We use cookies to enhance the usability of our website. If you continue, we'll assume that you are happy to receive all cookies. More information. Don't show this again.
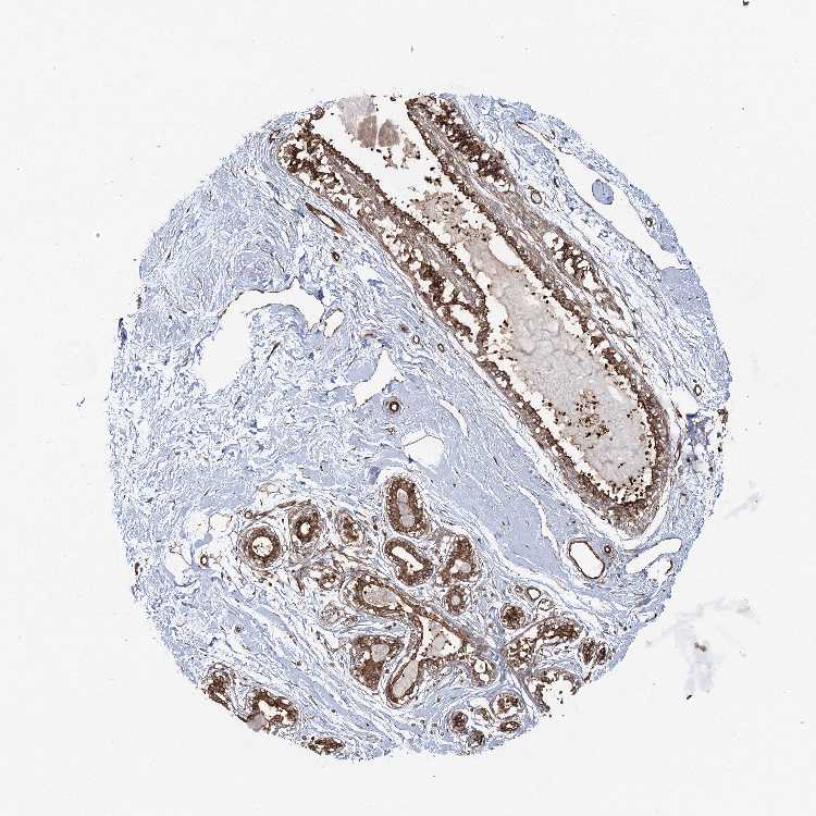
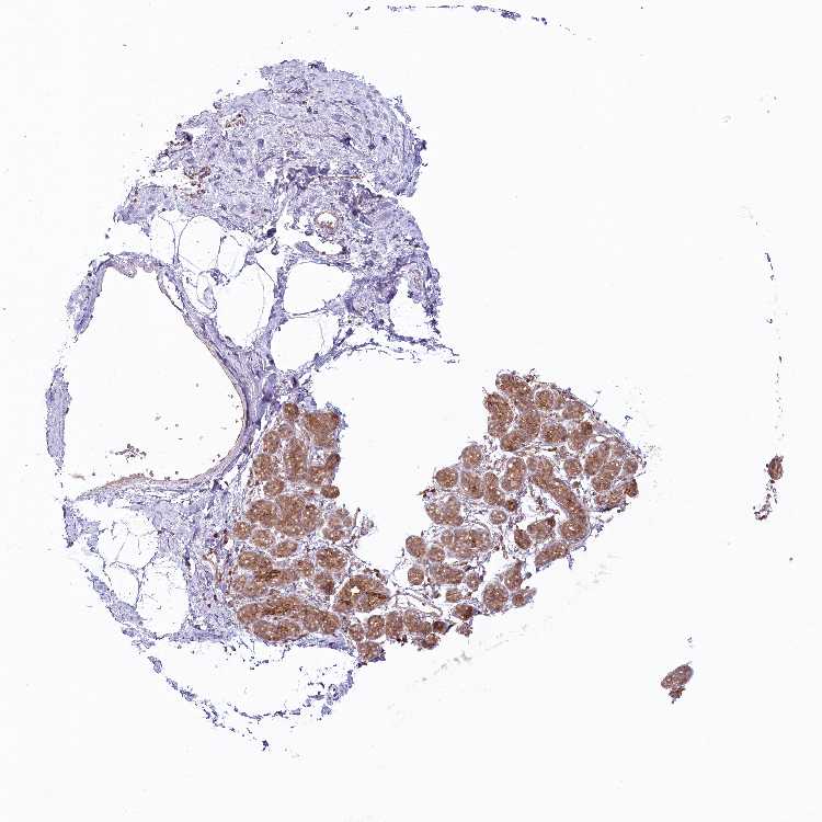
On the top, protein expression in current human tissue, based on all annotated cell types, is reported with the units not detected (n), low (l), medium (m) and high (h). Underneath, protein expression in each annotated cell type are reported using the same units.
