We use cookies to enhance the usability of our website. If you continue, we'll assume that you are happy to receive all cookies. More information. Don't show this again.
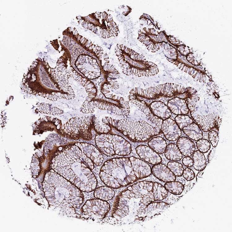
On the top, protein expression in current human tissue, based on all annotated cell types, is reported with the units not detected (n), low (l), medium (m) and high (h). Underneath, protein expression in each annotated cell type are reported using the same units.
Protein expression data is based on knowledge-based annotation. For genes where more than one antibody has been used, a collective score is set.
If knowledge-based annotation could not be performed for a gene, no data is displayed here. View antibody staining data further down this page.
A summary of mRNA expression data available for current tissue based on several datasets. The mRNA expression levels in human tissues are based on RNA-seq data generated by the Human Protein Atlas (HPA), Genotype-Tissue Expression (GTEx) portal and CAGE data generated by the FANTOM5 consortium. Consensus normalized expression (NX) levels for human tissues was created by combining the data from these three transcriptomics datasets (HPA, GTEx and FANTOM5).
The mRNA expression levels in pig are based on RNA-seq data generated by the Human Protein Atlas (HPA), and for mouse, HPA data and in situ hybridization generated by the Allen brain atlas are reported.
Scroll down to view mRNA expression data in more detail.
Antibody staining in the annotated cell types in the current human tissue is reported as not detected, low, medium, or high. This score is based on the staining intensity and fraction of stained cells.
The RNA-seq details section shows detailed information about the individual samples used for the transcript profiling and results of the RNA-seq analysis.
Information about each individual sample is listed below, including gender, age, a tissue section image and estimated fractions of cell types. pTPM (transcripts per million) values give a quantification of the gene abundance which is comparable between different genes and samples.
RNA-Seq data generated by the Genotype-Tissue Expression (GTEx) project from human tissues is reported as average pTPM. More information can be found on the GTEx portal.
Distribution across the dataset is visualized with box plots, shown as median and 25th and 75th percentiles. Points are displayed as outliers if they are above or below 1.5 times the interquartile range. pTPM values of the individual samples are presented next to the box plot.
Max pTPM: 23.7
Min pTPM: 3.5
Std pTPM: 3.7
Median pTPM: 13.6
GTEX-ZVT3-2826-SM-5GU6A
60-69 years, female
23.7
GTEX-XQ8I-2326-SM-4BOQC
50-59 years, male
23.3
GTEX-15G19-2726-SM-6LPKG
60-69 years, male
22.5
GTEX-12KS4-2326-SM-5EGJB
30-39 years, male
22.3
GTEX-XUW1-1826-SM-4BOQD
50-59 years, female
21.7
GTEX-ZTTD-2626-SM-57WEX
50-59 years, male
21.4
GTEX-ZF28-2526-SM-57WFH
60-69 years, male
21.0
GTEX-1AYCT-1926-SM-793AE
50-59 years, male
20.9
GTEX-1C4CL-1626-SM-7DUF3
30-39 years, male
20.4
GTEX-139D8-2926-SM-5IJBM
30-39 years, female
20.2
GTEX-11TT1-0926-SM-5GU5M
20-29 years, male
19.9
GTEX-14C39-1626-SM-5S2P4
40-49 years, male
19.8
GTEX-13OW6-2226-SM-5N9FL
50-59 years, male
19.5
GTEX-146FH-2426-SM-5Q5EW
50-59 years, female
19.5
GTEX-17HGU-2626-SM-79OKN
50-59 years, male
19.5
GTEX-17HHE-1626-SM-7DHLN
50-59 years, male
19.1
GTEX-11EMC-1426-SM-5N9E4
