We use cookies to enhance the usability of our website. If you continue, we'll assume that you are happy to receive all cookies. More information. Don't show this again.
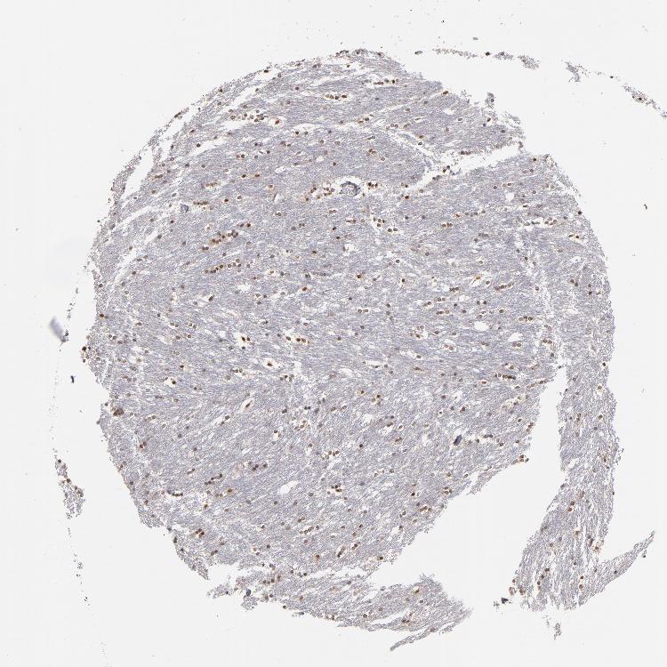
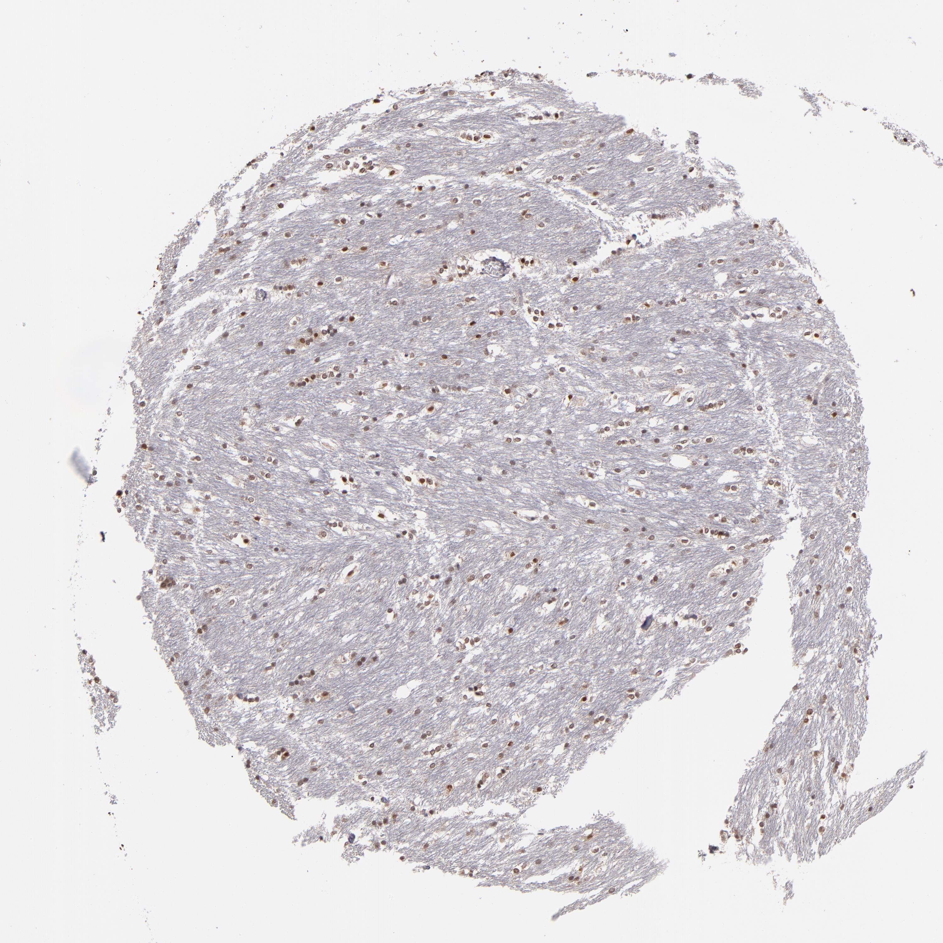
On the top, protein expression in current human tissue, based on all annotated cell types, is reported with the units not detected (n), low (l), medium (m) and high (h). Underneath, protein expression in each annotated cell type are reported using the same units.
