We use cookies to enhance the usability of our website. If you continue, we'll assume that you are happy to receive all cookies. More information. Don't show this again.
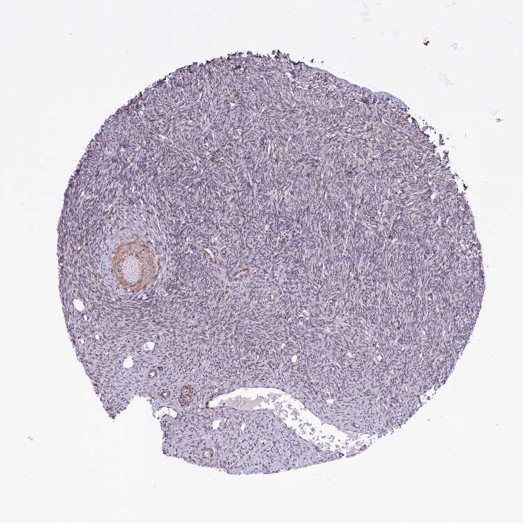
On the top, protein expression in current human tissue, based on all annotated cell types, is reported with the units not detected (n), low (l), medium (m) and high (h). Underneath, protein expression in each annotated cell type are reported using the same units.
Protein expression data is based on knowledge-based annotation. For genes where more than one antibody has been used, a collective score is set.
If knowledge-based annotation could not be performed for a gene, no data is displayed here. View antibody staining data further down this page.
A summary of mRNA expression data available for current tissue based on several datasets. The mRNA expression levels in human tissues are based on RNA-seq data generated by the Human Protein Atlas (HPA), Genotype-Tissue Expression (GTEx) portal and CAGE data generated by the FANTOM5 consortium. Consensus normalized expression (NX) levels for human tissues was created by combining the data from these three transcriptomics datasets (HPA, GTEx and FANTOM5).
The mRNA expression levels in pig are based on RNA-seq data generated by the Human Protein Atlas (HPA), and for mouse, HPA data and in situ hybridization generated by the Allen brain atlas are reported.
Scroll down to view mRNA expression data in more detail.
Antibody staining in the annotated cell types in the current human tissue is reported as not detected, low, medium, or high. This score is based on the staining intensity and fraction of stained cells.
The RNA-seq details section shows detailed information about the individual samples used for the transcript profiling and results of the RNA-seq analysis.
Information about each individual sample is listed below, including gender, age, a tissue section image and estimated fractions of cell types. pTPM (transcripts per million) values give a quantification of the gene abundance which is comparable between different genes and samples.
RNA-Seq data generated by the Genotype-Tissue Expression (GTEx) project from human tissues is reported as average pTPM. More information can be found on the GTEx portal.
Distribution across the dataset is visualized with box plots, shown as median and 25th and 75th percentiles. Points are displayed as outliers if they are above or below 1.5 times the interquartile range. pTPM values of the individual samples are presented next to the box plot.
Max pTPM: 32.8
Min pTPM: 6.1
Std pTPM: 4.0
Median pTPM: 16.2
GTEX-ZYY3-2726-SM-5EGH4
60-69 years, female
32.8
GTEX-146FH-2526-SM-5Q5BP
50-59 years, female
30.2
GTEX-XYKS-1726-SM-4E3IO
60-69 years, female
27.1
GTEX-14JG6-0626-SM-68716
30-39 years, female
23.0
GTEX-12WSJ-1226-SM-5LU91
40-49 years, female
22.6
GTEX-139D8-2426-SM-5KM3A
30-39 years, female
22.6
GTEX-RU1J-0826-SM-46MUU
20-29 years, female
21.8
GTEX-ZVT3-2626-SM-5GU5L
60-69 years, female
21.6
GTEX-X15G-1726-SM-4PQZN
50-59 years, female
21.4
GTEX-1313W-2726-SM-5P9IX
50-59 years, female
21.2
GTEX-13VXT-1526-SM-5LU3J
