We use cookies to enhance the usability of our website. If you continue, we'll assume that you are happy to receive all cookies. More information. Don't show this again.
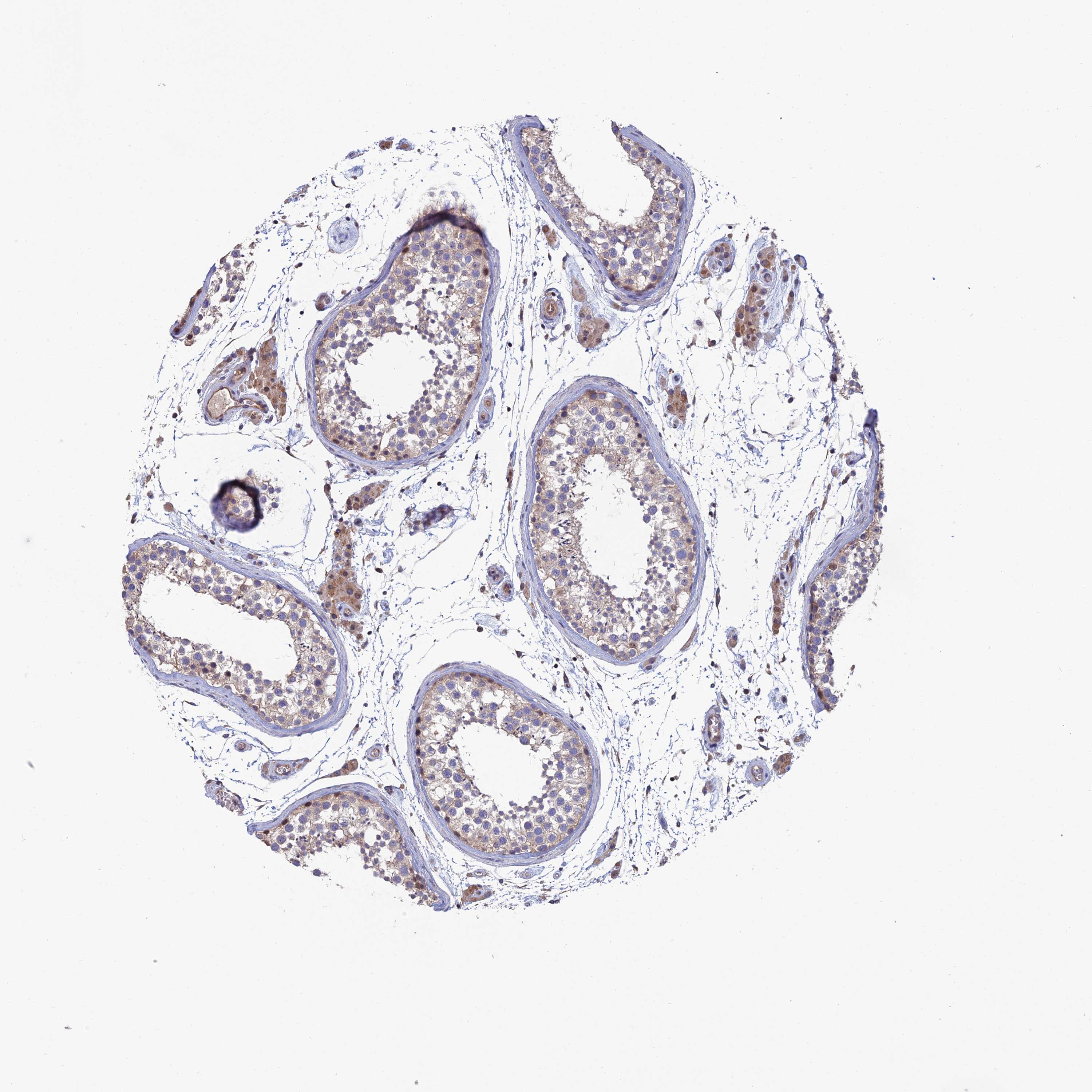
On the top, protein expression in current human tissue, based on all annotated cell types, is reported with the units not detected (n), low (l), medium (m) and high (h). Underneath, protein expression in each annotated cell type are reported using the same units.
Protein expression data is based on knowledge-based annotation. For genes where more than one antibody has been used, a collective score is set.
