We use cookies to enhance the usability of our website. If you continue, we'll assume that you are happy to receive all cookies. More information. Don't show this again.
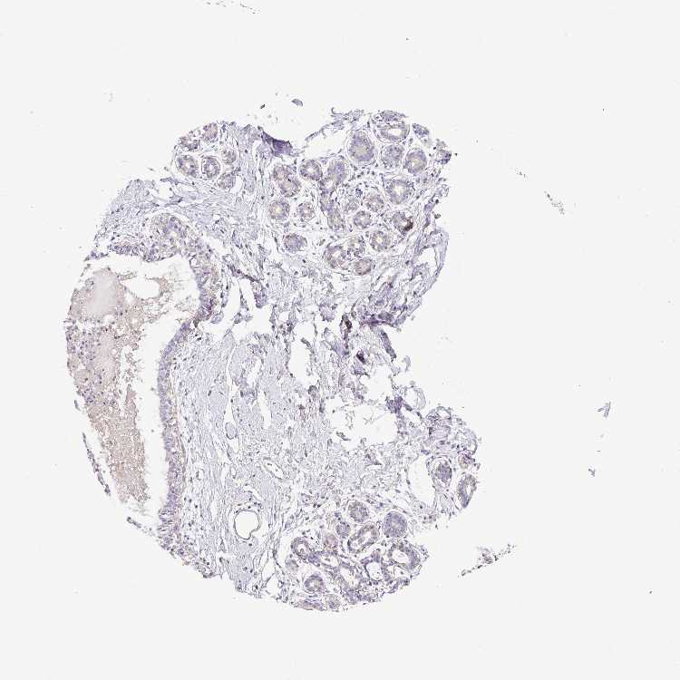
On the top, protein expression in current human tissue, based on all annotated cell types, is reported with the units not detected (n), low (l), medium (m) and high (h). Underneath, protein expression in each annotated cell type are reported using the same units.
Protein expression data is based on knowledge-based annotation. For genes where more than one antibody has been used, a collective score is set.
If knowledge-based annotation could not be performed for a gene, no data is displayed here. View antibody staining data further down this page.
A summary of mRNA expression data available for current tissue based on several datasets. The mRNA expression levels in human tissues are based on RNA-seq data generated by the Human Protein Atlas (HPA), Genotype-Tissue Expression (GTEx) portal and CAGE data generated by the FANTOM5 consortium. Consensus normalized expression (NX) levels for human tissues was created by combining the data from these three transcriptomics datasets (HPA, GTEx and FANTOM5).
The mRNA expression levels in pig are based on RNA-seq data generated by the Human Protein Atlas (HPA), and for mouse, HPA data and in situ hybridization generated by the Allen brain atlas are reported.
Scroll down to view mRNA expression data in more detail.
Antibody staining in the annotated cell types in the current human tissue is reported as not detected, low, medium, or high. This score is based on the staining intensity and fraction of stained cells.
The RNA-seq details section shows detailed information about the individual samples used for the transcript profiling and results of the RNA-seq analysis.
Information about each individual sample is listed below, including gender, age, a tissue section image and estimated fractions of cell types. pTPM (transcripts per million) values give a quantification of the gene abundance which is comparable between different genes and samples.
Glandular cells: 15 Adipocytes: 5 Other cell types: 80
Female, age 80
Breast sample 390 pTPM: 0
Cell types%
Glandular cells: 5 Adipocytes: 15 Other cell types: 80
Female, age 47
Breast sample 405 pTPM: 0
Cell types%
Glandular cells: 5 Adipocytes: 5 Other cell types: 90
Female, age 38
Breast sample 410 pTPM: 0
Cell types%
Glandular cells: 40 Adipocytes: 5 Other cell types: 55
BREAST - GTEx RNA-seqi
RNA-Seq data generated by the Genotype-Tissue Expression (GTEx) project from human tissues is reported as average pTPM. More information can be found on the GTEx portal.
Distribution across the dataset is visualized with box plots, shown as median and 25th and 75th percentiles. Points are displayed as outliers if they are above or below 1.5 times the interquartile range. pTPM values of the individual samples are presented next to the box plot.