Protein expression data is based on knowledge-based annotation. For genes where more than one antibody has been used, a collective score is set.
If knowledge-based annotation could not be performed for a gene, no data is displayed here. View antibody staining data further down this page.
A summary of mRNA expression data available for current tissue based on several datasets. The mRNA expression levels in human tissues are based on RNA-seq data generated by the Human Protein Atlas (HPA), Genotype-Tissue Expression (GTEx) portal and CAGE data generated by the FANTOM5 consortium. Consensus normalized expression (NX) levels for human tissues was created by combining the data from these three transcriptomics datasets (HPA, GTEx and FANTOM5).
The mRNA expression levels in pig are based on RNA-seq data generated by the Human Protein Atlas (HPA), and for mouse, HPA data and in situ hybridization generated by the Allen brain atlas are reported.
Scroll down to view mRNA expression data in more detail.
Antibody staining in the annotated cell types in the current human tissue is reported as not detected, low, medium, or high. This score is based on the staining intensity and fraction of stained cells.
The RNA-seq details section shows detailed information about the individual samples used for the transcript profiling and results of the RNA-seq analysis.
Information about each individual sample is listed below, including gender, age, a tissue section image and estimated fractions of cell types. pTPM (transcripts per million) values give a quantification of the gene abundance which is comparable between different genes and samples.
Glandular cells: 15 Adipocytes: 5 Other cell types: 80
Female, age 80
Breast sample 390 pTPM: 9.3
Cell types%
Glandular cells: 5 Adipocytes: 15 Other cell types: 80
Female, age 47
Breast sample 405 pTPM: 13.9
Cell types%
Glandular cells: 5 Adipocytes: 5 Other cell types: 90
Female, age 38
Breast sample 410 pTPM: 42.7
Cell types%
Glandular cells: 40 Adipocytes: 5 Other cell types: 55
BREAST - GTEx RNA-seqi
RNA-Seq data generated by the Genotype-Tissue Expression (GTEx) project from human tissues is reported as average pTPM. More information can be found on the GTEx portal.
Distribution across the dataset is visualized with box plots, shown as median and 25th and 75th percentiles. Points are displayed as outliers if they are above or below 1.5 times the interquartile range. pTPM values of the individual samples are presented next to the box plot.
