We use cookies to enhance the usability of our website. If you continue, we'll assume that you are happy to receive all cookies. More information. Don't show this again.
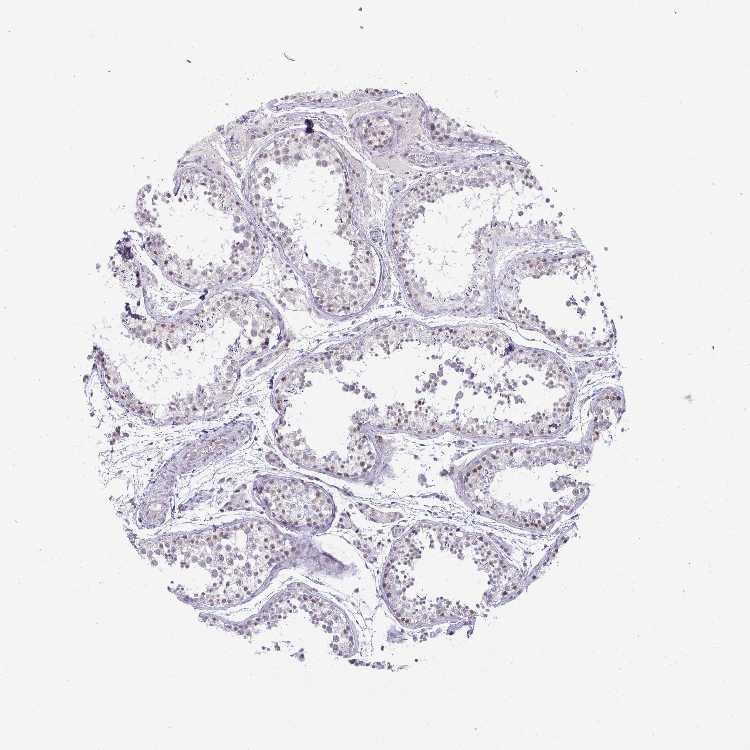
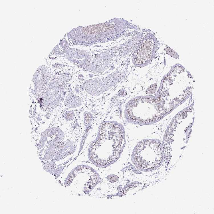
On the top, protein expression in current human tissue, based on all annotated cell types, is reported with the units not detected (n), low (l), medium (m) and high (h). Underneath, protein expression in each annotated cell type are reported using the same units.
Protein expression data is based on knowledge-based annotation. For genes where more than one antibody has been used, a collective score is set.
If knowledge-based annotation could not be performed for a gene, no data is displayed here. View antibody staining data further down this page.
A summary of mRNA expression data available for current tissue based on several datasets. The mRNA expression levels in human tissues are based on RNA-seq data generated by the Human Protein Atlas (HPA), Genotype-Tissue Expression (GTEx) portal and CAGE data generated by the FANTOM5 consortium. Consensus normalized expression (NX) levels for human tissues was created by combining the data from these three transcriptomics datasets (HPA, GTEx and FANTOM5).
The mRNA expression levels in pig are based on RNA-seq data generated by the Human Protein Atlas (HPA), and for mouse, HPA data and in situ hybridization generated by the Allen brain atlas are reported.
Scroll down to view mRNA expression data in more detail.
Antibody staining in the annotated cell types in the current human tissue is reported as not detected, low, medium, or high. This score is based on the staining intensity and fraction of stained cells.
The RNA-seq details section shows detailed information about the individual samples used for the transcript profiling and results of the RNA-seq analysis.
Information about each individual sample is listed below, including gender, age, a tissue section image and estimated fractions of cell types. pTPM (transcripts per million) values give a quantification of the gene abundance which is comparable between different genes and samples.