20-29 years, female
20.8
GTEX-RWS6-1026-SM-47JXD
60-69 years, female
20.7
GTEX-UJHI-1226-SM-4IHLR
50-59 years, female
20.7
GTEX-15DYW-2626-SM-6LPK7
60-69 years, female
20.5
GTEX-T2IS-2026-SM-4DM6W
20-29 years, female
20.5
GTEX-131XG-1926-SM-5LZVG
50-59 years, female
20.4
GTEX-R55G-1526-SM-48FER
40-49 years, female
20.2
GTEX-Q734-0726-SM-48TZP
40-49 years, female
19.9
GTEX-RTLS-2326-SM-46MUH
60-69 years, female
19.8
GTEX-POMQ-1426-SM-3P61D
20-29 years, female
19.6
GTEX-12WSG-1426-SM-5FQUK
50-59 years, female
19.5
GTEX-ZAJG-2726-SM-5S2MU
50-59 years, female
19.5
GTEX-W5WG-0926-SM-4RTX9
50-59 years, female
19.4
GTEX-ZP4G-0626-SM-4WWF1
20-29 years, female
19.4
GTEX-13O3O-2726-SM-5KM35
60-69 years, female
19.3
GTEX-15DDE-2326-SM-6AJA8
50-59 years, female
19.3
GTEX-11XUK-1626-SM-5GU5O
40-49 years, female
19.2
GTEX-13SLX-2426-SM-664OM
50-59 years, female
19.2
GTEX-13U4I-2126-SM-5LU55
40-49 years, female
19.2
GTEX-14BIN-1426-SM-664NI
50-59 years, female
19.2
GTEX-11DXX-1426-SM-5GIDU
60-69 years, female
19.1
GTEX-P78B-1926-SM-3P616
40-49 years, female
19.1
GTEX-15FZZ-0826-SM-6LLJO
30-39 years, female
19.0
GTEX-YFC4-2726-SM-5IFJW
40-49 years, female
18.9
GTEX-ZPIC-1426-SM-4WWCP
40-49 years, female
18.7
GTEX-TML8-0926-SM-4DXSJ
40-49 years, female
18.6
GTEX-11P81-1526-SM-5P9GS
30-39 years, female
18.4
GTEX-OHPL-2426-SM-48TDN
60-69 years, female
18.4
GTEX-ZLWG-0926-SM-4WWC3
50-59 years, female
18.4
GTEX-133LE-1226-SM-5IFGC
20-29 years, female
18.1
GTEX-14DAQ-2226-SM-5YYAD
60-69 years, female
18.1
GTEX-15ER7-2326-SM-7KUN3
20-29 years, female
18.1
GTEX-13QIC-1526-SM-5IJFL
60-69 years, female
18.0
GTEX-PLZ4-2826-SM-3P617
50-59 years, female
17.9
GTEX-QVJO-3126-SM-4R1KC
60-69 years, female
17.9
GTEX-132AR-1426-SM-5IFF1
50-59 years, female
17.8
GTEX-S341-0726-SM-4AD5R
40-49 years, female
17.8
GTEX-13FTX-0926-SM-5IFF7
20-29 years, female
17.7
GTEX-XUW1-0126-SM-4BOOQ
50-59 years, female
17.7
GTEX-18A7A-2626-SM-7LG6L
50-59 years, female
17.6
GTEX-PWN1-2426-SM-48TDD
40-49 years, female
17.4
GTEX-T5JW-0426-SM-4DM7M
20-29 years, female
17.4
GTEX-QCQG-1426-SM-48U22
50-59 years, female
17.0
GTEX-S7SF-1326-SM-4AD4P
20-29 years, female
17.0
GTEX-1AMFI-1426-SM-731EL
50-59 years, female
16.9
GTEX-WI4N-2526-SM-4OOSE
40-49 years, female
16.9
GTEX-145LS-2326-SM-5TDCY
60-69 years, female
16.8
GTEX-WEY5-0626-SM-4LMIA
40-49 years, female
16.8
GTEX-XV7Q-1426-SM-4BRWA
40-49 years, female
16.8
GTEX-11EMC-1726-SM-5H11P
60-69 years, female
16.7
GTEX-YJ8O-1026-SM-5CVM5
40-49 years, female
16.7
GTEX-PWCY-1326-SM-48TCU
20-29 years, female
16.3
GTEX-12WSD-2726-SM-59HLR
60-69 years, female
16.2
GTEX-131YS-2226-SM-5P9G8
60-69 years, female
16.2
GTEX-13W3W-1526-SM-5LU5I
60-69 years, female
16.2
GTEX-18D9A-0826-SM-718C1
30-39 years, female
16.2
GTEX-X4EO-2426-SM-4QASD
60-69 years, female
16.2
GTEX-13N11-0526-SM-5IJFI
50-59 years, female
16.1
GTEX-15SDE-0926-SM-6LPIA
50-59 years, female
16.0
GTEX-WXYG-1426-SM-4ONCK
50-59 years, female
15.9
GTEX-RU72-2226-SM-46MUE
50-59 years, female
15.8
GTEX-11GSP-0226-SM-5A5KV
60-69 years, female
15.7
GTEX-145ME-1226-SM-5SIB6
40-49 years, female
15.6
GTEX-XUZC-1026-SM-4BOPY