Protein expression data is based on knowledge-based annotation. For genes where more than one antibody has been used, a collective score is set.
If knowledge-based annotation could not be performed for a gene, no data is displayed here. View antibody staining data further down this page.
A summary of mRNA expression data available for current tissue based on several datasets. The mRNA expression levels in human tissues are based on RNA-seq data generated by the Human Protein Atlas (HPA), Genotype-Tissue Expression (GTEx) portal and CAGE data generated by the FANTOM5 consortium. Consensus normalized expression (NX) levels for human tissues was created by combining the data from these three transcriptomics datasets (HPA, GTEx and FANTOM5).
The mRNA expression levels in pig are based on RNA-seq data generated by the Human Protein Atlas (HPA), and for mouse, HPA data and in situ hybridization generated by the Allen brain atlas are reported.
Scroll down to view mRNA expression data in more detail.
Antibody staining in the annotated cell types in the current human tissue is reported as not detected, low, medium, or high. This score is based on the staining intensity and fraction of stained cells.
RNA-Seq data generated by the Genotype-Tissue Expression (GTEx) project from human tissues is reported as average pTPM. More information can be found on the GTEx portal.
Distribution across the dataset is visualized with box plots, shown as median and 25th and 75th percentiles. Points are displayed as outliers if they are above or below 1.5 times the interquartile range. pTPM values of the individual samples are presented next to the box plot.
Max pTPM: 19.4
Min pTPM: 3.3
Std pTPM: 3.0
Median pTPM: 7.9
GTEX-XMD1-0011-R5A-SM-4AT47
60-69 years, male
19.4
GTEX-NPJ8-0011-R5a-SM-2HMJY
40-49 years, male
18.2
GTEX-NL4W-0011-R5a-SM-2I3GD
50-59 years, male
16.7
GTEX-15G19-0011-R5b-SM-6M46P
60-69 years, male
16.5
GTEX-WWYW-0011-R5A-SM-3NB3E
50-59 years, female
16.0
GTEX-15SHU-0011-R5a-SM-7938Q
40-49 years, female
15.0
GTEX-QDT8-0011-R5A-SM-32PKN
30-39 years, female
14.3
GTEX-13N2G-0011-R5a-SM-5MR33
60-69 years, male
14.1
GTEX-14PJO-0011-R5a-SM-6AJBZ
60-69 years, male
13.8
GTEX-15DCD-0011-R5a-SM-69LPC
70-79 years, female
13.6
GTEX-11GSP-0011-R5a-SM-57WBE
60-69 years, female
13.4
GTEX-13OVJ-0011-R5a-SM-5P9H7
50-59 years, female
13.0
GTEX-13X6I-0011-R5a-SM-5PNWW
60-69 years, male
12.9
GTEX-13FHO-0011-R5b-SM-5LZZ3
60-69 years, male
12.8
GTEX-11H98-0011-R5b-SM-57WCF
50-59 years, male
12.7
GTEX-13NYS-0011-R5a-SM-5MR4D
60-69 years, male
12.7
GTEX-13OW6-0011-R5a-SM-5O9BK
50-59 years, male
12.7
