTEX-14PN3-1926-SM-6EU1Y
60-69 years, female
0.5
GTEX-15UF6-2726-SM-7KULY
70-79 years, female
0.5
GTEX-1A3MX-2326-SM-718B4
60-69 years, male
0.5
GTEX-1C2JI-1726-SM-73KUW
50-59 years, male
0.5
GTEX-XAJ8-0726-SM-47JY5
40-49 years, male
0.5
GTEX-Y3I4-1126-SM-4TT7Y
50-59 years, male
0.5
GTEX-11ONC-1926-SM-5GU75
60-69 years, male
0.4
GTEX-131XG-1526-SM-5GCNQ
50-59 years, female
0.4
GTEX-15ETS-2326-SM-7KUGC
40-49 years, female
0.4
GTEX-1AMFI-1826-SM-73KWB
50-59 years, female
0.4
GTEX-1AX9J-2526-SM-73KUY
60-69 years, male
0.4
GTEX-1B97I-1526-SM-73KUK
40-49 years, male
0.4
GTEX-ZG7Y-1826-SM-4WWD3
50-59 years, male
0.4
GTEX-11ZTT-1626-SM-5EQKR
60-69 years, female
0.3
GTEX-13CF3-1326-SM-5LZXZ
60-69 years, female
0.3
GTEX-13OW6-2226-SM-5N9FL
50-59 years, male
0.3
GTEX-146FH-2426-SM-5Q5EW
50-59 years, female
0.3
GTEX-14E6C-2226-SM-5QGQG
40-49 years, male
0.3
GTEX-14PHX-1126-SM-5YYA5
50-59 years, male
0.3
GTEX-14PK6-1826-SM-69LOM
70-79 years, female
0.3
GTEX-14PKV-1926-SM-686YU
20-29 years, female
0.3
GTEX-15CHQ-2626-SM-686YZ
60-69 years, male
0.3
GTEX-16Z82-2426-SM-7KUMS
60-69 years, male
0.3
GTEX-17EUY-1726-SM-79OK4
20-29 years, male
0.3
GTEX-18QFQ-1726-SM-731C9
30-39 years, male
0.3
GTEX-WI4N-2226-SM-4OOS9
40-49 years, female
0.3
GTEX-ZYY3-2226-SM-5E45A
60-69 years, female
0.3
GTEX-ZZ64-0826-SM-5E449
20-29 years, male
0.3
GTEX-111YS-1826-SM-5GIEP
60-69 years, male
0.2
GTEX-11DXX-1926-SM-5EGJK
60-69 years, female
0.2
GTEX-11DXZ-1626-SM-5GIDI
50-59 years, male
0.2
GTEX-11EM3-1626-SM-5N9CO
20-29 years, female
0.2
GTEX-11GS4-1826-SM-5HL4T
60-69 years, male
0.2
GTEX-11I78-1326-SM-5PNY9
50-59 years, female
0.2
GTEX-11P7K-1826-SM-5HL5A
30-39 years, male
0.2
GTEX-13FH7-1626-SM-5J2O9
50-59 years, female
0.2
GTEX-13FTW-2126-SM-5K7YG
40-49 years, male
0.2
GTEX-13N2G-2226-SM-5IJCU
60-69 years, male
0.2
GTEX-13OVI-2126-SM-5KM3U
60-69 years, female
0.2
GTEX-13OVJ-1826-SM-5KM2D
50-59 years, female
0.2
GTEX-13OVK-1026-SM-7KFTC
40-49 years, male
0.2
GTEX-145ME-1126-SM-5SIAT
40-49 years, female
0.2
GTEX-1477Z-2126-SM-5Q5CM
60-69 years, male
0.2
GTEX-14A5I-2426-SM-5Q5CP
50-59 years, female
0.2
GTEX-15ER7-2826-SM-6PAN2
20-29 years, female
0.2
GTEX-15F5U-1426-SM-7KUN2
40-49 years, male
0.2
GTEX-15G19-2726-SM-6LPKG
60-69 years, male
0.2
GTEX-17HG3-1126-SM-7DUFC
30-39 years, female
0.2
GTEX-17HHE-1626-SM-7DHLN
50-59 years, male
0.2
GTEX-183WM-2526-SM-731BP
70-79 years, female
0.2
GTEX-18D9A-1326-SM-7LT8P
30-39 years, female
0.2
GTEX-1AX9K-1626-SM-73KUS
50-59 years, male
0.2
GTEX-1AYCT-1926-SM-793AE
50-59 years, male
0.2
GTEX-1B932-2126-SM-7IGMU
40-49 years, female
0.2
GTEX-1C6VQ-2626-SM-7IGMQ
50-59 years, male
0.2
GTEX-WHWD-1526-SM-4OORV
50-59 years, male
0.2
