We use cookies to enhance the usability of our website. If you continue, we'll assume that you are happy to receive all cookies. More information. Don't show this again.
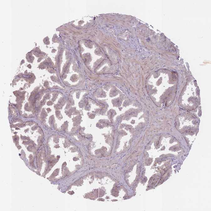
On the top, protein expression in current human tissue, based on all annotated cell types, is reported with the units not detected (n), low (l), medium (m) and high (h). Underneath, protein expression in each annotated cell type are reported using the same units.
Protein expression data is based on knowledge-based annotation. For genes where more than one antibody has been used, a collective score is set.
If knowledge-based annotation could not be performed for a gene, no data is displayed here. View antibody staining data further down this page.
A summary of mRNA expression data available for current tissue based on several datasets. The mRNA expression levels in human tissues are based on RNA-seq data generated by the Human Protein Atlas (HPA), Genotype-Tissue Expression (GTEx) portal and CAGE data generated by the FANTOM5 consortium. Consensus normalized expression (NX) levels for human tissues was created by combining the data from these three transcriptomics datasets (HPA, GTEx and FANTOM5).
The mRNA expression levels in pig are based on RNA-seq data generated by the Human Protein Atlas (HPA), and for mouse, HPA data and in situ hybridization generated by the Allen brain atlas are reported.
Scroll down to view mRNA expression data in more detail.
Antibody staining in the annotated cell types in the current human tissue is reported as not detected, low, medium, or high. This score is based on the staining intensity and fraction of stained cells.
The RNA-seq details section shows detailed information about the individual samples used for the transcript profiling and results of the RNA-seq analysis.
Information about each individual sample is listed below, including gender, age, a tissue section image and estimated fractions of cell types. pTPM (transcripts per million) values give a quantification of the gene abundance which is comparable between different genes and samples.
RNA-Seq data generated by the Genotype-Tissue Expression (GTEx) project from human tissues is reported as average pTPM. More information can be found on the GTEx portal.
Distribution across the dataset is visualized with box plots, shown as median and 25th and 75th percentiles. Points are displayed as outliers if they are above or below 1.5 times the interquartile range. pTPM values of the individual samples are presented next to the box plot.
