We use cookies to enhance the usability of our website. If you continue, we'll assume that you are happy to receive all cookies. More information. Don't show this again.
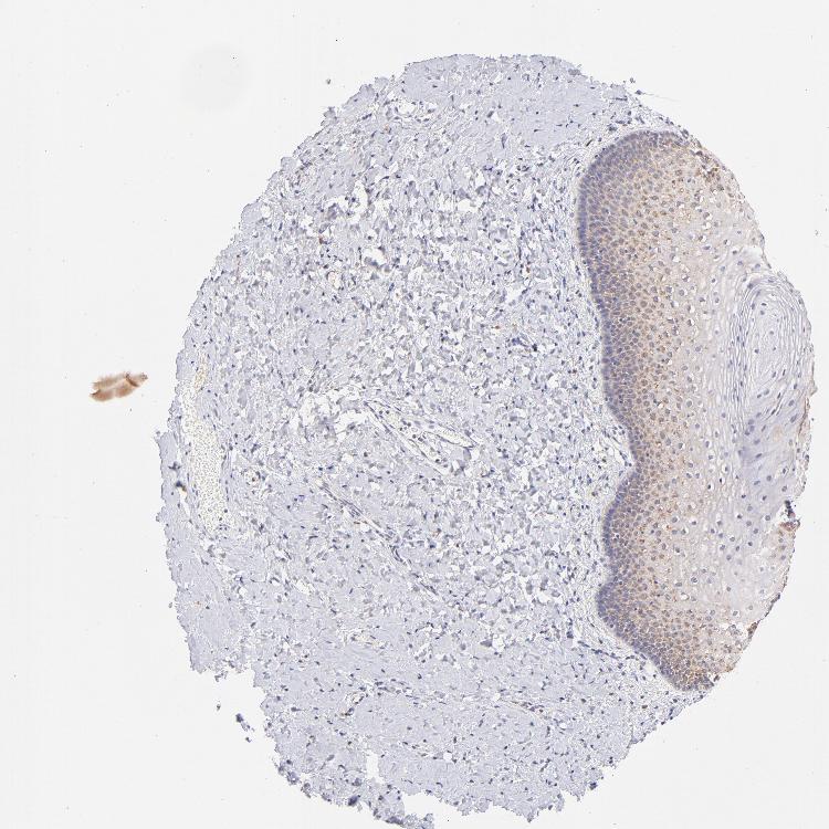
On the top, protein expression in current human tissue, based on all annotated cell types, is reported with the units not detected (n), low (l), medium (m) and high (h). Underneath, protein expression in each annotated cell type are reported using the same units.
Protein expression data is based on knowledge-based annotation. For genes where more than one antibody has been used, a collective score is set.
If knowledge-based annotation could not be performed for a gene, no data is displayed here. View antibody staining data further down this page.
A summary of mRNA expression data available for current tissue based on several datasets. The mRNA expression levels in human tissues are based on RNA-seq data generated by the Human Protein Atlas (HPA), Genotype-Tissue Expression (GTEx) portal and CAGE data generated by the FANTOM5 consortium. Consensus normalized expression (NX) levels for human tissues was created by combining the data from these three transcriptomics datasets (HPA, GTEx and FANTOM5).
The mRNA expression levels in pig are based on RNA-seq data generated by the Human Protein Atlas (HPA), and for mouse, HPA data and in situ hybridization generated by the Allen brain atlas are reported.
Scroll down to view mRNA expression data in more detail.
Antibody staining in the annotated cell types in the current human tissue is reported as not detected, low, medium, or high. This score is based on the staining intensity and fraction of stained cells.
RNA-Seq data generated by the Genotype-Tissue Expression (GTEx) project from human tissues is reported as average pTPM. More information can be found on the GTEx portal.
Distribution across the dataset is visualized with box plots, shown as median and 25th and 75th percentiles. Points are displayed as outliers if they are above or below 1.5 times the interquartile range. pTPM values of the individual samples are presented next to the box plot.