GTEX-N7MT-0011-R5a-SM-2I3G6
60-69 years, female
12.4
GTEX-Q2AG-0011-R5A-SM-2HMJH
40-49 years, female
12.4
GTEX-QVJO-0011-R5A-SM-2S1QM
60-69 years, female
12.4
GTEX-13JUV-0011-R5a-SM-5LZY5
40-49 years, female
12.3
GTEX-P44H-0011-R5A-SM-2XCEX
40-49 years, male
12.3
GTEX-13JVG-0011-R5a-SM-5MR4O
60-69 years, male
11.9
GTEX-ZAB4-0011-R5a-SM-4SOKC
40-49 years, male
11.7
GTEX-132Q8-0011-R5a-SM-5IJDM
60-69 years, male
11.6
GTEX-14PQA-0011-R5b-SM-6AJC2
50-59 years, female
11.6
GTEX-13SLW-0011-R5b-SM-5SI6Z
70-79 years, male
11.4
GTEX-ZE7O-0011-R5a-SM-57WBO
50-59 years, female
11.3
GTEX-13G51-0011-R5a-SM-5L3EB
60-69 years, male
11.2
GTEX-18464-0011-R5b-SM-718A6
50-59 years, male
11.2
GTEX-RU72-0011-R5A-SM-2TF6U
50-59 years, female
11.2
GTEX-X4XX-0011-R5A-SM-46MWN
60-69 years, male
11.1
GTEX-ZE9C-0011-R5a-SM-5EGLO
60-69 years, male
11.0
GTEX-15EO6-0011-R5b-SM-7KUDZ
50-59 years, male
10.6
GTEX-15CHQ-0011-R5b-SM-6AJAN
60-69 years, male
10.5
GTEX-16NPV-0011-R5a-SM-7EPGK
50-59 years, female
10.5
GTEX-1A3MX-0011-R5a-SM-79OM5
60-69 years, male
10.4
GTEX-13X6K-0011-R5b-SM-5PNUE
60-69 years, female
10.2
GTEX-ZDXO-0011-R5a-SM-4WKG5
60-69 years, male
10.1
GTEX-15DDE-0011-R5b-SM-7KULJ
50-59 years, female
10.0
GTEX-WVLH-0011-R5A-SM-3MJFW
50-59 years, male
9.9
GTEX-Y8DK-0011-R5B-SM-4RTW6
60-69 years, male
9.9
GTEX-13N1W-0011-R5b-SM-5MR5Q
70-79 years, male
9.8
GTEX-14LLW-0011-R5b-SM-5ZZU6
70-79 years, female
9.8
GTEX-17HII-0011-R5a-SM-7LG51
50-59 years, male
9.8
GTEX-PWO3-0011-R5A-SM-2I5EZ
60-69 years, female
9.8
GTEX-12ZZZ-0011-R5a-SM-5EQ4M
60-69 years, male
9.7
GTEX-1445S-0011-R5a-SM-5PNUS
60-69 years, male
9.6
GTEX-139T8-0011-R5b-SM-5J1MO
60-69 years, male
9.4
GTEX-13CZV-0011-R5a-SM-5K7XA
60-69 years, male
9.4
GTEX-13OW8-0011-R5b-SM-5L3FQ
60-69 years, male
9.4
GTEX-13FLV-0011-R5a-SM-5LZWT
50-59 years, male
9.3
GTEX-T6MN-0011-R5A-SM-32QPD
50-59 years, male
9.3
GTEX-13OW5-0011-R5b-SM-5L3FR
60-69 years, male
9.2
GTEX-15ER7-0011-R5b-SM-6M46T
20-29 years, female
9.2
GTEX-ZVZQ-0011-R5b-SM-57WDC
60-69 years, female
9.2
GTEX-144GO-0011-R5a-SM-5PNUR
60-69 years, male
9.1
GTEX-R55E-0011-R5A-SM-2TC5N
20-29 years, male
9.1
GTEX-139TS-0011-R5b-SM-5J2MZ
60-69 years, male
8.9
GTEX-13O3Q-0011-R5b-SM-5P9H4
50-59 years, male
8.9
GTEX-PVOW-0011-R5A-SM-32PL7
40-49 years, male
8.9
GTEX-13RTJ-0011-R5a-SM-5P9HR
60-69 years, male
8.8
GTEX-131YS-0011-R5b-SM-5K7YB
60-69 years, female
8.7
GTEX-QMR6-0011-R5A-SM-32PKT
50-59 years, male
8.7
GTEX-X261-0011-R5A-SM-3NMB4
50-59 years, male
8.7
GTEX-12WSA-0011-R5b-SM-5GU5I
60-69 years, male
8.5
GTEX-13OVH-0011-R5b-SM-5KM4L
70-79 years, male
8.5
GTEX-13OVL-0011-R5b-SM-5L3FU