Cells in seminiferous ducts: 65 Other cell types: 35
Male, age 34
Testis sample 278 pTPM: 143.3
Cell types%
Cells in seminiferous ducts: 75 Other cell types: 25
Male, age 62
Testis sample 279 pTPM: 158.9
Cell types%
Cells in seminiferous ducts: 70 Other cell types: 30
Male, age 34
Testis sample 280 pTPM: 146.2
Cell types%
Cells in seminiferous ducts: 60 Other cell types: 40
Male, age 26
Testis sample 281 pTPM: 143.3
Cell types%
Cells in seminiferous ducts: 55 Other cell types: 45
Male, age 50
Testis sample 282 pTPM: 147.4
Cell types%
Cells in seminiferous ducts: 85 Other cell types: 15
Male, age 37
Testis sample 283 pTPM: 138.1
Cell types%
Cells in seminiferous ducts: 35 Other cell types: 65
Male, age 51
Testis sample 349 pTPM: 68.2
Cell types%
Cells in seminiferous ducts: 65 Other cell types: 35
Male, age 34
Testis sample 354 pTPM: 145
Cell types%
Cells in seminiferous ducts: 70 Other cell types: 30
Male, age 26
Testis sample 371 pTPM: 111.2
Cell types%
Cells in seminiferous ducts: 75 Other cell types: 25
TESTIS - GTEx RNA-seqi
RNA-Seq data generated by the Genotype-Tissue Expression (GTEx) project from human tissues is reported as average pTPM. More information can be found on the GTEx portal.
Distribution across the dataset is visualized with box plots, shown as median and 25th and 75th percentiles. Points are displayed as outliers if they are above or below 1.5 times the interquartile range. pTPM values of the individual samples are presented next to the box plot.
Max pTPM: 209.9
Min pTPM: 73.1
Std pTPM: 24.3
Median pTPM: 140.9
GTEX-11EQ8-1426-SM-5EGJR
60-69 years, male
209.9
GTEX-18465-1526-SM-7KFTV
50-59 years, male
191.8
GTEX-XQ3S-2726-SM-4BOP2
20-29 years, male
189.4
GTEX-13VXU-0726-SM-5J2O7
50-59 years, male
185.6
GTEX-RM2N-1326-SM-48FCW
50-59 years, male
183.8
GTEX-OHPM-2126-SM-3LK75
50-59 years, male
183.3
GTEX-WK11-0326-SM-4OOS6
50-59 years, male
180.9
GTEX-QEG4-0126-SM-48TZE
30-39 years, male
180.8
GTEX-1GMRU-0626-SM-7MKH2
50-59 years, male
180.5
GTEX-1C4CL-1926-SM-731DY
30-39 years, male
180.1
GTEX-11WQC-2326-SM-5EQKE
60-69 years, male
177.1
GTEX-145MO-0126-SM-5S2QU
60-69 years, male
177.0
GTEX-TKQ1-0926-SM-4DXU2
30-39 years, male
174.6
GTEX-ZAB5-2426-SM-5CVMW
50-59 years, male
173.9
GTEX-16YQH-1826-SM-6LPJW
30-39 years, male
172.5
GTEX-13112-0226-SM-5P9IV
50-59 years, male
171.6
GTEX-14C39-0526-SM-664OF
40-49 years, male
171.6