If knowledge-based annotation could not be performed for a gene, no data is displayed here. View antibody staining data further down this page.
A summary of mRNA expression data available for current tissue based on several datasets. The mRNA expression levels in human tissues are based on RNA-seq data generated by the Human Protein Atlas (HPA), Genotype-Tissue Expression (GTEx) portal and CAGE data generated by the FANTOM5 consortium. Consensus normalized expression (NX) levels for human tissues was created by combining the data from these three transcriptomics datasets (HPA, GTEx and FANTOM5).
The mRNA expression levels in pig are based on RNA-seq data generated by the Human Protein Atlas (HPA), and for mouse, HPA data and in situ hybridization generated by the Allen brain atlas are reported.
Scroll down to view mRNA expression data in more detail.
Antibody staining in the annotated cell types in the current human tissue is reported as not detected, low, medium, or high. This score is based on the staining intensity and fraction of stained cells.
The RNA-seq details section shows detailed information about the individual samples used for the transcript profiling and results of the RNA-seq analysis.
Information about each individual sample is listed below, including gender, age, a tissue section image and estimated fractions of cell types. pTPM (transcripts per million) values give a quantification of the gene abundance which is comparable between different genes and samples.
Cells in seminiferous ducts: 65 Other cell types: 35
Male, age 34
Testis sample 278 pTPM: 31.1
Cell types%
Cells in seminiferous ducts: 75 Other cell types: 25
Male, age 62
Testis sample 279 pTPM: 27.9
Cell types%
Cells in seminiferous ducts: 70 Other cell types: 30
Male, age 34
Testis sample 280 pTPM: 23.6
Cell types%
Cells in seminiferous ducts: 60 Other cell types: 40
Male, age 26
Testis sample 281 pTPM: 32.3
Cell types%
Cells in seminiferous ducts: 55 Other cell types: 45
Male, age 50
Testis sample 282 pTPM: 30
Cell types%
Cells in seminiferous ducts: 85 Other cell types: 15
Male, age 37
Testis sample 283 pTPM: 24.9
Cell types%
Cells in seminiferous ducts: 35 Other cell types: 65
Male, age 51
Testis sample 349 pTPM: 44
Cell types%
Cells in seminiferous ducts: 65 Other cell types: 35
Male, age 34
Testis sample 354 pTPM: 33.3
Cell types%
Cells in seminiferous ducts: 70 Other cell types: 30
Male, age 26
Testis sample 371 pTPM: 29
Cell types%
Cells in seminiferous ducts: 75 Other cell types: 25
TESTIS - GTEx RNA-seqi
RNA-Seq data generated by the Genotype-Tissue Expression (GTEx) project from human tissues is reported as average pTPM. More information can be found on the GTEx portal.
Distribution across the dataset is visualized with box plots, shown as median and 25th and 75th percentiles. Points are displayed as outliers if they are above or below 1.5 times the interquartile range. pTPM values of the individual samples are presented next to the box plot.