Max pTPM: 4830.4
Min pTPM: 1703.1
Std pTPM: 707.4
Median pTPM: 2627.0
GTEX-ZE7O-2426-SM-57WD7
50-59 years, female
4830.4
GTEX-12ZZX-1926-SM-5EGKC
40-49 years, female
4475.7
GTEX-ZVT3-2726-SM-5GU5X
60-69 years, female
4441.4
GTEX-15DYW-2926-SM-6PANA
60-69 years, female
4195.5
GTEX-11GSP-2226-SM-5HL5Q
60-69 years, female
4177.4
GTEX-131YS-2426-SM-5J2OD
60-69 years, female
4155.4
GTEX-PLZ4-2726-SM-3P61A
50-59 years, female
4138.8
GTEX-15UF6-2126-SM-6M46Z
70-79 years, female
4111.5
GTEX-183WM-2126-SM-7LG4I
70-79 years, female
4056.0
GTEX-ZYVF-0326-SM-5GIES
50-59 years, female
3986.7
GTEX-QDT8-2526-SM-48TYX
30-39 years, female
3924.4
GTEX-1EWIQ-2326-SM-7IGNF
70-79 years, female
3821.6
GTEX-ZYY3-2626-SM-5N9DH
60-69 years, female
3811.8
GTEX-TSE9-2526-SM-4DXUS
60-69 years, female
3789.0
GTEX-14DAQ-2326-SM-5S2QX
60-69 years, female
3782.9
GTEX-11TTK-2726-SM-5GU58
60-69 years, female
3739.6
GTEX-145LS-2526-SM-5TDC9
60-69 years, female
3714.3
GTEX-16NPV-2526-SM-6M483
50-59 years, female
3626.5
GTEX-YFC4-2926-SM-5IFJ8
40-49 years, female
3539.8
GTEX-15SHU-2926-SM-7KUKT
40-49 years, female
3517.1
GTEX-13QIC-1826-SM-5J1MY
60-69 years, female
3463.3
GTEX-13U4I-2026-SM-5LU3L
40-49 years, female
3462.2
GTEX-1AMFI-1526-SM-73KVY
50-59 years, female
3449.3
GTEX-147F3-1526-SM-5SIAK
50-59 years, female
3367.9
GTEX-1117F-2526-SM-5GZY6
60-69 years, female
3359.0
GTEX-RWS6-1726-SM-47JXP
60-69 years, female
3354.3
GTEX-11P81-2126-SM-5HL6N
30-39 years, female
3352.4
GTEX-ZC5H-2226-SM-4WAWS
40-49 years, female
3220.6
GTEX-13OVI-0926-SM-5J1MI
60-69 years, female
3217.0
GTEX-N7MT-1926-SM-3LK5N
60-69 years, female
3214.1
GTEX-WYVS-1426-SM-4ONCV
40-49 years, female
3192.6
GTEX-15SB6-1426-SM-7KUEM
50-59 years, female
3136.2
GTEX-18D9A-1026-SM-7KFRU
30-39 years, female
3118.1
GTEX-TMMY-1926-SM-4DXUU
40-49 years, female
3089.8
GTEX-14PJM-2926-SM-69LOE
50-59 years, female
3059.2
GTEX-12WSD-2926-SM-5LZUH
60-69 years, female
3040.9
GTEX-113JC-1926-SM-5N9GE
50-59 years, female
3039.2
GTEX-15DCZ-2326-SM-6AJB1
20-29 years, female
3024.3
GTEX-ZTPG-2226-SM-57WF9
20-29 years, female
3019.4
GTEX-P78B-2226-SM-3P5ZZ
40-49 years, female
2987.9
GTEX-Y8LW-1426-SM-5RQJJ
50-59 years, female
2969.6
GTEX-X8HC-2826-SM-46MWJ
50-59 years, female
2963.9
GTEX-S4UY-1326-SM-4AD4X
40-49 years, female
2951.1
GTEX-T2IS-1926-SM-4DM74
20-29 years, female
2916.8
GTEX-17JCI-2526-SM-7DHLB
60-69 years, female
2888.6
GTEX-18A7A-2826-SM-7LT8J
50-59 years, female
2862.2
GTEX-131XG-2126-SM-5DUXG
50-59 years, female
2805.2
GTEX-14H4A-2426-SM-664OQ
40-49 years, female
2802.9
GTEX-W5WG-1026-SM-4LMIF
50-59 years, female
2798.3
GTEX-P4PP-2526-SM-3P61P
30-39 years, female
2783.0
GTEX-13N11-1526-SM-5L3FL
50-59 years, female
2754.4
GTEX-NL3G-2526-SM-4SOIE
60-69 years, female
2698.9
GTEX-S4P3-1126-SM-4AD52
50-59 years, female
2674.9
GTEX-OHPK-2526-SM-3MJH9
50-59 years, female
2670.2
GTEX-13PVR-1426-SM-5S2PW
60-69 years, female
2655.4
GTEX-Q734-1426-SM-48TZQ
40-49 years, female
2648.9
GTEX-13W3W-2326-SM-5LU4Y
60-69 years, female
2644.7
GTEX-ZQG8-1126-SM-51MRL
60-69 years, female
2627.0
GTEX-WEY5-0826-SM-4LMIH
40-49 years, female
