We use cookies to enhance the usability of our website. If you continue, we'll assume that you are happy to receive all cookies. More information. Don't show this again.
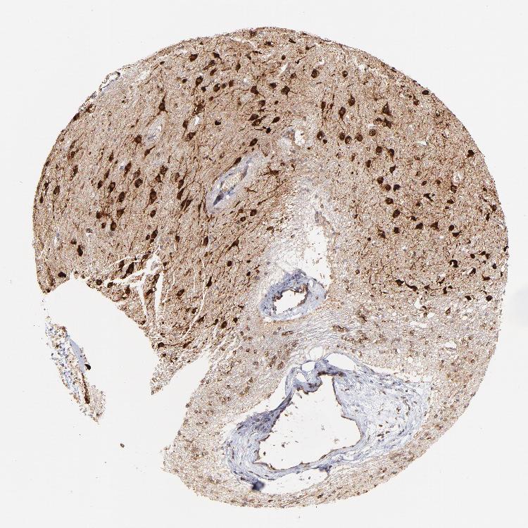
On the top, protein expression in current human tissue, based on all annotated cell types, is reported with the units not detected (n), low (l), medium (m) and high (h). Underneath, protein expression in each annotated cell type are reported using the same units.
Protein expression data is based on knowledge-based annotation. For genes where more than one antibody has been used, a collective score is set.
If knowledge-based annotation could not be performed for a gene, no data is displayed here. View antibody staining data further down this page.
A summary of mRNA expression data available for current tissue based on several datasets. The mRNA expression levels in human tissues are based on RNA-seq data generated by the Human Protein Atlas (HPA), Genotype-Tissue Expression (GTEx) portal and CAGE data generated by the FANTOM5 consortium. Consensus normalized expression (NX) levels for human tissues was created by combining the data from these three transcriptomics datasets (HPA, GTEx and FANTOM5).
The mRNA expression levels in pig are based on RNA-seq data generated by the Human Protein Atlas (HPA), and for mouse, HPA data and in situ hybridization generated by the Allen brain atlas are reported.
Scroll down to view mRNA expression data in more detail.
Antibody staining in the annotated cell types in the current human tissue is reported as not detected, low, medium, or high. This score is based on the staining intensity and fraction of stained cells.
RNA-Seq data generated by the Genotype-Tissue Expression (GTEx) project from human tissues is reported as average pTPM. More information can be found on the GTEx portal.
Distribution across the dataset is visualized with box plots, shown as median and 25th and 75th percentiles. Points are displayed as outliers if they are above or below 1.5 times the interquartile range. pTPM values of the individual samples are presented next to the box plot.
Brain - Caudate (basal ganglia) Average pTPM: 27.2
Samples: 160
Max pTPM: 62.6
Min pTPM: 4.0
Std pTPM: 12.1
Median pTPM: 27.3
GTEX-13N2G-0011-R5a-SM-5MR33
60-69 years, male
62.6
GTEX-15CHQ-0011-R5b-SM-6AJAN
60-69 years, male
56.7
GTEX-13G51-0011-R5a-SM-5L3EB
60-69 years, male
54.1
GTEX-T6MN-0011-R5A-SM-32QPD
50-59 years, male
50.7
GTEX-X585-0011-R5A-SM-46MVI
50-59 years, male
50.3
GTEX-1AX9I-0011-R5b-SM-793DI
60-69 years, male
49.4
GTEX-13O3Q-0011-R5b-SM-5P9H4
50-59 years, male
48.9
GTEX-15ER7-0011-R5b-SM-6M46T
20-29 years, female
48.3
GTEX-15SHU-0011-R5a-SM-7938Q
40-49 years, female
47.6
GTEX-WWYW-0011-R5A-SM-3NB3E
50-59 years, female