Max pTPM: 31.0
Min pTPM: 1.8
Std pTPM: 3.8
Median pTPM: 8.0
GTEX-15SHW-1326-SM-6PAL8
60-69 years, male
31.0
GTEX-XOT4-0726-SM-4GIAW
60-69 years, female
27.1
GTEX-131XW-0726-SM-5EGK3
50-59 years, female
21.6
GTEX-1269C-2426-SM-5FQSN
60-69 years, female
19.1
GTEX-ZC5H-2626-SM-5J2MG
40-49 years, female
17.9
GTEX-1B932-0826-SM-73KXG
40-49 years, female
17.3
GTEX-13QJ3-0826-SM-7DHKK
50-59 years, male
17.2
GTEX-13N1W-0626-SM-5MR4U
70-79 years, male
16.4
GTEX-ZF29-1926-SM-5S2P1
60-69 years, female
15.9
GTEX-13PVQ-1026-SM-5KM3M
50-59 years, male
15.8
GTEX-ZF2S-2026-SM-5E461
50-59 years, female
15.6
GTEX-QDT8-0626-SM-48TYW
30-39 years, female
15.4
GTEX-11GS4-2126-SM-5A5KR
60-69 years, male
15.2
GTEX-18A7A-0726-SM-7LTAI
50-59 years, female
15.0
GTEX-Y3IK-2326-SM-4WWDT
50-59 years, female
15.0
GTEX-15FZZ-0726-SM-7KUFZ
30-39 years, female
14.8
GTEX-R3RS-0626-SM-48FE1
40-49 years, female
14.7
GTEX-14E6C-1326-SM-62LEQ
40-49 years, male
14.5
GTEX-144GM-0926-SM-5O994
20-29 years, male
14.4
GTEX-13SLX-2326-SM-5ZZWE
50-59 years, female
14.1
GTEX-17HHY-0926-SM-793C1
50-59 years, male
14.1
GTEX-ZZPU-0626-SM-5E43T
50-59 years, female
14.0
GTEX-12ZZX-1126-SM-5EGKB
40-49 years, female
13.9
GTEX-147F4-2826-SM-5NQBN
50-59 years, male
13.8
GTEX-T2IS-1526-SM-32QPR
20-29 years, female
13.6
GTEX-11WQK-2426-SM-5GU5C
50-59 years, male
13.5
GTEX-17JCI-0726-SM-7EPH1
60-69 years, female
13.3
GTEX-U3ZH-1426-SM-4DXSR
30-39 years, male
13.3
GTEX-WYBS-0926-SM-3NM94
60-69 years, female
13.3
GTEX-11NV4-2026-SM-5N9DG
60-69 years, male
12.9
GTEX-R53T-1526-SM-48FEK
50-59 years, female
12.8
GTEX-X4EP-2926-SM-3P5YQ
60-69 years, female
12.8
GTEX-11TUW-1826-SM-5BC5D
60-69 years, male
12.7
GTEX-11EI6-0626-SM-5985T
60-69 years, male
12.6
GTEX-1313W-0826-SM-5EQ4T
50-59 years, female
12.6
GTEX-14LLW-0626-SM-62LFC
70-79 years, female
12.5
GTEX-REY6-2426-SM-48FF5
60-69 years, male
12.5
GTEX-WXYG-2226-SM-4E3IM
50-59 years, female
12.4
GTEX-11ONC-2126-SM-5HL6E
60-69 years, male
12.3
GTEX-RU72-0626-SM-46MUI
50-59 years, female
12.3
GTEX-13QIC-2326-SM-5LU5N
60-69 years, female
12.2
GTEX-XUZC-1626-SM-4BRVP
30-39 years, female
12.2
GTEX-11P81-1926-SM-5BC53
30-39 years, female
12.1
GTEX-18QFQ-0826-SM-718AX
30-39 years, male
12.1
GTEX-1AX8Z-0926-SM-731AW
60-69 years, male
12.1
GTEX-1CB4G-2326-SM-79OOI
60-69 years, male
12.1
GTEX-TKQ2-1826-SM-33HB2
50-59 years, male