GTEX-144GM-0426-SM-5Q5C8
20-29 years, male
171.2
GTEX-S3XE-1526-SM-4AD5A
50-59 years, male
170.6
GTEX-T8EM-0126-SM-4DM5R
40-49 years, male
170.6
GTEX-WYJK-1826-SM-4ONDM
50-59 years, male
170.5
GTEX-U4B1-1526-SM-4DXSL
40-49 years, male
169.6
GTEX-XBED-2026-SM-4AT5D
60-69 years, male
169.3
GTEX-17MFQ-0826-SM-793C8
20-29 years, male
169.0
GTEX-ZVZP-2226-SM-57WBF
50-59 years, male
168.4
GTEX-13NYB-2226-SM-5MR58
40-49 years, male
168.3
GTEX-1AX9J-1226-SM-72D6P
60-69 years, male
168.3
GTEX-18A6Q-2626-SM-7KFT3
60-69 years, male
167.7
GTEX-ZVTK-0126-SM-57WDG
20-29 years, male
167.6
GTEX-WH7G-1926-SM-4LVMM
40-49 years, male
167.4
GTEX-17HHY-0726-SM-7IGM6
50-59 years, male
167.3
GTEX-OOBK-2126-SM-3LK5T
40-49 years, male
167.2
GTEX-11NV4-1726-SM-5N9FC
60-69 years, male
166.7
GTEX-PW2O-1426-SM-48TCD
20-29 years, male
166.6
GTEX-OIZH-2126-SM-3NB1P
50-59 years, male
166.3
GTEX-18A7B-1526-SM-7KFTH
70-79 years, male
165.7
GTEX-ZT9X-1426-SM-5DUX1
40-49 years, male
165.1
GTEX-15G19-1326-SM-6LPIR
60-69 years, male
164.2
GTEX-111CU-1726-SM-5EGHM
50-59 years, male
163.9
GTEX-14E6E-1026-SM-664N9
30-39 years, male
163.4
GTEX-1CB4G-2426-SM-7DUGM
60-69 years, male
163.2
GTEX-ZTSS-1526-SM-51MTC
40-49 years, male
162.1
GTEX-1B8KE-1426-SM-7EWEL
50-59 years, male
161.9
GTEX-SNMC-1026-SM-4DM7K
20-29 years, male
161.7
GTEX-13N1W-2626-SM-5IJEP
70-79 years, male
161.5
GTEX-14ABY-0626-SM-5Q5C9
50-59 years, male
160.9
GTEX-17KNJ-1126-SM-7KFT6
50-59 years, male
160.6
GTEX-WHSE-0426-SM-4M1XO
20-29 years, male
160.6
GTEX-R55D-0126-SM-48FEL
50-59 years, male
160.4
GTEX-UPJH-0126-SM-4IHLL
50-59 years, male
159.5
GTEX-12WSL-2326-SM-5DUXQ
50-59 years, male
159.0
GTEX-13FHP-2826-SM-5IJFW
50-59 years, male
158.9
GTEX-13NZB-2026-SM-5MR4M
30-39 years, male
158.9
GTEX-111VG-1926-SM-5GIDO
60-69 years, male
157.9
GTEX-Y111-2426-SM-4TT23
50-59 years, male
157.9
GTEX-14PJ2-2026-SM-6AJAQ
50-59 years, male
157.8
GTEX-14DAR-1126-SM-793AT
50-59 years, male
156.9
GTEX-13N2G-0126-SM-5N9DV
60-69 years, male
156.3
GTEX-Q2AI-1226-SM-48U14
40-49 years, male
155.9
GTEX-13NZA-2526-SM-5IJFX
60-69 years, male
155.5
GTEX-XBEC-0126-SM-4GIDT
50-59 years, male
155.5
GTEX-S95S-1126-SM-4B64E
60-69 years, male
155.3
GTEX-V955-1926-SM-4KL1L
60-69 years, male
154.8
GTEX-ZA64-1626-SM-5CVME
20-29 years, male
154.7
GTEX-132QS-1226-SM-5P9GD
60-69 years, male
154.6
GTEX-N7MS-0126-SM-3TW8O
60-69 years, male
154.4