60-69 years, female
19.0
GTEX-147GR-2826-SM-5RQK8
60-69 years, male
18.9
GTEX-X15G-1526-SM-4PQZM
50-59 years, female
18.9
GTEX-13N2G-2226-SM-5IJCU
60-69 years, male
18.8
GTEX-17F96-2126-SM-7KFSM
70-79 years, male
18.8
GTEX-1AX9J-2526-SM-73KUY
60-69 years, male
18.7
GTEX-YEC3-2026-SM-4WWFL
50-59 years, male
18.7
GTEX-13OW5-2826-SM-5KM1G
60-69 years, male
18.5
GTEX-ZYY3-2226-SM-5E45A
60-69 years, female
18.5
GTEX-131XG-1526-SM-5GCNQ
50-59 years, female
18.3
GTEX-WQUQ-2626-SM-4MVNP
60-69 years, male
18.2
GTEX-12WSD-2626-SM-5EGJE
60-69 years, female
18.1
GTEX-Z93S-2626-SM-57WBX
50-59 years, male
18.1
GTEX-YECK-2826-SM-5IFHF
60-69 years, male
18.0
GTEX-V955-1726-SM-4JBHF
60-69 years, male
17.9
GTEX-YJ8O-1426-SM-5PNV9
40-49 years, female
17.9
GTEX-131YS-2926-SM-5EGKI
60-69 years, female
17.7
GTEX-ZAJG-2626-SM-5S2NU
50-59 years, female
17.7
GTEX-14BIN-2426-SM-5TDCF
50-59 years, female
17.4
GTEX-14DAQ-2926-SM-664MV
60-69 years, female
17.4
GTEX-WYVS-1126-SM-4SOJX
40-49 years, female
17.3
GTEX-X4EO-2726-SM-4E3HS
60-69 years, female
17.3
GTEX-1A3MV-1026-SM-72D5U
30-39 years, male
17.2
GTEX-12WSG-2426-SM-5EQLZ
50-59 years, female
17.0
GTEX-145MH-2726-SM-5QGQ6
50-59 years, male
17.0
GTEX-18A6Q-2226-SM-7LG61
60-69 years, male
17.0
GTEX-XAJ8-0726-SM-47JY5
40-49 years, male
17.0
GTEX-ZP4G-1526-SM-57WE5
20-29 years, female
17.0
GTEX-12WSL-1826-SM-5LZW9
50-59 years, male
16.9
GTEX-13U4I-2626-SM-5SI9C
40-49 years, female
16.9
GTEX-15EO6-2326-SM-6LPKK
50-59 years, male
16.9
GTEX-XV7Q-2226-SM-4BRVY
40-49 years, female
16.9
GTEX-ZAB5-1426-SM-5HL9D
50-59 years, male
16.9
GTEX-13RTJ-1926-SM-5YYA2
60-69 years, male
16.8
GTEX-1B97I-1526-SM-73KUK
40-49 years, male
16.8
GTEX-18QFQ-1726-SM-731C9
30-39 years, male
16.7
GTEX-11GS4-1826-SM-5HL4T
60-69 years, male
16.6
GTEX-18A66-2626-SM-72D67
60-69 years, male
16.6
GTEX-147JS-2626-SM-5S2UX
60-69 years, male
16.5
GTEX-1212Z-1826-SM-5FQSH
60-69 years, male
16.4
GTEX-12WSJ-1426-SM-5GCON
40-49 years, female
16.4
GTEX-WHWD-1526-SM-4OORV
50-59 years, male
16.4
GTEX-ZAB4-2426-SM-5HL8A
40-49 years, male
16.4
GTEX-ZG7Y-1826-SM-4WWD3
50-59 years, male
16.4
GTEX-13VXT-2026-SM-5L3EW
20-29 years, female
16.3
GTEX-ZC5H-2426-SM-4WAZ6
40-49 years, female
16.3
GTEX-13OVK-1026-SM-7KFTC
40-49 years, male
16.2
GTEX-14A5I-2426-SM-5Q5CP
50-59 years, female
16.2
GTEX-1C6VQ-2626-SM-7IGMQ
50-59 years, male
16.1
GTEX-12ZZW-2426-SM-5DUWE
50-59 years, male
16.0
GTEX-ZPU1-1726-SM-4WWFV
40-49 years, male
16.0
GTEX-13SLW-2826-SM-5Q5ES
70-79 years, male
15.9
GTEX-XUZC-1526-SM-4BRV4
30-39 years, female
15.9
GTEX-11DXY-2026-SM-5N9CZ
60-69 years, male
15.8
GTEX-117XS-2226-SM-5GIE1
60-69 years, male
15.7
GTEX-117YX-0526-SM-5EGJH
50-59 years, male
15.6
GTEX-132NY-2726-SM-5PNY2
60-69 years, male
15.6
GTEX-145LS-2926-SM-5O99G
60-69 years, female
15.6
GTEX-18A67-2226-SM-7LT9Z
50-59 years, male
15.6
GTEX-15CHQ-2626-SM-686YZ
60-69 years, male
15.5
GTEX-WY7C-1926-SM-4ONCI
50-59 years, male
15.5
GTEX-XBED-1726-SM-47JYO
60-69 years, male
15.5
GTEX-13X6K-2726-SM-5O9DG
60-69 years, female
15.4
GTEX-WXYG-1726-SM-4ONCU
50-59 years, female
15.4
GTEX-14PJ3-1226-SM-5ZZVY
50-59 years, male
15.3
GTEX-183FY-1426-SM-7DHLM
20-29 years, male
15.2
GTEX-18465-2726-SM-7LT9I
50-59 years, male
15.2
GTEX-13PL7-2426-SM-5J2N3
60-69 years, female
15.1
GTEX-14PHX-1126-SM-5YYA5
50-59 years, male
15.1
GTEX-16XZZ-2726-SM-7EWDO
60-69 years, male
15.1
GTEX-111CU-1226-SM-5EGIN
50-59 years, male
14.8
GTEX-XXEK-1826-SM-4BRVC