Max pTPM: 21.2
Min pTPM: 3.8
Std pTPM: 3.0
Median pTPM: 11.6
GTEX-1A3MV-0726-SM-72D5M
30-39 years, male
21.2
GTEX-14DAR-1126-SM-793AT
50-59 years, male
20.8
GTEX-14E1K-1926-SM-73KWS
50-59 years, male
18.8
GTEX-15RIF-1826-SM-6M469
20-29 years, male
18.6
GTEX-U4B1-1526-SM-4DXSL
40-49 years, male
18.6
GTEX-1A3MX-1026-SM-731F8
60-69 years, male
18.5
GTEX-183FY-1926-SM-7KFRI
20-29 years, male
18.3
GTEX-17MFQ-0826-SM-793C8
20-29 years, male
18.0
GTEX-12WSH-0326-SM-5GCNH
50-59 years, male
17.3
GTEX-145MO-0126-SM-5S2QU
60-69 years, male
17.3
GTEX-ZV7C-2026-SM-5NQ8F
50-59 years, male
17.2
GTEX-18A66-0726-SM-72D77
60-69 years, male
16.9
GTEX-SNOS-1126-SM-4DM67
40-49 years, male
16.8
GTEX-12BJ1-1326-SM-5BC5P
60-69 years, male
16.7
GTEX-16AAH-1626-SM-7EWE2
50-59 years, male
16.7
GTEX-11EQ9-1926-SM-5PNVV
30-39 years, male
16.5
GTEX-13FTW-1326-SM-5LZZD
40-49 years, male
16.5
GTEX-1CAMR-1526-SM-79OLP
20-29 years, male
16.5
GTEX-OHPM-2126-SM-3LK75
50-59 years, male
16.5
GTEX-1B996-2326-SM-731EC
60-69 years, male
16.4
GTEX-ZAB5-2426-SM-5CVMW
50-59 years, male
16.4
GTEX-18D9B-2726-SM-72D73
60-69 years, male
16.3
GTEX-OXRL-2126-SM-3NM98
50-59 years, male
16.3
GTEX-OIZH-2126-SM-3NB1P
50-59 years, male
16.0
GTEX-16MTA-1126-SM-6LPJA
50-59 years, male
15.9
GTEX-S4Q7-1226-SM-4AD5I
20-29 years, male
15.8
GTEX-11GS4-2026-SM-5N9CP
60-69 years, male
15.7
GTEX-XGQ4-2026-SM-4AT6G
50-59 years, male
15.7
GTEX-1B8SF-2926-SM-731DL
60-69 years, male
15.6
GTEX-RM2N-1326-SM-48FCW
50-59 years, male
15.6
GTEX-TKQ2-1526-SM-4DXUN
50-59 years, male
15.5
GTEX-14PJ3-1626-SM-664O5
50-59 years, male
15.4
GTEX-1C64N-2826-SM-7IGP5
50-59 years, male
15.4
GTEX-1AX9I-1826-SM-72D5I
60-69 years, male
15.3
GTEX-ZPU1-2126-SM-57WED
40-49 years, male
15.3
GTEX-1GMRU-0626-SM-7MKH2
50-59 years, male
15.2
GTEX-XBED-2026-SM-4AT5D
60-69 years, male
15.2
GTEX-ZDYS-1326-SM-5IJFF
50-59 years, male
15.2
GTEX-131XE-0426-SM-5IJF4
50-59 years, male
15.1
GTEX-11NV4-1726-SM-5N9FC
60-69 years, male
15.0
GTEX-11P7K-1026-SM-5HL6Y
30-39 years, male
14.9
GTEX-ZTSS-1526-SM-51MTC
40-49 years, male
14.9
GTEX-11EQ8-1426-SM-5EGJR
60-69 years, male
14.8
GTEX-14C5O-2326-SM-73KYU
60-69 years, male
14.8
GTEX-11TT1-2226-SM-5GU6B
20-29 years, male
14.7
GTEX-15G19-1326-SM-6LPIR
60-69 years, male
14.7
GTEX-17HHE-1226-SM-793C6
50-59 years, male
14.6
GTEX-OOBK-2126-SM-3LK5T
40-49 years, male
14.6
GTEX-T6MN-2026-SM-4DM7L
50-59 years, male
14.4
GTEX-11ZUS-2726-SM-5FQUA
30-39 years, male
14.3
GTEX-15RIE-0626-SM-6M47G
60-69 years, male
14.3
