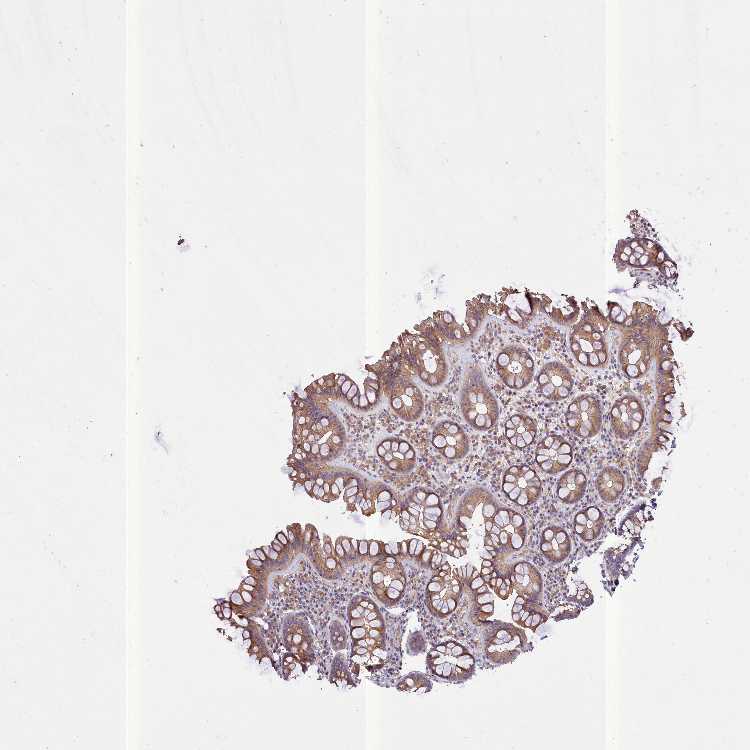
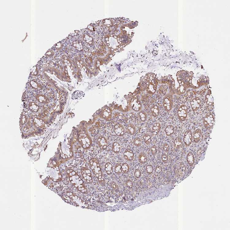
PEMT