Max pTPM: 0.1
Min pTPM: 0.0
Std pTPM: 0.0
Median pTPM: 0.0
GTEX-11WQK-2426-SM-5GU5C
50-59 years, male
0.1
GTEX-13NZ8-0126-SM-5IJCT
60-69 years, female
0.1
GTEX-1117F-2826-SM-5GZXL
60-69 years, female
0.0
GTEX-111YS-1926-SM-5GICC
60-69 years, male
0.0
GTEX-1122O-1226-SM-5H113
60-69 years, female
0.0
GTEX-117XS-1926-SM-5GICO
60-69 years, male
0.0
GTEX-117YX-1426-SM-5H12H
50-59 years, male
0.0
GTEX-1192X-2326-SM-5987X
50-59 years, male
0.0
GTEX-11DXW-0626-SM-5N9ER
40-49 years, male
0.0
GTEX-11DXY-2326-SM-5GICW
60-69 years, male
0.0
GTEX-11DXZ-1926-SM-5GZZL
50-59 years, male
0.0
GTEX-11DZ1-0326-SM-5N9BN
50-59 years, male
0.0
GTEX-11EI6-0626-SM-5985T
60-69 years, male
0.0
GTEX-11EM3-1326-SM-5N9C6
20-29 years, female
0.0
GTEX-11EMC-2026-SM-5A5JV
60-69 years, female
0.0
GTEX-11EQ9-1826-SM-5Q5AJ
30-39 years, male
0.0
GTEX-11GS4-2126-SM-5A5KR
60-69 years, male
0.0
GTEX-11GSO-1926-SM-5A5K3
60-69 years, male
0.0
GTEX-11I78-2226-SM-5PNYA
50-59 years, female
0.0
GTEX-11LCK-2426-SM-5HL5F
30-39 years, male
0.0
GTEX-11NSD-0926-SM-5N9DR
20-29 years, male
0.0
GTEX-11NV4-2026-SM-5N9DG
60-69 years, male
0.0
GTEX-11O72-2126-SM-5N9FO
40-49 years, male
0.0
GTEX-11OF3-1926-SM-59889
60-69 years, male
0.0
GTEX-11ONC-2126-SM-5HL6E
60-69 years, male
0.0
GTEX-11P7K-0726-SM-5EGKX
30-39 years, male
0.0
GTEX-11P81-1926-SM-5BC53
30-39 years, female
0.0
GTEX-11P82-1326-SM-5HL62
20-29 years, male
0.0
GTEX-11PRG-0826-SM-5EQ6A
50-59 years, male
0.0
GTEX-11TT1-2126-SM-5GU5Y
20-29 years, male
0.0
GTEX-11TUW-1826-SM-5BC5D
60-69 years, male
0.0
GTEX-11WQC-1726-SM-5GU4W
60-69 years, male
0.0
GTEX-11ZTT-2326-SM-5EQLG
60-69 years, female
0.0
GTEX-11ZUS-0826-SM-5FQUY
30-39 years, male
0.0
GTEX-1211K-1926-SM-5EQLB
60-69 years, female
0.0
GTEX-1269C-2426-SM-5FQSN
60-69 years, female
0.0
GTEX-12BJ1-1826-SM-5HL9N
60-69 years, male
0.0
GTEX-12KS4-0126-SM-5Q5A5
30-39 years, male
0.0
GTEX-12WSK-2226-SM-5GCO5
40-49 years, female
0.0
GTEX-12WSM-1726-SM-5BC6J
60-69 years, male
0.0
GTEX-12WSN-1326-SM-5GCNT
40-49 years, male
0.0
GTEX-12ZZX-1126-SM-5EGKB
40-49 years, female
0.0
GTEX-13113-1726-SM-5GCOO
60-69 years, female
0.0
GTEX-1313W-0826-SM-5EQ4T
50-59 years, female
0.0
GTEX-1314G-1226-SM-5BC6D
30-39 years, male
0.0
GTEX-131XW-0726-SM-5EGK3
50-59 years, female
0.0
GTEX-131YS-0626-SM-5EGKL
60-69 years, female
0.0
GTEX-132AR-0826-SM-5EGK6