12.1
GTEX-11PRG-0826-SM-5EQ6A
50-59 years, male
11.9
GTEX-ZV7C-1826-SM-5NQ83
50-59 years, male
11.9
GTEX-UJHI-1426-SM-3DB9C
50-59 years, female
11.7
GTEX-VJWN-0726-SM-3GIJ8
50-59 years, female
11.7
GTEX-WYVS-1726-SM-3NMAY
40-49 years, female
11.7
GTEX-14A5I-0726-SM-5TDEB
50-59 years, female
11.6
GTEX-1C6VQ-0426-SM-79OOX
50-59 years, male
11.6
GTEX-T5JC-2126-SM-32PMO
20-29 years, male
11.6
GTEX-ZVE2-1226-SM-5NQ8R
50-59 years, male
11.6
GTEX-139T8-0826-SM-5L3DE
60-69 years, male
11.5
GTEX-17HHE-1426-SM-7EPH4
50-59 years, male
11.5
GTEX-15ER7-1626-SM-6PAMZ
20-29 years, female
11.4
GTEX-T6MN-0726-SM-32PML
50-59 years, male
11.4
GTEX-Q2AG-0326-SM-48U1O
40-49 years, female
11.3
GTEX-1211K-1926-SM-5EQLB
60-69 years, female
11.2
GTEX-13FTY-2226-SM-5J1ND
40-49 years, female
11.2
GTEX-S341-1526-SM-4AD6K
40-49 years, female
11.2
GTEX-TML8-1226-SM-32QON
40-49 years, female
11.2
GTEX-ZXES-0826-SM-5E43C
30-39 years, female
11.2
GTEX-1B97J-0426-SM-79OLQ
50-59 years, female
11.1
GTEX-Y5V5-2126-SM-4WWFO
60-69 years, female
11.1
GTEX-ZLV1-1426-SM-4WWES
60-69 years, female
11.1
GTEX-1C64O-0726-SM-7DUFU
60-69 years, male
11.0
GTEX-YFC4-1426-SM-5IFJG
40-49 years, female
10.9
GTEX-11EM3-1326-SM-5N9C6
20-29 years, female
10.8
GTEX-ZF3C-2326-SM-5S2MZ
50-59 years, female
10.8
GTEX-ZYFC-0826-SM-5E44K
50-59 years, male
10.8
GTEX-ZU9S-1926-SM-5NQBP
30-39 years, male
10.7
GTEX-111YS-1926-SM-5GICC
60-69 years, male
10.6
GTEX-144GL-2026-SM-5LU3O
50-59 years, male
10.5
GTEX-1117F-2826-SM-5GZXL
60-69 years, female
10.4
GTEX-15UF6-0126-SM-6PAMB
70-79 years, female
10.4
GTEX-WRHU-0326-SM-3MJFY
50-59 years, female
10.4
GTEX-ZVT4-1026-SM-57WC4
50-59 years, female
10.4
GTEX-139TU-0626-SM-5KM3X
60-69 years, male
10.3
GTEX-13VXU-2826-SM-664MA
50-59 years, male
10.3
GTEX-14753-2426-SM-5LU8U
60-69 years, male
10.3
GTEX-17MF6-0326-SM-7EPH5
40-49 years, male
10.3
GTEX-S4P3-1326-SM-4AD6V
50-59 years, female
10.3
GTEX-T6MO-0326-SM-32QOK
40-49 years, female
10.3
GTEX-U3ZN-1926-SM-4DXSG
30-39 years, female
10.2
GTEX-1314G-1226-SM-5BC6D
30-39 years, male
10.1
GTEX-131YS-0626-SM-5EGKL
60-69 years, female
10.1
GTEX-13O3Q-2226-SM-5KM4O
50-59 years, male
10.1
GTEX-17EVP-0226-SM-79OND
40-49 years, male
10.1
GTEX-U412-1826-SM-4DXTJ
60-69 years, male
10.1
GTEX-15ETS-0626-SM-7KUMX
40-49 years, female
10.0
GTEX-18A7B-2626-SM-7LG55
70-79 years, male
10.0
GTEX-QEG5-0726-SM-4R1JQ
