We use cookies to enhance the usability of our website. If you continue, we'll assume that you are happy to receive all cookies. More information. Don't show this again.
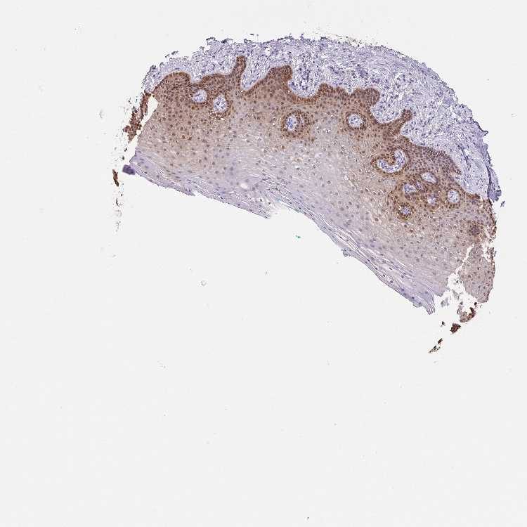
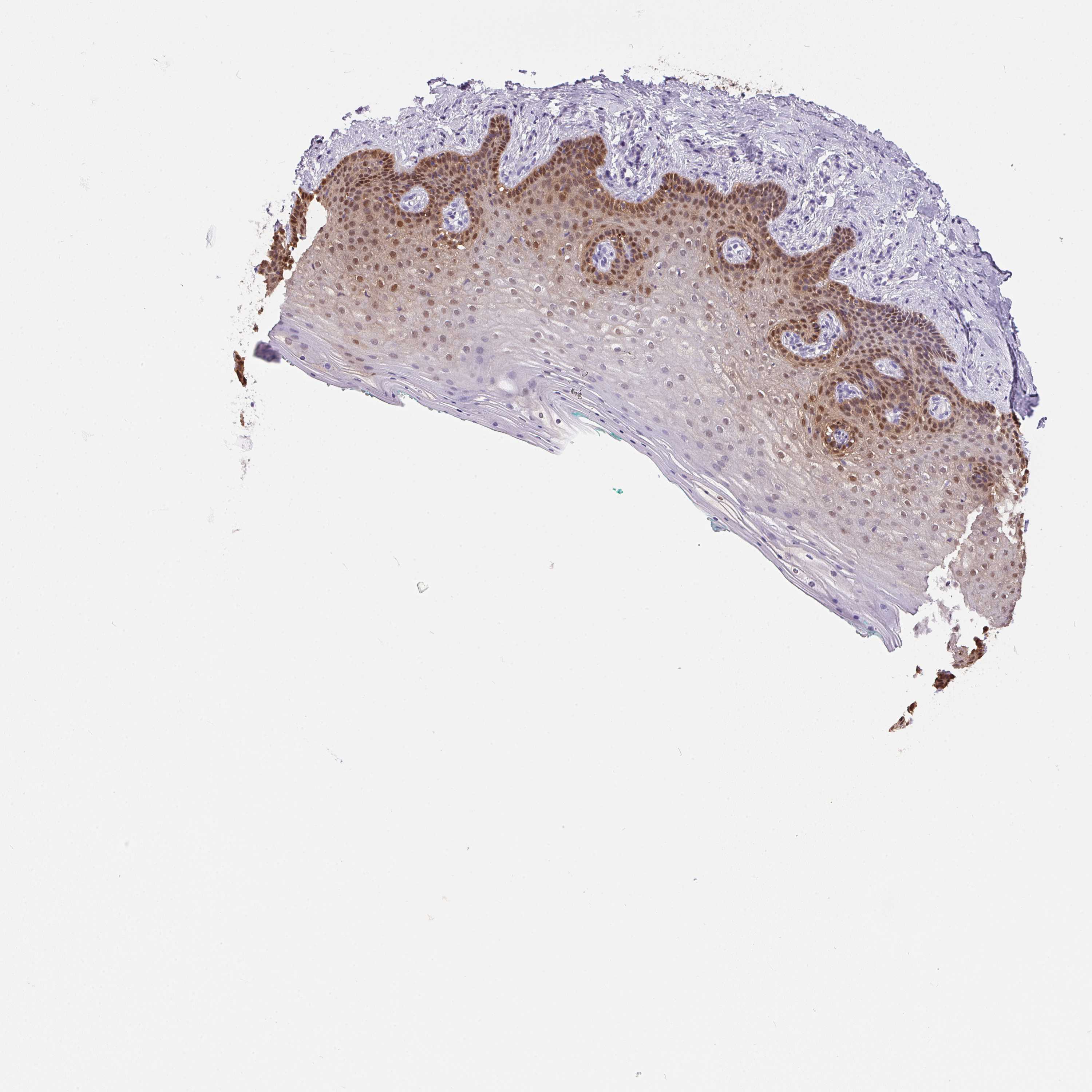
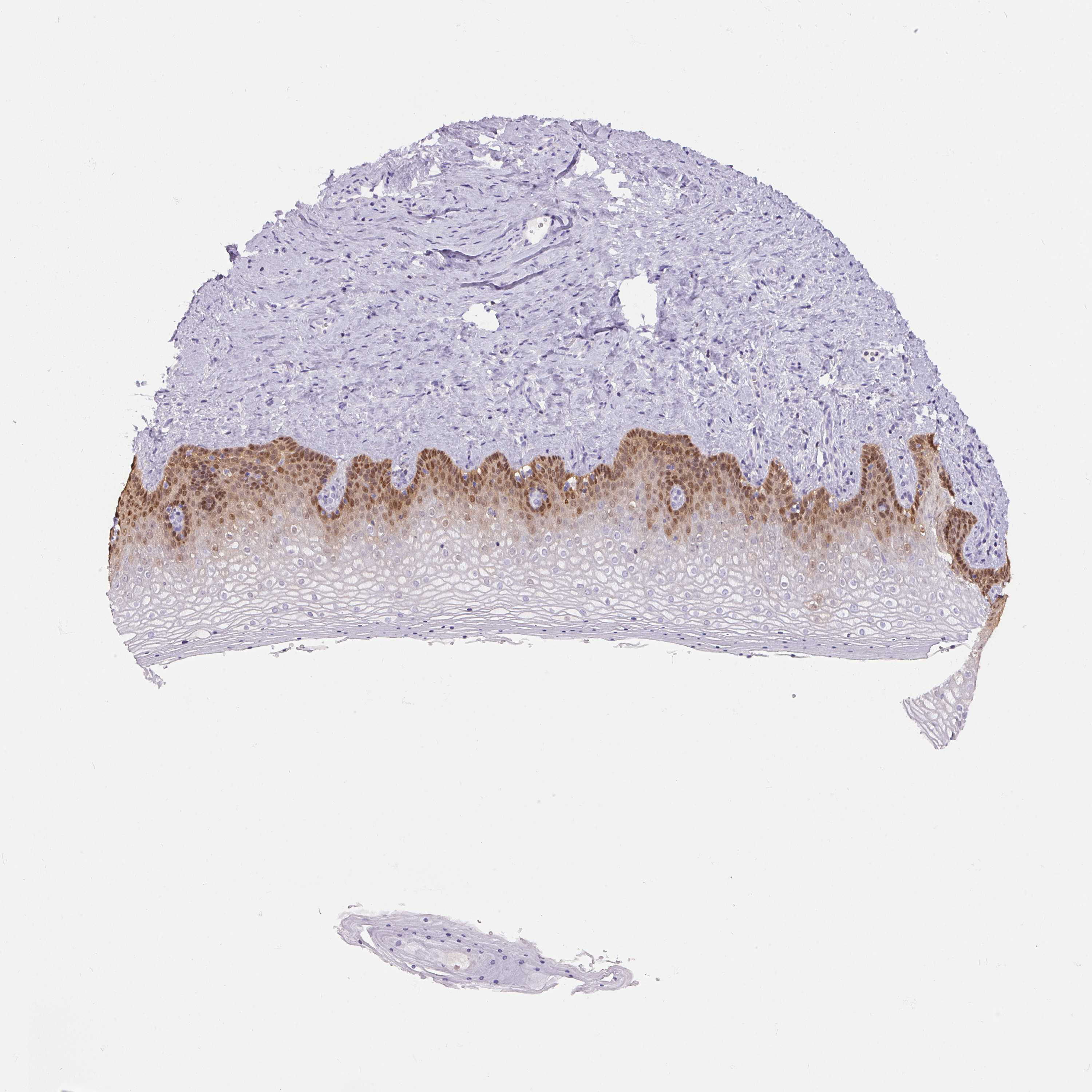
On the top, protein expression in current human tissue, based on all annotated cell types, is reported with the units not detected (n), low (l), medium (m) and high (h). Underneath, protein expression in each annotated cell type are reported using the same units.