30-39 years, female
15.6
GTEX-14PKV-1226-SM-6871T
20-29 years, female
15.1
GTEX-X8HC-2726-SM-46MUA
50-59 years, female
15.1
GTEX-S32W-1226-SM-4AD67
50-59 years, female
14.9
GTEX-TSE9-2226-SM-4DXUR
60-69 years, female
14.9
GTEX-S4P3-0926-SM-4AD54
50-59 years, female
14.7
GTEX-XMD3-2326-SM-4AT5H
50-59 years, female
14.7
GTEX-11I78-1926-SM-59878
50-59 years, female
14.6
GTEX-OHPK-2426-SM-3MJGH
50-59 years, female
14.6
GTEX-11EM3-1726-SM-5N9D1
20-29 years, female
14.5
GTEX-11ZVC-1426-SM-5EGGA
50-59 years, female
14.5
GTEX-1269C-1826-SM-5N9E1
60-69 years, female
14.5
GTEX-12ZZX-2026-SM-5LZV9
40-49 years, female
14.5
GTEX-ZZPU-2126-SM-5EGIU
50-59 years, female
14.5
GTEX-11ZTT-1826-SM-5CVLN
60-69 years, female
14.3
GTEX-12WSK-1926-SM-5LZVK
40-49 years, female
14.3
GTEX-Y3IK-2026-SM-4YCDG
50-59 years, female
14.3
GTEX-13PL7-2326-SM-5L3FY
60-69 years, female
14.2
GTEX-PX3G-2426-SM-48TZZ
20-29 years, female
14.1
GTEX-U3ZN-1026-SM-4DXTC
30-39 years, female
14.0
GTEX-14PJM-2426-SM-686ZC
50-59 years, female
13.7
GTEX-P4PP-2426-SM-3P61L
30-39 years, female
13.6
GTEX-1399S-2126-SM-5J2MH
30-39 years, female
13.5
GTEX-WYBS-2426-SM-4ONDI
60-69 years, female
13.1
GTEX-ZV6S-1426-SM-59HKX
40-49 years, female
13.1
GTEX-14BMU-1726-SM-5TDE8
20-29 years, female
13.0
GTEX-17JCI-2326-SM-7IGPC
60-69 years, female
13.0
GTEX-14PKU-1226-SM-686ZM
40-49 years, female
12.9
GTEX-P4QT-2426-SM-3NMCL
50-59 years, female
12.9
GTEX-13QBU-1526-SM-5LU3W
40-49 years, female
12.8
GTEX-1A32A-2726-SM-73KVU
50-59 years, female
12.8
GTEX-11VI4-1026-SM-5EQM1
40-49 years, female
12.7
GTEX-1399U-1726-SM-5P9J4
50-59 years, female
12.7
GTEX-ZC5H-2026-SM-5CVN2
40-49 years, female
12.7
GTEX-1AMEY-0926-SM-72D6G
30-39 years, female
12.6
GTEX-WYVS-1526-SM-4OND4
40-49 years, female
12.5
GTEX-14AS3-1326-SM-5RQJE
40-49 years, female
12.4
GTEX-13X6H-1026-SM-5SIBE
50-59 years, female
12.2
GTEX-TMMY-1726-SM-4DXTD
40-49 years, female
12.2
GTEX-T6MO-1126-SM-4DM5D
40-49 years, female
12.0
GTEX-1117F-2226-SM-5N9CH
60-69 years, female
11.9
GTEX-11ZTS-1926-SM-5CVLA
60-69 years, female
11.8
GTEX-13D11-1126-SM-5KLYS
50-59 years, female
11.8
GTEX-15UF6-2026-SM-6LPI3
70-79 years, female
11.7
GTEX-16NGA-0426-SM-7LG6K
40-49 years, female
11.7
GTEX-ZVT2-0326-SM-5E44G
50-59 years, female
11.5
GTEX-13PVR-1226-SM-5RQJ2
60-69 years, female
11.4
GTEX-183WM-1926-SM-72D5F
70-79 years, female
11.4
GTEX-14PN3-1526-SM-6ETZM
60-69 years, female
11.2
GTEX-1F6RS-2726-SM-7MKHA
60-69 years, female
11.1
GTEX-Y114-1726-SM-4TT7U
50-59 years, female
11.1
GTEX-ZYFG-1726-SM-5GZZB
60-69 years, female
10.9
GTEX-1F48J-2326-SM-7MKG3
50-59 years, female
10.5
GTEX-13OVJ-2426-SM-5KM3I
50-59 years, female
10.3
GTEX-145MI-2626-SM-5QGQ8
60-69 years, female
10.1
GTEX-15EOM-1526-SM-68723
20-29 years, female
8.9
GTEX-YB5K-1426-SM-5IFIB
40-49 years, female
8.6
GTEX-16MT8-2226-SM-6LPK2
60-69 years, female
8.4
GTEX-WWYW-2726-SM-4MVOP
50-59 years, female
8.0
GTEX-13OVI-0726-SM-5L3DD
60-69 years, female
6.1
Show allShow less
OVARY - FANTOM5 CAGEi
RNA expression in human tissues obtained through Cap Analysis of Gene Expression (CAGE) generated by the FANTOM5 project are reported as Scaled Tags Per Million.