Max pTPM: 0.2
Min pTPM: 0.0
Std pTPM: 0.0
Median pTPM: 0.0
GTEX-S95S-1026-SM-4B64M
60-69 years, male
0.2
GTEX-14BMV-2326-SM-5RQJ4
50-59 years, male
0.1
GTEX-14PJ4-1226-SM-5YY9U
60-69 years, male
0.1
GTEX-18QFQ-2026-SM-72D7J
30-39 years, male
0.1
GTEX-S4Q7-1026-SM-4AD75
20-29 years, male
0.1
GTEX-U3ZM-0926-SM-4DXSW
40-49 years, male
0.1
GTEX-VJYA-1226-SM-3GIJ6
60-69 years, male
0.1
GTEX-ZYFD-2526-SM-5E45L
50-59 years, male
0.1
GTEX-111CU-1526-SM-5N9FS
50-59 years, male
0.0
GTEX-111FC-2026-SM-5GZYO
60-69 years, male
0.0
GTEX-111YS-1726-SM-5GIED
60-69 years, male
0.0
GTEX-117YW-1426-SM-5EGGO
50-59 years, male
0.0
GTEX-117YX-1526-SM-5H12T
50-59 years, male
0.0
GTEX-11DXZ-1826-SM-5H12Y
50-59 years, male
0.0
GTEX-11DYG-2526-SM-5N9BB
60-69 years, male
0.0
GTEX-11EQ9-1726-SM-5HL6U
30-39 years, male
0.0
GTEX-11NSD-0826-SM-5986S
20-29 years, male
0.0
GTEX-11O72-2726-SM-5HL6K
40-49 years, male
0.0
GTEX-11OF3-1726-SM-5GU5Q
60-69 years, male
0.0
GTEX-11P7K-0626-SM-5985Z
30-39 years, male
0.0
GTEX-11P82-1126-SM-5BC5K
20-29 years, male
0.0
GTEX-11TT1-2026-SM-5EQM8
20-29 years, male
0.0
GTEX-11TUW-2126-SM-5GU7B
60-69 years, male
0.0
GTEX-11WQK-2726-SM-5EQMU
50-59 years, male
0.0
GTEX-11ZUS-2126-SM-5N9E6
30-39 years, male
0.0
GTEX-12696-2226-SM-5EQ65
60-69 years, male
0.0
GTEX-12BJ1-1226-SM-5LUAE
60-69 years, male
0.0
GTEX-12C56-1326-SM-5FQSV
20-29 years, male
0.0
GTEX-12ZZZ-2026-SM-5LZWJ
60-69 years, male
0.0
GTEX-13111-1326-SM-5GCNO
50-59 years, male
0.0
GTEX-131XF-5013-SM-7EWFI
60-69 years, male
0.0
GTEX-132NY-2826-SM-5P9G2
60-69 years, male
0.0
GTEX-132QS-1126-SM-5P9GC
60-69 years, male
0.0
GTEX-1399R-0526-SM-5IJEF
30-39 years, male
0.0
GTEX-1399T-1226-SM-5P9J5
60-69 years, male
0.0
GTEX-139T6-1526-SM-5P9G6
50-59 years, male
0.0
GTEX-13FHO-2826-SM-5K7ZA
60-69 years, male
0.0
GTEX-13FTW-1226-SM-5LZZ1
40-49 years, male
0.0
GTEX-13FXS-2826-SM-5LZYC
50-59 years, male
0.0
GTEX-13G51-2326-SM-5LZXV
60-69 years, male
0.0
GTEX-13N2G-1826-SM-5KM1I
60-69 years, male
0.0
GTEX-13NYS-1026-SM-5KLZT
60-69 years, male
0.0
GTEX-13O21-1126-SM-5N9EV
50-59 years, male
0.0
GTEX-13O61-1726-SM-5KM46
60-69 years, male
0.0
GTEX-13OW8-0426-SM-5J2NR
60-69 years, male
0.0
GTEX-13RTJ-2126-SM-5S2PZ
60-69 years, male
0.0
GTEX-144GM-0826-SM-5O98R
20-29 years, male
0.0
GTEX-145LT-0626-SM-5O99E
40-49 years, male
0.0
GTEX-145LU-2126-SM-5Q5E9
50-59 years, male
0.0
GTEX-145LV-1226-SM-5S2QH