50-59 years, male
14.8
GTEX-YFCO-1526-SM-5YYB8
40-49 years, male
14.8
GTEX-ZDTS-2726-SM-5L3E2
60-69 years, male
14.8
GTEX-1CB4G-2726-SM-79OO4
60-69 years, male
14.6
GTEX-11EQ9-1526-SM-5PNY7
30-39 years, male
14.5
GTEX-11ZTS-1526-SM-5N9G7
60-69 years, female
14.5
GTEX-17JCI-2826-SM-7IGNA
60-69 years, female
14.5
GTEX-1AX9K-1626-SM-73KUS
50-59 years, male
14.5
GTEX-ZYT6-2826-SM-5GICX
30-39 years, male
14.5
GTEX-12ZZY-2726-SM-5EQ45
60-69 years, male
14.4
GTEX-145MO-2626-SM-5QGPD
60-69 years, male
14.4
GTEX-17F9Y-2626-SM-7IGN9
70-79 years, female
14.4
GTEX-WFON-1326-SM-4LVMN
40-49 years, male
14.4
GTEX-ZQG8-2426-SM-57WEE
60-69 years, female
14.4
GTEX-139TS-2226-SM-5J2N1
60-69 years, male
14.3
GTEX-13FTW-2126-SM-5K7YG
40-49 years, male
14.2
GTEX-13OVJ-1826-SM-5KM2D
50-59 years, female
14.1
GTEX-1B8KE-1526-SM-7DUG2
50-59 years, male
14.0
GTEX-11DXX-1926-SM-5EGJK
60-69 years, female
13.9
GTEX-11DXZ-1626-SM-5GIDI
50-59 years, male
13.9
GTEX-131XE-1026-SM-5EGKE
50-59 years, male
13.9
GTEX-15DZA-1026-SM-6PAND
30-39 years, female
13.9
GTEX-111YS-1826-SM-5GIEP
60-69 years, male
13.8
GTEX-1122O-1426-SM-5H11R
60-69 years, female
13.8
GTEX-14JG6-1626-SM-5YYBC
30-39 years, female
13.8
GTEX-1C2JI-1726-SM-73KUW
50-59 years, male
13.8
GTEX-132AR-2826-SM-5IJFV
50-59 years, female
13.7
GTEX-15DYW-2426-SM-7KUG8
60-69 years, female
13.7
GTEX-183WM-2526-SM-731BP
70-79 years, female
13.7
GTEX-13FHO-2726-SM-5K7VG
60-69 years, male
13.6
GTEX-14E1K-1626-SM-664MO
50-59 years, male
13.4
GTEX-17EUY-1726-SM-79OK4
20-29 years, male
13.4
GTEX-ZV6S-1126-SM-57WE9
40-49 years, female
13.4
GTEX-13111-1926-SM-5GCOL
50-59 years, male
13.3
GTEX-14BMU-1326-SM-5RQIH
20-29 years, female
13.3
GTEX-17MFQ-1226-SM-7KFSA
20-29 years, male
13.3
GTEX-1B8L1-1926-SM-7IGND
60-69 years, male
13.3
GTEX-1C475-1526-SM-7DHM3
40-49 years, female
13.3
GTEX-1339X-1726-SM-5P9J9
40-49 years, male
13.2
GTEX-1B996-2726-SM-7DUGG
60-69 years, male
13.1
GTEX-11PRG-2026-SM-5GU5F
50-59 years, male
13.0
GTEX-13O61-1526-SM-5KM3P
60-69 years, male
13.0
GTEX-1CB4F-1926-SM-7MKFN
60-69 years, male
13.0
GTEX-13PVQ-2726-SM-5L3H7
50-59 years, male
12.9
GTEX-15ER7-2826-SM-6PAN2
20-29 years, female
12.9
GTEX-15RIF-1426-SM-7KUKQ
20-29 years, male
12.9
GTEX-1A32A-2626-SM-73KX9
50-59 years, female
12.9
GTEX-1AMFI-1826-SM-73KWB
50-59 years, female
12.9
GTEX-1B932-2126-SM-7IGMU
40-49 years, female
12.9
GTEX-14E6E-1726-SM-5S2R6
30-39 years, male
12.8
GTEX-ZY6K-1326-SM-5GZWP
50-59 years, male
12.8
GTEX-1211K-1826-SM-5EGJ2
60-69 years, female
12.7
GTEX-1399R-2126-SM-5K7WZ
30-39 years, male
12.7
GTEX-WI4N-2226-SM-4OOS9
40-49 years, female
12.7
GTEX-ZF2S-1826-SM-4WKFF
50-59 years, female
12.7
GTEX-14PKV-1926-SM-686YU
20-29 years, female
12.5
GTEX-11EM3-1626-SM-5N9CO
20-29 years, female
12.4
GTEX-13CF2-1826-SM-5N9GK
60-69 years, male
12.4
GTEX-13CF3-1326-SM-5LZXZ
60-69 years, female
12.4
GTEX-17KNJ-1826-SM-7LT9N
50-59 years, male
12.4
GTEX-1BAJH-2726-SM-7IGNJ
70-79 years, male
12.4
GTEX-ZE9C-2126-SM-4WKGY
60-69 years, male
12.4
GTEX-ZVT4-2626-SM-5N9GJ
50-59 years, female
12.4
GTEX-13113-1426-SM-5EGHU
60-69 years, female
12.3
GTEX-145LT-0826-SM-5S2QL
40-49 years, male
12.3
GTEX-1E2YA-2526-SM-7IGOU
50-59 years, male
12.3
GTEX-WHPG-1626-SM-4M1ZL
50-59 years, male
12.3
GTEX-11EI6-2626-SM-5PNVT
60-69 years, male
12.2
GTEX-139T6-1426-SM-5P9J7
50-59 years, male
12.2
GTEX-15UF7-1326-SM-7KUKV
40-49 years, male
12.2
GTEX-11P7K-1826-SM-5HL5A
30-39 years, male
12.1