47.2
GTEX-16YQH-0011-R5b-SM-7938U
30-39 years, male
46.7
GTEX-131YS-0011-R5b-SM-5K7YB
60-69 years, female
45.5
GTEX-18464-0011-R5b-SM-718A6
50-59 years, male
44.3
GTEX-Q2AG-0011-R5A-SM-2HMJH
40-49 years, female
44.0
GTEX-14JIY-0011-R5b-SM-62LE7
60-69 years, male
43.6
GTEX-15EO6-0011-R5b-SM-7KUDZ
50-59 years, male
43.4
GTEX-ZAB4-0011-R5a-SM-4SOKC
40-49 years, male
42.9
GTEX-14BIM-0011-R5b-SM-5S2RM
60-69 years, female
41.5
GTEX-ZUA1-0011-R5b-SM-51MTG
40-49 years, male
40.7
GTEX-13RTJ-0011-R5a-SM-5P9HR
60-69 years, male
40.2
GTEX-N7MT-0011-R5a-SM-2I3G6
60-69 years, female
40.0
GTEX-13FHO-0011-R5b-SM-5LZZ3
60-69 years, male
39.9
GTEX-139TT-0011-R5b-SM-5K7W8
60-69 years, male
39.7
GTEX-N7MS-0011-R5a-SM-2HMK8
60-69 years, male
39.7
GTEX-QVJO-0011-R5A-SM-2S1QM
60-69 years, female
39.7
GTEX-13X6K-0011-R5b-SM-5PNUE
60-69 years, female
39.3
GTEX-145MH-0011-R5a-SM-5P9JT
50-59 years, male
39.2
GTEX-14BMV-0011-R5b-SM-62LFT
50-59 years, male
39.2
GTEX-14PN4-0011-R5a-SM-686ZV
50-59 years, male
39.2
GTEX-11GSP-0011-R5a-SM-57WBE
60-69 years, female
39.1
GTEX-12WSC-0011-R5b-SM-5CVNS
50-59 years, male
39.1
GTEX-15DYW-0011-R5a-SM-6M46W
60-69 years, female
38.8
GTEX-WHSE-0011-R5A-SM-3P5ZO
20-29 years, male
38.8
GTEX-WL46-0011-R5A-SM-3LK6V
50-59 years, male
38.3
GTEX-11H98-0011-R5b-SM-57WCF
50-59 years, male
37.4
GTEX-13SLX-0011-R5a-SM-5O9BV
50-59 years, female
36.9
GTEX-WVLH-0011-R5A-SM-3MJFW
50-59 years, male
36.9
GTEX-WZTO-0011-R5B-SM-3NMC5
40-49 years, male
36.7
GTEX-13N1W-0011-R5b-SM-5MR5Q
70-79 years, male
36.6
GTEX-P44H-0011-R5A-SM-2XCEX
40-49 years, male
36.5
GTEX-1A3MX-0011-R5a-SM-79OM5
60-69 years, male
36.2
GTEX-12ZZZ-0011-R5a-SM-5EQ4M
60-69 years, male
36.0
GTEX-S7SE-0011-R5A-SM-2XCDA
50-59 years, male
35.3
GTEX-12ZZY-0011-R5a-SM-5EGL9
60-69 years, male
35.2
GTEX-132Q8-0011-R5a-SM-5IJDM
60-69 years, male
35.2
GTEX-145LS-0011-R5a-SM-5SI65
60-69 years, female
35.1
GTEX-13OW6-0011-R5a-SM-5O9BK
50-59 years, male
34.6
GTEX-13VXU-0011-R5a-SM-5O9D7
50-59 years, male
34.6
GTEX-1313W-0011-R5b-SM-5L3EP
50-59 years, female
34.3
GTEX-17EVP-0011-R5b-SM-7DHKW
40-49 years, male
34.3
GTEX-17HII-0011-R5a-SM-7LG51
50-59 years, male
34.3
GTEX-13NYS-0011-R5a-SM-5MR4D
60-69 years, male
33.9
GTEX-1399T-0011-R5b-SM-5IJDK
60-69 years, male
33.4
GTEX-13NYB-0011-R5a-SM-5MR45
40-49 years, male
33.3
GTEX-13FXS-0011-R5b-SM-5LZYE
50-59 years, male
33.2
GTEX-13X6I-0011-R5a-SM-5PNWW
60-69 years, male
32.4
GTEX-13X6J-0011-R5b-SM-5PNWT
50-59 years, male
32.1
GTEX-13JUV-0011-R5a-SM-5LZY5
40-49 years, female
31.9
GTEX-13O3O-0011-R5b-SM-5KM44
60-69 years, female
31.5
GTEX-RU72-0011-R5A-SM-2TF6U
50-59 years, female
31.3
GTEX-11NV4-0011-R5a-SM-5NQ88
60-69 years, male
30.8
GTEX-13OW8-0011-R5b-SM-5L3FQ
60-69 years, male
30.7
GTEX-14LLW-0011-R5b-SM-5ZZU6
70-79 years, female