GTEX-WXYG-1726-SM-4ONCU
50-59 years, female
0.2
GTEX-WY7C-1926-SM-4ONCI
50-59 years, male
0.2
GTEX-ZAB4-2426-SM-5HL8A
40-49 years, male
0.2
GTEX-ZAJG-2626-SM-5S2NU
50-59 years, female
0.2
GTEX-ZF28-2526-SM-57WFH
60-69 years, male
0.2
GTEX-ZLV1-1326-SM-4WWER
60-69 years, female
0.2
GTEX-ZVT2-1726-SM-51MRO
50-59 years, female
0.2
GTEX-ZYT6-2826-SM-5GICX
30-39 years, male
0.2
GTEX-1122O-1426-SM-5H11R
60-69 years, female
0.1
GTEX-11DXY-2026-SM-5N9CZ
60-69 years, male
0.1
GTEX-11TUW-2326-SM-5EQMO
60-69 years, male
0.1
GTEX-1212Z-1826-SM-5FQSH
60-69 years, male
0.1
GTEX-12WSD-2626-SM-5EGJE
60-69 years, female
0.1
GTEX-12WSG-2426-SM-5EQLZ
50-59 years, female
0.1
GTEX-12WSL-1826-SM-5LZW9
50-59 years, male
0.1
GTEX-12ZZX-2726-SM-5N9FT
40-49 years, female
0.1
GTEX-12ZZY-2726-SM-5EQ45
60-69 years, male
0.1
GTEX-131YS-2926-SM-5EGKI
60-69 years, female
0.1
GTEX-1339X-1726-SM-5P9J9
40-49 years, male
0.1
GTEX-1399R-2126-SM-5K7WZ
30-39 years, male
0.1
GTEX-139TS-2226-SM-5J2N1
60-69 years, male
0.1
GTEX-13CF2-1826-SM-5N9GK
60-69 years, male
0.1
GTEX-13D11-0626-SM-5LZYY
50-59 years, female
0.1
GTEX-13FHO-2726-SM-5K7VG
60-69 years, male
0.1
GTEX-13G51-2126-SM-5IJD9
60-69 years, male
0.1
GTEX-13OW5-2826-SM-5KM1G
60-69 years, male
0.1
GTEX-13OW8-2726-SM-5L3FZ
60-69 years, male
0.1
GTEX-13PL7-2426-SM-5J2N3
60-69 years, female
0.1
GTEX-13PVQ-2726-SM-5L3H7
50-59 years, male
0.1
GTEX-13PVR-1726-SM-5Q5EC
60-69 years, female
0.1
GTEX-13VXT-2026-SM-5L3EW
20-29 years, female
0.1
GTEX-13X6I-2726-SM-5Q5ET
60-69 years, male
0.1
GTEX-144GM-1126-SM-79OJK
20-29 years, male
0.1
GTEX-145LS-2926-SM-5O99G
60-69 years, female
0.1
GTEX-147GR-2826-SM-5RQK8
60-69 years, male
0.1
GTEX-14DAQ-2926-SM-664MV
60-69 years, female
0.1
GTEX-14PJ4-1826-SM-5YY97
60-69 years, male
0.1
GTEX-15RIF-1426-SM-7KUKQ
20-29 years, male
0.1
GTEX-15UF7-1326-SM-7KUKV
40-49 years, male
0.1
GTEX-16MTA-1626-SM-6M47N
50-59 years, male
0.1
GTEX-17MFQ-1226-SM-7KFSA
20-29 years, male
0.1
GTEX-18465-2726-SM-7LT9I
50-59 years, male
0.1
GTEX-1A32A-2626-SM-73KX9
50-59 years, female
0.1
GTEX-1B8L1-1926-SM-7IGND
60-69 years, male
0.1
GTEX-1BAJH-2726-SM-7IGNJ
70-79 years, male
0.1
GTEX-1C4CL-1626-SM-7DUF3
30-39 years, male
0.1
GTEX-1CB4F-1926-SM-7MKFN
60-69 years, male
0.1
GTEX-1CB4G-2726-SM-79OO4
60-69 years, male
0.1
GTEX-1E2YA-2526-SM-7IGOU
50-59 years, male
0.1
GTEX-1EMGI-2626-SM-7IGNR
60-69 years, male
0.1
GTEX-WFG7-1626-SM-4LVMF
20-29 years, male
0.1
GTEX-WFG8-1726-SM-4LVM6
20-29 years, male
0.1
GTEX-X4EO-2726-SM-4E3HS
60-69 years, female
0.1
GTEX-XUZC-1526-SM-4BRV4
30-39 years, female
0.1
GTEX-XV7Q-2226-SM-4BRVY
40-49 years, female
0.1
GTEX-Y9LG-1326-SM-4VBQB
30-39 years, male
0.1
GTEX-YECK-2826-SM-5IFHF