GTEX-13QBU-2026-SM-5KLZB
40-49 years, female
12.1
GTEX-ZLV1-1326-SM-4WWER
60-69 years, female
12.1
GTEX-13FH7-1626-SM-5J2O9
50-59 years, female
12.0
GTEX-16MTA-1626-SM-6M47N
50-59 years, male
11.9
GTEX-11P81-1426-SM-5P9JN
30-39 years, female
11.7
GTEX-13X6J-2826-SM-7EPGA
50-59 years, male
11.7
GTEX-15ETS-2326-SM-7KUGC
40-49 years, female
11.7
GTEX-11ZU8-1126-SM-5EQ5K
60-69 years, male
11.5
GTEX-13G51-2126-SM-5IJD9
60-69 years, male
11.5
GTEX-145ME-1126-SM-5SIAT
40-49 years, female
11.5
GTEX-16NGA-0926-SM-718AG
40-49 years, female
11.5
GTEX-WFG7-1626-SM-4LVMF
20-29 years, male
11.5
GTEX-YJ8A-1726-SM-5P9IQ
20-29 years, male
11.5
GTEX-ZYFG-1826-SM-5GZWX
60-69 years, female
11.5
GTEX-WRHK-1126-SM-4MVOJ
20-29 years, female
11.4
GTEX-11ONC-1926-SM-5GU75
60-69 years, male
11.3
GTEX-12ZZX-2726-SM-5N9FT
40-49 years, female
11.3
GTEX-13D11-0626-SM-5LZYY
50-59 years, female
11.3
GTEX-14AS3-1026-SM-5TDD7
40-49 years, female
11.3
GTEX-16BQI-2026-SM-7KULQ
30-39 years, female
11.3
GTEX-Y114-1626-SM-4TT7I
50-59 years, female
11.2
GTEX-15RIE-2026-SM-7KFRW
60-69 years, male
11.1
GTEX-11I78-1326-SM-5PNY9
50-59 years, female
11.0
GTEX-11VI4-1426-SM-5GU6O
40-49 years, female
10.9
GTEX-14PJ4-1826-SM-5YY97
60-69 years, male
10.9
GTEX-17GQL-1626-SM-7LG69
60-69 years, male
10.9
GTEX-ZPIC-2626-SM-57WE2
40-49 years, female
10.9
GTEX-ZZ64-0826-SM-5E449
20-29 years, male
10.9
GTEX-1477Z-2126-SM-5Q5CM
60-69 years, male
10.8
GTEX-11ZTT-1626-SM-5EQKR
60-69 years, female
10.7
GTEX-15UF6-2726-SM-7KULY
70-79 years, female
10.7
GTEX-12WSM-1426-SM-5GCPA
60-69 years, male
10.6
GTEX-14PK6-1826-SM-69LOM
70-79 years, female
10.6
GTEX-12696-1926-SM-5EGJT
60-69 years, male
10.4
GTEX-18D9A-1326-SM-7LT8P
30-39 years, female
10.4
GTEX-13OW8-2726-SM-5L3FZ
60-69 years, male
10.1
GTEX-WFG8-1726-SM-4LVM6
20-29 years, male
10.0
GTEX-ZPCL-1626-SM-57WGC
60-69 years, female
10.0
GTEX-ZLFU-1426-SM-4WWEU
40-49 years, male
9.9
GTEX-ZF29-1826-SM-4WKG8
60-69 years, female
9.8
GTEX-ZE7O-2626-SM-51MSS
50-59 years, female
9.7
GTEX-YF7O-1626-SM-5IFII
50-59 years, male
9.6
GTEX-1EMGI-2626-SM-7IGNR
60-69 years, male
9.5
GTEX-Y5LM-1426-SM-5RQJL
40-49 years, female
9.5
GTEX-139UW-2326-SM-5KM1Y
60-69 years, male
9.4
GTEX-Y3I4-1126-SM-4TT7Y
50-59 years, male
9.4
GTEX-16Z82-2426-SM-7KUMS
60-69 years, male
9.3
GTEX-Y9LG-1326-SM-4VBQB
30-39 years, male
9.2
GTEX-13X6I-2726-SM-5Q5ET
60-69 years, male
8.9
GTEX-1399U-2226-SM-5KLZI
50-59 years, female
8.8
GTEX-12BJ1-2026-SM-5FQUH
60-69 years, male
8.6
GTEX-14PN3-1926-SM-6EU1Y
60-69 years, female
8.6
GTEX-13PVR-1726-SM-5Q5EC
60-69 years, female
8.5
GTEX-15DCZ-2826-SM-6EU2J
20-29 years, female
8.3
GTEX-13OVI-2126-SM-5KM3U
60-69 years, female
8.2
GTEX-ZA64-1426-SM-5CVMC
20-29 years, male
8.2
GTEX-14C5O-2626-SM-5RQI5
60-69 years, male
8.1
GTEX-14A5H-1626-SM-5SIAN
60-69 years, male
8.0
GTEX-15F5U-1426-SM-7KUN2
40-49 years, male
8.0
GTEX-ZXES-1726-SM-5E43G
30-39 years, female
7.9
GTEX-148VJ-2426-SM-5NQ9Y
70-79 years, male
7.8
GTEX-13O1R-2426-SM-5KLZZ
60-69 years, male
7.7
GTEX-144GM-1126-SM-79OJK
20-29 years, male
7.6
GTEX-1A3MX-2326-SM-718B4
60-69 years, male
7.6
GTEX-15RJE-2226-SM-6M46A
40-49 years, male
7.3
GTEX-11WQK-2526-SM-5CVL8
50-59 years, male
7.2
GTEX-Y8LW-1126-SM-4VDS4
50-59 years, female
6.9
GTEX-ZT9W-1726-SM-51MS3
50-59 years, male
6.4
GTEX-ZYFD-2226-SM-5E43P
50-59 years, male
6.4
GTEX-11TUW-2326-SM-5EQMO
60-69 years, male
6.3
GTEX-ZTSS-1226-SM-51MSZ
40-49 years, male
6.3
GTEX-17HG3-1126-SM-7DUFC