50-59 years, male
0.0
GTEX-146FQ-1726-SM-5QGPX
30-39 years, male
0.0
GTEX-1477Z-2226-SM-5QGPG
60-69 years, male
0.0
GTEX-147JS-2826-SM-5YYA7
60-69 years, male
0.0
GTEX-148VJ-1826-SM-5Q5DV
70-79 years, male
0.0
GTEX-14ABY-0726-SM-5Q5DF
50-59 years, male
0.0
GTEX-14BIL-2126-SM-73KW3
50-59 years, male
0.0
GTEX-14C5O-2826-SM-5RQI6
60-69 years, male
0.0
GTEX-14DAR-1026-SM-73KV3
50-59 years, male
0.0
GTEX-14E6E-1126-SM-5S2R4
30-39 years, male
0.0
GTEX-14ICK-1826-SM-69LOP
40-49 years, male
0.0
GTEX-14PJ2-2126-SM-5YY96
50-59 years, male
0.0
GTEX-14PJ3-1726-SM-5ZZVH
50-59 years, male
0.0
GTEX-14PJO-2826-SM-6AJA6
60-69 years, male
0.0
GTEX-15CHR-1226-SM-79OON
50-59 years, male
0.0
GTEX-15RIF-1526-SM-6M46K
20-29 years, male
0.0
GTEX-16GPK-2826-SM-6LPJ6
60-69 years, male
0.0
GTEX-16MTA-1426-SM-6PALY
50-59 years, male
0.0
GTEX-16XZZ-2426-SM-7KULN
60-69 years, male
0.0
GTEX-16YQH-2326-SM-7EWDS
30-39 years, male
0.0
GTEX-178AV-0426-SM-6LPJG
40-49 years, male
0.0
GTEX-17EUY-2026-SM-79OMV
20-29 years, male
0.0
GTEX-17HHE-1126-SM-793BS
50-59 years, male
0.0
GTEX-17HHY-2526-SM-7IGME
50-59 years, male
0.0
GTEX-17HII-2526-SM-7LT8C
50-59 years, male
0.0
GTEX-17MFQ-1326-SM-718BX
20-29 years, male
0.0
GTEX-18A66-2326-SM-7LT8Q
60-69 years, male
0.0
GTEX-1A3MV-0826-SM-72D6J
30-39 years, male
0.0
GTEX-1AX8Z-2626-SM-731EP
60-69 years, male
0.0
GTEX-1AX9J-1426-SM-731BV
60-69 years, male
0.0
GTEX-1AX9K-1526-SM-73KVP
50-59 years, male
0.0
GTEX-1B8KE-1026-SM-731EQ
50-59 years, male
0.0
GTEX-1B8KZ-1626-SM-73KUU
50-59 years, male
0.0
GTEX-1B97I-0826-SM-731DN
40-49 years, male
0.0
GTEX-1C64O-2026-SM-7IGPA
60-69 years, male
0.0
GTEX-1C6VQ-2426-SM-7EWEU
50-59 years, male
0.0
GTEX-1CAMR-1626-SM-79OLC
20-29 years, male
0.0
GTEX-1CB4E-1726-SM-7IGMS
60-69 years, male
0.0
GTEX-1CB4F-2326-SM-7MKFO
60-69 years, male
0.0
GTEX-1EU9M-1526-SM-79OLI
60-69 years, male
0.0
GTEX-NFK9-2226-SM-3MJGP
40-49 years, male
0.0
GTEX-NPJ8-2426-SM-3MJHL
40-49 years, male
0.0
GTEX-OIZH-2026-SM-3NB1M
50-59 years, male
0.0
GTEX-OOBJ-2026-SM-3NB1R
60-69 years, male
0.0
GTEX-OOBK-2025-SM-3LK5S
40-49 years, male
0.0
GTEX-P4QS-2026-SM-3NMCG
60-69 years, male
0.0
GTEX-PLZ6-1126-SM-3P5ZR
30-39 years, male
0.0
GTEX-Q2AI-1126-SM-48U19
40-49 years, male
0.0
GTEX-QEG4-2226-SM-4R1JM
30-39 years, male
0.0
GTEX-QLQ7-1326-SM-4R1JY
60-69 years, male
0.0
GTEX-QMRM-1426-SM-4R1K8
50-59 years, male
0.0
GTEX-QV31-1026-SM-4R1K3
30-39 years, male
0.0
GTEX-QV44-1526-SM-4R1KI
50-59 years, male
0.0
GTEX-REY6-2126-SM-48FD9
