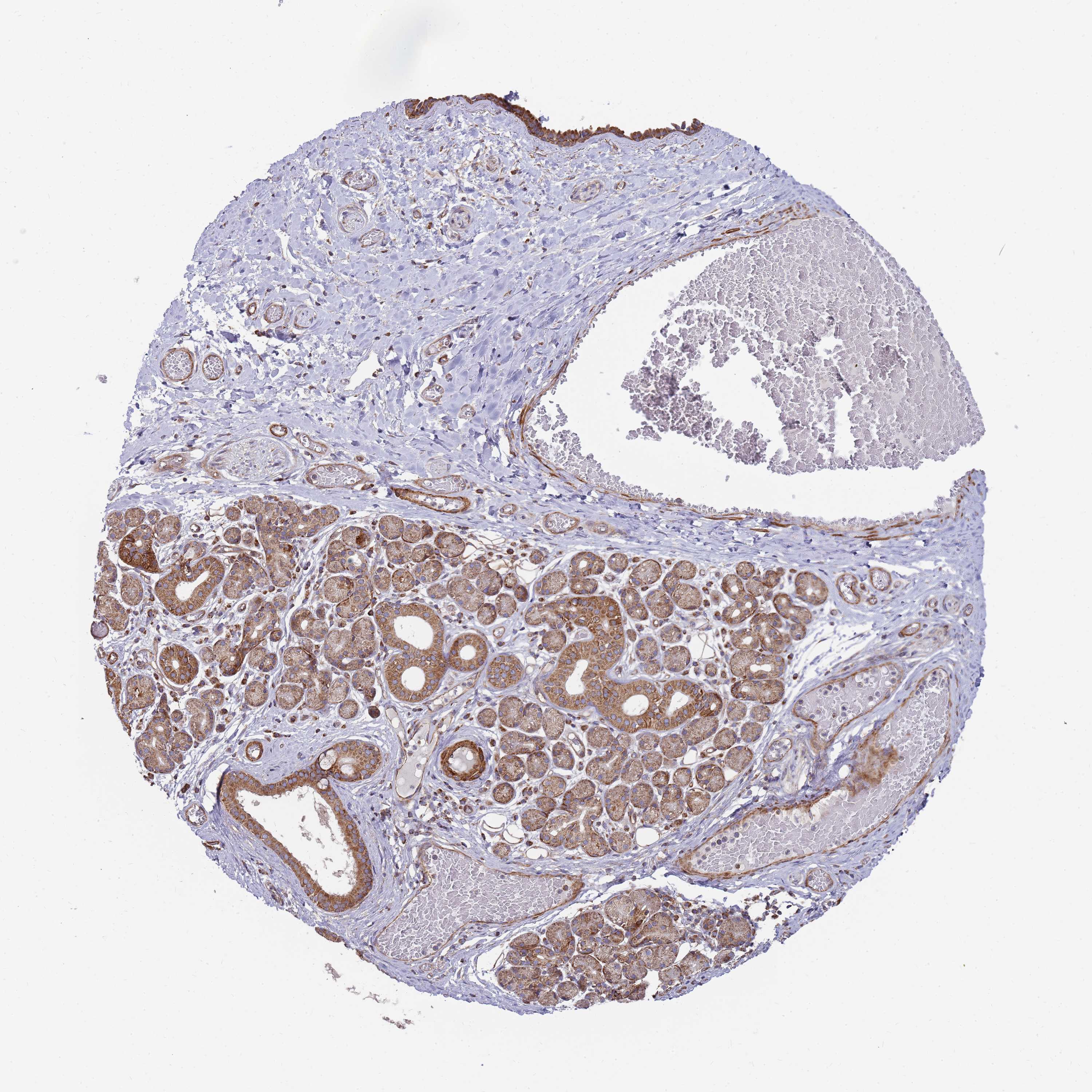
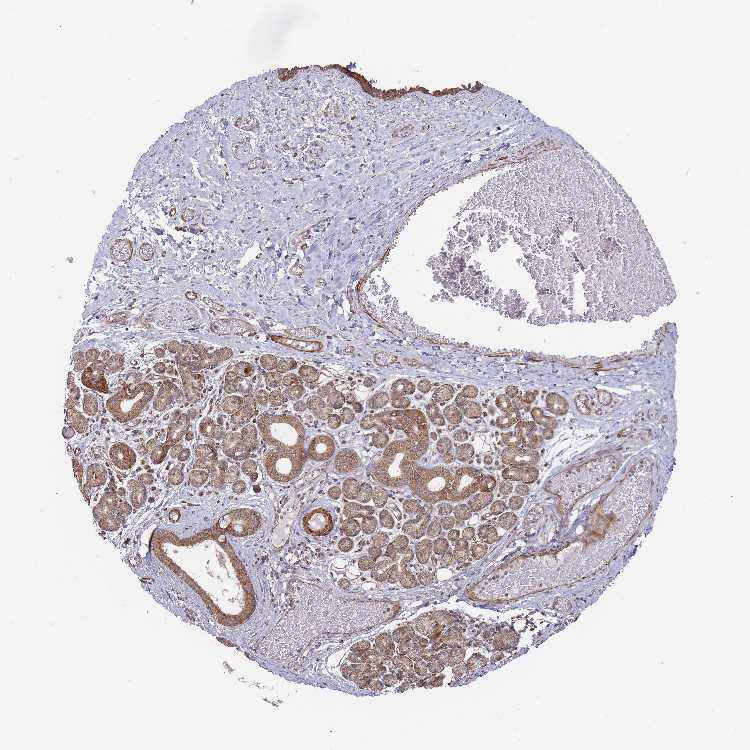