60-69 years, male
0.1
GTEX-YJ8O-1426-SM-5PNV9
40-49 years, female
0.1
GTEX-Z93S-2626-SM-57WBX
50-59 years, male
0.1
GTEX-ZA64-1426-SM-5CVMC
20-29 years, male
0.1
GTEX-ZAB5-1426-SM-5HL9D
50-59 years, male
0.1
GTEX-ZC5H-2426-SM-4WAZ6
40-49 years, female
0.1
GTEX-ZE9C-2126-SM-4WKGY
60-69 years, male
0.1
GTEX-ZP4G-1526-SM-57WE5
20-29 years, female
0.1
GTEX-ZVT3-2826-SM-5GU6A
60-69 years, female
0.1
GTEX-ZY6K-1326-SM-5GZWP
50-59 years, male
0.1
GTEX-ZYFD-2226-SM-5E43P
50-59 years, male
0.1
GTEX-117XS-2226-SM-5GIE1
60-69 years, male
0.0
GTEX-11EI6-2626-SM-5PNVT
60-69 years, male
0.0
GTEX-11P81-1426-SM-5P9JN
30-39 years, female
0.0
GTEX-11PRG-2026-SM-5GU5F
50-59 years, male
0.0
GTEX-11ZTS-1526-SM-5N9G7
60-69 years, female
0.0
GTEX-12KS4-2326-SM-5EGJB
30-39 years, male
0.0
GTEX-12WSM-1426-SM-5GCPA
60-69 years, male
0.0
GTEX-131XE-1026-SM-5EGKE
50-59 years, male
0.0
GTEX-132NY-2726-SM-5PNY2
60-69 years, male
0.0
GTEX-13O1R-2426-SM-5KLZZ
60-69 years, male
0.0
GTEX-13U4I-2626-SM-5SI9C
40-49 years, female
0.0
GTEX-13X6J-2826-SM-7EPGA
50-59 years, male
0.0
GTEX-13X6K-2726-SM-5O9DG
60-69 years, female
0.0
GTEX-145MH-2726-SM-5QGQ6
50-59 years, male
0.0
GTEX-147JS-2626-SM-5S2UX
60-69 years, male
0.0
GTEX-14A5H-1626-SM-5SIAN
60-69 years, male
0.0
GTEX-14AS3-1026-SM-5TDD7
40-49 years, female
0.0
GTEX-14BIN-2426-SM-5TDCF
50-59 years, female
0.0
GTEX-14C5O-2626-SM-5RQI5
60-69 years, male
0.0
GTEX-14E1K-1626-SM-664MO
50-59 years, male
0.0
GTEX-15DCZ-2826-SM-6EU2J
20-29 years, female
0.0
GTEX-15DYW-2426-SM-7KUG8
60-69 years, female
0.0
GTEX-15EO6-2326-SM-6LPKK
50-59 years, male
0.0
GTEX-15RIE-2026-SM-7KFRW
60-69 years, male
0.0
GTEX-17F9Y-2626-SM-7IGN9
70-79 years, female
0.0
GTEX-17HGU-2626-SM-79OKN
50-59 years, male
0.0
GTEX-17JCI-2826-SM-7IGNA
60-69 years, female
0.0
GTEX-183FY-1426-SM-7DHLM
20-29 years, male
0.0
GTEX-18A67-2226-SM-7LT9Z
50-59 years, male
0.0
GTEX-18A6Q-2226-SM-7LG61
60-69 years, male
0.0
GTEX-1B8KE-1526-SM-7DUG2
50-59 years, male
0.0
GTEX-WHPG-1626-SM-4M1ZL
50-59 years, male
0.0
GTEX-WQUQ-2626-SM-4MVNP
60-69 years, male
0.0
GTEX-WYVS-1126-SM-4SOJX
40-49 years, female
0.0
GTEX-X15G-1526-SM-4PQZM
50-59 years, female
0.0
GTEX-XXEK-1826-SM-4BRVC
50-59 years, male
0.0
GTEX-Y114-1626-SM-4TT7I
50-59 years, female
0.0
GTEX-YJ8A-1726-SM-5P9IQ
20-29 years, male
0.0
GTEX-ZDTS-2726-SM-5L3E2
60-69 years, male
0.0
GTEX-ZE7O-2626-SM-51MSS
50-59 years, female
0.0
GTEX-ZPIC-2626-SM-57WE2
40-49 years, female
0.0
GTEX-ZPU1-1726-SM-4WWFV
40-49 years, male
0.0
GTEX-ZTTD-2626-SM-57WEX
50-59 years, male
0.0
GTEX-ZV6S-1126-SM-57WE9
40-49 years, female
0.0
GTEX-ZVT4-2626-SM-5N9GJ
50-59 years, female
0.0
GTEX-ZVZQ-2626-SM-59HLB
60-69 years, female