30-39 years, female
5.5
GTEX-ZVT2-1726-SM-51MRO
50-59 years, female
5.2
GTEX-ZVZQ-2626-SM-59HLB
60-69 years, female
4.2
GTEX-14E6C-2226-SM-5QGQG
40-49 years, male
3.5
Show allShow less
Colon - Transverse Average pTPM: 14.2
Samples: 274
Max pTPM: 35.0
Min pTPM: 6.2
Std pTPM: 4.3
Median pTPM: 13.5
GTEX-O5YT-1426-SM-3MJHC
20-29 years, male
35.0
GTEX-131XG-1826-SM-5LZV4
50-59 years, female
31.6
GTEX-11TT1-1026-SM-5PNW7
20-29 years, male
29.2
GTEX-13X6H-1926-SM-7EWD3
50-59 years, female
28.1
GTEX-QDVN-1326-SM-48TZ3
50-59 years, male
26.1
GTEX-144GN-1126-SM-5LU33
50-59 years, male
24.8
GTEX-146FQ-1926-SM-5NQBY
30-39 years, male
24.5
GTEX-WHSB-0926-SM-4M1XJ
50-59 years, male
24.2
GTEX-U4B1-1126-SM-4DXV3
40-49 years, male
23.1
GTEX-XMK1-1726-SM-4B64Z
40-49 years, male
22.0
GTEX-QMRM-1226-SM-447C6
50-59 years, male
21.9
GTEX-TML8-1326-SM-4DXTO
40-49 years, female
21.9
GTEX-1399R-2226-SM-5P9JB
30-39 years, male
21.8
GTEX-18A66-2426-SM-7KFSQ
60-69 years, male
21.7
GTEX-Q734-1126-SM-48TZY
40-49 years, female
21.5
GTEX-13OW6-2126-SM-5N9GL
50-59 years, male
21.4
GTEX-QLQ7-1126-SM-4R1KN
60-69 years, male
21.1
GTEX-X5EB-0926-SM-46MVT
40-49 years, male
21.1
GTEX-S3XE-1126-SM-4AD4N
50-59 years, male
21.0
GTEX-XGQ4-1226-SM-4AT67
50-59 years, male
21.0
GTEX-TKQ1-0626-SM-4DXTS
30-39 years, male
20.8
GTEX-1CAMS-2526-SM-7EPH7
40-49 years, female
20.6
GTEX-U3ZH-1326-SM-4DXSF
30-39 years, male
20.5
GTEX-XBED-1526-SM-4AT5W
60-69 years, male
20.5
GTEX-XV7Q-2126-SM-4BRVX
40-49 years, female
20.1
GTEX-14XAO-2026-SM-69LOI
60-69 years, female
20.0
GTEX-Q2AI-0926-SM-48U1F
40-49 years, male
20.0
GTEX-15CHC-1626-SM-5ZZWS
60-69 years, female
19.9
GTEX-1C6VQ-2726-SM-73KUL
50-59 years, male
19.9
GTEX-13W3W-2126-SM-5K7UX
60-69 years, female
19.8
GTEX-17F96-2026-SM-79ON4
70-79 years, male
19.8
GTEX-QLQW-0426-SM-447A7
30-39 years, male
19.8
GTEX-145LS-2726-SM-5Q5D8
60-69 years, female
19.1
GTEX-P78B-1726-SM-3P5ZV
40-49 years, female
19.1
GTEX-14PJ3-0926-SM-69LQG
50-59 years, male
19.0
GTEX-WQUQ-2526-SM-4MVNO
60-69 years, male
19.0
GTEX-UJHI-1126-SM-4IHLN
50-59 years, female
18.9
GTEX-15ER7-2926-SM-7KUFK
20-29 years, female
18.7
GTEX-1CB4F-2026-SM-79OLU
60-69 years, male
18.6
GTEX-13VXT-2426-SM-5LU46
20-29 years, female
18.5
GTEX-1B932-2826-SM-73KUD
40-49 years, female
18.4
GTEX-T5JW-1126-SM-4DM5V
20-29 years, female
18.3
GTEX-WY7C-1626-SM-4ONC8
50-59 years, male
18.0
GTEX-QDVJ-1326-SM-48U1X
50-59 years, male
17.9
GTEX-ZEX8-1926-SM-4WKFR
50-59 years, male
17.9
GTEX-Q2AH-1226-SM-48TZL
40-49 years, male
17.8
GTEX-1B8KZ-1326-SM-7DUG6
50-59 years, male
17.6
GTEX-1C4CL-2126-SM-7IGQC
30-39 years, male
17.6
GTEX-P4QT-1426-SM-3NMCX
50-59 years, female
17.6
GTEX-QV31-0826-SM-4R1KR
30-39 years, male
17.6
GTEX-QEL4-1926-SM-4R1JI
50-59 years, male
17.5
GTEX-WFG7-1526-SM-4LVMG
20-29 years, male
17.5
GTEX-R53T-1326-SM-48FCQ
50-59 years, female
17.4
GTEX-R55D-1826-SM-48FEF
50-59 years, male
17.4
GTEX-131XE-0826-SM-5HL9W
50-59 years, male
17.3
GTEX-15UF6-2626-SM-6M466
70-79 years, female
17.3
GTEX-OXRK-1726-SM-3NB16
50-59 years, female
17.3
GTEX-11P81-1126-SM-5GU5G
30-39 years, female
17.2
GTEX-13FHP-2426-SM-5KLZ5
50-59 years, male
17.0
GTEX-S341-1426-SM-4AD6U
40-49 years, female
17.0
GTEX-SNOS-1226-SM-4DM5H
40-49 years, male
17.0
GTEX-U3ZN-2126-SM-4DXU1
30-39 years, female
17.0
GTEX-RWS6-1826-SM-47JXX
60-69 years, female
16.8
GTEX-178AV-1326-SM-6LPJX
40-49 years, male
16.7
GTEX-R55G-1226-SM-48FDC
40-49 years, female