GTEX-11DXZ-2126-SM-59881
50-59 years, male
14.2
GTEX-13OVK-2226-SM-6LPJY
40-49 years, male
14.2
GTEX-1CB4G-2426-SM-7DUGM
60-69 years, male
14.2
GTEX-Q2AI-1226-SM-48U14
40-49 years, male
14.2
GTEX-YEC3-1726-SM-5IFIK
50-59 years, male
14.2
GTEX-132QS-1226-SM-5P9GD
60-69 years, male
14.1
GTEX-1AX9K-1826-SM-731CY
50-59 years, male
14.0
GTEX-YB5E-1926-SM-5IFIG
40-49 years, male
13.9
GTEX-ZUA1-2726-SM-59HLJ
40-49 years, male
13.9
GTEX-139TS-1726-SM-5IJG5
60-69 years, male
13.8
GTEX-S3XE-1526-SM-4AD5A
50-59 years, male
13.8
GTEX-WHSB-2126-SM-4M1XF
50-59 years, male
13.8
GTEX-X5EB-2026-SM-4E3KA
40-49 years, male
13.8
GTEX-XAJ8-1326-SM-47JYT
40-49 years, male
13.8
GTEX-111YS-2026-SM-5EGGL
60-69 years, male
13.7
GTEX-17F9E-1626-SM-7EWDB
50-59 years, male
13.7
GTEX-1CB4I-0926-SM-7MKFY
50-59 years, male
13.7
GTEX-XMK1-2026-SM-4B65K
40-49 years, male
13.7
GTEX-14E6E-1026-SM-664N9
30-39 years, male
13.6
GTEX-WK11-0326-SM-4OOS6
50-59 years, male
13.6
GTEX-ZZ64-1126-SM-5GZXY
20-29 years, male
13.6
GTEX-111CU-1726-SM-5EGHM
50-59 years, male
13.5
GTEX-13O21-1226-SM-5J2MK
50-59 years, male
13.5
GTEX-14BIL-2226-SM-73KWF
50-59 years, male
13.4
GTEX-1C4CL-1926-SM-731DY
30-39 years, male
13.4
GTEX-14PJ2-2026-SM-6AJAQ
50-59 years, male
13.3
GTEX-18A6Q-2626-SM-7KFT3
60-69 years, male
13.3
GTEX-N7MS-0126-SM-3TW8O
60-69 years, male
13.3
GTEX-WY7C-2226-SM-4ONCS
50-59 years, male
13.3
GTEX-1EU9M-1626-SM-7EWF2
60-69 years, male
13.2
GTEX-U3ZM-1626-SM-4DXSK
40-49 years, male
13.2
GTEX-17GQL-1726-SM-718B8
60-69 years, male
13.1
GTEX-17HGU-0726-SM-7DUFN
50-59 years, male
13.1
GTEX-U8XE-0126-SM-4E3I3
30-39 years, male
13.1
GTEX-13NZB-2026-SM-5MR4M
30-39 years, male
13.0
GTEX-14B4R-1026-SM-5TDDS
30-39 years, male
13.0
GTEX-S33H-0126-SM-4AD62
30-39 years, male
13.0
GTEX-XBEC-0126-SM-4GIDT
50-59 years, male
13.0
GTEX-13O61-2026-SM-5J2M6
60-69 years, male
12.9
GTEX-13OW5-2526-SM-5L3I1
60-69 years, male
12.9
GTEX-16Z82-2726-SM-7KULV
60-69 years, male
12.9
GTEX-QLQ7-1426-SM-4R1JX
60-69 years, male
12.9
GTEX-QV31-1126-SM-4R1K4
30-39 years, male
12.9
GTEX-144GL-0726-SM-5LU4P
50-59 years, male
12.8
GTEX-WFON-2026-SM-4LVMW
40-49 years, male
12.8
GTEX-ZVZP-2226-SM-57WBF
50-59 years, male
12.8
GTEX-ZYT6-2726-SM-5GICP
30-39 years, male
12.8
GTEX-11OF3-1826-SM-5987N
60-69 years, male
12.7
GTEX-T8EM-0126-SM-4DM5R
40-49 years, male
12.7
GTEX-12C56-1426-SM-5FQSW
20-29 years, male
12.6
GTEX-1AX9J-1226-SM-72D6P
60-69 years, male
12.6
GTEX-WHSE-0426-SM-4M1XO
20-29 years, male
12.4
GTEX-12ZZY-0126-SM-5LZV2
60-69 years, male