50-59 years, male
8.5
GTEX-ZV68-0011-R5a-SM-4YCDW
50-59 years, female
8.5
GTEX-12WSM-0011-R5a-SM-5EQ4Y
60-69 years, male
8.3
GTEX-1A8G6-0011-R5b-SM-7IGQG
60-69 years, male
8.3
GTEX-N7MS-0011-R5a-SM-2HMK8
60-69 years, male
8.3
GTEX-14BIM-0011-R5b-SM-5S2RM
60-69 years, female
8.2
GTEX-14C39-0011-R5b-SM-5ZZV1
40-49 years, male
8.2
GTEX-12ZZW-0011-R5a-SM-5DUVN
50-59 years, male
8.1
GTEX-S7SE-0011-R5A-SM-2XCDA
50-59 years, male
8.1
GTEX-OXRN-0011-R5A-SM-2I5EF
50-59 years, male
8.0
GTEX-13OW7-0011-R5b-SM-5O9DM
50-59 years, male
7.9
GTEX-13PLJ-0011-R5a-SM-5O9BG
60-69 years, female
7.9
GTEX-17F97-0011-R5a-SM-7LG4Z
50-59 years, male
7.9
GTEX-WZTO-0011-R5B-SM-3NMC5
40-49 years, male
7.9
GTEX-YFC4-0011-R5a-SM-4RGLR
40-49 years, female
7.9
GTEX-15DYW-0011-R5a-SM-6M46W
60-69 years, female
7.8
GTEX-17HG3-0011-R5a-SM-7DUEW
30-39 years, female
7.8
GTEX-NPJ7-0011-R5a-SM-33HBK
60-69 years, female
7.8
GTEX-13SLX-0011-R5a-SM-5O9BV
50-59 years, female
7.7
GTEX-12WSD-0011-R5b-SM-5CVNG
60-69 years, female
7.6
GTEX-ZXG5-0011-R5b-SM-57WBN
60-69 years, male
7.6
GTEX-11WQC-0011-R5a-SM-5BC74
60-69 years, male
7.5
GTEX-12ZZY-0011-R5a-SM-5EGL9
60-69 years, male
7.5
GTEX-13PVQ-0011-R5b-SM-5O9DI
50-59 years, male
7.4
GTEX-14E6D-0011-R5b-SM-69LQR
50-59 years, male
7.4
GTEX-14LZ3-0011-R5b-SM-5ZZV8
60-69 years, female
7.3
GTEX-ZF28-0011-R5a-SM-4WWCZ
60-69 years, male
7.3
GTEX-139TT-0011-R5b-SM-5K7W8
60-69 years, male
7.2
GTEX-16YQH-0011-R5b-SM-7938U
30-39 years, male
7.2
GTEX-1B8SF-0011-R5a-SM-79OOO
60-69 years, male
7.1
GTEX-NL3H-0011-R5a-SM-2I3GB
60-69 years, male
7.1
GTEX-1B8L1-0011-R5a-SM-7DHN5
60-69 years, male
6.9
GTEX-TSE9-0011-R5A-SM-3DB7J
60-69 years, female
6.9
GTEX-WHSE-0011-R5A-SM-3P5ZO
20-29 years, male
6.9
GTEX-13NYB-0011-R5a-SM-5MR45
40-49 years, male
6.8
GTEX-145LS-0011-R5a-SM-5SI65
60-69 years, female
6.8
GTEX-14BMV-0011-R5b-SM-62LFT
50-59 years, male
6.8
GTEX-17HHY-0011-R5b-SM-79OMZ
50-59 years, male
6.8
GTEX-ZUA1-0011-R5b-SM-51MTG
40-49 years, male
6.8
GTEX-ZVT3-0011-R5a-SM-51MSI
60-69 years, female
6.8
GTEX-12WSH-0011-R5b-SM-5P9F3
50-59 years, male
6.7
GTEX-18465-0011-R5a-SM-72D5J
50-59 years, male
6.7
GTEX-13FXS-0011-R5b-SM-5LZYE
50-59 years, male
6.6
GTEX-14ABY-0011-R5b-SM-5SI7B
50-59 years, male
6.6
GTEX-14DAQ-0011-R5b-SM-5YYAK
60-69 years, female
6.6
GTEX-1AX9I-0011-R5b-SM-793DI
60-69 years, male
6.6
GTEX-139TU-0011-R5b-SM-5L3E1
60-69 years, male
6.5
GTEX-13CIG-0011-R5b-SM-5L3F2
50-59 years, male
6.5
GTEX-13S7M-0011-R5b-SM-5P9HS
60-69 years, female
6.5
GTEX-RVPV-0011-R5A-SM-2TF69
60-69 years, male
6.5
GTEX-144GL-0011-R5b-SM-5PNUJ
50-59 years, male
6.4
GTEX-S7PM-0011-R5A-SM-3NM8G