Protein expression data is based on knowledge-based annotation. For genes where more than one antibody has been used, a collective score is set.
If knowledge-based annotation could not be performed for a gene, no data is displayed here. View antibody staining data further down this page.
A summary of mRNA expression data available for current tissue based on several datasets. The mRNA expression levels in human tissues are based on RNA-seq data generated by the Human Protein Atlas (HPA), Genotype-Tissue Expression (GTEx) portal and CAGE data generated by the FANTOM5 consortium. Consensus normalized expression (NX) levels for human tissues was created by combining the data from these three transcriptomics datasets (HPA, GTEx and FANTOM5).
The mRNA expression levels in pig are based on RNA-seq data generated by the Human Protein Atlas (HPA), and for mouse, HPA data and in situ hybridization generated by the Allen brain atlas are reported.
Scroll down to view mRNA expression data in more detail.
Antibody staining in the annotated cell types in the current human tissue is reported as not detected, low, medium, or high. This score is based on the staining intensity and fraction of stained cells.
RNA-Seq data generated by the Genotype-Tissue Expression (GTEx) project from human tissues is reported as average pTPM. More information can be found on the GTEx portal.
Distribution across the dataset is visualized with box plots, shown as median and 25th and 75th percentiles. Points are displayed as outliers if they are above or below 1.5 times the interquartile range. pTPM values of the individual samples are presented next to the box plot.
Max pTPM: 8629.3
Min pTPM: 0.5
Std pTPM: 1038.7
Median pTPM: 694.2
GTEX-14JG6-0726-SM-69LQH
30-39 years, female
8629.3
GTEX-11EMC-1926-SM-5A5JU
60-69 years, female
3613.0
GTEX-18D9A-1026-SM-7KFRU
30-39 years, female
3216.5
GTEX-X8HC-2826-SM-46MWJ
50-59 years, female
2949.1
GTEX-ZLWG-1126-SM-4WWFQ
50-59 years, female
2669.7
GTEX-131XG-2126-SM-5DUXG
50-59 years, female
2431.9
GTEX-14PJ6-1626-SM-6872D
60-69 years, female
2353.4
GTEX-ZZPU-2226-SM-5EGIV
50-59 years, female
1959.7
GTEX-ZYY3-2626-SM-5N9DH
60-69 years, female
1823.4
GTEX-14BMU-1926-SM-5S2QC
20-29 years, female
1709.7
GTEX-U3ZN-0926-SM-4DXTU
30-39 years, female
1697.5
GTEX-ZTPG-2226-SM-57WF9
20-29 years, female
1696.4
GTEX-1A8FM-2426-SM-7IGPE
50-59 years, female
1614.3
GTEX-11DXX-1726-SM-5H11T
60-69 years, female
1590.4
GTEX-18A7A-2826-SM-7LT8J
50-59 years, female
1564.9
GTEX-PWCY-1726-SM-48TD3
20-29 years, female
1538.1
GTEX-16NPV-2526-SM-6M483