12.3
GTEX-144GM-0426-SM-5Q5C8
20-29 years, male
12.3
GTEX-16YQH-1826-SM-6LPJW
30-39 years, male
12.3
GTEX-SNMC-1026-SM-4DM7K
20-29 years, male
12.3
GTEX-11WQC-2326-SM-5EQKE
60-69 years, male
12.2
GTEX-15SHV-1926-SM-6LPI1
60-69 years, male
12.2
GTEX-WYJK-1826-SM-4ONDM
50-59 years, male
12.2
GTEX-11NSD-1026-SM-5N9BE
20-29 years, male
12.1
GTEX-11P82-1526-SM-5BC5M
20-29 years, male
12.1
GTEX-139TT-2226-SM-5LZWO
60-69 years, male
12.1
GTEX-17HHY-0726-SM-7IGM6
50-59 years, male
12.1
GTEX-1C6VR-1526-SM-7MKG9
60-69 years, male
12.1
GTEX-Y111-2426-SM-4TT23
50-59 years, male
12.1
GTEX-ZT9W-2226-SM-57WFU
50-59 years, male
12.1
GTEX-12696-0226-SM-5EGL3
60-69 years, male
12.0
GTEX-147JS-0126-SM-5S2TW
60-69 years, male
12.0
GTEX-18QFQ-1926-SM-72D5H
30-39 years, male
12.0
GTEX-1212Z-0326-SM-5FQSJ
60-69 years, male
11.9
GTEX-1EKGG-2726-SM-79OOD
60-69 years, male
11.8
GTEX-TKQ1-0926-SM-4DXU2
30-39 years, male
11.8
GTEX-V1D1-2126-SM-4JBH4
50-59 years, male
11.8
GTEX-ZVTK-0126-SM-57WDG
20-29 years, male
11.8
GTEX-139T6-1226-SM-5IFFC
50-59 years, male
11.7
GTEX-14753-0626-SM-5Q5CY
60-69 years, male
11.7
GTEX-1B8KE-1426-SM-7EWEL
50-59 years, male
11.7
GTEX-Z93S-1726-SM-5HL8G
50-59 years, male
11.7
GTEX-145LT-0426-SM-5LUAP
40-49 years, male
11.6
GTEX-11O72-0726-SM-5P9GO
40-49 years, male
11.5
GTEX-13N2G-0126-SM-5N9DV
60-69 years, male
11.5
GTEX-18A7B-1526-SM-7KFTH
70-79 years, male
11.5
GTEX-OOBJ-2126-SM-3NB1N
60-69 years, male
11.5
GTEX-S7PM-0626-SM-4AD4Q
60-69 years, male
11.5
GTEX-Y3I4-2026-SM-4TT6Z
50-59 years, male
11.5
GTEX-13112-0226-SM-5P9IV
50-59 years, male
11.4
GTEX-13VXU-0726-SM-5J2O7
50-59 years, male
11.4
GTEX-15RJ7-1826-SM-7KUMJ
40-49 years, male
11.4
GTEX-11LCK-2326-SM-5HL53
30-39 years, male
11.3
GTEX-13111-1526-SM-5EGJX
50-59 years, male
11.3
GTEX-14C39-0526-SM-664OF
40-49 years, male
11.3
GTEX-Q2AH-1526-SM-48TZG
40-49 years, male
11.3
GTEX-QLQW-1026-SM-447A9
30-39 years, male
11.3
GTEX-V955-1926-SM-4KL1L
60-69 years, male
11.3
GTEX-Y5V6-1726-SM-4VDSZ
60-69 years, male
11.3
GTEX-12WSL-2326-SM-5DUXQ
50-59 years, male
11.2
GTEX-QEG5-0126-SM-4R1JR
20-29 years, male
11.2
GTEX-11EI6-2226-SM-5EGJM
60-69 years, male
11.1
GTEX-1C64O-2126-SM-7IGPB
60-69 years, male
11.1
GTEX-O5YT-2126-SM-3MJGD
20-29 years, male
11.1
GTEX-WFG8-1926-SM-4LVM1
20-29 years, male
11.1
GTEX-17HII-0126-SM-7KFSS
50-59 years, male
11.0
GTEX-OIZI-0126-SM-3NB13
40-49 years, male
11.0
GTEX-P4QS-2126-SM-3NMCF
60-69 years, male
11.0
GTEX-WOFM-1126-SM-4OOSB
20-29 years, male
11.0
GTEX-117XS-2026-SM-5GID1