0.0
Show allShow less
Colon - Transverse Average pTPM: 5.6
Samples: 274
Max pTPM: 42.8
Min pTPM: 0.0
Std pTPM: 6.9
Median pTPM: 3.5
GTEX-1122O-1526-SM-5N9CL
60-69 years, female
42.8
GTEX-132AR-2726-SM-5PNVN
50-59 years, female
34.2
GTEX-14E6E-1526-SM-5RQIG
30-39 years, male
34.0
GTEX-R55G-1226-SM-48FDC
40-49 years, female
33.2
GTEX-ZLV1-1226-SM-4WWBX
60-69 years, female
28.5
GTEX-P4PP-1426-SM-3NM9L
30-39 years, female
27.2
GTEX-ZV7C-1526-SM-5NQ72
50-59 years, male
23.4
GTEX-OIZH-1426-SM-3NB1O
50-59 years, male
23.2
GTEX-1C475-1626-SM-731FP
40-49 years, female
22.8
GTEX-XUZC-1326-SM-4BRV2
30-39 years, female
22.4
GTEX-131XG-1826-SM-5LZV4
50-59 years, female
22.2
GTEX-15RIF-1326-SM-6LPKO
20-29 years, male
21.7
GTEX-UJHI-1126-SM-4IHLN
50-59 years, female
20.8
GTEX-ZPCL-1826-SM-57WF1
60-69 years, female
20.7
GTEX-11P7K-1526-SM-5EGI7
30-39 years, male
20.3
GTEX-RM2N-0926-SM-48FD1
50-59 years, male
19.7
GTEX-1AMFI-1726-SM-7189L
50-59 years, female
19.1
GTEX-OHPM-1426-SM-3TW8Y
50-59 years, male
18.7
GTEX-14XAO-2026-SM-69LOI
60-69 years, female
17.9
GTEX-16AAH-1326-SM-7KFRG
50-59 years, male
17.0
GTEX-S4UY-0826-SM-4AD4Z
40-49 years, female
17.0
GTEX-Y5LM-1526-SM-4VDTA
40-49 years, female
16.5
GTEX-ZVT2-1926-SM-5GU5T
50-59 years, female
16.4
GTEX-178AV-1326-SM-6LPJX
40-49 years, male
15.0
GTEX-Q734-1126-SM-48TZY
40-49 years, female
15.0
GTEX-14JIY-3326-SM-6871E
60-69 years, male
14.5
GTEX-111CU-1426-SM-5GZYP
50-59 years, male
14.4
GTEX-1B8KE-1926-SM-731EE
50-59 years, male
14.1
GTEX-13D11-0826-SM-5KLZJ
50-59 years, female
14.0
GTEX-Q2AI-0926-SM-48U1F
40-49 years, male
13.7
GTEX-ZF2S-1926-SM-4WWAN
50-59 years, female
13.4
GTEX-13FTW-1826-SM-5IJEN
40-49 years, male
13.1
GTEX-139T6-1326-SM-5IFFO
50-59 years, male
13.0
GTEX-OXRK-1726-SM-3NB16
50-59 years, female
13.0
GTEX-W5WG-2426-SM-4LMI6
50-59 years, female
13.0
GTEX-144GN-1126-SM-5LU33
50-59 years, male
12.7
GTEX-13OVG-1426-SM-5K7VP
60-69 years, male
12.4
GTEX-QV31-0826-SM-4R1KR
30-39 years, male
12.4
GTEX-R55D-1826-SM-48FEF
50-59 years, male
12.2
GTEX-1399S-1926-SM-5J2M5
30-39 years, female
11.8
GTEX-O5YT-1426-SM-3MJHC
20-29 years, male
11.8
GTEX-ZVP2-1526-SM-5NQ82
50-59 years, male
11.7
GTEX-13PL7-2526-SM-5IFGR
60-69 years, female
11.6
GTEX-U3ZN-2126-SM-4DXU1
30-39 years, female
11.6
GTEX-1B932-2826-SM-73KUD
40-49 years, female
11.5
GTEX-11DXX-1826-SM-5H126
60-69 years, female
11.1
GTEX-WOFM-2026-SM-4OOSQ
20-29 years, male
11.1
GTEX-13W3W-2126-SM-5K7UX
60-69 years, female
10.8
GTEX-14PHX-1526-SM-68717
50-59 years, male
10.2
GTEX-PLZ6-0926-SM-3P5ZQ
30-39 years, male
10.2
GTEX-ZEX8-1926-SM-4WKFR
50-59 years, male
10.0
GTEX-11EM3-1526-SM-5A5KN
20-29 years, female
9.8
GTEX-13X6H-1926-SM-7EWD3