50-59 years, female
0.0
GTEX-132NY-0826-SM-5K7Y7
60-69 years, male
0.0
GTEX-133LE-1726-SM-5K7VQ
20-29 years, female
0.0
GTEX-1399U-1826-SM-5PNZ1
50-59 years, female
0.0
GTEX-139T6-1626-SM-5PNYZ
50-59 years, male
0.0
GTEX-139T8-0826-SM-5L3DE
60-69 years, male
0.0
GTEX-139TU-0626-SM-5KM3X
60-69 years, male
0.0
GTEX-13CF2-2026-SM-5K7VI
60-69 years, male
0.0
GTEX-13CF3-2126-SM-5IFJP
60-69 years, female
0.0
GTEX-13D11-1026-SM-5IJFB
50-59 years, female
0.0
GTEX-13FHO-0826-SM-5L3E8
60-69 years, male
0.0
GTEX-13FTW-1426-SM-5LZWZ
40-49 years, male
0.0
GTEX-13FTX-1126-SM-5N9EN
20-29 years, female
0.0
GTEX-13FTY-2226-SM-5J1ND
40-49 years, female
0.0
GTEX-13N11-1726-SM-5J1OJ
50-59 years, female
0.0
GTEX-13N1W-0626-SM-5MR4U
70-79 years, male
0.0
GTEX-13NZ9-1026-SM-5MR5K
50-59 years, male
0.0
GTEX-13NZB-2126-SM-5MR4Y
30-39 years, male
0.0
GTEX-13O3O-0826-SM-5K7WE
60-69 years, female
0.0
GTEX-13O3P-0826-SM-5L3DH
50-59 years, male
0.0
GTEX-13O3Q-2226-SM-5KM4O
50-59 years, male
0.0
GTEX-13O61-1826-SM-5KM4I
60-69 years, male
0.0
GTEX-13OW5-2226-SM-5L3HC
60-69 years, male
0.0
GTEX-13OW8-0226-SM-5K7UP
60-69 years, male
0.0
GTEX-13PL6-2926-SM-5L3I2
40-49 years, female
0.0
GTEX-13PVQ-1026-SM-5KM3M
50-59 years, male
0.0
GTEX-13PVR-2226-SM-7DHKP
60-69 years, female
0.0
GTEX-13QIC-2326-SM-5LU5N
60-69 years, female
0.0
GTEX-13QJ3-0826-SM-7DHKK
50-59 years, male
0.0
GTEX-13SLW-2526-SM-62LDQ
70-79 years, male
0.0
GTEX-13SLX-2326-SM-5ZZWE
50-59 years, female
0.0
GTEX-13VXU-2826-SM-664MA
50-59 years, male
0.0
GTEX-13W3W-1226-SM-5LU4H
60-69 years, female
0.0
GTEX-13W46-0826-SM-5LU3H
50-59 years, male
0.0
GTEX-144GL-2026-SM-5LU3O
50-59 years, male
0.0
GTEX-144GM-0926-SM-5O994
20-29 years, male
0.0
GTEX-145LT-0726-SM-5S2VM
40-49 years, male
0.0
GTEX-145ME-1526-SM-5Q5F2
40-49 years, female
0.0
GTEX-145MF-2226-SM-7EPIR
50-59 years, male
0.0
GTEX-145MN-1926-SM-5SIAI
30-39 years, male
0.0
GTEX-145MO-0826-SM-5NQBL
60-69 years, male
0.0
GTEX-146FH-0826-SM-5SI8T
50-59 years, female
0.0
GTEX-14753-2426-SM-5LU8U
60-69 years, male
0.0
GTEX-147F4-2826-SM-5NQBN
50-59 years, male
0.0
GTEX-14A5I-0726-SM-5TDEB
50-59 years, female
0.0
GTEX-14AS3-1626-SM-5S2OY
40-49 years, female
0.0
GTEX-14B4R-1226-SM-5TDDT
30-39 years, male
0.0
GTEX-14BMU-1626-SM-5TDE7
20-29 years, female
0.0
GTEX-14BMV-0626-SM-793AU
50-59 years, male
0.0
GTEX-14DAR-1326-SM-7DUEG