60-69 years, male
0.0
GTEX-RM2N-1126-SM-48FCY
50-59 years, male
0.0
GTEX-RWSA-2026-SM-47JX8
40-49 years, male
0.0
GTEX-S33H-1826-SM-4AD65
30-39 years, male
0.0
GTEX-S3XE-1326-SM-4AD4H
50-59 years, male
0.0
GTEX-SJXC-2026-SM-4DM6N
60-69 years, male
0.0
GTEX-SNMC-0926-SM-4DM5U
20-29 years, male
0.0
GTEX-SNOS-1026-SM-4DM4Y
40-49 years, male
0.0
GTEX-T5JC-1226-SM-4DM7C
20-29 years, male
0.0
GTEX-T8EM-1826-SM-4DM7F
40-49 years, male
0.0
GTEX-U3ZH-0926-SM-4DXU4
30-39 years, male
0.0
GTEX-U412-2026-SM-4DXSI
60-69 years, male
0.0
GTEX-U4B1-1426-SM-4DXTX
40-49 years, male
0.0
GTEX-U8XE-2526-SM-4E3IT
30-39 years, male
0.0
GTEX-UTHO-2726-SM-4JBH9
60-69 years, male
0.0
GTEX-V1D1-1926-SM-4JBGX
50-59 years, male
0.0
GTEX-V955-1826-SM-4JBIL
60-69 years, male
0.0
GTEX-WFG7-1826-SM-3GIL1
20-29 years, male
0.0
GTEX-WFG8-1826-SM-4LVM4
20-29 years, male
0.0
GTEX-WFON-1626-SM-4LVMV
40-49 years, male
0.0
GTEX-WH7G-1726-SM-4LVKY
40-49 years, male
0.0
GTEX-WK11-2626-SM-4OOSK
50-59 years, male
0.0
GTEX-WOFM-0326-SM-4OOSL
20-29 years, male
0.0
GTEX-WY7C-2026-SM-4ONCM
50-59 years, male
0.0
GTEX-WYJK-0626-SM-4ONCZ
50-59 years, male
0.0
GTEX-WZTO-0926-SM-4PQZ3
40-49 years, male
0.0
GTEX-X5EB-1826-SM-4E3K8
40-49 years, male
0.0
GTEX-XAJ8-0626-SM-47JY4
40-49 years, male
0.0
GTEX-XGQ4-1826-SM-4AT6F
50-59 years, male
0.0
GTEX-XMK1-1026-SM-4B65H
40-49 years, male
0.0
GTEX-XPVG-2026-SM-4B65E
50-59 years, male
0.0
GTEX-XQ3S-2526-SM-4BOOG
20-29 years, male
0.0
GTEX-XXEK-1226-SM-4BRUY
50-59 years, male
0.0
GTEX-Y8E4-2126-SM-5RQHO
40-49 years, male
0.0
GTEX-Y9LG-1826-SM-4VBQC
30-39 years, male
0.0
GTEX-YB5E-1826-SM-5IFI4
40-49 years, male
0.0
GTEX-YF7O-1926-SM-4W1YQ
50-59 years, male
0.0
GTEX-YFCO-1626-SM-4W1Z3
40-49 years, male
0.0
GTEX-YJ8A-1126-SM-5IFJU
20-29 years, male
0.0
GTEX-ZDYS-1226-SM-5IJF3
50-59 years, male
0.0
GTEX-ZEX8-2026-SM-4WKF3
50-59 years, male
0.0
GTEX-ZLFU-1726-SM-4WWBU
40-49 years, male
0.0
GTEX-ZPU1-2026-SM-57WFI
40-49 years, male
0.0
GTEX-ZT9W-1626-SM-4YCDQ
50-59 years, male
0.0
GTEX-ZTTD-2726-SM-57WFA
50-59 years, male
0.0
GTEX-ZTX8-1026-SM-5EGHD
20-29 years, male
0.0
GTEX-ZUA1-2826-SM-59HLE
40-49 years, male
0.0
GTEX-ZVP2-0826-SM-59HJ6
50-59 years, male
0.0
GTEX-ZY6K-1526-SM-5GZXE
50-59 years, male
0.0
GTEX-ZZ64-0926-SM-5E44L
20-29 years, male
0.0
Show allShow less
PROSTATE - FANTOM5 CAGEi
RNA expression in human tissues obtained through Cap Analysis of Gene Expression (CAGE) generated by the FANTOM5 project are reported as Scaled Tags Per Million.