50-59 years, female
1532.6
GTEX-ZP4G-0826-SM-4WWF3
20-29 years, female
1495.5
GTEX-11XUK-1326-SM-5EQM4
40-49 years, female
1494.6
GTEX-15SDE-1726-SM-6LPJS
50-59 years, female
1483.0
GTEX-11TTK-2726-SM-5GU58
60-69 years, female
1436.1
GTEX-146FH-2626-SM-5Q5E1
50-59 years, female
1435.3
GTEX-ZVT2-0626-SM-5GICR
50-59 years, female
1379.4
GTEX-S341-1226-SM-4AD5S
40-49 years, female
1365.1
GTEX-11VI4-0726-SM-5GU5B
40-49 years, female
1333.0
GTEX-S7SF-1426-SM-4AT5A
20-29 years, female
1331.0
GTEX-13QBU-1726-SM-5IJFQ
40-49 years, female
1321.6
GTEX-P78B-2226-SM-3P5ZZ
40-49 years, female
1310.0
GTEX-OHPK-2526-SM-3MJH9
50-59 years, female
1305.4
GTEX-TMMY-1926-SM-4DXUU
40-49 years, female
1286.2
GTEX-1CAMS-2326-SM-793CR
40-49 years, female
1275.2
GTEX-QVJO-2526-SM-4R1KB
60-69 years, female
1274.0
GTEX-1AMFI-1526-SM-73KVY
50-59 years, female
1265.3
GTEX-16NGA-1626-SM-72D6M
40-49 years, female
1247.8
GTEX-1117F-2526-SM-5GZY6
60-69 years, female
1246.1
GTEX-QCQG-1226-SM-48U23
50-59 years, female
1243.4
GTEX-1C475-0526-SM-793AC
40-49 years, female
1232.3
GTEX-11I78-2026-SM-5987C
50-59 years, female
1197.1
GTEX-15SHU-2926-SM-7KUKT
40-49 years, female
1191.2
GTEX-15SB6-1426-SM-7KUEM
50-59 years, female
1115.9
GTEX-14PN3-1626-SM-6AJAV
60-69 years, female
1105.7
GTEX-14A5I-2726-SM-5SIB3
50-59 years, female
1087.6
GTEX-11P81-2126-SM-5HL6N
30-39 years, female
1077.7
GTEX-1399S-2326-SM-5K7YV
30-39 years, female
1026.3
GTEX-T2IS-1926-SM-4DM74
20-29 years, female
1022.6
GTEX-13D11-1326-SM-5IJFY
50-59 years, female
998.2
GTEX-NL3G-2526-SM-4SOIE
60-69 years, female
954.6
GTEX-SE5C-1126-SM-4BRWZ
40-49 years, female
953.1
GTEX-113JC-1926-SM-5N9GE
50-59 years, female
926.4
GTEX-XUW1-0326-SM-4BOOR
50-59 years, female
837.5
GTEX-YJ8O-1226-SM-5P9JE
40-49 years, female
815.3
GTEX-14H4A-2426-SM-664OQ
40-49 years, female
811.2
GTEX-N7MT-1926-SM-3LK5N
60-69 years, female
798.1
GTEX-1399U-1526-SM-5J2N7
50-59 years, female
761.0
GTEX-17F9Y-2326-SM-7DUFP
70-79 years, female
751.1
GTEX-ZC5H-2226-SM-4WAWS
40-49 years, female
701.4
GTEX-15ER7-2526-SM-7KUFW
20-29 years, female
699.2
GTEX-Y3IK-2226-SM-4YCD4
50-59 years, female
694.2
GTEX-13U4I-2026-SM-5LU3L
40-49 years, female
662.0
GTEX-PX3G-2526-SM-48TZV
20-29 years, female
644.2
GTEX-14PJM-2926-SM-69LOE
50-59 years, female
602.6
GTEX-14PKU-1326-SM-6871B
40-49 years, female
588.3
GTEX-ZXES-0626-SM-5E45P
30-39 years, female
578.8
GTEX-WYVS-1426-SM-4ONCV
40-49 years, female
557.0
GTEX-TML8-1126-SM-4DXSS
40-49 years, female
551.6
GTEX-QDT8-2526-SM-48TYX
30-39 years, female
546.1
GTEX-T6MO-1226-SM-4DM5S
40-49 years, female
537.6