50-59 years, male
0.0
GTEX-14E6C-1326-SM-62LEQ
40-49 years, male
0.0
GTEX-14E6E-1326-SM-5S2NR
30-39 years, male
0.0
GTEX-14E7W-0826-SM-62LEJ
70-79 years, male
0.0
GTEX-14H4A-2526-SM-5YYAY
40-49 years, female
0.0
GTEX-14ICK-2426-SM-6EU27
40-49 years, male
0.0
GTEX-14LLW-0626-SM-62LFC
70-79 years, female
0.0
GTEX-14PHY-1926-SM-5YY95
60-69 years, female
0.0
GTEX-14PJ4-2126-SM-6ETZJ
60-69 years, male
0.0
GTEX-14PJO-0726-SM-69LO8
60-69 years, male
0.0
GTEX-14PKU-0426-SM-6EU1P
40-49 years, female
0.0
GTEX-14PN4-0626-SM-62LFP
50-59 years, male
0.0
GTEX-15DCZ-0726-SM-69LOV
20-29 years, female
0.0
GTEX-15EOM-5019-SM-793DK
20-29 years, female
0.0
GTEX-15ER7-1626-SM-6PAMZ
20-29 years, female
0.0
GTEX-15ETS-0626-SM-7KUMX
40-49 years, female
0.0
GTEX-15FZZ-0726-SM-7KUFZ
30-39 years, female
0.0
GTEX-15G19-2126-SM-6M48J
60-69 years, male
0.0
GTEX-15RJE-2626-SM-7KFT1
40-49 years, male
0.0
GTEX-15SHW-1326-SM-6PAL8
60-69 years, male
0.0
GTEX-15UF6-0126-SM-6PAMB
70-79 years, female
0.0
GTEX-15UF7-0726-SM-6M46D
40-49 years, male
0.0
GTEX-16BQI-1026-SM-7KUEA
30-39 years, female
0.0
GTEX-16NGA-0826-SM-718AF
40-49 years, female
0.0
GTEX-16YQH-2826-SM-6PAMY
30-39 years, male
0.0
GTEX-17EUY-1926-SM-7DUF6
20-29 years, male
0.0
GTEX-17EVP-0226-SM-79OND
40-49 years, male
0.0
GTEX-17EVQ-0426-SM-7LG57
70-79 years, male
0.0
GTEX-17F96-2426-SM-7IGLN
70-79 years, male
0.0
GTEX-17F97-2526-SM-7EWDV
50-59 years, male
0.0
GTEX-17F98-0526-SM-79OK5
40-49 years, female
0.0
GTEX-17GQL-0326-SM-7LG5U
60-69 years, male
0.0
GTEX-17HG3-0126-SM-7IGNH
30-39 years, female
0.0
GTEX-17HGU-1326-SM-79OKB
50-59 years, male
0.0
GTEX-17HHE-1426-SM-7EPH4
50-59 years, male
0.0
GTEX-17HHY-0926-SM-793C1
50-59 years, male
0.0
GTEX-17JCI-0726-SM-7EPH1
60-69 years, female
0.0
GTEX-17KNJ-2026-SM-7LG53
50-59 years, male
0.0
GTEX-17MF6-0326-SM-7EPH5
40-49 years, male
0.0
GTEX-17MFQ-0926-SM-7LG4S
20-29 years, male
0.0
GTEX-183FY-1126-SM-7DHLJ
20-29 years, male
0.0
GTEX-183WM-0726-SM-7LTAA
70-79 years, female
0.0
GTEX-18465-2026-SM-718AP
50-59 years, male
0.0
GTEX-18A6Q-0926-SM-7LG4N
60-69 years, male
0.0
GTEX-18A7A-0726-SM-7LTAI
50-59 years, female
0.0
GTEX-18A7B-2626-SM-7LG55
70-79 years, male
0.0
GTEX-18D9A-1526-SM-7LG4J
30-39 years, female
0.0
GTEX-18QFQ-0826-SM-718AX
30-39 years, male
0.0
GTEX-1A3MV-1626-SM-731C1
30-39 years, male
0.0
GTEX-1A3MX-2726-SM-718B6
