We use cookies to enhance the usability of our website. If you continue, we'll assume that you are happy to receive all cookies. More information. Don't show this again.
On the top, protein expression in current human tissue, based on all annotated cell types, is reported with the units not detected (n), low (l), medium (m) and high (h). Underneath, protein expression in each annotated cell type are reported using the same units.
Protein expression data is based on knowledge-based annotation. For genes where more than one antibody has been used, a collective score is set.
If knowledge-based annotation could not be performed for a gene, no data is displayed here. View antibody staining data further down this page.
A summary of mRNA expression data available for current tissue based on several datasets. The mRNA expression levels in human tissues are based on RNA-seq data generated by the Human Protein Atlas (HPA), Genotype-Tissue Expression (GTEx) portal and CAGE data generated by the FANTOM5 consortium. Consensus normalized expression (NX) levels for human tissues was created by combining the data from these three transcriptomics datasets (HPA, GTEx and FANTOM5).
The mRNA expression levels in pig are based on RNA-seq data generated by the Human Protein Atlas (HPA), and for mouse, HPA data and in situ hybridization generated by the Allen brain atlas are reported.
Scroll down to view mRNA expression data in more detail.
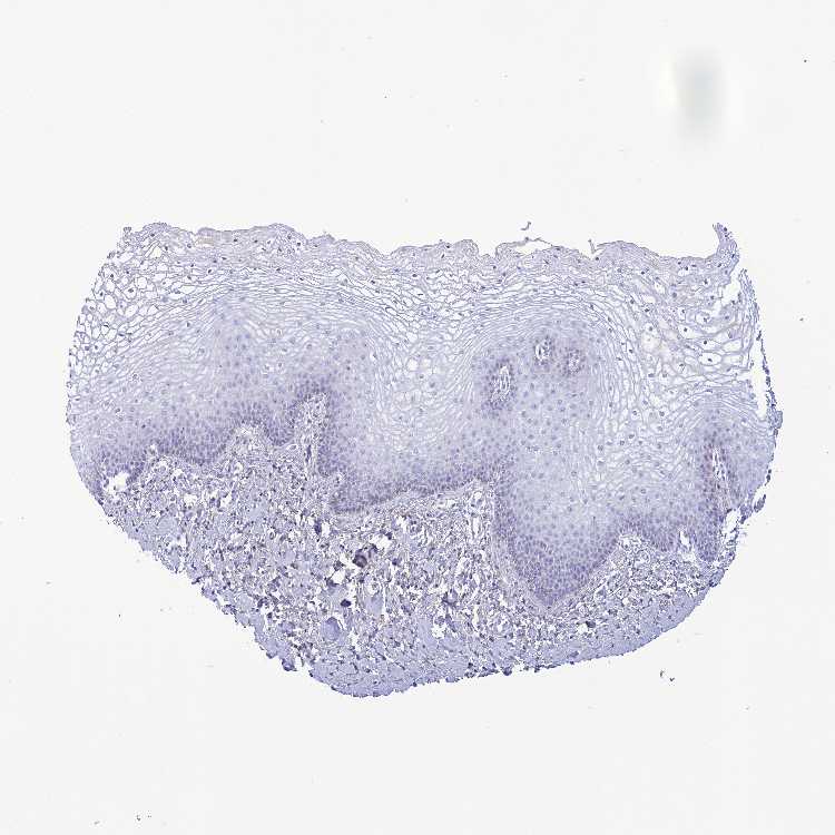
Antibody staining in the annotated cell types in the current human tissue is reported as not detected, low, medium, or high. This score is based on the staining intensity and fraction of stained cells.
RNA-Seq data generated by the Genotype-Tissue Expression (GTEx) project from human tissues is reported as average pTPM. More information can be found on the GTEx portal.
Distribution across the dataset is visualized with box plots, shown as median and 25th and 75th percentiles. Points are displayed as outliers if they are above or below 1.5 times the interquartile range. pTPM values of the individual samples are presented next to the box plot.