60-69 years, male
10.9
GTEX-11NUK-2626-SM-5A5MB
50-59 years, male
10.9
GTEX-1399R-1626-SM-5P9GG
30-39 years, male
10.9
GTEX-14E7W-0726-SM-664OK
70-79 years, male
10.9
GTEX-1F6IF-0526-SM-7MKHD
60-69 years, male
10.9
GTEX-R55D-0126-SM-48FEL
50-59 years, male
10.9
GTEX-X3Y1-2626-SM-4PQZI
40-49 years, male
10.9
GTEX-QMRM-1526-SM-4R1K6
50-59 years, male
10.8
GTEX-YF7O-2026-SM-4W1YE
50-59 years, male
10.8
GTEX-ZTX8-1126-SM-51MRM
20-29 years, male
10.8
GTEX-117YW-1526-SM-5EGGP
50-59 years, male
10.7
GTEX-14PJN-1626-SM-68727
30-39 years, male
10.7
GTEX-R55C-1426-SM-48FED
40-49 years, male
10.7
GTEX-12WSM-1326-SM-5GCP9
60-69 years, male
10.6
GTEX-14C38-0126-SM-5YY9V
50-59 years, male
10.6
GTEX-REY6-0126-SM-48FDT
60-69 years, male
10.6
GTEX-UPJH-0126-SM-4IHLL
50-59 years, male
10.6
GTEX-QV44-1726-SM-4R1KG
50-59 years, male
10.5
GTEX-RWSA-2426-SM-47JXR
40-49 years, male
10.5
GTEX-13NZA-2526-SM-5IJFX
60-69 years, male
10.4
GTEX-WZTO-0326-SM-4PQYZ
40-49 years, male
10.4
GTEX-13N1W-2626-SM-5IJEP
70-79 years, male
10.3
GTEX-XPVG-2226-SM-4B65U
50-59 years, male
10.3
GTEX-ZA64-1626-SM-5CVME
20-29 years, male
10.3
GTEX-147GR-0626-SM-5S2PK
60-69 years, male
10.2
GTEX-U3ZH-1526-SM-4DXV1
30-39 years, male
10.2
GTEX-117YX-2026-SM-5GIEF
50-59 years, male
10.1
GTEX-13OVL-0426-SM-5IFG6
50-59 years, male
10.1
GTEX-14ABY-0626-SM-5Q5C9
50-59 years, male
10.1
GTEX-U8T8-1126-SM-4DXUE
60-69 years, male
10.0
GTEX-WVLH-2626-SM-4MVNV
50-59 years, male
10.0
GTEX-11TUW-2226-SM-5EQL9
60-69 years, male
9.9
GTEX-1E1VI-1026-SM-7MKGQ
50-59 years, male
9.9
GTEX-RUSQ-2126-SM-47JXK
50-59 years, male
9.9
GTEX-ZQUD-2026-SM-51MSM
30-39 years, male
9.9
GTEX-13FHP-2826-SM-5IJFW
50-59 years, male
9.8
GTEX-17MF6-2726-SM-7IGMZ
40-49 years, male
9.8
GTEX-NFK9-0126-SM-3LK5H
40-49 years, male
9.8
GTEX-QEG4-0126-SM-48TZE
30-39 years, male
9.8
GTEX-XQ3S-2726-SM-4BOP2
20-29 years, male
9.8
GTEX-17KNJ-1126-SM-7KFT6
50-59 years, male
9.7
GTEX-YJ89-0626-SM-4TT3Z
60-69 years, male
9.7
GTEX-111FC-1926-SM-5GZYC
60-69 years, male
9.6
GTEX-14PJ4-1726-SM-664OC
60-69 years, male
9.5
GTEX-1AYCT-1026-SM-79ONR
50-59 years, male
9.5
GTEX-13FLW-2126-SM-5N9FD
50-59 years, male
9.4
GTEX-T5JC-0726-SM-4DM55
20-29 years, male
9.4
GTEX-VJYA-1426-SM-4KL1Y
60-69 years, male
9.4
GTEX-ZYFC-0126-SM-5GIEH
50-59 years, male
9.4
GTEX-1AX8Z-2826-SM-73KTZ
60-69 years, male
9.3
GTEX-S95S-1126-SM-4B64E
60-69 years, male
9.3
GTEX-ZT9X-1426-SM-5DUX1
40-49 years, male
9.3
GTEX-12WSI-2126-SM-5GCMV
50-59 years, male
9.2
GTEX-PW2O-1426-SM-48TCD