GTEX-1AX9K-1826-SM-731CY
50-59 years, male
154.3
GTEX-OOBJ-2126-SM-3NB1N
60-69 years, male
153.5
GTEX-U3ZH-1526-SM-4DXV1
30-39 years, male
153.5
GTEX-U3ZM-1626-SM-4DXSK
40-49 years, male
153.5
GTEX-11OF3-1826-SM-5987N
60-69 years, male
153.0
GTEX-131XE-0426-SM-5IJF4
50-59 years, male
153.0
GTEX-S7SE-0326-SM-4AT5Q
50-59 years, male
153.0
GTEX-1A3MV-0726-SM-72D5M
30-39 years, male
152.9
GTEX-VJYA-1426-SM-4KL1Y
60-69 years, male
152.8
GTEX-S4Q7-1226-SM-4AD5I
20-29 years, male
152.6
GTEX-X261-2326-SM-4PQYU
50-59 years, male
152.6
GTEX-145MH-2326-SM-5O9AW
50-59 years, male
152.4
GTEX-11ZUS-2726-SM-5FQUA
30-39 years, male
152.0
GTEX-ZV7C-2026-SM-5NQ8F
50-59 years, male
151.9
GTEX-17HHE-1226-SM-793C6
50-59 years, male
151.5
GTEX-NFK9-0126-SM-3LK5H
40-49 years, male
151.1
GTEX-11EI6-2226-SM-5EGJM
60-69 years, male
150.7
GTEX-11DXZ-2126-SM-59881
50-59 years, male
150.6
GTEX-117XS-2026-SM-5GID1
60-69 years, male
150.5
GTEX-11EQ9-1926-SM-5PNVV
30-39 years, male
150.4
GTEX-YJ89-0626-SM-4TT3Z
60-69 years, male
149.9
GTEX-REY6-0126-SM-48FDT
60-69 years, male
149.7
GTEX-13OW5-2526-SM-5L3I1
60-69 years, male
149.4
GTEX-15SHV-1926-SM-6LPI1
60-69 years, male
149.0
GTEX-XLM4-1526-SM-4AT6D
60-69 years, male
149.0
GTEX-T6MN-2026-SM-4DM7L
50-59 years, male
148.9
GTEX-1C64O-2126-SM-7IGPB
60-69 years, male
148.7
GTEX-SNOS-1126-SM-4DM67
40-49 years, male
148.3
GTEX-1EU9M-1626-SM-7EWF2
60-69 years, male
147.8
GTEX-11GS4-2026-SM-5N9CP
60-69 years, male
147.7
GTEX-15RIF-1826-SM-6M469
20-29 years, male
147.6
GTEX-1B8SF-2926-SM-731DL
60-69 years, male
147.5
GTEX-R55E-0726-SM-48FCZ
20-29 years, male
147.5
GTEX-11LCK-2326-SM-5HL53
30-39 years, male
147.2
GTEX-P4QS-2126-SM-3NMCF
60-69 years, male
147.2
GTEX-S7PM-0626-SM-4AD4Q
60-69 years, male
147.1
GTEX-139TT-2226-SM-5LZWO
60-69 years, male
147.0
GTEX-1AX9I-1826-SM-72D5I
60-69 years, male
146.7
GTEX-WVLH-2626-SM-4MVNV
50-59 years, male
146.5
GTEX-111YS-2026-SM-5EGGL
60-69 years, male
146.2
GTEX-11NSD-1026-SM-5N9BE
20-29 years, male
146.0
GTEX-TKQ2-1526-SM-4DXUN
50-59 years, male
145.9
GTEX-YFCO-1726-SM-4W21S
40-49 years, male
145.7
GTEX-S33H-0126-SM-4AD62
30-39 years, male
145.3
GTEX-YEC4-1526-SM-4W1YU
40-49 years, male
145.3
GTEX-WZTO-0326-SM-4PQYZ
40-49 years, male
145.0
GTEX-ZT9W-2226-SM-57WFU
50-59 years, male
144.7
GTEX-X3Y1-2626-SM-4PQZI
40-49 years, male
144.5
GTEX-13OVL-0426-SM-5IFG6
50-59 years, male
144.2
GTEX-X5EB-2026-SM-4E3KA