Max pTPM: 226.1
Min pTPM: 42.6
Std pTPM: 47.0
Median pTPM: 103.7
GTEX-14JG6-0726-SM-69LQH
30-39 years, female
226.1
GTEX-15DYW-2926-SM-6PANA
60-69 years, female
226.1
GTEX-TSE9-2526-SM-4DXUS
60-69 years, female
222.6
GTEX-Y114-1926-SM-4TT8J
50-59 years, female
220.0
GTEX-12ZZX-1926-SM-5EGKC
40-49 years, female
219.8
GTEX-ZYVF-0326-SM-5GIES
50-59 years, female
212.6
GTEX-14DAQ-2326-SM-5S2QX
60-69 years, female
210.9
GTEX-1EWIQ-2326-SM-7IGNF
70-79 years, female
200.9
GTEX-131YS-2426-SM-5J2OD
60-69 years, female
195.4
GTEX-14PJM-2926-SM-69LOE
50-59 years, female
194.6
GTEX-PLZ4-2726-SM-3P61A
50-59 years, female
194.6
GTEX-RWS6-1726-SM-47JXP
60-69 years, female
186.0
GTEX-RU1J-1426-SM-46MUV
20-29 years, female
185.0
GTEX-OHPL-2526-SM-3MJGT
60-69 years, female
181.8
GTEX-12WSD-2926-SM-5LZUH
60-69 years, female
179.6
GTEX-17JCI-2526-SM-7DHLB
60-69 years, female
178.4
GTEX-147F3-1526-SM-5SIAK
50-59 years, female
175.3
GTEX-145LS-2526-SM-5TDC9
60-69 years, female
171.4
GTEX-113JC-1926-SM-5N9GE
50-59 years, female
170.3
GTEX-YFC4-2926-SM-5IFJ8
40-49 years, female
168.7
GTEX-ZE7O-2426-SM-57WD7
50-59 years, female
165.7
GTEX-ZVT3-2726-SM-5GU5X
60-69 years, female
163.7
GTEX-WEY5-0826-SM-4LMIH
40-49 years, female
160.7
GTEX-13U4I-2026-SM-5LU3L
40-49 years, female
160.2
GTEX-146FH-2626-SM-5Q5E1
50-59 years, female
156.9
GTEX-13W3W-2326-SM-5LU4Y
60-69 years, female
156.4
GTEX-11GSP-2226-SM-5HL5Q
60-69 years, female
154.8
GTEX-13QIC-1826-SM-5J1MY
60-69 years, female
152.7
GTEX-11EM3-1826-SM-5A5KO
20-29 years, female
150.3
GTEX-146FR-2426-SM-5NQAU
60-69 years, female
150.1
GTEX-15UF6-2126-SM-6M46Z
70-79 years, female
145.9
GTEX-WYVS-1426-SM-4ONCV
40-49 years, female
143.0
GTEX-W5WG-1026-SM-4LMIF
50-59 years, female
141.0
GTEX-ZGAY-2226-SM-4YCCX
40-49 years, female
136.9
GTEX-14H4A-2426-SM-664OQ
40-49 years, female
136.7
GTEX-13OVI-0926-SM-5J1MI
60-69 years, female
136.0
GTEX-15DCZ-2326-SM-6AJB1
20-29 years, female
134.4
GTEX-18A7A-2826-SM-7LT8J
50-59 years, female
132.6
GTEX-XV7Q-1626-SM-4BRWC
40-49 years, female
131.8
GTEX-TMMY-1926-SM-4DXUU
40-49 years, female
131.0
GTEX-13PVR-1426-SM-5S2PW
60-69 years, female
130.6
GTEX-13N11-1526-SM-5L3FL
50-59 years, female
130.1
GTEX-Q734-1426-SM-48TZQ
40-49 years, female
129.5
GTEX-T2IS-1926-SM-4DM74
20-29 years, female
128.3
GTEX-UJHI-1326-SM-4IHJO
50-59 years, female
126.9
GTEX-12WSJ-1326-SM-5GCOB
40-49 years, female
119.1
GTEX-WRHU-2926-SM-4MVNQ
50-59 years, female
117.9
GTEX-ZQG8-1126-SM-51MRL
60-69 years, female
117.1
GTEX-P78B-2226-SM-3P5ZZ
40-49 years, female
116.7
GTEX-16NPV-2526-SM-6M483
50-59 years, female
111.7
GTEX-QDT8-2526-SM-48TYX
30-39 years, female
110.3
GTEX-P4PP-2526-SM-3P61P
30-39 years, female
109.8
GTEX-ZXES-0626-SM-5E45P
30-39 years, female
109.1
GTEX-15SB6-1426-SM-7KUEM
50-59 years, female
107.2
GTEX-ZC5H-2226-SM-4WAWS
40-49 years, female
106.2
GTEX-U3ZN-0926-SM-4DXTU
30-39 years, female
105.2
GTEX-14BMU-1926-SM-5S2QC
20-29 years, female
103.8
GTEX-11P81-2126-SM-5HL6N
30-39 years, female
103.7
GTEX-11EMC-1926-SM-5A5JU