20-29 years, male
10.0
GTEX-1B97I-0426-SM-79OL7
40-49 years, male
9.9
GTEX-11DZ1-0326-SM-5N9BN
50-59 years, male
9.8
GTEX-1B8KZ-1526-SM-7DUG7
50-59 years, male
9.8
GTEX-13O3P-0826-SM-5L3DH
50-59 years, male
9.7
GTEX-14DAR-1326-SM-7DUEG
50-59 years, male
9.7
GTEX-W5X1-2326-SM-3GIL6
40-49 years, female
9.7
GTEX-1B933-2526-SM-7IGO5
50-59 years, female
9.6
GTEX-RU1J-0626-SM-4WAWY
20-29 years, female
9.6
GTEX-WI4N-1426-SM-3LK7H
40-49 years, female
9.6
GTEX-WOFL-0826-SM-3MJG1
60-69 years, male
9.6
GTEX-ZEX8-2226-SM-57WC6
50-59 years, male
9.6
GTEX-13OW8-0226-SM-5K7UP
60-69 years, male
9.4
GTEX-11GSO-1926-SM-5A5K3
60-69 years, male
9.3
GTEX-Y8LW-1626-SM-5IFHX
50-59 years, female
9.3
GTEX-ZY6K-1626-SM-5GZWV
50-59 years, male
9.3
GTEX-S7SE-0826-SM-4AT4D
50-59 years, male
9.2
GTEX-XMD2-0926-SM-4WWEF
60-69 years, female
9.2
GTEX-17F98-0526-SM-79OK5
40-49 years, female
9.1
GTEX-1AX9J-1126-SM-731B7
60-69 years, male
9.1
GTEX-1E2YA-2726-SM-7IGPW
50-59 years, male
9.0
GTEX-133LE-1726-SM-5K7VQ
20-29 years, female
8.9
GTEX-13CF3-2126-SM-5IFJP
60-69 years, female
8.9
GTEX-13OW5-2226-SM-5L3HC
60-69 years, male
8.8
GTEX-1AX9I-0726-SM-73KWV
60-69 years, male
8.8
GTEX-S4UY-0726-SM-4AD6X
40-49 years, female
8.7
GTEX-UPK5-2326-SM-3P5Z8
40-49 years, male
8.7
GTEX-X15G-1626-SM-3NMB3
50-59 years, female
8.7
GTEX-ZWKS-2826-SM-5NQ74
30-39 years, male
8.7
GTEX-11OF3-1926-SM-59889
60-69 years, male
8.6
GTEX-13W46-0826-SM-5LU3H
50-59 years, male
8.6
GTEX-17EUY-1926-SM-7DUF6
20-29 years, male
8.6
GTEX-1C6VS-0726-SM-7EPHF
60-69 years, male
8.6
GTEX-ZUA1-1526-SM-59HLS
40-49 years, male
8.6
GTEX-15UF7-0726-SM-6M46D
40-49 years, male
8.5
GTEX-ZAJG-0626-SM-5HL8X
50-59 years, female
8.5
GTEX-11DXZ-1926-SM-5GZZL
50-59 years, male
8.4
GTEX-13PL6-2926-SM-5L3I2
40-49 years, female
8.4
GTEX-13PVR-2226-SM-7DHKP
60-69 years, female
8.4
GTEX-13W3W-1226-SM-5LU4H
60-69 years, female
8.4
GTEX-16BQI-1026-SM-7KUEA
30-39 years, female
8.4
GTEX-TMMY-0726-SM-33HBE
40-49 years, female
8.4
GTEX-14E6E-1326-SM-5S2NR
30-39 years, male
8.3
GTEX-1122O-1226-SM-5H113
60-69 years, female
8.2
GTEX-18465-2026-SM-718AP
50-59 years, male
8.1
GTEX-1A3MX-2726-SM-718B6
60-69 years, male
8.1
GTEX-T2YK-2226-SM-32QPT
50-59 years, male
8.1
GTEX-YJ8O-2226-SM-5IFHW
40-49 years, female
8.1
GTEX-13N11-1726-SM-5J1OJ
50-59 years, female
8.0
GTEX-1A3MV-1626-SM-731C1
30-39 years, male
