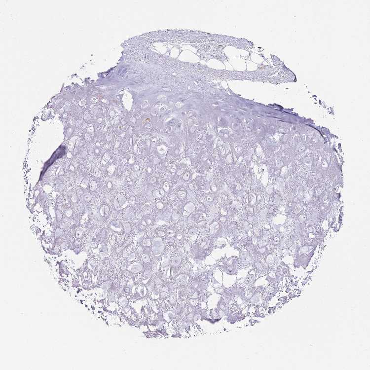
FABP2