GTEX-X15G-1926-SM-4PQZQ
50-59 years, female
509.2
GTEX-S4P3-1126-SM-4AD52
50-59 years, female
501.6
GTEX-13QIC-1826-SM-5J1MY
60-69 years, female
488.8
GTEX-15DYW-2926-SM-6PANA
60-69 years, female
453.7
GTEX-ZYVF-0326-SM-5GIES
50-59 years, female
420.6
GTEX-Y8LW-1426-SM-5RQJJ
50-59 years, female
419.7
GTEX-PWN1-2526-SM-48TDS
40-49 years, female
400.9
GTEX-15DCZ-2326-SM-6AJB1
20-29 years, female
358.0
GTEX-13PL7-2726-SM-5L3GB
60-69 years, female
345.9
GTEX-13PVR-1426-SM-5S2PW
60-69 years, female
320.6
GTEX-ZE7O-2426-SM-57WD7
50-59 years, female
314.5
GTEX-XV7Q-1626-SM-4BRWC
40-49 years, female
306.5
GTEX-TSE9-2526-SM-4DXUS
60-69 years, female
282.8
GTEX-145ME-1426-SM-5RQJS
40-49 years, female
272.0
GTEX-146FR-2426-SM-5NQAU
60-69 years, female
250.1
GTEX-ZGAY-2226-SM-4YCCX
40-49 years, female
238.8
GTEX-RWS6-1726-SM-47JXP
60-69 years, female
206.2
GTEX-OHPL-2526-SM-3MJGT
60-69 years, female
203.9
GTEX-P4PP-2526-SM-3P61P
30-39 years, female
190.2
GTEX-17JCI-2526-SM-7DHLB
60-69 years, female
166.1
GTEX-131YS-2426-SM-5J2OD
60-69 years, female
129.2
GTEX-PLZ4-2726-SM-3P61A
50-59 years, female
123.5
GTEX-183WM-2126-SM-7LG4I
70-79 years, female
113.2
GTEX-ZVT3-2726-SM-5GU5X
60-69 years, female
101.8
GTEX-14DAQ-2326-SM-5S2QX
60-69 years, female
43.4
GTEX-UJHI-1326-SM-4IHJO
50-59 years, female
19.4
GTEX-WEY5-0826-SM-4LMIH
40-49 years, female
9.7
GTEX-15UF6-2126-SM-6M46Z
70-79 years, female
8.5
GTEX-1EWIQ-2326-SM-7IGNF
70-79 years, female
8.3
GTEX-145LS-2526-SM-5TDC9
60-69 years, female
6.6
GTEX-W5WG-1026-SM-4LMIF
50-59 years, female
6.0
GTEX-147F3-1526-SM-5SIAK
50-59 years, female
5.4
GTEX-WRHU-2926-SM-4MVNQ
50-59 years, female
5.3
GTEX-ZV6S-1326-SM-59HJA
40-49 years, female
5.3
GTEX-12WSD-2926-SM-5LZUH
60-69 years, female
5.2
GTEX-Q734-1426-SM-48TZQ
40-49 years, female
5.1
GTEX-RU1J-1426-SM-46MUV
20-29 years, female
4.7
GTEX-11GSP-2226-SM-5HL5Q
60-69 years, female
4.3
GTEX-12ZZX-1926-SM-5EGKC
40-49 years, female
4.3
GTEX-12WSJ-1326-SM-5GCOB
40-49 years, female
4.0
GTEX-S4UY-1326-SM-4AD4X
40-49 years, female
4.0
GTEX-ZQG8-1126-SM-51MRL
60-69 years, female
3.8
GTEX-YFC4-2926-SM-5IFJ8
40-49 years, female
3.3
GTEX-13W3W-2326-SM-5LU4Y
60-69 years, female
2.6
GTEX-11EM3-1826-SM-5A5KO
20-29 years, female
1.9
GTEX-Y114-1926-SM-4TT8J
50-59 years, female
1.5
GTEX-13OVI-0926-SM-5J1MI
60-69 years, female
1.4
GTEX-13N11-1526-SM-5L3FL
50-59 years, female
0.5
Show allShow less
VAGINA - FANTOM5 CAGEi
RNA expression in human tissues obtained through Cap Analysis of Gene Expression (CAGE) generated by the FANTOM5 project are reported as Scaled Tags Per Million.