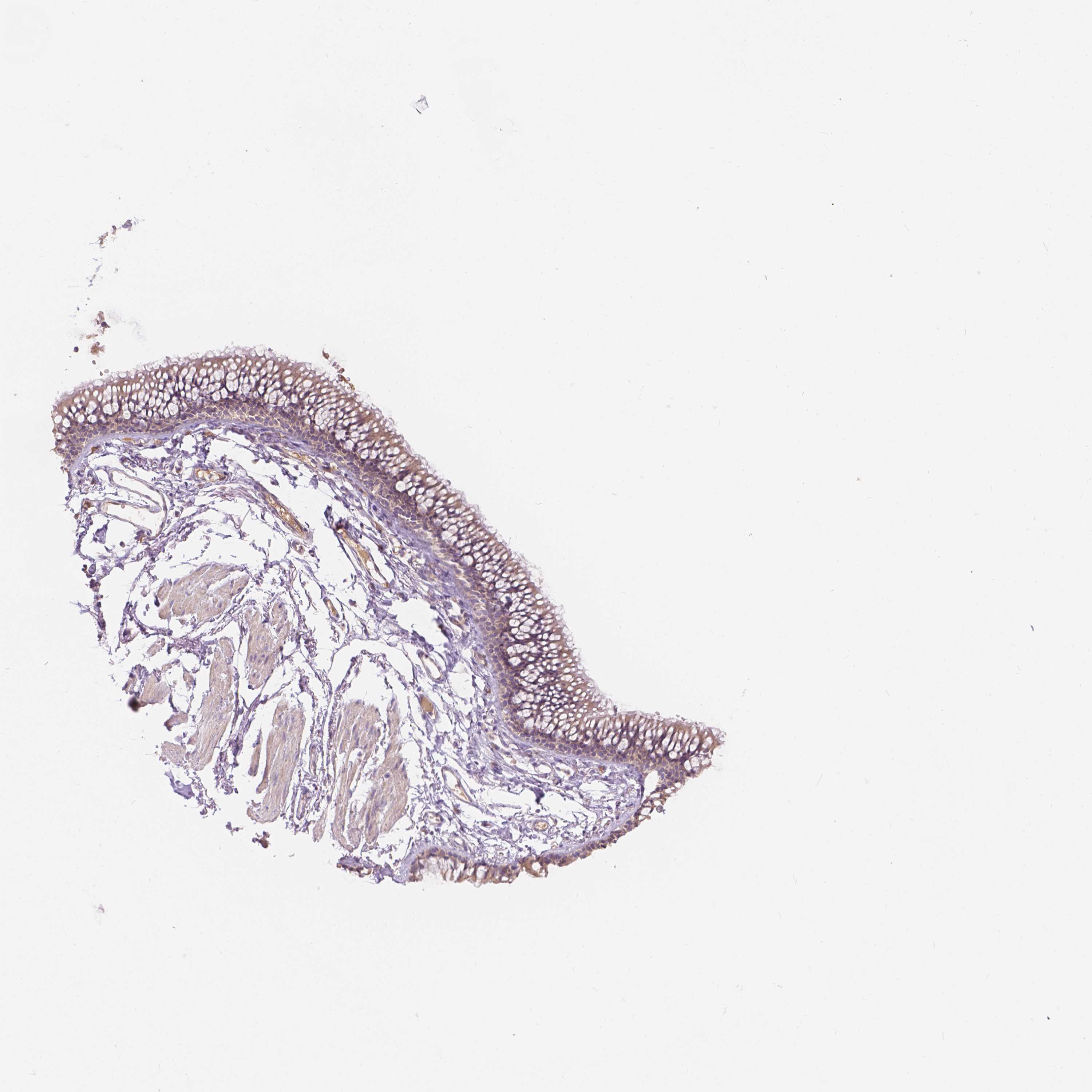
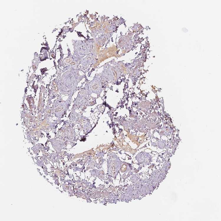
CDK10