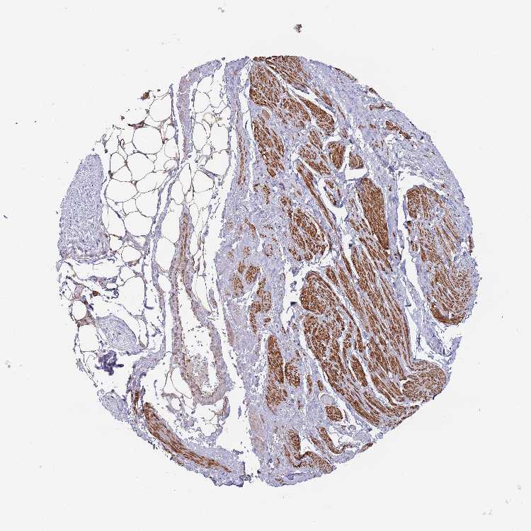
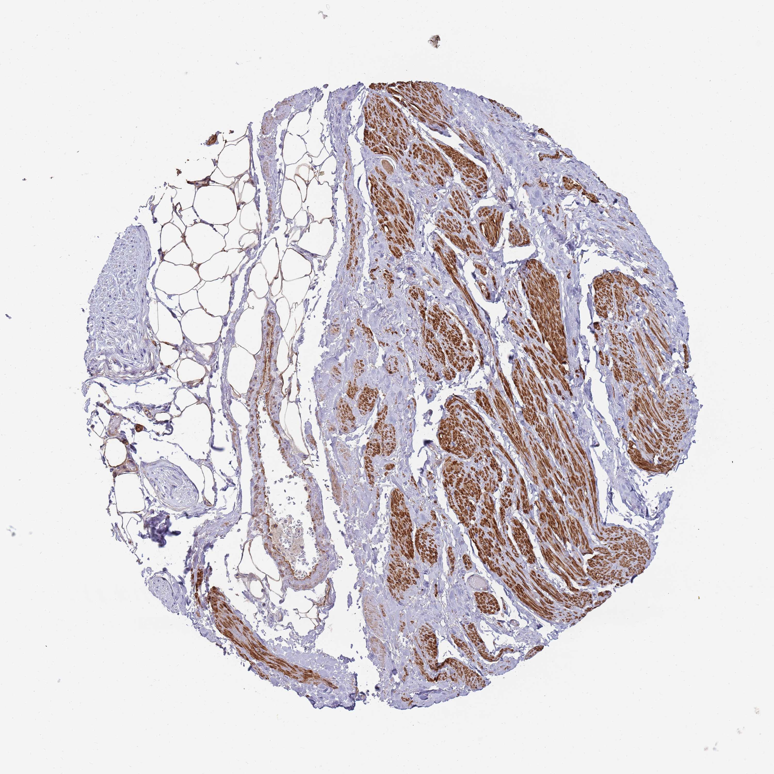