40-49 years, male
144.0
GTEX-R55C-1426-SM-48FED
40-49 years, male
143.3
GTEX-QLQW-1026-SM-447A9
30-39 years, male
143.1
GTEX-1399R-1626-SM-5P9GG
30-39 years, male
142.8
GTEX-Z93S-1726-SM-5HL8G
50-59 years, male
142.2
GTEX-ZDYS-1326-SM-5IJFF
50-59 years, male
142.2
GTEX-WOFM-1126-SM-4OOSB
20-29 years, male
141.8
GTEX-1BAJH-0726-SM-7IGMF
70-79 years, male
141.6
GTEX-144GN-1626-SM-5Q5BU
50-59 years, male
141.4
GTEX-14E1K-1926-SM-73KWS
50-59 years, male
141.3
GTEX-13FLW-2126-SM-5N9FD
50-59 years, male
141.1
GTEX-ZYT6-2726-SM-5GICP
30-39 years, male
141.1
GTEX-1C6VR-1526-SM-7MKG9
60-69 years, male
141.0
GTEX-13O61-2026-SM-5J2M6
60-69 years, male
140.9
GTEX-OXRL-2126-SM-3NM98
50-59 years, male
140.9
GTEX-1B996-2326-SM-731EC
60-69 years, male
140.8
GTEX-17MF6-2726-SM-7IGMZ
40-49 years, male
140.7
GTEX-O5YT-2126-SM-3MJGD
20-29 years, male
140.5
GTEX-14PJ4-1726-SM-664OC
60-69 years, male
140.4
GTEX-17HII-0126-SM-7KFSS
50-59 years, male
139.5
GTEX-147JS-0126-SM-5S2TW
60-69 years, male
139.3
GTEX-Q2AH-1526-SM-48TZG
40-49 years, male
139.2
GTEX-YEC3-1726-SM-5IFIK
50-59 years, male
138.7
GTEX-ZYFC-0126-SM-5GIEH
50-59 years, male
138.6
GTEX-QV31-1126-SM-4R1K4
30-39 years, male
138.5
GTEX-16AAH-1626-SM-7EWE2
50-59 years, male
138.0
GTEX-RUSQ-2126-SM-47JXK
50-59 years, male
137.9
GTEX-1E1VI-1026-SM-7MKGQ
50-59 years, male
137.4
GTEX-14BIL-2226-SM-73KWF
50-59 years, male
137.2
GTEX-NPJ8-1226-SM-3MJHM
40-49 years, male
137.1
GTEX-14B4R-1026-SM-5TDDS
30-39 years, male
136.9
GTEX-12WSH-0326-SM-5GCNH
50-59 years, male
136.8
GTEX-1F6IF-0526-SM-7MKHD
60-69 years, male
136.5
GTEX-QV44-1726-SM-4R1KG
50-59 years, male
136.3
GTEX-17GQL-1726-SM-718B8
60-69 years, male
135.9
GTEX-139T6-1226-SM-5IFFC
50-59 years, male
135.6
GTEX-18A67-1826-SM-7KFT7
50-59 years, male
135.6
GTEX-1AYCT-1026-SM-79ONR
50-59 years, male
135.5
GTEX-14C5O-2326-SM-73KYU
60-69 years, male
135.3
GTEX-1C64N-2826-SM-7IGP5
50-59 years, male
134.7
GTEX-13OVK-2226-SM-6LPJY
40-49 years, male
134.6
GTEX-ZZ64-1126-SM-5GZXY
20-29 years, male
134.6
GTEX-15RIE-0626-SM-6M47G
60-69 years, male
134.5
GTEX-U8XE-0126-SM-4E3I3
30-39 years, male
134.3
GTEX-15SKB-0326-SM-6M477
60-69 years, male
133.5
GTEX-ZUA1-2726-SM-59HLJ
40-49 years, male
133.3
GTEX-18A66-0726-SM-72D77
60-69 years, male
133.2
GTEX-V1D1-2126-SM-4JBH4
50-59 years, male
133.1
GTEX-QLQ7-1426-SM-4R1JX
60-69 years, male
133.0
GTEX-11O72-0726-SM-5P9GO
