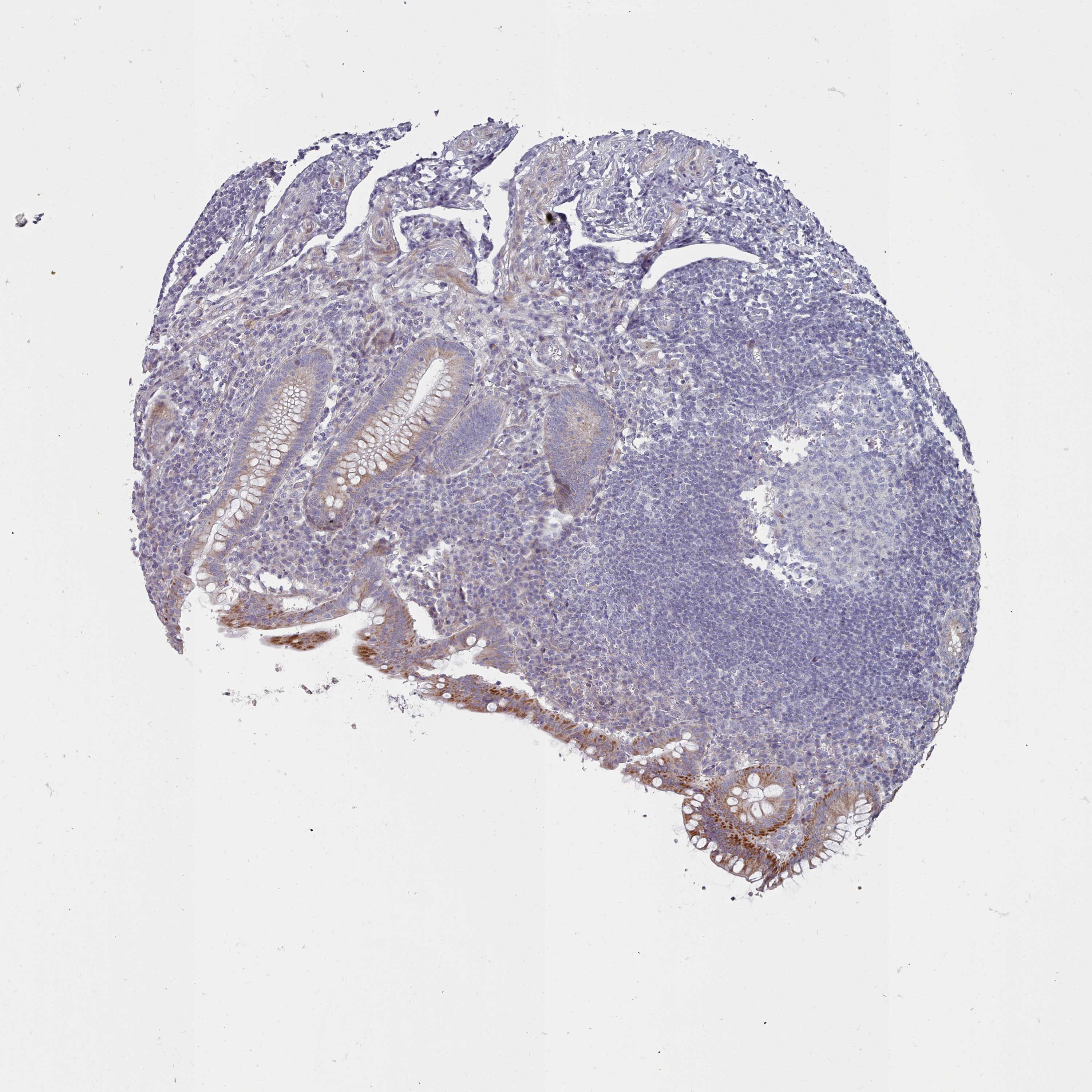
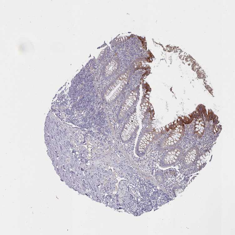
C3orf36