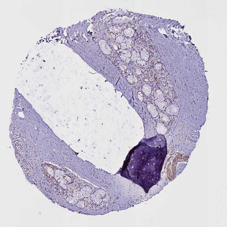
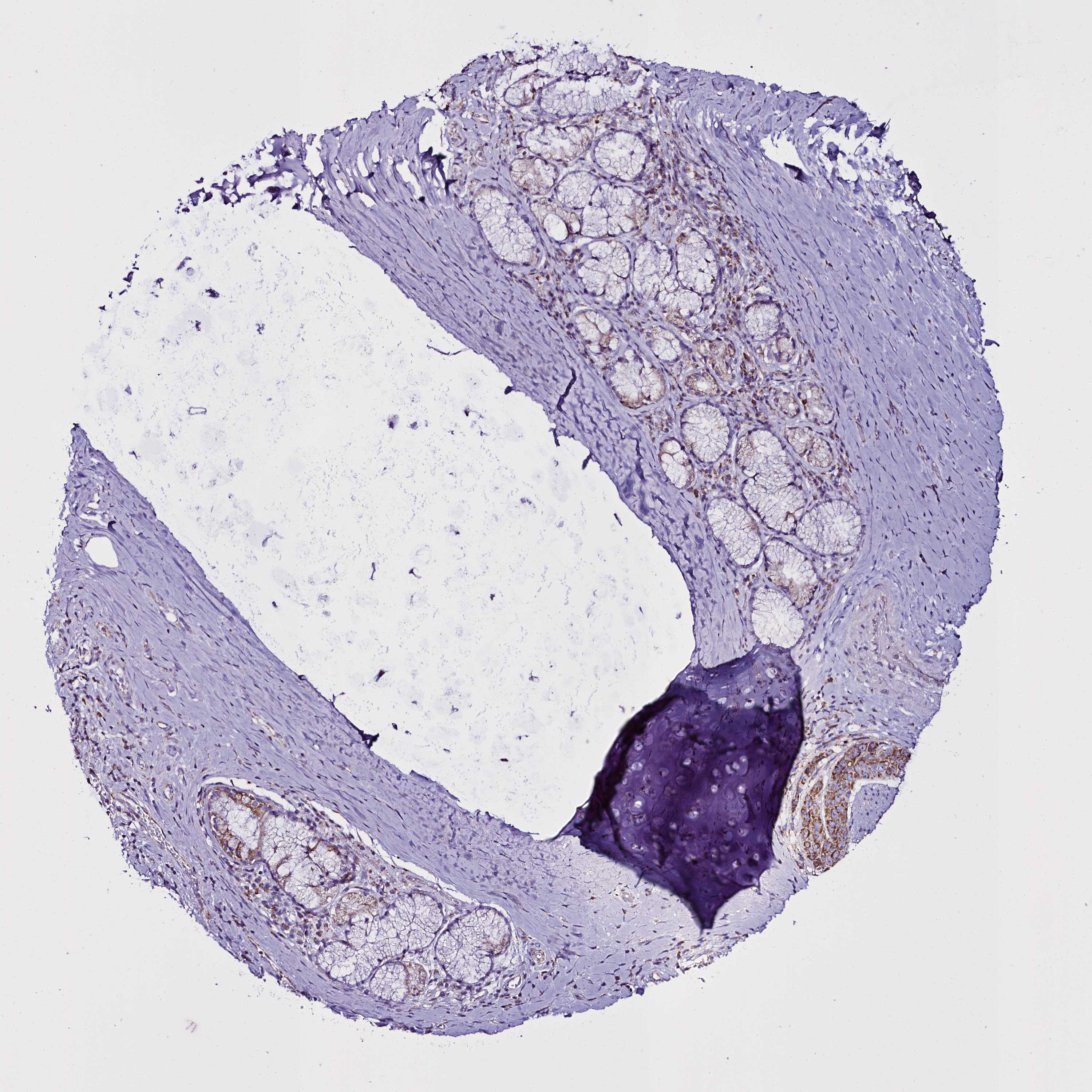