16.7
GTEX-XUZC-1326-SM-4BRV2
30-39 years, female
16.7
GTEX-XYKS-2226-SM-4E3IU
60-69 years, female
16.7
GTEX-ZAB4-2226-SM-5HL97
40-49 years, male
16.7
GTEX-ZF2S-1926-SM-4WWAN
50-59 years, female
16.6
GTEX-1BAJH-2326-SM-7IGMO
70-79 years, male
16.5
GTEX-S4P3-1226-SM-4AD4Y
50-59 years, female
16.5
GTEX-YF7O-1726-SM-5IFJ9
50-59 years, male
16.5
GTEX-111CU-1426-SM-5GZYP
50-59 years, male
16.4
GTEX-11ZVC-2126-SM-5EGJ1
50-59 years, female
16.4
GTEX-147JS-2526-SM-5S2Q8
60-69 years, male
16.4
GTEX-Y5LM-1526-SM-4VDTA
40-49 years, female
16.3
GTEX-13U4I-2426-SM-5LU34
40-49 years, female
16.2
GTEX-14DAQ-2726-SM-5S2QY
60-69 years, female
16.2
GTEX-14PKV-2126-SM-664O3
20-29 years, female
16.2
GTEX-ZP4G-1726-SM-4WWCM
20-29 years, female
16.1
GTEX-14E6E-1526-SM-5RQIG
30-39 years, male
16.0
GTEX-SE5C-1526-SM-4BRWU
40-49 years, female
16.0
GTEX-14PJM-2626-SM-686ZD
50-59 years, female
15.9
GTEX-15CHR-1426-SM-7DUGV
50-59 years, male
15.8
GTEX-15SB6-1226-SM-7KUMP
50-59 years, female
15.8
GTEX-16Z82-2226-SM-6LPJ7
60-69 years, male
15.8
GTEX-1C64O-2326-SM-73KU8
60-69 years, male
15.8
GTEX-V955-1626-SM-4JBHJ
60-69 years, male
15.8
GTEX-13FTW-1826-SM-5IJEN
40-49 years, male
15.6
GTEX-1AYCT-1826-SM-731EG
50-59 years, male
15.6
GTEX-PLZ5-1126-SM-3P613
50-59 years, male
15.6
GTEX-17HHE-1826-SM-79OKE
50-59 years, male
15.4
GTEX-1A3MV-1126-SM-718BS
30-39 years, male
15.4
GTEX-13OVK-0826-SM-7KULZ
40-49 years, male
15.3
GTEX-14E1K-1826-SM-793DT
50-59 years, male
15.3
GTEX-XXEK-1926-SM-4BRVD
50-59 years, male
15.3
GTEX-ZDYS-2326-SM-4WKG6
50-59 years, male
15.3
GTEX-12WSL-1626-SM-5GCMU
50-59 years, male
15.2
GTEX-18A7B-2026-SM-72D71
70-79 years, male
15.2
GTEX-117YX-0826-SM-5H11J
50-59 years, male
15.1
GTEX-1339X-1626-SM-5IJDN
40-49 years, male
15.1
GTEX-17HGU-2426-SM-7EWDP
50-59 years, male
15.1
GTEX-X3Y1-1726-SM-4PQZL
40-49 years, male
15.1
GTEX-ZV6S-1226-SM-59HLH
40-49 years, female
15.1
GTEX-WYVS-1826-SM-4OND6
40-49 years, female
15.0
GTEX-13111-0726-SM-5DUVE
50-59 years, male
14.9
GTEX-11O72-2226-SM-5PNW2
40-49 years, male
14.7
GTEX-139TS-1926-SM-5IJFO
60-69 years, male
14.7
GTEX-PLZ6-0926-SM-3P5ZQ
30-39 years, male
14.7
GTEX-ZZ64-0726-SM-5GZX4
20-29 years, male
14.7
GTEX-11WQK-2126-SM-5EQME
50-59 years, male
14.6
GTEX-145LT-0926-SM-5LU9C
40-49 years, male
14.6
GTEX-17KNJ-1726-SM-7LG6A
50-59 years, male
14.6
GTEX-ZV7C-1526-SM-5NQ72
50-59 years, male
14.6
GTEX-1128S-1626-SM-5H12O
60-69 years, female
14.5
GTEX-X15G-1326-SM-4PQZJ
50-59 years, female
14.5
GTEX-QCQG-1626-SM-48U26
50-59 years, female
14.4
GTEX-11P7K-1526-SM-5EGI7
30-39 years, male
14.3
GTEX-17EUY-1826-SM-7DUEZ
20-29 years, male
14.2
GTEX-S7SF-1926-SM-4AT5B
20-29 years, female
14.2
GTEX-12WSJ-1526-SM-5GCNI
40-49 years, female
14.1
GTEX-WHWD-1226-SM-4OOS1
50-59 years, male
14.1
GTEX-14PK6-1726-SM-6871J
70-79 years, female
14.0
GTEX-15DCE-2026-SM-7KUFE
20-29 years, male
14.0
GTEX-Y8E4-2426-SM-4WWDN
40-49 years, male
14.0
GTEX-1B8KE-1926-SM-731EE
50-59 years, male
13.9
GTEX-Z93S-2426-SM-5HL8N
50-59 years, male
13.9
GTEX-139YR-2126-SM-5KM11
50-59 years, male
13.8
GTEX-145MN-1726-SM-5SIA6
30-39 years, male
13.8
GTEX-ZVP2-1526-SM-5NQ82
50-59 years, male
13.8
GTEX-111YS-1626-SM-5GZZ9
60-69 years, male
13.7
GTEX-S4UY-0826-SM-4AD4Z
40-49 years, female
13.7
GTEX-XUW1-1926-SM-4BOP1
50-59 years, female
13.7
GTEX-11EM3-1526-SM-5A5KN
20-29 years, female
13.6
GTEX-1AX9I-2626-SM-73KU5
60-69 years, male
13.6
GTEX-RM2N-0926-SM-48FD1
50-59 years, male