60-69 years, female
102.8
GTEX-1C475-0526-SM-793AC
40-49 years, female
102.7
GTEX-ZTPG-2226-SM-57WF9
20-29 years, female
101.5
GTEX-183WM-2126-SM-7LG4I
70-79 years, female
100.3
GTEX-ZP4G-0826-SM-4WWF3
20-29 years, female
99.5
GTEX-15SHU-2926-SM-7KUKT
40-49 years, female
99.0
GTEX-PWN1-2526-SM-48TDS
40-49 years, female
98.7
GTEX-18D9A-1026-SM-7KFRU
30-39 years, female
98.1
GTEX-PWCY-1726-SM-48TD3
20-29 years, female
97.3
GTEX-ZYY3-2626-SM-5N9DH
60-69 years, female
97.3
GTEX-14PKU-1326-SM-6871B
40-49 years, female
95.9
GTEX-X8HC-2826-SM-46MWJ
50-59 years, female
94.5
GTEX-TML8-1126-SM-4DXSS
40-49 years, female
94.3
GTEX-15ER7-2526-SM-7KUFW
20-29 years, female
92.0
GTEX-NL3G-2526-SM-4SOIE
60-69 years, female
91.8
GTEX-1CAMS-2326-SM-793CR
40-49 years, female
91.2
GTEX-X15G-1926-SM-4PQZQ
50-59 years, female
91.2
GTEX-XUW1-0326-SM-4BOOR
50-59 years, female
90.4
GTEX-11XUK-1326-SM-5EQM4
40-49 years, female
89.9
GTEX-T6MO-1226-SM-4DM5S
40-49 years, female
88.8
GTEX-14A5I-2726-SM-5SIB3
50-59 years, female
88.3
GTEX-PX3G-2526-SM-48TZV
20-29 years, female
88.0
GTEX-Y3IK-2226-SM-4YCD4
50-59 years, female
86.9
GTEX-ZV6S-1326-SM-59HJA
40-49 years, female
85.2
GTEX-1399U-1526-SM-5J2N7
50-59 years, female
83.5
GTEX-145ME-1426-SM-5RQJS
40-49 years, female
83.4
GTEX-S4UY-1326-SM-4AD4X
40-49 years, female
83.2
GTEX-OHPK-2526-SM-3MJH9
50-59 years, female
80.9
GTEX-11VI4-0726-SM-5GU5B
40-49 years, female
80.8
GTEX-1399S-2326-SM-5K7YV
30-39 years, female
80.6
GTEX-14PN3-1626-SM-6AJAV
60-69 years, female
80.6
GTEX-17F9Y-2326-SM-7DUFP
70-79 years, female
79.8
GTEX-13D11-1326-SM-5IJFY
50-59 years, female
79.7
GTEX-ZVT2-0626-SM-5GICR
50-59 years, female
79.3
GTEX-1117F-2526-SM-5GZY6
60-69 years, female
78.9
GTEX-13PL7-2726-SM-5L3GB
60-69 years, female
78.9
GTEX-QCQG-1226-SM-48U23
50-59 years, female
78.8
GTEX-YJ8O-1226-SM-5P9JE
40-49 years, female
76.3
GTEX-131XG-2126-SM-5DUXG
50-59 years, female
73.0
GTEX-S4P3-1126-SM-4AD52
50-59 years, female
72.5
GTEX-SE5C-1126-SM-4BRWZ
40-49 years, female
72.1
GTEX-16NGA-1626-SM-72D6M
40-49 years, female
72.0
GTEX-11DXX-1726-SM-5H11T
60-69 years, female
68.2
GTEX-N7MT-1926-SM-3LK5N
60-69 years, female
66.1
GTEX-1A8FM-2426-SM-7IGPE
50-59 years, female
61.8
GTEX-14PJ6-1626-SM-6872D
60-69 years, female
57.8
GTEX-QVJO-2526-SM-4R1KB
60-69 years, female
57.8
GTEX-11I78-2026-SM-5987C
50-59 years, female
57.1
GTEX-15SDE-1726-SM-6LPJS
50-59 years, female
57.0
GTEX-Y8LW-1426-SM-5RQJJ
50-59 years, female
51.0
GTEX-ZZPU-2226-SM-5EGIV
50-59 years, female
51.0
GTEX-ZLWG-1126-SM-4WWFQ
50-59 years, female
50.6
GTEX-13QBU-1726-SM-5IJFQ
40-49 years, female
49.3
GTEX-S341-1226-SM-4AD5S
40-49 years, female
47.6
GTEX-S7SF-1426-SM-4AT5A
20-29 years, female
47.3
GTEX-1AMFI-1526-SM-73KVY
50-59 years, female
44.6
GTEX-11TTK-2726-SM-5GU58
60-69 years, female
42.6
Show allShow less
VAGINA - FANTOM5 CAGEi
RNA expression in human tissues obtained through Cap Analysis of Gene Expression (CAGE) generated by the FANTOM5 project are reported as Scaled Tags Per Million.