50-59 years, female
9.8
GTEX-ZTSS-1126-SM-5985O
40-49 years, male
9.6
GTEX-14BMU-1526-SM-5TDE6
20-29 years, female
9.4
GTEX-11VI4-1526-SM-5EQKC
40-49 years, female
9.3
GTEX-P4QT-1426-SM-3NMCX
50-59 years, female
9.3
GTEX-YB5E-1626-SM-5IFIQ
40-49 years, male
9.3
GTEX-13PVR-1626-SM-73KVF
60-69 years, female
9.1
GTEX-R55C-1126-SM-48FCJ
40-49 years, male
9.0
GTEX-14PKV-2126-SM-664O3
20-29 years, female
8.8
GTEX-1399U-1926-SM-5IFH7
50-59 years, female
8.5
GTEX-14DAR-1526-SM-5RQIX
50-59 years, male
8.5
GTEX-WFON-1426-SM-4LVMT
40-49 years, male
8.1
GTEX-QEL4-1926-SM-4R1JI
50-59 years, male
8.0
GTEX-14PJ4-1926-SM-6LLHG
60-69 years, male
7.9
GTEX-11P82-1026-SM-5BC5J
20-29 years, male
7.8
GTEX-144GM-1226-SM-5LU52
20-29 years, male
7.8
GTEX-18D9A-1126-SM-7KFRJ
30-39 years, female
7.8
GTEX-S3XE-1126-SM-4AD4N
50-59 years, male
7.8
GTEX-S7SF-1926-SM-4AT5B
20-29 years, female
7.7
GTEX-133LE-1526-SM-5IFEN
20-29 years, female
7.6
GTEX-XMK1-1726-SM-4B64Z
40-49 years, male
7.5
GTEX-1B8KZ-1326-SM-7DUG6
50-59 years, male
7.4
GTEX-11DXZ-1726-SM-5H12M
50-59 years, male
7.3
GTEX-ZDYS-2326-SM-4WKG6
50-59 years, male
7.3
GTEX-18A66-2426-SM-7KFSQ
60-69 years, male
7.1
GTEX-ZP4G-1726-SM-4WWCM
20-29 years, female
7.1
GTEX-12BJ1-2126-SM-5BC5O
60-69 years, male
7.0
GTEX-11I78-1226-SM-5A5K6
50-59 years, female
6.8
GTEX-11TT1-1026-SM-5PNW7
20-29 years, male
6.8
GTEX-145LT-0926-SM-5LU9C
40-49 years, male
6.8
GTEX-17KNJ-1726-SM-7LG6A
50-59 years, male
6.4
GTEX-SE5C-1526-SM-4BRWU
40-49 years, female
6.4
GTEX-ZT9W-1826-SM-51MQX
50-59 years, male
6.2
GTEX-15RIE-1826-SM-6M48P
60-69 years, male
6.1
GTEX-WYVS-1826-SM-4OND6
40-49 years, female
6.0
GTEX-WHWD-1226-SM-4OOS1
50-59 years, male
5.9
GTEX-XGQ4-1226-SM-4AT67
50-59 years, male
5.8
GTEX-ZPIC-2226-SM-57WDX
40-49 years, female
5.8
GTEX-139YR-2126-SM-5KM11
50-59 years, male
5.7
GTEX-131XE-0826-SM-5HL9W
50-59 years, male
5.6
GTEX-1CAMS-2526-SM-7EPH7
40-49 years, female
5.6
GTEX-XV7Q-2126-SM-4BRVX
40-49 years, female
5.6
GTEX-15CHR-1426-SM-7DUGV
50-59 years, male
5.5
GTEX-1399R-2226-SM-5P9JB
30-39 years, male
5.4
GTEX-146FQ-1926-SM-5NQBY
30-39 years, male
5.4
GTEX-WFG7-1526-SM-4LVMG
20-29 years, male
5.4
GTEX-XPVG-1826-SM-4B64X
50-59 years, male
5.1
GTEX-14PK6-1726-SM-6871J
70-79 years, female
5.0
GTEX-17EUY-1826-SM-7DUEZ
20-29 years, male
5.0
GTEX-Q2AH-1226-SM-48TZL
40-49 years, male
5.0
GTEX-QDVN-1326-SM-48TZ3
50-59 years, male
5.0
GTEX-PLZ5-1126-SM-3P613
50-59 years, male
4.8
GTEX-1211K-1726-SM-5FQUJ
60-69 years, female
4.7
GTEX-SNOS-1226-SM-4DM5H
40-49 years, male
4.7
GTEX-U4B1-1126-SM-4DXV3
40-49 years, male
4.7
GTEX-WHSB-0926-SM-4M1XJ
50-59 years, male
4.7
GTEX-117YW-1826-SM-5PNY5
50-59 years, male
4.6