20-29 years, male
9.2
GTEX-145MF-1726-SM-5LU9H
50-59 years, male
9.1
GTEX-XPT6-1626-SM-4B655
20-29 years, male
9.1
GTEX-ZDTT-2026-SM-5K7TY
60-69 years, male
9.1
GTEX-1339X-1926-SM-5PNVP
40-49 years, male
9.0
GTEX-1B8KZ-1826-SM-73KVJ
50-59 years, male
9.0
GTEX-S7SE-0326-SM-4AT5Q
50-59 years, male
9.0
GTEX-YEC4-1526-SM-4W1YU
40-49 years, male
9.0
GTEX-R55E-0726-SM-48FCZ
20-29 years, male
8.9
GTEX-13QJ3-0226-SM-5S2PU
50-59 years, male
8.8
GTEX-16XZZ-0626-SM-6M47T
60-69 years, male
8.8
GTEX-18465-1526-SM-7KFTV
50-59 years, male
8.8
GTEX-1C6VQ-1426-SM-73KTW
50-59 years, male
8.8
GTEX-111VG-1926-SM-5GIDO
60-69 years, male
8.7
GTEX-13NYB-2226-SM-5MR58
40-49 years, male
8.5
GTEX-13OW8-0526-SM-5KM24
60-69 years, male
8.5
GTEX-144GN-1626-SM-5Q5BU
50-59 years, male
8.5
GTEX-145MH-2326-SM-5O9AW
50-59 years, male
8.4
GTEX-14A5H-0626-SM-5TDCO
60-69 years, male
8.4
GTEX-14A6H-2326-SM-5Q5B5
30-39 years, male
8.3
GTEX-WH7G-1926-SM-4LVMM
40-49 years, male
8.3
GTEX-S4Z8-2126-SM-4AD5H
60-69 years, male
8.1
GTEX-Y9LG-1726-SM-4VBQE
30-39 years, male
8.1
GTEX-148VJ-2526-SM-5TDEI
70-79 years, male
8.0
GTEX-YFCO-1726-SM-4W21S
40-49 years, male
8.0
GTEX-13O1R-0726-SM-5IJEI
60-69 years, male
7.9
GTEX-13OVH-0726-SM-5N9BU
70-79 years, male
7.9
GTEX-11DXY-0226-SM-5H123
60-69 years, male
7.8
GTEX-XLM4-1526-SM-4AT6D
60-69 years, male
7.6
GTEX-18A67-1826-SM-7KFT7
50-59 years, male
7.4
GTEX-Y8E4-2226-SM-5LU94
40-49 years, male
7.4
GTEX-ZLFU-2026-SM-4WWG2
40-49 years, male
7.4
GTEX-13OW6-0126-SM-5IJGM
50-59 years, male
7.3
GTEX-1BAJH-0726-SM-7IGMF
70-79 years, male
7.3
GTEX-ZAB4-0126-SM-5CVMG
40-49 years, male
7.3
GTEX-RN64-2326-SM-48FDW
50-59 years, male
7.1
GTEX-PLZ6-1226-SM-3P5ZS
30-39 years, male
7.0
GTEX-14PHX-1426-SM-69LPP
50-59 years, male
6.9
GTEX-11ONC-2226-SM-5HL6D
60-69 years, male
6.8
GTEX-PLZ5-1526-SM-3P5ZX
50-59 years, male
6.8
GTEX-15SKB-0326-SM-6M477
60-69 years, male
6.3
GTEX-17F97-2726-SM-7IGQ4
50-59 years, male
6.3
GTEX-X261-2326-SM-4PQYU
50-59 years, male
6.3
GTEX-147F4-0626-SM-5LUAK
50-59 years, male
6.2
GTEX-1CB4J-1626-SM-79OOK
60-69 years, male
5.9
GTEX-1399T-1526-SM-5P9J6
60-69 years, male
5.7
GTEX-1C6VS-1126-SM-7EWEW
60-69 years, male
5.3
GTEX-1E2YA-2826-SM-7EPIN
50-59 years, male
5.3
GTEX-NPJ8-1226-SM-3MJHM
40-49 years, male
4.4
GTEX-WVJS-2726-SM-4MVNU
50-59 years, male
3.8
Show allShow less
TESTIS - FANTOM5 CAGEi
RNA expression in human tissues obtained through Cap Analysis of Gene Expression (CAGE) generated by the FANTOM5 project are reported as Scaled Tags Per Million.