40-49 years, male
132.6
GTEX-14A6H-2326-SM-5Q5B5
30-39 years, male
132.3
GTEX-144GL-0726-SM-5LU4P
50-59 years, male
132.1
GTEX-ZDTT-2026-SM-5K7TY
60-69 years, male
132.1
GTEX-XGQ4-2026-SM-4AT6G
50-59 years, male
131.8
GTEX-16Z82-2726-SM-7KULV
60-69 years, male
131.5
GTEX-XMK1-2026-SM-4B65K
40-49 years, male
131.5
GTEX-1212Z-0326-SM-5FQSJ
60-69 years, male
131.2
GTEX-18QFQ-1926-SM-72D5H
30-39 years, male
131.0
GTEX-139TS-1726-SM-5IJG5
60-69 years, male
130.8
GTEX-14753-0626-SM-5Q5CY
60-69 years, male
130.8
GTEX-117YW-1526-SM-5EGGP
50-59 years, male
130.7
GTEX-PLZ5-1526-SM-3P5ZX
50-59 years, male
130.7
GTEX-183FY-1926-SM-7KFRI
20-29 years, male
130.6
GTEX-YF7O-2026-SM-4W1YE
50-59 years, male
130.6
GTEX-XPT6-1626-SM-4B655
20-29 years, male
130.1
GTEX-12WSI-2126-SM-5GCMV
50-59 years, male
130.0
GTEX-13O1R-0726-SM-5IJEI
60-69 years, male
128.3
GTEX-145LT-0426-SM-5LUAP
40-49 years, male
128.1
GTEX-YB5E-1926-SM-5IFIG
40-49 years, male
128.1
GTEX-ZLFU-2026-SM-4WWG2
40-49 years, male
126.8
GTEX-RWSA-2426-SM-47JXR
40-49 years, male
126.7
GTEX-17HGU-0726-SM-7DUFN
50-59 years, male
126.6
GTEX-1EKGG-2726-SM-79OOD
60-69 years, male
126.1
GTEX-13OW6-0126-SM-5IJGM
50-59 years, male
125.3
GTEX-1399T-1526-SM-5P9J6
60-69 years, male
125.0
GTEX-PLZ6-1226-SM-3P5ZS
30-39 years, male
124.8
GTEX-117YX-2026-SM-5GIEF
50-59 years, male
124.4
GTEX-13O21-1226-SM-5J2MK
50-59 years, male
124.2
GTEX-RN64-2326-SM-48FDW
50-59 years, male
124.1
GTEX-WFG8-1926-SM-4LVM1
20-29 years, male
124.1
GTEX-18D9B-2726-SM-72D73
60-69 years, male
123.3
GTEX-12ZZY-0126-SM-5LZV2
60-69 years, male
123.2
GTEX-QMRM-1526-SM-4R1K6
50-59 years, male
122.5
GTEX-XAJ8-1326-SM-47JYT
40-49 years, male
122.5
GTEX-147GR-0626-SM-5S2PK
60-69 years, male
122.0
GTEX-1CB4I-0926-SM-7MKFY
50-59 years, male
121.7
GTEX-ZTX8-1126-SM-51MRM
20-29 years, male
121.7
GTEX-11NUK-2626-SM-5A5MB
50-59 years, male
121.2
GTEX-1E2YA-2826-SM-7EPIN
50-59 years, male
120.6
GTEX-Y5V6-1726-SM-4VDSZ
60-69 years, male
120.3
GTEX-12696-0226-SM-5EGL3
60-69 years, male
120.1
GTEX-1CAMR-1526-SM-79OLP
20-29 years, male
119.9
GTEX-XPVG-2226-SM-4B65U
50-59 years, male
119.8
GTEX-T5JC-0726-SM-4DM55
20-29 years, male
119.6
GTEX-15RJ7-1826-SM-7KUMJ
40-49 years, male
118.7
GTEX-ZPU1-2126-SM-57WED
40-49 years, male
117.4
GTEX-14A5H-0626-SM-5TDCO
60-69 years, male
117.2
GTEX-17F9E-1626-SM-7EWDB
50-59 years, male
117.1
GTEX-13111-1526-SM-5EGJX
50-59 years, male