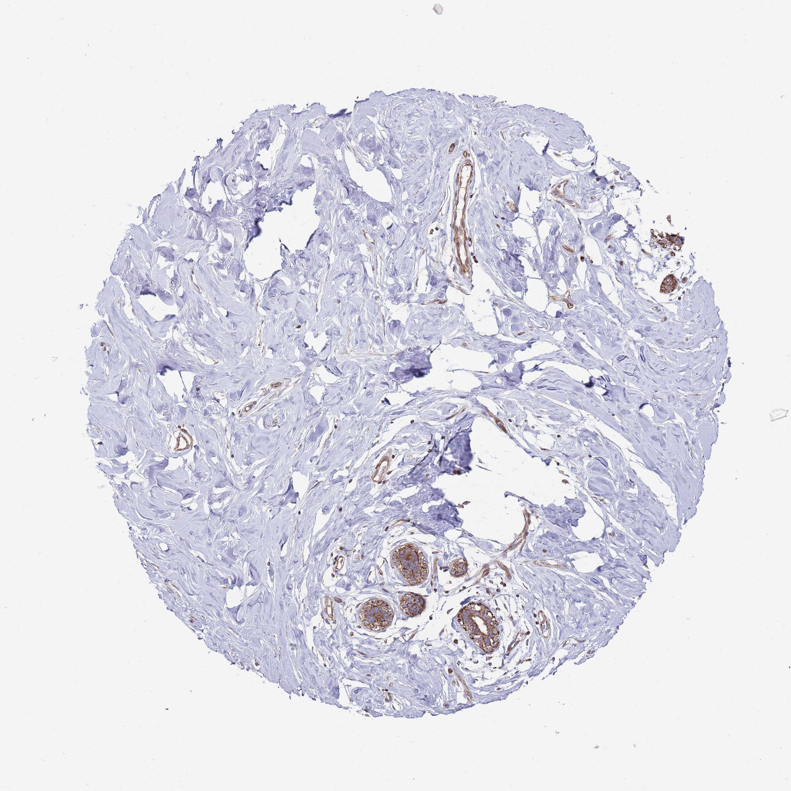
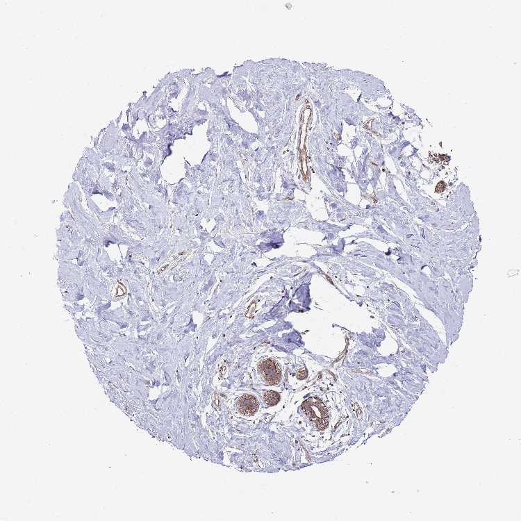
WDFY3