8.0
GTEX-13113-1726-SM-5GCOO
60-69 years, female
7.9
GTEX-146FH-0826-SM-5SI8T
50-59 years, female
7.9
GTEX-14BMU-1626-SM-5TDE7
20-29 years, female
7.9
GTEX-1B8KE-1226-SM-73KWK
50-59 years, male
7.9
GTEX-ZDXO-0126-SM-5S2ND
60-69 years, male
7.9
GTEX-11WQC-1726-SM-5GU4W
60-69 years, male
7.8
GTEX-1EKGG-2626-SM-7IGPY
60-69 years, male
7.8
GTEX-1192X-2326-SM-5987X
50-59 years, male
7.7
GTEX-11EMC-2026-SM-5A5JV
60-69 years, female
7.7
GTEX-1BAJH-0826-SM-7EWEF
70-79 years, male
7.7
GTEX-XBED-1626-SM-47JYN
60-69 years, male
7.7
GTEX-11DXW-0626-SM-5N9ER
40-49 years, male
7.6
GTEX-13NZ8-0126-SM-5IJCT
60-69 years, female
7.6
GTEX-17GQL-0326-SM-7LG5U
60-69 years, male
7.6
GTEX-183FY-1126-SM-7DHLJ
20-29 years, male
7.6
GTEX-1CAMS-1426-SM-7IGPM
40-49 years, female
7.6
GTEX-17KNJ-2026-SM-7LG53
50-59 years, male
7.4
GTEX-17MFQ-0926-SM-7LG4S
20-29 years, male
7.4
GTEX-UTHO-1026-SM-3GAF7
60-69 years, male
7.4
GTEX-ZPIC-1126-SM-5BC7F
40-49 years, female
7.4
GTEX-13O61-1826-SM-5KM4I
60-69 years, male
7.3
GTEX-15RJE-2626-SM-7KFT1
40-49 years, male
7.3
GTEX-16NGA-0826-SM-718AF
40-49 years, female
7.3
GTEX-RWS6-1926-SM-47JXY
60-69 years, female
7.3
GTEX-WFON-1826-SM-3GILG
40-49 years, male
7.3
GTEX-YEC3-1026-SM-5IFI5
50-59 years, male
7.3
GTEX-QVJO-1826-SM-447C9
60-69 years, female
7.2
GTEX-Y114-2026-SM-4TT7L
50-59 years, female
7.2
GTEX-11P7K-0726-SM-5EGKX
30-39 years, male
7.1
GTEX-12BJ1-1826-SM-5HL9N
60-69 years, male
7.1
GTEX-132AR-0826-SM-5EGK6
50-59 years, female
7.1
GTEX-14H4A-2526-SM-5YYAY
40-49 years, female
7.1
GTEX-WYJK-1326-SM-3NB2T
50-59 years, male
7.1
GTEX-ZAB4-2526-SM-5HL8M
40-49 years, male
7.1
GTEX-12WSK-2226-SM-5GCO5
40-49 years, female
7.0
GTEX-1399U-1826-SM-5PNZ1
50-59 years, female
7.0
GTEX-13NZ9-1026-SM-5MR5K
50-59 years, male
7.0
GTEX-17F97-2526-SM-7EWDV
50-59 years, male
7.0
GTEX-XUW1-2326-SM-4BOO5
50-59 years, female
7.0
GTEX-XV7Q-2326-SM-4BRVZ
40-49 years, female
7.0
GTEX-ZVTK-0326-SM-51MRR
20-29 years, male
7.0
GTEX-ZDYS-1126-SM-5K7UB
50-59 years, male
6.9
GTEX-117XS-1926-SM-5GICO
60-69 years, male
6.8
GTEX-14E7W-0826-SM-62LEJ
70-79 years, male
6.8
GTEX-17EVQ-0426-SM-7LG57
70-79 years, male
6.8
GTEX-1EU9M-2826-SM-7EWFH
60-69 years, male
6.8
GTEX-ZV6S-1826-SM-5NQ8D
40-49 years, female
6.8
GTEX-11O72-2126-SM-5N9FO
40-49 years, male
6.7
GTEX-183WM-0726-SM-7LTAA
70-79 years, female
6.7
GTEX-17HG3-0126-SM-7IGNH