117.0
GTEX-11TT1-2226-SM-5GU6B
20-29 years, male
116.3
GTEX-12WSM-1326-SM-5GCP9
60-69 years, male
116.2
GTEX-14C38-0126-SM-5YY9V
50-59 years, male
116.2
GTEX-U8T8-1126-SM-4DXUE
60-69 years, male
116.1
GTEX-11TUW-2226-SM-5EQL9
60-69 years, male
115.7
GTEX-14PJ3-1626-SM-664O5
50-59 years, male
114.2
GTEX-ZQUD-2026-SM-51MSM
30-39 years, male
113.7
GTEX-14PJN-1626-SM-68727
30-39 years, male
112.0
GTEX-QEG5-0126-SM-4R1JR
20-29 years, male
111.9
GTEX-16XZZ-0626-SM-6M47T
60-69 years, male
111.6
GTEX-S4Z8-2126-SM-4AD5H
60-69 years, male
110.5
GTEX-WFON-2026-SM-4LVMW
40-49 years, male
110.3
GTEX-16MTA-1126-SM-6LPJA
50-59 years, male
110.1
GTEX-11P82-1526-SM-5BC5M
20-29 years, male
109.6
GTEX-11P7K-1026-SM-5HL6Y
30-39 years, male
107.8
GTEX-11DXY-0226-SM-5H123
60-69 years, male
107.5
GTEX-13OVH-0726-SM-5N9BU
70-79 years, male
106.4
GTEX-14E7W-0726-SM-664OK
70-79 years, male
105.1
GTEX-13FTW-1326-SM-5LZZD
40-49 years, male
104.0
GTEX-11ONC-2226-SM-5HL6D
60-69 years, male
103.4
GTEX-12C56-1426-SM-5FQSW
20-29 years, male
102.8
GTEX-13QJ3-0226-SM-5S2PU
50-59 years, male
102.4
GTEX-Y9LG-1726-SM-4VBQE
30-39 years, male
101.9
GTEX-Y3I4-2026-SM-4TT6Z
50-59 years, male
99.8
GTEX-WHSB-2126-SM-4M1XF
50-59 years, male
99.4
GTEX-12BJ1-1326-SM-5BC5P
60-69 years, male
99.1
GTEX-145MF-1726-SM-5LU9H
50-59 years, male
98.1
GTEX-Y8E4-2226-SM-5LU94
40-49 years, male
97.4
GTEX-111FC-1926-SM-5GZYC
60-69 years, male
96.7
GTEX-WY7C-2226-SM-4ONCS
50-59 years, male
95.8
GTEX-ZAB4-0126-SM-5CVMG
40-49 years, male
94.9
GTEX-1339X-1926-SM-5PNVP
40-49 years, male
92.0
GTEX-OIZI-0126-SM-3NB13
40-49 years, male
92.0
GTEX-1C6VS-1126-SM-7EWEW
60-69 years, male
87.9
GTEX-17F97-2726-SM-7IGQ4
50-59 years, male
85.8
GTEX-1B8KZ-1826-SM-73KVJ
50-59 years, male
85.5
GTEX-1C6VQ-1426-SM-73KTW
50-59 years, male
84.5
GTEX-14PHX-1426-SM-69LPP
50-59 years, male
84.2
GTEX-1CB4J-1626-SM-79OOK
60-69 years, male
83.9
GTEX-1A3MX-1026-SM-731F8
60-69 years, male
83.5
GTEX-13OW8-0526-SM-5KM24
60-69 years, male
82.7
GTEX-147F4-0626-SM-5LUAK
50-59 years, male
81.1
GTEX-148VJ-2526-SM-5TDEI
70-79 years, male
80.6
GTEX-1AX8Z-2826-SM-73KTZ
60-69 years, male
78.4
GTEX-WVJS-2726-SM-4MVNU
50-59 years, male
73.1
Show allShow less
TESTIS - FANTOM5 CAGEi
RNA expression in human tissues obtained through Cap Analysis of Gene Expression (CAGE) generated by the FANTOM5 project are reported as Scaled Tags Per Million.