13.6
GTEX-PWCY-1026-SM-48TD4
20-29 years, female
13.5
GTEX-TKQ2-1326-SM-4DXT9
50-59 years, male
13.5
GTEX-14AS3-1126-SM-5Q5CR
40-49 years, female
13.4
GTEX-15DZA-0926-SM-69LQ3
30-39 years, female
13.4
GTEX-15RIE-1826-SM-6M48P
60-69 years, male
13.4
GTEX-15RIF-1326-SM-6LPKO
20-29 years, male
13.4
GTEX-OXRL-1426-SM-3NM9E
50-59 years, male
13.4
GTEX-W5WG-2426-SM-4LMI6
50-59 years, female
13.4
GTEX-11DXX-1826-SM-5H126
60-69 years, female
13.3
GTEX-14BIN-3026-SM-5ZZUS
50-59 years, female
13.3
GTEX-17JCI-2626-SM-7EWE6
60-69 years, female
13.2
GTEX-ZPU1-1926-SM-57WDT
40-49 years, male
13.2
GTEX-17F9E-1826-SM-7IGMC
50-59 years, male
13.1
GTEX-18D9U-1926-SM-7KFTM
40-49 years, male
13.1
GTEX-ZYFC-2626-SM-5NQ6S
50-59 years, male
13.1
GTEX-11GSP-1626-SM-5986N
60-69 years, female
13.0
GTEX-T6MO-0826-SM-4DM51
40-49 years, female
13.0
GTEX-WFON-1426-SM-4LVMT
40-49 years, male
13.0
GTEX-11P82-1026-SM-5BC5J
20-29 years, male
12.9
GTEX-13D11-0826-SM-5KLZJ
50-59 years, female
12.9
GTEX-144GL-2526-SM-5TDDL
50-59 years, male
12.9
GTEX-14ICL-1226-SM-5S2RD
30-39 years, male
12.8
GTEX-17F98-1026-SM-7IGO8
40-49 years, female
12.8
GTEX-18A7A-2226-SM-7LT8K
50-59 years, female
12.8
GTEX-VJYA-2026-SM-4KL1K
60-69 years, male
12.7
GTEX-Y3IK-1826-SM-4WWDS
50-59 years, female
12.7
GTEX-RU1J-1326-SM-46MUL
20-29 years, female
12.6
GTEX-13O3O-2526-SM-5L3DR
60-69 years, female
12.5
GTEX-14JG6-1726-SM-69LPL
30-39 years, female
12.5
GTEX-16NGA-1026-SM-7KFS3
40-49 years, female
12.5
GTEX-PWN1-1426-SM-48TDF
40-49 years, female
12.5
GTEX-WOFM-2026-SM-4OOSQ
20-29 years, male
12.5
GTEX-1C2JI-1626-SM-7EPHC
50-59 years, male
12.4
GTEX-Y3I4-1426-SM-4TT9C
50-59 years, male
12.4
GTEX-ZTSS-1126-SM-5985O
40-49 years, male
12.4
GTEX-16NPV-2626-SM-6M484
50-59 years, female
12.3
GTEX-1C475-1626-SM-731FP
40-49 years, female
12.3
GTEX-O5YW-1426-SM-3MJHF
50-59 years, male
12.3
GTEX-11ONC-2026-SM-5HL61
60-69 years, male
12.2
GTEX-13S86-1626-SM-5Q5C5
40-49 years, male
12.2
GTEX-14C39-1926-SM-5ZZW5
40-49 years, male
12.2
GTEX-PX3G-1426-SM-48U1J
20-29 years, female
12.2
GTEX-WYJK-2226-SM-4ONDJ
50-59 years, male
12.2
GTEX-18QFQ-1526-SM-72D57
30-39 years, male
12.1
GTEX-12KS4-2426-SM-5LU8P
30-39 years, male
12.0
GTEX-ZVT2-1926-SM-5GU5T
50-59 years, female
12.0
GTEX-13FH7-1526-SM-5J2N6
50-59 years, female
11.9
GTEX-13O3P-2326-SM-5KM55
50-59 years, male
11.9
GTEX-1122O-1526-SM-5N9CL
60-69 years, female
11.8
GTEX-132AR-2726-SM-5PNVN
50-59 years, female
11.8
GTEX-17GQL-1526-SM-7LTAC
60-69 years, male
11.8
GTEX-ZYFG-1926-SM-5GID5
60-69 years, female
11.8
GTEX-11I78-1226-SM-5A5K6
50-59 years, female
11.7
GTEX-18D9A-1126-SM-7KFRJ
30-39 years, female
11.6
GTEX-SNMC-1126-SM-4DM5M
20-29 years, male
11.6
GTEX-145MO-2426-SM-5NQ9W
60-69 years, male
11.5
GTEX-XPVG-1826-SM-4B64X
50-59 years, male
11.5
GTEX-YB5E-1626-SM-5IFIQ
40-49 years, male
11.5
GTEX-11EQ9-1426-SM-5987G
30-39 years, male
11.4
GTEX-12ZZZ-2426-SM-5GCNN
60-69 years, male
11.4
GTEX-1AMFI-1726-SM-7189L
50-59 years, female
11.3
GTEX-ZY6K-1226-SM-5GZYL
50-59 years, male
11.3
GTEX-P4PP-1426-SM-3NM9L
30-39 years, female
11.2
GTEX-UJMC-1326-SM-4IHLS
50-59 years, male
11.2
GTEX-13O21-2426-SM-5MR4A
50-59 years, male
11.1
GTEX-14ICK-1026-SM-6AJA4
40-49 years, male
11.1
GTEX-15CHQ-2526-SM-6EU24
60-69 years, male
11.1
GTEX-S4Q7-0826-SM-4AD5E
20-29 years, male
11.1
GTEX-17EVQ-1826-SM-7IGPH
70-79 years, male
11.0
GTEX-17MF6-2426-SM-7LTAM
40-49 years, male
11.0
GTEX-18D9B-2526-SM-718BN