30-39 years, female
6.6
GTEX-T5JW-2026-SM-4DM63
20-29 years, female
6.6
GTEX-11NSD-0926-SM-5N9DR
20-29 years, male
6.5
GTEX-13CF2-2026-SM-5K7VI
60-69 years, male
6.5
GTEX-13NZB-2126-SM-5MR4Y
30-39 years, male
6.5
GTEX-18A6Q-0926-SM-7LG4N
60-69 years, male
6.5
GTEX-Y9LG-1426-SM-5IFJZ
30-39 years, male
6.5
GTEX-11EQ9-1826-SM-5Q5AJ
30-39 years, male
6.4
GTEX-11ZUS-0826-SM-5FQUY
30-39 years, male
6.4
GTEX-12WSN-1326-SM-5GCNT
40-49 years, male
6.4
GTEX-1CB4E-0226-SM-79OLW
60-69 years, male
6.4
GTEX-11DXY-2326-SM-5GICW
60-69 years, male
6.3
GTEX-13O3O-0826-SM-5K7WE
60-69 years, female
6.3
GTEX-Y5V6-2126-SM-4WWFX
60-69 years, male
6.3
GTEX-11LCK-2426-SM-5HL5F
30-39 years, male
6.2
GTEX-14PJ4-2126-SM-6ETZJ
60-69 years, male
6.2
GTEX-17HGU-1326-SM-79OKB
50-59 years, male
6.2
GTEX-1CAMR-1426-SM-793BO
20-29 years, male
6.2
GTEX-YB5K-1626-SM-5IFIN
40-49 years, female
6.2
GTEX-ZA64-1526-SM-5CVMD
20-29 years, male
6.2
GTEX-1A8G7-2426-SM-731AK
60-69 years, male
6.1
GTEX-ZLFU-2126-SM-4WWEV
40-49 years, male
6.1
GTEX-12WSM-1726-SM-5BC6J
60-69 years, male
6.0
GTEX-V955-2026-SM-3GAFA
60-69 years, male
6.0
GTEX-ZDTT-2126-SM-5S2OJ
60-69 years, male
6.0
GTEX-11P82-1326-SM-5HL62
20-29 years, male
5.9
GTEX-1CB4J-1826-SM-7EWF9
60-69 years, male
5.9
GTEX-ZYT6-0126-SM-5E45J
30-39 years, male
5.9
GTEX-QMRM-1626-SM-4R1KV
50-59 years, male
5.8
GTEX-X4XY-0926-SM-4E3JD
60-69 years, male
5.8
GTEX-15DCZ-0726-SM-69LOV
20-29 years, female
5.7
GTEX-XGQ4-0926-SM-4AT4U
50-59 years, male
5.6
GTEX-ZYW4-0826-SM-5GIDG
60-69 years, male
5.6
GTEX-13FHO-0826-SM-5L3E8
60-69 years, male
5.5
GTEX-145MO-0826-SM-5NQBL
60-69 years, male
5.5
GTEX-S4Q7-1126-SM-4AD6R
20-29 years, male
5.5
GTEX-VUSG-2226-SM-4KKZO
50-59 years, male
5.5
GTEX-ZVZQ-0826-SM-51MRF
60-69 years, female
5.5
GTEX-117YX-1426-SM-5H12H
50-59 years, male
5.4
GTEX-12KS4-0126-SM-5Q5A5
30-39 years, male
5.4
GTEX-132NY-0826-SM-5K7Y7
60-69 years, male
5.4
GTEX-TKQ1-0226-SM-33HB5
30-39 years, male
5.4
GTEX-U8XE-0826-SM-4E3J1
30-39 years, male
5.3
GTEX-14ICK-2426-SM-6EU27
40-49 years, male
5.2
GTEX-14PJO-0726-SM-69LO8
60-69 years, male
5.2
GTEX-Y111-2026-SM-4SOJA
50-59 years, male
5.2
GTEX-ZTX8-1226-SM-4YCE9
20-29 years, male
5.1
GTEX-14PKU-0426-SM-6EU1P
40-49 years, female
5.0
GTEX-X261-0626-SM-3NMD9
50-59 years, male
5.0
GTEX-XQ3S-1326-SM-4BOPQ
20-29 years, male
5.0
GTEX-YFCO-1826-SM-4W1YH