30.7
GTEX-R55E-0011-R5A-SM-2TC5N
20-29 years, male
30.5
GTEX-X4XX-0011-R5A-SM-46MWN
60-69 years, male
30.5
GTEX-14PJO-0011-R5a-SM-6AJBZ
60-69 years, male
29.8
GTEX-13OW5-0011-R5b-SM-5L3FR
60-69 years, male
29.7
GTEX-17F97-0011-R5a-SM-7LG4Z
50-59 years, male
29.1
GTEX-14ABY-0011-R5b-SM-5SI7B
50-59 years, male
28.9
GTEX-PVOW-0011-R5A-SM-32PL7
40-49 years, male
28.9
GTEX-13OVL-0011-R5b-SM-5L3FU
50-59 years, male
28.2
GTEX-13FLW-0011-R5a-SM-5LZX6
50-59 years, male
28.1
GTEX-11OF3-0011-R5a-SM-57WB4
60-69 years, male
28.0
GTEX-13FLV-0011-R5a-SM-5LZWT
50-59 years, male
27.8
GTEX-15DCD-0011-R5a-SM-69LPC
70-79 years, female
27.6
GTEX-TSE9-0011-R5A-SM-3DB7J
60-69 years, female
27.6
GTEX-ZE9C-0011-R5a-SM-5EGLO
60-69 years, male
27.6
GTEX-14PQA-0011-R5b-SM-6AJC2
50-59 years, female
27.5
GTEX-UTHO-0011-R5A-SM-3GIJD
60-69 years, male
27.4
GTEX-12WSA-0011-R5b-SM-5GU5I
60-69 years, male
27.3
GTEX-13OVJ-0011-R5a-SM-5P9H7
50-59 years, female
27.2
GTEX-13S7M-0011-R5b-SM-5P9HS
60-69 years, female
27.2
GTEX-15G19-0011-R5b-SM-6M46P
60-69 years, male
26.9
GTEX-NPJ8-0011-R5a-SM-2HMJY
40-49 years, male
26.8
GTEX-T5JC-0011-R5A-SM-32PLK
20-29 years, male
26.7
GTEX-12WSF-0011-R5a-SM-5HL8K
70-79 years, male
26.5
GTEX-12WSM-0011-R5a-SM-5EQ4Y
60-69 years, male
26.4
GTEX-T2IS-0011-R5A-SM-32QP4
20-29 years, female
26.0
GTEX-13JVG-0011-R5a-SM-5MR4O
60-69 years, male
25.7
GTEX-14E6D-0011-R5b-SM-69LQR
50-59 years, male
25.6
GTEX-RVPV-0011-R5A-SM-2TF69
60-69 years, male
25.6
GTEX-13OW7-0011-R5b-SM-5O9DM
50-59 years, male
25.4
GTEX-NL4W-0011-R5a-SM-2I3GD
50-59 years, male
25.3
GTEX-13SLW-0011-R5b-SM-5SI6Z
70-79 years, male
25.0
GTEX-13OVH-0011-R5b-SM-5KM4L
70-79 years, male
24.9
GTEX-17HG3-0011-R5a-SM-7DUEW
30-39 years, female
24.8
GTEX-1B8L1-0011-R5a-SM-7DHN5
60-69 years, male
24.5
GTEX-13CZV-0011-R5a-SM-5K7XA
60-69 years, male
24.0
GTEX-14JG1-0011-R5a-SM-62LED
40-49 years, male
24.0
GTEX-Y8DK-0011-R5B-SM-4RTW6
60-69 years, male
24.0
GTEX-XMD1-0011-R5A-SM-4AT47
60-69 years, male
23.3
GTEX-15DDE-0011-R5b-SM-7KULJ
50-59 years, female
23.0
GTEX-14DAQ-0011-R5b-SM-5YYAK
60-69 years, female
22.6
GTEX-Z93S-0011-R5b-SM-4RGNI
50-59 years, male
21.8
GTEX-ZE7O-0011-R5a-SM-57WBO
50-59 years, female
21.4
GTEX-12ZZW-0011-R5a-SM-5DUVN
50-59 years, male
20.5
GTEX-X261-0011-R5A-SM-3NMB4
50-59 years, male
20.4
GTEX-1B8SF-0011-R5a-SM-79OOO
60-69 years, male
19.7
GTEX-17HHY-0011-R5b-SM-79OMZ
50-59 years, male
19.6
GTEX-YFC4-0011-R5a-SM-4RGLR
40-49 years, female
19.1
GTEX-13CIG-0011-R5b-SM-5L3F2
50-59 years, male
19.0
GTEX-14C39-0011-R5b-SM-5ZZV1
40-49 years, male
19.0
GTEX-14ASI-0011-R5b-SM-6EU2M
60-69 years, male
18.9
GTEX-NL3H-0011-R5a-SM-2I3GB
60-69 years, male
18.9
GTEX-ZF28-0011-R5a-SM-4WWCZ
60-69 years, male
18.9
GTEX-ZDXO-0011-R5a-SM-4WKG5
60-69 years, male
18.7