60-69 years, male
0.0
GTEX-1A8G7-2426-SM-731AK
60-69 years, male
0.0
GTEX-1AMEY-1026-SM-718AA
30-39 years, female
0.0
GTEX-1AX8Z-0926-SM-731AW
60-69 years, male
0.0
GTEX-1AX9I-0726-SM-73KWV
60-69 years, male
0.0
GTEX-1AX9J-1126-SM-731B7
60-69 years, male
0.0
GTEX-1B8KE-1226-SM-73KWK
50-59 years, male
0.0
GTEX-1B8KZ-1526-SM-7DUG7
50-59 years, male
0.0
GTEX-1B932-0826-SM-73KXG
40-49 years, female
0.0
GTEX-1B933-2526-SM-7IGO5
50-59 years, female
0.0
GTEX-1B97I-0426-SM-79OL7
40-49 years, male
0.0
GTEX-1B97J-0426-SM-79OLQ
50-59 years, female
0.0
GTEX-1BAJH-0826-SM-7EWEF
70-79 years, male
0.0
GTEX-1C64O-0726-SM-7DUFU
60-69 years, male
0.0
GTEX-1C6VQ-0426-SM-79OOX
50-59 years, male
0.0
GTEX-1C6VS-0726-SM-7EPHF
60-69 years, male
0.0
GTEX-1CAMR-1426-SM-793BO
20-29 years, male
0.0
GTEX-1CAMS-1426-SM-7IGPM
40-49 years, female
0.0
GTEX-1CB4E-0226-SM-79OLW
60-69 years, male
0.0
GTEX-1CB4G-2326-SM-79OOI
60-69 years, male
0.0
GTEX-1CB4J-1826-SM-7EWF9
60-69 years, male
0.0
GTEX-1E2YA-2726-SM-7IGPW
50-59 years, male
0.0
GTEX-1EKGG-2626-SM-7IGPY
60-69 years, male
0.0
GTEX-1EU9M-2826-SM-7EWFH
60-69 years, male
0.0
GTEX-PSDG-1626-SM-48TCQ
50-59 years, male
0.0
GTEX-Q2AG-0326-SM-48U1O
40-49 years, female
0.0
GTEX-QDT8-0626-SM-48TYW
30-39 years, female
0.0
GTEX-QEG5-0726-SM-4R1JQ
20-29 years, male
0.0
GTEX-QEL4-2126-SM-447AE
50-59 years, male
0.0
GTEX-QMRM-1626-SM-4R1KV
50-59 years, male
0.0
GTEX-QVJO-1826-SM-447C9
60-69 years, female
0.0
GTEX-R3RS-0626-SM-48FE1
40-49 years, female
0.0
GTEX-R53T-1526-SM-48FEK
50-59 years, female
0.0
GTEX-R55D-0826-SM-48FEA
50-59 years, male
0.0
GTEX-REY6-2426-SM-48FF5
60-69 years, male
0.0
GTEX-RU1J-0626-SM-4WAWY
20-29 years, female
0.0
GTEX-RU72-0626-SM-46MUI
50-59 years, female
0.0
GTEX-RUSQ-2026-SM-4GIAK
50-59 years, male
0.0
GTEX-RWS6-1926-SM-47JXY
60-69 years, female
0.0
GTEX-S32W-2026-SM-4AD6E
50-59 years, female
0.0
GTEX-S33H-0326-SM-4AD6N
30-39 years, male
0.0
GTEX-S341-1526-SM-4AD6K
40-49 years, female
0.0
GTEX-S4P3-1326-SM-4AD6V
50-59 years, female
0.0
GTEX-S4Q7-1126-SM-4AD6R
20-29 years, male
0.0
GTEX-S4UY-0726-SM-4AD6X
40-49 years, female
0.0
GTEX-S7SE-0826-SM-4AT4D
50-59 years, male
0.0
GTEX-SE5C-2126-SM-4BRUJ
40-49 years, female
0.0
GTEX-T2IS-1526-SM-32QPR
20-29 years, female
0.0
GTEX-T2YK-2226-SM-32QPT
50-59 years, male
0.0
GTEX-T5JC-2126-SM-32PMO
20-29 years, male