GTEX-17HHE-1826-SM-79OKE
50-59 years, male
4.6
GTEX-Y3IK-1826-SM-4WWDS
50-59 years, female
4.6
GTEX-R53T-1326-SM-48FCQ
50-59 years, female
4.5
GTEX-S4P3-1226-SM-4AD4Y
50-59 years, female
4.4
GTEX-QCQG-1626-SM-48U26
50-59 years, female
4.3
GTEX-X15G-1326-SM-4PQZJ
50-59 years, female
4.3
GTEX-13O21-2426-SM-5MR4A
50-59 years, male
4.2
GTEX-UJMC-1326-SM-4IHLS
50-59 years, male
4.2
GTEX-XQ8I-2126-SM-4BOOM
50-59 years, male
4.2
GTEX-Y9LG-1526-SM-4WWDR
30-39 years, male
4.2
GTEX-ZGAY-2126-SM-4YCFB
40-49 years, female
4.2
GTEX-QMRM-1226-SM-447C6
50-59 years, male
4.1
GTEX-XYKS-2226-SM-4E3IU
60-69 years, female
4.1
GTEX-ZY6K-1226-SM-5GZYL
50-59 years, male
4.1
GTEX-13QBU-1826-SM-5IJG3
40-49 years, female
4.0
GTEX-147GR-2726-SM-664OO
60-69 years, male
4.0
GTEX-1C4CL-2126-SM-7IGQC
30-39 years, male
4.0
GTEX-PWN1-1426-SM-48TDF
40-49 years, female
4.0
GTEX-T5JW-1126-SM-4DM5V
20-29 years, female
4.0
GTEX-WH7G-1326-SM-4LVMS
40-49 years, male
4.0
GTEX-YF7O-1726-SM-5IFJ9
50-59 years, male
4.0
GTEX-PX3G-1426-SM-48U1J
20-29 years, female
3.9
GTEX-145MN-1726-SM-5SIA6
30-39 years, male
3.8
GTEX-QLQW-0426-SM-447A7
30-39 years, male
3.8
GTEX-139TS-1926-SM-5IJFO
60-69 years, male
3.7
GTEX-TKQ2-1326-SM-4DXT9
50-59 years, male
3.7
GTEX-TML8-1326-SM-4DXTO
40-49 years, female
3.7
GTEX-1AYCT-1826-SM-731EG
50-59 years, male
3.6
GTEX-12C56-0626-SM-5EGGC
20-29 years, male
3.4
GTEX-1C2JI-1626-SM-7EPHC
50-59 years, male
3.4
GTEX-O5YW-1426-SM-3MJHF
50-59 years, male
3.3
GTEX-U3ZM-1126-SM-4DXUB
40-49 years, male
3.2
GTEX-14JG6-1726-SM-69LPL
30-39 years, female
3.1
GTEX-1AMEY-1926-SM-73KVT
30-39 years, female
3.1
GTEX-S4Q7-0826-SM-4AD5E
20-29 years, male
3.1
GTEX-WYJK-2226-SM-4ONDJ
50-59 years, male
3.1
GTEX-XBED-1526-SM-4AT5W
60-69 years, male
3.1
GTEX-17HGU-2426-SM-7EWDP
50-59 years, male
3.0
GTEX-1128S-1626-SM-5H12O
60-69 years, female
2.9
GTEX-147F3-1926-SM-5SIB9
50-59 years, female
2.7
GTEX-PWCY-1026-SM-48TD4
20-29 years, female
2.7
GTEX-XUW1-1926-SM-4BOP1
50-59 years, female
2.7
GTEX-15DCE-2026-SM-7KUFE
20-29 years, male
2.6
GTEX-Y8E4-2426-SM-4WWDN
40-49 years, male
2.5
GTEX-18D9U-1926-SM-7KFTM
40-49 years, male
2.4
GTEX-14PJ5-0926-SM-6LLIK
60-69 years, female
2.3
GTEX-X3Y1-1726-SM-4PQZL
40-49 years, male
2.3
GTEX-11NSD-1626-SM-5986U
20-29 years, male
2.2
GTEX-SNMC-1126-SM-4DM5M
20-29 years, male
2.2
GTEX-15ER7-2926-SM-7KUFK
20-29 years, female
2.1
GTEX-17F98-1026-SM-7IGO8
40-49 years, female
2.1
GTEX-13111-0726-SM-5DUVE
50-59 years, male
1.9
GTEX-ZXES-1626-SM-5NQ7L
30-39 years, female
1.8
GTEX-ZZ64-0726-SM-5GZX4
20-29 years, male
1.8
GTEX-15G1A-1826-SM-7KUKO
30-39 years, male
1.7
GTEX-ZPU1-1926-SM-57WDT
40-49 years, male
1.7
GTEX-11WQK-2126-SM-5EQME
