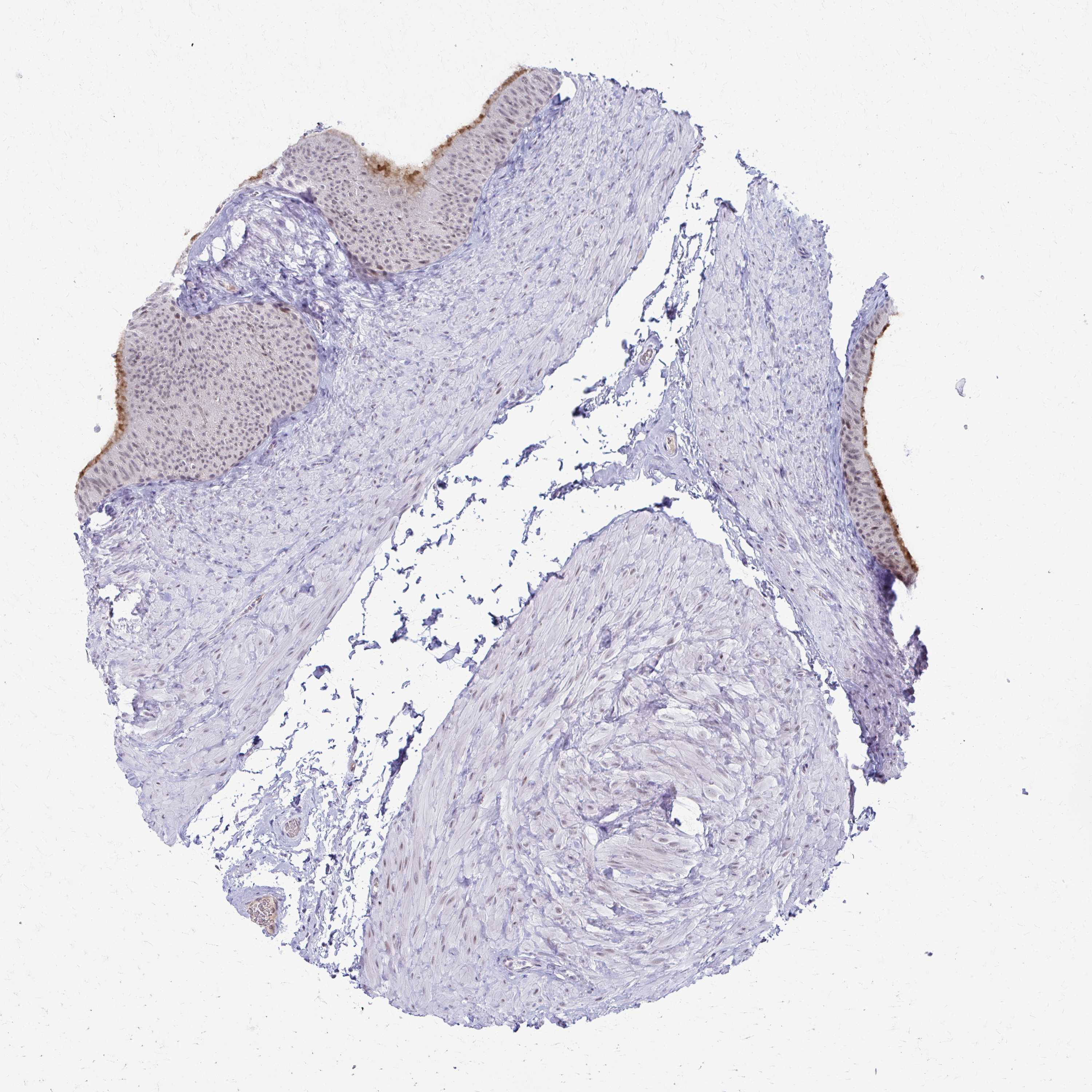
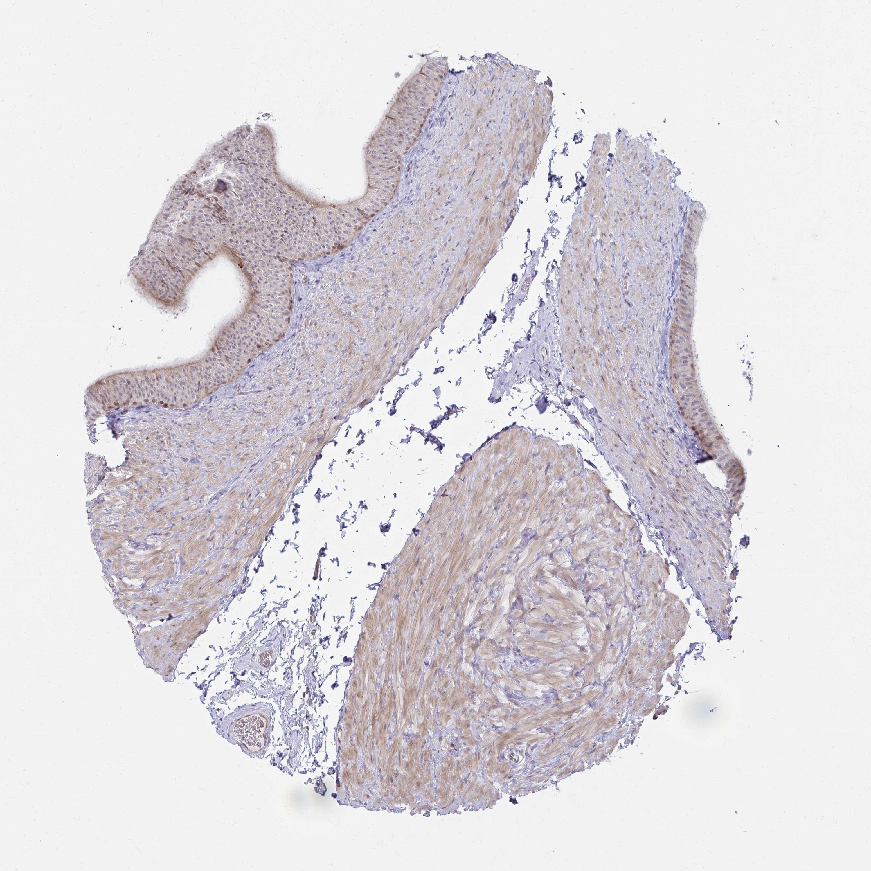
MAF1