0.0
GTEX-T5JW-2026-SM-4DM63
20-29 years, female
0.0
GTEX-T6MN-0726-SM-32PML
50-59 years, male
0.0
GTEX-T6MO-0326-SM-32QOK
40-49 years, female
0.0
GTEX-TKQ1-0226-SM-33HB5
30-39 years, male
0.0
GTEX-TKQ2-1826-SM-33HB2
50-59 years, male
0.0
GTEX-TML8-1226-SM-32QON
40-49 years, female
0.0
GTEX-TMMY-0726-SM-33HBE
40-49 years, female
0.0
GTEX-U3ZH-1426-SM-4DXSR
30-39 years, male
0.0
GTEX-U3ZN-1926-SM-4DXSG
30-39 years, female
0.0
GTEX-U412-1826-SM-4DXTJ
60-69 years, male
0.0
GTEX-U8XE-0826-SM-4E3J1
30-39 years, male
0.0
GTEX-UJHI-1426-SM-3DB9C
50-59 years, female
0.0
GTEX-UPK5-2326-SM-3P5Z8
40-49 years, male
0.0
GTEX-UTHO-1026-SM-3GAF7
60-69 years, male
0.0
GTEX-V955-2026-SM-3GAFA
60-69 years, male
0.0
GTEX-VJWN-0726-SM-3GIJ8
50-59 years, female
0.0
GTEX-VUSG-2226-SM-4KKZO
50-59 years, male
0.0
GTEX-W5X1-2326-SM-3GIL6
40-49 years, female
0.0
GTEX-WFON-1826-SM-3GILG
40-49 years, male
0.0
GTEX-WI4N-1426-SM-3LK7H
40-49 years, female
0.0
GTEX-WOFL-0826-SM-3MJG1
60-69 years, male
0.0
GTEX-WRHU-0326-SM-3MJFY
50-59 years, female
0.0
GTEX-WXYG-2226-SM-4E3IM
50-59 years, female
0.0
GTEX-WY7C-2726-SM-3NB3P
50-59 years, male
0.0
GTEX-WYBS-0926-SM-3NM94
60-69 years, female
0.0
GTEX-WYJK-1326-SM-3NB2T
50-59 years, male
0.0
GTEX-WYVS-1726-SM-3NMAY
40-49 years, female
0.0
GTEX-X15G-1626-SM-3NMB3
50-59 years, female
0.0
GTEX-X261-0626-SM-3NMD9
50-59 years, male
0.0
GTEX-X4EP-2926-SM-3P5YQ
60-69 years, female
0.0
GTEX-X4XY-0926-SM-4E3JD
60-69 years, male
0.0
GTEX-XBED-1626-SM-47JYN
60-69 years, male
0.0
GTEX-XGQ4-0926-SM-4AT4U
50-59 years, male
0.0
GTEX-XMD1-0826-SM-4AT52
60-69 years, male
0.0
GTEX-XMD2-0926-SM-4WWEF
60-69 years, female
0.0
GTEX-XMK1-1126-SM-4IHJ8
40-49 years, male
0.0
GTEX-XOT4-0726-SM-4GIAW
60-69 years, female
0.0
GTEX-XQ3S-1326-SM-4BOPQ
20-29 years, male
0.0
GTEX-XQ8I-2426-SM-4WAXY
50-59 years, male
0.0
GTEX-XUW1-2326-SM-4BOO5
50-59 years, female
0.0
GTEX-XUZC-1626-SM-4BRVP
30-39 years, female
0.0
GTEX-XV7Q-2326-SM-4BRVZ
40-49 years, female
0.0
GTEX-XYKS-1326-SM-4BRUN
60-69 years, female
0.0
GTEX-Y111-2026-SM-4SOJA
50-59 years, male
0.0
GTEX-Y114-2026-SM-4TT7L
50-59 years, female
0.0
GTEX-Y3I4-1526-SM-4TT7K
50-59 years, male
0.0
GTEX-Y3IK-2326-SM-4WWDT
50-59 years, female
0.0
GTEX-Y5LM-1726-SM-4VDSX
40-49 years, female
0.0
GTEX-Y5V5-2126-SM-4WWFO
60-69 years, female
0.0
GTEX-Y5V6-2126-SM-4WWFX