60-69 years, male
6.4
GTEX-13FHP-0011-R5b-SM-5LZY2
50-59 years, male
6.3
GTEX-13O3O-0011-R5b-SM-5KM44
60-69 years, female
6.3
GTEX-13VXU-0011-R5a-SM-5O9D7
50-59 years, male
6.3
GTEX-13X6J-0011-R5b-SM-5PNWT
50-59 years, male
6.3
GTEX-12WSC-0011-R5b-SM-5CVNS
50-59 years, male
6.2
GTEX-13FLW-0011-R5a-SM-5LZX6
50-59 years, male
6.2
GTEX-OXRO-0011-R5A-SM-2I5EG
60-69 years, female
6.2
GTEX-T5JC-0011-R5A-SM-32PLK
20-29 years, male
6.2
GTEX-14BIN-0011-R5b-SM-5SI78
50-59 years, female
6.1
GTEX-17EVP-0011-R5b-SM-7DHKW
40-49 years, male
6.1
GTEX-17MF6-0011-R5a-SM-731BA
40-49 years, male
6.0
GTEX-183WM-0011-R5a-SM-718A4
70-79 years, female
6.0
GTEX-11OF3-0011-R5a-SM-57WB4
60-69 years, male
5.9
GTEX-11UD1-0011-R5b-SM-5P9FP
40-49 years, female
5.8
GTEX-12ZZX-0011-R5a-SM-5HL89
40-49 years, female
5.7
GTEX-13CF2-0011-R5a-SM-5LZWS
60-69 years, male
5.7
GTEX-145MH-0011-R5a-SM-5P9JT
50-59 years, male
5.7
GTEX-14JIY-0011-R5b-SM-62LE7
60-69 years, male
5.5
GTEX-14JG1-0011-R5a-SM-62LED
40-49 years, male
5.4
GTEX-1399T-0011-R5b-SM-5IJDK
60-69 years, male
5.3
GTEX-13PL6-0011-R5b-SM-5O9BI
40-49 years, female
5.2
GTEX-T2IS-0011-R5A-SM-32QP4
20-29 years, female
5.2
GTEX-UTHO-0011-R5A-SM-3GIJD
60-69 years, male
5.2
GTEX-11NV4-0011-R5a-SM-5NQ88
60-69 years, male
5.1
GTEX-13IVO-0011-R5a-SM-5L3CY
70-79 years, male
5.1
GTEX-14PN4-0011-R5a-SM-686ZV
50-59 years, male
5.1
GTEX-13112-0011-R5b-SM-5DUV8
50-59 years, male
5.0
GTEX-17EVQ-0011-R5a-SM-7LT92
70-79 years, male
4.9
GTEX-14ASI-0011-R5b-SM-6EU2M
60-69 years, male
4.8
GTEX-YJ89-0011-R5a-SM-4V6GM
60-69 years, male
4.8
GTEX-1477Z-0011-R5b-SM-5PNUO
60-69 years, male
4.7
GTEX-12WSF-0011-R5a-SM-5HL8K
70-79 years, male
4.5
GTEX-16Z82-0011-R5a-SM-7EPGB
60-69 years, male
4.5
GTEX-WL46-0011-R5A-SM-3LK6V
50-59 years, male
4.2
GTEX-11TUW-0011-R5b-SM-5BC6Q
60-69 years, male
4.1
GTEX-1313W-0011-R5b-SM-5L3EP
50-59 years, female
4.1
GTEX-145MG-0011-R5b-SM-5S2VU
50-59 years, male
4.1
GTEX-X585-0011-R5A-SM-46MVI
50-59 years, male
3.6
GTEX-14753-0011-R5a-SM-5S2VW
60-69 years, male
3.5
GTEX-Z93S-0011-R5b-SM-4RGNI
50-59 years, male
3.4
GTEX-13NZA-0011-R5b-SM-5KM4K
60-69 years, male
3.3
Show allShow less
CAUDATE - FANTOM5 CAGEi
RNA expression in human tissues obtained through Cap Analysis of Gene Expression (CAGE) generated by the FANTOM5 project are reported as Scaled Tags Per Million.
Normal distribution across the dataset is visualized with box plots, shown as median and 25th and 75th percentiles. Points are displayed as outliers if they are above or below 1.5 times the interquartile range. pTPM values of the individual samples are presented next to the box plot.