50-59 years, male
1.6
GTEX-13VXT-2426-SM-5LU46
20-29 years, female
1.6
GTEX-14ICK-1026-SM-6AJA4
40-49 years, male
1.6
GTEX-14PJ3-0926-SM-69LQG
50-59 years, male
1.4
GTEX-15SB6-1226-SM-7KUMP
50-59 years, female
1.4
GTEX-QDVJ-1326-SM-48U1X
50-59 years, male
1.4
GTEX-V955-1626-SM-4JBHJ
60-69 years, male
1.4
GTEX-11LCK-2026-SM-5A5MA
30-39 years, male
1.3
GTEX-YEC3-2426-SM-5IFJR
50-59 years, male
1.3
GTEX-11EQ9-1426-SM-5987G
30-39 years, male
1.1
GTEX-18A7A-2226-SM-7LT8K
50-59 years, female
1.1
GTEX-1B996-2626-SM-73KZ1
60-69 years, male
1.1
GTEX-RU1J-1326-SM-46MUL
20-29 years, female
1.1
GTEX-13OVJ-1726-SM-5IJDZ
50-59 years, female
1.0
GTEX-17GQL-1526-SM-7LTAC
60-69 years, male
1.0
GTEX-P78B-1726-SM-3P5ZV
40-49 years, female
1.0
GTEX-TKQ1-0626-SM-4DXTS
30-39 years, male
1.0
GTEX-VJYA-2026-SM-4KL1K
60-69 years, male
1.0
GTEX-17F9E-1826-SM-7IGMC
50-59 years, male
0.9
GTEX-XBEW-1926-SM-4SOJO
40-49 years, male
0.9
GTEX-11ZVC-2126-SM-5EGJ1
50-59 years, female
0.8
GTEX-13OW6-2126-SM-5N9GL
50-59 years, male
0.8
GTEX-16NGA-1026-SM-7KFS3
40-49 years, female
0.8
GTEX-OXRL-1426-SM-3NM9E
50-59 years, male
0.8
GTEX-14ICL-1226-SM-5S2RD
30-39 years, male
0.7
GTEX-15CHQ-2526-SM-6EU24
60-69 years, male
0.7
GTEX-16MT8-2726-SM-7IGLJ
60-69 years, female
0.7
GTEX-17F96-2026-SM-79ON4
70-79 years, male
0.7
GTEX-1A3MV-1126-SM-718BS
30-39 years, male
0.7
GTEX-13FH7-1526-SM-5J2N6
50-59 years, female
0.6
GTEX-WQUQ-2526-SM-4MVNO
60-69 years, male
0.6
GTEX-Y8LW-1226-SM-4WWDP
50-59 years, female
0.6
GTEX-ZF29-1726-SM-4WKFV
60-69 years, female
0.6
GTEX-12KS4-2426-SM-5LU8P
30-39 years, male
0.5
GTEX-13CF3-1426-SM-5K7YY
60-69 years, female
0.5
GTEX-13S86-1626-SM-5Q5C5
40-49 years, male
0.5
GTEX-145MO-2426-SM-5NQ9W
60-69 years, male
0.5
GTEX-148VJ-2626-SM-5QGPI
70-79 years, male
0.5
GTEX-14PJM-2626-SM-686ZD
50-59 years, female
0.5
GTEX-15UF6-2626-SM-6M466
70-79 years, female
0.5
GTEX-1C64O-2326-SM-73KU8
60-69 years, male
0.5
GTEX-1C6VQ-2726-SM-73KUL
50-59 years, male
0.5
GTEX-U3ZH-1326-SM-4DXSF
30-39 years, male
0.5
GTEX-ZYFG-1926-SM-5GID5
60-69 years, female
0.5
GTEX-13OVK-0826-SM-7KULZ
40-49 years, male
0.4
GTEX-15CHC-1626-SM-5ZZWS
60-69 years, female
0.4
GTEX-18A7B-2026-SM-72D71
70-79 years, male
0.4
GTEX-1AX9I-2626-SM-73KU5
60-69 years, male
0.4
GTEX-YEC4-1926-SM-5IFHJ
40-49 years, male
0.4
GTEX-117YX-0826-SM-5H11J
50-59 years, male
0.3
GTEX-11O72-2226-SM-5PNW2
40-49 years, male
0.3
GTEX-11ONC-2026-SM-5HL61
60-69 years, male
0.3
GTEX-12WSJ-1526-SM-5GCNI
40-49 years, female
0.3
GTEX-12WSL-1626-SM-5GCMU
50-59 years, male
0.3
GTEX-13OW5-2626-SM-5MR3M
60-69 years, male
0.3
GTEX-14H4A-1926-SM-5ZZWN
40-49 years, female
0.3
GTEX-WY7C-1626-SM-4ONC8
50-59 years, male
0.3