2624.5
GTEX-11EMC-1926-SM-5A5JU
60-69 years, female
2577.3
GTEX-QVJO-2526-SM-4R1KB
60-69 years, female
2574.4
GTEX-17F9Y-2326-SM-7DUFP
70-79 years, female
2573.9
GTEX-146FH-2626-SM-5Q5E1
50-59 years, female
2559.5
GTEX-11DXX-1726-SM-5H11T
60-69 years, female
2547.3
GTEX-T6MO-1226-SM-4DM5S
40-49 years, female
2544.5
GTEX-1CAMS-2326-SM-793CR
40-49 years, female
2534.8
GTEX-WRHU-2926-SM-4MVNQ
50-59 years, female
2502.1
GTEX-PX3G-2526-SM-48TZV
20-29 years, female
2494.1
GTEX-UJHI-1326-SM-4IHJO
50-59 years, female
2476.8
GTEX-1399U-1526-SM-5J2N7
50-59 years, female
2460.1
GTEX-13PL7-2726-SM-5L3GB
60-69 years, female
2443.0
GTEX-11EM3-1826-SM-5A5KO
20-29 years, female
2432.3
GTEX-13D11-1326-SM-5IJFY
50-59 years, female
2419.0
GTEX-ZXES-0626-SM-5E45P
30-39 years, female
2417.7
GTEX-X15G-1926-SM-4PQZQ
50-59 years, female
2414.4
GTEX-ZV6S-1326-SM-59HJA
40-49 years, female
2395.5
GTEX-YJ8O-1226-SM-5P9JE
40-49 years, female
2388.0
GTEX-146FR-2426-SM-5NQAU
60-69 years, female
2386.7
GTEX-1A8FM-2426-SM-7IGPE
50-59 years, female
2321.9
GTEX-SE5C-1126-SM-4BRWZ
40-49 years, female
2313.1
GTEX-QCQG-1226-SM-48U23
50-59 years, female
2297.8
GTEX-S7SF-1426-SM-4AT5A
20-29 years, female
2279.2
GTEX-OHPL-2526-SM-3MJGT
60-69 years, female
2273.3
GTEX-XUW1-0326-SM-4BOOR
50-59 years, female
2256.3
GTEX-ZGAY-2226-SM-4YCCX
40-49 years, female
2239.0
GTEX-14BMU-1926-SM-5S2QC
20-29 years, female
2216.6
GTEX-TML8-1126-SM-4DXSS
40-49 years, female
2215.4
GTEX-14JG6-0726-SM-69LQH
30-39 years, female
2210.1
GTEX-14A5I-2726-SM-5SIB3
50-59 years, female
2204.4
GTEX-RU1J-1426-SM-46MUV
20-29 years, female
2195.2
GTEX-XV7Q-1626-SM-4BRWC
40-49 years, female
2161.2
GTEX-12WSJ-1326-SM-5GCOB
40-49 years, female
2160.8
GTEX-1399S-2326-SM-5K7YV
30-39 years, female
2137.6
GTEX-15ER7-2526-SM-7KUFW
20-29 years, female
2121.5
GTEX-1C475-0526-SM-793AC
40-49 years, female
2112.0
GTEX-13QBU-1726-SM-5IJFQ
40-49 years, female
2110.2
GTEX-PWCY-1726-SM-48TD3
20-29 years, female
2099.0
GTEX-PWN1-2526-SM-48TDS
40-49 years, female
2062.3
GTEX-145ME-1426-SM-5RQJS
40-49 years, female
2051.4
GTEX-ZP4G-0826-SM-4WWF3
20-29 years, female
2033.0
GTEX-U3ZN-0926-SM-4DXTU
30-39 years, female
2027.4
GTEX-S341-1226-SM-4AD5S
40-49 years, female
2011.7
GTEX-ZZPU-2226-SM-5EGIV
50-59 years, female
1994.4
GTEX-Y114-1926-SM-4TT8J
50-59 years, female
1993.1
GTEX-ZLWG-1126-SM-4WWFQ
50-59 years, female
1985.7
GTEX-Y3IK-2226-SM-4YCD4
50-59 years, female
1914.4
GTEX-ZVT2-0626-SM-5GICR
50-59 years, female
1888.1
GTEX-15SDE-1726-SM-6LPJS
50-59 years, female
1879.6
GTEX-16NGA-1626-SM-72D6M
40-49 years, female
1876.7
GTEX-11XUK-1326-SM-5EQM4
40-49 years, female
1869.2
GTEX-11I78-2026-SM-5987C
50-59 years, female
1860.4
GTEX-14PJ6-1626-SM-6872D
60-69 years, female
1859.4
GTEX-14PKU-1326-SM-6871B
40-49 years, female
1796.4
GTEX-14PN3-1626-SM-6AJAV
60-69 years, female
1755.7
GTEX-11VI4-0726-SM-5GU5B
40-49 years, female
1703.1
Show allShow less
VAGINA - FANTOM5 CAGEi
RNA expression in human tissues obtained through Cap Analysis of Gene Expression (CAGE) generated by the FANTOM5 project are reported as Scaled Tags Per Million.