60-69 years, male
11.0
GTEX-WEY5-1426-SM-4LMJ3
40-49 years, female
11.0
GTEX-XQ8I-2126-SM-4BOOM
50-59 years, male
11.0
GTEX-YEC4-1926-SM-5IFHJ
40-49 years, male
11.0
GTEX-147F3-1926-SM-5SIB9
50-59 years, female
10.9
GTEX-14PJ4-1926-SM-6LLHG
60-69 years, male
10.9
GTEX-Y114-1526-SM-4TT79
50-59 years, female
10.9
GTEX-145ME-0826-SM-5O9AF
40-49 years, female
10.7
GTEX-1399S-1926-SM-5J2M5
30-39 years, female
10.6
GTEX-Y8LW-1226-SM-4WWDP
50-59 years, female
10.6
GTEX-11NSD-1626-SM-5986U
20-29 years, male
10.5
GTEX-111VG-2226-SM-5N9DU
60-69 years, male
10.4
GTEX-147GR-2726-SM-664OO
60-69 years, male
10.4
GTEX-14BMV-2426-SM-5S2PP
50-59 years, male
10.4
GTEX-15G1A-1826-SM-7KUKO
30-39 years, male
10.4
GTEX-OIZH-1426-SM-3NB1O
50-59 years, male
10.4
GTEX-YEC3-2426-SM-5IFJR
50-59 years, male
10.4
GTEX-13OW5-2626-SM-5MR3M
60-69 years, male
10.3
GTEX-1B996-2626-SM-73KZ1
60-69 years, male
10.3
GTEX-13O61-1626-SM-5KM3T
60-69 years, male
10.2
GTEX-13PVR-1626-SM-73KVF
60-69 years, female
10.2
GTEX-15DYW-2326-SM-6PAMU
60-69 years, female
10.2
GTEX-11TTK-2426-SM-5PNYO
60-69 years, female
10.1
GTEX-12C56-0626-SM-5EGGC
20-29 years, male
10.1
GTEX-133LE-1526-SM-5IFEN
20-29 years, female
10.0
GTEX-14PJ5-0926-SM-6LLIK
60-69 years, female
10.0
GTEX-11DXZ-1726-SM-5H12M
50-59 years, male
9.9
GTEX-11TUW-2026-SM-5EQL8
60-69 years, male
9.9
GTEX-117YW-1826-SM-5PNY5
50-59 years, male
9.8
GTEX-ZT9W-1826-SM-51MQX
50-59 years, male
9.8
GTEX-13CF3-1426-SM-5K7YY
60-69 years, female
9.7
GTEX-OHPM-1426-SM-3TW8Y
50-59 years, male
9.7
GTEX-ZLV1-1226-SM-4WWBX
60-69 years, female
9.7
GTEX-ZYVF-2826-SM-5GIDK
50-59 years, female
9.7
GTEX-11VI4-1526-SM-5EQKC
40-49 years, female
9.6
GTEX-13OVG-1426-SM-5K7VP
60-69 years, male
9.6
GTEX-144GM-1226-SM-5LU52
20-29 years, male
9.6
GTEX-WH7G-1326-SM-4LVMS
40-49 years, male
9.6
GTEX-ZPIC-2226-SM-57WDX
40-49 years, female
9.6
GTEX-14C5O-2526-SM-73KU2
60-69 years, male
9.5
GTEX-14H4A-1926-SM-5ZZWN
40-49 years, female
9.5
GTEX-ZGAY-2126-SM-4YCFB
40-49 years, female
9.5
GTEX-15SHU-2526-SM-6M47D
40-49 years, female
9.4
GTEX-ZPCL-1826-SM-57WF1
60-69 years, female
9.0
GTEX-1399U-1926-SM-5IFH7
50-59 years, female
8.9
GTEX-13PL7-2526-SM-5IFGR
60-69 years, female
8.8
GTEX-14PHX-1526-SM-68717
50-59 years, male
8.8
GTEX-16AAH-1326-SM-7KFRG
50-59 years, male
8.8
GTEX-13QBU-1826-SM-5IJG3
40-49 years, female
8.7
GTEX-11LCK-2026-SM-5A5MA
30-39 years, male
8.6
GTEX-16MT8-2726-SM-7IGLJ
60-69 years, female
8.4
GTEX-14BMU-1526-SM-5TDE6
20-29 years, female
8.3
GTEX-R55C-1126-SM-48FCJ
40-49 years, male
8.3
GTEX-U3ZM-1126-SM-4DXUB
40-49 years, male
8.3
GTEX-148VJ-2626-SM-5QGPI
70-79 years, male
8.2
GTEX-13OVJ-1726-SM-5IJDZ
50-59 years, female
7.9
GTEX-ZXES-1626-SM-5NQ7L
30-39 years, female
7.8
GTEX-13OVI-2026-SM-5J1MU
60-69 years, female
7.7
GTEX-ZF29-1726-SM-4WKFV
60-69 years, female
7.5
GTEX-1211K-1726-SM-5FQUJ
60-69 years, female
7.4
GTEX-14DAR-1526-SM-5RQIX
50-59 years, male
7.4
GTEX-1AMEY-1926-SM-73KVT
30-39 years, female
7.4
GTEX-NFK9-2026-SM-3LK5K
40-49 years, male
7.3
GTEX-12BJ1-2126-SM-5BC5O
60-69 years, male
7.2
GTEX-XBEW-1926-SM-4SOJO
40-49 years, male
7.1
GTEX-Y9LG-1526-SM-4WWDR
30-39 years, male
6.6
GTEX-139T6-1326-SM-5IFFO
50-59 years, male
6.4
GTEX-14JIY-3326-SM-6871E
60-69 years, male
6.2
Show allShow less
COLON - FANTOM5 CAGEi
RNA expression in human tissues obtained through Cap Analysis of Gene Expression (CAGE) generated by the FANTOM5 project are reported as Scaled Tags Per Million.