GTEX-111VG-2226-SM-5N9DU
60-69 years, male
0.2
GTEX-111YS-1626-SM-5GZZ9
60-69 years, male
0.2
GTEX-11GSP-1626-SM-5986N
60-69 years, female
0.2
GTEX-1339X-1626-SM-5IJDN
40-49 years, male
0.2
GTEX-144GL-2526-SM-5TDDL
50-59 years, male
0.2
GTEX-145LS-2726-SM-5Q5D8
60-69 years, female
0.2
GTEX-14BIN-3026-SM-5ZZUS
50-59 years, female
0.2
GTEX-14C39-1926-SM-5ZZW5
40-49 years, male
0.2
GTEX-14C5O-2526-SM-73KU2
60-69 years, male
0.2
GTEX-18D9B-2526-SM-718BN
60-69 years, male
0.2
GTEX-18QFQ-1526-SM-72D57
30-39 years, male
0.2
GTEX-1CB4F-2026-SM-79OLU
60-69 years, male
0.2
GTEX-NFK9-2026-SM-3LK5K
40-49 years, male
0.2
GTEX-QLQ7-1126-SM-4R1KN
60-69 years, male
0.2
GTEX-XXEK-1926-SM-4BRVD
50-59 years, male
0.2
GTEX-11TTK-2426-SM-5PNYO
60-69 years, female
0.1
GTEX-12ZZZ-2426-SM-5GCNN
60-69 years, male
0.1
GTEX-13FHP-2426-SM-5KLZ5
50-59 years, male
0.1
GTEX-13O61-1626-SM-5KM3T
60-69 years, male
0.1
GTEX-13OVI-2026-SM-5J1MU
60-69 years, female
0.1
GTEX-145ME-0826-SM-5O9AF
40-49 years, female
0.1
GTEX-147JS-2526-SM-5S2Q8
60-69 years, male
0.1
GTEX-14AS3-1126-SM-5Q5CR
40-49 years, female
0.1
GTEX-14DAQ-2726-SM-5S2QY
60-69 years, female
0.1
GTEX-15SHU-2526-SM-6M47D
40-49 years, female
0.1
GTEX-17MF6-2426-SM-7LTAM
40-49 years, male
0.1
GTEX-1BAJH-2326-SM-7IGMO
70-79 years, male
0.1
GTEX-RWS6-1826-SM-47JXX
60-69 years, female
0.1
GTEX-T6MO-0826-SM-4DM51
40-49 years, female
0.1
GTEX-WEY5-1426-SM-4LMJ3
40-49 years, female
0.1
GTEX-X5EB-0926-SM-46MVT
40-49 years, male
0.1
GTEX-Y114-1526-SM-4TT79
50-59 years, female
0.1
GTEX-Y3I4-1426-SM-4TT9C
50-59 years, male
0.1
GTEX-ZAB4-2226-SM-5HL97
40-49 years, male
0.1
GTEX-ZV6S-1226-SM-59HLH
40-49 years, female
0.1
GTEX-ZYFC-2626-SM-5NQ6S
50-59 years, male
0.1
GTEX-ZYVF-2826-SM-5GIDK
50-59 years, female
0.1
GTEX-11P81-1126-SM-5GU5G
30-39 years, female
0.0
GTEX-11TUW-2026-SM-5EQL8
60-69 years, male
0.0
GTEX-13O3O-2526-SM-5L3DR
60-69 years, female
0.0
GTEX-13O3P-2326-SM-5KM55
50-59 years, male
0.0
GTEX-13U4I-2426-SM-5LU34
40-49 years, female
0.0
GTEX-14BMV-2426-SM-5S2PP
50-59 years, male
0.0
GTEX-14E1K-1826-SM-793DT
50-59 years, male
0.0
GTEX-15DYW-2326-SM-6PAMU
60-69 years, female
0.0
GTEX-15DZA-0926-SM-69LQ3
30-39 years, female
0.0
GTEX-16NPV-2626-SM-6M484
50-59 years, female
0.0
GTEX-16Z82-2226-SM-6LPJ7
60-69 years, male
0.0
GTEX-17EVQ-1826-SM-7IGPH
70-79 years, male
0.0
GTEX-17JCI-2626-SM-7EWE6
60-69 years, female
0.0
GTEX-S341-1426-SM-4AD6U
40-49 years, female
0.0
GTEX-Z93S-2426-SM-5HL8N
50-59 years, male
0.0
Show allShow less
COLON - FANTOM5 CAGEi
RNA expression in human tissues obtained through Cap Analysis of Gene Expression (CAGE) generated by the FANTOM5 project are reported as Scaled Tags Per Million.