GTEX-12WSD-0011-R5b-SM-5CVNG
60-69 years, female
18.5
GTEX-QMR6-0011-R5A-SM-32PKT
50-59 years, male
18.5
GTEX-144GO-0011-R5a-SM-5PNUR
60-69 years, male
18.4
GTEX-12WSH-0011-R5b-SM-5P9F3
50-59 years, male
18.0
GTEX-PWO3-0011-R5A-SM-2I5EZ
60-69 years, female
17.8
GTEX-ZVZQ-0011-R5b-SM-57WDC
60-69 years, female
17.6
GTEX-QDT8-0011-R5A-SM-32PKN
30-39 years, female
17.5
GTEX-ZXG5-0011-R5b-SM-57WBN
60-69 years, male
16.9
GTEX-16NPV-0011-R5a-SM-7EPGK
50-59 years, female
16.1
GTEX-12ZZX-0011-R5a-SM-5HL89
40-49 years, female
15.8
GTEX-1A8G6-0011-R5b-SM-7IGQG
60-69 years, male
15.8
GTEX-18465-0011-R5a-SM-72D5J
50-59 years, male
15.7
GTEX-13PVQ-0011-R5b-SM-5O9DI
50-59 years, male
15.0
GTEX-14BIN-0011-R5b-SM-5SI78
50-59 years, female
14.4
GTEX-14LZ3-0011-R5b-SM-5ZZV8
60-69 years, female
14.3
GTEX-OXRN-0011-R5A-SM-2I5EF
50-59 years, male
13.9
GTEX-1445S-0011-R5a-SM-5PNUS
60-69 years, male
13.7
GTEX-139T8-0011-R5b-SM-5J1MO
60-69 years, male
13.6
GTEX-NPJ7-0011-R5a-SM-33HBK
60-69 years, female
12.7
GTEX-YJ89-0011-R5a-SM-4V6GM
60-69 years, male
12.7
GTEX-ZV68-0011-R5a-SM-4YCDW
50-59 years, female
12.4
GTEX-ZVT3-0011-R5a-SM-51MSI
60-69 years, female
12.4
GTEX-144GL-0011-R5b-SM-5PNUJ
50-59 years, male
12.3
GTEX-139TS-0011-R5b-SM-5J2MZ
60-69 years, male
11.8
GTEX-13PLJ-0011-R5a-SM-5O9BG
60-69 years, female
11.7
GTEX-13112-0011-R5b-SM-5DUV8
50-59 years, male
11.5
GTEX-11WQC-0011-R5a-SM-5BC74
60-69 years, male
11.2
GTEX-13PL6-0011-R5b-SM-5O9BI
40-49 years, female
10.4
GTEX-11UD1-0011-R5b-SM-5P9FP
40-49 years, female
10.0
GTEX-13IVO-0011-R5a-SM-5L3CY
70-79 years, male
9.8
GTEX-16Z82-0011-R5a-SM-7EPGB
60-69 years, male
9.6
GTEX-11TUW-0011-R5b-SM-5BC6Q
60-69 years, male
9.4
GTEX-13FHP-0011-R5b-SM-5LZY2
50-59 years, male
9.4
GTEX-183WM-0011-R5a-SM-718A4
70-79 years, female
9.2
GTEX-17EVQ-0011-R5a-SM-7LT92
70-79 years, male
9.1
GTEX-17MF6-0011-R5a-SM-731BA
40-49 years, male
8.9
GTEX-13CF2-0011-R5a-SM-5LZWS
60-69 years, male
8.2
GTEX-OXRO-0011-R5A-SM-2I5EG
60-69 years, female
8.0
GTEX-139TU-0011-R5b-SM-5L3E1
60-69 years, male
7.8
GTEX-1477Z-0011-R5b-SM-5PNUO
60-69 years, male
7.6
GTEX-S7PM-0011-R5A-SM-3NM8G
60-69 years, male
7.4
GTEX-13NZA-0011-R5b-SM-5KM4K
60-69 years, male
5.8
GTEX-145MG-0011-R5b-SM-5S2VU
50-59 years, male
5.6
GTEX-14753-0011-R5a-SM-5S2VW
60-69 years, male
4.0
Show allShow less
CAUDATE - FANTOM5 CAGEi
RNA expression in human tissues obtained through Cap Analysis of Gene Expression (CAGE) generated by the FANTOM5 project are reported as Scaled Tags Per Million.
Normal distribution across the dataset is visualized with box plots, shown as median and 25th and 75th percentiles. Points are displayed as outliers if they are above or below 1.5 times the interquartile range. pTPM values of the individual samples are presented next to the box plot.