40-49 years, male
5.0
GTEX-15EOM-5019-SM-793DK
20-29 years, female
4.9
GTEX-S32W-2026-SM-4AD6E
50-59 years, female
4.9
GTEX-139T6-1626-SM-5PNYZ
50-59 years, male
4.8
GTEX-QEL4-2126-SM-447AE
50-59 years, male
4.8
GTEX-RUSQ-2026-SM-4GIAK
50-59 years, male
4.8
GTEX-SE5C-2126-SM-4BRUJ
40-49 years, female
4.8
GTEX-XQ8I-2426-SM-4WAXY
50-59 years, male
4.7
GTEX-R55D-0826-SM-48FEA
50-59 years, male
4.6
GTEX-145ME-1526-SM-5Q5F2
40-49 years, female
4.5
GTEX-PSDG-1626-SM-48TCQ
50-59 years, male
4.5
GTEX-S33H-0326-SM-4AD6N
30-39 years, male
4.5
GTEX-16YQH-2826-SM-6PAMY
30-39 years, male
4.4
GTEX-ZVT2-1826-SM-5NQ8W
50-59 years, female
4.4
GTEX-18D9A-1526-SM-7LG4J
30-39 years, female
4.3
GTEX-ZTTD-1026-SM-51MRD
50-59 years, male
4.3
GTEX-Y5LM-1726-SM-4VDSX
40-49 years, female
4.2
GTEX-ZZ64-1226-SM-5E43R
20-29 years, male
4.2
GTEX-14B4R-1226-SM-5TDDT
30-39 years, male
4.1
GTEX-11I78-2226-SM-5PNYA
50-59 years, female
4.0
GTEX-13FTW-1426-SM-5LZWZ
40-49 years, male
4.0
GTEX-13FTX-1126-SM-5N9EN
20-29 years, female
3.9
GTEX-14AS3-1626-SM-5S2OY
40-49 years, female
3.9
GTEX-XMK1-1126-SM-4IHJ8
40-49 years, male
3.9
GTEX-13D11-1026-SM-5IJFB
50-59 years, female
3.8
GTEX-145MN-1926-SM-5SIAI
30-39 years, male
3.8
GTEX-14BMV-0626-SM-793AU
50-59 years, male
3.8
GTEX-Y8E4-1626-SM-5S2MW
40-49 years, male
3.8
GTEX-ZT9W-2026-SM-51MRA
50-59 years, male
3.8
GTEX-11ZTT-2326-SM-5EQLG
60-69 years, female
3.7
GTEX-XMD1-0826-SM-4AT52
60-69 years, male
3.7
GTEX-ZQG8-0726-SM-5P9H9
60-69 years, female
3.6
GTEX-Y3I4-1526-SM-4TT7K
50-59 years, male
3.5
GTEX-YB5E-1726-SM-5IFJ3
40-49 years, male
3.5
GTEX-ZQUD-1926-SM-51MSA
30-39 years, male
3.5
GTEX-17F96-2426-SM-7IGLN
70-79 years, male
3.4
GTEX-WY7C-2726-SM-3NB3P
50-59 years, male
3.4
GTEX-13SLW-2526-SM-62LDQ
70-79 years, male
3.2
GTEX-145MF-2226-SM-7EPIR
50-59 years, male
3.2
GTEX-15G19-2126-SM-6M48J
60-69 years, male
3.2
GTEX-11TT1-2126-SM-5GU5Y
20-29 years, male
2.9
GTEX-145LT-0726-SM-5S2VM
40-49 years, male
2.7
GTEX-14PHY-1926-SM-5YY95
60-69 years, female
2.6
GTEX-1AMEY-1026-SM-718AA
30-39 years, female
2.3
GTEX-XYKS-1326-SM-4BRUN
60-69 years, female
2.3
GTEX-14PN4-0626-SM-62LFP
50-59 years, male
1.8
Show allShow less
BREAST - FANTOM5 CAGEi
RNA expression in human tissues obtained through Cap Analysis of Gene Expression (CAGE) generated by the FANTOM5 project are reported as Scaled Tags Per Million.