60-69 years, male
0.0
GTEX-Y8E4-1626-SM-5S2MW
40-49 years, male
0.0
GTEX-Y8LW-1626-SM-5IFHX
50-59 years, female
0.0
GTEX-Y9LG-1426-SM-5IFJZ
30-39 years, male
0.0
GTEX-YB5E-1726-SM-5IFJ3
40-49 years, male
0.0
GTEX-YB5K-1626-SM-5IFIN
40-49 years, female
0.0
GTEX-YEC3-1026-SM-5IFI5
50-59 years, male
0.0
GTEX-YFC4-1426-SM-5IFJG
40-49 years, female
0.0
GTEX-YFCO-1826-SM-4W1YH
40-49 years, male
0.0
GTEX-YJ8O-2226-SM-5IFHW
40-49 years, female
0.0
GTEX-ZA64-1526-SM-5CVMD
20-29 years, male
0.0
GTEX-ZAB4-2526-SM-5HL8M
40-49 years, male
0.0
GTEX-ZAJG-0626-SM-5HL8X
50-59 years, female
0.0
GTEX-ZC5H-2626-SM-5J2MG
40-49 years, female
0.0
GTEX-ZDTT-2126-SM-5S2OJ
60-69 years, male
0.0
GTEX-ZDXO-0126-SM-5S2ND
60-69 years, male
0.0
GTEX-ZDYS-1126-SM-5K7UB
50-59 years, male
0.0
GTEX-ZEX8-2226-SM-57WC6
50-59 years, male
0.0
GTEX-ZF29-1926-SM-5S2P1
60-69 years, female
0.0
GTEX-ZF2S-2026-SM-5E461
50-59 years, female
0.0
GTEX-ZF3C-2326-SM-5S2MZ
50-59 years, female
0.0
GTEX-ZLFU-2126-SM-4WWEV
40-49 years, male
0.0
GTEX-ZLV1-1426-SM-4WWES
60-69 years, female
0.0
GTEX-ZPIC-1126-SM-5BC7F
40-49 years, female
0.0
GTEX-ZQG8-0726-SM-5P9H9
60-69 years, female
0.0
GTEX-ZQUD-1926-SM-51MSA
30-39 years, male
0.0
GTEX-ZT9W-2026-SM-51MRA
50-59 years, male
0.0
GTEX-ZTTD-1026-SM-51MRD
50-59 years, male
0.0
GTEX-ZTX8-1226-SM-4YCE9
20-29 years, male
0.0
GTEX-ZU9S-1926-SM-5NQBP
30-39 years, male
0.0
GTEX-ZUA1-1526-SM-59HLS
40-49 years, male
0.0
GTEX-ZV6S-1826-SM-5NQ8D
40-49 years, female
0.0
GTEX-ZV7C-1826-SM-5NQ83
50-59 years, male
0.0
GTEX-ZVE2-1226-SM-5NQ8R
50-59 years, male
0.0
GTEX-ZVT2-1826-SM-5NQ8W
50-59 years, female
0.0
GTEX-ZVT4-1026-SM-57WC4
50-59 years, female
0.0
GTEX-ZVTK-0326-SM-51MRR
20-29 years, male
0.0
GTEX-ZVZQ-0826-SM-51MRF
60-69 years, female
0.0
GTEX-ZWKS-2826-SM-5NQ74
30-39 years, male
0.0
GTEX-ZXES-0826-SM-5E43C
30-39 years, female
0.0
GTEX-ZY6K-1626-SM-5GZWV
50-59 years, male
0.0
GTEX-ZYFC-0826-SM-5E44K
50-59 years, male
0.0
GTEX-ZYT6-0126-SM-5E45J
30-39 years, male
0.0
GTEX-ZYW4-0826-SM-5GIDG
60-69 years, male
0.0
GTEX-ZZ64-1226-SM-5E43R
20-29 years, male
0.0
GTEX-ZZPU-0626-SM-5E43T
50-59 years, female
0.0
Show allShow less
BREAST - FANTOM5 CAGEi
RNA expression in human tissues obtained through Cap Analysis of Gene Expression (CAGE) generated by the FANTOM5 project are reported as Scaled Tags Per Million.